Encephalitis Flashcards

(12 cards)

1
Q

What is herpes simplex encephalitis?

A

Herpes simplex (HSV) encephalitis is a common topic in the exam, typically affecting the temporal lobes.

How well did you know this?
1
Not at all
2
3
4
5
Perfectly
2
Q

What are the common features of herpes simplex encephalitis?

A

Fever, headache, psychiatric symptoms, seizures, vomiting, and focal features such as aphasia.

How well did you know this?
1
Not at all
2
3
4
5
Perfectly
3
Q

Do peripheral lesions relate to HSV encephalitis?

A

Peripheral lesions (e.g. cold sores) have no relation to the presence of HSV encephalitis.

How well did you know this?
1
Not at all
2
3
4
5
Perfectly
4
Q

Which virus is responsible for the majority of HSV encephalitis cases in adults?

A

HSV-1 is responsible for 95% of cases in adults.

How well did you know this?
1
Not at all
2
3
4
5
Perfectly
5
Q

Which brain regions are typically affected by HSV encephalitis?

A

Typically affects the temporal and inferior frontal lobes.

How well did you know this?
1
Not at all
2
3
4
5
Perfectly
6
Q

What are the CSF findings in HSV encephalitis?

A

Lymphocytosis and elevated protein.

How well did you know this?
1
Not at all
2
3
4
5
Perfectly
7
Q

What is the preferred imaging technique for investigating HSV encephalitis?

A

MRI is better than CT for detecting changes.

How well did you know this?
1
Not at all
2
3
4
5
Perfectly
8
Q

What EEG pattern is associated with HSV encephalitis?

A

Lateralised periodic discharges at 2 Hz.

How well did you know this?
1
Not at all
2
3
4
5
Perfectly
9
Q

What is the treatment for herpes simplex encephalitis?

A

Intravenous aciclovir.

How well did you know this?
1
Not at all
2
3
4
5
Perfectly
10
Q

How does the timing of aciclovir treatment affect prognosis?

A

If treatment is started promptly, the mortality is 10-20%; left untreated, it approaches 80%.

How well did you know this?
1
Not at all
2
3
4
5
Perfectly
11
Q
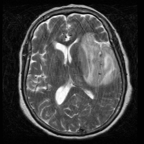
A

MRI of a patient with HSV encephalitis. There is hyperintensity of the affected white matter and cortex in the medial temporal lobes and insular cortex.

How well did you know this?
1
Not at all
2
3
4
5
Perfectly
12
Q
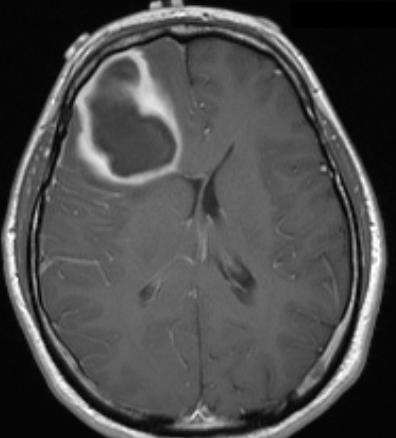
A

MRI brain showing ring-enhancing lesion in the right frontal lobe with surrounding oedema

How well did you know this?
1
Not at all
2
3
4
5
Perfectly