Stroke Flashcards

(84 cards)

1
Q

What are the effects of a lesion in the anterior cerebral artery?

A

Contralateral hemiparesis and sensory loss, lower extremity > upper

How well did you know this?
1
Not at all
2
3
4
5
Perfectly
2
Q

What are the effects of a lesion in the middle cerebral artery?

A

Contralateral hemiparesis and sensory loss, upper extremity > lower

Also includes contralateral homonymous hemianopia and aphasia.

How well did you know this?
1
Not at all
2
3
4
5
Perfectly
3
Q

What are the effects of a lesion in the posterior cerebral artery?

A

Contralateral homonymous hemianopia with macular sparing and visual agnosia.

How well did you know this?
1
Not at all
2
3
4
5
Perfectly
4
Q

What are the effects of Weber’s syndrome?

A

Ipsilateral CN III palsy and contralateral weakness of upper and lower extremity.

How well did you know this?
1
Not at all
2
3
4
5
Perfectly
5
Q

What are the effects of a lesion in the posterior inferior cerebellar artery?

A

Ipsilateral facial pain and temperature loss; contralateral limb/torso pain and temperature loss; ataxia, nystagmus.

How well did you know this?
1
Not at all
2
3
4
5
Perfectly
6
Q

What are the effects of a lesion in the anterior inferior cerebellar artery?

A

Symptoms are similar to Wallenberg’s, but include ipsilateral facial paralysis and deafness.

How well did you know this?
1
Not at all
2
3
4
5
Perfectly
7
Q

What is the effect of a retinal/ophthalmic artery lesion?

A

Amaurosis fugax.

How well did you know this?
1
Not at all
2
3
4
5
Perfectly
8
Q

What is the effect of a basilar artery lesion?

A

‘Locked-in’ syndrome.

How well did you know this?
1
Not at all
2
3
4
5
Perfectly
9
Q

What do lacunar strokes present with?

A

Isolated hemiparesis, hemisensory loss, or hemiparesis with limb ataxia.

Strong association with hypertension; common sites include the basal ganglia, thalamus, and internal capsule.

How well did you know this?
1
Not at all
2
3
4
5
Perfectly
10
Q

What is a stroke?

A

A stroke (cerebrovascular accident, CVA) is a sudden interruption in the vascular supply of the brain, leading to potential irreversible damage due to oxygen supply issues.

How well did you know this?
1
Not at all
2
3
4
5
Perfectly
11
Q

What are the two main types of strokes?

A

The two main types of strokes are ischaemic and haemorrhagic.

How well did you know this?
1
Not at all
2
3
4
5
Perfectly
12
Q

What is a transient ischaemic attack (TIA)?

A

A TIA is a subtype of ischaemic stroke characterized by sudden onset of focal neurological symptoms lasting typically less than an hour, often referred to as a ‘mini-stroke’.

How well did you know this?
1
Not at all
2
3
4
5
Perfectly
13
Q

What is the essential problem in ischaemic strokes?

A

‘Blockage’ in the blood vessel stops blood flow.

How well did you know this?
1
Not at all
2
3
4
5
Perfectly
14
Q

What is the essential problem in haemorrhagic strokes?

A

Blood vessel ‘bursts’, leading to a reduction in blood flow.

How well did you know this?
1
Not at all
2
3
4
5
Perfectly
15
Q

What are the proportions of ischaemic and haemorrhagic strokes?

A

Ischaemic strokes account for 85% and haemorrhagic strokes account for 15%.

How well did you know this?
1
Not at all
2
3
4
5
Perfectly
16
Q

What are some risk factors for ischaemic strokes?

A

General risk factors include age, hypertension, smoking, hyperlipidaemia, and diabetes mellitus.

How well did you know this?
1
Not at all
2
3
4
5
Perfectly
17
Q

What are some symptoms of a stroke?

A

Symptoms include motor weakness, speech problems (dysphasia), swallowing problems, visual field defects, and balance problems.

