Elbow Flashcards

(84 cards)

1
Q

Normal arc of motion of the elbow?
If less than 90-100 of flexion what is most likely to be contracted?
Which is worse, flexion or extension deficits?
How to address post traumatic contracture of the elbow?

A

30° - 130° (extension-flexion) most activities require a 100 degree arc of motion at the elbow to be functional a 30 degree loss of extension is well tolerated by most patients

50° - 50° (pronation/supination)

if less than 90-100° of flexion, posterior band of MCL is likely contracted and should be released

flexion loss causes more dysfunction than extension loss

Addressing flexion in a post-traumatic contracture of the elbow requires releasing the posterior oblique ligament (or band) of the medial ulnar collateral complex.

The medial ulnar collateral ligament is one of the primary static stabilizers of the elbow and is composed of three parts: anterior, posterior and transverse. The MCL provides resistance to valgus and distractive stresses. The anterior oblique fibers (of the anterior bundle) are the most important against valgus stresses. The posterior bundle is involved elbow contractures and releasing it can yield significant flexion gains, without creating valgus instabilit

How well did you know this?
1
Not at all
2
3
4
5
Perfectly
2
Q

Primary stabilzers to the elbow:

A

Primary stabilizers:
* * anterior band of MCL: anterior oblique fibers most important, stabilizes to both valgus and distraction forces
* LCL
* articular congruity between the olecranon, coronoid, and trochlea

Secondary Stabilizers:
* radial head: most important, 30% of valgus stability, most important in 0-30 of flexion/extension
* capsule: primary trestraint to distraction forces in full extension
* anconeus, and lateral capsule: stabilizer to varus force

How well did you know this?
1
Not at all
2
3
4
5
Perfectly
3
Q

In addition to capsular release what needs to be release surgically in a elbow contracture

A

The posterior band of the MCL is attached dorsal to the axis of rotation and has greater variation in length. It increases in length by 9 mm between 60° and 120° of flexion. Posterior band contracture leads to loss of elbow flexion. In contrast, the anterior band of the MCL (AMCL) maintains a constant length (isometric) throughout the entire arc of movement. Anterior capsule contracture leads to loss of extension.

The posterior bundle is a fan-like thickening of the capsule that becomes taut as the elbow flexes well past 90 degrees and exhibits the most change in tension from flexion to extension.

How well did you know this?
1
Not at all
2
3
4
5
Perfectly
4
Q

Javelin thrower with torn ulnar collateral ligament (UCL) which has 3 bundles, the most important of which is the ?. The ? provides the primary valgus restraint to the elbow from ?.

A

torn ulnar collateral ligament (UCL) which has 3 bundles, the most important of which is the** anterior oblique ligament**. The anterior oblique ligament provides the primary valgus restraint to the elbow from 30-120º of flexion.

How well did you know this?
1
Not at all
2
3
4
5
Perfectly
5
Q

Medial Ulnar Collateral ligament injuries:
who’s at risk? RF? Physical exam? What would MRI show?

A
  • microtrauma from** repitive valgus stress** leads to rupture of the anterior band of medial UCL
  • overhead athletes that place a valgus stress on their elbows (pitchers, javelin throwers)
  • Higher pitch velocity, pitch count in youth baseball, deficits in kinetic chain
    * UCL primary restraint to valgus stress from 30 to 120 degrees of flexion
  • MRI findings are helpful in confirming a UCL tear when suspected on physical exam. The “capsular T-sign” can be seen on MRI arthrogram in these patients, which is when contrast extravasates through the tear.

Medial Ulnar Collateral Ligament Injuries are characterized by attenuation or rupture of the ulnar collateral ligament of the elbow leading to valgus instability in overhead throwing athletes. Diagnosis is usually made by a combination of physical exam and MRI studies. Treatment for most individuals is rest and physical therapy. Surgery is reserved for high level overhead athletes such as pitchers.

How well did you know this?
1
Not at all
2
3
4
5
Perfectly
6
Q

valgus load on the medial ucl increases with and decreases with? Valgus load is highest in what phase of pitch?

A
  • elbow valgus load increases with poor throwing mechanics and decreases with trunk-scapular kinesis, forearm pronation, dynamic flexor-pronator stabilization
  • late cocking/acceleration phase of throwing
  • UCL primary restraint to valgus stress from 30 to 120 degrees of flexion
How well did you know this?
1
Not at all
2
3
4
5
Perfectly
7
Q

Medical ulnar collateral ligament, what are the 3 components and function?

A

AOL. POL. transverse ligament
Anterior oblique ligament: strongest most significant stabilizer to valgus stress.
- Anterior band: anterior band is primary restraint to valgus stress, exhibiting nearly isometric strain during elbow ROM. Primary restraint full extension to 85 degrees of flexion
- Posterior band: posterior band exhibits increasing strain during higher degrees of elbow flexion

Posterior oblique ligament: tight in flexion, important for valgus stability beyond 90 degrees of flexion

The transverse band plays no role in joint stability because it originates and inserts on the same bone.

UCL primary restraint to valgus stress from 30 to 120 degrees of flexion
at 25 degrees flexion the olecranon is unlocked from its fossa and the ulnar collateral ligament becomes the most important stabilizer. The posterior bundle is a fan-like thickening of the capsule that becomes taut as the elbow flexes well past 90 degrees and exhibits the most change in tension from flexion to extension.

How well did you know this?
1
Not at all
2
3
4
5
Perfectly
8
Q

What structure provides the most static stability for valgus restraint in the elbow?

A

The anterior band of the ulnar collateral ligament provides the greatest restraint to valgus stress in the elbow. The posterior band is taut in flexion and resists stress between 60 degrees and full flexion. The annular ligament stabilizes the radial head. The flexor/pronator mass are important dynamic stabilizers of the medial elbow.

The anterior band of the anterior bundle is the only portion of the ligament that remains essentially isometric.

