Peds Flashcards

(152 cards)

1
Q

Treatment for teenage patient w/ hx of perthes? Deformity has healed and hip can no longer be contained

A

Chiari and/or shelf pelvic osteotomies for hips that can no longer be contained.

Containment strategies: proximal femoral varus and Salter innominate osteotomies aimed at improving containment are not indicated.
Proximal femoral valgus osteotomy unlikely if head is severe deformed

How well did you know this?
1
Not at all
2
3
4
5
Perfectly
2
Q

The clinical factors shown to most significantly predict the long-term outcome of Perthes disease of the hip include which of the following?

A

Age at presentation, range of motion of the hip

Younger patients and patients who maintain range of motion of the hip are more likely to have a good outcome. In Herring’s study, children with a chronologic age of younger than 8 years or a bone age of less than 6 years had significantly more favorable outcomes compared with older children. Limited hip range of motion may be due to muscle spasm early on, or synovitis; but in late disease, it may reflect incongruity of the joint. Classifications based on femoral head shape have also been correlated to prognosis. Significant shortening of the affected hip is not common.

How well did you know this?
1
Not at all
2
3
4
5
Perfectly
3
Q

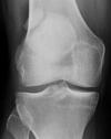
5 y/o with bilateral symmetric femoral head epiphyseal changes warrants what additional work up?

A

Skeletal Survey: radiographs of knees and spine
Bilateral flattening of the femoral heads suggests multiple epiphyseal dysplasia; therefore, a skeletal survey is indicated to look for involvement of other epiphyses. Unilateral flattening of the femoral head would suggest Legg-Perthes disease.
bilateral Perthes of the hips occurs in 11% of cases, in patients with symmetric changes/stages, other diagnoses must be considered such as Meyers dysplasia. Multiple epiphyseal dysplasia is most readily diagnosed by evaluation of other radiographs, in particular of the knee and, if confirmatory, of the spine to assess for spondyloepiphyseal dysplasia.

How well did you know this?
1
Not at all
2
3
4
5
Perfectly
4
Q

What is LCPD

A

Osteonecrosis of proximal femoral epiphysis
Summary: idiopathic AVN of proximal femoral epiphysis, Suspect w/ radiographs but MRI required for occult or early disease. Observe in children less than 8; femoral and or pelvis osteotomy in children greater than 8.

How well did you know this?
1
Not at all
2
3
4
5
Perfectly
5
Q

LCPD associated factors? If bilateral hip involvement seen what is the next step?
How does it present.

A
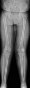
  • Associated factors: FHx 1.6-20%, ADHD 33%, 89% are skeletally immature, 50-75% w/ coagulopathy
  • present in 10% to 15% of patients. If both hips are in the same stage of disease, Xrays for skeletal dysplasia.
  • ○ More common- Boys 4-8 (5:1 M:F)
    ○ Hip, groin, or thigh pain, knee pain, effusion (synovitis), limp
    ○ Exam: decrease hip abduction and IR,
    § trendelenburg gait (head collapse leads to decreased tension of abductors)
How well did you know this?
1
Not at all
2
3
4
5
Perfectly
6
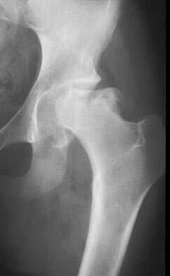
Q

LCPD: Whats the most predictive best agreed upon radiographic finding?

A

Lateral Pillar of capital femoral epiphysis during fragmentation stage. 6 months after onset of symptoms, base on height of lateral pillar of capital femoral epiphysis on AP pelvis.

How well did you know this?
1
Not at all
2
3
4
5
Perfectly
7
Q

What is the lateral pillar classification of legg calve perthes?

A
  • group A, normal height of lateral pillar is maintained. Good outcomes
  • group B, more than 50% of height of lateral pillar is maintained. Good outcomes younger <6 y/o, poorer outcomes in older pop
  • group B/C (borderline), lateral pillar is 50% or less in height, but (1) it is very narrow (2 to 3 mm wide), (2) it has very little ossification, or (3) it has depressions in comparison with the central pillar.
  • group C, less than 50% of height of lateral pillar is maintained. Poor prognosis

The definition of normal pillars was derived by noting the lines of demarcation between the central sequestrum and the remainder of the epiphysis on the anteroposterior radiograph

How well did you know this?
1
Not at all
2
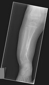
3
4
5
Perfectly
8
Q

LCPD Prognostic factors: what is essential in achieving a good result,

A
  • Maintain sphericity of femoral head most important factor in achieving a good result.
  • Early DJD w/ aspherical femoral head
  • Poor prognosis: age >6, F, lateral column C, decreased abduction
How well did you know this?
1
Not at all
2
3
4
5
Perfectly
9
Q

Tx of LCPD:
* What are the goals of treatment?Who can be treated non surgically?

A
  • Goals: symptom relief, restore ROM, contain hip
  • Patients younger than 6 years without complete collapse of the lateral pillar generally can be treated nonsurgically. Most patients achieve Stulberg grade I or grade II hips at maturity, with 80% achieving a good outcome.
  • Patients older than 8 years appear to benefit from surgically provided containment of the femoral head. This is particularly true lateral pillar group B and group B/C border hips.
How well did you know this?
1
Not at all
2
3
4
5
Perfectly
10
Q

LCPD: what is the significance of hinged abduction and how is it treated?

A

Hinged abduction, in which lateral extrusion of the femoral head results in it impinging on the edge of the acetabulum with abduction, may be present. Treatment option include the following:

A valgus-flexion proximal femur osteotomy to place the concentric portion in contact with the acetabular roof.

Pelvic osteotomy procedures, such as a Chiari osteotomy, shelf arthroplasty, and shelf acetabuloplasty (labral support procedure), also may be beneficial but have very limited indications

How well did you know this?
1
Not at all
2
3
4
5
Perfectly
11
Q

What is the goal of treatment in LCPD?

A

The goal of management is to achieve a spherical femoral head and a congruent joint to minimize the risk of osteoarthritis. Containment is most crucial during stages I and II, during which the head is most vulnerable to deformation. Hip pain stems from synovitis, which leads to motion restriction. This can be relieved by NSAIDs, protected–weight bearing, and activity modifications. If ROM can be maintained, continued observation may allow for successful shaping of the femoral head. Limited motion leads to restricted molding of the femoral head by the acetabulum, leading to deformation.

How well did you know this?
1
Not at all
2
3
4
5
Perfectly
12
Q

LCPD: Surgical management during fragmentation stages has been shown to result in the greatest efficacy. What is the surgical strategy

A
  • Femoral-sided containment may be achieved via a proximal femur varus osteotomy.
  • Acetabular-sided containment may be achieved via a redirectional osteotomy (Salter, triple innominate), acetabular augmentation procedure (shelf arthroplasty) or Chiari osteotomy.

Operative:
Children >8, lateral pillar B & B/C
large recent studies show improved outcomes with surgery for lateral pillar B and B/C in children > 8 years (bone age >6 years)
Proximal femoral varus osteotomy (containment); Pelvic Osteotomy (Salter or Triple)

How well did you know this?
1
Not at all
2
3
4
5
Perfectly
13
Q

LCPD Non Op

A

Non-op:
observation alone, activity restriction (non-weightbearing), and physical therapy (ROM exercises)
- children < 8 years of age (bone age <6 years); young patients typically do not benefit from surgery
- lateral pillar A involvement
- Bracing/casting for containment not beneficial in large studies
Non-op outcomes: Good outcomes correlate with spherical femoral head; 60% do not require operative intervention.

How well did you know this?
1
Not at all
2
3
4
5
Perfectly
14
Q

Long term outcomes for LCPD

A

Prognosis is related to patient age at disease onset and femoral head deformity at skeletal maturity. Patients younger than 6 years at disease onset typically have a good outcome

Many studies combine grades I and II into a single group and compare outcomes with those of combined groups III, IV, and V.

The risk of premature osteoarthritis of the hip is low (zero to 16%) if the femoral head is spherical (grades I and II).

The risk of premature osteoarthritis of the hip is high (58% to 78%) if the femoral head is nonspherical (grades III through V).

The Stulberg classification is the most widely used system for outcome measurements and correlates with degenerative changes at long-term follow-up. The classification system is based on femoral head sphericity and joint congruency at skeletal maturity.

How well did you know this?
1
Not at all
2
3
4
5
Perfectly
15
Q

Sprengels deformity:

A
  • small, undescended scapula often associated with scapular winging and scapular hypoplasia
  • omovertebral connection between superior medial angle of scapula and c spine (30-50%)
  • 1/3 of klippel-feil have it
  • Physical exam: high riding medially rotated scapula, shoulder abduction severely limited as well as forward flexion.
  • surgery: best between 3-8: Woodward and green procedures can improve abduction by 40-50 degrees
How well did you know this?
1
Not at all
2
3
4
5
Perfectly
16
Q

SCFE: demographics, Risk factors

A
  • Obese, Males, African Americans, during puberty/growth spurt 10-14ish range
  • Bilateral 17-50% avg 25%
  • # 1 risk factor: obesity > #2 acetabular retroversion/femoral anteverision> hx of radiation
  • …Leptin levels 4.9x increase in odds
How well did you know this?
1
Not at all
2
3
4
5
Perfectly
17
Q

SCFE direction of slip and pathoanatomy

A
  • Metaphysis translates anteriorly and externally rotates
  • epiphysis in acetabulum lying posterior/infeor to metaphysis.
  • Slippage through hypertrophic zone. Perichondral ring thins and weakens during adolescent. Physis is still vertically oriented.
How well did you know this?
1
Not at all
2
3
4
5
Perfectly
18
Q

SCFE associated conditions? What needs to be worked up?

