ÉQUIN Flashcards

(334 cards)

1
Q

Quelles sont les quatre bactéries les plus fréquemment associées à la placentite chez la jument ?

A

E. coli
Streptococcus zooepidemicus
Klebsiella
Pseudomonas aeruginosa

How well did you know this?
1
Not at all
2
3
4
5
Perfectly
2
Q

Quel champignon est parfois en cause lors de placentite ?

A

Aspergillus

How well did you know this?
1
Not at all
2
3
4
5
Perfectly
3
Q

Quels sont les signes cliniques chez la jument atteinte de placentite ?

A

Asymptomatique pour la jument
AUCUN signe clinique vu de l’extérieur

How well did you know this?
1
Not at all
2
3
4
5
Perfectly
4
Q

Quel est le traitement d’une placentite chez la jument ?

A
  • Antibiotique (pénicilline, genta ou TMS)
  • Anti-inflammatoire (Flunixine)
  • Altrenogest (progesterone) pour promouvoir la quiescence utérine (non prouvé)
  • Clenbuterol (sympathomimétique, supprime la motilité utérine, non prouvé)
How well did you know this?
1
Not at all
2
3
4
5
Perfectly
5
Q

Pourquoi une placentite peut-elle entrainer un avortement chez la jument ?

A

Insuffisance utéroplacentaire (décollement du placenta de l’endomètre) et l’infection qui stimule l’inflammation qui stimule la contractilité utérine

How well did you know this?
1
Not at all
2
3
4
5
Perfectly
6
Q

Quels sont les deux signes qui nous permettent de détecter la placentite chez la jument ?

A
  • Développement précoce des glandes mammaires
  • Épaississement du placenta (ECUP) et séparation placentaire (séparation de l’endomètre)

ECUP : Mesure combinée de l’épaisseur du placenta et de l’utérus
Séparation placentaire = « Red bag » au niveau de l’étoile cervicale

How well did you know this?
1
Not at all
2
3
4
5
Perfectly
7
Q

Quelles sont les trois possibles résultantes d’une jument avec une placentite ?

A

Poulain en santé (si tx tôt)
Poulain septique
Avortement

How well did you know this?
1
Not at all
2
3
4
5
Perfectly
8
Q

Quels sont les trois principaux virus causant l’avortement chez la jument ?

A

EHV-1 (le + commun)
EHV-4
Artérite virale équine (EVA)

How well did you know this?
1
Not at all
2
3
4
5
Perfectly
9
Q

Décrire le programme de vaccination pour prévenir l’avortement à EHV-1.

A

Vaccination à 5,7 et 9 mois de gestation

How well did you know this?
1
Not at all
2
3
4
5
Perfectly
10
Q

Quels sont les signes cliniques chez la jument gestante qui est infectée par EHV-1 ?

A

Asymptomatique à signes respiratoires

How well did you know this?
1
Not at all
2
3
4
5
Perfectly
11
Q

À quel moment l’avortement relié à EHV-1 se produit-il ?

A

Surtout dans le dernier tiers de gestation (7-11 mois), quelques semaines à plusieurs mois après l’infection par le virus

Cas classique : Vous êtes appelé dans un élevage équestre pour enquêter sur une récente vague d’avortements. Vous découvrez qu’il y a environ quatre mois, de nombreux poulains ont développé un écoulement nasal abondant. Ce problème n’a pas été traité et les poulains se sont rétablis en quelques semaines. Les avortements actuels concernent des juments en fin de gestation. Quel est votre diagnostic ?

How well did you know this?
1
Not at all
2
3
4
5
Perfectly
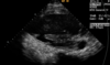
12
Q

De quelle façon le foetus devient-il infecté par EHV-1 ?

A

Vascularisation chorionique (voie hématogène) ou par inhalation de fluide amniotique infecté

How well did you know this?
1
Not at all
2
3
4
5
Perfectly
13
Q

Quand le foetus est infecté durant un épisode de virémie, qu’est-ce qui cause l’avortement ?

A

Décollement placentaire rapide

How well did you know this?
1
Not at all
2
3
4
5
Perfectly
14
Q

Que peut-on retrouver sur un foetus avorté qui nous aiderait à dire que la cause de l’avortement est EHV-1 ?

A

Foyers de nécrose sur le foie, bronchiolite nécrosante et corps d’inclusions intranucléaires à l’histopathologie

How well did you know this?
1
Not at all
2
3
4
5
Perfectly
15
Q

Si un foetus nait vivant d’une jument infectée par EHV-1, à quoi peut-on s’attendre ?

A

Ils sont souvent infectés de l’herpèsvirus néonatal et démontrer des signes cliniques : Ictère, détresse respiratoire, fièvre, léthargique et ne vont survivre que quelques heures à quelques jours

How well did you know this?
1
Not at all
2
3
4
5
Perfectly
16
Q

Quel est le traitement d’EHV-1 chez la jument gestante et le poulain néonatal ?

A

Pas vraiment de traitement (même si techniquement, un antiviral pourrait être utile - acyclovir)
On mise surtout sur la prévention

How well did you know this?
1
Not at all
2
3
4
5
Perfectly
17
Q

Nommer deux autres causes possibles (non reliées à des agents infectieux) d’avortement chez la jument

A

Gestation gémellaire
Torsion du cordon ombilical

How well did you know this?
1
Not at all
2
3
4
5
Perfectly
18
Q

Qu’est-ce que le tympanisme de la poche guttural ?

A

Congénital, résulte en un « gonflement » non douloureux de la poche gutturale par de l’air (a/n de la gorge)
POULAIN

How well did you know this?
1
Not at all
2
3
4
5
Perfectly
19
Q

Quels signes cliniques peut entrainer un tympanisme des poches gutturales ?

A

Si la distension est significative et/ou bilatérale :
Dyspnée / Stertor
Dysphagie, pneumonia par aspiration

How well did you know this?
1
Not at all
2
3
4
5
Perfectly
20
Q

Comment diagnostique-t-on le tympanisme ?

A

Signalement
Signes cliniques
Radiographie montrant la poche remplie d’air

How well did you know this?
1
Not at all
2
3
4
5
Perfectly
21
Q

Traitement du tympanisme de la poche gutturale ?

A

Chirurgical
Si unilatéral : Fenestration du septum médian qui sépare les deux PGs
Si bilatéral: Résection et/ou modification de l’orifie laryngé parfois nécessaire

How well did you know this?
1
Not at all
2
3
4
5
Perfectly
22
Q

Pronostic associé au tympanisme des poches gutturales ?

A

Bon si traitement fonctionne et pas de complications
Réservé à sombre si présence de pneumonie par aspiration ou de dyphagie

How well did you know this?
1
Not at all
2
3
4
5
Perfectly
23
Q

Points-clés de l’empyème des poches gutturales

Étiologie :
Signes cliniques :
Diagnostic :
Traitement :
Pronostic :

A
  • Streptococcus equi or zooepidemicus (gourme) +/- rupture NL rétropharyngé dans PG
  • NL régional augmenté de taille et écoulement nasal
  • Endoscopie (exsudat PG) ou radiographie (ligne de fluide dans PG)
  • Médical (lavage PG + atb topique et systémique) ou lavage et drainage chirurgical (si médical non concluant, souvent lors de présence de chondroides)
  • Bon à excellent
How well did you know this?
1
Not at all
2
3
4
5
Perfectly
24
Q

Empyème des PGs

Qu’est-ce que les chondroïdes ?

A

Petites masses fermes résultat de l’inspissation de pus lors d’infection chronique, elles contiennent des bactéries