How well did you know this?
1
Not at all
2
3
4
5
Perfectly
18
Q

What is the Oxford Stroke Classification?

A

The Oxford Stroke Classification categorizes strokes based on initial symptoms, assessing criteria like unilateral hemiparesis and homonymous hemianopia.

How well did you know this?
1
Not at all
2
3
4
5
Perfectly
19
Q

What are the types of strokes in the Oxford Stroke Classification?

A

Types include Total Anterior Circulation Infarcts (TACI), Partial Anterior Circulation Infarcts (PACI), Lacunar Infarcts (LACI), and Posterior Circulation Infarcts (POCI).

How well did you know this?
1
Not at all
2
3
4
5
Perfectly
20
Q

What mnemonic is used to raise awareness of stroke symptoms?

A

The FAST campaign: Face, Arms, Speech, Time.

How well did you know this?
1
Not at all
2
3
4
5
Perfectly
21
Q

What investigations are needed for suspected strokes?

A

Emergency neuroimaging using CT or MRI is necessary to determine if thrombolytic therapy is suitable.

How well did you know this?
1
Not at all
2
3
4
5
Perfectly
22
Q

What is the management for ischaemic strokes?

A

If ischaemic, thrombolysis may be offered if criteria are met; aspirin 300mg should be given as soon as possible.

How well did you know this?
1
Not at all
2
3
4
5
Perfectly
23
Q

What is the management for transient ischaemic attacks (TIAs)?

A

Immediate antithrombotic therapy with aspirin 300 mg is recommended, and urgent assessment is needed for patients with recent TIAs.

How well did you know this?
1
Not at all
2
3
4
5
Perfectly
24
Q

What should be done if a haemorrhagic stroke is confirmed?

A

Neurosurgical consultation should be considered, and management is primarily supportive, with anticoagulants stopped to minimize further bleeding.

