Strokes Flashcards

(94 cards)

1
Q

Cortical strokes most commonly affect vessels in [order]

A

Cortical strokes most commonly affect MCA > PCA > ACA

How well did you know this?
1
Not at all
2
3
4
5
Perfectly
2
Q

The underlying pathology of subcortical strokes is _

A

The underlying pathology of subcortical strokes is lipohyalinosis
* Occurs in the small perforating arteries

How well did you know this?
1
Not at all
2
3
4
5
Perfectly
3
Q

Combined face, arm, and leg deficits on one side is more suggestive of [stroke]

A

Combined face, arm, and leg deficits on one side is more suggestive of subcortical stroke
* A cortical stroke would only affect region of vessel perfusion (ie arm and face or just leg)

How well did you know this?
1
Not at all
2
3
4
5
Perfectly
4
Q

Cerebellar findings are more common in [stroke type]

A

Cerebellar findings are more common in subcortical strokes
* Ex: unstable gait, poor intentional movement

How well did you know this?
1
Not at all
2
3
4
5
Perfectly
5
Q

Ipsilateral cranial nerve deficits are more common in [stroke type]

A

Ipsilateral cranial nerve deficits are more common in subcortical strokes

How well did you know this?
1
Not at all
2
3
4
5
Perfectly
6
Q

Aphasia, neglect, gaze preference are indicative of [stroke type]

A

Aphasia, neglect, gaze preference are indicative of cortical stroke

How well did you know this?
1
Not at all
2
3
4
5
Perfectly
7
Q

ID the structures on ventral brainstem

A
How well did you know this?
1
Not at all
2
3
4
5
Perfectly
8
Q

ID the structures of the dorsal brainstem

A
How well did you know this?
1
Not at all
2
3
4
5
Perfectly
9
Q

Information from the inferior visual field travels via fibers in _ lobe

A

Information from the inferior visual field travels via fibers in parietal lobe

How well did you know this?
1
Not at all
2
3
4
5
Perfectly
10
Q

Information from the superior visual field travels via fibers in _ lobe

A

Information from the superior visual field travels via fibers in temporal lobe
* Meyers loop involved

How well did you know this?
1
Not at all
2
3
4
5
Perfectly
11
Q

Deficits in bladder control most commonly result from a cortical stroke in the [vessel]

A

Deficits in bladder control most commonly result from a cortical stroke in the ACA

How well did you know this?
1
Not at all
2
3
4
5
Perfectly
12
Q

Contralateral arm and face deficits, think _ stroke

A

Contralateral arm and face deficits, think MCA stroke
* Will see motor and sensory loss

How well did you know this?
1
Not at all
2
3
4
5
Perfectly
13
Q

Contralateral leg deficits, think _ stroke

A

Contralateral leg deficits, think ACA stroke
* Will see motor and sensory loss

How well did you know this?
1
Not at all
2
3
4
5
Perfectly
14
Q

Expressive aphasia is most likely to indicate _ stroke (specifically)

A

Expressive aphasia is most likely to indicate superior MCA stroke
* Broca’s is in the frontal lobe, gets supplied by the superior MCA

How well did you know this?
1
Not at all
2
3
4
5
Perfectly
15
Q

Receptive aphasia is most likely to indicate _ stroke (specifically)

A

Receptive aphasia is most likely to indicate inferior MCA stroke
* Wernicke’s area is in the temporal lobe and supplied by inferior MCA

How well did you know this?
1
Not at all
2
3
4
5
Perfectly
16
Q

The superior branch of the MCA supplies _ and _ lobes

A

The superior branch of the MCA supplies frontal and parietal lobes
* Includes broca’s area

How well did you know this?
1
Not at all
2
3
4
5
Perfectly
17
Q

The inferior branch of the MCA supplies _ lobe

A

The inferior branch of the MCA supplies temporal lobe
* Includes wernicke’s area

How well did you know this?
1
Not at all
2
3
4
5
Perfectly
18
Q

The PCA supplies _ and _ lobes

A

The PCA supplies temporal and occipital lobes
* PCA stroke will not only affect vision but memory as well

How well did you know this?
1
Not at all
2
3
4
5
Perfectly
19
Q

Eyes deviating to the side of the stroke is most commonly from [location] stroke

A

Eyes deviating to the side of the stroke is most commonly from superior MCA stroke
* Superior MCA supplies frontal lobe where frontal eye fields are found

How well did you know this?
1
Not at all
2
3
4
5
Perfectly
20
Q

Hemianopsia is most commonly a result of cortical stroke in [vessel] or [vessel]