How well did you know this?
1
Not at all
2
3
4
5
Perfectly
25
# Empyème des PGs Vrai ou faux. L'écoulement nasal peut continuer même après la résolution apparente de l'infection respiratoire.
Vrai
26
# Points-clés de la mycose des PGs Étiologie Signes cliniques Diagnostic Traitement Pronostic
* **Aspergillus** (plaques fongiques à l'aspect dorsal des PGs) * **Épistaxis** (atteinte artère carotide interne) ou **Dysphagie** (atteint des NCs -> **Horner**, paralysie faciale possible) * Endoscopie (visualisation de l'hémorragie/caillot sanguin ou des plaques fongiques) * Occlusion chirurgicale des artères atteintes +/- anti-fongique (peu efficace) * Réservé (atteinte neurologique prend du temps à guérir) ## Footnote Nerfs crâniens pouvant être touchés (car passe dans la poche) : 7,9,10,11,12
27
Nommer deux éléments de l'anamnèse qui peut nous amener vers la pneumonie chez le cheval.
Transport long Exposition à un nombre élevé de chevaux ## Footnote Parfois aussi après une anesthésie générale, pneumonie par aspiration (dyphagie) ou exercice intense
28
Quels sont les signes cliniques associés à une pneumonie ?
Toux, fièvre, effort respiratoire augmenté
29
La pleuropneumonie survient souvent en conjonction avec la pneumonie. Par quoi se caractérise-t-elle ?
Accumulation de fluide et de fibrine dans la cavité pleurale
30
Quels sont les signes cliniques associés spécifiquement à la pleuropneumonie ?
Perte de poids Oedème pectoral Oedème ventral Oedème prépuce
31
Quelles sont les principales étiologies de la pneumonie ?
32
Quelles sont les anomalies à l'hématologie lors de pneumonie ?
Leucopénie (aigue) à Leucocytose (chronique) HyperF et HyperGlob HypoAlb (hypoprotéinémie) Anémie
33
Traitement de la pneumonie
Antibiotique (Pénicilline / Céphalosporine +/- Aminoglycoside) AINS (flunixine) Soin de support (O2 au besoin, hydratation, diète palatable) Prévenir fourbure (endotoxémie peut mener à fourbure) Thoracocenthèse au besoin
34
Pronostic de la pneumonie/pleuropneumonie
* Bon à réservé si traité tôt (pneumonie) * Réservé (pleuropneumonie, souvent tx long terme et fourbure) ## Footnote Toujours dépendant du type de bactérie (anaérobe plus grave qu'aérobe), présence de complications (fourbure, coagulopathie, hypoprotéinémie) et de pleuropneumonie
35
Points importants des encéphalites virales équines
* Pas de prédisposition d'âge * **Vaccination** est la meilleure prévention * Atteinte du **SNC** (dépression) * **LCR = Élévation comptage cellulaire et/ou protéines** * Traitement est supportif (Saisonnier dans les endroits avec des différentes T)
36
Classification des encéphalites virales équines
Virus du Nil occidental est un Flavivirus Encéphalite équine de l'Est, Ouest et Vénézuelienne est Togavirus
37
Quel est le vecteur principal des encéphalites équines virales ?
Moustique
38
Signes cliniques d'un cheval atteint du virus du Nil occidental
**Si vacciné** : Peu à non symptomatique **Si non vacciné** : État mental dépressif, ataxie, faiblesse, fasciculations musculaires (tête, cou et museau), fièvre, décubitus
39
Quel virus est la cause principale (récemment) d'encéphalite chez le cheval et l'humain ?
VNO
40
Comment diagnostiquer le VNO chez le cheval ?
* Signes cliniques correspondants * LCR = Pléocytose mononucléaire + élévation des protéines * **Pour confirmer** -> ELISA (IgM), isolation virale et séroneutralisation par réduction des plages de lyse *(permet de quantifier le titre d'anticorps neutralisants contre un virus)*
41
Traitement du VNO
Traitement de support * Anti-inflammatoires * Fluidothérapie
42
Pronostic pour VNO ?
Variable, majorité recover (33% de mortalité) ## Footnote Certains déficits neurologiques peuvent rester. La parésie caudale ou le décubitus est associé à un pronostic sombre.
43
Quelles sont les races les plus touchées par l'hémorragie pulmonaire induite par l'exercice et pourquoi ?
Thoroughbred, Standardbred et Quarter Horse Parce que ce sont des chevaux de course (baril ou course normale) qui font de l'exercice intense
44
Quel est le signe clinique important associé à HPIE ?
Epistaxis post-exercice (pas toujours présente) ## Footnote Autres signes cliniques à considérer : diminution de la performance, respiration difficile, perte de vitesse durant l'exercice, toux
45
Diagnostic de HPIE
Présence de sang ... * Épistaxis * Endoscopie * LBA (cytologie)
46
Traitement HPIE
Furosémide (Lasix) si administré au minimum 4 heures avant une course
47
Traitement de la fibrillation atriale chez le cheval
* Aucun si cheval au pâturage * **QUINIDINE** (tx classique) * Cardioversion électrique
48
Effets secondaires associés à la quinidine
Diarrhée, colique, fourbure, arythmie
49
Traitement du Cushing équin (dysfonction de la pars intermedia)
Pergolide (agoniste dopaminergique) ## Footnote Cyproheptadine si Pergolide ne marche pas
50
Comment savoir si un poulait a eu un bon TID ?
**Tester IgG dans sang/sérum** * > 800 mg/dl = adéquat * < 400 = Défaut complet de TID
51
La « diarrhée de chaleur » survient chez les poulains âgés de quel âge ?
7-12 jours ## Footnote Aucun traitement, diarrhée très légère, poulain se porte bien
52
Quelles sont les principales bactéries en cause lors de diarrhée chez le poulain ?
Salomonella Clostridium (perfringens et difficile) Sepsis (*Enterococcus*)
53
Qu'est-ce qui nous met la puce à l'oreille que la diarrhée est possiblement d'origine bactérienne chez un poulain ?
Présence de manifestations systémiques (tachycardie, déshydratation, déficience électrolytique, acidémie, leucopénie)
54
La diarrhée causée par rotavirus survient les poulains âgés d'habituellement quel âge ?
1 mois et plus
55
Les ulcères gastriques peuvent aussi être une cause de diarrhée chez le poulain. Chez quel type de poulain les retrouve-t-on le plus fréquemment et quel est le traitement ?
Poulain stressé Bloqueur de H2 (ranitidine) ou oméprazole
56
Quels sont les signes cliniques particuliers (mise à part la diarrhée) associé à un poulain qui souffre d'ulcères gastriques?
Bruxisme, ptyalisme et perte de poids
57
Je suis un organisme intra-cellulaire obligatoire, Gram -, qui touche les poulains entre 4 mois et 1 an. Je suis associée à une entéropathie proliférative. Qui suis-je ?
Lawsonia intracellularis
58
Quels sont les signes cliniques et résultats diagnostiques qui nous font pencher vers une diarrhée à Lawsonia intracellularis chez un poulain ?
Poulain entre 4 mois et 1 an Épaississement paroi intestinale (écho) Oedème périphérique (entéropathie avec pertes de protéines) Hypoprotéinémie et HypoAlb
59
Quels antibiotiques pour traiter Lawsonia intracellularis chez un poulain et pourquoi ?
Tétracycline ou Érythromycine ou Clarithromycine (bonne pénétration intracellulaire)
60
Quelle bactérie à Gram - est la plus fréquemment retrouvée chez les poulains septicémiques ?
E. coli
61
Parascaris equorum entraine une colique chez qui et pourquoi ?
Poulain < 1 an parasité qui reçoit un vermifuge -> impaction intestinale
62
Quel parasite peut entrainer une thrombose de l'artère mésentérique ?
Strongylus vulgaris
63
Qu'est-ce qu'un « bog spavin » (éparvin mou) ? Quel est le traitement ?
Effusion articulations tibiotarsiennes (jarret) - *aug production fluide synovial* - non douloureuses et bilatérales chez un cheval asymptomatique (souvent due à une mauvaise conformation) Aucun traitement nécessaire ## Footnote *Peut parfois être asocié à une boiterie ** Aussi appelé : Synovite chronique ou hydrarthrose
64
# Points-clés de... Gale chorioptique « Gale du pâturon »
***Étiologie*** : Chorioptes equi ***Signes cliniques*** : Prurit intense des membres distaux ***Diagnostic*** : Raclage cutané (détection des mites au microscope) ***Traitement*** : Mesures hygiéniques (tonte, désinfecté) ## Footnote ++ chevaux de trait avec poils de pattes longs
65
Qu'est-ce que l'accrochement de rotule (manifestation importante) et quel est le traitement ?
Membre pelvien bloqué en extension, sabot traine en pince (délai avant la flexion) Traitement conservateur (physiothérapie, améliorer condition corporelle, muscler le cheval) ## Footnote Si sévère ou non réponse au tx médical, chirurgie pour couper le ligament patellaire médial peut être envisagé.