How well did you know this?
1
Not at all
2
3
4
5
Perfectly
9
Q

Valgus stability of the elbow is primary provided by the ?, with the? acting as a secondary stabilizer, and the ? is a dynamic stabilizer

A

Valgus stability of the elbow is primary provided by the UCL, with the radiocapitellar joint acting as a secondary stabilizer, and the flexor-pronator mass is a dynamic stabilizer

The anterior band of the anterior bundle is the only portion of the ligament that remains essentially isometric.

How well did you know this?
1
Not at all
2
3
4
5
Perfectly
10
Q

How to test for medial UCL instability/pain?

A

Moving valgus test: abduction of the shoulder to 90°. A valgus force is applied to the elbow, and the elbow is then brought quickly through a complete arc from flexion to full extension. Pain experienced at 70° to 120° of this arc may indicate symptomatic insufficiency of the medial collateral ligament

milking maneuver, performed with a valgus stress on the elbow with the forearm supinated and the elbow flexed around 90 degrees

How well did you know this?
1
Not at all
2
3
4
5
Perfectly
11
Q

MR arthrogram in a pitcher what is this finding? Tx?

A

Ruputure of the medial collateral ligament. Medial UCL injury, full-thickness or partial undersurface tears capsular “T-sign” with contrast extravasation.
Rest, cessation from throwin for 6 weeks. 6 weeks and symptoms/pain have resolved) progressive return to throwing program

How well did you know this?
1
Not at all
2
3
4
5
Perfectly
12
Q

Tx for medial ucl injuries: non op vs surgery? Complication of surgery?

red dashed line is the anterior band of the anterior bundle, the dotted black line is the posterior band of the anterior bundle, the blue dotted line is the posterior bundle, and the yellow dotted line is the transverse bundle

A

Rest, cessation from throwin for 6 weeks. 6 weeks and symptoms/pain have resolved) progressive return to throwing program. 42% return to preinjury level of sporting activity at an average of 24 weeks

Tommy John Surgery: UCL anterior band ligament reconstruction for high-level throwers that want to continue competitive sports. 90% return to preinjury levels.

complication? Transient ulnar nerve neuropraxia remains the most common complication following medial ulnar collateral ligament (MUCL) reconstruction. The ulnar nerve is found between the FCU and FDP muscles in the forearm.

The docking technique for ulnar collateral ligament reconstruction (UCLR) has been shown to have higher rates of return to play and a lower risk of complications when compared to the original Jobe technique. Illustration A shows four commonly used UCLR techniques including (A) Jobe Technique, (B) Docking technique, (C) The David Altchek, Neal ElAttrache Tommy John technique, and (D) Dual Interference Screw technique.

How well did you know this?
1
Not at all
2
3
4
5
Perfectly
13
Q

Valgus extension overload (pitchers elbow)

A

Posteromedial elbow pain related to repetitive microtrauma in throwing athletes.

deceleration / follow-through phase of pitching

radiographs or advanced imaging showing osteophyte formation on theposteromedial olecranon.

First line treatment is nonoperative with rest, activity modifications, and injections. Operative resection of osteophytes and loose bodies are indicated in patients with persistent symptoms.

complications of surgery:
Valgus instability: over resectionof posterior medial ostophyte bast its native marge or more than 3 mm leads to increased stress on MCL and valgus instability,
ulnar nerve injury

concurrent cubital tunnel syndrome in ~25% of cases

How well did you know this?
1
Not at all
2
3
4
5
Perfectly
14
Q

Little League elbow:
3 potential sites of injury?
Path?

A
  • Medial epicondyle stress fx; UCL injury, flexor pronator mass strains.
  • Repetitive valgus loads w/ throwing on immature skeletal casing tension overload on medial structures.
  • RF 80 pitches again, 8 months of playing, 85 mph, continued pitching.
How well did you know this?
1
Not at all
2
3
4
5
Perfectly
15
Q

Lateral Ulnar Collateral Ligament Injury (PLRI)
associated with?
L UCL is the primary stabilizer to?

A
  • associated with a traumatic elbow dislocation, and characterized by posterolateral subluxation or dislocation of the radiocapitellar and ulnohumeral joints.
  • supination, axial loading, valgus (posterolateral) stress, and elbow extension causes progressive failure of the lateral collateral ligament complex and anterior capsule, resulting posterolateral subluxation of the radial head and external rotation of the semilunar notch away from trochlea
  • L UCL primary stabilizer to varus & ER stress
How well did you know this?
1
Not at all
2
3
4
5
Perfectly
16
Q

L UCL injury symptoms

A

most often from traumatic elbow dislocation, supination, axial loads, valus (posterolateral stress)

Exam: pain, clicki/catching with elbow extension, pushing off from arm chair. TTP over LUCL, varus instability.

Lateral pivot shift test

How well did you know this?
1
Not at all
2
3
4
5
Perfectly
17
Q

Varus Posteromedial Rotary Instability vs Valagus Posterolateral Instability

A
How well did you know this?
1
Not at all
2
3
4
5
Perfectly
18
Q

Tx for acute elbow reduction:
LCL disrupted, but MCL intact?
LCL + MCL disrupted?

A

acute reduction followed by immobilization at 90° flexion for 5-7 days
LCL disrupted, but MCL intact? splint in full pronation
LCL + MCL splint in neutral

Simple posterolateral elbow dislocations often have concurrent lateral ligament injury and should be splinted in full pronation in order to tighten the lateral-sided ligaments. Injury to the MCL in isolation is very unlikely, therefore splinting in full supination is not recommended.

How well did you know this?
1
Not at all
2
3
4
5
Perfectly
19
Q

A 20-year-old collegiate volleyball player has vague left, nondominant elbow pain. Five years ago, he sustained a dislocation of the same joint and, while he could participate in his sport, he notes that the elbow ‘never felt quite right.The pain is not severe but prevents him from playing sports and he cannot localize the pain to any specific location. Occasionally he will perceive a catching when pushing himself out of a chair but the elbow never locks in one position. Examination reveals full passive and active range of motion in flexion, extension, supination, and pronation. There is tenderness of the lateral elbow during elbow extension with the forearm supinated and a momentary painful clunk is noted. Radiographs and MRI scans are normal. What is the most likely instability?

