epoc Flashcards

(100 cards)

1
Q

enfermedad cronica heterogenea caracterizada por sintomas respiratorios cronicos debido a anormalidades de la via aerea (bronquitis cronica) y/o alveolo (enfisema), ocasionando obstruccion de via aerea persistente y en ocasiones progresiva

A

EPOC

How well did you know this?
1
Not at all
2
3
4
5
Perfectly
2
Q

principal factor de riesgo para epoc

A

tabaquismo

How well did you know this?
1
Not at all
2
3
4
5
Perfectly
3
Q

factores de riesgo para epoc

A

-tabaquismo
-contaminacion ambiental
-inhalacion de particulas toxicas
-factores geneticos
-exposicion a biomasa
-asma
-infecciones como tuberculosis
-nivel socioeconomico

How well did you know this?
1
Not at all
2
3
4
5
Perfectly
4
Q

cómo sacar el indice tabaquico

A
How well did you know this?
1
Not at all
2
3
4
5
Perfectly
5
Q

riesgo de epoc de acuerdo al indice tabaquico

A
How well did you know this?
1
Not at all
2
3
4
5
Perfectly
6
Q

cómo evaluar el riesgo del humo de leña?

A

no. de años x no. de horas
*si es mayor a 200 ya es riesgo

How well did you know this?
1
Not at all
2
3
4
5
Perfectly
7
Q

formas de presentacion de epoc

A

-temprano
-leve
-en joven
-pre epoc
-PRISm

How well did you know this?
1
Not at all
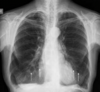
2
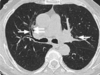
3
4
5
Perfectly
8
Q

presentacion de epoc donde hay sintomas y/o alteracion estructural y/o funcional pero sin patron de obstruccion en espirometria

A

pre epoc

How well did you know this?
1
Not at all
2
3
4
5
Perfectly
9
Q

los cambios estructurales en epoc se deben a:

A

desbalance entre proteasas y antiproteasas

How well did you know this?
1
Not at all
2
3
4
5
Perfectly
10
Q

mutacion que predispone a EPOC

A

mutacion en SERPINA1

How well did you know this?
1
Not at all
2
3
4
5
Perfectly
11
Q

la mutacion en SERPINA1 provoca deficiencia de:

A

alfa 1 antitripsina

How well did you know this?
1
Not at all
2
3
4
5
Perfectly
12
Q

forma de presentacion de EPOC donde la relacion FEV1/FVC es normal y tiene una FEV1 menor a 80% post broncodilatador

A

PRISm

How well did you know this?
1
Not at all
2
3
4
5
Perfectly
13
Q

el desbalance entre las antiproteasas y proteasas provoca:

A

-fibrosis peribronquial y opacidades intersticiales
-destruccion de la elastina, causando enfisema

How well did you know this?
1
Not at all
2
3
4
5
Perfectly
14
Q

fisiopatologia de EPOC

A

-obstruccion de la via aerea
-anormalidades en el intercambio gaseoso
-hipertension pulmonar
-exacerbaciones
-comorbilidades

How well did you know this?
1
Not at all
2
3
4
5
Perfectly
15
Q

signos y sintomas que nos hacen sospechar de EPOC

A

-disnea
-tos cronica
-expectoracion
-factores de riesgo exposicionales
-FEV1/FVC menor a 0.7 postbroncodilatador

How well did you know this?
1
Not at all
2
3
4
5
Perfectly
16
Q

cómo es la disnea en EPOC?

A

-cronica
-progresiva
-persistente
-empeora con actividad fisica

How well did you know this?
1
Not at all
2
3
4
5
Perfectly
17
Q

ademas de disnea, tos cronica y expectoracion, el px con EPOC puede presentar:

A

-sibilancias
-sensacion de opresion toracica
-fatiga
-sarcopenia, perdida de peso y anorexia
-infecciones respiratorias recurrentes

How well did you know this?
1
Not at all
2
3
4
5
Perfectly
18
Q

para el dx de EPOC es obligatorio tener:

A

FEV1/FVC menor a 0.7 postbroncodilatador

How well did you know this?
1
Not at all
2
3
4
5
Perfectly
19
Q

sintomas mas caracteristicos de EPOC

A

disnea cronica y tos con expectoracion

How well did you know this?
1
Not at all
2
3
4
5
Perfectly
20
Q

V/F: si no tiene factores de riesgo, aun puede ser epoc

A

falso, SI NO TIENE FR NO TIENE EPOC

How well did you know this?
1
Not at all
2
3
4
5
Perfectly
21
Q

patron de espirometria en EPOC

A

patron obstructivo no reversible

How well did you know this?
1
Not at all
2
3
4
5
Perfectly
22
Q

diagnosticos difernciales de EPOC

A

-asma
-ICC
-bronquiectasias
-tuberculosis
-bronquiolitis obliterante
-panbronquiolitis difusa

How well did you know this?
1
Not at all
2
3
4
5
Perfectly
23
Q

caracteristicas de asma que lo diferencian de epoc

A

-obstruccion variable y reversible de la via aerea
-sintomas varian de dia a dia
-empeoran en la noche o en la mañana
-presencia de alergia, eccema o rinitis
-mas comun en niños
-historia familiar de asma

How well did you know this?
1
Not at all
2
3
4
5
Perfectly
24
Q

caracteristicas de ICC que lo diferencian de epoc

A

-rx con cardiomegalia o edema pulmonar
-pruebas de funcion respiratorias con restriccion no obstruccion