66
Qu'est-ce que le Harper et quel est le traitement ?
**Flexion involontaire et exagérée d'un ou des deux membres pelviens** (intermittent ou se manifeste dans des circonstances précises) d'origine probablement neurologique. *Traitement chirurgical* -> **Ténectomie de l'extenseur latérale** des phalanges ## Footnote Non douloureux Cheval peut être monté
67
Quelle plante peut causer un Harper chez le cheval ?
Lathyrus spp. (« Sweet peas ») (« Pois spp. »)
68
Si je souhaite faire une sédation de courte durée, quel sédatif dois-je prendre (cheval) ?
Xylazine ## Footnote Bien que la xylazine ait la durée d'action la plus courte, il est recommandé aux cliniciens d'être prudents lors de l'utilisation de la xylazine et de la manipulation des membres postérieurs, car ces chevaux peuvent présenter un mouvement rapide et soudain des membres, appelé « coup fantôme ». Les effets sédatifs de la xylazine durent environ 20 minutes. Ceux de la détomidine durent généralement environ 90 minutes ; cependant, la sédation maximale est atteinte en 10 à 20 minutes.
69
Quels sont les organes de choc chez le cheval ? ## Footnote RÉACTION ANAPHYLACTIQUE
Poumon et colon (dyspnée et diarrhée)
70
Traitement d'un choc anaphylactique chez le cheval
Épinéphrine, corticos et antihistamine
71
Toxine responsable de l'échec de reproduction chez la jument
La fétuque (fescue)
72
L'herbe de fétuque contaminée par Neotyphodium coenophialum (fungus), un champignon qui produit une toxine qui réduit la libération de la prolactine, entrainer quels problématiques (plus spécifiques) ?
Agalactie Prolongement de la gestation ## Footnote Poulains faibles ou mort-nés peuvent aussi survenir
73
Laquelle des encéphalites équines est une zoonose (peut être transmise du cheval à l'humain) ?
VEE (Encéphalite équine vénézuelienne) ## Footnote D'ailleurs, la vaccination pour ce virus est peu commune (ne fait pas partie des vaccins de « base »)
74
L'encéphalite équine de l'Est, Ouest et Vénézuelienne sont indistinguables les unes des autres vues de l'extérieur. Quels sont les signes cliniques associés ?
**« Maladie du sommeil »** * Dépression, anorexie, haute fièvre * Se presse la tête, cécité, tourne en rond, ataxie, décubitus, coma, convulsions
75
La myéloencéphalopathie à herpèsvirus (rhinopneumonie forme nerveuse ou EHM) est causée par quoi ?
EHV-1 muté (cause des vasculites au SNC)
76
Quels sont les facteurs de risques pour l'EHM ?
Cheval qui voyage ou qui fait des compétitions et qui est en contacy avec d'autres chevaux
77
L'EHM est-elle contagieuse ?
Oui
78
Quels sont les signes cliniques particuliers associés à l'EHM ?
**Ataxie et parésie symétrique POSTÉRIEURE +++** * Incontinence urinaire * Perte du tonus de la queue * Paralysie rectale (constipation) * Prolapsus du pénis ## Footnote À différencier de la CAUDA ÉQUINA qui a un tableau très similaire - **Fièvre** présente 2-8 jours avant signes cliniques - **Contagieux** plusieurs chevaux peuvent être touchés
79
Diagnostic de EHM ?
Écouvillon nasal (PCR)
80
Traitement de EHM ?
Support +/- anti-viral
81
# **IMPORTANT** La vaccination protège-t-elle contre la myéloencéphalopathie à herpèsvirus (EHM) ?
Non
82
Quelle est l'étiologie de la myéloencéphalite équine à protozoaires (EPM) ?
Sarcocystis neurona (opossum) ## Footnote Neospora hughesi a été récemment trouvé et pourrait peut-être aussi être en caue
83
Signes cliniques de l'EPM
**TROIS « A » : Asymétrie, Atrophie, Ataxie** Dommages multifocaux au SNC Condition chronique * Atrophie **UNILATÉRALE** * Faiblesse, boiterie et ataxie légère **ASYMÉTRIQUE** ## Footnote Pas de fièvre, les animaux sont souvent bright and alert !
84
Diagnostic EPM
* Titres sérologiques : Ne permet pas de distinguer entre exposition (commun) et maladie (rare) * **Titres dans LCR** : Plus précis
85
Traitement EPM
Ponazuril (Marquis) pour environ 6 mois ## Footnote TMS et pyriméthamine est aussi une possibilité (traitement antérieur)
86
Pronostic EPM
Traitement améliore signes cliniques, mais souvent rechute et guérison incomplète ## Footnote The prognosis for horses with EPM is often described as variable. Studies show that about 70% of treated horses will improve but only up to 25% recover completely and perform normally. In addition, a subset (5-20%) of horses may improve while undergoing treatment but then relapse when treatment is discontinued. It is unclear whether relapse represents reemergence or persistence of resistant parasite or re-exposure. Based on these features of EPM, the best answer choice of those listed is that most horses improve with treatment but relatively few make a complete recovery.
87
Principales différences entre EHM et Cauda equina
**EHM** : Fièvre, ataxie et CONTAGIEUX **Cauda equina** : Pas de fièvre, pas d'ataxie, déficit des NC III, V, VII, VIII et IX/X possible
88
Les chevaux sont les plus sensibles à la neurotoxine de Clostridium tetani. Quels sont les signes cliniques associés ?
* Raideur * Tremblements * **Tête et queue relevées** * Facilement surpris * Hyperesthésie avec son ou lumière intense * **« Lockjaw »** * **Prolapse de la troisième paupière** * Décubitus
89
Diagnostic du tétanos
Histoire de plaie récente + signes cliniques
90
Traitement tétanos
Pénicilline et antitoxine
91
Cheval qui a un comportement d'auto-mutilation, qui est dysphagique, anorexique et en colique. Il vocalise parfois et semble plus agressif. À quoi dois-je penser ?
Rage
92
# Points importants Botulisme
* Cheval qui a mangé de la **balle ronde** * *Clostridium botulinum* * **Paralysie symétrique flasque** * Mydriase, perte du tonus de la langue, dysphagie * Antitoxine botulique * Pronostic réservé à sombre * S'assurer de stocker adéquatement les aliments
93
Qu'est-ce que la polynévrite équine ?
Maladie neurologique granulomateuse, sévère, chronique impliquant la **cauda equina** et parfois les **nerfs crâniens**. Cette maladie est vraisemblablement un phénomène à **médiation immunitaire**, possiblement secondaire à une infection virale.
94
Signes cliniques de la polynévrite équine ?
**« Cauda equina »** : Parésie postérieure -> Incontinence urinaire, incontinence fécale, queue flasque **Nerfs crâniens** : III (réflexe pupillaire diminué), V (atrophie masséter), VII (faiblesse langue), VIII (tête penchée), IX/X (difficulté à avaler)
95
Diagnostic définitif polynévrite équine ?
Nécropsie
96
Traitement polynévrite équine
Soin de support, mais le pronostic long terme est sombre
97
Différence entre Myéloencéphalopathie dégénérative équine et la maladie des neurones moteurs et LE point commun entre les deux
**EDM** : Jeune < 2-3 an, ataxie symétrique des 4 pattes **EMND** : Adulte, faiblesse, atrophie musculaire et perte de poids avec bon appétit, *PAS d'ataxie* ! **Point commun** : Déficience en vitamine E est la cause et le traitement (supplémentation) est rarement un succès
98
# Points importants Wobbler (malformation vertébral cervical ou myélopathie cervicale sténotique)
* Grandes races qui grandissent vites (**WB** et **TB**) * Lésion compressive (fixe ou dynamique) **C3-C7** * **Type 1** (congénitale -jeune) ou **Type 2** (ostéoarthritique-vieux) * *Signes cliniques*: Ataxie pire aux MPs, performance pauvre ou boiterie vague parfois * *Diagnostic* : Radio ou myélogramme * *Traitement* : **Chirurgie « Basket »** (stabilisation vertèbre cervicale) - améliore sc, mais juste grade 1 retourne à leur performance
99
Quelles sont les complications de la gourme ?
* **Gourme « bâtarde »** (métastatique ou erratique -> atteinte des NL internes) : colique intermittente, anorexie, perte de poids, chronique) * **Purpura hémorragique (vasculite)** : Oedème des membres et de la tête, pétéchies, fièvre * **Empyème poche gutturale** * **Septicémie/Encéphalite**
100
Quel est le traitement d'un cheval atteint de la gourme ?
NL pas abcédé : Rien (ou parfois pénicilline selon) **NL abcédé : PAS de pénicilline** Compresse chaude pour aider à faire maturer les abcès, AINS (flunixine), drainer l'abcès une fois mature, isoler le cheval
101
Comment établie-t-on un diagnostic définitif de la gourme ?