A
  • Endocrine work up necessary if child <10 y/o and weight <50%
  • Endocrine disorders:
  • hypothyroidism: elevated TSH
  • renal osteodystrophy: elevated BUN Cr
  • GH deficiency
  • panhypopituitarism
  • . Downs syndrome
How well did you know this?
1
Not at all
2
3
4
5
Perfectly
19
Q

SCFE presentation? Why knee pain? unstable vs stable

A
  • pain in hip (52%), groin (14%) and thigh (35%)
  • 15-50% knee pain, medial obturator nerve
  • Abnormal gait/limp. externally rotated foot progression anlge.
  • Exam: obligatory external rotation during passive flexion.
  • Stable scfe: able to bear weight w/ or w/o crutches <10% risk of osteonecrosis
  • unstable: unable to ambulate (high risk of osteonecrosis (24-47%)
How well did you know this?
1
Not at all
2
3
4
5
Perfectly
20
Q

If xray is negative in a SCFE, order?
Hx of scfe in L hip, incidence of subsequent scfe on contralateral hip

A
  • MRI, may diagnose preslip condition. T1 decreased signal, increased signal on T2
  • In one study, nearly 40% of patients with SCFE had bilateral involvement, and of that 40%, half presented initially with a unilateral SCFE but had a subsequent SCFE on the contralateral limb. Radiographs are normal, but the MRI scan shows increased signal about the proximal femoral physis.
How well did you know this?
1
Not at all
2
3
4
5
Perfectly
21
Q

SCFE perc screws

A
  • 1 vs 2 screws controversal but 2 screws biomechanically better.
  • 1 screw typically sufficient and decrease risk of osteonecrosis compared to multiple.
  • +/- capsulotomy do decrease pressure.
  • screw insertion:
  • perpendicular to physis, start on anterior surface of proximal femur to cross perpendicular to the physis. Start point should not be medial to interrochanteric line or will resulted in impingement
  • > =5 threads across the physis needed, less than 5 has 41% risk of progression of slip.
How well did you know this?
1
Not at all
2
3
4
5
Perfectly
22
Q

SCFE contralateral hip ppx pinning

A

for patients at risk:
<10, open triradiate cartilage, obese males, endocrine disorders.

How well did you know this?
1
Not at all
2
3
4
5
Perfectly
23
Q

Risk of contralateral slip in a scfe?

A

Surgeons should discuss the risk of contralateral slip (25% to 60% reported incidence) using the modified Oxford bone score. An open triradiate is an indication for contralateral fixation. Radiation exposure and endocrine, chromosomal, and renal pathologies are indications for contralateral fixation.
If not ppx pinned, then monitor every 6 months

How well did you know this?
1
Not at all
2
3
4
5
Perfectly
24
Q

Rate of osteonecrosis stable vs unstable for SCFE?
Standard of care? Goal of surgery? Timing of surgery? Decompression? Any reduction needed?

A
  • Unstable slips result in osteonecrosis more often (4.7% to 58%) than stable slips (zero to 1.4%).
  • insitu screw epiphysiodesis. Stable SCFE may be managed via a single, fully threaded center-center screw placed perpendicular to the physis of the capital epiphysis.
  • unstable: AAOS says 2 screws
  • Goal to prevent additional slip, increasing deformity, and increasing risk of osteonecrosis.
  • Timing is controversial
  • Decompression of intra-capsular hematoma recommended in unstbale SCFE to decrease risk of osteo
  • Serendipitous reduction (positional) is acceptable, closed forceful reduction contraindicated.
  • some places are doing ledbeter, parsch or modified dunn teniques w/ femoral head perfusion monitored via doppler or ICP probes to decrease risk of osteo during procedure
  • protected WB for 6 weeks post op

  • 6.5 mm cannulated screws
  • The addition of a second screw of similar size or the use of two smaller screws often is recommended in patients with unstable SCFE. Studies recommend a minimum of four threads within the epiphysis.

