DIP e cervicite Flashcards

(42 cards)

1
Q

Quais agentes etiológicos mais comuns?

A

Chlamydia trachomatis (60%)
Neisseria Gonorrheae
flora polimicrobiana (mycoplasma, gardnerella, etc)

How well did you know this?
1
Not at all
2
3
4
5
Perfectly
2
Q

Em quais dos agentes etiológicos, tem o quadro clínico mais exuberante?

A

Gonococo

How well did you know this?
1
Not at all
2
3
4
5
Perfectly
3
Q

Qual agente etiológico está mais relacionado à colonização do DIU?

A

Actinomyces Israelli

How well did you know this?
1
Not at all
2
3
4
5
Perfectly
4
Q

Clamídia é uma bactéria gram ______________ e ______celular

A

negativa e intracelular

How well did you know this?
1
Not at all
2
3
4
5
Perfectly
5
Q

Quais sintomas da cervicite causada por clamídia?

A

ectopia, mucorreia, edema de colo e sangramento

How well did you know this?
1
Not at all
2
3
4
5
Perfectly
6
Q

Qual bactéria IST mais comum do mundo?

A

Clamídia

How well did you know this?
1
Not at all
2
3
4
5
Perfectly
7
Q

Gonococo é diploco gram __________

A

negativo

How well did you know this?
1
Not at all
2
3
4
5
Perfectly
8
Q

O gonococo é mais prevalente que a clamídia. Verdadeiro ou falso?

A

Falso.

How well did you know this?
1
Not at all
2
3
4
5
Perfectly
9
Q

Cervicite gonocócica: quais sintomas?

A

sangramento, edema de colo e secreção purulenta.

How well did you know this?
1
Not at all
2
3
4
5
Perfectly
10
Q

Quais acometimentos extragenital o gonococo pode causar?

A

Oftalmia neonatal e artrite gonocócica

How well did you know this?
1
Not at all
2
3
4
5
Perfectly
11
Q

O uso de contraceptivos hormonais pode aumentar o risco de DIP. Verdadeiro ou falso?

A

Não há comprovação científica.

How well did you know this?
1
Not at all
2
3
4
5
Perfectly
12
Q

Fatores de risco para DIP?

A

idade, comportamento sexual de risco, história de IST prévia, USO de DIU, vaginose bacteriana

How well did you know this?
1
Not at all
2
3
4
5
Perfectly
13
Q

O DIU aumenta o risco nas primeiras semanas após sua inserção. Verdadeiro ou falso?

A

Verdadeiro

How well did you know this?
1
Not at all
2
3
4
5
Perfectly
14
Q

Por que a vaginose bacteriana pode ser considerada fator de risco para DIP?

A

Por favorecer ascensão de microorganismos

How well did you know this?
1
Not at all
2
3
4
5
Perfectly
15
Q

Quais 3 critérios elaborados para diagnóstico de DIP?

A

Evidência histopatológica de endometrite
Evidências de DIP na videolaparoscopia
Imagem de exame mostrando abscesso tuboovariano ou de fundo de saco

How well did you know this?
1
Not at all
2
3
4
5
Perfectly
16
Q

Como se dá o diagnóstico de DIP?

A

3 CRITÉRIOS MAIORES + 1 MENOR OU 1 ELABORADO

How well did you know this?
1
Not at all
2
3
4
5
Perfectly
17
Q

Quais os critérios maiores?

A

Dor à palpação anexial
Dor à mobilização do colo
Dor á palpação abdominal

18
Q

Quais critérios menores?

A

Febre > 38,3
Massa pélvica
Conteúdo vaginal anormal
Leucocitose
PCR aumentado
Comprovação de gonococo ou clamídia ou micoplasma

19
Q

Qual exame de escolha para avaliar complicações de DIP

20
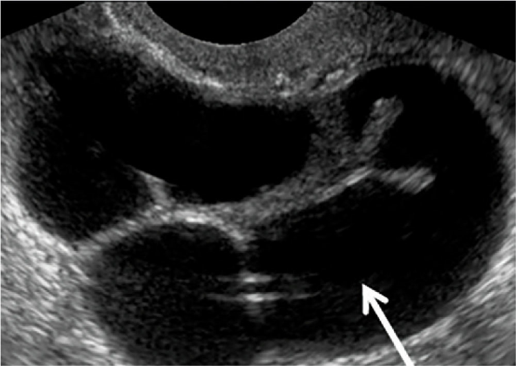
Q

Quais sinais ultrassonográficos de DIP/

A

Espessamento tubáreo
Septos incompletos tubáreos
Sinal da roda denteada - cogwheel sign (ABAIXO)
Líquido na tuba
Abscesso tubo-ovariano

21
Q

O que significa o sinal da roda denteada?