Culture du pharynx ou de l'écoulement purulent ou aspiration d'un NL abcédé **« Inflammation purulente avec des coques gram + à larges caspules »**
102
Présentation typique d'un poulain atteint d'une pneumonie à Rhodococcus equi ?
Poulain de **1-6 mois** avec une fièvre intermittente, mauvaise croissance, effort respiratoire (nostril flaring) et des bruits anormaux à l'ausculation (sifflement et craquement)
103
Quelles lésions entrainent Rhodococcus equi ?
Pneumonie pyogranulomateuse avec des abcès pulmonaires
104
Rhodococcus equi peut parfois entrainer des signes de colique/diarrhée. Pourquoi ?
Certains poulains développent une colite ulcérative ou une lymphadénite mésentérique
105
Diagnostic R. equi
Poulain 1-6 mois Écho : Abcès pulmonaire Diagnostic définitif : Culture d'un lavage transtrachéal
106
Traitement de R. equi
**Erythromycine** (ou autres macrolides) + **Rifampin** et autres traitements de support au besoin
107
Quelles sont les 4 complications associées à R. equi
* Abcédation interne (mentionnée plus tôt, poulain avec colique) * Arthrite septique * Ostéomyélite * Effusion articulaire non septique
108
Vrai ou faux. R. equi peut être un cas de poulain isolé, mais peut aussi être un problème endémique, surtout dans des élevages.
Vrai ## Footnote Dans les élevages avec problème de R. equi, des mesures doivent être mises en place.
109
Chez un cheval en santé, le LBA va être constitué majoritairement de quoi ?
Macrophages
110
Présentation typique d'un cheval atteint de RAO
Cheval de** > 7 ans**, logé dans un **écurie** et nourrit au **foin**, qui démontre des efforts respiratoires (surtout **EXPIRATOIRE**) et qui peut avoir développé une **« ligne de flanc »**+/- perte de poids et sifflement/craques à l'ausculation pulmonaire.
111
Diagnostic RAO
Signes cliniques (effort respiratoire + ligne de flanc), cheval > 7 ans, bruits à l'auscultation LBA : augmentation **neutrophiles** +/- Spirales de Crushmann Hémato-biochimie : Hypoxémie possible ## Footnote Spirale de Crushmann : bouchons muqueux qui peuvent être visible à la cytologie
112
Traitement RAO
**Environnement** : Mettre le cheval dehors + mouillé foin + considérer diète de pelettes ou cubes alfafa En **crise** aiguë : Corticos (prednisolone ou dex) **Bronchodilatation** : Albuterol ou clenbuterol
113
Jument gestante avec une rupture du tendon prépubien. *Exemple de cas : Jument obèse de race de trait avec oedème ventral, en douleur, tachypnéique et ne veut pas bouger.* Quelles mesures doivent être entreprises ?
* Restreindre activité physique * Mettre un « sling » sous l'abdomen pour offrir un support * Assister le poulinage (douleur peut nuire aux contractions utérines)
114
Quelle condition (autre que la rupture du tendon prépubien) peut résulter à un oedème ventral chez le cheval ?
Hernie abdominal
115
# Points importants Dermatophilose
* Dermatite croûteuse dans les zone d'humidité cutanée et d'irritation mécanique (ex : selles) ou lors de la saison des pluies ! * Prédisposition : Chevaux au pelage long avec des zones d’humidité * Signe clinique : Lésions croûteuses en « pinceau » sur le dos et pâturons +/- exsudat purulent * Diagnostic : Frottis direct → Bactéries Gram + filamenteuses * Traitement : Maintenir pelage propre et sec +/- pénicilline si les lésions sont sévères
116
Quel est l'agent étiologique de la fièvre du Potomac ?
Neoricketsii risticii
117
Signes cliniques associés à la fièvre du Potomac
Fièvre très élevée, **diarrhée** aqueuse (60% des cas), anorexie, léthargie, **FOURBURE**
118
Traitement de la fièvre du Potomac
Oxytétracycline
119
Diagnostic de la fièvre du Potomac
Leucopénie à la prise de sang avec virage à gauche PCR sur fèces ou sang (définitif)
120
Quelle zone est anesthésiée par chacun des blocs : * Bloc digital palmaire * Bloc sésamoidien abaxial * Bloc en 4 points bas * Bloc en 4 points haut
**Palmaire** : 70% du pied + articulation interphalangienne distale **Sésamoidien** : Pied + articulation interphalangienne distale et proximale **Bas** : Articulation métacarpophalangienne + tout ce qui est distal **Haut** : Métacarpe et tout ce qui est distal
121
Quoi donner à un cheval avec une diarrhée avec perte protéines (si albumine et PT basses) ?
Plasma IV (choix #1) Colloïdes synthétiques (hetastarch)
122
Quelles sont les valeurs normales lors d'un prélèvement de fluide synovial ?
* PT < 2,5 mg/dL * Cellules nucléés < 500 cellules/mcL * Cytologie > 90% de cellules mononucléaires
123
Le fluide synovial d'une arthrite septique aurait une comptage cellulaire de combien ?
> 20 000 cellules/mcL dans le liquide synovial
124
Décrire un cas typique de syndrome métabolique équin
Cheval obèse avec une fourbure chronique clinique ou sous-clinique
125
Traitement de choix pour un splint (périostite ou desmite intraosseuse)
Repos et AINS ## Footnote Splints or intraosseous desmitis is inflammation of the intraosseous ligament between the 3rd metacarpal (or metatarsal) bone with the small metacarpal (or metatarsal) bones. Periostitis occurs with new bone formation along the splint bones or small metacarpals (or metatarsals) usually due to repetitive concussion, excessive training, poor conformation, or improper shoeing. Radiographs are necessary to distinguish this condition from fractures of the splint bones.
126
Qu'est-ce que l'onchocercose et quel est le traitement ?
* Étiologie : Onchocerca cervicalis * Vecteur : Mouche (culicoides) * Pathogénie : Vers adultes vivent dans le ligament nucal * Signe clinique : Zones alopéciques et inflammées au niveau du cou et/ou front (parfois abdomen ventral) en forme de « diamant » +/- « oeil de boeuf » sur la tête / ophtalmique : uvéite, conjonctivite ou kératite * Traitement : Ivermectin ou moxidectin ## Footnote PAS PRURIGINEUX
127
Examen du fond d'oeil d'un cheval. Normal ou anormal ?
Normal Les taches brunes dans la partie tapétale correspondent à des petits vaisseaux choroidiens tout à fait normaux qui sont appelés « étoiles de WInslow ».
128
Que faire avec un cheval avec des chondroïdes (associé à l'empyème des poches gutturales) ?
Retrait (endoscopie ou cx) + flush poche gutturale avec infusion de pénicilline + pénicilline G IM 7 jours + Isolation 30 jours + 3x culture nasopharyngées négatives Si l'animal demeure positif, il devra suivre un cycle continu de traitement/culture ## Footnote Il est important de traiter ces animaux, car ils constituent des excréteurs chroniques.
129
Traitement du subluxation/luxation sacroiliaque
Aucun traitement, repos et AINS, devrait se stabiliser avec le temps ## Footnote Certains chevaux retournent à leur niveau de performance
130
Quelle est la présentation classique d'un cheval avec une luxation/subluxation sacro-iliaque ?
++ Cheval de saut (mais pas tjrs!) Foulé courte, réticence à mettre son poids sur le MP et bosse proéminente a/n de la ligne médiane de la croupe
131
Quels sont les antigènes érythrocytaires les plus souvent impliqués dans l'isoérythrolyse néonatale ?
Facteurs Aa et Qa
132
Cheval atteint de gourme chronique. Que suggère un Titre anticorps pour la protéine M de Streptococcus equi equi (SeM) élevé (> 1:1600) ?
Purpura hémorragique ou Gourme bâtarde
133
L'isoérythrolyse néonatale est une hypersensibilité de quel type ?
Type 2 (cytotoxique)
134
Quelle race a une incidence plus élevé d'isoérythrolyse et pourquoi ?
Poulain « mule » Les ânes ont un « facteur âne » antigénique non exprimé chez le cheval
135
Qu'est-ce que le « test d'agglutination des poulains en jaunice » ?
Observation de l'agglutination entre les GR du poulains et le colostrum de la mère
136
Cheval avec un ulcère cornéen infecté (*penser à ulcère fondant*). À la cytologie, c'est un gram -. Quel antibiotique topique choisir ? Quelle bactérie est probablement présente ?
Tobramycine (aminoglycoside) Pseudomonas ## Footnote Le Cefazolin topique aurait pu être utile pour une infection gram +
137
Un poulain est prématuré s'il nait avant combien de jours de gestation ?
320 jours
138
Un poulain à la naissance devrait peser quel % du poids de sa mère ?
10%
139
