Sangre Flashcards

(44 cards)

1
Q

Los leucocitos se dividen en:

A
  • Agranulocitos: monocitos y linfocitos
  • Granulocitos: neutrófilos, eosinófilos y basófilos
How well did you know this?
1
Not at all
2
3
4
5
Perfectly
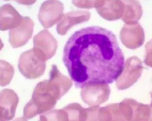
2
Q

Cómo se ven los monocitos:

A

Núcleo en “pompi”

How well did you know this?
1
Not at all
2
3
4
5
Perfectly
3
Q

Cómo se ven los linfocitos?

A

Núcleo perfecto

How well did you know this?
1
Not at all
2
3
4
5
Perfectly
4
Q

Cómo se ven los neutrófilos?

Polimorfonucleares

A

Huellitas

How well did you know this?
1
Not at all
2
3
4
5
Perfectly
5
Q

Cómo se ven los eósinofilos?

A

Hay gránulos naranjas-rosas en citoplasma:

How well did you know this?
1
Not at all
2
3
4
5
Perfectly
6
Q

Cómo se ven los basófilos?

A

Tienen muchos gránulos muy azules

How well did you know this?
1
Not at all
2
3
4
5
Perfectly
7
Q

Tinción para sangre

A

De Wright

How well did you know this?
1
Not at all
2
3
4
5
Perfectly
8
Q

Para qué sirven los eosinófilos?

A
  • Asocian a reacciones alérgicas
  • Infestaciones parásitos
  • Activados por inmunoglobulinas
How well did you know this?
1
Not at all
2
3
4
5
Perfectly
9
Q

Litros de sangre en un adulto

A

Entre 4.5 y 6 L

How well did you know this?
1
Not at all
2
3
4
5
Perfectly
10
Q

Proteína más abundante y sus funciones:

A

Albúmina
Se produce en hígado, se encuentra en el plasma, mantiene la presión coloidosmótica

How well did you know this?
1
Not at all
2
3
4
5
Perfectly
11
Q

Proteína más grande en sangre:

A

Fibrinógeno

How well did you know this?
1
Not at all
2
3
4
5
Perfectly
12
Q

¿Qué contiene el suero?

A

Proteínas pero sin fibrinógeno, sin factores de coagulación

How well did you know this?
1
Not at all
2
3
4
5
Perfectly
13
Q

Granulocitos

A
How well did you know this?
1
Not at all
2
3
4
5
Perfectly
14
Q

Vida de un eritrocito

A

120 días

How well did you know this?
1
Not at all
2
3
4
5
Perfectly
15
Q

Quién fija la hemoglobina?

A

Proteína banda 3

How well did you know this?
1
Not at all
2
3
4
5
Perfectly
16
Q

Quién le da forma al eritrocito?

A

Espectrina
alpha y beta

How well did you know this?
1
Not at all
2
3
4
5
Perfectly
17
Q

1ra línea de defensa, leucocito más abundante:

A

Neutrófilo

How well did you know this?
1
Not at all
2
3
4
5
Perfectly
18
Q

Dónde ocurre la hematopoyesis?

A

En médula ósea

19
Q

Qué célula se puede diferenciar a c. plasmática

No necesariamente lo hace

20
Q

Estudio para ver morfología de las células

A

Aspirado de médula ósea

21
Q

Pancitopenia:

A

disminución en células sanguíneas

22
Q

¿cómo se difencían visualmente (lab) los tipos de linfocitos?

A

Por inmunohistoquímica

23
Q

Marcadores para linfocitos B

24
Q

Marcadores para linfocitos NK

25
¿dónde se realizan las biopsias de hematopoyesis?
Crestas ilíacas, esternón, fémur (huesos largos y planos)
26
¿Cuándo ocurre la hematopoyesis hepática?
En enfermedad
27
Precursor del eritrocito:
reticulocito
28
Pasos de trombopoyesis:
Megacarioblasto ⇢ megacariocito ⇢ fragmentos = plaquetas
29
¿Quiénes producen Ig?
c plasmática
30
Hormona que permite/promueve la diferenciación a eritrocitos:
Eritropoyetina
31
Fórmula celularidad:
100-(edad) = aprox 80 años ⩰ 50 %
32
Leucocitos menos abundantes:
Basófilos
33
Cuántas moléculas de O2 o CO2 puede transportar un glóbulo rojo?
4
34
Componentes del plasma:
90% agua Albúmina, Fibrinógeno, Ig, electrolitos | Sangre sin células
35
Proteínas más abundante de la sangre:
Albúmina | hígado, coloidosmótico
36
Proteínas más grande de la sangre:
Fibrinógeno | Ayuda en cascada de coagulación
37
Tipos de linfocitos:
B= médula ósea T= timo NK (más grande)
38
¿Dónde se sintetiza la eritropoyetina?
Riñón
39
Linfocitos T citotóxicos: DESTRUYEN CÉLULA INFECTADA
CD8
40
NK
CD56
41
célula ósea que proviene de célula madre hematopoyética:
Osteoclasto
42
Todas las células del sistema ósea derivan de ..... a excepción del osteoclasto | Osteoblasto, osteocito y osteoide
Células mesenquimales
43
Funciones de los eosinófilos:
Infecciones parasitarias
44
Funciones de basófilos:
liberan histamina ante reacciones alérgicas