PERIVASCULAR AND DIFFUSE DERMATITIS, NON-INFECTIOUS FOLLICULITIS AND PERIFOLLICULITIS Flashcards

(35 cards)

1
Q
A

URTICARIA

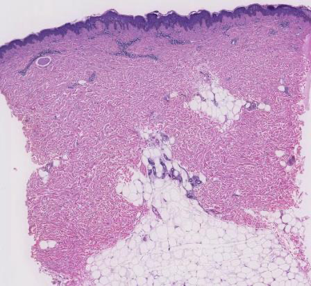
  • Sparse perivascular & interstitial infiltrate (LYMPHOCYTES, NEUTROPHILS,EOSINOPHILS)
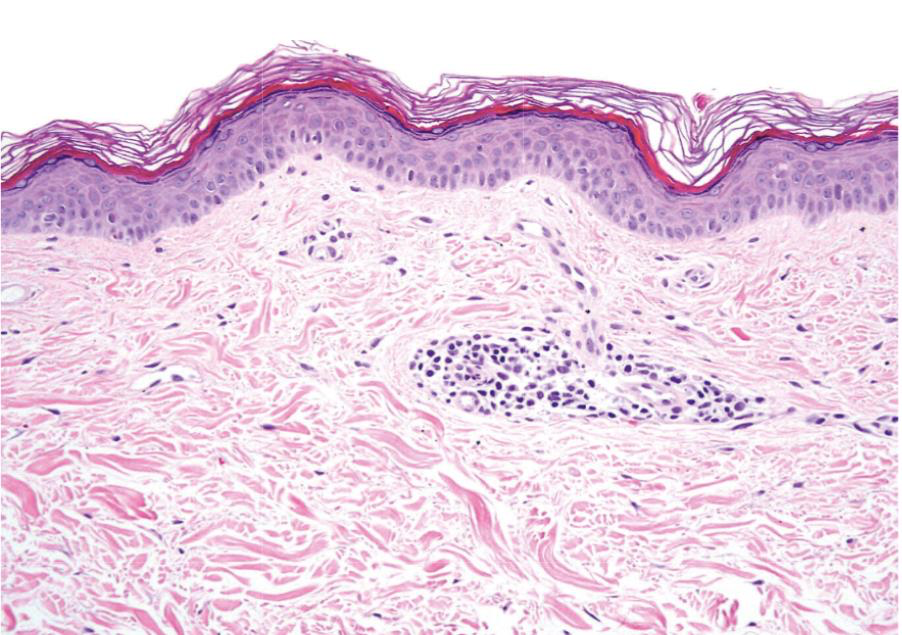
  • +/- Dermal edema
  • Almost normal looking skin biopsy
How well did you know this?
1
Not at all
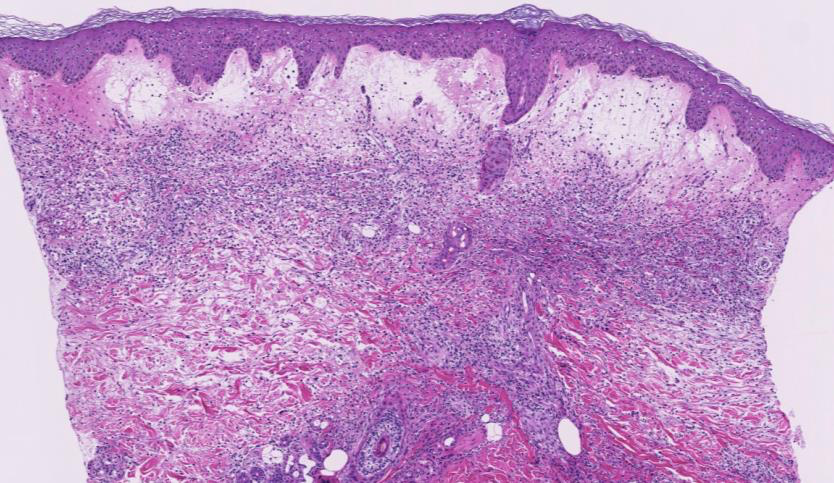
2
3
4
5
Perfectly
2
Q
A

