Endocrine System Identification Flashcards

(31 cards)

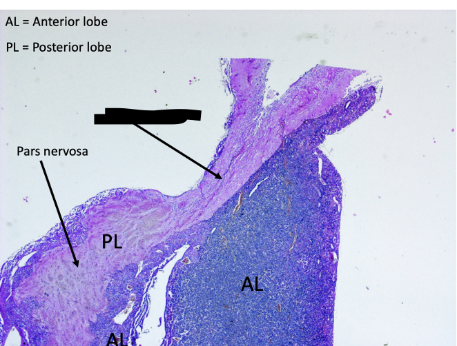
1
Q
A

Pituitary gland

How well did you know this?
1
Not at all
2
3
4
5
Perfectly
2
Q
A

Red –> posterior lobe
Blue –> anterior lobe

How well did you know this?
1
Not at all
2
3
4
5
Perfectly
3
Q
A

Pars distalis

How well did you know this?
1
Not at all
2
3
4
5
Perfectly
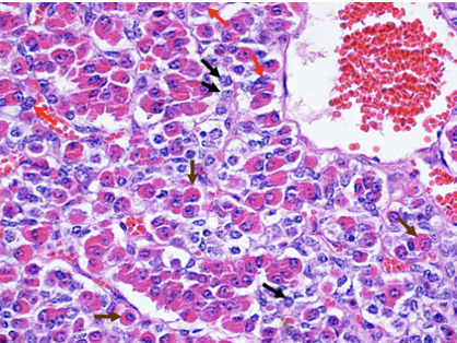
4
Q
A

Chromophobes –> black arrows
Acidophils –> brown arrows
Basophils –> red arrows

How well did you know this?
1
Not at all
2
3
4
5
Perfectly
5
Q
A

Pars intermedia

How well did you know this?
1
Not at all
2
3
4
5
Perfectly
6
Q
A

Chromophobes –> black arrows
Basophils –> red arrows

How well did you know this?
1
Not at all
2
3
4
5
Perfectly
7
Q
A

Pars nervosa

How well did you know this?
1
Not at all
2
3
4
5
Perfectly
8
Q
A

Black arrows = pituicytes

How well did you know this?
1
Not at all
2
3
4
5
Perfectly
9
Q
A

infundibulum

How well did you know this?
1
Not at all
2
3
4
5
Perfectly
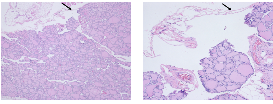
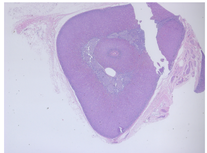
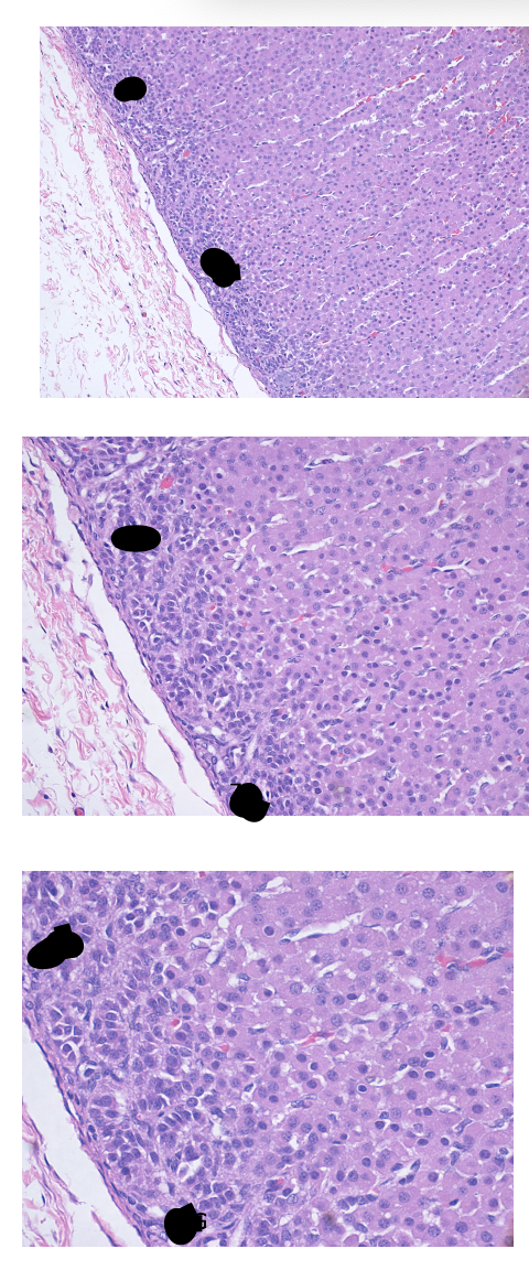
10
Q
A

Thyroid gland
black arrow –> capsule

How well did you know this?
1
Not at all
2
3
4
5
Perfectly
11
Q
A

Black arrow –> capsule

How well did you know this?
1
Not at all
2
3
4
5
Perfectly
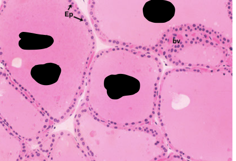
12
Q
A