How well did you know this?
1
Not at all
2
3
4
5
Perfectly
25
caracteristicas de bronquiectasias que lo diferencian de epoc
-expectoracion purulenta abundante -infeccion bacteriana asociada -rx con dilatacion bronquial
26
caracteristicas de tuberculosis que lo diferencian de epoc
-cualquier edad -rx con infiltrados pulmonares -confirmacion por microbiologia -prevalencia en el lugar donde este
27
caracteristicas de bronquiolitis obliterante que lo diferencian de epoc
-en niños -post trasplantados de MO o pulmon -TAC-AR con zonas hipodensas
28
qué preguntar en la historia clinica para llegar al dx de epoc?
-FR exposicionales -antecedente heredofamiliar de enfermedad pulmonar -prematuro, bajo peso al nacer, tabaquismo materno o pasivo, asma, alergias, VIH, Tb -disnea progresiva, "gripas prolongadas", tos cronica -aumento de los sintomas y presencia de exacerbaciones y hospitalizaciones -comorbilidades como enf cardiaca, osteoporosis, ansiedad, malignidad -impacto en calidad de vida
29
cómo es la espirometria en epoc?
FEV1/FVC menor a 70% sin respuesta a BD
30
principal factor de riesgo para exacerbaciones frecuentes
exacerbacion previa
31
cómo se clasifica el grado de obstruccion en espirometria en px con epoc?
en FEV1 post broncodilatador
32
cuestionarios para el impacto en la calidad de vida del epoc
-St George´s (SGRQ) -CAT (COPD assessment test) -COPD control cuestionary (CCQ)
33
escala GOLD para EPOC (aprendansela bien)
34
evaluacion GOLD ABE para epoc
primero se confirma el dx con espirometria, despues se evalua la obstruccion con GOLD y por ultimo se ve si ha tenido exacerbaciones y su grado de disnea y de CAT
35
cuestionario CAT para epoc
36
estudios complementarios para el dx de epoc
-pletismografia -gasometria -rx de torax -TAC -buscar comorbilidades como sx metabolico, IC, osteoporosis, sarcopenia
37
indice BODE para predecir supervivencia a 4 años
38
manejo no farmacologico para epoc
-suspender tabaquismo*** -vacunacion contra neumococo, influenza y COVID-19 -rehabilitacion pulmonar -oxigeno suplementario (sobre todo en px con PaO2 menor a 60 mmHg) -ventilacion no invasiva en px con hipercapnia cronica e hospitalizaciones previas
39
gold estandar para el tratamiento de epoc
broncodilatadores
40
los broncodilatadores para epoc se pueden dividir en:
-B2 agonistas: de accion corta y larga -antimuscarinicos: de accion corta y larga
41
unico broncodilatador beta 2 agonista de accion corta en mexico
salbutamol
42
mecanismo de accion de los broncodilatadores
alteran el tono del musculo liso en la via aerea y mejoran el flujo espiratorio, ademas reducen la hiperinflacion dinamica
43
mejor broncodilatador beta 2 agonista de accion larga para epoc
olodaterol
44
ejemplos de broncodilatadores beta 2 agonistas de accion corta
-fenoterol -levalbuterol -salbutamol -terbutaline
45
ejemplos de broncodilatadores beta 2 agonistas de accion larga
-aformoterol -formoterol -indacaterol -olodaterol -salmeterol
46
ejemplos de broncodilatadores anticolinergicos de accion corta
-bromuro de ipratropio -bromuro de oxitropio
47
ejemplos de broncodilatadores anticolinergicos de accion larga (LAMA)
-bromuro de aclidinio -bromuro de glicopirronio -tiotropio -umeclidinio -glicopirrolato -revefenacino
48
combinaciones de SABA y SAMA
-fenoterol con ipratropio -salbutamol con ipratropio
49
combinaciones de LABA y LAMA
-formoterol con aclidinio -formoterol con glicopirronio -indacaterol con glicopirronio -vilanterol con umeclidinio -olodaterol con tiotropio
50
cuál es la mejor combinacion LABA/LAMA en un mismo inhalador?
olodaterol con tiotropio
51
cuál es la combinacion de SABA/SAMA que hay en mexico?
salbutamol con bromuro de iprotropio
52
mecanismo de accion de los broncodilatadores beta 2 agonistas
relajan el musculo liso al estimular los receptores B2 agonitas, aumentan el AMP ciclico y producen antagonismo de broncoconstriccion
53
efectos adversos de los BD B2 agonistas
-taquicardia sinusal -arritmias en px susceptibles -temblor -hipokalemia
54
los SABA tienen un tiempo de vida de _ y los LABA de _
SABA 4-6 horas LABA 12-24 horas
55
mecanismo de accion de los broncodilatadores antimuscarinicos
bloquea el efecto bronconstrictor de la acetilcolina en el receptor M3 del musculo liso
56
los (LABA/LAMA) tienen mayor efecto que los otros para disminuir exacerbaciones
LAMA
57
farmacos que pueden ayudar a reducir exacerbaciones y mejorar el estado de salud en epoc, ademas de BD y esteroides
mucoliticos como erdosteina
58
triple terapia para epoc
LABA+LAMA+corticoesteroides
59
cuándo dar triple terapia en epoc? (evidencia fuerte a favor?
-historia de hospitalizaciones por exacerbaciones o mas de 2 exacerbaciones moderadas al año -eosinofilos mayores a 300 -antecedente o sindrome de sobreposicion asma-EPOC
60
cuándo dar triple terapia en epoc? (evidencia a favor)
-una exacerbacion moderada por año -eosinofilos de 100-300
61
contraindicaciones para dar triple terapia en epoc
-neumonias de repeticion -eosinofilos menores a 100 -antecedente de infeccion por micobacterias
62
antibioticos profilacticos para epoc
-azitromicina (puede generar resistencia) -eritromicina por 1 año
63
cuáles son los beneficios de el uso de antibioticos profilacticos?