PIGMENTED PURPURIC DERMATOSIS

  • Perivascular infiltrate composed of lymphocytes
  • Extravasated erythrocytes
  • Siderophages

Variable mild epidermal changes: Spongiosis, Lymphocyte exocytosis

How well did you know this?
1
Not at all
2
3
4
5
Perfectly
3
Q

What stain can be requested to highlight siderophages? What condition can this be seen?

A

Perl’s Stain
Pigmented Purpuric Dermatosis

How well did you know this?
1
Not at all
2
3
4
5
Perfectly
4
Q
A

POLYMORPHOUS LIGHT ERUPTION

  • Superficial and Deep
  • Lymphocyte predominant
  • Marked papillary edema
How well did you know this?
1
Not at all
2
3
4
5
Perfectly
5
Q
A

ARTHROPOD BITE HYPERSENSITIVITY

How well did you know this?
1
Not at all
2
3
4
5
Perfectly
6
Q
A

ERYTHEMA ANNULARE CENTRIFUGUM

  • Perivascular lymphohistiocytic infiltrate
How well did you know this?
1
Not at all
2
3
4
5
Perfectly
7
Q
A

POST-INFLAMMATORY PIGMENT ALTERATION

  • Normal looking epidermis
  • Mild Perivascular lymphohistiocytic infiltrate
  • Numerous Melanophages present in the superficial dermis
How well did you know this?
1
Not at all
2
3
4
5
Perfectly
8
Q
A

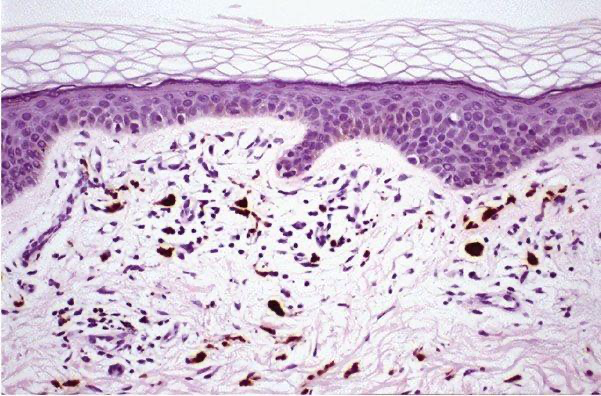
VITILIGO

  • Absence of melanocytes in the dermo-epidermal junction
  • Normal looking epidermis
  • Mild Perivascular lymphohistiocytic infiltrate
How well did you know this?
1
Not at all
2
3
4
5
Perfectly
9
Q