# Dentisterie Éruption des incisives « de lait » : Éruption des incisives permanentes : Canine :
Lait : 7 jours, 7 semaines et 7 mois Permanentes : 2 1/2 Canine : 5 ans
140
# Dentisterie Rainure de Galvayne Début : Moitié : Toute la dent :
Début : 10 ans Moitié : 15 ans Toute la dent : 20 ans
141
# Dentisterie Pour estimer l'âge après 5 ans, on utilise la disparition du « cup » infundibulaire. Décrire ce qu'il indique.
* Le cup de I1 disparait à 6 ans * I2 à 7 ans * I3 à 8 ans
142
Comment détermine-t-on qu'un cheval a une anémie regénérative ou non ?
Aspiration de moelle osseuse (Hypercellularité avec un ratio myloide/érythroide bas - < 0,5) ## Footnote LES CHEVAUX NE RELÂCHENT PAS DE RÉTICULOCYTES!!!
143
Lequel de ces aminoglycosides est le plus toxique pour les reins chez le cheval ? Amikacin, gentamicine ou Néomycine ?
Néomycine !
144
Rétention placentaire après combien de temps chez la jument ?
3 heures
145
Durée gestation jument
330-360 jours
146
Une desmite du ligament suspenseur peut être associé à trois fractures. Lesquelles ?
* Os sésamoides proximaux * Métacarpe * Métacarpe rudimentaire
147
Qu'est-ce que le « syndrome du poulain qui tremble » ?
Botulisme chez un poulain entre 2 semaines et 6 mois Signes cliniques : Tremblements, langue molle, paralysie flasque, salivation, tonus musculaire diminué, dysphagie, dyspnée, faiblesse, réponse pupillaire absente (mydriase)
148
Différence entre le botulisme chez une cheval vs un poulain ?
* Poulain peut manger un spore et celui-ci va croître dans ses intestins et produire la toxine * Le cheval adulte doit ingérer la toxine préformée
149
# Poulain présenté pour « démarche sur la pointe du sabot » Qu'est-ce que c'est ? Que fait-on avec ça ?
**Pied bot ou « Clubfoot »** : Déformité de l’articulation interphalengienne distale (P2-P3) entrainant une flexion exagérée causé par une *contracture du tendon du m. fléchisseur profond* **Traitement** *Médical (conservateur)* : Maréchalerie (talon et pince), extension *Chirurgical* : Desmotomie bride carpienne ou ténotomie du fléchisseur profond
150
Qu'est-ce qui cause la contracture du tendon du m. fléchisseur profond résultant en un pied bot ?
Croissance rapide, nourrir en excès, mauvaise alimentation et manque d'exercice ## Footnote Ce n'est pas une contracture congénitale, c'est une condition qui est acquise ! Le tendon ne suit pas la poussée de croissance.
151
Quel nerf est atteint ?
Nerf radial
152
Quel moyen de diagnostic est « pathognomonique » pour la myotonie ?
**Électromyographie** → signale haute fréquence crescendo-decrescendo répétée accompagnée d’un bruit de « bombardements » (décharge répétitives après la contraction des fibres musculaires) ## Footnote Présentation classique : Cheval très musclé avec une démarche raide au début au pas et qui s'améliore à l'exercice
153
Cheval présenté pour boiterie progressive, allure courte et saccadée avec une enflure/douleur du boulet. Qu'est-ce que c'est ?
**OSSELET** : Inflammation du périoste distal du métacarpe et de l'articulation du **boulet** qui peut évoluer en arthrose si non traité (AINS, repos +/- IA) Si condition avancée (changement osseux à la RX) -> Arthrodèse ## Footnote On dit aussi : Périostite de la face dorsale du canon distal !
154
Haut vs bas ringbone ?
Bas : OA de l'articulation interphalengienne distale Haut : OA de l'articulation interphalengienne proximale
155
C'est quoi ? Quels signes associés ?
Ossification des cartilages complémentaires de la troisième phalange Asymptomatique (découverte fortuite)
156
# **Fracture carpale** Os touchés +++ : Signes cliniques : Dx : Tx :
* os radial et 3e os du carpe * Enflure et boiterie sévère * Radio * Arthroscopiqe (chir de réparation)
157
Bone spavin (photo ici) vs bog spaving ?
**Éparvin osseux** : intertarsienne/tarsométatarsienne, peu d'effusion, douloureux (cheval a une boiterie) **Éparvin mou** : Tibiotarsienne/tarsocrurale, bcp d'effusion, asymptomatique
158
Combien de temps le cycle oestral de la jument ? Durée (en moyenne) de l'oestrus ?
19-26 jours Oestrus dure en moy 6 jours (2-10)
159
Différence entre le diagnostic microscopique de la maladie de Theiler vs pyrrolizidine alkaloid ?
**Theiler** : Nécrose hépatique multifocale à diffuse (aiguë) **PAs** : Mégalocytose, fibrose péri-portale et hyperplasie biliaire
160
Échocardiograohie d'un poulain. Quelle est l'anomalie ?
Défaut du septum interventriculaire (CIV) ## Footnote Souffle holosystolique mieux entendu à droite
161
Bloc MOTEUR de l'oeil pour un examen ou procédure chez le cheval ?
Auriculo-palpébral (branche motrice du nerf facial)
162
Qu'est-ce que le foramen ovale chez un poulain ?
Normalement, le foramen ovale se ferme maximum 48h après la naissance, parce que la pression de l’OG est plus forte, ce qui ferme le « clapet » et ça se fusionne rapidement. S’il y a un échec de la fermeture du foramen ovale, cela crée un shunt OD → OG lorsqu’il y a une augmentation de la pression a/n de l’OD (grande inspiration, éternuement, toux).
163
Jument présenté pour infertilité et comportement sexuel anormal. Elle a un gros ovaire et un tout petit et dur. Quel est le diagnostic et traitement ?
Tumeur des cellules de la granulosa-thèque (bénin) Ovariectomie unilatérale | Reprise de 'activité sexuelle 5 mois post-op ## Footnote **Diagnostic : Deux test hormonaux** *1) « Hormonal panel » (doser les TROIS hormones)* a. Inhibine: élevée dans 80-90 % b. Testostérone: élevé dans 50% c. Progestérone: <2ng/mL *2) Anti-Müllerian Hormone (AMH): 98% sensitivité* a. N= 0.22–2.94 ng/mL b. GCT >14.0 ng/ml
164
Quelle est la pathogénie de l'hématome ovarien ? Traitement ?
CH qui ne coagule pas après l'ovulation (ovaire qui grossit progressivement) Ne rien faire, ça devrait se résoudre, sinon ovariectomie ## Footnote Aucun effet sur la cyclitié, cela peut occasionner de la douleur chez la jument
165
Cheval qui vit au champs et qui a de la dysphagie ainsi que du ptyalisme. Quelle plante peut causer ça ? Où est localisé la lésion ?
CENTAURÉE DU SOLSTICE (« yellow star thistle ») : Encéphalomalacie nigropallidée (atteinte de substancia nigra et globus pallidus)
166
Cheval de 20 ans avec un souffle holodiastolique descrescendo, asymptomatique. C'est quoi ?
Régurgitation aortique (maladie dégénérative de la valve mitrale, rien à faire, pas problématique en général)
167
Meilleur traitement médical pour les entéropathies au sable ?
Psyllium
168
Quels sont les changements morphologiques des GR d'un cheval anémique ?
Aucun (normocytaire, normochrome)
169
Myoglobinurie vs hémoglobinurie ?
Myo : Urine rouge, plasma clair normal Hémo : Urine rouge, plasma rosé ## Footnote La myoglobine ne se lie pas aux protéines sériques et est rapidement excrétée avant d'atteindre des concentrations susceptibles de décolorer le plasma. De plus, la démarche douloureuse suggère une myopathie potentiellement liée à la myoglobinurie. À l'inverse, l'hémoglobinurie est associée à une coloration rougeâtre du plasma, car l'hémoglobine y est maintenue plus longtemps et est éliminée plus lentement dans les urines.
170
Traitement de l'entropion chez le poulain
Aucun ! Se résout de lui-même normalement (même si le poulain a de l'épiphora et du blépharospasme...) ## Footnote La correction chirurgicale est réservée aux cas qui ne se résout pas d'eux-mêmes. If clinical signs are severe enough, a procedure where local anesthetic is infused and the eyelid is everted and stapled can be performed as a temporary fix until the problem resolves.
171
Anomalie à l'hématologie lors de purpura hémorragique ?
* **ANÉMIE** * HyperPT, hyper Glob, hyperF * Neutrophilie * Plaquettes normales
172
Cheval avec urticaire, oedème des extrémités, pétéchie sur la muqueuse et une démarche raide. On pense à quoi ?
Purpura hémorragique ## Footnote Hypersensibilité de type 3 (dépot de complexes immuns a/n des vaisseaux sanguins et vasculite)
173
Traitement et pronostic du Purpura ?
**Traitement** * Corticothérapie (Dex) * Antibiothérapie si infection active (Gourme → pénicilline) * Soins de support (fluidothérapie, analgésie, gestion du décubitus) **Pronostic** * Fatal si traitement tardif * Mauvais si combiné à infarctus digestifs (colique)
174