A

Posterolateral rotatory instability of the elbow is seen in athletes and frequently follows a previous injury such as a dislocation where the lateral ulnar collateral ligament becomes weakened and attenuated. The ulna supinates away from the humerus and the radius subluxates posteriorly on the capitellum with the forearm supinated and the elbow in extension.

How well did you know this?
1
Not at all
2
3
4
5
Perfectly
20
Q

AAOS elbow instability:
Posteromedial rotatory
Posterolateral rotator
Valgus
Varus
Longitudinal forearm

A

Posterolateral rotatory instability of the elbow is seen in athletes and frequently follows a previous injury such as a dislocation where the lateral ulnar collateral ligament becomes weakened and attenuated. The ulna supinates away from the humerus and the radius subluxates posteriorly on the capitellum with the forearm supinated and the elbow in extension.

Posteromedial rotatory instability is more often seen in association with fracture of the coronoid process following a varus stress to the elbow.

Valgus instability occurs due to an injury to the medial ulnar collateral ligament seen most commonly in throwers from overuse.

Varus instability is rare but results in lateral gapping of the elbow.

Longitudinal forearm instability is seen after an Essex-Lopresti injury.

How well did you know this?
1
Not at all
2
3
4
5
Perfectly
21
Q

A 45-year-old tennis player undergoes surgery for chronic lateral epicondylitis. After returning to play, he notes increasing lateral elbow pain with mechanical catching and locking. Examination shows positive supine posterolateral rotatory instability. What ligament has been injured?

A

LUCL

The patient has sustained an iatrogenic injury to the lateral ulnar collateral ligament. This injury has been reported after lateral approaches to the elbow. The orbicular, annular, and lateral radial collateral ligaments have a much less important role in lateral elbow stability. The anterior band of the ulnar collateral ligament is on the medial side of the elbow and is important for valgus stability.

How well did you know this?
1
Not at all
2
3
4
5
Perfectly
22
Q

Distal Biceps rupture:
RF? How does it occur? What is the lacertus fibrosus? Exam? What strength is lost?
Approach? What artery crosses the field.

A
  • sudden eccentric contraction of biceps brachii (arm flexed and forced into extended position)
  • RF: anabolic steroids, smoking 7/5x higher risk, hypovascularity,
  • biceps inserts on radial tuberosity, lacertus is the bicipital aponeurosis or biceps fascia
  • hook test, FP: partial, intact lacertus, underlying BR tendon
    loss of more supination than fleion strength
    reverse popeye
  • Surgery: Volar apporach, BR/Pronator teres, recurrent radial artery is usually identified superficial to the biceps tuberosity and may need to be ligated.
    Single incision reduces the risk of HO.
    Risk of injury to LABCN (lateral cord, branch of MSK) b/t biceps and brachialis over agress retraction. Most common. decreased sensation to the volar radial aspect of the forearm.

PIN: protect PIN by limited lateral retraction and maintaining supination.

  • Partial distal bicep tendon tears most commonly occur at the radial aspect of the radial tuberosity insertion
  • eccentric contraction: muscle lengthens as it contracts
  • nerve injury usually resolve within 3-6 months.

How well did you know this?
1
Not at all
2
3
4
5
Perfectly
23
Q

Hook test

A

examiner’s finger is brought across the antecubital fossa from lateral to medial, and a cord-like biceps tendon should be palpated if intact (Illustration B). If the examiner’s finger is brought from medial to lateral, the robust lacertus fibrosis can be felt and may lead to a false-negative hook test. This simple test maneuver has been shown to be both sensitive and specific for ruptures and thus has appeared on numerous standardized tests. . Hook test was performed by one clinician in individuals with distal biceps ruptures and compared to the contralateral, intact arm, and to MRI findings. The hook test showed 100% sensitivity and specificity compared to MRI findings which demonstrated 92% and 85%, respectively.

How well did you know this?
1
Not at all
2
3
4
5
Perfectly
24
Q

most common nerve injury with approach for distal biceps repair

A

ateral antebrachial cutaneous nerve (LABCN). Injury to this nerve would result in lateral volar forearm numbness.

