Ear Flashcards

(15 cards)

1
Q

contrast perilymph vs endolymph

A
  • perilymph:
    • fluid in the bony labryinth
    • resembles extracellular fluid (and CSF) in composition with high Na and low K
  • endolymph
    • fluid in the membranous labyrinth
    • similar in composition to intracellular fluid (low Na and high K)
How well did you know this?
1
Not at all
2
3
4
5
Perfectly
2
Q

describe the semicircular canal

A
  • the anterior, posterior and lateral semicircular canals are tubes within temporal bone (bony labyrinth)
  • attached to the vestibule by an expanded ampulla
  • the bony labyrinth is filled with perilymph
  • the membranous labyrinth within is semicircular duct
  • semicircular ducts contain endolymph
How well did you know this?
1
Not at all
2
3
4
5
Perfectly
3
Q

describe the vestibule

A
  • large irregular central cavity
  • has the oval and round windows on the lateral wall that lead inot the adjacent cochlear canal
  • represents the bony labyrinth
  • membranous labyrinth within are:
    • utricle
    • saccule
How well did you know this?
1
Not at all
2
3
4
5
Perfectly
4
Q

describe the cells of the membranous labyrinth

A
  • sensory hair cells
    • project into endolymphatic space
  • supporting cells
How well did you know this?
1
Not at all
2
3
4
5
Perfectly
5
Q

describe the hair cells of vestibular labyrinths

A
  • mechano-electric transducers
  • rigid projections on their apical surfaces = stereocilia
    • hair bundle = rows of stereocilia
    • made of actin filaments
  • increase in height in one particular direction
  • single true cilium = kinocilium
    • kinocilium is located behind the tallest row of stereocilia
    • microtubules found within
How well did you know this?
1
Not at all
2
3
4
5
Perfectly
6
Q
A
How well did you know this?
1
Not at all
2
3
4
5
Perfectly
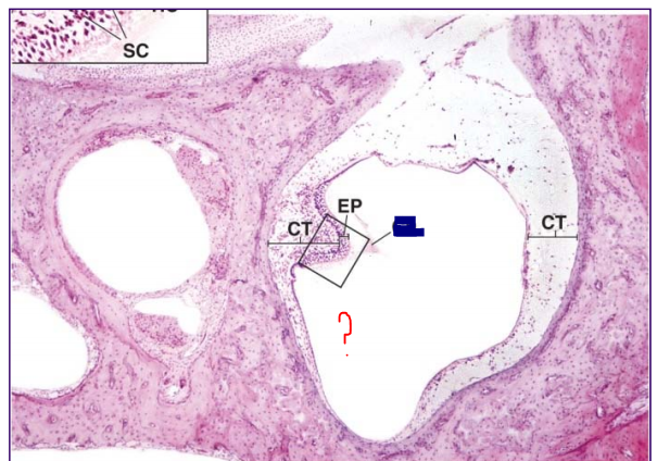
7
Q

describe the role of crista ampullaris in positioning

A

delfection of stereocilia during angular accleration of the head

How well did you know this?
1
Not at all
2
3
4
5
Perfectly
8
Q

describe maculae

A
  • contained within utricle and saccule
  • sensors of gravity and linear acceleration of head
  • cells of the epithelium face the endolymph
  • gelatinous polysaccharide material over the epi. - otolithic membrane (OM)
  • outer aspect of OM crystalline bodies of calcium carbonate and protein - otoconia
How well did you know this?
1
Not at all
2
3
4
5
Perfectly
9
Q

describe the function of maculae in positioning

A
  • deflection of stereocilia during linear acceleration of the head
    • head bent forward
How well did you know this?
1
Not at all
2
3
4
5
Perfectly
10
Q

describe the cochlear duct (membranous labyrinth)

A

contains the spiral organ of Corti which lies on the basilar membrane

  • vestibular membrane (Reissner’s): separates the scala media from the scala vestibule
  • stria vascularis: responsible for the ionic composition of the endolymph
  • organ of Corti (receptor for hearing): contains neuroepithelial hair cells - rests on the basilar membrane
How well did you know this?
1
Not at all
2
3
4
5
Perfectly
11
Q

describe the organ of Corti

A
  • presence of stereocilia
  • tips of these hair cells embedded in tectorial membrane
  • pillar cells occupies region between inner and outer hair cells, thus forming the inner tunnel
How well did you know this?
1
Not at all
2
3
4
5
Perfectly
12
Q
A
How well did you know this?
1
Not at all
2
3
4
5
Perfectly
13
Q
A
How well did you know this?
1
Not at all
2
3
4
5
Perfectly
14
Q
A
How well did you know this?
1
Not at all
2
3
4
5
Perfectly
15
Q

contrast conduction vs sensorineural deafness

A
  • conduction deafness
    • pathway of sound conduction is blocked
  • sensorineural deafness
    • destruction of nerve (sensory neuroepithelial) cells or central pathway to the brain
How well did you know this?
1
Not at all
2
3
4
5
Perfectly