Eye Flashcards

(34 cards)

1
Q

name the 3 layers of the eye

A
  • tunica externa/fibrosa
    • sclera + cornea
  • tunica media/vasculosa
    • choroid + ciliary body + iris (uvea)
  • tunica interna/nervosa
    • retina
How well did you know this?
1
Not at all
2
3
4
5
Perfectly
2
Q

describe the 3 modifications of the corneoscleral coat (part of the tunica fibrosa)

A
  • outermost layer of eye
  • 3 main modifications:
    • cornea - anterior
      • anterior 1/6th
      • transparent
      • convexity
    • substantia propria - middle
      • collagen fibers
      • vascular
    • area cribrosa - posterior
      • perforated for passage of optic nerve and retinal vessels
How well did you know this?
1
Not at all
2
3
4
5
Perfectly
3
Q

describe the cornea

A
  • forms the ant. surface of the eye in an area largely corresponding to the pigmented iris
  • avascular
  • transparent
  • richest sensory nerve supply
How well did you know this?
1
Not at all
2
3
4
5
Perfectly
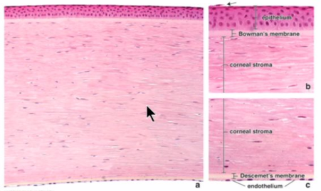
4
Q

describe the epithelium and stroma of the cornea

A
  • anterior corneal epithelium
    • stratified squamous epi.
    • microvilli on most superficial cells (vermiform ridges)
    • basal cells mitotic activity
    • regeneration ~7 days
    • free nerve endings
  • Bowman’s membrane
    • homogenous collagen fibers
    • provides stability and strength
    • does not regenerate
  • corneal stroma
    • oriented at right angles to each other
    • fibroblasts - keratocytes - flattened end to end
    • keratin and chondroitin sulfates
How well did you know this?
1
Not at all
2
3
4
5
Perfectly
5
Q
A
How well did you know this?
1
Not at all
2
3
4
5
Perfectly
6
Q

describe the endothelium of the cornea

A
  • Descement’s membrane
    • homogenous collagen filaments
    • meshwork of collagen
    • fenestrations
  • posterior corneal endothelium
    • simple squamous cells
    • abundant Na pumps
    • mantains optimum hydration of corneal stroma
How well did you know this?
1
Not at all
2
3
4
5
Perfectly
7
Q

describe the sclera

A
  • dense CT: extension of dura
  • collagen (type I) + elastic fibers
  • 3 layers:
    • episcleral layer
    • substantia propria
    • suprachoroidal lamina
  • Tenon’s space: between episcleral layer and substantia propria
  • site of attachment of the ocular muscles
  • posteriorly - area cribrosa
    • perforated for the exit of optic nerve fibers and entry of central retinal vessels
How well did you know this?
1
Not at all
2
3
4
5
Perfectly
8
Q

describe the choroid

A
  • function:
    • absorption of stray light
    • blood retinal barrier
  • choroid proper:
    • presence of large blood vessels
    • melanocytes
  • choroid capillary layer
    • fenestrated capillaries
  • Bruch’s membrane:
    • between choroid and retinal pigment layer
    • component of blood retinal barrier
How well did you know this?
1
Not at all
2
3
4
5
Perfectly
9
Q
A
How well did you know this?
1
Not at all
2
3
4
5
Perfectly
10
Q

describe the ciliary body

A
  • consists of:
    • ciliary muscles
    • ciliary processes
  • ciliary muscle: smooth muscle
    • orientation of muscles - radial and circular
    • contraction and relaxation changes the shape of lens (bulges and flattens)
    • near and distant vision - accomodation
    • innervated by ciliary nerves
How well did you know this?
1
Not at all
2
3
4
5
Perfectly
11
Q

descirbe ciliary processes

A
  • functions:
    • provides attachment to the capsule of lens by means of zonule fibers (anchorage of lens) called ligaments of Zinn
      • zonule fibers - elastic (oxytalan) fibers
    • secretion of aqueous humor (non-pigmented epithelium)
    • characterized by the presence of fenestrated capillaries
How well did you know this?
1
Not at all
2
3
4
5
Perfectly
12
Q
A
How well did you know this?
1
Not at all
2
3
4
5
Perfectly
13
Q
A
How well did you know this?
1
Not at all
2
3
4
5
Perfectly
14
Q