reducen el riesgo de exacerbaciones en px con exacerbaciones frecuentes y en fumadores actuales
64
intervenciones que disminuyen la mortalidad en px con epoc
-cese de tabaquismo -triple terapia -rehabilitacion pulmonar -oxigeno suplementario -ventilacion mecanica no invesaiva -cirgua de reduccion de volumen
65
tratamiento farmacologico inicial para px del grupo E (2 o mas exacerbaciones moderadas o 1 o mas hospitalizaciones)
LABA + LAMA *agregar ICS si eosinofilos perifericos mayor a 300
66
tratamiento farmacologico inicial para px del grupo A (0-1 exacerbacion moderada, con mMRC 0-1 o CAT menor a 10)
un broncodilatador
67
tratamiento farmacologico inicial para px del grupo B (0-1 exacerbacion moderada, con mMRC mayor o igual a 2 o CAT mayor o igual a 10)
LABA + LAMA
68
escala mMRC para disnea
69
algoritmo perron para el manejo de EPOC
70
reajuste del tratamiento para epoc en caso de seguir presentando disnea
71
reajuste del tratamiento para epoc en caso de presentar exacerbaciones
72
qué es una exacerbacion en epoc?
evento caracterizado por un aumento de disnea y/o tos y/o expectoracion en los ultimos 14 dias
73
tratamiento inicial para exacerbaciones en epoc
SABA/SAMA
74
causas de exacerbaciones en epoc
-infecciones de vias aereas bacterianas y virales -contaminacion
75
diagnostico diferencial de exacerbaciones de epoc
-nemonia -TEP -falla cardiaca -neumotorax o derrame pleural -IAM y/o arritmias
76
tratamiento para exacerbaciones leves en epoc
SABA
77
tratamiento para exacerbaciones moderadas en epoc
-SABA -corticoesteroides sistemicos -antibiotico
78
tratamiento para exacerbaciones graves en epoc
hospitalizacion o visitas a urgencias
79
indicaciones para hospitalizacion en exacerbaciones de epoc
-sintomas graves -signos nuevos en la EF como cianosis o edema -presencia de comorbildades graves -insuficiencia respiratoria -falla al tratamiento de una exacerbacion -mala red de apoyo
80
indicaciones para ingreso a UCI en exacerbaciones de epoc
-disnea grave que no responde a manejo inicial -alteracion del estado de conciencia -hipoxemia persistente y/o acidosis respiratorio grave a pesar de O2 -uso de ventilacion mecanica no invasiva -inestabilidad hemodinamica
81
cómo se define una exacerbacion con falla respiratoria aguda que amenaza con la vida del px?
-FR mayor a 24 rpm -uso de musculos accesorios -cambios en estado mental -hipoxemia que no mejora con oxigeno -hipercapnia o acidosis
82
cómo se define una exacerbacion con falla respiratoria aguda pero que no amenaza con la vida del px?
-FR mayor a 24 rpm -uso de musculos accesorios -no hay cambios en el estado mental -hipoxemia que mejora con oxigeno -hipercapnia
83
cómo se define una exacerbacion sin falla respiratoria?
-FR menor a 24 rpm -FC menor a 95 lpm -no utiliza musculos accesorios -no hay cambios en estado mental -hipoxemia que mejora con oxigeno -no aumento de PaCO2
84
manejo de exacerbaciones graves no amenazantes
-evaluar gravedad con rx y gasometria -O2 -BD -corticoesteroides orales, antibiotico y ventilacion mecanica
85
fotito bonita de las exacerbaciones
86
qué broncodilatador y a qué dosis se utiliza para la prueba de BD en espriometria?
salbutamol 400 mg o ipratropio 160 mg
87
a los cuantos minutos de administrarse el BD se vuelve a realizar la espirometria?
salbutamol en 15 min iproatropio 30 min
88
para realizar la espirometria en px que ya consumen broncodilatadores, cuánto tiempo antes deben de dejar de utilziarlos?
SABA y SAMA 6 hrs antes LABA y LAMA 24 hrs antes
89
principal efecto adverso de los BD antimuscarinicos
boca seca
90
al hablar de LABA/LAMA, es mejor la monoterapia o la combinacion de ambos?
ambos
91
el tratamiento regular con corticoesteroides inhalados aumenta el riesgo de _
neumonia, candidiasis oral
92
farmacos que reducen la inflamación al inhibir la degradacion de AMP ciclico, mejoran la funcion pulmonar y reducen exacerbaciones
inhibidores de PDE4 como roflumilast
93
si el px con EPOC tambien tiene sintomas de asma , el tx debe incluir:
corticoesteroides
94
indicacion para prescribir oxigeno suplementario a largo plazo en px con EPOC
hipoxemia, es decir, PaO2 menor a 55 mmHg o saturacion menor a 88%
95
qué se observa en px con EPOC en pruebas de imagen?
enfisema pulmonar y signos de bronquitis cronica
96
la destrucción del parénquima pulmonar secundaria a la exposición a cigarrillo se manifiesta como:
enfisema
97
a dilatación permanente e irreversible de la vía aérea distal hasta el bronquiolo terminal asociado a destrucción de las paredes sin claros signos de fibrosis, lo que resulta en espacios aéreos anormalmente grandes dentro del parénquima pulmonar
enfisema
98
qué se observa en una rx de torax en epoc?
-signos de atrapamiento aéreo con aplanamiento diafragmático -incremento del espacio retroesternal -atenuación de la vasculatura pulmonar con pérdida del patrón de ramificación vascular -adelgazamiento de la silueta cardiaca -engrosamiento de paredes bronquiales
99
cómo se observa el enfisema pulmonar en TAC?
áreas de baja atenuación del parénquima pulmonar que contrastan con áreas de atenuación normal y que no poseen paredes
100
qué se observa en una TAC en bronquitis cronica?
engrosamiento de paredes bronquiales