DR Flashcards

(143 cards)

1
Q

Most common malignancies that mets to the lungs

A

“BReTh Lung” - breast, renal, thyroid, lung, melanoma and sarcoma

How well did you know this?
1
Not at all
2
3
4
5
Perfectly
2
Q

Smoking related lung diseases

A

RB (respiratory bronchiolitis), RB-ILD, DIP (desquamative interstitial pneumonia), PLCH (pulmonary langerhans cell histiocytosis), emphysema

How well did you know this?
1
Not at all
2
3
4
5
Perfectly
3
Q

Branches of the external iliac arteries

A

Inferior epigastric and deep circumflex iliac arteries

How well did you know this?
1
Not at all
2
3
4
5
Perfectly
4
Q

Branches of the posterior internal iliac artery

A

Iliolumbar artery, lateral sacral artery, superior gluteal artery

“I L S”

How well did you know this?
1
Not at all
2
3
4
5
Perfectly
5
Q

Most common cardiac mass

A

Thrombus (pseudotumor)

How well did you know this?
1
Not at all
2
3
4
5
Perfectly
6
Q

Most primary cardiac tumor

A

Myxoma

Often in the left atrium

How well did you know this?
1
Not at all
2
3
4
5
Perfectly
7
Q

Most common primary pediatric cardiac tumors

A

Rhabdomyoma

Associated with tuberous sclerosis

How well did you know this?
1
Not at all
2
3
4
5
Perfectly
8
Q

Majority of malignant cardiac tumors in adults vs peds

A

Angiosarcoma in adults
Rhabdomyosarcoma in children

How well did you know this?
1
Not at all
2
3
4
5
Perfectly
9
Q

Most common cardiac tumor

A

Metastasis

How well did you know this?
1
Not at all
2
3
4
5
Perfectly
10
Q

Most common malignant cardiac tumor

A

Sarcoma (specifically angiosarcoma)

How well did you know this?
1
Not at all
2
3
4
5
Perfectly
11
Q

gas in a vertebral body compression fracture representing osteonecrosis

A

Kummell disease

How well did you know this?
1
Not at all
2
3
4
5
Perfectly
12
Q

What is DISH and what it is associated with

A

DISH - diffuse idiopathic skeletal hyperostosis; bridging anterior osteophyte formation spanning at least 4 vertebral bodies.

Associated with OPLL (ossification of the posterior longitudinal ligament)

How well did you know this?
1
Not at all
2
3
4
5
Perfectly
13
Q

Atlanto-dental interval that indicates Anterior atlantoaxial subluxation is present

A

ADI >2.5 mm in adults, >5mm in children

How well did you know this?
1
Not at all
2
3
4
5
Perfectly
14
Q

What is this finding and what is it associated with?

A

Symmetric sacroiliitis; IBD and ankylosing spondylitis

How well did you know this?
1
Not at all
2
3
4
5
Perfectly
15
Q

Other clinical symptoms ankylosing spondylitis is associated with

A

Pulmonary fibrosis (upper lobe predominant), aortitis and cardiac conduction defects

How well did you know this?
1
Not at all
2
3
4
5
Perfectly
16
Q

What is acro-osteolysis

A

Resorption of distal portion of the distal phalanges

How well did you know this?
1
Not at all
2
3
4
5
Perfectly
17
Q

The four ligaments that make up the lateral collateral ligament

A

Popliteus tendon
Fibular collateral tendon
Ilitotibial band
Biceps femoris tendon

How well did you know this?
1
Not at all
2
3
4
5
Perfectly
18
Q

What sign is this image representing and what injury does it indicate

A

Double PCL sign - displaced meniscal fragment flips centrally into the intercondylar notch from bucket handle tear of the medial meniscus

How well did you know this?
1
Not at all
2
3
4
5
Perfectly
19
Q

What sign is this and what does it indicate

A

Double delta sign - anteriorly flipped displaced bucket handle fragment of lateral meniscus tear