Normal melanocyte to keratinocyte ratio

A

1:4-1:10

How well did you know this?
1
Not at all
2
3
4
5
Perfectly
10
Q

Stains to highlight melanocyte

A

S100, SOX HMB-45, MART-1, Melan-A, MITF

How well did you know this?
1
Not at all
2
3
4
5
Perfectly
11
Q

Stains to highlight melanin

A

Fontana-Masson, Silver nitrate

How well did you know this?
1
Not at all
2
3
4
5
Perfectly
12
Q
A

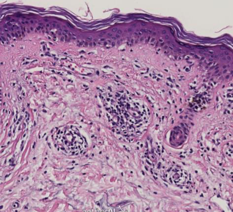
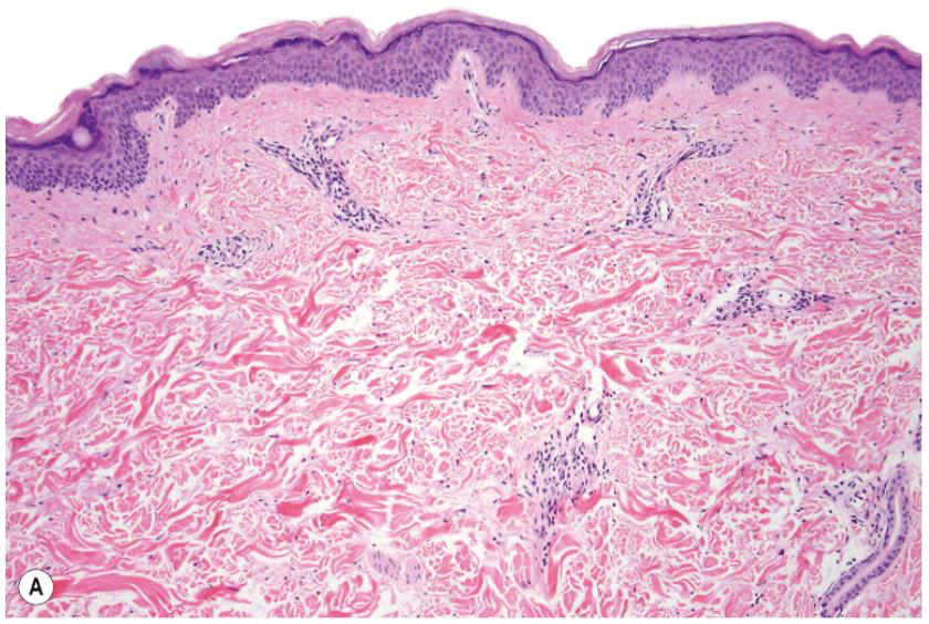
TUMID LUPUS

  • Normal looking epidermis
  • Dense lymphohistiocytic infiltrate surrounding adnexa
  • Superficial and Deep Perivascular lymphohistiocytic infiltrate
  • Mucin highlighled by Alcian Blue
How well did you know this?
1
Not at all
2
3
4
5
Perfectly
13
Q
Marked papillary edema
A

SWEET’S SYNDROME

No fibrinoid degeneration or necrosis

How well did you know this?
1
Not at all
2
3
4
5
Perfectly
14
Q
Diffuse neutrophilic infiltrates, extensive suppuration
A

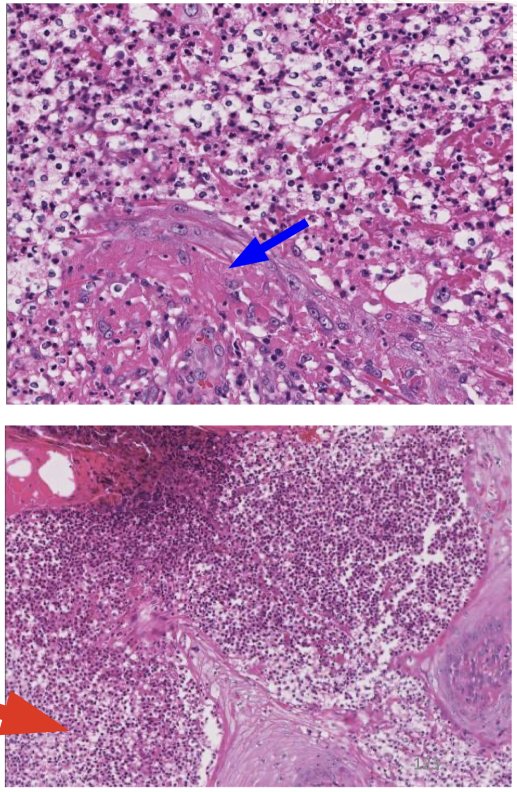
PYODERMA GANGRENOSUM

  • Fibrinoid deposition of blood vessels and Endothelial swelling
  • Follicular or perifollicular inflammation with micro-abscess formation
How well did you know this?
1
Not at all
2
3
4
5
Perfectly
15
Q
A

