ENT Flashcards

(138 cards)

1
Q

Name the four major components of the upper respiratory tract

A
  1. Nose (and nasal passages)
  2. Paranasal sinuses
  3. Pharynx
  4. Larynx
How well did you know this?
1
Not at all
2
3
4
5
Perfectly
2
Q

Name the three regions of the inner nasal cavity (3):

A

Name the three regions of the inner nasal cavity (3):
1. Vestibule closest to the tip of the nose
2. Respiratory
3. Olfactory regions closest to cribiform plate

How well did you know this?
1
Not at all
2
3
4
5
Perfectly
3
Q

The vestibule portion of the nose is lined with _

A

The vestibule portion of the nose is lined with skin

How well did you know this?
1
Not at all
2
3
4
5
Perfectly
4
Q

The respiratory portion of the nose is lined with _

A

The respiratory portion of the nose is lined with mucosa and it is highly vascular

How well did you know this?
1
Not at all
2
3
4
5
Perfectly
5
Q

The olfactory region of the nose is the location of [specialized cells]

A

The olfactory region of the nose is the location of olfactory receptor neurons

How well did you know this?
1
Not at all
2
3
4
5
Perfectly
6
Q

The _ bone provides the roof of the inner nasal cavity and the medial and lateral walls

A

The ethmoid bone provides the roof of the inner nasal cavity and the medial and lateral walls

How well did you know this?
1
Not at all
2
3
4
5
Perfectly
7
Q

The anterior portion of the roof of the nasal cavity is formed by [bone]

A

The anterior portion of the roof of the nasal cavity is formed by frontal bone

How well did you know this?
1
Not at all
2
3
4
5
Perfectly
8
Q

The [cartilagenous + bony region] divides the nose

A

The nasal septum divides the nose
* Cartilage + ethmoid and vomer bone

How well did you know this?
1
Not at all
2
3
4
5
Perfectly
9
Q

The _ bone forms the external bridge between the orbits

A

The frontal bone forms the external bridge between the orbits

How well did you know this?
1
Not at all
2
3
4
5
Perfectly
10
Q

The posterior portion of the nasal cavity roof is formed by the _ bone

A

The posterior portion of the nasal cavity roof is formed by the sphenoid bone

How well did you know this?
1
Not at all
2
3
4
5
Perfectly
11
Q

In addition to the ethmoid bone, part of the medial wall is formed by the _ bone

A

In addition to the ethmoid bone, part of the medial wall is formed by the vomer bone

How well did you know this?
1
Not at all
2
3
4
5
Perfectly
12
Q

The floor of the nasal cavity is formed by [bone] and [bone]

A

The floor of the nasal cavity is formed by maxilla and palatine

How well did you know this?
1
Not at all
2
3
4
5
Perfectly
13
Q

The lateral wall of the nasal cavity is formed by the _ bone

A

The lateral wall of the nasal cavity is formed by the maxilla

How well did you know this?
1
Not at all
2
3
4
5
Perfectly
14
Q

We have three turbinates in the nose, the _ , _ , and _

A

We have three turbinates in the nose, the inferior , middle , and superior

How well did you know this?
1
Not at all
2
3
4
5
Perfectly
15
Q

The turbinates’ bony component is called _ , but the term turbinate includes the mucosa lining

A

The turbinates’ bony component is called conchae but the term turbinate includes the mucosa lining

How well did you know this?
1
Not at all
2
3
4
5
Perfectly
16
Q

The purpose of the turbinates is to _

A

The purpose of the turbinates is to humidify and warm the air
* Turbinates provide a large surface area –> cause tubulent mixing which helps to warm and humidify

How well did you know this?
1
Not at all
2
3
4
5
Perfectly
17
Q

ID the three turbinates

A
How well did you know this?
1
Not at all
2
3
4
5
Perfectly
18
Q

The [structures] are the spaces between the turbinates that direct airflow and allow drainage from the sinuses/ nasolacrimal duct

A

The meatuses are the spaces between the turbinates that direct airflow and allow drainage from the sinuses/ nasolacrimal duct
* Inferior, middle, superior meatuses

How well did you know this?
1
Not at all
2
3
4
5
Perfectly
19
Q

The superior meatus drains the _ sinus

A

The superior meatus drains the posterior ethmoid sinus
* Located between the superior and middle turbinate