How well did you know this?
1
Not at all
2
3
4
5
Perfectly
25
Lateral epicondylitis (tennis elbow) What causes it? Pathoanatomy? Associated condtions?
* eccentric overload at the origin of the common extensor tendon, leading to tendinosis and inflammation of the ECRB. * micro tear of origin of ECRB, path shows **angiofibroblastic hyperplasia**, disorganized collagen, no inflammatory cells * histology: fibroblast hyperplasia, disorganized collagen, vascular hyperplasia * 5% have radial tunnel syndrome (PIN) * Exam: pain w/ resisted wrist extension, decreased grip strength, point tenderness at ECRB * MRI shows increased signal intesnisity at ECRB tendon * Tx: nsaids, PT, US, counterforce brace, 80-90% improve with nonoperative treatment at 1 year * Surgery: 2-4% eventually fail non op and require surgery, 6-12 months of non op required. **Relase and debridement of ECRB origin** ## Footnote precipitated by repetitive wrist extension and forearm pronation Radial tunnel syndrome: palpation 3-4 cm distal and anterior to lateral epicondyle, pain w. resisted 3rd finger exention, pain w/ resisted forearm supination
26
Medial Epicondylitis
* eccentric overload of the flexor-pronator mass at the medial epicondyle. * dx: tenderness around the medial epicondyle made worse with resisted forearm pronation and wrist flexion. * associated with ulnar neuropathy * angiofibroblastic hyperplasia, inflammation uncommon * tx: activity modification, PT passive stretching, bracing, NSAIDs. * surgery: **open debridement of PT-FCR, reattachment of flexor pornator group** if 6 months of non op fails in compliant patient.
27
Triceps rupture: RF? Mechanism? Repair?
RF: systemic illness (hyperparathyroidism, renal osteodystrophy, OI, RA, type I DM) fluoroquinolone use anabolic steroid use anabolic steroid use local steroid injection local steroid injection mechanism: **forceful eccentric contraction or FOOSH** exam: inability to extend against resistance, modified thompson test surgery: transosseus tunnels or suture anchors: no difference in biomechanical strength or functional outcomes between transosseous bone tunnels and suture anchors higher re-rupture rate and complication rate noted with transosseous repair compared to suture anchor repair  ## Footnote inability to extend elbow against resistance not always present -- some patients are able to extend elbow against resistance if intact lateral expansion or compensating anconeus muscle
28
Total elbow arthroplasty (TEA) has the longest average implant survivorship in
patients with rheumatoid arthritis, above those seen in TEA done for fractures, flail elbow, osteoarthritis, and post-traumatic arthritis. Implant options have traditionally shown best results with semiconstrained TEA designs. Unconstrained TEA is least preferred for late-stage rheumatoid arthritis where there is significant capsuloligamentous instability and bony erosion. Unconstrained (unlinked or resurfacing prosthesis) TEA depend on intact bony and ligamentous constraints for stability. These are appropriate for humeroulnar conditions with intact collateral ligaments and radiocapitellar articulation e.g. osteoarthritis, post-traumatic arthritis, intra-articular distal humerus fracture, and malunion of the distal humerus. Conditions with increased risk of instability (ligamentous injury, rheumatoid arthritis) will benefit from a linked or semiconstrained prosthesis.
29
Outcomes for RA total elbow arthroplasty? Post traumatic arthritis tea outcomes?
92.4% rate of survivorship free of revision at 10 years; however very high complication rate (14%) triceps avulsion deep infection periprosthetic fracture aseptic loosening post traumatic group: 5 year survivorship most achieve functional ROM and patient satisfaction high complication rate (27-43%) high re-operation rate (25%)
30
elbow anatomy
31
aconenus dynamic constraint to
Dynamic constraint to varus and posterolateral rotatory instability Lateral condyle-ulna radial nerve
32
What type of nerve palsy is most common following elbow arthroscopy? What is the most commonly reported complication following elbow arthroscopy?
* Transient ulnar * Transient neurapraxia ## Footnote * Transient ulnar nerve palsy is the most common palsy following elbow arthroscopy. The ulnar nerve is most frequently affected, followed by the radial nerve. Injury to the other nerves has been reported but less frequently. The complication rate following elbow arthroscopy is reported at 5%. The most commonly reported complication is transient neurapraxia, with nerve transection remaining an unfortunate and rare event. While infection remains the most common serious complication, it is uncommon (0.8%). Synovial cutaneous fistula and compartment syndrome, while reported, are the least frequent complications of elbow arthroscopy.
33
When the elbow is extended and an axial load is applied, what percent of stress distribution occurs across the **ulnohumeral** and **radiohumeral** articular surface, respectively?
ulnohumeral 40% radiohumeral 60% ## Footnote When load is applied to the wrist, most of the stress is absorbed by the radius. As the load is transferred through the forearm, the interosseous membrane transfers some of the load from the radius to the ulna. The load at the elbow is distributed with 40% at the ulnohumeral articulation and 60% at the radiohumeral articulation.
34
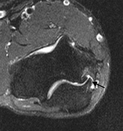
Figure 1 shows a coronal T2-weighted MRI scan. What is the name of the labeled torn structure?
LCL, and it is avulsed from the lateral humeral epicondyle. This is the most common site of injury for the LCL. The biceps and brachialis tendon insertions are not well visualized in this section. The MCL and flexor/pronator origin are intact.
35
A patient undergoes an arthroscopic debridement for lateral epicondylitis. Postoperatively she reports pain and a sense of clicking of the elbow. Examination reveals apprehension to supination, load, and extension. What structure has been injured resulting in the clinical presentation?
Lateral ulnar collateral ligament ## Footnote The patient has an iatrogenic injury to the lateral ulnar collateral ligament following the arthroscopic procedure. Failure to adhere to known anatomic landmarks can lead to this devastating complication. The examination findings are classic for posterolateral elbow instability.
36
What structure provides the most static stability for valgus restraint in the elbow?
Anterior band of the ulnar collateral ligament ## Footnote The anterior band of the ulnar collateral ligament provides the greatest restraint to valgus stress in the elbow. The posterior band is taut in flexion and resists stress between 60 degrees and full flexion. The annular ligament stabilizes the radial head. The flexor/pronator mass are important dynamic stabilizers of the medial elbow.
37
The posterior cord of the brachial plexus terminates into what two main branches?
Radial and axillary nerves * The posterior cord of the brachial plexus terminates into the radial and axillary nerves. The lateral cord terminates in branches to the musculocutaneous and the lateral root of the median nerve. The medial cord terminates in branches to the ulnar and medial roots of the median nerve.
38
What neurovascular structure is at greatest risk when creating a proximal anterolateral elbow arthroscopy portal?
