

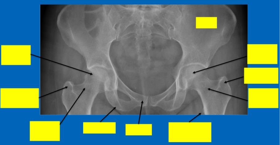
What 3 bones comprise the hip and where are these fused?
Ilium, ischium and pubis → fused at the acetabulum
The acetabulum is deepened by a fibrocartilaginous ring call the ________ and an ________ ligament, which helps may the hip joint a very congruous joint
Acetabular labrum, inferior acetabular




List 3 examination findings of a NOF#

On examination of a suspected NOF, what else must we check?
What would you expect the above to be?
All normal
Also a full CVS, resp, GI and NV exam should be completed
DDX for NOF#
What does SBAR stand for?
Situation, background, assessment, recommendation
A format to summarise findings

List 4 investigations you would do for a NOF# and why
List 3 sets of imaging we may do for a NOF#
What classification systems exists for intracapsular NOF#
Explain this classification
Gardens Classification - based on appearance on plain AP x-ray
Type 1 and 2
Type 3-4 →

Identify the blood supply to the femoral head


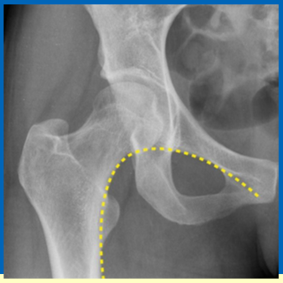
What is indicated by the yellow line and what is the clinical relevance?

Shentons line
Help identify abnormalities at the hip joint, it should be a smooth line as seen on the imagine
List the 3 steps in management of a NOF# in the elderly
Medications used for management of a NOF#
What is the MDT approach for management of a NOF#
Which surgical management is advised for the following fractures:

Best practice aims for theatre with in _______ hours of admission, or diagnosis if already an inpatient (due to high mortality)
36
What score is used to assess risk of fragility fractures?
To what age group of men and women is this reccomended for?
FRAX score

What investigation is used to assess bone mineral density?
How is it scored/ catagorised?
Dexa scan (Dual energy xray absorptiometry)
Measures bone density and gives a score based on the SD from the normal young adult

What conservative management would you consider to help manage a patient with osetoporosis?
What medical management would you consider for the management of a patient with osteoporosis?
State the following regarding bisphosphonates