How well did you know this?
1
Not at all
2
3
4
5
Perfectly
20
Q

O’donoghue’s triad

A

ACL injury with meniscal and MCL tear

How well did you know this?
1
Not at all
2
3
4
5
Perfectly
21
Q

What is this lesion called

A

Pellegrini-stieda lesion - post-traumaic calcification medial to the medial femoral condyle, which may be secondary to MCL avulsion injury

How well did you know this?
1
Not at all
2
3
4
5
Perfectly
22
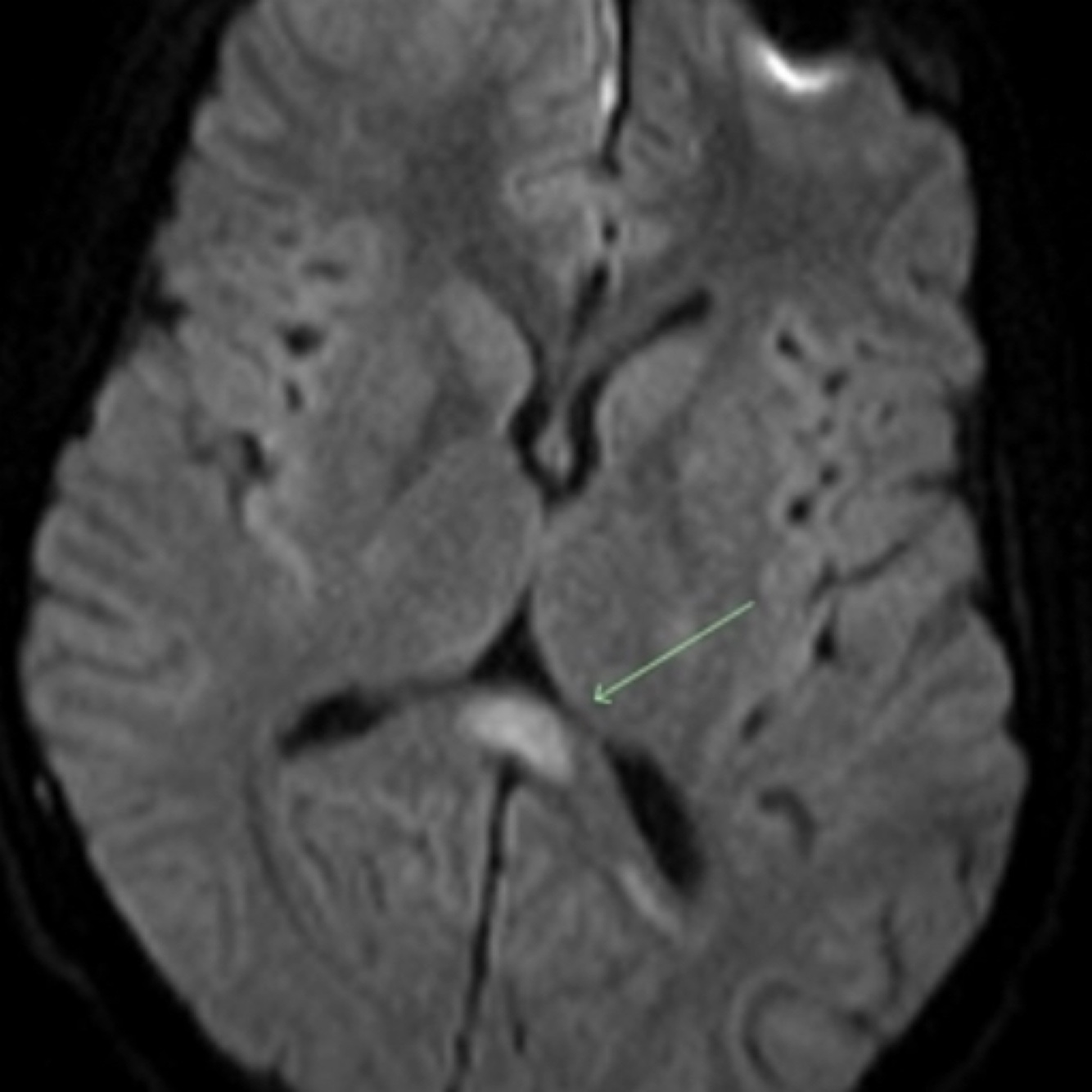
Q

