Endócrino Flashcards

(21 cards)

1
Q

Hipotálamo: ¿en dónde se secreta OT y ADH?

A

OT=Supraóptico y
ADH= paravetricular

How well did you know this?
1
Not at all
2
3
4
5
Perfectly
2
Q

Células de la adenohipófisis y qué secretan:

A
  • Somatótropas = GH
  • Lactótropas = PRL
  • Tirótropas = TSH
  • Corticótropas = ACTH
  • Gonadótropas = LH y FSH
How well did you know this?
1
Not at all
2
3
4
5
Perfectly
3
Q

Lóbulo posterior de la hipófisis =

A

Neurohipófisis

How well did you know this?
1
Not at all
2
3
4
5
Perfectly
4
Q

V/F neurohipófisis es una glándula endocrina:

A

Falso, es un sitio de almacenamiento para las secreciones

How well did you know this?
1
Not at all
2
3
4
5
Perfectly
5
Q

Productos que libera la neurohipófisis:

y funciones

A
  • ADH = homeostasis hídrica
  • OT = contracción músculo liso uterino y de conductos alveolares de la glándula mamaria (expulsión de leche)
How well did you know this?
1
Not at all
2
3
4
5
Perfectly
6
Q

Células de la glándula pineal:

A
  • Pinealocitos
  • Gliales
How well did you know this?
1
Not at all
2
3
4
5
Perfectly
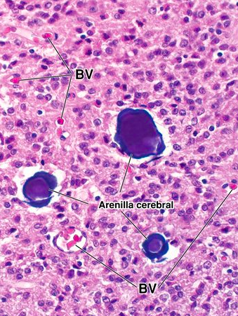
7
Q

Distintivo de la glándula pineal:

A

Cuerpos arenáceos

How well did you know this?
1
Not at all
2
3
4
5
Perfectly
8
Q

Glándula endocrina bilobulada (lóbulos conectados por un istmo):

A

Glándula tiroides

How well did you know this?
1
Not at all
2
3
4
5
Perfectly
9
Q

Unidad estructural y funcional de la glándula tiroides:

A

Folículo Tiroideo

How well did you know this?
1
Not at all
2
3
4
5
Perfectly
10
Q

Células de la glándula tiroides y qué secretan:

A
  • Foliculares = T3 y T4
  • Parafoliculares = Calcitonina
How well did you know this?
1
Not at all
2
3
4
5
Perfectly
11
Q

¿De qué se compone el coloide?

Folículo tiroideo

A

Tiroglobulina, forma inactiva de almacenamiento de las hormonas tiroideas

How well did you know this?
1
Not at all
2
3
4
5
Perfectly
12
Q

Células de la glándula paratiroides:

A
  • Principales = secretan PTH
  • Células oxifilas = no se les reconoce función se cretora

Principales en H&E se ven más moradas

How well did you know this?
1
Not at all
2
3
4
5
Perfectly
13
Q

Suprarrenal

Capas:

A

Cápsula
* Glomerular
* Fascicular
* Reticular
* Médula

How well did you know this?
1
Not at all
2
3
4
5
Perfectly
14
Q

Suprarrenal

¿Qué secreta la zona glomerular?

A

Mineralocorticoides:
Aldosterona

How well did you know this?
1
Not at all
2
3
4
5
Perfectly
15
Q

¿Qué secreta la zona fascicular?

A
  • Glucocorticoides: cortisol, corticoesterona
How well did you know this?
1
Not at all
2
3
4
5
Perfectly
16
Q

¿Qué secreta la zona reticular?

A

Gonadocorticoides = DHEA, androstenodiona

17
Q

¿Qué secreta la médula?

A

Catecolaminas: Adrenalina y NE

18
Q

Páncreas endócrino lo conforma:

A

Islotes de Langerhans

19
Q

Células de los islotes de Langerhans y qué secretan:

A
  • alfa= glucagon
  • beta= insulina
  • delta = somatostatina
  • células P = polipeptidasa
20
Q

¿Qué secreta la glándula pineal?

21
Q

En la neurohipófisis en qué forma se almacenan los neurotransmisores:

A

Cuerpos de Herring