What are the roles of epithelial tissue?
Characteristics?
What is the think extracellular, felt-like sheet epithelial cells rest on?
Epithelium that is involved in secretion is arranged as:
Two parts to this card:
Part 1: cells show polarity; organelles and proteins are ________ distributed
Part 2: picture:

tight/occluding junctions

gap junction (communicating junction)

anchoring junctions

tight junctions
desmosomes

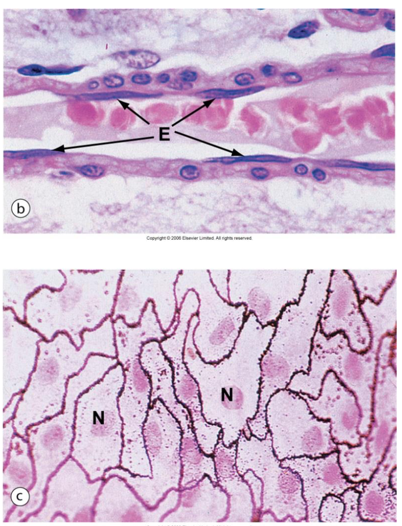
basement membrane
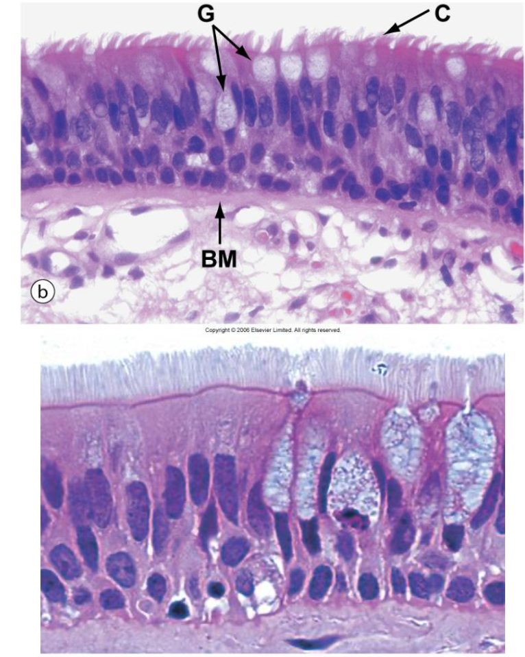
microvilli
sterocilia
(critical in airways)
cilia
How do you classify tissue type?

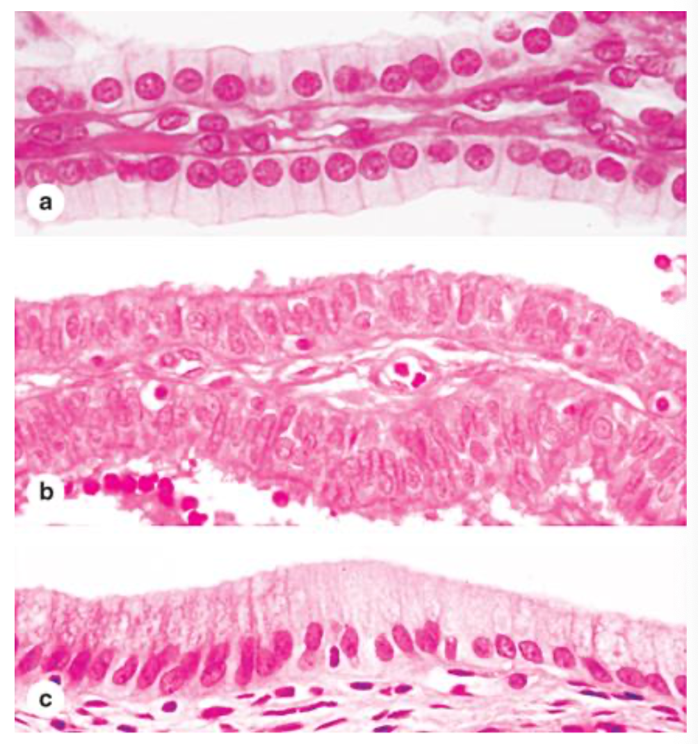
simple squamous

simple cuboidal

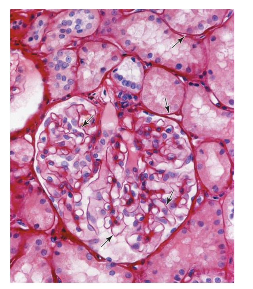
simple columnar

pseudostratified columnar ciliated

urothelium
(top of cartoon pic is bladder empty, bottom of cartoon pic is bladder full)

(areas w/ constant/frequent abrasion)
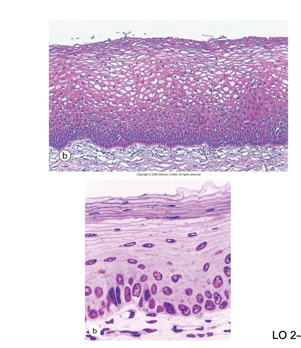
nonkeratinized stratified squamous

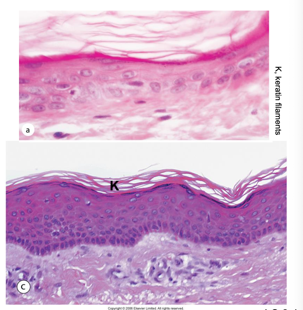
keratinized stratified squamous

stratified cuboidal/columnar

Epithelial decision tree (study guide):

mucous membrane
serous membrane