A

Hemianopsia is most commonly a result of cortical stroke in PCA or Inferior MCA

How well did you know this?
1
Not at all
2
3
4
5
Perfectly
21
Q

ID the structures

A
How well did you know this?
1
Not at all
2
3
4
5
Perfectly
22
Q

ID the vessels

A
How well did you know this?
1
Not at all
2
3
4
5
Perfectly
23
Q

The medial midbrain is supplied by [vessel]

A

The medial midbrain is supplied by PCA

How well did you know this?
1
Not at all
2
3
4
5
Perfectly
24
Q

The lateral midbrain is supplied by [vessel]

A

The lateral midbrain is supplied by PCA

How well did you know this?
1
Not at all
2
3
4
5
Perfectly
25
The medial pons is supplied by [vessel]
The medial pons is supplied by **basilar artery**
26
The lateral pons is supplied by [vessel]
The lateral pons is supplied by **AICA**
27
The medial medulla is supplied by [vessel]
The medial medulla is supplied by **ASA**
28
The lateral medulla is supplied by [vessel]
The lateral medulla is supplied by **PICA**
29
ID the level
Midbrain
30
ID the level
Medulla
31
ID the level
Pons
32
The first microscopic change in brain tissue after stroke is _ (within 12-24 hours)
The first microscopic change in brain tissue after stroke is **red cytoplasm, pyknotic nuclei** (within 12-24 hours)
33
Name the syndrome
**Medial medullary syndrome** (Dejerine)
34
Name the syndrome
**Lateral medullary syndrome** (Wallenberg)
35
Name the syndrome
**Lateral pontine syndrome** (Marie-Foix)
36
Most strokes will involve sudden onset of focal neurological deficits; the exception to this is _
Most strokes will involve sudden onset of focal neurological deficits; the exception to this is **subarachnoid hemorrhage** * *SAH may not produce focal deficit*
37
The vast majority of strokes (85%) are (ischemic/hemorrhagic)
The vast majority of strokes (85%) are **ischemic** * *Ischemic strokes involve embolic, thrombotic, lacunar*
38
Hemorrhagic strokes are caused by either [bleeding] or [bleeding]
Hemorrhagic strokes are caused by either **subarachnoid hemorrhage** or **intracerebral hemorrhage**
39
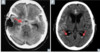
The pathology shown may cause [type stroke]
The pathology shown may cause **ischemic stroke** * *ie atherosclerosis --> thrombotic stroke*
40
Name some causes of embolic stroke:
Name some causes of embolic stroke: * **Atrial fibrillation** * **Infective endocarditis** * **Cardiomyopathy** * **Prosthetic valves** * **Patent foramen ovale**
41
Ipsilateral transient monocular blindness can be caused by a cortical stroke of the (anterior/posterior) circulation
Ipsilateral transient monocular blindness can be caused by a cortical stroke of the **anterior circulation** * *Aka amaurosis fugax (curtain falling)* * *ICA --> opthalmic artery --> central retinal artery*
42
Name the symptoms of disruption to blood flow in the anterior circulation
Name the symptoms of disruption to blood flow in the **anterior circulation**: * Visual field deficits, amaurosis fugax * Contralateral weakness * Language disturbances * Neglect * Forced gaze (frontal eye fields) * Disinhibition, personality changes, etc
43
Name the symptoms of disruption to blood flow in the posterior circulation
Name the symptoms of disruption to blood flow in the **posterior** circulation: * Diplopia * Visual field deficits * Unilateral or bilateral motor weakness * Dysphagia, dysarthria * Vertigo, staggering
44
(3) examples of overlap between the anterior and posterior circulations of the brain:
(3) examples of overlap between the anterior and posterior circulations of the brain: 1. **Circle of willis** 2. **Leptomeningeal vessels** 3. **Communication between extra and intracranial arteries**
45
Lenticulostriate arteries are branches off of the [major artery] which supply the _ and _
*Lenticulostriate arteries* are branches off of the **MCA** which supply the **basal ganglia** and **internal capsule**
46
Small vessels from the [major artery] supply the midbrain and thalamus
Small vessels from the **PCA** supply the midbrain and thalamus * *Artery of percheron supplies both thalami*
47
Small vessels from the [major vessel] supply the head of the caudate
Small vessels from the **ACA** supply the head of the caudate * *Called the recurrent artery of Heubner*
48
_ are "small vessel strokes" to the thalamus, basal ganglia, pons
**Lacunar strokes** are "small vessel strokes" to the thalamus, basal ganglia, pons
49
_ and _ are the two most common risk factors of lacunar strokes
**Hypertension** and **diabetes** are the two most common risk factors of lacunar strokes * *Lipohyalinosis --> thickening of the media, microatheroma*
50