Traitement de l'hygroma du carpe
Chirurgie exploratrice et mise en plase d'un drain
175
# Attention, contraire des petits animaux Quel pH urinaire promouvoit la formation d'urolithe de carbonate de calcium ?
Alcalin
176
Cheval qui s'est lacéré la paupière. Quoi faire ?
* Lavage avec saline (nettoyer la plaie) * Un débridement minimal de la plaie doit être effectué afin d'éviter toute déformation de la paupière. * Suture (deux couches) * PBZ (prévenir le gonflement) * Vaccination antitétanique
177
Quelles sont les deux « maladies » pouvant causer une augmentation du comportement d'agressivité chez le cheval ?
Tumeur cellules granulosa-thèque HypoT4
178
Cheval avec une plaie assez récente (quelques semaines) et qui revient avec un tissu exubérant « Proud flesh » C'est quoi ?
Tissu de granulation excessif
179
L'hypersensibilité aux mouches est traitée de quelle façon ?
Gestion des mouches +/- corticostéroïdes +/- injection hyposensibilisation
180
L'hypersensibilité aux mouches est de quelle type ? Pourquoi ?
Type 1, allergie à la salive de la mouche
181
La mouche responsable de l'hypersensibilité aux mouches (« dermite estivale ») ressemble à quoi et quel est son nom ?
Culicoides, petite et tacheté
182
Cheval qui vit avec des vaches et qui a une dermatite de la ligne médiance ventrale avec des papules à croûte centrale qui évoluent vers une alopécie et une ulcération. Les lésions sont focales. Qui est responsable ?
Haematobia irritans
183
# Points importants Habronemiase
* Maladie parasitaire résultant d'une migration cutanée aberrant de larves de nématodes * Cause commune de granulomes ulcératifs chez le cheval * Les mouches (Stomoxys - mouche d'étable et Musca - Mouche de maison) sont les hôtes intermédiaires * Une bonne vermifugation et un contrôle des mouches permet de prévenir la maladie
184
Quels sont les nématodes pouvant être responsables de l'habronemiase ?
Habronema muscae et majus et Draschia megastoma
185
Quelle est la pathogénie de l'habronemiase ?
* Les nématodes adultes vivent dans l'estomac du cheval (asymptomatique, à moins d'infection massive = gastrite et lésions ulcératives/nécrotiques) * Oeufs et larvent dans les fèces * Mouches avalent les larves et oeufs trouvé dans les fèces * Développement de la larve jusqu'au stade L3 infectieux dans la mouche * Mouches sont attirées par les endroits humides (plaie et jonctions mucocutanées) -> dépôt L3 * L3 complète son cycle si posée près de la bouche et avalée
186
Quelles sont les régions « humides » où les mouches responsables de l'habronemiase vont déposer les larves ?
* Canthus médial * Narines * Vulve * Mammelle * Commissure des lèvres * **Plaie**
187
Quelles sont les caractéristiques des lésions d'habronémiase ?
* Lésion(s) unique ou multiples * Granulome ulcéré (+/- zones nécrotiques avec foyers de nécrose) * +/- prurigineuse (si réaction d'hypersensibilité)
188
Comment établie-t-on le diagnostic de l'habronemiase ?
* Raclage cutanée profond ou frottis de la lésion : Larve de nématode + infiltration éosinophilique * Biopsie ## Footnote *À noter que l'habronemiase peut être vu avec sarcoide et granulome éosinophilique*
189
Traitement de l'habronémiase ?
* Se résout habituellement à la fin de l'été, mais on peut mettre un traitement topique avec Ivermectin et/ou glucocorticos pour aider * Si prurit intense (hypersensibilité) : Glucos systémique ou antihistaminique (?) * Si lésion énorme : Cryothérapie ou excision chirurgicale peut être envisagé
190
Quels sont les deux moyens de prévention important de l'habronémiase ?
FLy control Vermifuger régulièrement (Ivermectin ou moxidectin)
191
Traitement à donner à une jument qui a une hémorragie de l'artère utérine
Acide aminocaproïque ## Footnote facilite la stabilisation du caillot en bloquant l’activation du plasminogène en plasmine qui est l’enzyme qui dissout les caillots
192
Meilleur moyen de diagnostique une infection utérine chez la jument
Cytologie utérine (présence de bactéries et/ou augmentation neutrophiles)
193
Conséquence de l'ingestion de « St-John's wort ») ou Millepertuis ?
Hépatatoxique et photosensibilisation
194
L'ionophore chez le cheval a une toxicité ciblé pour : ## Footnote Monensin > Lasalocid et Salinomycin
Myocarde ## Footnote Nécrose du myocarde associée à une CD => Détresse respi, souffle, faiblesse, choc hypovolémique
195
Quel est le traitement pour un cheval avec une intoxication au monensin ?
Pas d'antidote, l'objectif est de tenter de vider le plus possible le contenu intestinal avec huile minérale, charbon et fluido !
196
Signe clinique important de l'hématome de l'ethmoide ?
Épistaxis léger, uni ou bilatéral, spontanée et intermittent non lié à l'exercice +/- léger effort respiratoire
197
Étiologie de l'anémie infectieuse équine
Rétrovirus transmis via le sang (mouche ou aiguille) ou verticale (lait/parturition) ou vénérienne
198
Signes cliniques de l'anémie infectieuse équine
* **Hyperthermie**, abattement, anorexie, perte de poids * Coagulation intravasculaire disséminée * Thrombocytopénie possible * **Splénomégalie, hépatomégalie, lymphadénomégalie** * **Hémorragie, muqueuses pâles, épistaxis, ictère, pétéchies** * Œdème * Ataxie * Entérocolite
199
Test de choix pour l'anémie infectieuse équine
Coggins | Il existe aussi ELISA, mais confirmation avec Coggin obligatoire ## Footnote Agar Gel **Immune-diffusion** Assay (Coggins Test) * Détecte anticorps précipitant contre gag p26 * Très spécifique
200
Traitement de l'anémie infectieuse équine
Euthanasie ou en quarantaine à vie, au moins 200 m des autres chevaux (zuku)
201
Anaplasmose
202
Signe particulier associée à la peste équine africaine
Enflure de la fosse supraorbitale (indentation au-dessus des yeux) ## Footnote MADO
203
Par quoi est transmise la peste équine africaine ?
Mouche (culicoides)
204
Agent responsable de la morve (maladie exotique) ?
Burkholderia mallei ## Footnote MADO
205
Signes cliniques importants de la morve ?
* Écoulement nasal mucopurulent * NL augmenté * Fièvre *Si contexte en milieu exotique, comme en Afrique!* ## Footnote *Présentation similaire à la gourme*
206
Quelles sont les 3 formes de la Morve et leurs particularités ?
* **Forme nasale** : Écoulement nasal *mucopurulent* / Fièvre, anorexie, difficulté respi et toux / ulcération en forme d'étoiles (*cicatrice stellaire*) dans les VRS / NL régional aug * **Forme pulmonaire** (se développe sur plusieurs mois) : Fièvre, dyspnée et toux au départ, puis nodule entouré d'hémorragies et une *pneumonie* diffuse * **Forme cutanée** (se développe sur plusieurs mois) : Début avec toux et dyspnée / *Nodules SC a/n des vaisseaux lymphatiques* sur les jambes (« cordes ») qui peuvent coalescer et former des « farcy pipes »
207
Deux tests importants pour le diagnostic de la Morve ?
Fixation du complément (CF) Mallein test ## Footnote The **mallein test is considered the most reliable**, sensitive, and specific test; it involves injection of **mallein purified protein** derivative intradermally into the **lower eyelid**. The test is read at 24 and 48 hours and a positive reaction is characterized by edematous swelling or purulent discharge.
208
Qu'est-ce que je fais avec un cheval qui test + pour la morve ?
**NE PAS TRAITER** * Signaler * Abattre * Détruire carcasse (brûler et enterrer)
209
Différence entre African Horse Sickness et Glanders (morve) ?
AHS est une maladie respiratoire virale dont les signes primaires sont pulmonaires vs Morve qui a des signes nasaux (écoulement purulent) et des NL régionaux augmentés
210
Cheval avec jarret descendu, boiterie de non appuie, avec grosse lacération. Quelle structure est touchée ?
Tendon d'achille (gastroc + fléchisseurs superficiels)
211
Une jument poulinière qui a avorté de EHV-1 peut-elle continuer d'avoir des poulains ?
Oui, futures repros possibles et elle peut encore produire des poulains sains. Par contre, elle sera infectée à vie (latent) et il est fortement suggéré de la vacciner à 5,7 et 9 mois de gestation pour diminuer chance d'avortement dans le futur.
212
Cheval avex fourbure chronique qui ne répond pas aux traitements habituels. Quelle est la solution de dernier recours ?
