Nervous System Identification Flashcards

(57 cards)

1
Q
A

Neuron

How well did you know this?
1
Not at all
2
3
4
5
Perfectly
2
Q
A

Neuron

How well did you know this?
1
Not at all
2
3
4
5
Perfectly
3
Q
A

Blue –> nucleus
Black –> Dendrite
Yellow –> axon hillock
Red –> axon hillock

How well did you know this?
1
Not at all
2
3
4
5
Perfectly
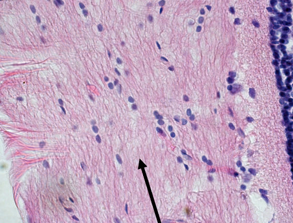
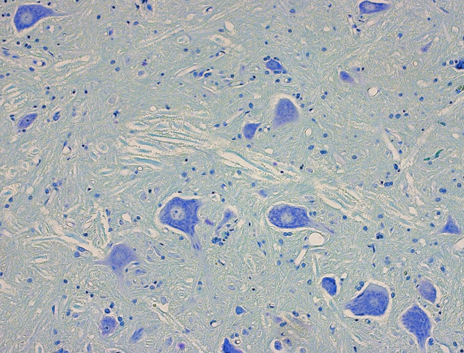
4
Q
A

Nissl substance / nissl bodies at arrow tipis

How well did you know this?
1
Not at all
2
3
4
5
Perfectly
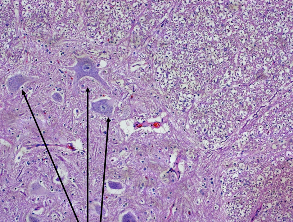
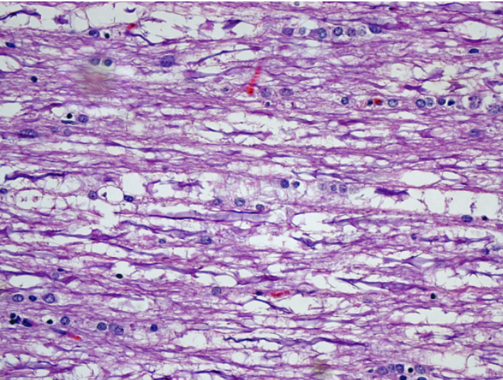
5
Q
A

Astrocytes

How well did you know this?
1
Not at all
2
3
4
5
Perfectly
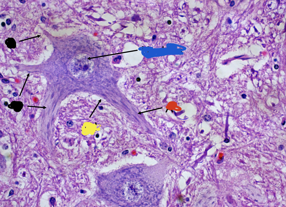
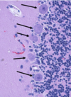
6
Q

Identify black arrows and blue arrows

A

Blue arrows –> oligodendrocytes
Black arrows –> astrocytes

How well did you know this?
1
Not at all
2
3
4
5
Perfectly
7
Q
A

Black arrows –> astrocytes
Blue arrows –> oligodendrocytes
Red arrows –> microglial cells

How well did you know this?
1
Not at all
2
3
4
5
Perfectly
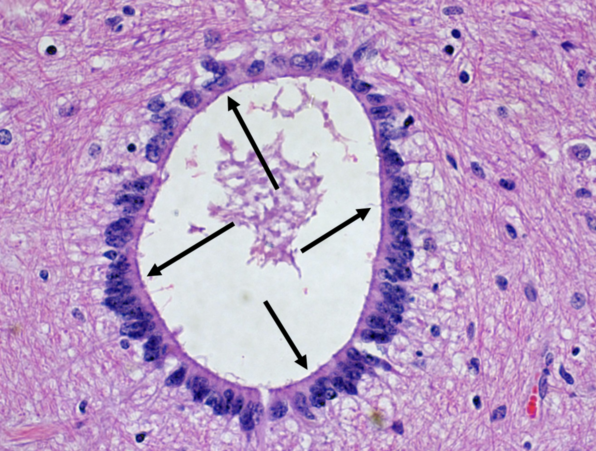
8
Q
A