How well did you know this?
1
Not at all
2
3
4
5
Perfectly
20
Q

The middle meatus drains the [sinuses]

A

The middle meatus drains the frontal, anterior and middle ethmoid, maxillary sinuses
* Located between the middle and inferior turbinates

How well did you know this?
1
Not at all
2
3
4
5
Perfectly
21
Q

The inferior meatus drains the _

A

The inferior meatus drains the nasolacrimal duct (drains tears from the eye)
* This is why the nose runs when a person cries

How well did you know this?
1
Not at all
2
3
4
5
Perfectly
22
Q

The sphenoid sinus is drained by the _

A

The sphenoid sinus is drained by the sphenoethmoidal recess
* Also helps drain the posterior ethmoid sinus

How well did you know this?
1
Not at all
2
3
4
5
Perfectly
23
Q

The nose’s blood supply branches off of two major arteries, _ and _

A

The nose’s blood supply branches off of two major arteries, internal carotid and external carotid

How well did you know this?
1
Not at all
2
3
4
5
Perfectly
24
Q

_ is a collection of small vessels that supplies the anterior nasal septum

A

Kiesselbach plexus is a collection of small vessels that supplies the anterior nasal septum
* Branches off of internal and external carotid arteries

How well did you know this?
1
Not at all
2
3
4
5
Perfectly
25
_ is a collection of vessels responsible for posterior epistaxis
**Woodruff's plexus** is a collection of vessels responsible for posterior epistaxis * *These nose bleeds are generally more severe*
26
Anterior nose bleeds arise from bleeding at the [vessels]
Anterior nose bleeds arise from bleeding at the **Kiesselbach plexus** * *These are more common and less severe*
27
Special sensory innervation to the nose comes from [nerve], while sensory innervation comes from [nerve]
Special sensory innervation to the nose comes from **CN I**, while sensory innervation comes from **CN V**
28
The nasal septum and the lateral walls of the nose are innervated by branches of [nerve]
The nasal septum and the lateral walls of the nose are innervated by branches of **V1**
29
The postero-inferior half to two-thirds of the nasal mucosa is innervated by [nerve]
The postero-inferior half to two-thirds of the nasal mucosa is innervated by **V2**
30
In addition to conchae, [nasal cavity feature] also helps to increase temperature of air
In addition to conchae, **rich vascular network (capillaries)** also helps to increase temperature of air
31
Olfactory receptor cells of CN I are found in the _ of the _ bone
Olfactory receptor cells of CN I are found in the **cribiform plate** of the **ethmoid** bone * *Responsible for smell*
32
Mucus and vibrissae (stiff hairs in nose) help to [function]
Mucus and vibrissae (stiff hairs in nose) help to **filter debris in the air**
33
Allergies cause a runny nose via histamines triggering _
Allergies cause a runny nose via *histamines* triggering **capillary leakage**
34
Name the (4) paranasal sinuses
Name the (4) paranasal sinuses 1. **Frontal** 2. **Sphenoid** 3. **Maxillary** 4. **Ethmoid**
35
ID the sinus
Ethmoid sinus
35
ID the sinus
Frontal sinus
36
ID the four paired paranasal sinuses
37
The small canals that connect the sinuses to the lateral nasal wall are called _
The small canals that connect the sinuses to the lateral nasal wall are called **ostia** * *Form the osteomeatal complex*
38
The frontal, ethmoid, sphenoid sinuses/bone are innervated by [nerve]
The frontal, ethmoid, sphenoid sinuses/bone are innervated by **opthalmic nerve (V1)**
39
The maxillary sinus is innervated by [nerve]
The maxillary sinus is innervated by **maxillary nerve (V2)**
40
Blood supply to the frontal and ethmoid sinuses comes from branches of [artery]
Blood supply to the frontal and ethmoid sinuses comes from branches of **opthalmic artery (from internal carotid)**
41
Blood supply to the sphenoid and maxillary sinuses comes from branches of [artery]
Blood supply to the sphenoid and maxillary sinuses comes from branches of **maxillary artery (external carotid)**
42
ID the bone
Ethmoid bone
43
ID the bone
Sphenoid bone
44
ID the bone
Frontal bone
45
Name (4) functions of the paranasal sinuses:
Name (4) functions of the paranasal sinuses: 1. Lighten the weight of the head 2. Activate immune system against pathogens 3. Humidies inspired air 4. Increase vocal resonance
46