Pure motor loss to the face, arm, leg is most likely due to stroke in [location]
Pure motor loss to the face, arm, leg is most likely due to stroke in **contralateral posterior limb of the internal capsule** * *Anterior choroidal artery*
51
Pure sensory loss to the face, arm, leg is most likely due to stroke in [location]
Pure sensory loss to the face, arm, leg is most likely due to stroke in **contralateral thalamus** * *Affects all sensation modalities*
52
Ataxic hemiparesis is most commonly due to a stroke in [location]
Ataxic hemiparesis is most commonly due to a stroke in **contralateral pons**
53
_ syndrome is facial weakness + dymetria of one upper extremity ; results from lacunar stroke
**Dysarthria-Clumsy Hand Syndrome** is facial weakness + dymetria of one upper extremity ; results from lacunar stroke
54
Acute treatment for an ischemic stroke that is caught early is _
Acute treatment for an ischemic stroke that is caught early is **tissue plasminogen activators (tPA)** * *Acute treatment also includes aspirin and clopidogrel*
55
Damage to a cranial nerve nucleus will result in [side] symptoms; the only exception is [CN]
Damage to a cranial nerve nucleus will result in **ipsilateral** symptoms; the only exception is **CN IV** * *The trochlear nerve causes contralateral deficits*
56
Damage to the PCA will affect [brainstem]
Damage to the PCA will affect **midbrain**
57
Damage to the AICA will affect [brainstem region]
Damage to the AICA will affect **lateral pons**
58
Damage to the basilar artery will affect [brainstem]
Damage to the basilar artery will affect **medial pons** * *Also some of the medial midbrain could be affected, though most supply comes from PCA*
59
Damage to the ASA will affect [brainstem]
Damage to the ASA will affect **medial medulla**
60
Damage to the PICA will affect [brainstem]
Damage to the PICA will affect **lateral medulla** * *The vertebral artery also supplies some of the medulla*
61
_ syndrome is a unilateral lesion of the red nucleus which results in [findings]
**Benedikt** syndrome is a unilateral lesion of the red nucleus which results in **ipsilateral oculomotor palsy, contralateral tremor + hemiparesis** * *Red nucleus is egg shaped = eggs benedikt*
62
The constellation of upward gaze palsy, convergence retraction nystagmus, light-near dissociation is indicative of a problem at [location]
The constellation of upward gaze palsy, convergence retraction nystagmus, light-near dissociation is indicative of a problem at **dorsal midbrain (compression of tectum)** * *This is Parinaud syndrome*
63
Damage to the ventral midbrain may cause _ syndrome with [findings]
Damage to the ventral midbrain may cause **Weber syndrome** with **ipsilateral CN III palsy + contralateral hemiparesis**
64
A medial pontine stroke will hit (3) major structures:
A medial pontine stroke will hit (3) major structures: 1. **Abducens nucleus** 2. **Medial lemniscus** 3. **Corticospinal UMNs**
65
Localize the stroke... 1. Ipsilateral loss of eye abduction 2. Contralateral loss of touch, pressure, vibration 3. Contralateral weakness with UMN signs
**Medial pontine syndrome** 1. Ipsilateral loss of eye abduction 2. Contralateral loss of touch, pressure, vibration 3. Contralateral weakness with UMN signs *Because the facial nerve loops around the abducens it can sometimes be affected*
66
Name (6) major structures located in the lateral pons
Name (6) major structures located in the lateral pons: 1. **Spinothalamic tract** 2. **Hypothalamospinal tract** 3. **Trigeminal sensory nucleus** 4. **Facial nerve** 5. **Vestibular and cochlear nuclei** 6. **Middle cerebellar peduncle**
67
Name (6) major symptoms of the lateral pontine syndrome
Name (6) major symptoms of the lateral pontine syndrome 1. **ipsilateral loss of facial sensation** 2. **contralateral loss of pain and temperature** 3. **ipsilateral horner syndrome** 4. **ipsilateral facial weakness** 5. **vertigo/nystagmus/hearing loss** 6. **ipsilateral ataxia**
68
Name (3) major structures affected by a medial medullary stroke
Name (3) major structures affected by a medial medullary stroke: 1. **Hypoglossal nucleus** 2. **Medial lemniscus** 3. **Corticospinal UMNs**
69
Name (3) symptoms of medial medullary syndrome:
Name (3) symptoms of medial medullary syndrome: 1. **Ipsilateral tongue weakness** 2. **Contralateral loss of touch, pressure, vibration** 3. **Contralateral UMN weakness**
70
Name (6) major structures affected by a lateral medullary syndrome:
Name (6) major structures affected by a lateral medullary syndrome: 1. **Spinothalamic tract** 2. **Hypothalamospinal tract** 3. **Spinal nucleus of V** 4. **Vestibular nuclei** 5. **Nucleus ambiguus** 6. **Inferior cerebellar peduncle**
71
Name (6) symptoms of lateral medullary syndrome
Name (6) symptoms of lateral medullary syndrome: 1. **Ipsilateral loss of facial sensation** 2. **Ipsilateral horner's syndrome** 3. **Contralateral loss of pain and temperature** 4. **Vertigo/nystagmus** 5. **Diminished gag reflex/dysphagia** 6. **Ipsilateral ataxia**
72
The most common risk factor for intracerebral hemorrhage is _
The most common risk factor for intracerebral hemorrhage is **hypertension**
73
ID the anterior corticospinal tract
74
ID the anterior spinothalamic tract
Recall that the anterior spinothalamic is responsible for **crude touch, pressure**
75
Lesion of the subthalamic nucleus can cause _
Lesion of the subthalamic nucleus can cause **contralateral hemiballismus**
76
Decerebrate posturing is a worse prognosis compared to decorticate; it is a result of lesion at [location]
Decerebrate posturing is a worse prognosis compared to decorticate; it is a result of lesion **at or below red nucleus**
77
Diagnosis?
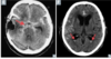
Epidural hematoma
78
Most likely cause?
Rupture of the **middle meningeal artery**; often secondary to pterion skull fracture
79
Diagnosis?
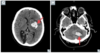
Subdural hematoma
80
Etiology/cause?
**Rupture of bridging veins** (can be acute or chronic) * Hemorrhage crosses suture lines; poor prognosis
81
Diagnosis?
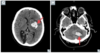
Subarachnoid hemorrhage
82
Etiology/cause?
Bleeding due to trauma or rupture of aneurysm or AV malformation
83
Diagnosis?
Intraparenchymal hemorrhage
84
Most common etiology/cause?
Most commonly caused by **systemic hypertension**
85
Shaken baby sydrome is associated with [hemotoma]
Shaken baby sydrome is associated with **subdural hematoma** --> rupture of bridging veins
86
[Hematomas] can present as transient loss of consciousness followed by lucid interval before deterioration
**Epidural hematoma** can present as transient loss of consciousness followed by lucid interval before deterioration
87
Patients with [hemorrhage] may complain of "worst headache of their lives"
Patients with **subarachnoid hemorrhage** may complain of "worst headache of their lives" * Rapid time course
88
Diffuse axonal injury will show _ on MRI
Diffuse axonal injury will show **multiple punctate hemorrhages** *involving white matter tracts* on MRI * This is caused by traumatic shearing forces during rapid acceleration or deceleration of the brain (like MVA)
89
[Hemorrhage] usually occurs in premature infants or those of low birth weight. Symptoms, if present, include seizure, flaccid weakness, hypoventilation, and cranial nerve abnormalities
**Intraventricular hemorrhage** usually occurs in premature infants or those of low birth weight. Symptoms, if present, include seizure, flaccid weakness, hypoventilation, and cranial nerve abnormalities
90
Damage to the medial brainstem at any level (ie medial medulla, medial pons or Benedikt syndrome) may damage [pathway] and [pathway]
Damage to the medial brainstem at any level (ie medial medulla, medial pons or Benedikt syndrome) may damage **medial lemnisucs** and **corticospinal tract** * *Contralateral loss of touch, vibration, proprioception* * *Contralateral hemiparesis*
91
Lateral medullary and lateral pontine syndromes can cause [side] horner syndrome due to damage of the [tract]
Lateral medullary and lateral pontine syndromes can cause **ipsilateral** horner syndrome due to damage of the **hypothalamospinal tract**
92
Damage to the right inferior cerebellar peduncle (due to brainsem stroke) will cause [side] ataxia
Damage to the *right* inferior cerebellar peduncle (due to brainsem stroke) will cause **right** ataxia * *Damage to any cerebellar peduncles/tracts will cause ipsilateral deficit*
93
Both lateral pontine syndrome and lateral medullary syndrome cause ipsilateral facial numbness due to the [nucleus] running throughout the brainstem
Both lateral pontine syndrome and lateral medullary syndrome cause ipsilateral facial numbness due to the **trigeminal sensory nucleus** running throughout the brainstem
94
Both [brainstem stroke] and [brainstem stroke] can result in nystagmus/vertigo
Both **lateral pontine stroke** and **lateral medullary stroke** can result in nystagmus/vertigo * *CN VIII nuclei straddle the pons and medulla so can be affected in both syndromes*