neumonia Flashcards

(48 cards)

1
Q

lesion inflamatoria pulmonar en respuesta a la legada de microorganismos a la via aerea distal y parenquima, fuera de un ambiente hospitalario

A

neumonia adquirida en la comunidad

How well did you know this?
1
Not at all
2
3
4
5
Perfectly
2
Q

principal causa infecciosa de mortalidad a nivel mundial

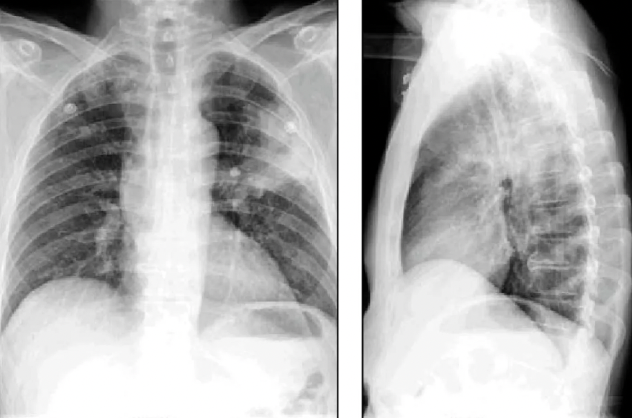
A

neumonia

How well did you know this?
1
Not at all
2
3
4
5
Perfectly
3
Q

infeccion aguda que inicia 48 hrs posterior a la hospitalizacion del paciente, sin ventilacion mecanica

A

neumonia adquirida en el hospital

How well did you know this?
1
Not at all
2
3
4
5
Perfectly
4
Q

infeccion aguda que ocurre entre 48-72 hrs posterior a la intubacion

A

neumonia asociada a la ventilacion

How well did you know this?
1
Not at all
2
3
4
5
Perfectly
5
Q

factores de riesgo para neumonia

A

-edad mayor a 65
-comorbilidades como EPOC, ICC, EVC, DM, desnutricion, inmunosupresion
-virus respiratorios
-tabquismo, alcoholismo bajos recursos

How well did you know this?
1
Not at all
2
3
4
5
Perfectly
6
Q

bacterias tipicas causantes de neumonia

A

-s. pneumoniae*
-haemophilus influenzae*
-moraxella catarrhalis*
-s. aureus
-estreptococos
-klebsiella o e coli

How well did you know this?
1
Not at all
2
3
4
5
Perfectly
7
Q

bacterias atipicas causantes de neumonia

A

-legionella
-mycoplasma pneumoniae
-chlamydia pneumoniae
-coxiella burnetti

How well did you know this?
1
Not at all
2
3
4
5
Perfectly
8
Q

virus causantes de neumonia

A

-influenza A y B
-SARS-COV2
-coronavirus
-rinovirus
-parainfluenza
-adenovirus
-VSR

How well did you know this?
1
Not at all
2
3
4
5
Perfectly
9
Q

agente patogeno mas comun causante de neumonia

A

streptococcus pneumoniae

How well did you know this?
1
Not at all
2
3
4
5
Perfectly
10
Q

en los px con EPOC los agentes causantes de neumonia mas comunes son:

A

-h. influenzae
-m. catarrhalis

How well did you know this?
1
Not at all
2
3
4
5
Perfectly
11
Q

a qué se le llama bacterias atipicas?

A

tienen resistencia a beta-lactamasa y no son visualizados en tinciones gram o cultivadas con tecnicas tradicionales

How well did you know this?
1
Not at all
2
3
4
5
Perfectly
12
Q

microorganismo que se asocia con agua contaminada o estancada y a aires acondicionados

A

legionella

How well did you know this?
1
Not at all
2
3
4
5
Perfectly
13
Q

microorganismo que se asocia con aves

A

c. pisttaci

How well did you know this?
1
Not at all
2
3
4
5
Perfectly
14
Q

microorganismo que se asocia con viajes al sur de USA

A

coccidiomicosis

How well did you know this?
1
Not at all
2
3
4
5
Perfectly
15
Q

fisiopatologia de la nuemonia

A

-llegada del patogeno al alveolo
-replicacion del patogeno
-produccion de citocinas por macrofagos alveolares
-recrutamiento de neutrofilos al espacio alveolar e introduccion de citocinas a la circulacion sistemica
-generacion del exudado alveolar

How well did you know this?
1
Not at all
2
3
4
5
Perfectly
16
Q

cuadro clinico de neumonia

A

-tos productiva
-dolor tipo pleuritico
-fiebre
-disnea

How well did you know this?
1
Not at all
2
3
4
5
Perfectly
17
Q

hallazgos en la exploracion fisica en neumonia

A

-dificultad respiratoria
-taquipnea
-vibraciones vocales aumentadas
-mate a la percursion
-estertores crepitantes
-egofonia
-hipoxemia
-hipotension
-taquicardia

How well did you know this?
1
Not at all
2
3
4
5
Perfectly
18
Q

en la rx de torax, la neumonia se observa _

A

radiopaca

How well did you know this?
1
Not at all
2
3
4
5
Perfectly
19
Q

virus mas comun causante de neumonia

A

influenza

How well did you know this?
1
Not at all
2
3
4
5
Perfectly
20
Q

además de influenza, virus mas comun causante de neumonia en adultos

A

coronavirus y rinovirus

21
Q

además de influenza, virus mas comun causante de neumonia en niños

A

VSR y adenovirus

22
Q

marcador que se eleva en neumonias bacterianas

A

procalcitonina

23
Q

escalas de gravedad para neumonia

A

-PSI/PORT (la mejor)
-CURB-65 (la mas sencilla)
-SMART-COP

24
Q

qué evalua la escala CURB-65?