The pharynx is a shared space for air and food until [region] where the respiratory and GI tracts will diverge
The pharynx is a shared space for air and food until **laryngopharynx** where the respiratory and GI tracts will diverge
47
ID the (3) regions of the pharynx
48
Name the borders of the nasopharynx: Superior: Inferior: Anterior: Posterior:
Name the borders of the nasopharynx: Superior: **skull base** Inferior: **soft palate** Anterior: **back of nose** Posterior: **vertebral bodies**
49
Another name for the eustachian tube is _
Another name for the eustachian tube is **pharyngotympanic tube** * Tells you that it connects the nasopharynx to the middle ear * *Functions to equalize pressures of the middle ear*
50
ID the structure found in the nasopharynx
Adenoid (pharyngeal tonsils)
51
If an adult presents with unilateral fluid in the ear you need to rule out _
If an adult presents with unilateral fluid in the ear you need to rule out **nasopharyngeal carcinoma** * *A mass can cause chronic otitis media*
52
The primary blood supply to the nasopharynx is _
The primary blood supply to the nasopharynx is **ascending pharyngeal artery (external carotid branch)**
53
Venous drainage of the nasopharynx occurs via the _ and _
Venous drainage of the nasopharynx occurs via the **pterygoid plexus** and **pharyngeal venous plexus** * *These go into the internal jugular vein*
54
The nasopharynx is innervated by the pharyngeal plexus which gets contributions from [CN] and [CN]
The nasopharynx is innervated by the pharyngeal plexus which gets contributions from **glassopharyngeal nerve** and **vagus nerve** * *The sympathetic fibers from the superior cervical ganglion also contribute to motor innervation*
55
The anterior roof of the nasopharynx gets sensory innervation from [CN]
The anterior roof of the nasopharynx gets sensory innervation from **V2**
56
The oropharynx extends from [soft tissue structure] to the [bone]
The oropharynx extends from **uvula** to the **hyoid bone**
57
The _ tonsils are the ones best visualized inside a patient's mouth
The **palatine tonsils** are the ones best visualized inside a patient's mouth
58
The [structure] closes the nasopharynx off when swallowing
The **uvula** closes the nasopharynx off when swallowing
59
_ provides blood supply to the oropharynx
**Facial artery** provides blood supply to the oropharynx
60
The oropharynx is innervated by [CN]
The oropharynx is innervated by **glossopharyngeal nerve**
61
Inflammation of the nasal mucosa is simply called _
Inflammation of the nasal mucosa is simply called **rhinitis** * *Can have allergic rhinitis or nonallergic rhinitis*
62
Allergic rhinitis, aka hay fever, is caused by [type] hypersensitivity reaction
Allergic rhinitis, aka hay fever, is caused by **Type 1** hypersensitivity reaction * *IgE mediated* * *Degranulation of mast cells --> histamine release*
63
Inflammation of the mucosa of paranasal sinuses is called _ while inflammation of the sinuses and nasal cavity mucosa is called _
Inflammation of the mucosa of paranasal sinuses is called **sinusitis** while inflammation of the sinuses and nasal cavity mucosa is called **rhinosinusitis**
64
Subacute sinusitis is defined as symptoms for [time]
Subacute sinusitis is defined as symptoms for **4-12 weeks** * < 4 weeks: acute * > 12 weeks: chronic * Recurrent > 4 episodes/year
65
The most common viral cause of rhinosinusitis is _
The most common viral cause of rhinosinusitis is **rhinovirus** * *Other causes include RSV, influenza, adenovirus, parainfluenza virus*
66
Acute rhinosinusitis is only bacterial 1-2% of the time; most common bugs are _ , _ , _
Acute rhinosinusitis is only bacterial 1-2% of the time; most common bugs are **Strep pneumo** , **H flu** , **Moraxella** * *Suspect bacterial infection if symptoms last more than 10 days without improving*
67
Fungal rhinosinusitis occurs in _ individuals; most common pathogens are _
Fungal rhinosinusitis occurs in **immunocompromised** individuals; most common pathogens are **Aspergillus, Fusarium, Mucorales** * Can extend to the orbit and brain
68
_ are areas of swollen nasal mucosa filled with neutrophilic inflammation
**Nasal polyps** are areas of swollen nasal mucosa filled with neutrophilic inflammation * *Sometimes these occur from aspirin sensitivity* * *Most common benign nasal tumor*
69
ID the pathology
