What are the highest risk of stroke in cardiac surgeries?
What percent of patients develop cognitive dysfunction after cardiac surgery?
(One months? 6 months? 5 years?)
30-50% within one month
20-40% at six months
42% at 5 years
What are the risk factors for atherosclerosis in the ascending aorta?
Old age
HTN
Unstable angina
COPD
Stroke
PVD
Elevated Creatinine
What % of patients with 5mm or mobile plaque will have a stroke?
45%
How is the epiaortic ultrasound oriented?
Where do you put the ultrasound marker?

V (On the image) is pointed towards patient left shoulder
Indicator oriented towards left shoulder
What are the 5 standard views of the Epiaortic Exam?
1. SAX of Proximal Ascending Aorta
Sinotubular Junction –> Proximal PA
2. SAX of Mid Ascending Aorta
Adjacent to the Right PA
3. SAX of Distal Ascending Aorta
From Right PA to the take off of innominate artery
4. LAX of Ascending Aorta
5. LAX of arch including all arch vessels
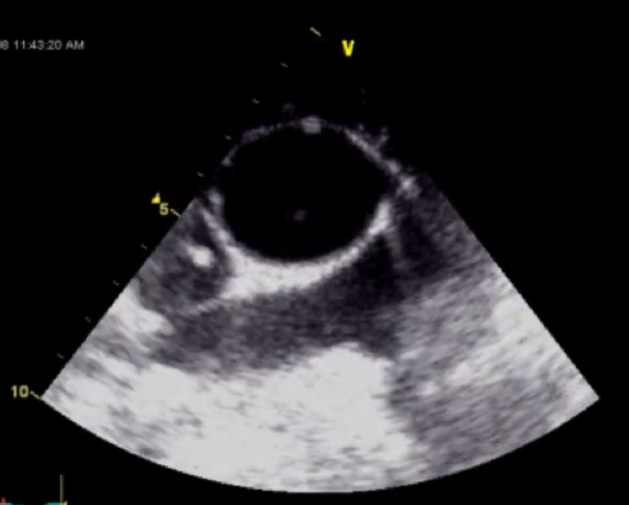
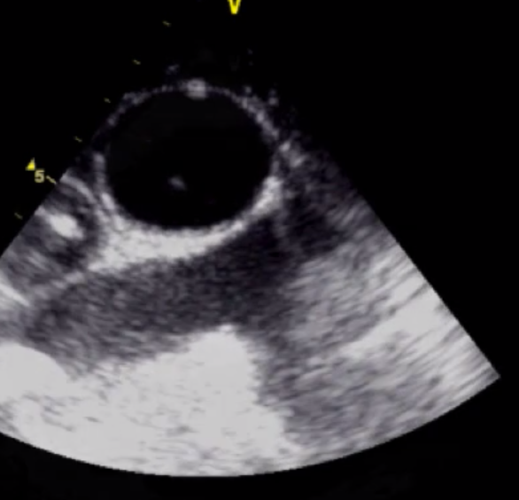
Label the following vessels

Big Circle = Mid Ascending Aorta
SVC = Small vessel on the right
Right PA at the bottom

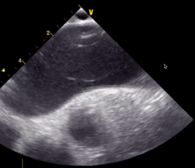
Label the Long axis of the Epiaortic Exam

Aorta on top
Left = Proximal
Right = Distal
RPA (Bottom screen)

What is Grade 1 of Plaque Grading?
Normal Intimal Thickening
What is Grade 2 of Plaque Grading?
Severe Intimal Thickening without protruding atheroma
What is Grade 3 of Plaque Grading?
Atheroma 3-5 mm
What is Grade 4 of Plaque Grading?
Atheroma >5 mm
What is Grade 5 of Plaque Grading?
Mobile component
What are the major decisions that can be made with epiaortic ultrasound?
Label 1

RV
Label 2

Pulmonic Valve
Label 3

Right Coronary Cusp
Label 4

Left Coronary Cusp
Label 5

Non-Coronary Cusp
Label 6

Main Pulmonary Artery
Label 7

Left Pulmonary Artery
Label 8

Right Pulmonary Artery
Label 9

Left Atrium
Label 10

Right Atrium