How well did you know this?
1
Not at all
2
3
4
5
Perfectly
25
SCFE complications
**Progressive Slip**: to prevent use 6.5 scew, 5+ threads across physis center center technique, 2 screws for unstable fx (1 screw has risk of 1-2% progression). Young patients may grow off the screw and require revision or advancement of a purposefully placed "long" screw in the future. **Osteonecrosis: **Approximately 25% risk in patients with unstable SCFE, less than 5% risk in patients with stable SCFE. Hardware placement in the posterosuperior femoral neck may disrupt the MFCA, leading to osteonecrosis. End-stage osteoarthritis secondary to osteonecrosis is more commonly managed via total hip arthroplasty than via arthrodesis. **Chondrolysis:** Screw perforaction. Ensure length of screws on AP/Lateral, approach-withdrawal technique. **Pain** FAI from metaphyseal prominence and epiphyseal retroversion. Managed via cam resection, Dunn procedure, or proximal femoral flexion-internal rotation osteotomy (Southwick/Imhäuser). **Fracture** secondary to multiple start point attempts w/ guide wire and stress rising from screw porximal to lesser trochanter
26
SCFE outcomes after pinning: FAI? Osteoarthritis rates? Overall rate of additional surgical management
* Most go on to FAI * OA requiring THA 2-27% with THA at younger age * Overall rate of additional surgical management after insitue epiphysiodesis of SCFE is 32-33%
27
*Use of a shorter, anterior screw may result in?*
deformity of the acetabular labrum when the hip is flexed. This is likely when screw head on AP view is medial to intertrochanteric line ## Footnote It has been demonstrated on a cadaver model that screw fixation of moderate and severe slipped capital femoral epiphyses may result in screw impingement upon the acetabulum and labrum. This is likely when the screw head on the anteroposterior view is seen to lie medial to the intertrochanteric line
28
*6 weeks post op after scfe, patient still reports pain, what's the cause?*
**Failure of fixation at femoral neck. **The radiographs show the screw heads firmly in the femoral head, with loss of fixation in the femoral neck. Sanders and associates reported a series of 7 such failures and hypothesized that acute-on-chronic slips may develop osteopenia of the femoral neck. All patients reported continued pain postoperatively rather than the relief typically seen following surgical stabilization of the epiphysis. There is no radiographic evidence of osteonecrosis or chondrolysis.
29
*7 y/o M obese prsents w/ scfe, what is the immediate work up*
Renal, endocrine, thyroid labs ## Footnote mean age at diagnosis in boys is 12 to 13.5 years-old, and in girls is 11.2 to 12.0 years-old. Patients <10 and >16 years-old are considered to have an atypical presentation of SCFE. On his radiographs, both hips have evidence of SCFE as well, increasing the risk of an underlying condition. The initial step in management is to investigate for an underlying cause before pursuing surgical treatment options.
30
*Most common predictor of osteonecrosis in a scfe?*
unstable scfe, incidence of 47% ischemic necrosis. Unstable means pt is unable to bear weight. Age, sex, obesity not risk factors for osteonecrosis. Osteonecrosis most likely associated with initial femoral head displacemend rather than result of tamponade from hemarthrosis.
31
*The rate of complications after in situ pinning of a chronic slipped capital femoral epiphysis is highest with placement of the screw in what quadrant of the femoral head*?
**Anterior Superior Quadrant** The rate of complications increases as the pin moves farther from the ideal position, which is the center of the head. This is the strongest argument for the use of a single pin. The highest rate of complications, primarily osteonecrosis and pin penetration, is associated with pin placement in the anterior superior quadrant.
32
*Most common cause of delay in dx with scfe*
initial presentation of knee pain ## Footnote A delay in diagnosis of slipped capital femoral epiphysis (SCFE) can lead to significant worsening of the deformity or even progression from a stable to an unstable SCFE. Those patients that report knee pain as their primary complaint are most likely to experience significant delay. Other variables associated with this delay include Medicaid insurance and stable SCFE.
33
*what poses the highest risk for bilateral involvement of scfe?*
**Endocrine disorders** post the highest risk for bilateral involvement, and prophylactic pinning of the uninvolved side is most often recommended. Risk of contralateral slippage is **highest in the youngest patients. **In a study by Riad and associates, all girls younger than age 10 and all boys younger than age 12 presenting with a unilateral slipped capital femoral epiphysis subsequently developed a contralateral slip. *Initial presentation of an unstable slip has not been shown to be an independent risk factor for later contralateral slippage.*
34
A multicenter review of the modified Dunn procedure for treatment of unstable SCFE noted an AVN rate of
26% w/ modified dunn for unstable scfe.
35
*A 6-year-old boy has a 2-month history of intermittent, mild, unilateral thigh pain and a limp. An examination reveals a Trendelenburg sign and restricted hip abduction and internal rotation. What radiographic finding would you see? *
Sclerosis of the proximal femoral epiphysis with subchondral lucency. Early radiographic findings of avascular necrosis (AVN) of the hip include sclerosis and a subchondral lucency. A common presentation of Legg-Calve-Perthes disease (idiopathic pediatric hip AVN) is intermittent pain in the thigh, groin, or knee with an examination localizing to the hip; a Trendelenburg gait or sign; and painful, restricted passive hip range of motion.
36
A 15-year-old boy who underwent in situ fixation of a stable slipped capital femoral epiphysis 2 years ago now has groin pain and mechanical symptoms. *AAOS is asking what kind of residual deformity happens after scfe*
Abnormal femoral head-neck junction offset ## Footnote Moderate to severe posteroinferior displacement of the epiphysis relative to the metaphysis may result in substantial proximal femoral deformities, particularly decreased femoral head-neck offset, excessive retroversion of the femoral head, and metaphyseal prominence. These deformities may lead to FAI and pain, stiffness, and premature osteoarthritis of the hip, even at early follow-up.
37
Early scfe epiphysiolysis: aaos wording
Widening of the proximal femoral physis with normal femoral head-neck junction offset
38
worsening groin pain, normal femoral head neck offset acheived after unstable scfe. What radiographic finding would you see for AVN?
Sclerosis of the proximal femoral epiphysis with subchondral lucency
39
DDH US screening simplified graf classification. Alpha angle, beta angle, description, management
40
What is the radiographic classification system:
International Hip Dysplasia Institute classification system The location of the center of the proximal femur metaphysis in relation to the Hilgenreiner line (H-line), Perkin line (P-line), and an oblique line bisecting the lower/outer quadrant is shown. The H-line is drawn through the top of the tri-radiate cartilages bilaterally. The P-line is drawn perpendicular to the H-line at the superolateral margin of the acetabulum. The D-line is a diagonal line drawn 45° from the junction of the H-line and P-line. The H-point is the midpoint of the superior margin of the ossified metaphysis. Grade I, the H-point is at or medial to the P-line. Grade II, the H-point is lateral to the P-line and at or medial to the D-line. Grade III, the H-point is lateral to the D-line and at or inferior to the H-line. Grade IV, the H-point is superior to the H-line.
41
DDH risk factors
Risk factors Female sex, firstborn child, breech presentation, family history of DDH Disorders of intrauterine positioning/packing/molding, such as congenital dislocation of the knee, congenital muscular torticollis, and metatarsus adductus 12% to 33% of affected children have a family history of DDH. Risk is 6% with one affected sibling, 12% with one affected parent, and 36% with a parent and sibling affected.
42
43
DDH key clinical findings before and after 6 months? Most sensitive test for DDH after 6 months?
Clinical presentation varies with age. Before approximately 6 months, the key clinical finding is instability of the hip, whereas children older than approximately 6 months characteristically have asymmetry in abduction profile and apparent limb shortening (in unilateral dislocations). Range of motion testing of the hip is important; **a decrease in abduction is the most sensitive test result for DDH after approximately age 6 months**. Range of motion may be normal in children younger than 6 months because adduction contractures typically have not yet developed.
44
DDH U/S screening: what are the parameters
* U/S in 1st 4-6 months * Alpha angle @46 weeks >60, Beta <55, Acetabular coverage >50% femoral head. ## Footnote Image shows: Figure 5 Images show reference parameters for the hip. A, Ultrasonographic image and corresponding drawing (B) show a normal hip. C, The same ultrasonographic image shown in panel A, with the alpha (a) and beta (ß) angles drawn. In a normal hip, femoral head coverage should be greater than 50%. The a angle should be greater than 60°. D, Ultrasonographic image of a dislocated hip reveals zero femoral head coverage, an a angle of 37°, and a ß angle of 70° Ultrasonography should be performed for infants with risk factors for DDH (eg, breech, family history), including suspicious examination, parental concern, or history of tight lower extremity swaddling.1 The screening should be delayed until 46 weeks gestational age because ligamentous laxity may provide a false sense of hip instability in the early newborn period. * If RF for DDH * Delayed until 46 weeks GA * U/S in 1st 4-6 months * Alpha angle @46 weeks >60, Beta <55, Acetabular coverage >50% femoral head.
45
DDH U/S screening who gets it?
* If RF for DDH * Delayed until 46 weeks GA * U/S in 1st 4-6 months * Alpha angle @46 weeks >60, Beta <55, Acetabular coverage >50% femoral head. ## Footnote Ultrasonography should be performed for infants with risk factors for DDH (eg, breech, family history), including suspicious examination, parental concern, or history of tight lower extremity swaddling.1 The screening should be delayed until 46 weeks gestational age because ligamentous laxity may provide a false sense of hip instability in the early newborn period
46
AP pelvis in DDH: the acetabular index angles at 6 months? 12 months? 24 months?
The acetabular index should be less than 30° at age 6 months, 25° at age 12 months, and less than 23° at age 24 months ## Footnote The Hilgenreiner line is drawn horizontally through the central portion of each triradiate cartilage. The Perkin line is drawn perpendicular to the Hilgenreiner line at the lateral edge of the acetabulum. The Shenton line is a continuous arch drawn along the medial border of the femoral neck and the superior border of the obturator foramen (Figure 6). The acetabular index is the angle formed by an oblique line through the outer edge of the acetabulum and the triradiate cartilage and the Hilgenreiner line along the sourcil. The acetabular index should be less than 30° at age 6 months, 25° at age 12 months, and less than 23° at age 24 months
47
What are some impediments to reduction in DDH
Impediments to reduction Transverse acetabular ligament Ligamentum teres Fibrofatty tissue/pulvinar Labrum Anteromedial capsule Iliopsoas and adductor tightness
48
Healthy hip swaddling in DDH?
Healthy hip swaddling A sleep sack with the infant’s legs able to freely move is preferable over including the legs in a tight swaddle. Do not force or maintain neonatal hip extension/adduction. This is most commonly done with lower extremity swaddling.
49
Management of DDH is based on age, stability, and severity of dysplasia. Obtaining and maintaining concentric reduction and avoiding osteonecrosis likely are the main factors in accomplishing the best long-term hip function and radiographic results. * 0-6 months? * 6-18 months? * >18 months when is open management generally indicated?
0-6: Pavlik for dysplasia, subluxation, complete dislocation. Hips flexed 90-100 w/ mild abduction. excess flexion=femoral n palsy (absence of quad function: hip/knee extension) excess abduction= increased risk of osteonecrosis.
50
tx for residual dysplasia after reduction? 3 general types of osteotomies
Residual dysplasia after hip reduction * Pelvic osteotomy may be indicated for a **broken Shenton line or persistent acetabular dysplasia.** Clinical practice varies considerably with regard to pelvic osteotomy in children older than 2 years. The three general types of pelvic osteotomy are **redirectional, reshaping, and salvage**. * Redirectional: single innominate (Salter) osteotomy, triple innominate osteotomy, Bernese periacetabular osteotomy * Reshaping: Pemberton osteotomy, Dega osteotomy, San Diego osteotomy * Salvage: Chiari osteotomy, shelf osteotomy
51