What sign is this image depicting

A

Boomerang sign is a boomerang-shaped region of cytotoxic edema in the splenium of the corpus callosum typically seen in cytotoxic lesions of the corpus callosum (CLOCCs)

How well did you know this?
1
Not at all
2
3
4
5
Perfectly
23
Q

What is the syndrome called when you have difficulty swallowing secondary to compression from aberrant (retroesophageal) right subclavian artery

A

Dysphagia Lusoria

How well did you know this?
1
Not at all
2
3
4
5
Perfectly
24
Q

Fold thickening and “reticulated mucosal pattern” of the esophagus

A

Esophagitis

How well did you know this?
1
Not at all
2
3
4
5
Perfectly
25
Hiatal hernia + high stricture
Barrett’s esophagus
26
Multiple small esophageal ulcers with edema
Herpes ulcers (herpes has ‘halos’)
27
Large, flat ulcers with bird-beak stricture stricture at the GE junction
CMV/AIDS
28
Achalasia + NSIP changes of the lung
Scleroderma NSIP: non-specific interstitial pneumonia
29
What is this sign called and what is it associated with
Carman meniscus sign - describes the lenticular shape of barium in cases of large and flat gastric ulcers, in which the inner margin is convex toward the lumen. It usually indicates a MALIGNANT ulcerated neoplasm; in cases of benign gastric ulcers, the inner margin is usually concave toward the lumen
30
Carney’s triad
rare syndrome defined by the coexistence of three tumors: - extra-adrenal paraganglioma - gastric gastrointestinal stromal tumor (GIST) - pulmonary chondroma (rare benign tumor of the lung)
31
What is this picture depicting and what is the cause?
Linitis plastica - type of adenocarcinoma with diffuse submucosal infiltration, leading to thickening and rigidity to the stomach wall
32
Equation for adrenal washout if you have all phases (non-con, portal venous and delayed) vs only portal venous and delayed.
Absolute washout (all phases): [(HU portal venous phase) - HU delayed)] / [(HU portal venous phase - HU non-enhanced)] x100 >60% washout is suggestive of adrenal adenoma. Relative washout (only portal venous and delayed): [(HU portal venous phase) - (HU delayed)] / (HU portal venous phase) x 100 >40% is suggestive of adrenal adenoma. *caviat: if the adrenal HU is negative on non-contrast, you can forego the calculations and call it adenoma.
33
What is the most common noncontrast CT finding of a brainstem glioma?
Expansion of the pons (can be subtle on CT, most frequently shows generalized expansion of the pons. Can see mild effacement of CSF spaces surrounding the pons and basilar artery)
34
MR sequence most sensitive to showing hypoxic ischemic event?
DWI (most sensitive and 1st sequence to be positive within hours of the event)
35
Most common primary intracranial CNS neoplasm in an adult?
Meningioma. Glioblastoma multiforme is most common primary neuroepithelial tumor. Vestibular schwannoma is most common cerebellopontine angle tumor and second most common extraaxial neoplasm in adults. Pituitary adenoma is most common sellar and parasellar neoplasm.
36
What is this showing
Spigelian (ventral) hernia - defect in aponeurosis of internal oblique and transverse abdominal muscles Posterolateral = bochdalek Anterior = morgagni
37
Non-smoking young patient with chronic cough and findings of obstructive lobar atelectasis - what is the likely cause?
Endobronchial tumor - most prevalent etiology of benign intraluminal mass is a carcinoid (neuroendocrine tumor)
38
What are the sentinel nodes that are affected in metastatic disease from the: 1) right testis 2) left testis
1) right testis - aortocaval chain at the level of 2nd lumbar vertebral body 2) left testis - left paraaortic nodal group just below left renal vein
39
What is vicarious excretion
Contrast excretion from non-renal source such as such as hepatobiliary (liver and gallbladder). If you see gallbladder opacification on radiograph, it usually indicates renal failure.
