DPS REVIEW Flashcards

(17 cards)

1
Q
A

Langerhans Cells

  • Marrow-derived, dendritic antigen presenting cells
  • Clear cells in the suprabasal area
  • Folded nucleus, no tonofilaments, desmosomes
  • Contains Birbeck granules
  • 2 to 4% of the epidermis
  • Chronic and repeated exposures to UV depletes LCs
How well did you know this?
1
Not at all
2
3
4
5
Perfectly
2
Q

Stains for langerhans cells

A
  • S100
  • CD1a
  • Langerin
How well did you know this?
1
Not at all
2
3
4
5
Perfectly
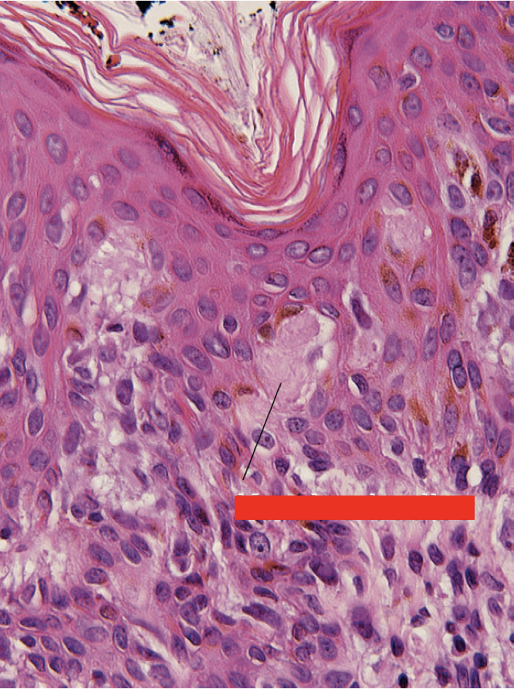
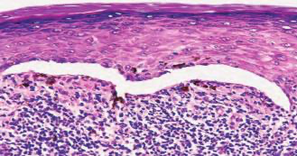
3
Q

Identify. What condition is this seen?

A

Max-Joseph Space

Lichen Planus

How well did you know this?
1
Not at all
2
3
4
5
Perfectly
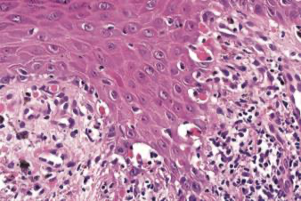
4
Q

Identify. What condition is this seen?

A

Civatte Bodies

Lichen Planus

How well did you know this?
1
Not at all
2
3
4
5
Perfectly
5
Q

Loss of cell–cell adhesion

A

Acantholysis, pemphigus vulgaris

How well did you know this?
1
Not at all
2
3
4
5
Perfectly
6
Q
A

Anaplasia, Bowen’s disease

Atypical nuclei (abnormal size, shape, staining) and pleomorphism (variation in nuclear characteristics)

How well did you know this?
1
Not at all
2
3
4
5
Perfectly
7
Q

seen in?

A

sarcoidosis or berylliosis

  • Collections of eosinophilic material seen in sporotrichosis
  • Also refers to star-shaped intracytoplasmic inclusions seen in giant cells of sarcoidosis or berylliosis or other granulomatous processes
How well did you know this?
1
Not at all
2
3
4
5
Perfectly
8
Q

Caterpillar body - Pale pink linear basement membrane material within epidermis

Seen in?

A

porphyria cutanea tarda

  • Represents degenerated type IV collagen
How well did you know this?
1
Not at all
2
3
4
5
Perfectly
9
Q
A

Dermatofibroma

Collagen fibers surrounded by histiocytes/spindle cells (collagen balls)