Pavlik Harness pearls for DDH: Who gets it? What do avoid? Duration? what if it doesn't reduce the hip? success rates?
* 0-6months: Pavlik for dysplasia, subluxation, complete dislocation. * Hips flexed 90-100 w/ mild abduction. * serial monitoring clinically and w/ u/s 1-2 weeks * excess flexion=femoral n palsy (absence of quad function: hip/knee extension) * excess abduction= increased risk of osteonecrosis. * duration: uninterupted mgm for 6-12 weeks after clinical stability achieced or acetbular develop normalized. * discontinued if the dislocated hip does not reduce within 2 to 3 weeks to avoid Pavlik harness disease (deformation of the posterosuperior acetabular rim). * Success rates higher than 90% have been reported with use of a Pavlik harness in patients with a dislocated, reducible hip. * Follow-up until skeletal maturity is necessary to manage recurrent instability or residual acetabular dysplasia * If a Pavlik harness is unable to result in hip stability, a semirigid hip abduction orthosis may be used.1
52
For DDH, If Pavlik harness doesn't work, what does a child 6-18 months get? How do you confirm closed reduction?
6-18 months A Pavlik harness can be attempted; however, closed or open reduction with arthrography under general anesthesia may be required. **Hip arthrography** is used intraoperatively to confirm the adequacy of closed reduction. **A medial dye pool of less than 16% of femoral head width should be observed between the femoral head and the ischial limb of the acetabulum**9
53
DDH tx for child 6-18? What are the The safe and stable zones for abduction/adduction, flexion/extension, and internal/external rotation should be established?
* Closed reduction, **Hip arthrography** is used intraoperatively to confirm the adequacy of closed reduction. **A medial dye pool of less than 16% of femoral head width should be observed between the femoral head and the ischial limb of the acetabulum** * adductor tenotomy increases safe zone * spica cast: 90-100 hip flexion, 20-30 abduction from maximum. Hip abduction should be less than 60 to decrease risk of osteonecrosis, >40 to diminish risk of redislocation. * Open reduction if you have too (excessive abd >60 require, remove soft tissue impediments) * medial or anterior approach for closed reduction (20% risk of osteonecrosis in both) * Spica: 2 6 week casts, then abduction brace ## Footnote The safe and stable zones for abduction/adduction, flexion/extension, and internal/external rotation should be established. Adductor tenotomy may be used to increase this safe zone. A spica cast is applied with the hip in the human position (hip flexion of 90° to 100° and abduction 20° to 30° from maximal). Hip abduction should be less than 60° to minimize the risk of osteonecrosis but greater than 40° to diminish the risk of redislocation.14 Open reduction is indicated if concentric closed reduction cannot be achieved or if excessive abduction (>60°) is required to maintain reduction. The goal of open reduction is to remove the obstacles to reduction and/or safely increase stability of the hip. Impediments to congruent reduction are the iliopsoas muscle, hip adductors, joint capsule, ligamentum teres, pulvinar, and transverse acetabular ligament. An infolded labrum may be an impediment in some patients. A medial or anterior approach may be used to achieve open reduction with similar rates of osteonecrosis (almost 20%) reported in a recent meta-analysis.15 Reduction of the hip in the cast typically is confirmed via three-dimensional imaging. Cast immobilization is performed with the use of two 6-week spica casts, with interim cast changes and assessment of stability. An abduction brace may then be used until the acetabulum normalizes.
54
DDH tx >18 months: * preferred tx option? * upper age limit for surgery in unilateral and bilateral? * femoral shortening osteotomy is indicated for? * pelvic osteotomy indicated for?
* Anterior open reduction is the preferred treatment option * Surgical treatment generally is indicated for children as old as 8 to 10 years with a unilateral dislocation; however, this is highly controversial. After 10 years of age, the risks associated with surgical management outweigh the advantages, and very little remodeling potential remains. The upper age limit for surgical management of DDH in children with bilateral dislocations typically is age 6 to 8 years * Femoral shortening osteotomy is indicated in children with a high-riding dislocation to achieve and maintain reduction and minimize the risk of osteonecrosis. This is necessary in most, but not all, children older than 36 months or those with a femoral head displaced cranially more than 30% of pelvic width.16 * A pelvic osteotomy may be necessary for the management of severe acetabular dysplasia (typical in children older than 18 to 24 months). Pelvic osteotomy notably reduces the rate of revision surgery if performed at the time of initial surgical treatment in children in this age group.
55
Princples of pelvic osteotomies for DDH? Reconstructive pelvic osteomies do what, what is a prerequisite? What are the redirectional osteotomy options?
Change the pathologic mechanical environment by: * Increasing femoral head coverage via augmentation of the acetabular roof * Changing the spatial orientation of the acetabulum Reconstructive pelvic osteotomies redirect or reshape the roof of the native acetabulum into a more appropriate weight-bearing position. A prerequisite for reconstructive pelvic osteotomy is a hip that can be reduced concentrically and congruently. The hip also must have near-normal range of motion. Redirectional pelvic osteotomies (Figure 10) include the single innominate (Salter), triple innominate osteotomy, and periacetabular or rotational osteotomies. redirectional pelvic osteotomy options. A, Single innominate (Salter). B, Triple innominate. C, Bernese periacetabular.
56
DDH pelvis osteotomies: * Ganz periacetabular osteotomy or rotational acetabular osteotomies? * Reshaping pelvic osteotomies (acetabuloplasties) include * Salvage osteotomies do what? who are they indicated for? types?
* The Ganz periacetabular osteotomy or rotational acetabular osteotomies can be performed in skeletally mature patients with a closing triradiate cartilage and residual acetabular dysplasia without advancing arthritis (ideally Tönnis grade coxarthrosis 0 or 1).17 * Reshaping pelvic osteotomies (acetabuloplasties) include the Pemberton, Dega, and San Diego osteotomies. * Salvage osteotomies increase weight-bearing coverage by using the joint capsule interposed between the femoral head and the bone above it. Salvage osteotomies rely on fibrocartilaginous metaplasia of the interposed joint capsule to provide an increased articulating surface. The intent of these osteotomies is to reduce point loading at the edge of the acetabulum. **Salvage osteotomies typically are indicated in adolescents with severe dysplasia in whom acetabular deficiency precludes a reconstructive osteotomy.** Salvage osteotomies include the **Chiari and shelf osteotomies.**
57
DDH outcomes: As many as ??? of patients who undergo successful closed reduction require secondary surgery. ??? osteotomy is associated with a long-term survivorship (mean, 18 years) of 74% (no conversion to total hip arthroplasty and 53% of patients are asymptomatic).
As many as **50%** of patients who undergo successful closed reduction require secondary surgery. **Bernese periacetabular osteotomy** is associated with a long-term survivorship (mean, 18 years) of 74% (no conversion to total hip arthroplasty and 53% of patients are asymptomatic).
58
This patient would benefit most from what kind of osteotomy?
**Salvage** Pelvic osteotomies that redirect hyaline cartilage over the femoral head offer the potential for long-term preservation of the hip; however, salvage procedures such as the Chiari osteotomy are indicated in patients without a concentrically reducible hip. Ito and associates reported that moderate dysplasia and moderate subluxation without complete obliteration of the joint space and a preoperative center-edge angle of at least minus 10 degrees are desirable selection criteria.
59
*0-6 month child being treated in a pavlik for DDH, what's the success rate? What sould be done to confirm tx? If femoral head not reduced after ???, then management should consist of ??? to avoid???*
infant has a well-positioned hip in the Pavlik harness and treatment should be continued in the current position. The success rate is over 90% with the use of this device for a dislocatable hip. Ultrasound is a useful tool to confirm appropriate positioning of the cartilaginous femoral head during treatment. If the femoral head is not reduced after 2 to 3 weeks in the harness, this mode of treatment should be abandoned. Forceful extreme abduction can cause osteonecrosis of the femoral epiphysis and should be avoided. Closed reduction, arthrography, and spica casting are indicated if the hip cannot be maintained in a reduced position with the harness
60
*If pavlik harness fails to maintain reduction at ???, next steps? With pavlik harness, continued abduction and hip flexion may lead to?*
If use of the Pavlik harness fails to maintain reduction at 2 weeks, use of the harness should be discontinued to avoid creating further deformity of the acetabulum. Alternative treatments considered later include bracing, closed reduction, and spica casting, or open reduction and spica casting. With a Pavlik harness, continued abduction and hip flexion of the displaced hip may lead to posterolateral acetabular dysplasia.
61
*Which of the following is the most sensitive test result for developmental dysplasia of the hip (DDH) after age 6 months of age?*
**Decrease in abduction** Limited abduction is the most sensitive clinical sign in the initial evaluation of DDH in patients over 6 months of age. In patients over 6 months of age, radiography using an AP pelvis view may provide useful insight into the extent of the dysplasia.
62
*A 3-month-old female is referred by her pediatrician for a positive Ortolani test. Ultrasonography confirms the most likely condition. What is the next best step in the management of this patient?*
63
Congenital Knee Dislocation: What is the grading system and treatment for each
Associated w/ DDH (if present treat and Clubfoot **Grade I **simple recurvatum on xray, PROM >90 degrees **Grade II.** subluxation dislocation. 30-90 PROM Initial treatment is manipulation with serial casting to correct the deformity. **Grade III:** dislocation <30 deg **tx: ** 1. **reduction w. manual manipulation and long leg casting weekly. ** * Tarek GI, initial tx for GII (up to 1 month of age) * if both knee and hip dislocated tx knee 1st (can't get pavlik harness on hip if knee dislocated) 2. **surgical soft tisse release** * failure to gain 30 deg of flexion after 3 months of casting * GII indentified 1 month of age, GII and recurrent cases * goal of surgery is to obtain 90 deg of flexion. ## Footnote In newborn infant, casting or bracing with the knee in flexion should be performed. If this fails, percutaneous or open VY quadricepsplasty, followed by above-knee casting, is indicated. obvious hyperextension of the knee and imaging may show anterior translation of the tibia on the femur. goal of surgery is to obtain 90° of flexion percutaneous quadriceps recession (PQR) quadriceps tendon lengthening (V-Y quadricepsplasty or Z lengthening) anterior joint capsule release hamstring tendon posterior transposition collateral ligaments mobilization postoperative cast in 45 to 60° flexion for 3 to 4 weeks
64
How to differentiate biparte patella with fx?
Bipartate patellas: * located superolaterally, * smooth rounded borders, * may have similar findings on** contralateral knee radiographs (50%)** * Can be painful, will see edema around fragment in symptomatic knee. * tissue is fibrocartilage>fibrous> hyaline cartilage and avascular; while adj bone is well vascularized. Tx: rest, restrictions, NSAIDs, isometric quad strengthening, +/- immoblization in 30 of flexion. for atleast 6 months in symptomatic bipartate ## Footnote Bipartite patella is usually an asymptomatic, incidental finding. However, in adolescents, it may be a cause of anterior knee pain following trauma or a result of overuse or strenuous sports activity. Most patients improve with nonsurgical treatment. Surgery is considered when nonsurgical treatment fails. Excision of the fragment is the most popular surgical option, with good results. However, when the fragment is large and has an articular surface, excision may lead to patellofemoral incongruity. Lateral retinacular release and detachment of the vastus lateralis muscle insertion are other surgical options and are reported to produce good pain relief and union in some patients. These procedures reduce the traction force of the vastus lateralis on the loose fragment. Internal fixation of the separated fragment has limited support in the literature. Understanding the possible consequences of different treatment approaches to painful bipartite patella is necessary to preserve quadriceps muscle strength and patellofemoral joint function.
65
