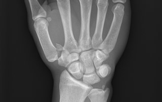
What is a Bennett’s fracture?
A fracture-dislocation of the base of the thumb metacarpal.
Common injury (fall or punch)
How would a Bennett’s fracture appear on X-ray and why?
How is a Bennett’s fracture treated?
What is Rolando’s fracture
Comminuted fracture of the base of the thumb metacarpal (NOT dislocated)
How is a Rolando’s fracture treated?
Thumb splint
The Scaphoid is a bean shaped bone which is almost entirely covered in _______.
It articulates with the _______, _______ and _______ and can be palpated in the _______.
It has an unusual blood supply from _______ to _______ which comes from a branch of the _______ artery.
articular cartilage
distal radius, lunate, trapezium, anatomical snuffbox
distal, proximal, radial
Most common mechanism of injury of scaphoid fractures?
FOOSH injury
Initial investigation for a suspected scaphoid fracture?
Scaphoid series of X-rays (4 views)
What are the 4 scaphoid X-ray views?
What is the definitive investigation for a scaphoid fracture?
MRI
Should be first-line imaging - but this is not common practice in the UK. It is commonly used second-line when X-rays are inconclusive
What is the biggest danger of a scaphoid fracture?
AVN ➞ occurs in the PROXIMAL POLE of the scaphoid
*chance of AVN increases with degree of displacement of fracture

How would a scaphoid fracture present?
What is a major differential diagnosis of distal radius fracture?
Scaphoid Fracture
List the the 4 Scaphoid provocation tests
What do these tell us?
Greater number of positive = more likely fracture
How would you manage the following:
Position of wrist cast for a scaphoid fracture?
Wrist should be placed in the ‘beer glass position’
List 4 complications of a scaphoid fracture

What forms the roof and base of the carpal tunnel?
Roof: Flexor Retinaculum
Base and sides: Carpal Arch

List all structures passing through the carpal tunnel
Median nerve + 9 tendons
List 3 symptoms of CTS?
List 2 clinical signs of carpal tunnel syndrome
Paraesthesiae in distribution of median nerve ➞ radial 3 and a 1⁄2 digits
Thenar wasting in late disease
What additional muscle wasting may be seen In late carpal tunnel syndrome and why?
Abductor Pollicis Brevis as it is located in the Thenar Eminence and is innervated by median nerve
Is Thenar eminence sensation lost in carpal tunnel syndrome? Explain your answer
No, it is PRESERVED
This because the palmar cutaneous branch of median nerve does NOT pass through carpal tunnel
Differential diagnosis for carpal tunnel syndrome?
cervical nerve entrapment (eg C6 or C7 distribution)