EDIT Flashcards

(11 cards)

1
Q

Vad visar detta EKG som är taget i vila hos en man som kommit in på grund av smärta i bröstet vid ansträngning?

Bör vi gå vidare?

A

Det ser normalt ut

Ja vi bör gå vidare eftersom bröstsmärtorna kommit vid ansträngning så bör vi göra arbets-EKG för att se om det förändras

How well did you know this?
1
Not at all
2
3
4
5
Perfectly
2
Q

Vad kan du utläsa av detta?

A

Inte så mkt

Arbetsförmågan är normal. Patienten avbröt provet pga. allmän trötthet och fick ingen bröstsmärta. Normal blodtrycksstegring under arbete. Ett fåtal, enstaka VES registreras under arbete.

How well did you know this?
1
Not at all
2
3
4
5
Perfectly
3
Q

Vad kan du utläsa av detta?

A

Angina pectoris

I vila inga ST- T- förändringar. Under arbete ses en successivt ökande ST- sänkning över vänster kammare (tyder på koronar insufficiens). Sänkningen är platåformad och uppgår till mer än 2 mm (0.2 mV) i V5 och V6 på högsta belastningen (men ses ju även under II och aVF). Efter arbete går ST- sänkningen i regress men 6 minuter efter arbetet ses en accentuerad formförändring och T- negativitet i vänstersidiga bröstavledningar. EKG-reaktionen är patologisk och är förenlig med coronarinsufficiens.

How well did you know this?
1
Not at all
2
3
4
5
Perfectly
4
Q

Vad kan du utläsa av detta?

A

Angina pectoris

I vila inga ST- T- förändringar. Under arbete ses en successivt ökande ST- sänkning över vänster kammare (tyder på koronar insufficiens). Sänkningen är platåformad och uppgår till mer än 2 mm (0.2 mV) i V5 och V6 på högsta belastningen. Efter arbete går ST- sänkningen i regress men 6 minuter efter arbetet ses en accentuerad formförändring och T- negativitet i vänstersidiga bröstavledningar. EKG-reaktionen är patologisk och är förenlig med coronarinsufficiens.

How well did you know this?
1
Not at all
2
3
4
5
Perfectly
5
Q

Vad kan du utläsa av denna?

A

Notera stor ST-höjning i V2, V3

How well did you know this?
1
Not at all
2
3
4
5
Perfectly
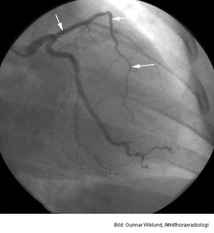
6
Q

Vad ser du här och vad kan göras åt detta?

A

Proximal ocklusion i vänstra främre nedåtgående koronarkärlet (left anterior descending coronary artery, LAD). Högerkärlet visar flera smärre förändringar men inga signifikanta stenoser.

PCI kan genomföras (ballongsprängning) och ett stent kan läggas in i proximala LAD

How well did you know this?
1
Not at all
2
3
4
5
Perfectly
7
Q

Vad vill vi förmedla med denna bild?

A

En ST-höjning som har gått i regress

How well did you know this?
1
Not at all
2
3
4
5
Perfectly
8
Q

Vad visar EKG?

A

Förmaksflimmer med snabb kammarfrekvens. QS komplex anteroseptalt och inferiort talar för genomgågna infarkter. Laterala ST-T förändringar.

How well did you know this?
1
Not at all
2
3
4
5
Perfectly
9
Q

Vad visar EKG?

A

Breda P-vågor kan tyda på förstorat vänster förmak (ökar risken för förmaksflimmer)

How well did you know this?
1
Not at all
2
3
4
5
Perfectly
10
Q

Bedöm!

A
  • Normofrekvent sinusrytm med normala p-vågor. Vertikalställd elaxel. Normala QRS-komplex. Närmast generell ST-höjning (V3-V6, -aVR - III) med bibehållen normal form på ST-sträckan och normala T-vågor.
  • Förenligt med en peri(myo)kardit
How well did you know this?
1
Not at all
2
3
4
5
Perfectly
11
Q

Bedöm!

A
  • Sinusrytm. Normala QRS-komplex. ST-höjningarna kvarstår delvis men T-vågorna har blivit difasiska till negativa främst i laterala bröstavledningar. Förloppet är vanligt för en peri- (myo-)kardit, utan utveckling av Q-vågor eller förändringar i QRS-komplexet, men med utveckling av T-negativitet.
How well did you know this?
1
Not at all
2
3
4
5
Perfectly