Blount Disease (Tibia Vara) what is the pathology? How does it compare to adolescent condition?
* In infantile Blount disease, excess medial pressure (such as in early walkers who are obese and have physiologic varus alignment) produces an osteochondrosis of the physis and adjacent epiphysis that may progress to a physeal bar. * In adolescent Blount disease, a varus moment at the knee during the stance phase of gait further inhibits medial physeal growth according to the Hueter-Volkmann principle (compression results in decreased growth of the physis). ## Footnote Infantile Blount's disease is progressive pathologic genu varum centered at the tibia in children 2 to 5 years of age. Diagnosis is suspected clinically with presence of a genu varum/flexion/internal rotation deformity and confirmed radiographically with an increased metaphyseal-diaphyseal angle. Xrays shows The severe depression of the proximal medial tibial epiphysis is most consistent with the diagnosis of neglected infantile Blount's disease. Blount's disease in adolescents produces a deformity in the metaphyseal region.
66
Describe the normal physiologic knee aligment in kids? *Physiologic bowing of the lower extremities should spontaneously correct by what age?* graft is shown
Tibia vara is considered physiologic in children younger than 2 years. Physiologic tibia vara should resolve between ages 2 and 3 years. If tibia vara is present or worsening by age 3 years, a diagnosis of Blount disease should be considered. AAOS *It usually resolves by 2 years of age but there is great variability. By age 36 months, almost all children will correct spontaneously.* ## Footnote In children with physiologic bowing, the screening examination is typically normal and a family history is absent; therefore, radiographs are not necessary. If the deformity has not resolved by age 2 years, an AP radiograph of the lower limbs should be obtained. This provides documentation of the severity of the bowing, permits measurement of the metaphyseal-diaphyseal angle and/or Langenskiold grade, and allows evaluation for conditions such as rickets or bony dysplasia. No treatment is indicated for physiologic bowing.
67
Blunt disease: higher incidence in? RF? believed to result from? considered a multiplanar deformity that includes? clinical findings of pathologic bowing?
* F, Obese, AA, walk early (before age 11 months) * biomechanical overload of the proximal posteromedial tibial physis in individuals who are genetically susceptible. * multiplanar deformity that includes **varus, procurvatum, and internal rotation.** * Clinical findings suggestive of pathologic bowing include localized bowing at the proximal tibia, severe deformity, progression, and lateral thrust during gait.
68
Genu varum is a normal physiologic process in children **physiologic genu varum:** genu varum (bowed legs) is normal in children less than ? years genu varum migrates to a neutral at ~ ? months continues on to a peak genu valgum (knocked knees) at ~ ? years of age genu valgum then migrates back to normal physiologic valgus at ~ ? years of age
physiologic genu varum * genu varum (bowed legs) is normal in children less than** 2 years** * genu varum migrates to a neutral at ~ **14 months** continues on to a peak genu valgum (knocked knees) at **~ 3 years of age** genu valgum then migrates back to normal physiologic valgus at** ~ 7 years of age**
69
Critical Imaging study in Blount disease (tibia vara)
Full-length standing radiographs from the pelvis to the feet with the patella in the forward position should be obtained in children older than 18 months with the aforementioned findings. If the metaphyseal-diaphyseal angle (Figure 5) is **less than 10°, a 95% likelihood exists that the bowing will resolve.** **If the metaphyseal-diaphyseal angle is greater than 16°, a 95% likelihood exists that the bowing will progress.** For metaphyseal-diaphyseal angles between 11° and 16°, monitoring is required.
70
The histopathologic findings in the physes of infantile vs adolescent are?
are the same regardless whether the child has infantile or adolescent Blount disease. **Disorganized physeal cartilage** is present with **disruption of the normal architecture in the resting zone.**
71
Management of infantile Blount (tibia vara) Non op? Surgery?
Non-Op * * The efficacy of brace management is controversial. * Brace management with the use of a** knee-ankle-foot orthosis locked in extension KFO** may be indicated in patients aged** 2 to 3 years** who have *mild disease* (stage 1 to stage 2). * Poor results are associated with obesity and bilaterality. * Improvement should occur within 1 year; however, management must be continued until bony changes resolve, which usually occurs within 1.5 to 2 years. Surgery: * >3 needs surgery * younger than 3.5 lateral hemi-epiphysiodesis of proximal tibial and distal femur * 4 y/o proximal tibial and fibula valgus producing osteotomy recommended if varus thrust in gait present. Ppx anterior compartment fasciotomy needed. ## Footnote AAOS Q/A: *bracing with a valgus-producing knee-ankle- foot orthosis effectively improves this deformity at age 2*. Braces can be used, but they are associated with success rates of 50% to 70% if worn appropriately and are most effective for children younger than age 3. To be effective, bracing is best worn full time, and has not been shown effective when worn fewer than 12 hours per day Proximal tibial and fibular valgus-producing osteotomy is indicted for children younger than 4 years of age
72
Surgical management of adolescent Blount disease
* **Temporary or permanent hemi-epiphysiodesis **of the proximal lateral tibia prevents deformity progression and may allow for some correction in adolescents with mild to moderate Blount disease who have **at least 15 to 18 months of growth remaining.** * Severe deformities and/or deformities in skeletally mature patients require proximal tibial osteotomy. * Correction of deformity may be performed acutely or gradually via an external fixator. * Patients should be carefully assessed for distal femoral varus, which can be managed via hemi-epiphysiodesis in immature patients or via distal femoral osteotomy in patients with severe deformities and in mature patients. ## Footnote Surgical elevation of the medial tibial plateau is a procedure that is occasionally necessary in individuals with early onset Blount's disease but is not indicated for individuals with late onset Blount's disease. Distal femoral varus deformity is commonly present and must be addressed.
73
Surgical complications with blunt disease? Most common?
**Recurrence** *The most common complication is recurrence, particularly in patients with alignment that was **not overcorrected by 10° valgus** and in patients older than 4 years. *Patients younger than **4 years have a 30% recurrence rate**. **Patients older than 4 years have a recurrence rate higher than 70%.** *Compartment syndrome in the postoperative period secondary to the tibial osteotomy; can partially be prevented by performing an anterior fasciotomy during surgical management.
74
Outcomes of blounts: Outcomes greatly depend on the ? and ? Good outcomes are directly related to *overcorrection of the mechanical axis of the limb into valgus before age 4 years.*
** degree of medial tibial physis involvement (Langenskiöld classification) **and the** age at which treatment is initiated.** Good outcomes are *directly related to overcorrection of the mechanical axis of the limb into valgus before age 4 years.*
75
Genu valgum in the skeletally mature individual is most appropriately treated with a
varus-producing distal femoral osteotomy. If the deformity were to be addressed with a medial closing wedge tibial osteotomy an oblique joint line would be maintained.
76
Severe bilateral genu valgum in a skeletally immature patient. What's the treatment
Temporary hemiepiphysiodesis across the bilateral medial distal femoral growth plates is the most appropriate treatment. Temporary hemiepiphysiodesis, or temporary physeal tethering using staples or tension plates, can be utilized to redirect physeal growth depending on the amount of growth calculated to remain for the child. **Surgical correction is warranted if a mechanical axis line drawn from the center of the head of the femur to the center of the ankle falls in at least the outer 25% of the tibial plateau in children older than 10 years.**
77
Fibular Deficiency
* most common congenital long bone deficiency * sonic hedge-hog gene * Anteriormedial tibial bowing * Tarsal coalition (50%), ball and socket ankle. LLD, acl deficiency, DDH * Treatment: determined by the stability and level of foot and ankle function, as well as the degree of limb shortening surgical options: - contralateral epiphysiodesis alone (mild LLD, stable plantigrade foot) - Limb lengthening alone (<10%) - LLD + contralateral epiphysiodesis - Syme amputation (deformed nonfunction foot, LLD >30%, performed at 1 year of age ## Footnote Congenital fibular deficiency (CFD) is the most commonly reported congenital long bone deficiency. While its specific etiology remains unknown, it is associated with ball-and-socket ankle joint, lateral femoral condyle hypoplasia, and a moderately shortened femur. This spectrum of abnormalities also can include hypoplasia of the lateral tibial spine, absent lateral rays, tarsal coalition, developmental dysplasia of the hip, and cruciate ligament deficiency. Treatment of fibular deficiency is typically either amputation or complex limb lengthening, depending on the severity of the deformity and the functionality of the foot and ankle. The Achterman and Kalamchi classification is based on the amount of fibula present, and treatment is based on limb length discrepancy (LLD), skeletal maturity, and the need to achieve a stable, plantigrade foot.
78
Fibular hemimelia is associated
with **missing or absent lateral rays/toes, partial or complete absence of the fibula, and anterior cruciate ligament insufficiency.** Tibial hemimelia is associated with insufficient extensor mechanism, clubfoot deformity, and, in some cases, cleft hands. MCL is not usually involved in this disorder
79
A 12-month-old boy has right congenital fibular intercalary hemimelia with a normal contralateral limb. A radiograph of the lower extremities shows a limb-length discrepancy of 2 cm. All of the shortening is in the right tibia. Assuming that no treatment is rendered prior to skeletal maturity, the limb-length discrepancy will most likely
Many congenital limb deficiencies and bowing deformities result in growth retardation. If unilateral, a gradually progressive limb-length discrepancy will result; however, the proportional lengths of the lower extremities will remain at a relatively constant ratio. For example, if the right foot is at the level of the left knee at birth, this will still be true at maturity. This concept can be useful for early prediction of limb-length discrepancy by using a “multiplier method,” as described by Paley and associates. This method can facilitate early treatment decisions, such as the need for amputation, without having to wait for serial scanography measurements.
80
Posterior medial tibial bowing: What cause it? Associated deformity? Tx? Outcomes?
* Intra-uterine positioning * calcaneovalgus foot * Posteromedial tibial bowing demonstrates an apex of deformity at the distal leg * Tx: observation as usually resolves by 5 to 7 * > 50% of patients end up requiring surgical intervention for LLD * Most common sequelae of posteromedial bowing is average leg-length discrepancy of 3-4 cm * The bowing deformity is likely to resolve by the age of 5 (~80% of patients) but more than 50% of patients will require future surgery for residual leg length difference (LLD) ## Footnote Posteromedial Tibial Bowing is a congenital condition thought to be a result of intrauterine positioning that typically presents with a calcaneovalgus foot deformity and leg length discrepancy. *AAOS*The photograph shows posteromedial bowing of the tibia. The child should be followed for later limb-length discrepancy, which may need treatment. Treatment with bracing or serial casts has not been shown to alter this condition. Surgery is not indicated in infancy because much of the deformity corrects with time. At a later age, treatment of a limb-length discrepancy or residual deformity can be addressed. The bowing slowly diminishes, although a considerable limb-length discrepancy can develop (3-8 cm). It is important to differentiate this condition from anterior lateral bow of the tibia, which is associated with congenital pseudarthrosis of the tibia and neurofibromatosis
81
What is this condition? What is the natural hx? What is it associated with?
congenital posteromedial bowing of the tibia. The natural history of this condition is gradual improvement, with the patient being left with a limb-length discrepancy at skeletal maturity. Bowing is associated with a calcaneovalgus deformity of the ipsilateral foot. There is no association with scoliosis and skin lesions. There is no increased risk for bone tumors or neurologic issues with congenital posteromedial bowing of the tibia
82