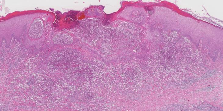
MASTOCYTOSIS – URTICARIA PIGMENTOSA

  • Loosely scattered or grouped mast cells in dermis
  • Basal hyperpigmentation
How well did you know this?
1
Not at all
2
3
4
5
Perfectly
16
Q
A

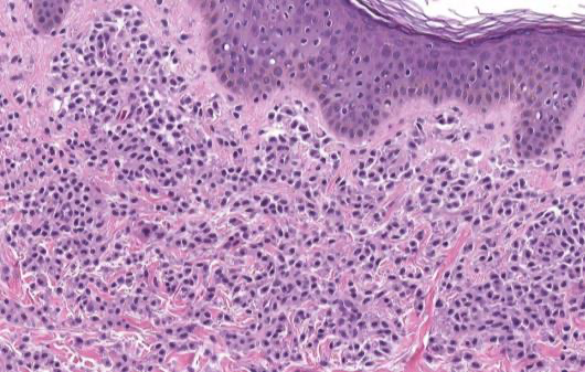
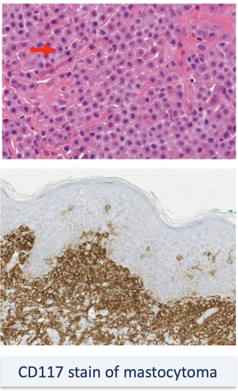
MASTOCYTOSIS - MASTOCYTOMA

  • Nodular to diffuse infiltrate of mast cells in upper dermis
  • Stain: CD117, c-kit, leder stain, giemsa, toluidine blue, tryptase
17
Q

Stains for mastocytoma

A

Stain: CD117, c-kit, leder stain, giemsa, toluidine blue, tryptase

18
Q
A

Terminal ANAGEN with glycogenated ORS & keratinized IRS

19
Q
A

CATAGEN follicles are notable by their eosinophilic “glassy” membrane & lack of a hair shaft

20
Q
A

TELOGEN follicle shows thick wrinkling bright eosinophilic keratin of IRS in the center

21
Q
A

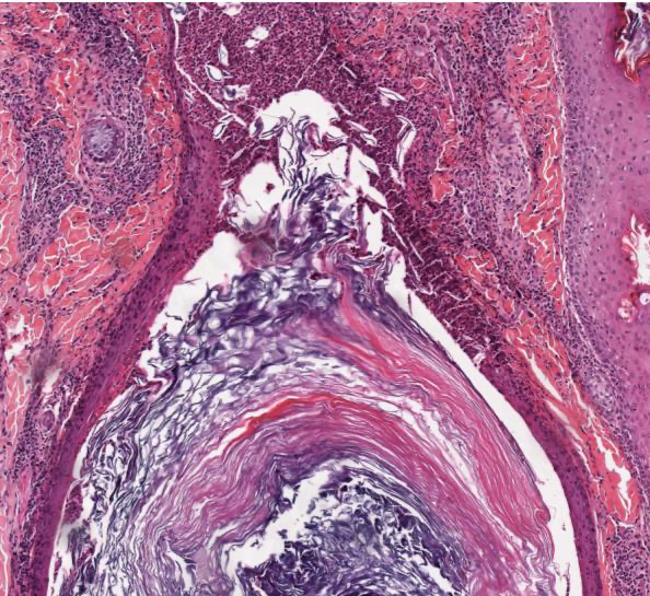
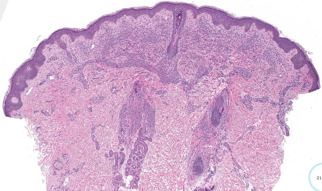
ACNE VULGARIS

  • Suppurative folliculitis and Perifollicular infiltrates
  • Comedo - plug of corneocytes within a widened infundibulum
22
Q
A