40
5 yo pt presenting with HA, ataxia and dizziness for 3 weeks. Likely diagnosis based on image?
Brainstem glioma- this is pontine glioma which is typically slow growing and have short clinical prodrome prior to diagnosis.
41
What sign is this and what does it indicate? Where is the pathology?
Focal hepatic hot spot sign - indicates increased contrast accumulation in the medial segment of the left hepatic lobe caused by superior vena cava obstruction (chest pathology). It signifies diversion of contrast into collaterals through the internal thoracic, superior epigastric, and inferior epigastric veins that communicate with paraumbilical veins around the umbilicus. The superior and inferior veins of Sappey are the chief paraumbilical veins that carry blood to the left lobe of the liver.
42
What is May Thurner syndrome
chronic compression of the left common iliac vein (CIV) against the lumbar vertebrae by the overlying right common iliac artery (CIA), with or without deep venous thrombosis
43
What does cavernous transformation of the portal vein mean
Replacement of normal single channel portal vein with numerous tortuous venous channels- this is sequela of portal vein thrombosis.
44
CT demonstrates: numerous vascular structures in the region of the portal vein, which is not seen. These vessels enhance during portal venous phase but not during arterial phase. What are you worried about?
Cavernous transformation of the portal vein due to portal vein thrombosis
45
What is May-Thurner syndrome
Chronic compression of left common iliac vein against the lumbar vertebra by the overlying RIGHT common iliac artery (with OR without deep venous thrombosis)
46
If you see tortuous cardiac vessels, what two pathologies should you think about?
Coronary artery fistula and ALCAPA (anomalous left coronary artery from pulmonary artery)
47
What does DIPNECH stand for and what is it?
(Findings include peripheral bronchial tumor-lets) Diffuse idiopathic pulmonary neuroendocrine cell hyperplasia (DIPNECH) is a rare pulmonary disorder that is characterized by diffuse hyperplasia of bronchiolar and bronchial pulmonary neuroendocrine cells.
48
What is the aortic nipple?
It’s seen in about 10% of PA chest x-rays on the lateral surface of the aortic arch/aortic knob. It represents the left superior intercostal vein.
49
Most common lung pathology with peribronchovascular cysts and nodules in ppl with Sjõgren's disease?
Lymphocytic Interstitial Pneumonitis (LIP) (features of autoimmune dz, common airway involvement, CT features of bronchovascular soft tissue thickening, GGO, nodules and cysts)
50
Is anterior or posterior sternoclavicular joint dislocation more common and which is more serious?
Anterior is more common, posterior is more serious
51
What is atoll pattern associated with?
Organizing pneumonia, septic emboli, mucormycosis. Atoll is focal ground glass opacity with peripheral ring of consolidation angioinvasive aspergillosis has HALO sign: ground glass opacity surrounding a pulmonary nodule or mass representing hemorrhage
52
What are some of the differentials for the image finding(s)?
Cerebral ring enhancing lesions: “MAGIC DR” or “MAGICAL DR” M: metastasis A: abscess G: glioblastoma I: infarct (subacute phase) or inflammatory (neurocysticercosis, tuberculoma) C: contusion D: demyelinating disease R: radiation necrosis or resolving hematoma magical A: AIDS-related CNS disease (toxoplasmosis or cryptococcosis) L: lymphoma (immunocompromised)
53
Two mechanisms associated with this medial orbit blowout fracture?
Hydraulic mechanism - causes outward fracture of the orbital wall due to increased intraorbital pressure from blow to the eye (more common) Buckling mechanism - fracture due to direct transmission of impact to the orbital walls.