Radial nerve: nueropraxia would result in Loss of digital extension (inability to extend metacarpal phalangeal joints) The radial nerve is 4 to 7 mm from the anterolateral portal, which is placed 1 cm anterior and 3 cm proximal to the lateral epicondyle. The posterior interosseous nerve can lie 1 to 14 mm from the portal site. ## Footnote The anterolateral portal as originally described puts the radial nerve at risk because of its close proximity to the portal. The best test to demonstrate radial nerve function is the ability to extend the metacarpophalangeal joints. Weakness of the interossei, sensation to the ring and little fingers, and ulnar forearm sensation are all ulnar nerve functions. The flexor pollicis longus is innervated by the median nerve.
39
Elbow Arthroscopy dangers: Portals: Proximal antero**lateral** Proximal antero**medial** **anteromedial?** Additional structures at risk?
* The radial nerve: proximal anterolateral portal. * The ulnar nerve: proximal anteromedial portal. 3 to 4 mm, nerve is posterior to intermuscular septum so must remain anterior * The medial antebrachial cutaneous nerve: anteromedial portal. portal incisions should be just through the dermis and not deep into the subcutaneous tissue to prevent injury to the nerve * The ulnar nerve is located directly superficial to the joint capsule in the posterior medial gutter * The lateral UCL, located deep to the extensor carpi radialis brevis, is at risk for iatrogenic injury during arthroscopic débridement for lateral epicondylitis. ## Footnote The average distance between the medial portal and the median nerve is greater than the distance between the lateral portal and the radial nerve or posterior interosseous nerve. The radial nerve lies close to the anterior capsule at the mid-aspect of the radiocapitellar joint. A proximal anterolateral portal often is used in favor of the direct lateral portal because the risk of neurovascular injury decreases as the portal is moved more proximally
40
A right-handed 44-year-old construction worker reports pain and limited range of motion in his right elbow that has limited his ability to work for the past year. Examination reveals range of motion from 60 to 90 degrees, and he has pain at the extremes of flexion and extension. Pronation and supination are minimally restricted. Anti-inflammatory drugs have failed to provide relief. A radiograph is shown in Figure 1. Management should now consist of
ulnohumeral arthroplasty and ulnar nerve decompression. Patients with **severely limited preoperative elbow extension of more than 60 degrees and flexion of less than 100 degrees are at risk for ulnar nerve dysfunction postoperatively and should undergo a concomitant ulnar nerve decompression.** Nonsurgical methods are unlikely to improve his chronic condition. Elbow arthroplasty is contraindicated for patients in this age group and with this diagnosis.
41
Ulnohumeral distraction interposition arthroplasty is considered the most appropriate treatment for which of the following patients?
Distraction interposition arthroplasty is indicated for the treatment of both rheumatoid and posttraumatic arthritis and is reserved for younger patients who are not suitable candidates for total elbow arthroplasty. Although less reliable than prosthetic replacement, distraction interposition arthroplasty is a useful option in the treatment of young, high-demand patients with elbow arthritis. It is rarely indicated in the presence of polyarticular inflammatory arthritis but may be of value in those patients in whom the disease is limited primarily to the elbow. Isolated radiocapitellar arthritis can be successfully treated with radial head resection, although caution should be exercised if there is evidence of instability. Osteoarthritis is best treated with ulnohumeral arthroplasty.
42
What is the most common complication following surgical fixation of a distal humeral fracture?
In most series, elbow stiffness is the most common complication and can be overcome by achieving stable fixation and initiating early motion after surgery. All of the other complications are seen but to a lesser degree than elbow stiffness.
43
When an acute infection of a total elbow arthroplasty is managed with irrigation and debridement, which of the following organisms is associated with the highest risk of persistent infection?
Staphylococcus epidermidis ## Footnote Salvage of a total elbow arthroplasty is possible with early aggressive management of acute infection (symptoms for less than 30 days) with serial irrigation and debridement and antibiotic bead placement. This form of treatment is indicated when there are no radiographic or intraoperative signs of loosening. However, successful treatment is largely dependent on the organism.** Staphylococcus epidermidis is associated with persistent infection because it is an encapsulating organism, and it is best treated with implant removal and IV antibiotics.**
44
A 45-year-old man sustains an acute closed posterolateral elbow dislocation. The elbow is reduced, and examination reveals that the elbow dislocates posteriorly at 35 degrees with the forearm placed in supination. What is the best course of action?
Hinged brace with early range of motion in pronation ## Footnote Most closed simple dislocations are best managed with early range of motion. Posterior dislocation typically occurs through a posterolateral rotatory mechanism. When placed in pronation, the elbow has greater stability when the medial ligamentous structures are intact. In traumatic dislocations, MRI rarely provides additional information that will affect treatment. In elbows that remain unstable, primary repair is preferred over ligament reconstruction. Cast immobilization increases the risk of arthrofibrosis.
45
A 13-year-old gymnast has had recurrent right elbow pain for the past year. She denies any history of trauma. Rest and anti-inflammatory drugs have failed to provide relief. Examination reveals no localized tenderness and only slight loss of both flexion and extension (10 degrees). What is the most likely diagnosis?
Osteochondritis of the capitellum ## Footnote Osteochondritis of the capitellum is characterized by pain, swelling, and limited motion. Catching, clicking, and giving way also can occur. It commonly affects athletes who participate in competitive sports with high stresses, such as pitching or gymnastics.
46
A 25-year-old professional baseball pitcher reports a 4-month history of gradually increasing medial elbow pain that occurs during the late cocking and acceleration phases of throwing. The pain occasionally refers distally along the ulnar aspect of the forearm. He denies any weakness; however, he notes occasional paresthesias. A nerve conduction velocity study demonstrates increased latency across the cubital tunnel. Management consisting of 6 weeks of rest and rehabilitation fails to provide relief as the symptoms returned when he resumed throwing. What is the best course of action?
In the thrower’s elbow, ulnar neuritis is felt to result from both chronic compression and traction on the nerve that occurs during the throwing motion. Occasionally, subluxation of the nerve also can lead to symptoms. If nonsurgical management fails to provide relief, transposition of the nerve to an anterior subcutaneous location is the surgical procedure of choice. The nerve is held in its new position by one or two fascial slings created from the fascia of the common flexor origin.
47
What artery provides the only direct vascularizaton to both the intraneural and extraneural blood supply of the ulnar nerve just proximal to the cubital tunnel?