Ependymal cells

How well did you know this?
1
Not at all
2
3
4
5
Perfectly
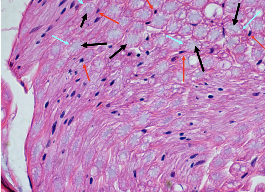
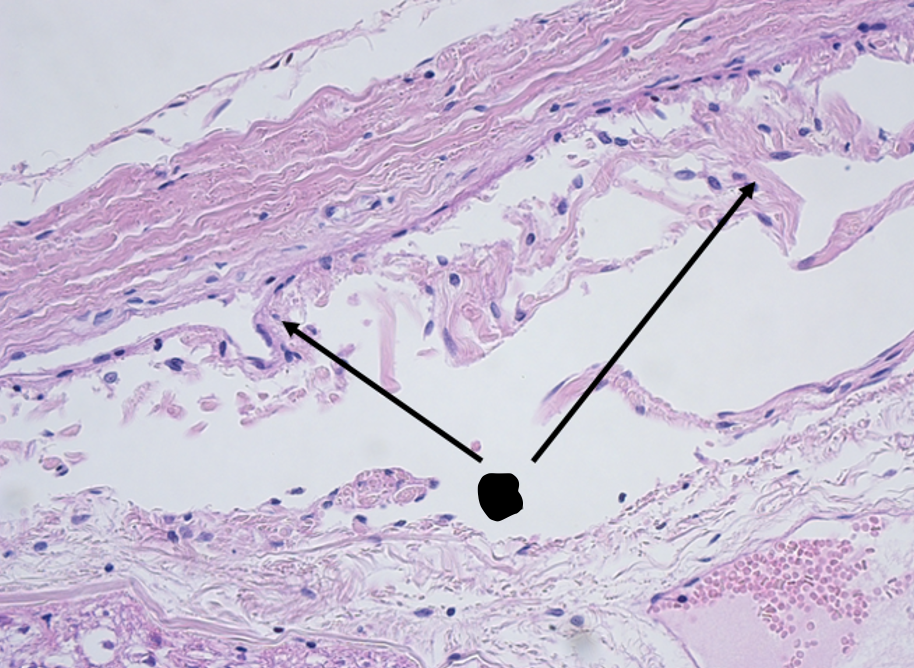
9
Q
A

Blue arrows –> myelin
Black arrows –> fibroblasts
Red arrows –> Schwann cells

How well did you know this?
1
Not at all
2
3
4
5
Perfectly
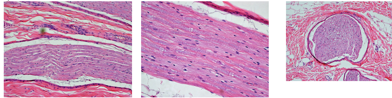
10
Q
A

Myelinated nerve

How well did you know this?
1
Not at all
2
3
4
5
Perfectly
11
Q
A

Black arrows –> nodes of ranvier
Blue arrows –> fibroblasts
M –> myelin
Red arrows –> Schwann cells

How well did you know this?
1
Not at all
2
3
4
5
Perfectly
12
Q
A

Black arrows –> axons
Blue arrows –> myelin
Red arrows –> Schwann cells

How well did you know this?
1
Not at all
2
3
4
5
Perfectly
13
Q
A

Myelinated axons

How well did you know this?
1
Not at all
2
3
4
5
Perfectly
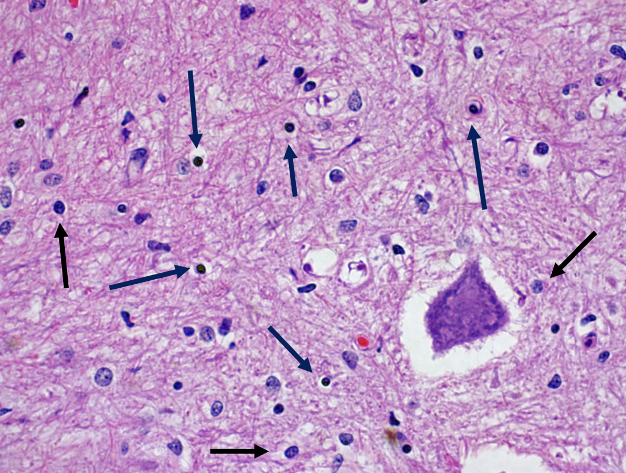
14
Q
A

Green arrows –> oligodendrocytes
Black arrows –> nodes of ranvier
Red arrows –> astrocytes