NF1 infant with these findings needs what additional work up?
Bracing and referral to genetic to evaluate for systemic disease The radiographs show a severe pseudarthrosis tibia/fibula that has fractured. This is highly associated with neurofibromatosis type I, which needs to be evaluated with a genetics workup before discussing treatment. Cast immobilization is not needed if the child is not walking and not in pain. Surgical management should proceed only after the workup is complete ## Footnote NF is commonly associated with the following orthopedic manifestations: anterolateral tibial bowing, pseudoarthrosis of the tibia, pseudoarthrosis of the forearm, hemihypertrophy, scoliosis, and atlantoaxial instability. Characteristics of forearm pseudoarthrosis consist of outward deformity, little outward signs of trauma, the disappearance of the medullary canal in the distal third of the forearm, and bowing deformity. Congenital forearm pseudoarthrosis is associated with NF in approximately 50% of cases.
83
NF1: what are the associated extremity deformities? Tx for leg?
hemihypertrophy, congenital anterolateral bowing, and pseudarthrosis of the lower leg and forearm. Tx: * influenced by the presence of a fracture or pseudarthrosis. * *Total contact orthosis* is indicated for anterolateral bowing without a fracture or pseudarthrosis to prevent further bowing or occurence of a fracture. * **Bone grafting and surgical fixation is indicated with a fracture or pseudarthrosis**. Amputation is typically reserved following 3 failed surgical attempts. ## Footnote Anteromedial and posteromedial tibial bowing are associated with fibular hemimelia and physiologic tibial bowing, respectively. NF1 (AD) is commonly associated with the following orthopedic manifestations: anterolateral tibial bowing, pseudoarthrosis of the tibia, pseudoarthrosis of the forearm, hemihypertrophy, scoliosis, and atlantoaxial instability. Characteristics of forearm pseudoarthrosis consist of outward deformity, little outward signs of trauma, the disappearance of the medullary canal in the distal third of the forearm, and bowing deformity. Congenital forearm pseudoarthrosis is associated with NF in approximately 50% of cases.
84
Scoliosis in NF1
* Scoliosis is the most common skeletal manifestation of NF1. * Nondystrophic scoliosis is less common than dystrophic scoliosis. Its clinical appearance and behavior mimic idiopathic scoliosis. * Dystrophic scoliosis is recognized earlier than nondystrophic. It is characterized by a sharp angular curve involving 4 to 6 vertebrae. It is progressive and more difficult to treat. * Scoliosis is not found in NF2. * Axillary freckling is common in NF1 or NF2.
85
# * Scoliosis in NF1, prognostic factors for rapid progression?
neurofibromatosis and dystrophic scoliosis, penciling of 3 or more ribs is prognostic for rapid progression and is the greatest risk factor for rapid progression.
86
neurofibromatosis and severe kyphosis
anterior and posterior treatment is needed to achieve correction and fusion. In situ fusion has a high failure rate with the kyphotic deformity and even with traction, correction of the kyphosis is not expected. Anterior treatment alone may achieve correction, but in neurofibromatosis only circumferential treatment has been shown to provide long-term stability.
87
LLD Projections: * growth continues until ? in boys and ? in girls? * Leg grows ? mm/yr with most coming from the ? * Proximal Femur * Distal femur * proximal tibia? * distal tibia?
* growth continues until 16 in boys and 14 in girls? * Leg grows 23 mm/yr with most coming from the knee 15 mm/yr * Proximal Femur: 3 mm/yr * Distal femur: 9 mm/yr * proximal tibia: 6 mm/yr * distal tibia: 5 mm/yr
88
LLD shoe lift/observation only? Shortening of long side of epiphysiodesis? Limb lengthening of short side? Physeal bar excision? Amputation and prosthetic?
LLD shoe lift/observation only: **<2cm LLD** Shortening of long side of epiphysiodesis? **2-5 cm  projected LLD** Limb lengthening of short side?** > 5cm projected LLD ** Physeal bar excision? bone bridge involves **<50% of physis** Amputation and prosthetic? non reconstructable limb **>20 cm projected LLD** ## Footnote LLD shoe lift/observation only: **<2cm LLD** Shortening of long side of epiphysiodesis? **2-5 cm  projected LLD** Limb lengthening of short side?** > 5cm projected LLD ** Physeal bar excision? bone bridge involves **<50% of physis** Amputation and prosthetic? non reconstructable limb **>20 cm projected LLD**
89
LLD Peds: distraction osteogenesis, how long to wait after osteotomy and exfix? How much to distract daily?
* metaphyseal corticotomy to preserve medullary canal and blood supply * 1 mm per day * then keep exfix on for as many days as you lengthened.
90
treatment options for deficiency below depends on what? Treatment options include?
In PFFD, treatment options depend on: (1) predicted length of the femur at maturity and (2) pelvic-femoral stability. This usually leaves the following treatment options: 1. If the hip joint is unstable (deficient femoral head and acetabulum, Aitken C/D), femoral-pelvic fusion is indicated. If the hip joint is stable (Aitken A/B) or is made stable, and the: a. foot of the involved limb lies proximal to the knee joint, Syme amputation (at 10-14mths) and knee fusion (at 3-4yrs) will allows the limb to bear an above-knee prosthesis. b. foot lies at knee level, Van Ness rotationplasty. c. limb shortening is minimal, limb lengthening +/- contralateral epiphyseodesis is indicated. ## Footnote principles of rotationplasty. They state that the requirements include: adequate plantar flexion strength, functional ROM, sensate foot and (attainable or braceable) proximal pelvic stability. They recommend against rotationplasty for PFFD in patients <12 yrs (to reduce late derotation).
91
Most common cause of in-toeing in toddlers? prognosis? How do you measure it? Tx? When to operate? When does it necessitate furth work up?
Internal Tibial Torsion: * 1-3 y/o * spontaneously resolves by 4 * surgery is indicated for >6-8 y/o w. functional problems and thigh-foot angle>15 deg *** Thigh - foot ankle directed internal > 10degrees** considered intoeing * Transmalleolar axis >15 degrees internal * Further work up: pain, LLD, progressive deformituy, family hx of rickets/skeletal dysplasia/mucopolysacharidoses, limb rotation 2+ SD outside normal * Tx: observation parental education, bracing does nothing, usually resolves by 4 ## Footnote etiology: unknown, believed to be caused by intra-uterine positioning and molding Normal values of TFA: infants- mean 5° internal (range, −30° to +20°) age 8 years- mean 10° external (range, −5° to +30°) Transmalleolar axis: amgle formed by a line from lateral-medial mallolus and second line from lat-med femoral condyles. Avg= 0 to -10 deg internal during infancy (which gradually lateerall rotates to 15 deg external rotation during growth abnormal is greater than 15 deg internal rotation.
92
What are the 3 causes of intoeing?
1. tibial torsion: TFA>10 internal 2. Metarsus adductus: medial deviation of the forefoot (abdormal heel bisector) normal hindfoot 3. femoral anteversion: IR >70 and < 20 ER
93
When to operate for internal tibial torsional? What surgery?
**derotational supramalleolar tibial osteotomy vs. proximal osteotomy** * child >6-8 years of age w/ functional problems and TFA > 15 deg * IM if skeletally mature
94
18 month old triplets with this finding? best initial treatment
triplets exhibit genu varum and internal tibial torsion that can be part of normal development. Fetal packing is the likely major contributing cause for these triplets, however. Observation and follow-up will be sufficient.
95
5 components of rotational profile assesment
* internal and external hip rotation, * thigh-foot axis, * transmalleolar axis, * heel-bisector * foot progression angle. Normal values for clinical measurements are: foot progression angle -5 to 20 degrees, IR and ER up to 70 degrees, and thigh-foot axis between -10 to 20 degrees.
96
Best way to evaluat tibial torsion?
**Thigh foot axis:** 5 deg internal infancy, that slowly derotates, average at 8 years of age is 10 degrees external ranging from -5 to +30 **Transmalleolar axis measurement: ** - avg infancy 4-5 deg internal rotation, avg adult is 23 ded ext (0-40 range)
97
External Tibial torsional: How to dx? Associated conditions? First line tx? When to operate?
* TFA >20 * Miserable malalignment syndrome, Ext torsion + femoral anteversion * Osfood-schlatter disease, osteochnodritis dessicans, early DJD * Anterior knee pain from patellofemoral malalignment * Tx: rest, rehab, activity modification * Operative: >8 y/o w/ external tibial torsion greater than 3 SD above the mean (>40 deg ext) * **Supramalleolar rotaional osteotomy**
98
Limb lengthening mechanical vs anatomic considerations?
* **femoral lengthening of the limb along its mechanical axis, the goal is overall mechanical axis preservation and this is not altered.** * When lengthening the limb along the anatomical axis of the femur, there is lateral mechanical axis deviation (LAD). There is a difference of approximately 7° between the mechanical axis of the limb and the anatomical axis of the femur. Lengthening along the anatomical axis of the femur leads to lateral MAD. Similarly, shortening along the anatomical axis of the femur leads to medial MAD. ## Footnote There is no change in mechanical axis when lengthening along the MECHANICAL axis. When limb deformity is corrected along the ANATOMICAL axis: If the limb is shortened, the mechanical axis moves MEDIAL. If the limb is lengthened, the mechanical axis moves LATERAL.
99
Where is the physis with the highest growth rate (in mm per year) located?
Distal Femur 9-11 mm/year Proximal Humers 7 mm per year distal radius 5-6 mm/year distal tibia 4-5 mm/year
100
Congenital Knee Dislocation *What is the primary pathology*
* *Shortening of Quad tendon* * The fundamental pathology features are contracture of the quadriceps, a tight anterior capsule, and hypoplasia of the suprapatellar bursa. The tibia is anteriorly dislocated on the distal femur. There is often an external rotation deformity of the knee. Due to the dislocation, the medial and lateral collateral ligaments are displaced over the femoral condyles but generally not absent.
101
What is the prognosis for congenital dislocation of knee? Better for? Worse for?
* Improved outcomes: earlier treatment, reducible knee, anterior skin grooves (reflect short time of dislocation in utero) * poor outcomes: irreducible knee (surgery)m Neuromuscular etiology. * knee flexion at presentation not correlated w. better outcomes
102
Congenital knee dislocation: failed serial casting, traction, pavlk to reduce knee, next step in treatment?
* quadricepsplasty w/ incorporation of anterior capsule * femoral shortening osteotomy advocated for combined knee and hip dislocation.
103
congenital dislocation down stream issues:
* ACL laxity (surgery if functional issue) * extension lag common not associated w/ function issues * subluxation does not merit revision surgery * hypoplasia of distal femur, proximal tib/fib common
104
Congenital knee dislcation + hip dislocation + club foot what to treat first?
* Tx knee prior to hip or foot * flexion of knee relaxes hamstrings which otherwise pull hip superior/lateral * tight gastrocs exacerbate clubfoot
105
obese 3 y/o w/ unilateral bowing (30 deg) seen in image, what's the appropriate managment?
**infantile tibia vara (Blount's disease). ** The radiograph shows severe deformity with the characteristic Langenskiold stage 3 changes of the medial proximal tibial metaphysis that distinguish it from physiologic bowing. * **proximal tibiofibular osteotomy with acute correction into slight valgus** to unload the damaged area of the physis. This method provides the best results in patients younger than age 4 years. * Continued observation would result in progressive deformity. Bracing is most effective in younger children with less severe deformity. Lateral proximal tibial hemiepiphysiodesis relies on growth of the injured medial physis for correction and would result in severe tibial shortening in this young child. Complete epiphysiodesis also produces severe shortening and requires multiple lengthening procedures
106
2 yr old w/ genu varum and tibial bowing? Best initial course of action?
**Obtain serum phosphorous, calcium, and alkaline phosphatase levels.** ## Footnote radiograph shows multiple wide physes, consistent with a diagnosis of rickets. A low serum phosphorous level and an elevated alkaline phosphatase level are the hallmarks in diagnosing familial hypophosphatemic Vitamin D-resistant rickets. Serum calcium is usually normal or low normal. This disease is inherited as an X-linked dominant trait and usually presents at age 18 to 24 months. The disease results from a poorly defined problem with renal phosphate transport in which normal dietary intake of vitamin D is insufficient to achieve normal bone mineralization. Renal tubular dysfunction is associated with urinary phosphate wasting. Treatment involves oral phosphate supplementation, which can cause hypocalcemia and secondary hyperparathyroidism. To prevent associated problems, high doses of Vitamin D are administered. While obtaining a scanogram may be clinically indicated in an associated limb-length discrepancy, and subsequent corrective surgery may be indicated, either of these choices would not be the first course of action. An orthosis may slow the progression of genu varum in this disorder but is less important than establishing the correct diagnosis to begin pharmacologic treatment. This amount of varum and tibial bowing far exceeds the normal limits of physiologic genu varum. Skeletal dysplasias usually are not associated with abnormal laboratory values.
107
