Lämplig status?
Status
Lämpligt göra härnäst?
Gastroskopi
Har en släkting med hyperparatyroidism. Mot bakgrund att man påvisat ulcussjukdom utan tecken till infektion med H. pylori rekapituleras anamnesen avseende medicinering. Christina förnekar intag av acetylsalicylsyra eller NSAID.
Christina blir insatt på Esomeprazol 40 mg x 2. Innan hon påbörjar behandlingen tas kompletterande blodprover, vilka då?
fS-gastrin
P-calcium joniserat
S-PTH
Nästan alla patienter med MEN 1 har vid 30 års ålder utvecklat vad?
Hyperparatyroidism
Orsaker till hypergastrinemi?
Vad är mekanismen bakom att omeprazol ger hypergastrinemi?
Vad vill denna grekiska bild förmedla?

Dessa kan producera histamin

Linda, 21 år, återkommande buksmärtor. Omväxlande hård och lös i magen. Röker 2-3 cigaretter per dag. Stressad på grund av tentaångest. Avföringen på slutet mer lös än vanligt och slemmig men inget blod. Mamman har rematoid artrit och hypertoni. Pappan dog i coloncancer 52 år gammal.
Tolka proverna

Linda, 21 år, återkommande buksmärtor. Omväxlande hård och lös i magen. Röker 2-3 cigaretter per dag. Stressad på grund av tentaångest. Avföringen på slutet mer lös än vanligt och slemmig men inget blod. Mamman har rematoid artrit och hypertoni. Pappan dog i coloncancer 52 år gammal.
Vad är lämpligt nästa steg i processen?

Koloskopi
Rektum, sigmoideum, descendens, transversum och sista delen av ascendens är makroskopiskt normala. I första delen av ascendens och cekum är slemhinnan kraftigt inflammerad och har ett närmast gatstensliknande mönster. Slemhinnan i sista delen av ileum (bilden) är rodnad, svullen och lättblödande med talrika petekier. Det finns dessutom ett fibrinbelagt sår, ca 0.5 x 1.5 cm. Efter cirka 10 centimeter in i ileum är slemhinnan normal

Vad tyder denna makroskopiska bild på?
Bedöm biopsin

Cecilia, 60 årig rökare, söker pga. lös, vattnig avföring sedan fyra veckor. Plötsliga besvär. Har börjat äta loperamid med begränsad effekt och nu vill hon ha hjälp. Hon vill inte leva med att behöva springa till toaletten 8–10 gånger dagligen och även nattetid.
Lättare buksmärtor, diffusa och molande och kan komma när som helst. Gått ner 3,5 kg i vikt men hon vet inte om det beror på den vattniga diarrén eller pga. att hon har ätit mindre för att hålla diarrén i schack. Sen symptomstart också trötthet som är svårförklarad.
Har celiaki och inte ”slarvat” med dieten. Relativt frisk i övrigt, förutom att hon står på omeprazol pga. sura uppstötningar och hon använder ibuprofen (NSAID) när hon ibland har ont i lederna. Modern hade hypertyreos. Cecilias 30-åriga son är frisk.
Tiden innan symtomen började var stressig. Hennes mor dog efter en längre period av svår sjukdom. Cecilia var nästan dagligen hos henne och hjälpte till på bästa sätt. Det var psykiskt påfrestande.
Vilka prover vill du ta?

Cecilia, 60 årig rökare, söker pga. lös, vattnig avföring sedan fyra veckor. Plötsliga besvär. Har börjat äta loperamid med begränsad effekt och nu vill hon ha hjälp. Hon vill inte leva med att behöva springa till toaletten 8–10 gånger dagligen och även nattetid.
Lättare buksmärtor, diffusa och molande och kan komma när som helst. Gått ner 3,5 kg i vikt men hon vet inte om det beror på den vattniga diarrén eller pga. att hon har ätit mindre för att hålla diarrén i schack. Sen symptomstart också trötthet som är svårförklarad.
Har celiaki och inte ”slarvat” med dieten. Relativt frisk i övrigt, förutom att hon står på omeprazol pga. sura uppstötningar och hon använder ibuprofen (NSAID) när hon ibland har ont i lederna. Modern hade hypertyreos. Cecilias 30-åriga son är frisk.
Tiden innan symtomen började var stressig. Hennes mor dog efter en längre period av svår sjukdom. Cecilia var nästan dagligen hos henne och hjälpte till på bästa sätt. Det var psykiskt påfrestande.
Hur vill då gå vidare i utredningen och varför?

Vad kallas systemet?

Marsh
Okej så kvinnan med celiaki sköter tydligen sin kost och sjukdomen är i remission. Esofagogastroduodenoskopi visar inget avvikande. Men hon har fortsatta besvär med diarréer. Vad göra nu?
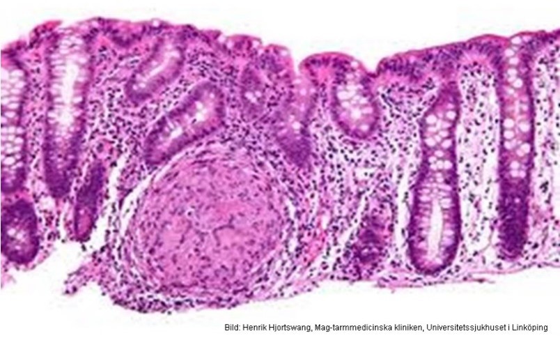
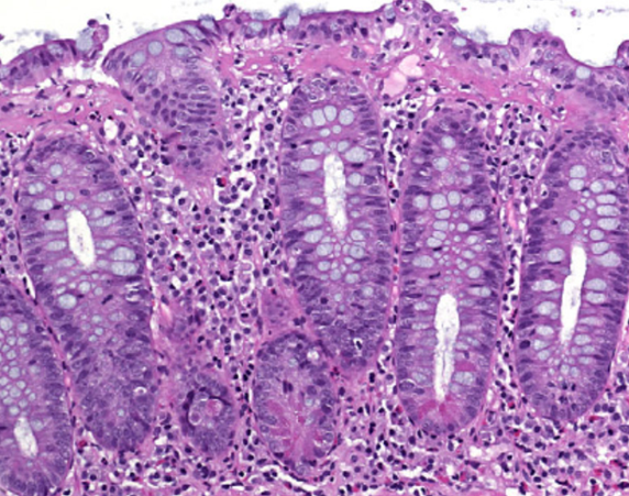
Vad visar kolonbiopsin?

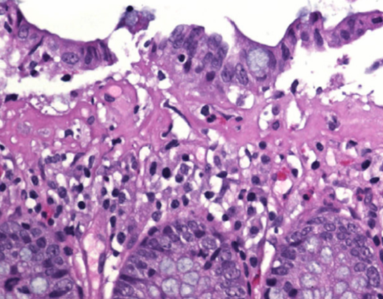
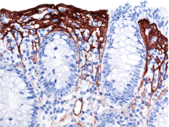
Vad ser du på den uppförstorade biopsin?

Vad ser du på den uppförstorade biopsin?

Diagnoskriterier för funktionell dyspepsi?
Vad kan vara lämpliga prover för att utesluta organisk sjukdom vid misstanke om ex funktionell dyspepsi och IBS?
Till vilken sjukdom kopplas ofta dessa besvär?
Funktionell dyspepsi
Vad kan delvis ligga bakom funktionell dyspepsi?
Vad förklarar upp till 25 % av incidiensen vid IBS?
Genetik
Kennet som har IBS och funktionell dyspepsi har också symptom av klumpkänsla i halsen, hur kan detta förklaras?