Maxillary sinusitis
70
First line for allergic rhinitis is _
First line for allergic rhinitis is **intranasal corticosteroids**
71
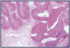
ID the pathology
**Nasal polyps**: hyperplastic connective tissue intermixed with glands and inflammatory cells
72
Aspirin-exacerbated respiratory disease is also known as _ triad; it includes (3) features:
Aspirin-exacerbated respiratory disease is also known as **Samter's triad**; it includes: 1. **Nasal polyps** 2. **Aspirin sensitivity** 3. **Asthma**
73
_ is a rare highly vascular tumor within the posterior nasal cavity found almost exclusively in adolescent boys
**Juvenile nasopharyngeal angiofibroma** is a rare highly vascular tumor within the posterior nasal cavity found almost exclusively in adolescent boys
74
A papilloma in the nasal cavity can be caused by [virus- two types] or EBV
A papilloma in the nasal cavity can be caused by **HPV type 6, 11** or EBV
75
Sinonasal papillomas are associated with [gene mutations]
Sinonasal papillomas are associated with **epidermal growth factor (EGFR)** gene mutations
76
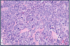
ID the pathology
**Sinonasal papilloma**: combination of squamous, transitional, columnar epithelial cells and mucocytes * Inverted are the most common type
77
_ is a malignant neuroendocrine tumor of the nose that arises from olfactory epithelium
**Olfactory neuroblastoma** is a malignant neuroendocrine tumor of the nose that arises from olfactory epithelium
78
The laryngopharynx extends from the superior [structure] to the inferior [structure]
The laryngopharynx extends from the superior **epiglottis** to the inferior **cricoid cartilage** (where it continues into the esophagus)
79
The (larynx/ laryngopharynx) is the most anterior
The **larynx** is the most anterior (sits in front of the laryngopharynx)
80
The laryngopharynx and larynx are connected by the _ and sit adjacent to the _ sinuses
The laryngopharynx and larynx are connected by the **laryngeal inlet** and sit adjacent to the **pyriform sinuses** * *Food/objects can get trapped in the pyriform sinuses causing obstruction*
81
_ diverticulum occurs when laryngopharyngeal muscles herniate and trap food
**Zenker's diverticulum** occurs when laryngopharyngeal muscles herniate and trap food
82
The laryngopharynx gets blood supply via branches of [main artery]
The laryngopharynx gets blood supply via branches of **external carotid**
83
The two major nerves which supply motor and sensory innervation to the pharynx are [CN] and [CN]
The two major nerves which supply motor and sensory innervation to the pharynx are **glossopharyngeal** and **vagus** * most motor = vagus * most sensory = glossopharyngeal
83
[CN] supplies all of the *motor* innervation to pharynx and soft palate except for the stylopharyngeus and tensor veli palatini
**CN X** supplies all of the *motor* innervation to pharynx and soft palate except for the stylopharyngeus and tensor veli palatini
84
Stylopharyngeus is innervated by [CN]
Stylopharyngeus is innervated by **CN IX**
85
Tensor veli palatini is innervated by [CN]
Tensor veli palatini is innervated by **CN V3**
86
The _ is sometimes called the "voice box"
The **larynx** is sometimes called the "voice box" * *It has roles in sound production, breathing, protecting the trachea from foreign objects*
87
The superior border of the larynx is the _ and the inferior border is the _
The superior border of the larynx is the **epiglottis** and the inferior border is the **trachea**
88
Name the (3) portions of the larynx
1. **Supraglottis** from epiglottis to vocal cords 2. **Glottis** vocal cords 3. **Subglottis** from vocal cords to trachea
89
The largynx is formed by three unpaired cartilages (3):
The largynx is formed by three unpaired cartilages (3): 1. **Epiglottis** 2. **Cricoid** around the subglottis 3. **Thyroid cartilage** the visible adam's apple
90
When a person swallows, the _ bone elevates, moving the epiglottis more horizontally, covering the _
When a person swallows, the **hyoid** bone elevates, moving the **epiglottis** more horizontally, covering the **trachea** * *This prevents food from entering the trachea* * *Otherwise the epiglottis points upward to allow air to enter trachea*
91
_ are paired folds of mucous membranes that lie adjacent to the vocal cords
