What does the aortic root entail?
Aortic Valve Annulus
Aortic Cusps
Sinus of Valsalva

When does the Ascending Aorta begin?
End?
Begins = Sinotubular Junction
Ends = Origin of the Brachicephalic Artery

When does the aortic arch end?
Isthmus (Origin of Left Subclavian artery) and Ligamentum Arteriosum
In the midesophageal views, how deep from the incisors should this be?
30 cm from the incisors
What is a normal diameter of the: Aortic Annulus?
2 - 2.5 cm
Annulus in red in the photo

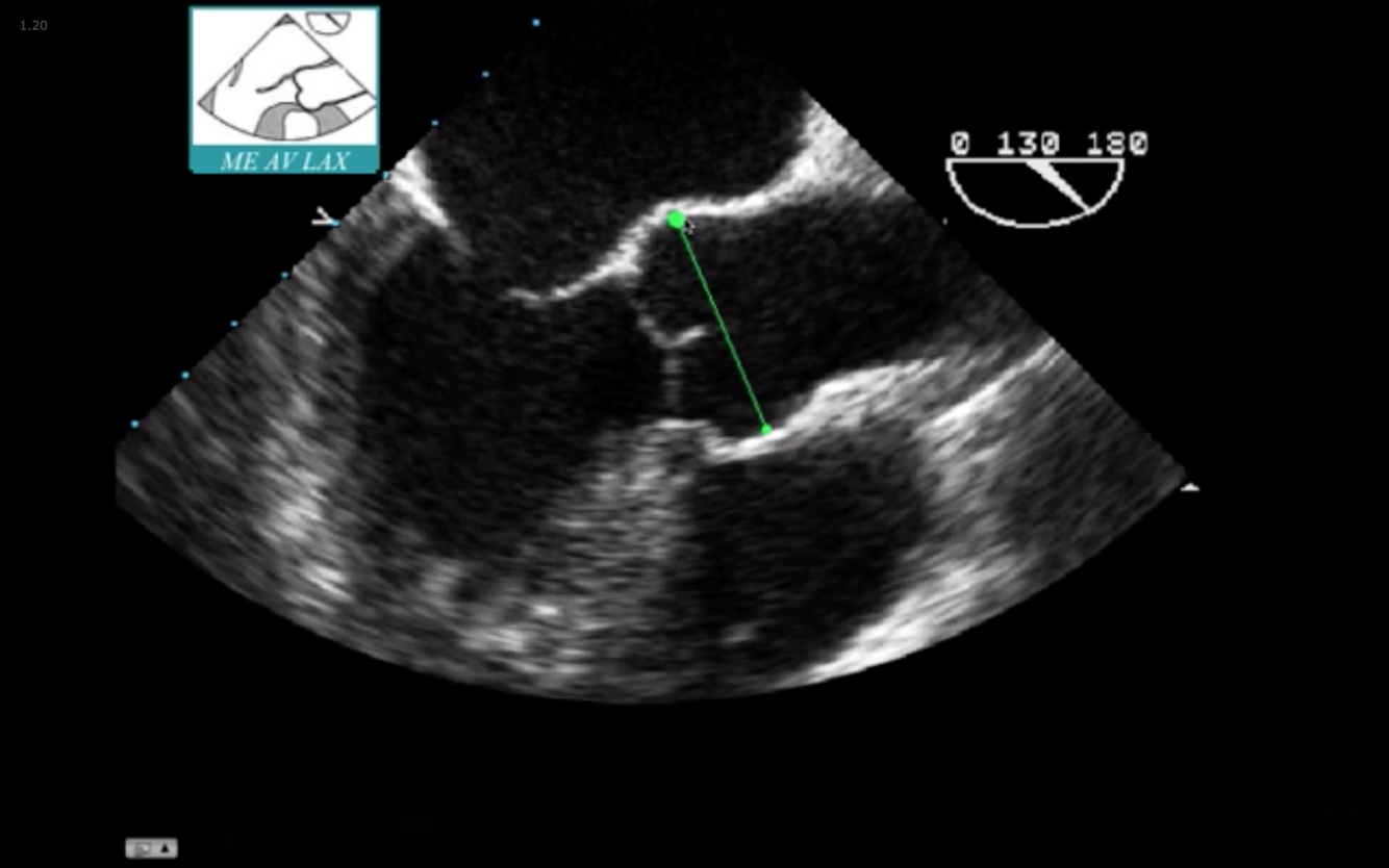
What is a normal diameter of the: Sinus of Valsalva?
3 - 3.5 cm
Sinus of Valsalva is in Green

