DNA Packaging Flashcards

(12 cards)

1
Q

DNA is stored within cells what does DNA hold and why must it be packaged?

A
  • DNA is stored within cells
  • DNA holds all the essential genetic information for cell function
    o This must be replicated and passed on to new cells during cell division
    o DNA must be able to be “read” to produce functional proteins
  • DNA molecules can be very long- the DNA in a single human cell would stretch to a length of about 2 metres
  • Therefore, DNA must be packaged in an ordered and organised way so that it can carry out the required function within a cell and to fit
How well did you know this?
1
Not at all
2
3
4
5
Perfectly
2
Q

How are eukaryotes defined?

A

By having a distinct nucleus

How well did you know this?
1
Not at all
2
3
4
5
Perfectly
3
Q

Tell me about the DNA within a eukaryotic cell?

A

o Contained within the nucleus
o Bound to histone proteins to enable packaging into linear chromosomes
o Contains large amounts of non-coding and repetitive DNA

How well did you know this?
1
Not at all
2
3
4
5
Perfectly
4
Q

What type of organelles do eukaryotes contain? Give an example and what it codes to produce?

A

Typically contain membrane-bound organelles:
o Including mitochondria- which has its own genome (this mostly codes for the protein involved in ATP production)
o Mitochondria is responsible for making ATP the energy source for the cell

How well did you know this?
1
Not at all
2
3
4
5
Perfectly
5
Q

Draw ATP and tell me about it

A
How well did you know this?
1
Not at all
2
3
4
5
Perfectly
6
Q

Is mitochondrial DNA linear or circular?

A

Circular (resembles bacterial DNA)

How well did you know this?
1
Not at all
2
3
4
5
Perfectly
7
Q

How is DNA packaged into eukaryotic cells?

A
  • DNA double helix roughly 2nm wide (up to 2m long)
  • Proteins called Histones bind and DNA wraps around it to form nucleosomes
  • Nucleosomes coiled into fibred names chromatin
  • Chromatin forms loops
  • The condenses and compacts into a chromosome structure
How well did you know this?
1
Not at all
2
3
4
5
Perfectly
8
Q

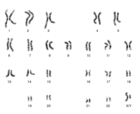
Tell me about the human genome and the number of different chromosomes

A

* 23 pairs of chromosomes
o 22 autosomal
o 1 sex (X or Y)
* Diploid cell- 46 chromosomes (23 pairs)- most humans cells are this
* Haploid cell- 23 chromosomes- sex cells or gametes (egg and sperm)
* Karyotype- image of chromosomes arranged in homologous pairs by size

How well did you know this?
1
Not at all
2
3
4
5
Perfectly
9
Q

Give examples of prokaryotes?

Tell me about DNA within prokaryotic cells?

A

**Prokaryotic cells e.g., bacteria and archaea **

The DNA within a prokaryotic cell is:
o Found freely in the cytoplasm within the nucleoid
o Generally, have one chromosome found in a circular in shape
o Most often not bound with proteins, does not form chromatin (exception of some archaea)
o Contains little repetitive DNA and no introns (prokaryotes have a compact genome)
o DNA still needs to be coiled to fit into cell

How well did you know this?
1
Not at all
2
3
4
5
Perfectly
10
Q

Prokaryotic cells can contain extrachromosomal plasmids, what does this mean?

A

o Capable of self-replication
o Allow exchange of genetic material with other bacteria
o Give cell virulence and antibiotic resistance

How well did you know this?
1
Not at all
2
3
4
5
Perfectly
11
Q

What is supercoiling?

A

This is where it is twisted beyond double helix to fit into prokaryotic cells

Example

How well did you know this?
1
Not at all
2
3
4
5
Perfectly
12
Q

Summary

A
  • Without packaging, DNA molecules would be far too long to fit into cells
  • Must be ordered so that it can still carry out its function within a cell
  • Eukaryotic cells
    o DNA binds to histones > nucleosomes> chromatin fibres> condensed into linear chromosomes
    o Stored in nucleus
    o Humans- 23 pairs of homologous chromosomes
  • Prokaryotic cells:
    o Single chromosomes is circular
    o DNA is supercoiled and found in an area of the cytoplasm called the nucleoid
How well did you know this?
1
Not at all
2
3
4
5
Perfectly