54
What sign is being demonstrated on this CT scan and what does it represent?
Empty delta sign - on contrast-enhanced CT or contrast-enhanced T1 MR is due to enhancement of the dura surrounding nonenhancing thrombus .
55
What is the name of the posterolateral component of the jugular foramen * containing the vagus (CN10) and the spinal accessory (CN11) nerves?
Pars vascularis - The jugular foramen is divided by the jugular spine into a smaller anteromedial component, the pars nervosa (transmits CN9), and a larger posterolateral component, the pars vascularis (transmits CN10 & CN11). The pars vascularis also contains the jugular venous component of the jugular foramen. The term pars vascularis is somewhat of a misnomer in that it contains more nerves than pars nervosa.
56
50 year old female presents unconscious after cardiac arrest. What is the most likely diagnosis based on these imaging findings?
Hypoxic-ischemic encephalopathy - symmetric involvement of the basal ganglia and cerebral cortex with positive restricted diffusion in a patient with a history of cardiac arrest makes hypoxic-ischemic encephalopathy the correct diagnosis in this case.
57
Marker associated with autoimmune pancreatitis
IgG4
58
Most common cause of metastatic tumor to the gallbladder?
Malignant melanoma
59
Causes of caval tumor thrombus? (Like thrombus within the IVC)
Rcc Hcc Primary adrenal carcinoma
60
What feature favors an acute vs chronic DVT?
Vessel expansion
61
Is 1:10,000 (0.1 mg) the IV or IM dose?
Intravenous
62
Shortest oral steroid administration to prevent iodinated contrast reaction?
12 hours
63
Female presents with abdominal pain with normal CT 3 months prior. What is the likely diagnosis?
Small intestinal angioedema - edema into the submucosal space of the bowel wall following protein extravasation from "leaky" vessels. It can affect both the small and large bowel.
64
Male adult presents with chest pain. What is the diagnosis for these finding?
Pulmonary hypoplasia - hypoplasia of the right lung and decreased diameter of the right pulmonary artery.
65
What is the underlying etiology for the image findings?
Lithium induced nephropathy - microcalcifications within the microcysts in the renal medulla and cortex but otherwise normal size of the kidneys Would think of another etiology if the kidneys were atrophic.
66
Most common primary bone tumor in pediatric population / associated sign
Osteogenic sarcoma / codman triangle
67
Second most common malignant bone tumor / sign associated with it
Ewing sarcoma / onion skinning
68
Benign bone lesion that has localized pain at night relieved by nsaids / tx?
Osteoid osteoma / tx w radiofrequency ablation
69
Kid comes in with radiograph showing flattening of the femoral head but acetabulum looks ok. What is your running diagnosis?
Legg-calves-perthes
70
Differential for peripheral consolidation or ground glass
1. Organizing pneumonia 2. Chronic eosinophilic pneumonia (typically upper lobe predominant) 3. Pulmonary infarction
71
1 is a 2 is b 3 is e 4 is d 5 is f 6 is c
72
Normal organ uptake with Ga68?
Pituitary, spleen and kidneys
73
Syndrome associated with bronchiectatic atypical mycobacteria, classic picture of elderly woman with cough, low-grade fever and weight loss?
Lady Windermere syndrome
74
Organism associated with: 1. Ohio/Mississippi river valleys 2. Central and Southeastern US 3. Southwestern US
1. Histoplasma capsulatum 2. Blastomyces dermatitidis 3. Coccidioides immitis
75
Classic features of Covid-19 on imaging
Bilateral, dependent lower-lobe predominant ground glass opacities or consolidations
76
What is the most common fungal infection in AIDS pts with CD4 count less that what #?
Cryptococcus neoformans, CD4 count <100 cells/cc
77