**Vestibular folds** are paired folds of mucous membranes that lie adjacent to the vocal cords * *Called false vocal cords* * *Help with some special phonation sounds* * *Also help to maintain airway and prevent aspiration*
92
The main intrinsic muscle of the larynx which helps to support respiration is the _
The main intrinsic muscle of the larynx which helps to support respiration is the **posterior cricoarytenoid**
93
The muscles that help to control the vocal cords include: _
The muscles that help to control the vocal cords include: * **Cricothyroid** * **Cricoarytenoids (posterior and lateral)** * **Arytenoid (transverse and oblique)** * **Thyroarytenoid**
94
(3) extrinsic muscles that help to depress the larynx
1. **Sternothyroid** 2. **Omohyoid** 3. **Sternohyoid**
95
Extrinsic muscles that help to elevate the larynx
1. **Digastric** 2. **Genioglossus** 3. **Stylohyoid** 4. **Mylohyoid** 5. **Hypoglossus** 6. **Geniohyoid** 7. **Thyrohyoid**
96
The larynx gets its blood supply from two vessels, the _ and _
The larynx gets its blood supply from two vessels, the **superior laryngeal artery** and **inferior laryngeal artery** * Come off of the external carotid and thyrocervical trunk respectively
97
Innervation to the epiglottis comes from [nerve]
Innervation to the epiglottis comes from **superior laryngeal nerve (branch CN X)**
98
Phonation is controlled by two branches of the vagus nerve, _ and _
Phonation is controlled by two branches of the vagus nerve, **superior laryngeal nerve** and **recurrent laryngeal nerve**
99
_ is the actual sound production of speech
**Phonation** is the actual sound production of speech * *Recall that the vocal cords are controlled by the vagus nerve* * *Injury to these nerves can cause hoarseness and inability to maintain airway*
100
_ is the fullness and reverberation of speech
**Resonation** is the fullness and reverberation of speech
101
_ is the distinction of consonants and vowel sounds to form clear words
**Articulation** is the distinction of consonants and vowel sounds to form clear words
102
The _ removes particles and pathogens by the mechanical actions of cilia and cough; extends from trachea to bronchioles
The **mucociliary escalator** removes particles and pathogens by the mechanical actions of cilia and cough; extends from trachea to bronchioles * *Involve goblet cells, submucosa glands, cilia*
103
Testosterone during puberty leads to vocal cord _ and _ which leads to lower pitched voice
Testosterone during puberty leads to vocal cord **elongation** and **thickening** which leads to lower pitched voice * Loosening of cords creates lower pitch
104
The mucociliary escalator involves the actions of [cells], [cells], and [glands]
The mucociliary escalator involves the actions of **goblet cells**, **cilia**, and **submucosal glands**
105
Inflammation of the pharynx, whether due to infectious or allergic cause is called _
Inflammation of the pharynx, whether due to infectious or allergic cause is called **pharyngitis**
106
_ is difficulty swallowing, _ is pain with swallowing
**Dysphagia** is difficulty swallowing, **odynophagia** is pain with swallowing
107
An adolescent with pharyngitis, fatigue, swollen lymph nodes, and lymphocytosis may have [virus]
An adolescent with pharyngitis, fatigue, swollen lymph nodes, and lymphocytosis may have **Epstein-Barr virus** * *Diagnosed via heterophile test which detects anti-EBV antibodies*
108
(Bacterial/viral) pharyngitis is more common
**Viral** pharyngitis is more common
109
"Strep throat" is caused by [pathogen]
"Strep throat" is caused by **Group A streptococcus**
110
Treatment for strep throat is _
Treatment for strep throat is **amoxicillin or penicillin**
111
Bacterial pharyngitis that is accompanied by fever is more likely to be _
Bacterial pharyngitis that is accompanied by fever is more likely to be **GAS** * Gonorrhea does not have fever
112
Neisseria gonorrhea pharyngitis is treated with _
Neisseria gonorrhea pharyngitis is treated with **ceftriaxone** * *Plus azithromycin or doxycycline for chlamydial infection*
113
The most common fungal cause of pharyngitis is _
The most common fungal cause of pharyngitis is **candida albicans** * Causes oropharyngitis (thrush), tonsillitis, and esophagitis
114
Cobble-stoning of the posterior pharynx is suggestive of _