How well did you know this?
1
Not at all
2
3
4
5
Perfectly
15
Q
A

Unmyelinated nerve

How well did you know this?
1
Not at all
2
3
4
5
Perfectly
16
Q
A

Blue arrows –> Schwann cells

How well did you know this?
1
Not at all
2
3
4
5
Perfectly
17
Q
A

Unmyelinated axons

How well did you know this?
1
Not at all
2
3
4
5
Perfectly
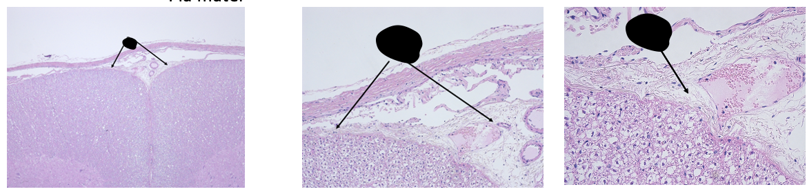
18
Q
A

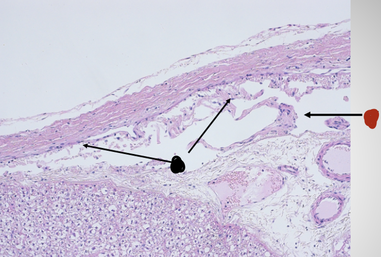
Pia mater

How well did you know this?
1
Not at all
2
3
4
5
Perfectly
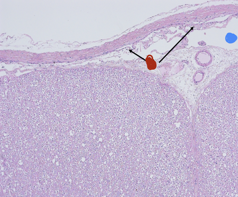
19
Q
A

Red –> arachnoid space
Blue –> subarachnoid space

How well did you know this?
1
Not at all
2
3
4
5
Perfectly
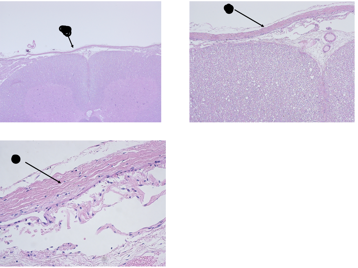
20
Q
A

Arachnoid mater

How well did you know this?
1
Not at all
2
3
4
5
Perfectly
21
Q
A

Black –> arachnoid mater
AT –> arachnoid trabeculae

How well did you know this?
1
Not at all
2
3
4
5
Perfectly
22
Q
A

Dura mater

How well did you know this?
1
Not at all
2
3
4
5
Perfectly
23
Q
24
Q
A

Black –> dorsal horn
Yellow–> intermediate grey
Green –> ventral horn

25
Dorsal horn
26
Dorsal horn
27
Ventral horn
28
Ventral horn
29
Black --> ventral horn Arrow --> motor neuron
30
Intermediate / central canal
31
Black --> intermediate grey Red --> central canal
32
Green --> central canal Black --> intermediate grey Red --> ependymal cells
33
Dorsal funiculus
34
Dorsal funiculus
35
Ventral funiculus
36
Lateral funiculus
37
Red --> dorsal root Blue --> dorsal rootlet Green --> Dorsal horn
38
Ventral rootlets
39
Blue --> dorsal rootlet
40
Blue --> dorsal root ganglion Green --> ventral roots
41
dorsal root ganglion
42
Yellow --> neuron Black arrows --> satellite cells
43
dorsal root ganglion
44
Pacinian corpuscle
45
Meissner's corpuscle
46
Black --> white matter Arrows --> arrows span width of gray matter
47
Red --> grey matter Yellow --> white matter
48
I --> molecular cell layer II --> outer granular cell layer III --> outer pyramidal cell layer
49
I --> molecular cell layer II --> outer granular cell layer III --> outer pyramidal cell layer IV --> inner granular cell layer V --> inner pyramidal cell layer VI --> fusiform
50
Red --> molecular layer Blue --> granular cell layer Green --> white matter
51
Red --> molecular layer Yellow --> granular cell layer Black arrows --> purkinje cell layer
52
Black arrows --> Purkinje cell layer
53
choroid plexus
54
Ependymal cells
55
Blue arrows --> arteriole tufts Black arrows --> ependymal cells
56
sympathetic ganglion
57
Parasympathetic ganglion