Ténotomie du tendon du m. fléchisseur profond ## Footnote Permet de relâcher la pression sur l'os « coffin »
213
# Parties du cerveau Corpus callosum
Connecte les deux hémisphères cérébraux ensemble
214
# Partie du cerveau Amygdala
Peu et mémoire
215
# Partie du cerveau Pédoncule cérébellaire caudal
Connecte la médulla au cervelet et est impliqué dans la transmission des signaux du mouvement
216
# Partie du cerveau Fasciculus longitudinal médial
Coordination du mouvement des yeux
217
# Partie du cerveau Rostral olivary nucleus et lateral lemniscus
L'ouïe
218
Quel relaxant musculaire est utilisé lors de l'anesthésie d'un cheval ?
Guaifenesin
219
Le « Mare reproductive loss syndrome » est causé par quoi et entraine quels signes cliniques ?
**Étiologie** : Consommation de chenille (Eastern Tent Caterpillar ou « chenille à tente estivale ») **Signes cliniques** * Avortement précoce et tardif * Mortalité néonatale * Uvéite unilatérale * Péricardite fibrineuse
220
Traitement du mélanome équin
Retrait chirurgicale ou ne rien faire ou chimio ou immunothérapie, très variable !
221
Cheval retrouvé mort avec les muqueuses rouges cerises et une odeur d'amande. Quelle toxine en cause ? ## Footnote Un cheval encore vivant sera en difficulté respiratoire*
**Cyanide** *(cerise, cerisiers de Virginie, Triglochin maritima (Arrowgrass) ou Sorgho de Soudan) * Empêche l’hémoglobine de libérer l’oxygène → « Cherry red lips » + odeur d’amande dans le TGI ***Traitement*** : Nitrate de sodium ou Thiosulfate de sodium ***Pronostic*** sombre, car très rapide
222
Meilleur foin pour cheval en HYPP ?
Fléole des prés (Timothy hay), car bas en K+
223
Quels sont les éléments déclencheurs d'une crise chez les chevaux avec HYPP ?
* Alimentation riche en K (melasse et luzerne) * Évènement stressant ## Footnote Alfafa = luzerne
224
Cheval avec HYPP * Traitement si épisode léger : * Traitement si sévère : * Maintien :
**Léger** : Sirop de mais ou moulée sucrée (insuline = K dans cellules) **Sévère** : Dextrose IV, Calcium 23% IV, bicarbonate de sodoium, épinéphrine et/ou fluidothérapie NaCl (sans K) **Maintien** : Diète réduite en K + exercice régulier (au besoin, on donne de l'acétazolamide)
225
Comment établie-t-on le diagnostic de l'HYPP ?
* Signes cliniques évocateurs (faiblesse, décubitus, prolpase 3e paupière, fasciculations => Détresse repi à parfois mort) - *durée de 15-60 minutes* * **HYPERKALIÉMIE** * ECG * Diagnostic définitif : **Test génétique**
226
Quelle est la pathogénie de l'HYPP ?
Maladie autosomale dominante qui entraine une dysfonction des canaux sodiques des cellules musculaires squelettiques
227
Traitement des helminthes vs cestodes
Helminthes : Benzimidazole, pyrantel et ivermectin Cestode : Praziquantel
228
Poulain de 2 semaines avec fièvre, ictère, hypoglycémie et augmentation des enzymes hépatiques. Quel est le diagnostic et étiologie ?
Maladie de Tyzzer *Clostridium piliformis* ## Footnote **Nécrose hépatique aigue** qui touche les poulains de 1-6 semaines ! Si le poulain est très jeune (1-3 jours de vie), on doit penser à l'herpèsvirus.
229
Qu'est-ce qui distingue Clostridium piliformis des autres Clostridium ?
Gram - (alors que tous les autres clostridium sont gram +)
230
Jument de 2 ans présente une boiterie intermittente du membre thoracique gauche, qui disparaît après le travail. L'examen physique révèle une enflure au **métacarpe palmaire**, une chaleur et une sensibilité à la palpation. Quel est votre diagnostic ?
Tendinite
231
Qu'est-ce qu'un sheared heels et quel est le traitement ?
**Asymétrie des talons** causée par un déséquilibre du pied → un talon touche le sol avant l’autre → croissance asymétrique des talons **Traitement** : Parage correctif répété +/- application de fers de soutien **Pronostic** : Bon
232
Si je fais une échographie chez un cheval en colique et je n'arrive pas à voir le rein gauche, la cause de la colique est fort probablement :
Accrochement néphrosplénique
233
Quel virus est normalement présent dans les VRS des chevaux et pouquoi faut-il s'en souvenir ?
**Adénovirus** Peut provoquer une infection des VRI chez les immunosupprimés (**+++ poulains avec DTIP** ou immunodéficience combinée). C'est LA cause la plus fréquente de décès chez les poulains atteints de ces deux affections, entraînant une *pneumonie mortelle*.
234
# Vrai ou faux Une jument avec une dysgénèse des gonades peut être gestante.
Faux ## Footnote Anomalie chromosomale
235
Comportement d'une jument avec un CL persistant ?
Anoestrus (non réceptive et pas d'oestrus) ## Footnote Ovaires normaux avec follicules ! CL pas palpable chez la jument.
236
Qu'est-ce que la piperazine ?
Anti-helminthe, surtout utilisé pour les ascaris
237
Un acrochement néphrosplénique correspond à quoi a/n du déplacement ?
Déplacement dorsal-gauche du colon
238
Quel est le traitement CURATIF du ringbone ?
Arthrodèse chirurgicale (fusion de l'articulation)
239
Traitement d'un BAV 3 chronique
Pacemaker
240
Thelazia (conjonctivite) ## Footnote **Pourquoi pas toxocara ?** Cause des granulomes ciruclaires qui sont vus dans la rétine
241
Étiologie de l'exatnthème coïtal équin ?
Herprèsvirus type 3 (transmission vénérienne)
242
Cheval miniature avec une colite (diarrhée) et qui est anorexique depuis quelques jours. L'échantillon de sang ressemble à ça. Quel est le diagnostic le plu probable et quelles valeurs seront anormalement élevées à l'analyse ?
Triglycérides, GGT et SDH **Hyperlipémie et lipidose hépatique **
243
Qu'est-ce que l'anhydrose ?
Incapacité de suer
244
Quel est le pronostic d'un mastocytome chez le cheval et pourquoi ? On retrouve les nodules principalements où ?
Bon (excision est curative) Majoritairement bénin ## Footnote On retrouve les nodules souvent sur la tête ou les pattes !
245
La furosémide long terme est indiqué pour le traitement de quoi ?
Insuffisance rénale oligurique
246
Traitement de la glomérulonéphrite
* Diète réduite en prots * Transfusion plasma * Corticos
247
Signe clinique important causé par Taylorella equigenitalis (métrite contagieuse équine)
Infertilité chez la jument PAS DE SIGNE CHEZ L'ÉTALON ## Footnote Ne pas reproduire avec jument si étalon test + ! Maladie sensée être éradiquée des USA
248
Étalon reproducteur qui test positif (heavy growth) pour une culture bactérienne pour Pseudomonas et Klebsiella, puis-je le reproduire quand même ?
Ces deux agents sont responsables de l,endométrite chez la jument, donc non recommandée. Par contre, fréquent d'avoir culture bactérienne + pré-éjaculation, donc si ces bactéries n'avaient pas poussées en grosse quantité ou si c'était autre, on pourrait le reproduire.
249
Étalon avec rotation des testicules de 180 degrés, est-ce grave ?
Non, très fréquent
250
Une injection de PGF-2a (ex : pour traiter un CL persistant) peut entrainer quels effets secondaires chez la jument ?
Colique et crampes
251
Signes cliniques et traitement de l'exanthème coital équin (HVE-3)
Papules, pustules et ulcères sur le pénis (balanoposthite) et la vulve Guérison spontanée en 2 sem +/- atb topique si infection secondaire
252
Site de thoraconcentèse cheval
7e EIC
253
Cheval avec un « garrot fistuleux ». Quel est le vrai nom de cette condition et son traitement ?
Bourse supra-épineuse Flush et drainer + atb ## Footnote Étiologie : Brucella abortus
254
Quel bloc pour désensibiliser l'oeil (analgésie, bloc sensitif)
Bloc nerveux supraorbital/frontal ## Footnote It may also provide some motor block of the levator palpebrae superioris due to a branch of the oculomotor nerve which runs adjacent.
255
Quelles sont les structures importantes qui passent par la poche gutturale ?
* NC : 7-9-10-11-12 * Tronc sympathique * Carotide interne et externe * Artères maxillaires
256
Chez quelle race l'HYPP est habituellement observée ?
Quarter horse
257
Qu'est-ce que c'est et comment je le traite ?
* Plaques auriculaires ou acanthome papillaire (papillomavirus transmis par mouches noires) * Crème imiquimod (Aldara) et gérer les mouches !
258
Consommation d'eau normale chez un cheval ?
50 à 70 ml/kg
259
Production urinaire normale cheval ?
15-30 ml/kg/j
260