The **inferior ulnar collateral artery** provides the only direct vascularization to the nerve and is located in the region just proximal to the cubital tunnel. superior ulnar collateral, inferior ulnar collateral, and posterior ulnar recurrent arteries provide consistent vascular supply to the ulnar nerve. This supply is segmental in nature. No identifiable direct anastomosis is seen between the superior ulnar collateral and the posterior ulnar recurrent arteries. The inferior ulnar collateral artery provides the only direct vascularization to the nerve and is located in the region just proximal to the cubital tunnel. The segmental nature of the blood supply to the ulnar nerve underscores the importance of its preservation during transposition.
48
A 20-year-old man sustained an injury to his arm during a tug-of-war contest. An MRI scan is shown in Figure 1. What is the most likely diagnosis?
The MRI scan reveals a transection of the biceps muscle. The underlying brachialis is intact. This injury can occur as a result of a cord wrapped around the upper arm. Care should be taken to ensure that there is no concurrent vascular injury.
49
tx?
ORIF of capitellum ## Footnote The patient has a type I (Hahn-Steinthal) capitellar fracture that is best seen on the lateral radiograph. If a fracture fragment is seen proximal to the radial head, a capitellar fracture is the most likely injury because radial head fractures do not migrate proximally. The fragment is large enough for fixation. Excision is the preferred treatment for small shear osteochondral type II (Kocher-Lorenz) capitellar fractures. Closed reduction usually is not successful because of rotation of the displaced fragment.
50
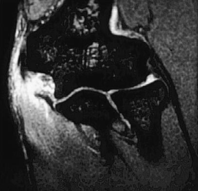
An MRI arthrogram of the elbow is shown in Figure 1. Based on these findings, what is the most likely diagnosis?
Rupture of the medial collateral ligament
51
Which of the following characteristics is seen in patients with osteochondritis dissecans of the elbow?
MRI reveals separation of cartilage from the capitellum and chondral fissuring ## Footnote Osteochondritis dissecans occurs in the older child or adolescent (typically older than age 13 years). It involves the lateral compartment. The etiology is felt to be microtraumatic vascular insufficiency from repetitive rotatory and compressive forces. MRI typically shows separation of cartilage from the capitellum and chondral fissuring. Panner’s disease is usually seen in children younger than age 10 years, involves the entire capitellar ossific nucleus, and resolves typically with no residual deformity or late sequelae. There is no evidence of ligamentous injury.
52
On MRI, what nerve is most likely to demonstrate increased signal intensity about the elbow in asymptomatic patients?
The ulnar nerve has been shown to have increased signal intensity in asymptomatic patients when compared with other nerves about the elbow. It has been shown to have increased signal in approximately 60% of normal patients compared with 0% for the median and radial nerves. This suggests that the presence of increased signal in the ulnar nerve may be of questionable clinical relevance.
53
Radiographic findings of posterolateral rotatory instability (PLRI) include:
Posterior radial head subluxation
54
A 20-year falls and has a significant valgus moment to the elbow with medial-sided pain and bruising. He has a positive milking-maneuver sign. His injury occurred one week ago. In addition to an x-ray, diagnostic imaging should consist of:
MRI without contrast aaos q, not arthrogram?
55
Distal Biceps: Most common complication? How to protect the PIN? Risk of synostosis?
1. Injury to the LABCN is common with repair. Most injuries are neurapraxias. 2. To protect the posterior interosseous nerve, maximally supinate the elbow during anterior repair and pronate the elbow during posterior repair. 3. risk of synostosis is imminent with any technique for repairing a distal biceps tendon rupture. However, the risk is quite low for all approaches that avoid exposure of the ulna, including the muscle-splitting two-incision technique. A dual incision, limited anterior and posterior approach along the ulna with attachment through drill holes would have a higher risk of synostosis
56
Distal Triceps rupture: non op outcomes?
* acute ruptures need to be repaired. partial or complete tears at the muscle belly or msktendinous junciton may have goo healing potential. * partial tears less than 50% of tendon width. * If nonsurgical management is entertained, patients should expect difficulty in the ability to lift themselves from a seated position or to ambulate with the use of gait aides. * strength recovery up to 1 year but may not reach preinjury level of strength * In general, patients who undergo acute primary triceps repair achieve acceptable strength and range of motion by 1 year postoperatively.
57
What is the most common mechanism of action of a** distal triceps tendon** rupture
sudden load of extension contraction in an eccentric fashion.
58
A patient presents to the office with a full thickness triceps tendon injury. Which co-morbidity is most commonly seen in patients with this injury?
Chronic kidney disease is a known and common co-morbidity seen in patients with distal triceps and other tendon injuries. The mechanism is attributed to an** increase in parathyroid hormone with depolymerizes bone leading to tendon injuries.**
59
Which of the following lateral elbow radiographic findings is most consistent with a distal triceps tendon tear?
**A posterior “fleck” sign,** also known as a Dunn-Kusnezov Sign is when a small portion of the tip of the olecranon avulses with a full thickness triceps tendon rupture. While generally thought of to be pathognomonic for this injury, a systematic review found that it was reported in 61% of cases. Traction enthesophytes of the olecranon may be seen with distal triceps tendon injuries, but not as closely associated with full thickness tendon injuries.
60
orientation of the three heads of the triceps muscles in their confluence in the distal triceps tendon insertion?
**Medial Deep; Lateral Superficial; Long Superficial** * orientation of the heads of the triceps muscle are medial head deep than lateral and long heads. * In partial tears of the triceps tendon, the deep medial head is most commonly affected.
61
A patient is indicated for a chronic triceps tendon repair with Achilles allograft tendon. After weaving and securing the allograft to the native triceps tendon, in which position should the elbow be held to establish appropriate tension between the graft and the bone?
**40 – 60 degrees of extension** ## Footnote When utilizing a graft to repair a chronic triceps tendon injury, establishing an appropriate muscle-tendon relationship is important. Due to the ability of the triceps muscle to stretch with post-operative therapy, the tendon should not be fixed in full extension. Approximately 40 – 60 degrees of extension allows for an appropriate amount of muscular tension while also giving the ability for the muscle to stretch with therapy.
62
A 48- year- old man undergoes a distal triceps tendon repair with a hybrid bone tunnel and knotless anchor technique. The tendon was able to be repaired primarily with no graft. The patient is placed in a splint at 30 degrees of flexion post-operatively. What is the appropriate rehabilitation protocol when the splint is removed?