How well did you know this?
1
Not at all
2
3
4
5
Perfectly
25
What is a stroke?
A stroke (cerebrovascular accident, CVA) is a sudden interruption in the vascular supply of the brain, leading to potential irreversible damage due to oxygen supply issues.
26
What are the two main types of strokes?
The two main types of strokes are ischaemic and haemorrhagic.
27
What is a transient ischaemic attack (TIA)?
A TIA is a subtype of ischaemic stroke characterized by sudden onset of focal neurological symptoms lasting typically less than an hour, often referred to as a 'mini-stroke'.
28
What is the essential problem in ischaemic strokes?
'Blockage' in the blood vessel stops blood flow.
29
What is the essential problem in haemorrhagic strokes?
Blood vessel 'bursts', leading to a reduction in blood flow.
30
What are the proportions of ischaemic and haemorrhagic strokes?
Ischaemic strokes account for 85% and haemorrhagic strokes account for 15%.
31
What are some risk factors for ischaemic strokes?
General risk factors include age, hypertension, smoking, hyperlipidaemia, and diabetes mellitus.
32
What are some symptoms of a stroke?
Symptoms include motor weakness, speech problems (dysphasia), swallowing problems, visual field defects, and balance problems.
33
What is the Oxford Stroke Classification?
The Oxford Stroke Classification categorizes strokes based on initial symptoms, assessing criteria like unilateral hemiparesis and homonymous hemianopia.
34
What are the types of strokes in the Oxford Stroke Classification?
Types include Total Anterior Circulation Infarcts (TACI), Partial Anterior Circulation Infarcts (PACI), Lacunar Infarcts (LACI), and Posterior Circulation Infarcts (POCI).
35
What mnemonic is used to raise awareness of stroke symptoms?
The FAST campaign: Face, Arms, Speech, Time.
36
What investigations are needed for suspected strokes?
Emergency neuroimaging using CT or MRI is necessary to determine if thrombolytic therapy is suitable.
37
What is the management for ischaemic strokes?
If ischaemic, thrombolysis may be offered if criteria are met; aspirin 300mg should be given as soon as possible.
38
What is the management for transient ischaemic attacks (TIAs)?
Immediate antithrombotic therapy with aspirin 300 mg is recommended, and urgent assessment is needed for patients with recent TIAs.
39
What should be done if a haemorrhagic stroke is confirmed?
Neurosurgical consultation should be considered, and management is primarily supportive, with anticoagulants stopped to minimize further bleeding.
40
41
What is the FAST screening tool?
The FAST screening tool stands for Face/Arms/Speech/Time and is widely known by the general public. It has a positive predictive value of 78%.
42
What is the ROSIER score?
The ROSIER score is a variant of FAST useful for medical professionals and is a validated tool recommended by the Royal College of Physicians.
43
What is the first step in assessing using the ROSIER score?
Exclude hypoglycaemia first, then assess the following symptoms.
44
What symptoms are assessed in the ROSIER score?
1. Loss of consciousness or syncope: - 1 point 2. Seizure activity: - 1 point 3. New, acute onset of: - asymmetric facial weakness: + 1 point - asymmetric arm weakness: + 1 point - asymmetric leg weakness: + 1 point - speech disturbance: + 1 point - visual field defect: + 1 point ## Footnote A stroke is likely if the total score is > 0.
45
What is the first line radiological investigation for suspected stroke?
A non-contrast CT head scan is the first line radiological investigation for suspected stroke.
46
What key question must be answered in stroke investigations?
Whether there is an ischaemic stroke or haemorrhagic stroke.
47
What may be detected in rare cases during stroke investigations?
Rarely, a third pathology such as a tumour may also be detected.
48
What are the signs of acute ischaemic strokes on a CT scan?
Acute ischaemic strokes may show areas of low density in the grey and white matter. Other signs include the 'hyperdense artery' sign corresponding with the responsible arterial clot.
49
What do acute haemorrhagic strokes typically show on a CT scan?
Acute haemorrhagic strokes typically show areas of hyperdense material (blood) surrounded by low density (oedema).
50
What is the National Clinical Guideline for Stroke?
The National Clinical Guideline for Stroke was published in 2023 and is a partial update of the 2016 Royal College of Physicians (RCP) guidelines.
51
What should be maintained within normal limits in the management of acute stroke?
Blood glucose, hydration, oxygen saturation, and temperature should be maintained within normal limits.
52
When should blood pressure not be lowered in acute ischaemic stroke?
Blood pressure should not be lowered in the acute phase of ischaemic stroke unless there are complications or they are being considered for thrombolysis.
53
What is the recommendation for blood pressure control in acute ischaemic stroke?
Blood pressure control should be considered for patients presenting within 6 hours with a systolic blood pressure > 150 mmHg.
54
What should be administered if a haemorrhagic stroke has been excluded?
Aspirin 300mg orally or rectally should be given as soon as possible if a haemorrhagic stroke has been excluded.