What sign is associated with imaging findings in pt with allergic brochopulmonary aspergillosis? What does this sign represent?
Finger in glove sign - mucoid impaction of bronchiectasis
78
Sign associated with aspergilloma/mycetoma in pt with hx of pre-existing cavity such as sarcoid or TB?
Monod sign - air surrounding mycetoma
79
What is the sign associated with this image? Typically seen with what diagnosis?
Halo sign - ground glass opacity surrounding a pulmonary nodule or mass Seen typically with angioinvasive aspergillosis - represents pulmonary infarction surrounding by alveolar hemorrhage
80
Monod vs air crescent sign?
Crescent of air outlining mycetoma against wall of the cavity - air crescent is reserved for angioinvasive aspergillus
81
What sign is this image depicting and what diagnosis is it associated with?
Air crescent sign (crescent of air from retraction of infarcted lung) - associated with angioinvasive aspergillosis. Good prognosticator as it indicates patient is in recovery phase.
82
Where are Kerley B lines seen and what do they represent?
Peripheral lung - represent thickened interlobular septa in setting of pulmonary edema.
83
A superior sulcus tumor is automatically what stage?
Stage T3 tumor: >5 and <7 cm, or local invasion of the chest wall/pericardium/phrenic nerve/metastatic nodules to the same lobe
84
What is this sign and what does it represent?
Fleishner sign - widening of the pulmonary arteries due to clot.
85
The five classes of Pulmonary HTN
1. Primary arterial HTN 2. Pulmonary venous HTN 3. Chronic hypoxemia (COPD, ILD, sleep apnea) 4. Chronic thromboembolic disease 5. Misc (sarcoid, neoplasm, etc)
86
Most causative organisms for fibrosing mediastinitis
histoplasmosis and tuberculosis
87
Interstitial pna associated with basilar subpleural reticulation and honeycombing
UIP (usual interstitial pna). If immediate subpleural lung is spared, it is NOT UIP*
88
Interstitial pna associated with peribronchial reticulation, traction bronchiectasis and GGOs, responsive to steroids
NSIP (nonspecific interstitial pna)
89
What infective diagnosis do you associated with halo sign? What about reverse halo or atoll sign? What other lung pathology can be seen with reverse halo sign?
Halo sign is associated with invasive aspergillosis Reverse halo/atoll can be seen with organizing pneumonia (OP) or pulmonary infarct
90
Interstitial pna associated with UPPER lobe dominant centrilobular nodules?
RB-ILD (respiratory bronchiolitis - interstitial lung disease) Associated with smoking. ILD only if the pt is symptomatic.
91
Interstitial pna associated with LOWER lobe predominant ground glass opacities associated with smoking?
DIP (desquamative interstitial pneumonia) *alveoli are affected as opposed to relative sparing seen in UPPER lobe predominant RB-ILD
92
What is caplan syndrome?
Rheumatoid pneumoconiosis - pts with RA and either CWP (coal workers lung) or silicosis. Represents necrobiotic rheumatoid nodules superimposed on smaller centrilobular and subpleural nodules of pneumoconiosis
93
What is another name for simple pulmonary eosinophilia? What is the disease process?
Loffler syndrome; transient and migratory areas of focal consolidation with elevated eosinophil count in peripheral smear.
94
Difference in location for LCH (langerhans cell histiocytosis) and LAM (lymphangioleiomyomatosis) What about Birt-Hogg-Dube?
Both are cystic lung disease but LCH is upper-lobe predominant whereas LAM is diffuse BHD is lower-lung predominant cysts often subpleural or perivascular
95
AD genetic disorder caused by mutation in folliculin gene on chromosome 17p11.2?
Birt-Hogg-Dube; characterized by fibrofolliculomas (noncancerous skin lesions), renal tumors and renal/pulmonary cysts.
96
What sign is this and what structure is it?
Aortic nipple - left superior intercostal vein (LSIV). Can be dilated in setting of obstructed SVC as a collateral vessel.