Active flexion and passive extension ## Footnote Initial therapy should be initiated 10 – 14 days after surgery to avoid post-operative stiffness. The beginning phase of therapy should be aimed at protecting the repair while also progressing range of motion. Active assisted flexion may be initiated to progress flexion range of motion. Active extension should be avoided to protect the repair. Therefore, the most appropriate post-operative rehabilitation should be active flexion and passive extension.
63
What type of nerve palsy is most common following elbow arthroscopy?
Transient ulnar nerve palsy is the most common palsy following elbow arthroscopy. The ulnar nerve is most frequently affected, followed by the radial nerve. Injury to the other nerves has been reported but less frequently.
64
A 17-year-old javelin thrower reports medial-sided elbow pain and diminished grip strength while throwing. He has decreased sensation in the little and ring fingers of his throwing hand only while throwing. The sensory deficits resolve at rest. Examination of the elbow reveals no instability and full motion. He has a positive Tinel's sign over the cubital tunnel and a positive elbow flexion test. Radiographs are normal. What is the next most appropriate step in management?
Nighttime elbow extension splinting - not anterior ulnar nerve transposition The patient’s symptoms and examination findings are consistent with ulnar neuritis/cubital tunnel syndrome, most probably exacerbated by javelin throwing. The first step includes rest and extension splinting. Surgical intervention should only be considered after failure of nonsurgical management.
65
A 20-year-old minor league baseball pitcher is diagnosed with a symptomatic torn ulnar collateral ligament (UCL) in his pitching elbow. Nonsurgical management consisting of rest and physical therapy aimed at elbow strengthening has failed to provide relief. He has concomitant cubital tunnel symptoms that worsen while throwing. What is his best surgical option?
High-level pitchers with symptomatic UCL tears require reconstruction, with autograft being the best studied graft selection. With concomitant ulnar nerve symptoms, a simultaneous ulnar nerve transposition provides good results. Ligament “repairs” and allograft reconstructions have not shown good long-term results.
66
Osteochondritis dissecans of the capitellum is a source of elbow pain and most commonly occurs in what patient population?
**Gymnasts and Throwing athletes** The etiology of osteochondritis dissecans of the capitellum is somewhat unclear. However, trauma has been implicated in this disease process. Gymnasts who load their upper extremities during tumbling and throwing athletes with repetitive trauma during the throwing motion are common patient subgroups in which osteochondritis dissecans of the elbow is seen. This often occurs in the adolescent age population. ## Footnote Osteochondritis dissecans occurs in the older child or adolescent (typically older than age 13 years). It involves the lateral compartment. The etiology is felt to be microtraumatic vascular insufficiency from repetitive rotatory and compressive forces. MRI typically shows separation of cartilage from the capitellum and chondral fissuring
67
A 22-year-old man reports a 2-week history of a burning pain along the dorsoradial aspect of the distal forearm. The pain radiates to the dorsum of the thumb. Examination reveals tenderness and reproduction of symptoms with percussion 8 cm proximal to the radial styloid. Reproduction of symptoms also occurs with forearm pronation and ulnar deviation of the wrist. No discrete sensory deficit is noted and electrodiagnostic studies are normal. Nonsurgical management consisting of rest, splinting, and anti-inflammatory medications for 6 weeks has failed to provide relief. Treatment should now consist of decompression of the
**radial sensory nerve in the interval between the brachioradialis and the extensor carpi radialis longus in the distal forearm.** Wartenberg's syndrome, or compression of the sensory branch of the radial nerve, occurs in the interval between the brachioradialis and the extensor carpi radialis longus approximately 8 cm proximal to the radial styloid. There may be history of repetitive wrist/forearm circumduction activity (ie, knitting) or of wearing a tight wristwatch or jewelry. It can occur in patients who have been handcuffed. Typical clinical findings are pain, paresthesia, and/or hypesthesia in the dorsoradial aspect of the wrist and hand in the distribution of the radial sensory nerve. There is often a positive Tinel's sign over the compression site. Hypesthesia may be present in the distribution of the radial sensory nerve which is typically on the dorsal aspect of the first dorsal web space and dorsum of the thumb; however, with overlap in the distribution of the superficial radial nerve and the lateral cutaneous nerve of the forearm this may not always be present. Surgical management consists of release of the nerve as it exits the interval between the brachioradialis and the extensor carpi radialis longus in the distal forearm.
68
mechanism for posterolateral elbow dislocation
* combination of axial load, external rotation of the forearm (supination), and valgus force (valgus posterolateral).(or varus) * LCL complex is disrupted with all elbow dislocations
69
varus posteromedial instability
* VPMI may occur after a fall on an outstretched hand that applies a varus thrust to the elbow. * combined sagittal coronoid fracture and an LUCL injury are the essential lesions. * instability occurs as the distal humerus subluxates into the proximal ulnar lesion. If this occurs, the proximal ulna rotates in a posterior and varus direction, producing incongruency. On the lateral aspect of the elbow, traction tears of the lateral ligaments occur, usually without bony injury. ## Footnote VPMI differs from PLRI in that a coronoid fracture accompanies the LUCL lesion.
70
A 45-year-old man sustains an acute closed posterolateral elbow dislocation. The elbow is reduced, and examination reveals that the elbow dislocates posteriorly at 35 degrees with the forearm placed in supination. What is the best course of action?
**Hinged brace with early range of motion in pronation** Most closed simple dislocations are best managed with early range of motion. Posterior dislocation typically occurs through a posterolateral rotatory mechanism. **When placed in pronation, the elbow has greater stability when the medial ligamentous structures are intact.** In traumatic dislocations, MRI rarely provides additional information that will affect treatment. In elbows that remain unstable, primary repair is preferred over ligament reconstruction. Cast immobilization increases the risk of arthrofibrosis.
71
A 22-year-old patient underwent successful reduction of a posterolateral elbow dislocation. Management should now consist of
**active range-of-motion exercises after 1 to 3 days.** elbow usually is stable after reduction in most elbow dislocations. Ross and associates reported that supervised motion begun immediately after reduction was effective in uncomplicated dislocations. The elbow will become stiff if immobilization is applied for an extended period of time. Immediate open treatment is not indicated for a simple elbow dislocation.
72
assesing post reduction stability of after closed elbow reduction?