Follicles

How well did you know this?
1
Not at all
2
3
4
5
Perfectly
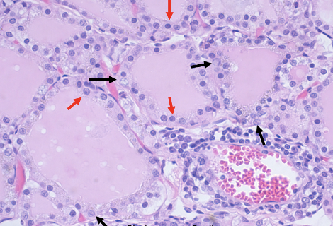
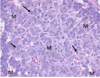
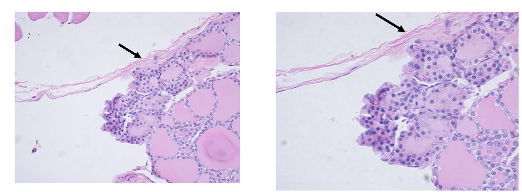
13
Q
A

Red arrow –> follicular cells
Black cells –> C cells

How well did you know this?
1
Not at all
2
3
4
5
Perfectly
14
Q
A

Thyroid colloid

How well did you know this?
1
Not at all
2
3
4
5
Perfectly
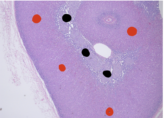
15
Q
A

Black –> thyroid
Red –> parathyroid

How well did you know this?
1
Not at all
2
3
4
5
Perfectly
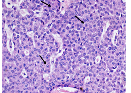
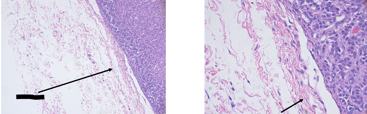
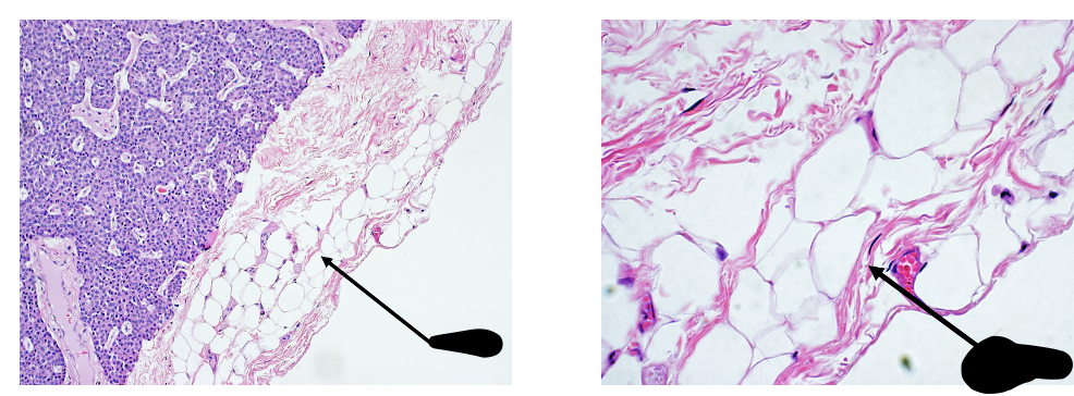
16
Q
A

parathyroid capsule

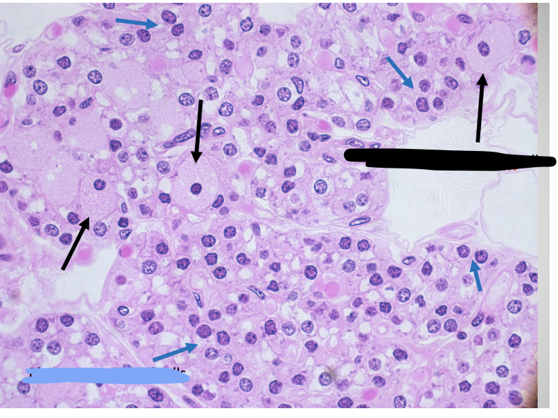
17
Q
A

Black arrows –> Chief cells

18
Q
A

Oxyphil cells

19
Q
A

Black arrows –> oxyphil cells
Blue arrows –> chief cells

20
Q
A

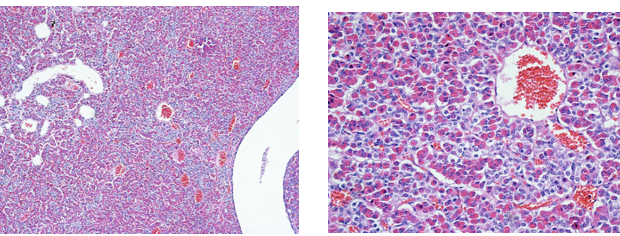
adrenal gland

21
Q
A

adrenal gland capsule

22
Q
A

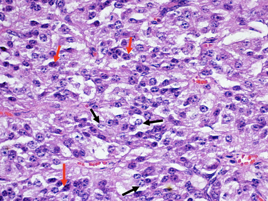
Red –> cortex
Black –> medulla

23
Q
A

Green –> zona glomerulosa
Yellow –> zona fasciculata
Red–> zona reticularis

24
Q
A

Zona glomerulsoa

25
Zona fasciculata
26
Zona reticularis
27
Black --> medulla Red --> Zona reticularis
28
Chromaffin cells = Black arrows
29
White --> central medullary vein
30
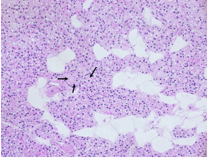
Pancreas
31
Islets of Langerhans