Pediatrics Flashcards

(1 cards)

1
Q

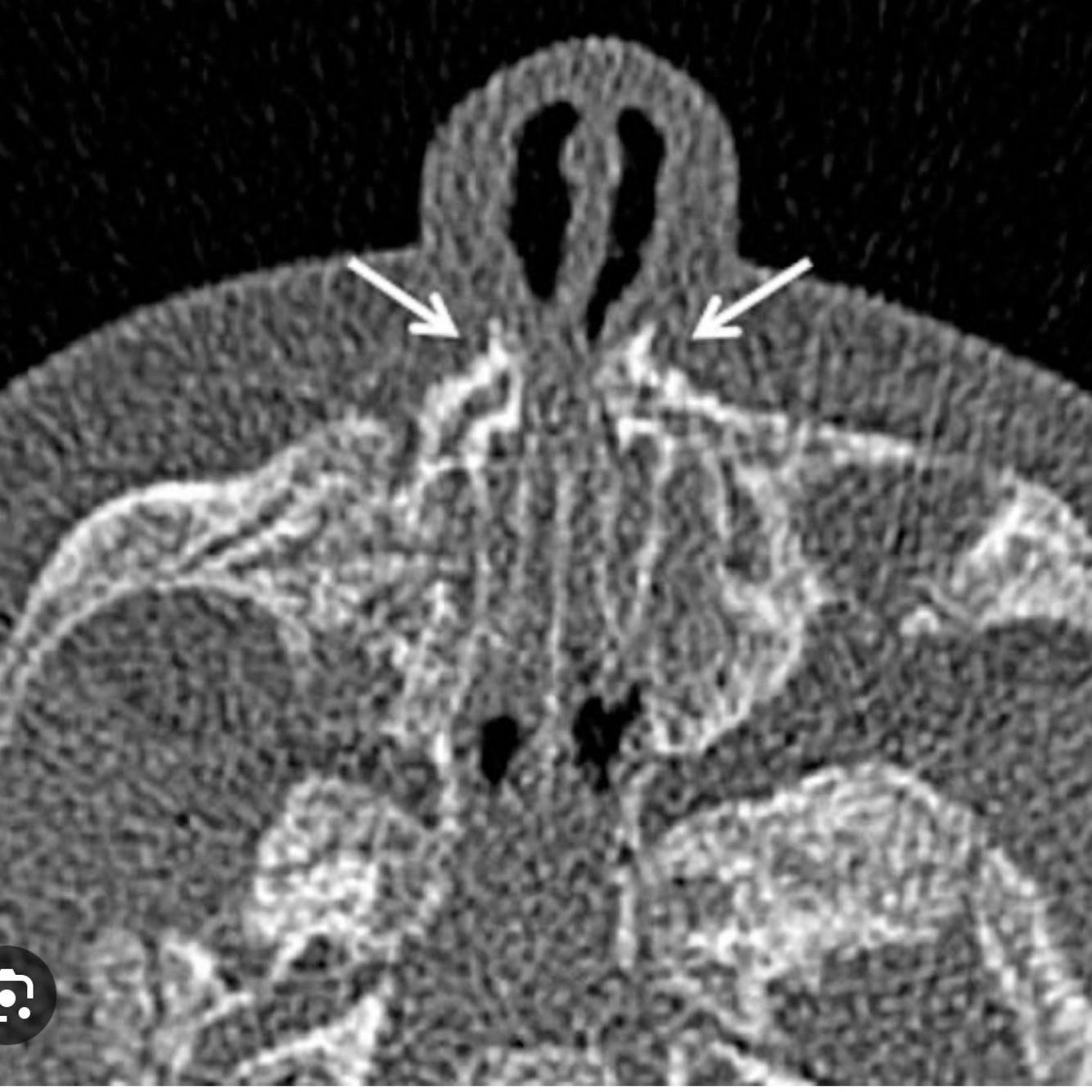
What is this and what is the other diagnosis

A

Pyriform aperture stenosis (PAS) is a very rare birth defect where the front opening of the nose is narrow due to an overgrowth in the upper jaw bone (anterior part)

Other is choanal atresia (posterior part)

How well did you know this?
1
Not at all
2
3
4
5
Perfectly