How well did you know this?
1
Not at all
2
3
4
5
Perfectly
10
Q
A

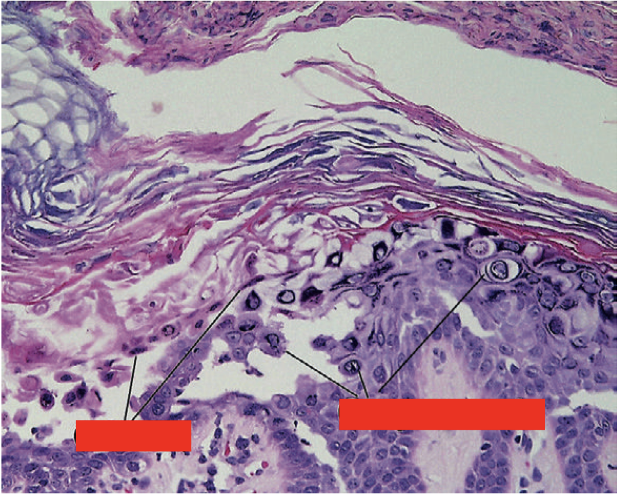
Corps ronds/grains, Darier’s disease

  • Corps ronds = rounded nucleus with halo of pale to pink dyskeratotic cytoplasm
  • Grain = dark blue flattened nucleus surrounded by minimal cytoplasm
  • Dyskeratosis = abnormal, individual-cell keratinization
How well did you know this?
1
Not at all
2
3
4
5
Perfectly
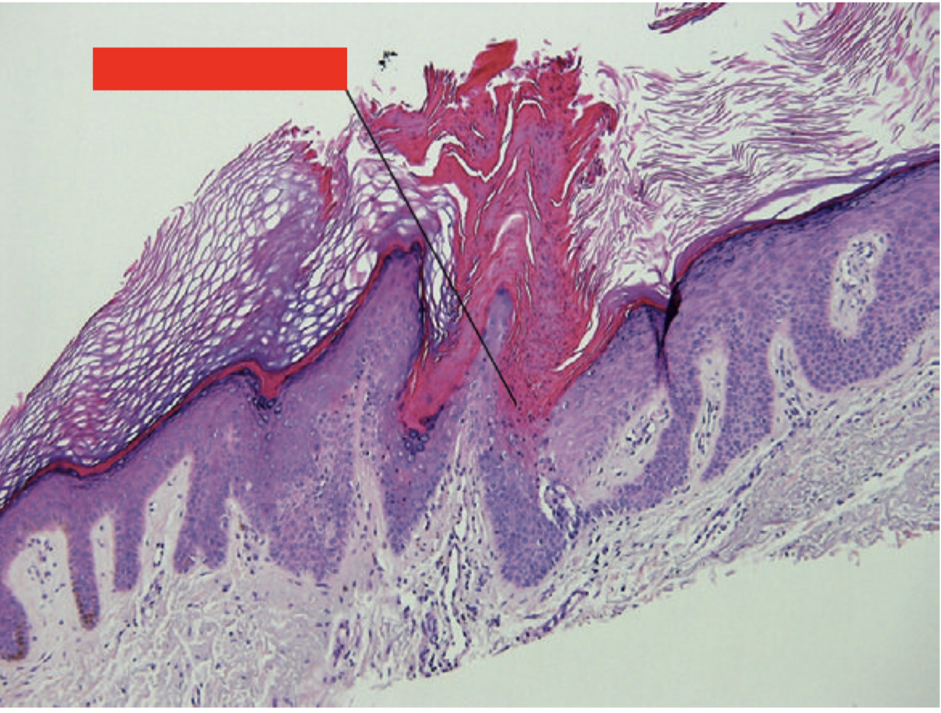
11
Q
A

Cornoid lamellae, porokeratosis

45° angle parakeratosis in a column above a focus with a diminished granular layer and underlying dyskeratotic cells

How well did you know this?
1
Not at all
2
3
4
5
Perfectly
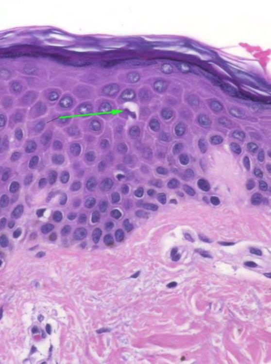
12
Q
A