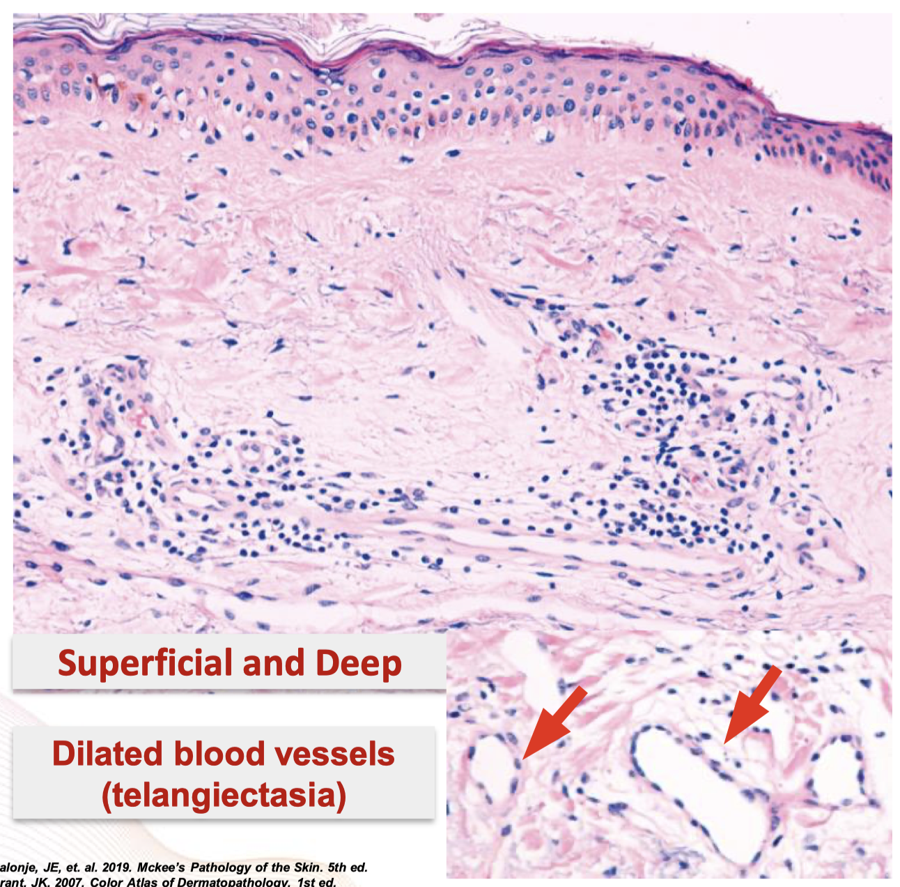
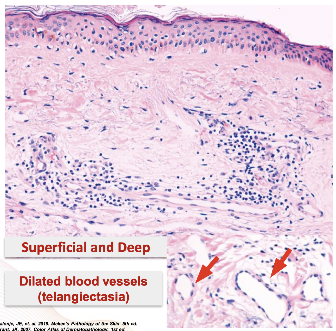
ROSACEA - Erythemo-telangiectatic type

23
Q
A

ROSACEA - Erythemo-telangiectatic type

24
Q
A

Rosacea - Granulomatous type

25
Scarring or non-scarring?
Scarring Alopecia
26
what are the features of scarring alopecia
* Loss of Sebaceous Glands * Presence of destructive inflammation or fibrosis around the follicles * Presence of compound follicles
27
scarring or non-scarring?
NON-SCARRING ALOPECIA * Preserved Sebaceous Glands * Absence of destructive inflammation or fibrosis around the follicles
28
ALOPECIA AREATA
29
TRICHOTILLOMANIA
30
Identify. What condition is this seen?
Hamburger sign: vertically oriented split in the hair shaft containing proteinaceous material and erythrocytes TRICHOTILLOMANIA
31
What condition is this seen?
TRICHOTILLOMANIA
32
ANDROGENETIC ALOPECIA
33
LICHEN PLANOPILARIS
34
35