* In posterior dislocations, the elbow typically is more unstable in extension * If the elbow re-dislocates before 30° of flexion, early ligament repair may be necessary. * Therefore, the elbow should be immobilized in 90° of flexion. * If the LCL is disrupted and the MCL is intact, then the elbow will be more stable with the forearm in pronation. * A posterior splint is applied. Typically, the forearm is placed in a splint for 5 to 7 days, with the elbow positioned at 90° and with appropriate forearm rotation. ## Footnote degree of instability should be noted because this may be useful in determining how far to extend the elbow during physical therapy
73
Medial epicondylitis most commonly affects the origins of the
pronator teres and the flexor carpi radialis.
74
Histologic studies of surgically resected tissue in lateral epicondylitis demonstrate which of the following findings
**Angiofibroblastic tendinosis in the ECRB** Histologic examination demonstrates noninflammatory tissue, primarily angiofibroblastic tendinosis though normal tendon histology is also present. There is usually no evidence of acute inflammation or chondroblastic tissue, or significant calcium deposition.
75
Which ligament should be released during debridement procedures for arthritic elbows with less than 90 degrees of flexion?
The **posterior bundle of the medial ulnar collateral ligamen**t, which forms the floor of the cubital tunnel, is frequently a tether to flexion beyond 90o in patients with arthritic elbows. Due to the proximal of the ulnar nerve, an open or mini-open approach should be used when releasing the ligament. **Release of the posterior bundle of the medial ulnar collateral ligament does not lead to elbow instability,** whereas release of the anterior bundle of the medial ulnar collateral ligament (valgus instability) or of the lateral ulnar collateral ligament (posterolateral rotatory instability) would result in symptomatic elbow instability.
76
Which of the following approaches for total elbow arthroplasty does NOT violate the extensor mechanism?
Paraolecranon ## Footnote paraolecranon approach to total elbow arthroplasty is one of the most commonly employed approaches. All surgical approaches for TEA begin with a posterior skin incision and superficial dissection, but the deeper surgical planes are what differentiate them. In the paraolecranon approach, a window is created just lateral to the olecranon (hence the name). The distal humerus is ultimately dislocated through this window. A medial window is typically created as well, and the ulnar nerve is decompressed to prevent iatrogenic injury while dislocating the elbow. In the triceps fascial tongue approach, the triceps tendon is tenotomized proximal to the olecranon in a ‘U’ shape, resembling a tongue. In the Bryan-Morrey approach, the triceps tendon is release from its insertion on the olecranon, in a medial to lateral direction. In the digastric olecranon osteotomy, an osteotomy is created in the olecranon itself. With all three of these approaches, the intentionally created defect in the extensor mechanism must be repaired after the arthroplasty implantation is finished
77
interpositional arthroplasty elbow: indications/ outcomes/complications?
* Interposition arthroplasty is indicated in young patients with loss of ulnohumeral joint space who are unable or unwilling to live with the restrictions required after TEA. * Neither complete pain relief nor complete function should be anticipated; however, patients do not have to comply with the same postoperative restrictions required after TEA. Preoperative elbow instability is associated with poorer postoperative outcomes after interposition arthroplasty * The number 1 cause of failure after interposition arthroplasty is elbow instability.2 Progressive ulnar or humeral bone loss is possible. Failed elbow interposition arthroplasty can be revised to TEA.
78
debridement for elbow arthritis?
* associated with excellent outcomes if the ulnohumeral joint space is preserved. The most common elbow débridement procedure is arthroscopic osteocapsular arthroplasty. Other procedures include the Outerbridge-Kashiwagi procedure and the column procedure. * open and arthroscopic débridement procedures are as effective as open procedures with regard to improving pain scores, range of motion arcs, and functional outcomes in patients with primary osteoarthritis; however, open procedures are associated with higher complication and revision surgery rates.
79
elbow motion: whats required for standard of living
Standard activities of daily living require 100° (30° to 130°) of flexion/extension and 100° (50°/50°) of pronation/supination.
80
A 72-year-old woman who sustained a cerebrovascular accident 9 months ago now has a fixed elbow flexion contracture of 80 degrees. Management should consist of
**musculocutaneous neurectomy and serial casting.** A flexion contracture of the elbow is commonly seen in hemiplegic patients following cerebrovascular accidents. Spasticity and myostatic contracture of the joint are both causative factors. In patients with a flexion deformity of less than 90 degrees, musculocutaneous neurectomy is recommended, followed by serial casting to treat any residual deformity. At 9 months after injury, physical therapy will not significantly improve motion. Nerve blocks may be used in the early stages of recovery to facilitate therapy and serial casting.
81
What is the most common complication following surgery for a "terrible triad" elbow fracture-dislocation?
restricted elbow ROM ## Footnote Recurrent instability, PIN palsy, infection, and posttraumatic arthritis have all been reported following these injuries; however, elbow contracture or loss of motion is nearly universal following these injuries.
82
When performing elbow arthroscopy, it is often necessary to evaluate the posterior compartment. When entering the posterior compartment of the elbow, what are the two safest and most commonly used portals?
The posterior portal created 3 cm proximal to the tip of the olecranon and the posterior lateral portal created 3 cm proximal from the tip of the olecranon and just lateral to the triceps ## Footnote The posterior portal created 3 cm proximal to the tip of the olecranon and the posterior lateral portal created 3 cm proximal from the tip of the olecranon and just lateral to the triceps are the "workhorse" portals of the posterior compartment and although relatively safe, risks exist. The radial nerve proximity averages 4.8 mm (3 to 8 mm) from the posterolateral portal. The central posterior portal is close to 20 mm from the ulnar nerve. Intraoperative photographs of a left elbow. A, Superficial anatomy of the medial aspect of the elbow. The ulnar nerve (UN) is traced. B, Superficial anatomy of the lateral aspect of the elbow. DPP = direct posterior portal, LE = lateral epicondyle, ME = medial epicondyle, P ALP = proximal anterolateral portal, P AMP = proximal anteromedial portal, PLP = posterolateral portal, RH = radial head, * = soft spot, ** = mid-anterolateral portal, which is helpful for placement of retractors to improve visualization. (Reproduced from Keener JD, Galatz LM: Arthroscopic management of the stiff elbow. J Am Acad Orthop Surg 2011;19[5]:265-274.)
83
molecular etiology of elbow stiffness
multiple molecular changes have been identified, including expression of transforming growth factor-ß1 leading to a decrease in type III collage and an increase in myofibroblast activity, which play a role in the development of capsular thickening. In addition, heterotopic ossification is the formation of mature lamellar bone in areas without bone, typically, leading to a loss of motion.
84
surgical ROM parameters for elbow contracture release
ROM parameters indicative of a surgical procedure are a flexion contracture of 30° or less than 120° of flexion.