Cobble-stoning of the posterior pharynx is suggestive of **allergic pharyngitis**
115
PSGN is a [type] hypersensitivity reaction caused by _ deposition in the glomerulus that occurs 2-4 weeks after GAS pharyngitis
PSGN is a **type 3** hypersensitivity reaction caused by **immune complex** deposition in the glomerulus that occurs 2-4 weeks after GAS pharyngitis
116
Acute rheumatic fever is a [type] hypersensitivity reaction mediated by _ generated against the bacterium that cross react with _
Acute rheumatic fever is a **Type 2** hypersensitivity reaction mediated by **antibodies** generated against the bacterium that cross react with **M protein**
117
Unilateral swelling in the back of the throat, uvular deviation, voice changes, and unilateral eat/throat pain is concerning for _
Unilateral swelling in the back of the throat, uvular deviation, voice changes, and unilateral eat/throat pain is concerning for **peritonsillar abscess** * *Secondary to tonsillitis typically of the palatine tonsils* * *Treatment is to drain the abscess*
118
Recurrent tonsillitis/ refractory tonsillitis may be indication for [surgery]
Recurrent tonsillitis/ refractory tonsillitis may be indication for **tonsillectomy** * *Often done in children with the removal of adenoids as well*
119
Diagnosis?
**Epiglottitis**: thumbprint sign
120
(4) clinical features of epiglottitis presentation
(4) clinical features of epiglottitis presentation 1. **Inspiratory strider** turbulent airflow in larynx 2. **Hot-potato voice** 3. **Tripod breathing position** 4. **Drooling**
121
Epiglottitis is most commonly caused by [pathogen]
Epiglottitis is most commonly caused by **non-typeable H flu** * "Cherry red" epiglottitis on laryngoscopy * Treat with antibiotics, steroids, possible intubation
122
Laryngitis will present as _
Laryngitis will present as **hoarseness with intermittent aphonia**
123
The most common cause of laryngitis is _
The most common cause of laryngitis is **viral** (rhinovirus, coronavirus, influenza, parainfluenza) * Can also be allergies, smoking, GERD, etc
124
_ is often called "croup"
**Tracheolaryngitis** is often called "croup" * Inflammation of both the larynx and the trachea; often extends into bronchi
125
Croup is characterized by [presentation]
Croup is characterized by **vocal hoarseness, inspiratory stridor, distinct bark-like cough**
126
The most common cause of tracheolaryngitis is [pathogen]
The most common cause of tracheolaryngitis is **parainfluenza virus** * Can also be RSV, adenovirus, influenza
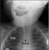
127
Croup will appear as [sign] on chest x-ray
Croup will appear as **stepple sign** on chest x-ray
128
Unvaccinated children who present with croup-like symptoms should be evaluated for possible _
Unvaccinated children who present with croup-like symptoms should be evaluated for possible **diptheria**
129
Diptheria will present with croup-like symptoms, fever, tachycardia, and _ in the throat
Diptheria will present with croup-like symptoms, fever, tachycardia, and **grayish diptheritic membrane** in the throat * *Due to toxin produced by bacteria* * *Complications include myocarditis, respiratory failure, nervous system toxicity*
130
Nasopharyngeal carcinoma often presents as _ and _ in adults
Nasopharyngeal carcinoma often presents as **chronic otitis media** and **painless neck mass** in adults
131
Nasopharyngeal carcinoma risk is increased by [infection], [modifiable risk factor], and [ethnicity]
Nasopharyngeal carcinoma risk is increased by **EBV infection**, **smoking**, and **Asian** ethnicity
132
Laryngeal cancer risk is increased by [virus]
Laryngeal cancer risk is increased by **HPV infection**
133
Laryngeal cancer is typically [form]
Laryngeal cancer is typically **squamous cell carcinoma**
134
HPV can disrupt tumor suppressor proteins p53 and Rb, resulting in lack of control over transition from [cell cycle phase]
HPV can disrupt tumor suppressor proteins p53 and Rb, resulting in lack of control over transition from **G1 --> S**
135
HPV encodes protein E6 which disrupts tumor suppressor protein _
HPV encodes protein **E6** which disrupts tumor suppressor protein **p53**
136
HPV encodes protein E7 which disrupts tumor suppressor protein _
HPV encodes protein **E7** which disrupts tumor suppressor protein **Rb**