55
When should anticoagulants be started for patients with atrial fibrillation after an ischaemic stroke?
Anticoagulants should not be started until brain imaging has excluded haemorrhage, and usually not until 14 days have passed from the onset of an ischaemic stroke.
56
When should statin treatment be commenced for patients with high cholesterol?
If cholesterol is > 3.5 mmol/l, patients should be commenced on a statin, but many physicians will delay treatment until after at least 48 hours due to the risk of haemorrhagic transformation.
57
What is the percentage of patients receiving thrombolysis for acute ischaemic stroke in the UK?
Thrombolysis is now given to around 10% of patients who present with an acute ischaemic stroke in the UK.
58
What are the standard criteria for thrombolysis with alteplase or tenecteplase?
Thrombolysis is administered within 4.5 hours of onset of stroke symptoms and haemorrhage has been definitively excluded.
59
What does the 2023 guideline recommend regarding thrombolysis timing?
Patients with an acute ischaemic stroke who were last known to be well more than 4.5 hours earlier should be considered for thrombolysis if treatment can be started between 4.5 and 9 hours of known onset.
60
What blood pressure should be achieved before thrombolysis?
Blood pressure should be lowered to 185/110 mmHg before thrombolysis.
61
What are absolute contraindications to thrombolysis?
Absolute contraindications include previous intracranial haemorrhage, seizure at onset of stroke, and suspected subarachnoid haemorrhage.
62
What are relative contraindications to thrombolysis?
Relative contraindications include pregnancy, concurrent anticoagulation, and suspected intracardiac thrombus.
63
What is mechanical thrombectomy?
Mechanical thrombectomy is a treatment option for patients with an acute ischaemic stroke, recommended by NICE in their 2019 guidelines.
64
What is the recommended time frame for thrombectomy after symptom onset?
Thrombectomy should be offered as soon as possible and within 6 hours of symptom onset.
65
What should be considered for thrombectomy up to 24 hours after symptom onset?
Thrombectomy should be considered for people last known to be well up to 24 hours previously if there is potential to salvage brain tissue.
66
What does NICE recommend for secondary prevention after an ischaemic stroke?
NICE recommends clopidogrel ahead of combination use of aspirin plus modified-release dipyridamole.
67
When is carotid endarterectomy recommended?
Carotid endarterectomy is recommended if the patient has suffered a stroke or TIA in the carotid territory and is not severely disabled.
68
What is the stenosis percentage cut-off for carotid endarterectomy according to NASCET criteria?
Carotid endarterectomy should only be considered if the stenosis is > 50% according to NASCET criteria.
69
When should carotid endarterectomy be performed?
It should be performed as soon as possible within 7 days.
70
What is the Oxford Stroke Classification?
The Oxford Stroke Classification classifies strokes based on initial symptoms.
71
What criteria should be assessed in stroke classification?
1. Unilateral hemiparesis and/or hemisensory loss of the face, arm & leg 2. Homonymous hemianopia 3. Higher cognitive dysfunction e.g. dysphasia
72
What are Total Anterior Circulation Infarcts (TACI)?
TACI involves middle and anterior cerebral arteries, and all 3 assessment criteria are present. ## Footnote Occurs in approximately 15% of strokes.
73
What are Partial Anterior Circulation Infarcts (PACI)?
PACI involves smaller arteries of anterior circulation, and 2 of the assessment criteria are present. ## Footnote Occurs in approximately 25% of strokes.
74
What are Lacunar Infarcts (LACI)?
LACI involves perforating arteries around the internal capsule, thalamus, and basal ganglia, presenting with 1 of the following: 1. Unilateral weakness (and/or sensory deficit) of face and arm, arm and leg, or all three. 2. Pure sensory stroke. 3. Ataxic hemiparesis. ## Footnote Occurs in approximately 25% of strokes.
75
What are Posterior Circulation Infarcts (POCI)?
POCI involves vertebrobasilar arteries, presenting with 1 of the following: 1. Cerebellar or brainstem syndromes. 2. Loss of consciousness. 3. Isolated homonymous hemianopia. ## Footnote Occurs in approximately 25% of strokes.
76
What is Lateral Medullary Syndrome?
Lateral Medullary Syndrome, also known as Wallenberg's syndrome, presents with: - Ipsilateral: ataxia, nystagmus, dysphagia, facial numbness, cranial nerve palsy (e.g. Horner's). - Contralateral: limb sensory loss.
77
What is Weber's Syndrome?
Weber's Syndrome presents with ipsilateral III palsy and contralateral weakness.
78
Stroke by anatomy - associated effects
79
Pathological specimen showing the results of an ischaemic stroke to the occipito-parietal region of the cerebrum. Note there has been some secondary haemorrhage in the affected area.
80
Difference - ischaemic vs haemorrhagic stroke - essential problem, proportion of strokes, subtypes, risk factors
81
Lacunar infarct affecting the internal capsule
81
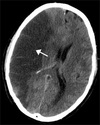
CT scan of the brain showing a right-hemispheric ischemic stroke
82
83
Intracerebral haemorrhage