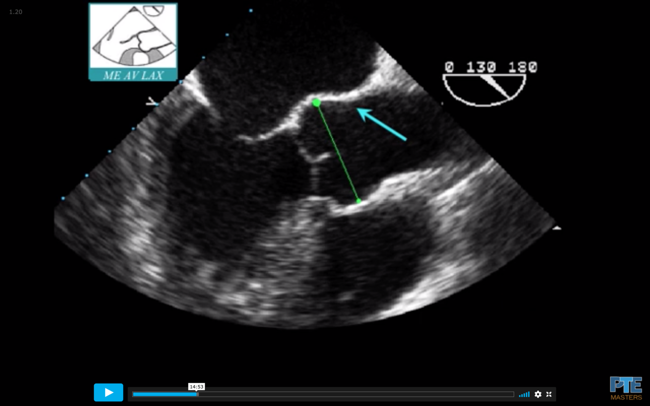
What is a normal diameter of the: Sinotubular Junction?
2 - 2.5 cm
Junction in Teal

What is a normal diameter of the: Ascending Aorta?
2.5 - 3.5 cm
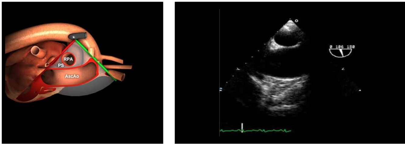
How do you get to a ME Ascending Aorta Long Axis view?
Insert the probe to the ME, sector depth 8-10cm, angle 0°
Find the ME AV LAX (120°)
Withdraw the probe to bring the right pulmonary artery in view
Decrease omniplane angle slightly by 10-20° to make the aortic wall symmetric

How do you obtain the ME Ascending Aorta in Short Axis?
Insert the probe to the ME, sector depth 10-12cm, angle 0°
From ME AV SAX (30°), withdraw probe (ascending aorta SAX), rotate the omniplane angle back to 0° (Anteflex a little bit)

Why is the Left Pulmonary Artery not visualized well in the ME Ascending Aorta Short Axis?
Bronchial and Tracheal tree is obstructing the view

What is the easiest way to obtain a descending aortic short axis view?
Insert the probe to the ME, sector depth 10-12cm, angle 0°
Turn probe to left to find the aorta
Put aorta in middle of display
Decrease depth to 5cm
Advance + withdraw probe

If you find that you need to constantly adjust the right/left laterality of the TEE probe when scanning the Aorta in the Descending Aortic Short axis, what does this mean?
Tortuous Aorta
How do you obtain the descending aorta in long axis?
Insert the probe to the ME, sector depth 4-6cm
From Descending Aorta SAX (0°) view
Keep probe tip still, rotate omniplane angle to 90-100°
Aortic walls appear in parallel
Difficult to tell which wall is right from left and anterior from posterior
What are 4 pathologies you can rule out when evaluataing the aorta in short axis?
Aortic Pathology: Dissection vs. Atheroma Burden
Color flow reversal: Aortic insufficiency (AI severity) Holodiastolic reversal of flow
IABP position
Left Pleural Effusion
How would you obtain the Upper Esophageal Aortic Arch SAX View?
Insert the probe to the ME, sector depth 10-12cm, angle 0°
Find the ME Descending Aorta SAX (0°) view
Withdraw the probe to obtain the UE Aortic Arch LAX (0°) view
Rotate the omniplane angle to 60-90°
Bring the pulmonic valve and pulmonary artery in view

How would you obtain the Upper Esophageal Aortic Arch LAX View?
Insert the probe to the ME, sector depth 4-6cm, angle 0°
Find ME Descending Aorta SAX (0°) view
Withdraw probe until aorta changes into oval shape
Turn probe slightly to the right

What is the significance of the anatomical blind spot of the aorta during cardiac surgery?
Can’t see where they cross clamp or where they cannulate

What is a Stanford Type A Classification Aortic Dissection?
Type A - Involves any portion of ascending aorta
What is a Stanford Type B Aortic Dissection Classification?
Type B - Isolated to descending aorta
What is a DeBakey Type I Class of Aortic Dissection?
It categorizes the dissection based on where the original intimal tear is located and the extent of the dissection (localized to either the ascending aorta or descending aorta or involves both the ascending and descending aorta.
Type I – originates in ascending aorta, and propagates at least to the aortic arch and often beyond it distally.
It is most often seen in patients less than 65 years of age and is the most lethal form of the disease.
What is a DeBakey Type II Class of Aortic Dissection?
The DeBakey system is an anatomical description of the aortic dissection. It categorizes the dissection based on where the original intimal tear is located and the extent of the dissection (localized to either the ascending aorta or descending aorta or involves both the ascending and descending aorta.
Type II – originates in the ascending aorta and is confined to it.
What is a DeBakey Type IIIa Class of Aortic Dissection?
Type III – originates in the descending aorta and rarely extends proximally, but will extend distally. It most often occurs in elderly patients with atherosclerosis and hypertension.
Type III – originates distal to the subclavian artery in the descending aorta
Further subdivided into IIIa which extends distally to the diaphragm and IIIb which extends beyond the diaphragm into the abdominal aorta
What is the most common case of aortic dissection when doing a case?
50-85% of cases are Type A