97
Differentials for masses in the pre-vertebral space
Thymoma, germ cell tumor, lymphoma, thyroid goiter
98
What two conditions are associated with solitary fibrous tumor (also known as fibrous tumor of the pleura)?
Hypoglycemia (doge potter) and hypertrophic pulmonary osteoarthropathy
99
All smoking-related lung diseases
RB, RB-ILD, DIP, PLCH, emphysema
100
What protein is elevated in 75% of hepatocellular cancers? What subtype is the exception?
Alpha-feto protein (AFP) *hence why you regularly screen for HCC with serum AFP in pts with cirrhosis or chronic viral hepatitis Fibrolamellar carcinoma is a rare subtype of HCC that isn’t associated with elevated AFP
101
Fibrotic central scar that is T2 hypOintense on T2 MRI? What about hypERintense?
Hypointense T1/T2 MRI = fibrolamellar HCC HypERintense T2 = focal nodular hyperplasia
102
Hypervascular hepatic metastases (pneumonic MRCT):
Melanoma Renal cell Carcinoid/choriocarcinoma Thyroid
103
What sign is this image depicting and what is the associated diagnosis?
“Spoke wheel” sign - focal nodular hyperplasia (FNH) Depicts internal vascular architecture seen in FNH, with central centrifugal arterial vessels radiating from a central artery toward the periphery of the lesion, resembling a ''spoke wheel'
104
Hepatic lesion associate with OCPs
Hepatic adenoma (in females). Can be associated with steroid use in males.
105
What is budd-chiari liver dz
Hepatic venous outflow obstruction - either thrombotic or non-thrombotic
106
Differentials for pulsatile portal venous waveform? (Normal is non-pulsatile)
Tricuspid regurg and right-sided heart failure
107
What is it called when you have formation of multiple small periportal collateral vessels and what is it in the setting of?
cavernous transformation of the portal vein - occurs in setting of long-standing portal vein thrombosis
108
Portal venous gas is due to what until proven otherwise?
Bowel ischemic/infarction (on ultrasound shows as numerous tiny echogenic foci in branching pattern throughout the liver extending to the periphery)
109
What is hepatofugal flow?
Opposite flow of hepatic arteries and portal veins (normal is for both of them to flow Towards the liver (hepatopetal) flow, opposite is when portal vein flows away from the liver)
110
Diagnostic signs of portal HTN
Hepatofugal flow and recanalized paraumbilical vein
111
What upper and lower limits of normal intra-TIP velocity (in cm/s) is suggestive of TIPS stenosis?
>190 cm/s or <90 cm/s *low main portal vein velocity (<30 cm/s) is also suggestive of TIPs stenosis
112
What sign is this image depicting and what does it represent?
wall-echo-shadow sign ; describes a gallbladder full of multiple stones or one giant stone. Two parallel echogenic arcs represent gallbladder wall and leading edge of the stone (yellow) with an intervening thin layer of hypoechoic bile (red arrow).
113
What do you call a markedly dilated gallbladder and what is it caused by?
Courvoisier gallbladder - due to malignant obstruction of the common bile duct
114
What is caroli disease?
Type 5 choledochal cysts - saccular dilation of the intrahepatic bile ducts, which may be segmental or diffuse. Can also be associated with polycystic kidneys. *caroli syndrome is Caroli disease PLUS hepatic fibrosis
115
What is Mirizzi syndrome?
Inflammation and external compression of the common hepatic duct due to due stone in adjacent cystic duct. Inflammation can cause gallstone to erode into the CHD and cause cholecystocholedochal fistula and biliary obstruction.
116
The triad associated with cholangitis?
Charcots triad - fever, abdominal pain and jaundice
117
What is a klatskin tumor
Periductal cholangiocarcinoma: most often at the confluence of the right and left hepatic biliary ducts (p.GI 146)
118