22
Q

Quais critérios de internação para DIP?

A

Presença de abscesso ou peritonite
Estado tóxico ou grave
Gravidez
Intolerância a atb oral
Dificuldade na exclusão de emergência cirúrgica
Sem resposta após 72h de atb

23
Q

Qual o critério 1 de MONIF?

A

Endometrite/salpingite sem peritonite

24
Q

Qual o critério 2 de MONIF?

A

Salpingite com peritonite

25
Qual o critério 3 de MONIF?
Abscesso íntegro + salpingite
26
Qual o critério 4 de MONIF?
Abscesso roto
27
A partir de qual estágio de MONIF, deve-se internar?
Estágio 2
28
Critérios para abordagem cirúrgica/
Falha de tto clínico Manutenção do abscesso pélvico, mesmo após tto clínico Suspeita de abscesso roto Peritonite difusa Instabilidade hemodinâmica refratária Abscesso em fundo de saco de Douglas (indicação de culdocentese)
29
TTO ambulatorial DIP
Ceftriaxona 500 mg IM, DU Metronidazol 500 mg 12/12h 14d Doxiciclina 100 mg 12/12h 14d
30
TTO hospitalar DIP
Ceftriaxona 1g 24/24h ev Metronidazol 400 mg ev 12/12h Doxiciclina 100 mg 12/12h vo ou CLINDA+GENTA
31
TTO P/ CERVICITE
CEFTRIAXONA 500 MG + AZITRO 1G OU AZITRO 1G + DOXI 2 CP/DIA POR 7 DIAS (EXCETO GESTANTES) NÃO SE USA MAIS CIPRO (RESISTÊNCIA)
32
Na dip e na cervite, deve-se tratar parceiro. Verdadeiro ou falso?
Verdadeiro
33
Os estudos demonstraram mudanças no desfecho se o DIU for retirado antes ou durante o TTO p/ DIP. Verdadeiro ou falso?
Falso. Os estudos não demonstraram diferença se for retirado o DIU ou não, não havendo necessidade de retirar o DIU.
34
Quando considerar retirar o DIU na DIP?
Se refratariedade ao tratamento.
35
A presença do actinomyces israelli na citologia oncótica indica necessidade de retirar o DIU. Verdadeiro ou falso?
Falso.
36
Caso a paciente opte por retirar o DIU no diagnóstico da DIP, deve-se retirar imediatamente. Verdadeiro ou falso?
Falso. Deve ser realizada após a introdução do tratamento.
37
Como é o seguimento de tratamento para DIP?
Ambulatorial - reavaliar c/ 72h Hospitalar - reavaliar com 48h Se melhora, alta com atb oral Se piora, avaliar cirurgia
38
Complicações precoces da DIP?
abscesso tubo-ovariano choque séptico e morte síndrome de fitz-hugh-cortis
39
Complicações tardias da DIP?
Infertilidade Dor pélvica crônica Gestação ectópica Recorrência da doença e outras ISTs
40
Rastreamento para clamídia e gonoco: quando realizar pelo MS?
Gestantes com mais de 30a na 1ª consulta de PN Pessoas com diagnóstico de IST Prática anal receptiva (sem preservativo) Vítimas de violência sexual Pessoas em uso de PREP Pessoas com indicação de PEP
41
Rastramento para clamídia e gonococo: quando realizar pelo CDC?
Mulheres sexualmente ativas com mais de 25 anos e Mulheres sexualmente ativas com menos de 25 anos e fatores de risco p/ IST
42
Quais são os métodos de rastreio para clamídia e gonococo?
Métodos de biologia molecular (PCR e captura híbrida)