Rickets: Inheritance pattern? Age at presentation? Imaging findings? Lab findings?
radiograph shows multiple wide physes, consistent with a diagnosis of rickets. A low serum phosphorous level and an elevated alkaline phosphatase level are the hallmarks in diagnosing familial hypophosphatemic Vitamin D-resistant rickets. Serum calcium is usually normal or low normal. This disease is inherited as an X-linked dominant trait and usually presents at age 18 to 24 months. The disease results from a poorly defined problem with renal phosphate transport in which normal dietary intake of vitamin D is insufficient to achieve normal bone mineralization. Renal tubular dysfunction is associated with urinary phosphate wasting. Treatment involves oral phosphate supplementation, which can cause hypocalcemia and secondary hyperparathyroidism. To prevent associated problems, high doses of Vitamin D are administered. While obtaining a scanogram may be clinically indicated in an associated limb-length discrepancy, and subsequent corrective surgery may be indicated, either of these choices would not be the first course of action. An orthosis may slow the progression of genu varum in this disorder but is less important than establishing the correct diagnosis to begin pharmacologic treatment. This amount of varum and tibial bowing far exceeds the normal limits of physiologic genu varum. Skeletal dysplasias usually are not associated with abnormal laboratory values.
108
5 y/o with these radiographic findings: What is this condition? What's the natural progression? How to treat now and later?
**anterior lateral bowing of the tibia** with intramedullary sclerosis at the site of the deformity. * This is the **prefracture stage of congenital pseudoarthrosis of the tibia** and the child is at **risk for spontaneous fracture and nonunion**. * A clamshell orthosis may prevent or delay fracture. * Treatment of established nonunion ranges from bone grafting and intramedullary nailing to Ilizarov treatment, vascularized fibula bone grafting, or amputation after 3 failed attempts.
109
11 y/o F w/ "knocked knee deformity" and knee pain. She has trialed PT. Genu Valgum is best treated with ?
The hip-knee-ankle axis falls in the lateral compartment of the knee. Most patients by age 11 have achieved the axis they will have as an adult. Bilateral distal femoral medial hemiepiphyseodesis with staples, plates, or screws that can be placed and then removed after correction of the valgus is the appropriate treatment. Observation is not likely to correct the valgus at this age and hemiepiphyseodesis should be done while there is sufficient growth remaining. Brace treatment and osteotomies of the tibia or femur are not indicated in this age group.
110
Which of the following is considered the best method to measure limb-length discrepancy in a patient with a knee flexion contracture?
The most effective way to measure a limb-length discrepancy in a patient with a knee flexion contracture is a lateral CT scanogram. All the other methods listed provide inaccurate results with a knee flexion contracture because the measurements are made in the coronal plane.
111
A 2-year-old child is being evaluated for limb-length and girth discrepancy. As a newborn, the patient was large for gestational age and had hypoglycemia. Current examination shows enlargement of the entire right side of the body, including the right lower extremity and foot. The skin shows no abnormal markings, and the neurologic examination is normal. The spine appears normal. Radiographs confirm a 2-cm discrepancy in the lengths of the lower extremities. Additional imaging studies should include
**renal and abdominal ultrasonography**. The patient may have Beckwith-Wiedemann syndrome (BWS), which consists of exophthalmos, macroglossia, gigantism, visceromegaly, abdominal wall defects, and neonatal hypoglycemia. Hemihypertrophy develops in approximately 15% of patients with BWS. Patients with hemihypertrophy that is the result of BWS have a 40% chance of developing malignancies such as Wilms' tumor or hepatoblastoma; therefore, frequent ultrasound screening is recommended until about age 7 years. The absence of nevi and vascular markings helps to rule out other causes of hemihypertrophy, such as neurofibromatosis, Proteus syndrome, and Klippel-Trenaunay syndrome. Bone age estimations are not accurate at this young age but may become more useful later to help predict the timing of epiphysiodesis procedures.
112
Risk Factors for CP? preventative tx options? How to confirm DX?
* White matter changes in the brain and structural damage to brain raremchhyma or ventricles, these lesions increase risk of cerebral palsy * Other risk factors include chorioamnionitis, hypothyroxinemia, hypocapnia, and intrauterine growth retardation. * Preventive treatment options that decrease the risk of cerebral palsy include magnesium sulfate administered to mothers during labor with premature infants, and immediate brain-body cooling in infants with birth asphyxia * Brain MRI
113
offical definition of CP
Cerebral palsy describes a group of permanent disorders of the development of movement and posture, causing activity limitation, that are attributed to non-progressive disturbances that occurred in the developing fetal or infant brain. The motor disorders of cerebral palsy are often accompanied by disturbances of sensation, perception, cognition, communication and behavior, by epilepsy and by secondary musculoskeletal problems.
114
What is the natrural hx in CP: of deformities? Of gait? What is the therapeutic window?
* Motor develop improves until 6 to 8 * young ambulatory CP has jump gait or equinus * older/heavier CP has crouch gait * The natural history of deformities in the lower limbs at GMFCS level II is for gradual progression during childhood, with more rapid deterioration during the adolescent growth spurt * The natural history of gait is progressive deterioration, including increasing stiffness throughout the lower limb joints and increasing tendency to flexed knee gait and ultimately crouched gait.12,14 The transition from equinus gait to crouched gait often is accelerated by procedures that weaken the gastrocnemius-soleus complex, especially lengthening of the Achilles tendons.11 * An important therapeutic window exists for spasticity management before the development of fixed contractures.15 * A second therapeutic window exists for the correction of fixed contracture and musculoskeletal deformities before the onset of decompensation.16
115
Describe how the The location of the brain injury in cerebral palsy causes different types of motor dysfunction
Injury to the **pyramidal tracts or periventricular regions** of the brain often lead to** spasticity**, defined as a velocity-dependent resistance to passive musculotendinous stretch. Spasticity may lead to fixed joint contracture. **Extrapyramidal brain injury (eg, basal ganglia)** is less common and may lead to** dyskinesia**, a term that includes involuntary movements, athetosis, and dystonia. Patients can have mixed-type cerebral palsy, implying combined spastic and dyskinetic motor patterns.
116
The peripheral manifestations in cerebral palsy can be classified as bilateral or unilateral, depending on the brain injury pattern. Terms to communicate motor involvement include the following: Diplegia:? Hemiplegia:? Quadriplegia: ?
The peripheral manifestations in cerebral palsy can be classified as bilateral or unilateral, depending on the brain injury pattern. Terms to communicate motor involvement include the following: **Diplegia: bilateral lower extremity involvement** **Hemiplegia: one side of the body involvement, upper and lower extremity** **Quadriplegia: all four extremities involved, often lower extremities more than the upper extremities** ## Footnote The terms diplegia, hemiplegia, and quadriplegia are being supplanted by unilateral and bilateral cerebral palsy because often bilateral but asymmetric motor involvement is present, for which the term hemiplegia is misleading. A better term for this clinical pattern may be asymmetric bilateral cerebral palsy.
117
For ambulant children with cerebral palsy, the most important functional classification schemes are the **GMFCS ** and the **Functional Mobility Scale.** These two classification schemes attempt to quantify mobility for children with cerebral palsy in their everyday environment.
The Functional Mobility Scale can help discriminate motor ability over different distances within a patient’s environment, and the granularity of the assessment is responsive after single-event multilevel surgery (SEMLS)
118
Developmental evaluation In normal development, children should Sit independently by age ? Cruise, or walk while holding onto furniture, by age ? Walk independently by age ? Positive predictive factors for walking include pulling up to a standing position and sitting independently by age ?
Developmental evaluation In normal development, children should Sit independently by age 6 to 9 months Cruise, or walk while holding onto furniture, by age 14 months Walk independently by age 18 months Positive predictive factors for walking include pulling up to a standing position and sitting independently by age 2 years.
119
The plantar flexion–knee extension couple, too much? too little?
Too much: equinus may result in excessive knee extension Too little: weak or overlong plantar flexors may result in decreased knee extension and crouched gait. Excessive ankle dorsiflexion results in less knee extension and crouched gait. Excessive ankle plantar flexion results in increased knee extension.
120
Crouch gait
Crouched gait (knees flexed, ankle dorsiflexed) Excessive knee flexion at initial contact, midstance, swing Generally excessive ankle dorsiflexion and hip flexion in stance ## Footnote A patient walking in a crouched gait because of weak plantar flexors but without knee flexion contracture would be a suitable candidate for a solid AFO. This brace type will not allow for ankle dorsiflexion in midstance. Solid AFOs and ground reaction AFOs are equivalent in improving crouched gait in children with cerebral palsy.
121
jump gait
Jump gait (knees flexed, ankle plantarflexed) Excessive equinus (contracture or dynamic from spasticity) Results in excessive knee flexion at initial contact and late swing but full knee extension or hyperextension in stance
122
stiff knee gait
Stiff knee gait Diminished swing phase knee flexion Delayed swing phase knee flexion Caused by rectus femoris spasticity (rectus active on EMG through the gait cycle)
123
Knee hyperextension gait
Knee hyperextension Equinus contracture (excessive plantar flexion–knee extension coupling) Ligamentous laxity Anterior knee pain (quadriceps avoidance at initial contact)
124
Scissoring Gait
Scissoring Gait: * May result from adductor contracture or spasticity; however, this is uncommon in ambulatory patients with cerebral palsy. * Often, this is caused by weakness, poor motor control, abductor weakness, or internal thigh rotation.
125
In-toeing or out-toeing gait
* Pelvic malrotation (if asymmetric neurologic involvement, or compensatory) * Thigh rotation * Tibial segment rotation (including through-knee rotation) * Foot deformity
126
bracing for crouch gait?
A patient walking in a crouched gait because of weak plantar flexors but without knee flexion contracture would be a suitable candidate for a solid AFO. This brace type will not allow for ankle dorsiflexion in midstance. Solid AFOs and ground reaction AFOs are equivalent in improving crouched gait in children with cerebral palsy.
127
what is selective dorsal rhizotomy
selective dorsal rhizotomy (SDR) is a neurosurgical procedure in which 30% to 50% of dorsal rootlets between L1 and S1 are transected for the permanent relief of spasticity in a highly select group of children with spastic diplegia (typically GMFCS level I and level II and some GMFCS level III patients).
128
BoNT-A (botox) injections for CP: - mechanism? - strong evidence suggests? - clinical trials suggest? - animal studies show? - Indications?