describe the anterior surface of the iris

A
  • irregular contour
  • lined by epithelial cells, stellate fibroblasts and stellate melanocytes
  • stroma - collagen, fibroblasts and melanocytes
How well did you know this?
1
Not at all
2
3
4
5
Perfectly
15
Q

describe the posterior surface of the iris

A
  • lined by 2 layers of epithelium back to back
    • inner (posterior) epithelium: pigmented (continuation of retinal pigmented epithelium)
    • outer epithelium: pigmented myoepithelial cells (which make up dilator pupillae muscle)
How well did you know this?
1
Not at all
2
3
4
5
Perfectly
16
Q

describe the drainage of aqueous humor

A

sclerocorneal junction

  • spaces of Fontana -> canal of Schlemm -> aqueous humor is drained into ciliary veins
17
Q

describe the retina (tunica nervosa)

A
  • derived from ectoderm
  • 2 basic layers:
    • outer retinal pigment epi. (non-sensory)
    • inner sensory retina or neural retina
  • junction of these 2 = ora serrata (runs around the periphery)
18
Q

describe the pigmental epithelial layer of the retina

A
  • single layer of cuboidal cells
  • synthesize melanin
  • adjacent cells - connected by a junctional complex
  • abundant microvilli which surround and phagocytose shed discs of rods and cones
  • establish blood retinal barrier
  • esterification of vit. A
19
Q

describe the outer vs inner segment of photoreceptors

A
  • outer segment:
    • light sensitive photoreceptor discs
    • the flattened membranous disk contains the photosensitive pigments
    • tips that contain disks are embedded within microvilli of pigment epithelial cells
  • inner segments:
    • cell organelles
    • metabolic processing
20
Q

describe rods

A

~120 million

  • cylindrical outer segment
  • the flattened disks - visual pruple or rhodopsin (opsin -scotopsin)
  • opsin + chromatophore (vit. A derived carotenoid -> retinal)
  • activated when low levels of light are encountered
  • black and white vision
21
Q

describe cones

A

~7 million

  • thicker and shorter
  • conical outer segment
  • discs - contain pigment iodopsin (opsin - photopsin)
  • sensitive only to light - better visual acuity
22
Q

describe the bipolar cells of the retina

A
  • extend between inner and outer plexiform layers
  • axons synapse with several ganglion cells
  • this helps in communication with multiple cells
  • in fovea, one bipolar to one ganglion cell -> increase visual acuity
23
Q

describe the layers of the retina

24
Q

describe the blood supply to the retina

A
  • chorio capillaries supply layers 1-5 by diffusion
  • central retinal artery supplies layers 6-10 as capillaries
25
describe the optic disc
* site where optic nerve emerges from the retina * it is also called as the blind spot since it is devoid of rods and cones
26
27
describe the macula lutea and fovea centralis
* macula lutea * center of the posterior retina at the visual axis of the eye * fovea centralis * small depression in the center of the macula lutea * area of the highest visual acuity * contains only cones
28
29
describe the 3 components of the lens
* lens capsule * thick basal lamina * produced by anterior lens cells * subcapsular epi. * single layer of cuboidal epi. cells * found only on the ant. surface of the lens * source of lens fibers * lens fibers * thin flattened structures * lose the organelles and accumulate crystallins (proteins)
30
describe the vitreous body
* located between lens and retina * viscous translucent material * spindle-shapred cells = **hyalocytes** * fine collagen fibrils in the matrix * extracellular matrix rich in GAGs, especially hyaluronic acid
31
describe the glands of the eyelid
* Meibomian glands * sebaceous within tarsal plate * lubricates - delays drying of tears * Glands of Zeiss * sebaceous glands within the eyelids * Glands of Moll * sweat glands at the lid margins
32
describe an advantage of corneal transplant
avascular feature of cornea means minimal immunological response
33
describe formation of cataracts
* the lens is mostly made of water and protein * the protein, crystallin, is arranged in a precise way that keeps the lens clear * **aging leads to clumping of the protein -\> cloudy appearance**
34
name the most common location of retinal detachment
most common detachment occurs at the junction of pigment epithelial layer and the rods & cones layer