Young guy who smokes with irregularly shaped cysts and centrilobular nodules on imaging you’re thinking what dz?
PLCH Bizarrely shaped cysts, fibrosis centrilobular nodules, upper-lobe predominant, smoking history
119
Which kind of renal ca is associated with Birt hogg dube?
Oncocytomas or chromophobe rcc
120
What two conditions are associated with solitary fibrous tumor?
1. Hypoglycemia 2. Hypertrophic pulmonary osteodystrophy Solitary fibrous tumor (also known as fibrous tumor of the pleura) is a focal pleural mass not related to asbestos or mesothelioma. 20-30% are malignant and all are excised.
121
What two conditions are associated with solitary fibrous tumor?
1. Hypoglycemia 2. Hypertrophic pulmonary osteodystrophy Solitary fibrous tumor (also known as fibrous tumor of the pleura) is a focal pleural mass not related to asbestos or mesothelioma. 20-30% are malignant and all are excised.
122
What is this image depicting?
Lymphangitic carcinomatosis - asymmetric, nodular septal thickening of right lung. Represents diffuse spread of neoplasm through the pulmonary lymphatics.
123
Free induction decay involves which mri sequence?
T2 (not T2*)
124
Free induction decay involves which mri sequence?
T2 (not T2*)
125
Gadolinium _____ T1 interactions and _____ T1 signal?
Increases, decreases (steeper slope and quicker to reach 63%)
126
The two types of right aortic arch
Right aortic arch with: - aberrant subclavian artery - mirror image branching (associated with congenital heart defects)
127
Two MOST important risk factors for breast cancer
female and advancing age
128
Normal basion-dens interval
8-9 mm
129
What is this sign and what does it mean
Hampton hump - refers to a dome-shaped, pleural-based opacification in the lung most commonly due to pulmonary embolism and lung infarction
130
Male with hiv presenting with facial swelling. Diagnosis?
Benign lymphoepithelial lesions (BLL or BLEL)
131
Patient presenting with facial swelling, diagnosis? Shows heterogeneous enhancement on post con with increased T2 signal
Pleomorphic adenomas of the salivary glands, also known as benign mixed tumors
132
Most common mass arising from parapharyngeal space
Pleomorphic adenoma - due to salivary tissue often found in this space
133
Most common endobronchial tumor in peds?
Carcinoid
134
Particle size for uterine artery embo and bronchiole embo
UAE: 500-700 micrometers Bronch: 300-500 micrometers
135
What is aberrant bronchial circulation?
Bronchial arteries that originate outside the area between the T5 and T6 vertebrae at the level of the major bronchi are considered anomalous or aberrant
136
What is the significance of the artery of Adamkiewicz?
The artery of Adamkiewicz is significant in that it is the only major arterial supply supplying the anterior spinal artery along the lower thoracic, lumbar, and sacral segments of the spinal cord.
137
Where does the artery of adamkiewicz arise from?
artery of Adamkiewicz typically arises from the left side of the aorta between T8 and L2 (usually T9 to T12)
138
Ddx for midline crossing lesions in brain?
Gbm Lymphoma Meningioma Radiation necrosis, deymyelination
139
Cortical based brain tumors? Pneumonic
Mnemonic (PDOG) P: pleomorphic xanthoastrocytoma D: dysembryoplastic neuroepithelial tumor (DNET); desmoplastic infantile astrocytoma and ganglioglioma O: oligodendroglioma G: ganglioglioma
140
Calcified glial tumors (pneumonic)
Mnemonic O: oligodendroglioma E: ependymoma A: astrocytoma G: glioblastoma
141
Hemorrhagic Mets (MRCT)
Mnemonic MR CT BB M: melanoma R: renal cell carcinoma C: choriocarcinoma T: thyroid carcinoma, teratoma B: bronchogenic carcinoma B: breast carcinoma
142
Eponym for classic seat belt injury
Chance fracture: a flexion-distraction injury where the anterior column is compressed and the posterior and middle columns are distracted
143