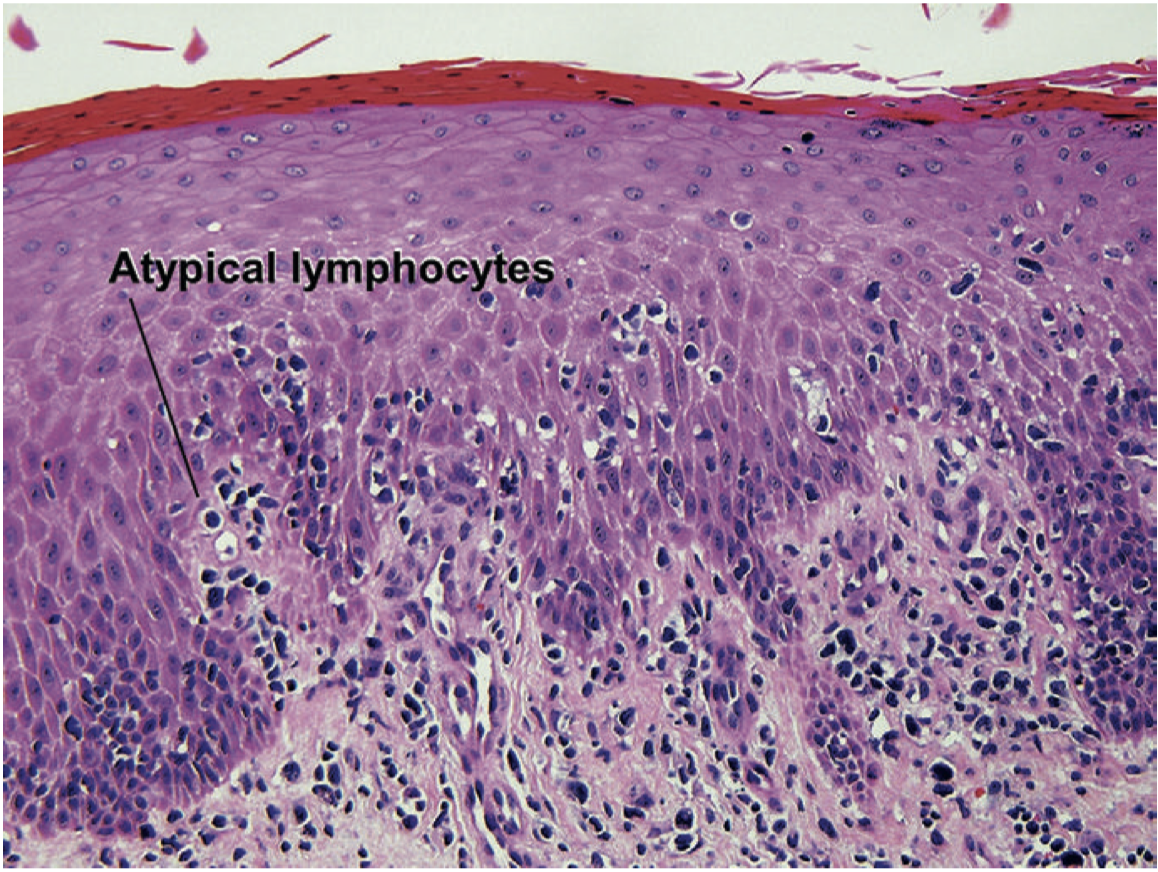
Epidermotropism

Lymphocytes in epidermis with relative absence of spongiosis: term usually reserved for mycosis fungoides

How well did you know this?
1
Not at all
2
3
4
5
Perfectly
13
Q
A

Kamino body

Dull pink to amphophilic basement membrane material within the epidermis in a Spitz nevus

How well did you know this?
1
Not at all
2
3
4
5
Perfectly
14
Q
A

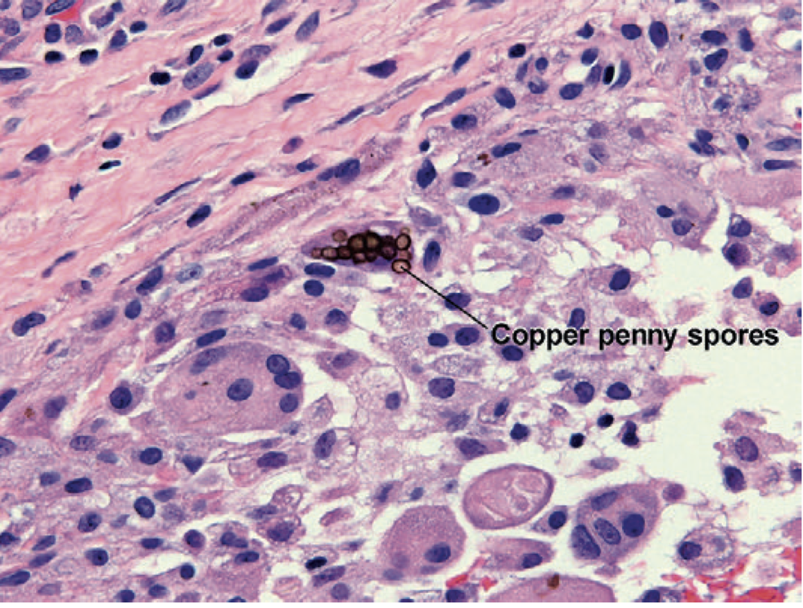
Medlar Body
- seen in Chromomycosis

  • Brown, round structure resembling overlapping copper pennies
  • Divide by septation, resembling a hot-cross bun
How well did you know this?
1
Not at all
2
3
4
5
Perfectly
15
Q
A

Pagetoid cells and pagetoid scatter, Paget’s disease

How well did you know this?
1
Not at all
2
3
4
5
Perfectly
16
Q
A

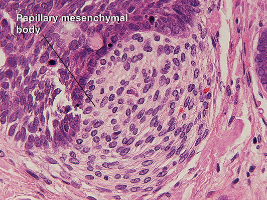
Papillary mesenchymal body

Structure that resembles the whorl of plump mesenchymal cells normally present in the hair papilla (seen in trichoblastoma and trichoepithelioma)

17
Q
A

Shadow cells, pilomatricoma