25
de acuerdo a los criterios IDSA, cuándo se ingresa a la UCI?
un criterio mayor o 3 menores o mas
26
criterios IDSA mayores para neumonia grave
-choque septico con vasopresor -insuficiencia respiratoria que amerita ventilacion mecanica invasiva
27
criterios IDSA menores para neumonia grave
-FR mayor a 30 rpm -PaO2 menor a 250 -infiltrados multiples -confusion/desorientacion -uremia mayor a 19 mg/dl -leucopenia menor a 4000 -trombocitopenia menor a 100.000 -hipotermia menor a 36ºC
28
V/F: no se recomienda hacer un cultivo a todos los px con neumonia
verdadero
29
en qué pacientes si se recomienda hacer un cultivo?
-hospitalizados con neumonia grave -hospitalizados con tx empirico para pseudomona o MRSA -hospitalizados previamente infectafos con pseudomona o MRSA -hospitalizados que recibieron antibiotico en los ultimos 90 dias
30
tratamiento inicial en px ambulatorios sin comorbilidades o fx de riesgo para MSRA o pseudomonas
-amoxicilina o -doxicilina o -macrolido
31
tratamiento inicial en px ambulatorios con comorbilidades
-combinacion de amoxicilina con acido clavulanico o cefalosporina + -macrolido o doxicilina -monoterapia con fluoroquinolona respiratoria
32
tratamiento para px hospitalizado
B-lactamico + macrolido o fluoroquinilona respiratoria
33
tratamiento para cobertura contra MSRA
-vancomicina o -linezolid (en px con falla renal)
34
tratamiento para cobertura contra pseudomonas
-piperacilina/tazobactam -ceftazidima -azteronam -meropenem -imipenem
35
en que px se recomienda el uso de esteroide?
-ventilacion mecanica invasiva o no invasiva -PEEP de 5 cm H20 -puntas nasales con PaO2 menor a 300 con FiO2 de 50% o mas -px con MS con PaO2 menor a 300 o PSI clase V
36
qué esteroide se recomienda utilizar?
hidrocortisona 200 mg cada 24 hrs por 4-8 dias
37
esquema de vacunacion recomendado
-PCV13 para mayores de 65 -vacunacion anual contra influenza -esquema completo de COVID-19
38
complicacion mas frecuente en px en UCI
neumonia asociada a la ventilacion
39
el esteroide solo se utiliza cuando el px este _
hospitalziado
40
factores de riesgo para neumonia asociada a la ventilacion
-aspiracion de secreciones orofaringeas -infeccion por contiguidad -diseminacion hematogena -inhalacion directa -IMC mayor a 27 -tabaquismo activo -sonda nasogastrica -sinusitis
41
clasificacion de la neumonia asociada a la ventilacion
-temprana: menos de 5 dias -tardia: mayor a 5 dias
42
microorganismos mas comunes causante de neumonia asociada a la ventilacion de inicio temprano
-s aureus meticilino resistente -s pneumonia -h influenzae
43
microorganismos mas comunes causante de neumonia asociada a la ventilacion de inicio tardio
-MRSA -pseudomona aeruginosa -acinetobacter baumanni -stenotrophomna matlophila -enterobacterias
44
factores de riesgo para patogenos multirresistentes
-uso previo de antibioticos IV dentro de los ultimos 90 dias -choque septico en el momento de la neumonia asociada a la ventilacion -SIRA precedido de la neumonia -5 dias o mas de hospitalizacion previo a la neumonia
45
tratamiento para neumonia asociada a la ventilacion en px con riesgo bajo de patogenos multirresistentes
monoterapia con: -ertapenem -ceftriaxona -cefotaxima -moxifloxacino -levofloxacino
46
tratamiento para neumonia asociada a la ventilacion en px con riesgo alto de patogenos multirresistentes sin choque septico
monoterapia con agente con accion en 90% de gram negativos
47
tratamiento para neumonia asociada a la ventilacion en px con riesgo alto de patogenos multirresistentes con choque septico
doble agete antipseudomonas + antibiotico con cobertura a MSRA
48
medidas preventivas para evitar la neumonia asociada a la ventilacion
-Mantener neumotaponemiento entre 25-30 mmHg -Cambio de circuitos condensados -Posición semifowler 30-45°. -Extubación temprana -Lavado de manos en los 5 momentos de la OMS. -Uso de guantes y bata.