* dose-dependent, partially reversible chemodenervation by blocking presynaptic release of acetylcholine at the neuromuscular junction. * Strong evidence suggests that the injection of BoNT-A results in a reduction in muscle stiffness as measured by the Modified Ashworth Scale and a reduction is spasticity as measured by the Modified Tardieu Scale. * The paradox of clinical trials on BoNT-A is that strong evidence suggests improvement in surrogate outcomes (Modified Ashworth Scale and Modified Tardieu Scale) and weak or no evidence suggests improvement in clinically relevant outcomes.39,40 * Injection of BoNT-A in animal models is followed by acute muscle atrophy, replacement of contractile elements of muscle with fat, and upregulation of molecular pathways leading to fibrosis * For ambulatory children (<5 years) who present with spastic equinus, typical first-line management involves injections of BoNT-A as children begin to stand and commence walking, often between age 1 and 3 years.
129
BoNT-A (botox) injections for CP: indications and contraindications
* BoNT-A should only be used to manage dynamic spasticity. In patients with fixed contractures, surgical treatment should be considered. * ambulatory kids less than 5, who present with spastic equinus, typical first-line management involves injections of BoNT-A as children begin to stand and commence walking, often between age 1 and 3 years. Injections usually are combined with physical therapy and the use of an AFO. Serial cast immobilization in combination with this treatment also may be considered. * The primary effect of injection of BoNT-A is skeletal muscle atrophy. The reduction in spasticity is secondary to muscle atrophy. Muscle atrophy and weakness is a most undesirable consequence in a condition such as cerebral palsy, which is characterized by weakness. Given the duration of muscle atrophy and the risk of fatty replacement and fibrosis, injection frequency should be restricted to a maximum of once per 12 months.
130
131
Club foot: CAVE stands for? Tx?
* most common MSK birth defect, * 80% isolated deformity * CAVE: Cavus (tight intrinsics, FHL, FDL) Equinus (tight tendoachilles) Adductus of forefoot (tight tibialis posterior) Adductus of forefoot (tight tibialis posterior) Varus (tight tendoachilles, tibialis posterior, tibialis anterior) Varus (tight tendoachilles, tibialis posterior, tibialis anterior) * Ponseti method of serial manupualtion and casting ## Footnote Genetics: recent link to PITX1 anterior tibial artery hypoplasia or absence is common, regardless of etiology of clubfoot hindfoot parallelism between the talus and calcaneus (i.e. they are less convergent than in a typical foot talocalcaneal angle < 25°
132
Ponseti method of serial casting: success rate? need for heel cord tenotomy? FAO brace?
* greater than 90 percent in avoiding comprehensive surgical release * heel cord tenotomy 80-90% * Foot abduction orthosis (FAO) critical for long term success, noncompliance biggest risk factor for deformity recurrence. Use is full time for 3 months then nigh for 2-4 years
133
# Ponseti method Month 1-4? Months 4-8? Years 2-4?
1-4: Weekly serial casting, 90 of knee flexion, forefoot supination, then abduction. 1st correct cavus with forefoot supinated by aligning less varus forefoot with more varus hindfoot. 2nd correct adduction and heel varus- rotate calc and forefoot around talusinto forefoot abduction TAL at 8 weeks, wheen foot is at least 60 degrees abducted 4-8: FAO, 23 hrs/d for 3 months after correction. FA0 holds foot 60 ER and good food in 30 ER 2-4 years Tib ant tendon transfer at 2-5 yrs old, 10-50% will need TA transfer w/ or w/o repeat TAL or gastroc recession for recurrent deformity.
134
Operative considerations for club feet? * Posteromedial release and tendon lengthening? * Medial column lenthening or lateral column shortening osteotomy * Supramalleolar osteotomy
* PM release: if Ponseti fails, "rocker bottom feet after serial casting, syndrome associated and casting fails, Perform at 9-10 months. * MC lengthening or LC shortening: combined w/ initial clubfoot release in kids more than 2-3 * SMO: salvage for older kids, rarely necesary,
135
Congenital vertical talus
* rigid rocker bottom deformity (fixed hindfoot equinovalgus, rigid midfoot dorsiflexion, forefoot abducted and DF) * prominent talar head * 50% association with NM disease or chromosomal aberrations * vertically positioned talus & dorsal dislocation of navicular * need MRI to rule out neuro disorder * Tx: serial manipulation and casting to stretch out dorsolateral soft tissue structures, foot is manipulated into inversion and plantar flexion. still typically requires open vs closed pinning oif TN w/ per achilles tenotomy * Surgical release and TN reduction and pinning at 6-12 months * complication: Missed vertical talus reconstructive options are less predictable after age 3, and patients may require triple arthrodesis as salvage procedure ## Footnote * talocalcaneal anglle>40 (normal 20-40) *surgical technique involves pantalar release with concomitant lengthening of peroneals, Achilles, and toe extensors talonavicular joint is reduced and pinned while reconstruction of the plantar calcaneonavicular (spring) ligament is performed concomitant tibialis anterior transfer to talar neck
136
Management of residual club foot deformities: Tib ant tendon transfer Supination varus adductus IR of foot Planovalgus Severe multiplanar residual club foot.
Tibialis anterior tendon transfer (from the base of the first metatarsal usually to the lateral cuneiform) is necessary in approximately one-third of patients treated via the Ponseti method because of recurrence secondary to dynamic foot supination during the swing phase of gait.
137
dynamic supinatin after club foot cast or surgery: why does it occur? prognosis? tx option? what has shown poor results
* result of peroneal weakness is a common residual problem after cast correction or surgical reconstruction of a congenital idiopathic clubfoot. * unlikely to resolve spontaneously. * Transfer of the posterior tibialis to the dorsum of the foot has shown poor results in clubfeet. * Preferred treatments include: 1) transfer of the entire anterior tibialis tendon to the lateral cuneiform, or 2) split transfer of the anterior tibialis tendon to the cuboid or to the peroneus brevis tendon.
138
Amniotic band syndrome and club foot:
25% of cases w/ amniotic band syndrome tight bands around peroneal nerve can occur in 50% patients resulting in peroneal nerve disfunction.
139
Two mechanisms can create a dorsal bunion after ponseti casting?
In the clubfoot, strong toe flexors, flexor hallucis brevis, and abductor hallucis try to compensate for a weak triceps during push off. The classic mechanism is a strong anterior tibial dorsiflexing the first metatarsal, which is unopposed by weak peroneals.
140
Club foot genetic link
Single nuclear polymorphism (SNP) on chromosome 12q24.31, an intergenic SNP, is the PITX1-TBX4 transcriptional pathway that codes for hindfoot formation and is associated with clubfoot.
141
CVT: whats the deformity? what's the differential and how are those different.
* rigid rocker bottom arch * fixed dosolateral dislocation of navicular on talar neck * calcaneal equinovalgus * contractures of achilles, peroneals * foorefoot is dorsiflexed and abducted. * talus is plantar flexed ## Footnote Oblique talus: flexible subluxation of the talonavicular joint Positional calcaneovalgus foot: hindfoot eversion and dorsiflexion resulting from soft-tissue contractures and intrauterine positioning Posteromedial bowing of the tibia: idiopathic deformity and growth inhibition of the tibia, associated with calcaneovalgus foot Clubfoot: idiopathic or teratologic cavus, forefoot adductus, hindfoot varus, equinus
142
what do xrays show in a CVT foot?
Neutral view: navicular dorsally dislocated, talus vertical in relation to 1st met, calcaneus is in equinus Max planter flexion view: persistent vertical talus, (in oblique talus TN jt will reduce) Max dorsiflexion view: persisnte hindfoot equinus (in calcaneovalgus foot, hindfoot is dorsiflexed and no equinus) AP view: increased talocalcaneal angle and talar axis 1st MT angle ## Footnote AP radiograph of a foot with congenital vertical talus demonstrates the measurement of the AP talocalcaneal angle (1) and the AP talar axis–first metatarsal angle (2)
143
What is this condition? Additional work up needed? What xray confirms the dx? genetics? tx?
* vertical tali * MRI and genetic work up: high association with neural axis abnormalities and genetic neurologic syndromes, so a neurologic workup is the first step * A lateral radiograph of the foot in maximum plantar flexion is needed to demonstrate the fixed position of the deformity with malalignment of the talar-metatarsal axis. A fixed dislocation of the navicular on the talus differentiates a congenital vertical talus from the oblique talus with talonavicular subluxation. * CVT has been associated with aneuploidy of chromosomes 13, 15, and 18. HOX 10 gene mutations and GDF5 mutations * current standard of care for patients with CVT is minimally invasive. Serial manipulation and casting, known as the Dobbs or reverse Ponseti method, is applied as soon as possible in infants, like the Ponseti method for clubfoot. Casting is typically followed by minimally invasive surgery: talonavicular pinning and Achilles tenotomy. ## Footnote Posteromedial tibial bowing can be confused with CVT due to similar clinical appearance of a calcaneovalgus foot. However, radiographs will reveal that the apex of the deformity is at the tibia as opposed to the talonavicular joint. CVT is characterized by forefoot abduction and dorsiflexion due to contractures of the tibialis anterior, extensor digitorum longus, extensor hallucis brevis and longus, and peroneus tertius tendons. The posterior tibial and peroneal tendons may be displaced anteriorly over the medial and lateral malleolus, respectively, such that they function as dorsiflexors rather than plantar flexors.
144
whats an oblique talus, how can you tell
reduction of the talonavicular joint with maximum plantar flexion, based on correction of the alignment between medial cuneiform and talus, as well as the talar axis-first metatarsal base angle (TAMBA) shown in the figures below, which is consistent with oblique talus. In contrast, CVT exhibits an irreducible talonavicular joint dislocation.
145
foot position in club foot vs cvt?
While both CVT and clubfoot have equinus, the foot positions are otherwise quite different: severe planus versus cavus, forefoot abduction versus adduction, and hindfoot valgus versus varus, respectively. One should be able to differentiate easily between the two conditions on clinical examination
146
# Physis Physeal Remodeling potential: * occurs more rapidly in ? * Most active physis in upper? lower?
* Occurs more rapidly in plane of joint motion. Sagital plane in wrist due to primary flex/ext * occurs more at active physis * Proximal humerus 80% (distal humerus 20%), distal radius * distal femur> proximal tibia> distal tibia
147
# Physis growth plate zone
148
# physis periphery Groove/zone of ranvier? Perichondrial fibrous ring of la croix? Perichondrial artery?
The Zone of Ranvier and the Ring of LaCroix are part of the peripheral ring that, during the first year of life, mainly provides mechanical strength to the growing physis. ## Footnote Zone of Ranvier forms a fibrous circumferential ring around the physis that bridges from the diaphysis to the epiphysis. This structure provides the first mechanical strength to the physis. Secondarily, it provides a region of appositional growth and provides chondrocytes to the periphery,
149
Physeal fractures occur through the ?
zone of provisional calcification (label 5) in the hypertrophic zone ## Footnote hypertrophic zone is Zone of chondrocyte maturation,  chondrocyte hypertrophy , and chondrocyte calcification. The hypertrophic zone is often subdivided into the zone of maturation, zone of degeneration, and zone of provisional calcification, which is the transition point between calcified and non-calcified extracellular matrix proteins.
150
label the zones
histology of the physis (1=reserve zone; 2=proliferation zone; 3=zone of maturation within the zone of hypertrophy; 4=zone of degeneration within the zone of hypertrophy; 5=zone of provisional calcification within the zone of hypertrophy).
151
Physeal bars are most likely to form with disruption of the ? zone of the physis
Physeal bars are most likely to form with disruption of the **reserve zone** of the physis, and even more so if it involves injury to the **epiphyseal plate.** ## Footnote While most pediatric physeal fractures occur through the hypertrophic zone, it is an injury to the reserve zone (and even more so to the epiphyseal plate; Illustration B) that is more likely to result in physeal bar formation and growth arrest. Physeal bars are bony bridges that cross the metaphysis to the epiphysis, causing a restrictive tether that prevents continued growth in that area. Peripheral physeal bars involving less than 50% of the physis often cause angular deformities, whereas larger and central physeal bars are more likely to cause symmetric limb length discrepancies
152
bar resection with interpostion is best indicated for?
<50% of physeal involvement >2 years or 2cm growth remaining ## Footnote An ipsilateral completion of arrest is indicated with >50% physeal involvement, and may be combined with a contralateral epiphysiodesis and/or ipsilateral lengthening