Stomatite vésiculaire ## Footnote Affecte vache et cochon aussi !
261
Un cheval de course surmené depuis une semaine présente une démarche raide, une léthargie, une anorexie et une oligurie. Quel est le diagnostic le plus probable ?
Néphropathie pigmentaire (filtration d'une grande qt de myoglobines)
262
Test pour diagnostiquer un abcès interne à Corynebacterium pseudotuberculosis chez le cheval ?
test d'inhibition de l'hémolyse synergique
263
À quoi sert le test KOH ?
Diagnostic des infections fongiques (ex : dermatophytes)
264
À quoi sert le test de turbidité au sulfate de zinc ?
TIP
265
Myélite vermineuse
266
Quels sont les agents responsables de la myélite vermineuse ?
* Srongylus vulgaris * Micronema * Draschia * Setaria * Halicephalobus * Hypoderma ## Footnote IL Y EN A BCP !!!!
267
Qu'est-ce que le syndrome du poulain blanc ?
* Deux Overo reproduit ensemble (trait récessif) * Poulain blanc avec yeux bleus * Aganglionose iléocolique = incapable de déféquer = colique = mort en 48h
268
Quel est le principal mode de transmission de l'artérite virale équine ?
Vénérienne (étalon est le réservoir naturel)
269
Quelles sont les trois formes de l'artérite virale équine ?
Systémique (fièvre, oedème des membres et palpébrales, pétéchies) Respiratoire (rhinite : toux, conjonctivite, jetage) Abortive
270
Traitement de l'artérite virale équine ?
Soin de support
271
Persistance du canal de l'ouraque (en lecture)
* Certains poulains nouveau-nés présentent un ouraque persistant pendant quelques jours et présentent des urines claires et jaunes. * Cependant, dans ce cas, l'anamnèse décrit un écoulement purulent évoquant une infection des structures ouraques et une affection plus grave. Des antimicrobiens systémiques sont donc indiqués pour éliminer les agents infectieux. Dans certains cas (grand abcès ouraque, nécrose ouraque, uroabodmen), une ablation et une réparation chirurgicales sont indiquées. * Les cas d'ouraque persistant acquis associés à une infection ombilicale ne doivent pas être traités par des agents cautérisants, car cela pourrait sceller l'ouraque mais empêcher le drainage de l'infection. * En l'absence d'infection, de nombreux cas d'ouraque persistant se referment spontanément. * Cependant, si le problème persiste, une échographie doit être réalisée pour détecter d'éventuelles anomalies associées à la structure interne de l'ombilic. * L'ouraque persistant n'est pas dû à une mutation génétique connue chez le poulain.
272
Différence principale entre l'onchocercose et l'hypersensibilité aux mouches ?
Onchocercose n'est pas vrm pruritique comparé à l'hypersensibilité aux mouches !
273
Corynebacterium pseudotuberculosis (« fièvre du pigeon ») entraine quelles lésions chez le cheval ?
Lymphangite ulcérative et abcès pectoral
274
Cheval de 1 an avec des lésions croûteuses a/n des jonctions mucocutanées de sa tête et sur son ventre. À la biopsie des lésions, on observe des **cellules acantholytiques**. Quel est le diagnostic ?
Pemphigus foliacé ## Footnote Forme juvénile = bon pronostic Forme adulte = Mauvais pronostic Lésions sont érosives et ulcérées avant d'être croûtée !
275
Quel est le traitement du pemphigus foliacé ?
Dose immunosupressive de corticos
276
Muscles importants pour la phase inspiratoire ?
Diaphragme et intercostaux externes
277
Muscles importants de la phase expiratoire ?
Intercostaux internes et muscles de la paroi abdominale
278
Pourquoi la ligature de l'artère carotide commune ne permet pas d'arrêter l'hémorragie lors d'épistaxis causé par une mycose des poches gutturales ?
Parce que la vascularisation cérébrale va tout de même continuer, donc ça n'arrêtera pas l'hémorragie. ## Footnote Le traitement de choix est l'occlusion chirurgicale des artères impliquées (anesth générale) par « embolisation coils » ou ballons.
279
Cheval en IRC avec PU/PD, perte de poids, anorexie. On s'attend à voir quoi à l'hémato-biochimie ?
**Hyperkaliémie Hypercalcémie, Hypophosphatémie** HypoNa et HypoCl ## Footnote HyperK et hyperCa (différent des PAs) s'explique par l'alimentation des chevaux !
280
# Points importants de Teigne
**Étiologie** : Trichophyton equinum (+++), T. mentagrophytes ou Microsporum gypseum **Signes cliniques** : Alopécie et croûtes a/n de la région de la selle et de la sangle **Diagnostic** : Milieu de test dermatophyte (DTM) ou par visualisation des éléments fongiques (hyphes et arthroconidies) sur une préparation KOH (hydroxyde de potassium) **Traitement** : Anti-fongique topique « azolé »
281
# Examen de boiterie Cheval qui a des foulées courtes et qui met la pince en premier. À l'arrêt, il a tendance à être « penché vers l'avant » (contraire de la fourbure). On doit penser à ...
Naviculaire
282
# Examen de boiterie Foulée courte, à trajectoire/amplitude basse, met le poids sur la pince en premier et qui à tendance à trainer sa pince au sol. On doit penser à :
OA du jarret (Bone spavin) (OA de l'articulation intertarsienne distale et/ou tarsométatarsienne)
283
# Examen de boiterie Cheval qui met peu de poids sur son pied et qui a une sensibilité marquée à l'examen. On pense à :
Abcès de pied Bursite naviculaire septique (« street nail »)
284
Quel type de fer pour un cheval naviculaire ?
Fer qui éleve talon
285
Quelle plante, si ingérée par un cheval, peut mener à la polioencéphalomalacie ?
Pteridium (Bracken fern)
286
L'ingestion de MÉLILOT MOISI (« sweet clover poisoning ») entrainer quoi chez le cheval et la vache ?
Hémorragie et coagulopathie (antagoniste de la vitamine K)
287
Quelle est la cause la plus fréquente de valgus chez les poulains ?
Croissance asynchrone des plaques de croissance métaphysaire et épiphysaire
288
Quelle condition génétique devrait toujours être suspectée chez un poulain Arabe avec une infection persistante ?
Immunodéficience combinée ## Footnote * Aucun traitement pour cette maladie * Les poulains commencent à démontrer des signes d'infection répétée lorsque les Ac maternaux cessent d'être effectifs (vers 7 semaines). * Touche les lymphocytes B et T * Maladie héréditaire (test génétique disponible pour les reproducteurs)
289
Thoroughbred avec de l'épistaxis intermittent. On prend une radio. C'est quoi la cause ?
Hématome de l'ethmoide ## Footnote Mycose des poches gutturales non visible à la radiographie*
290
La jéjunite duodénite proximale (DPJ) (aussi appelée « entérite antérieure ou proximale ») est cliniquement similaire à quoi ? Quelle est la différence entre les deux au niveau du traitement ?
DPJ a une présentation très similaire à une obstruction des petits intestins (colique, aug FR, aug FC, bcp de reflux). Par contre, DPJ se traite médicalement (intubation nasogastrique, fluido, analgésie) alors que l'obstruction du PI est chirurgicale ## Footnote La clé pour rdifférencier les deux est que la DPJ : légère fièvre et que c'est moins douloureux que l'obstruction. On peut entendre un peu les gargouillis. La décompression de l'estomac permet de réduire la douleur.
291
Mon cheval a de la gale de boue (« Scratches ») ! Qu'est-ce que je fais ? ## Footnote Cheval présenté avec des lésions séborrhéiques au niveau du paturon et une boiterie très légère.
* Associée à des chevaux qui vivent dans des environnements humides et bouéteux * *Traitement* : retirer le cheval de cet environnement, clipper les poils de la région affectée, laver et nettoyer la zone avec un désinfectant, puis sécher correctement * *Prévention* : Garder ses chevaux au sec et assurer une bonne hygiène ## Footnote Aussi appelée « dermatite chronique séborrhéique »
292
Formule dentaire du cheval
2(I3/3 C1/1 P 3-4/3 M3/3 ## Footnote 3 ou 4 prémolaires maxillaires
293
Une hépatite chronique active entraine quelle réponse inflammatoire au niveau du foie ?
Réponse suppurative ou lymphoplasmocytaire
294
Traitement de l'hépatite chronique active
Corticostéroïdes , soin de support et antibiotique si chonlangiohépatite présente
295
Cheval avec une masse nodulaire dans le cou. La biopsie montre une dégénération du collagène et une inflammation granulomateuse avec des éosinophiles. Qu'est-ce que c'est et quel est la traitement ?
Granulome éosinophilique (ou collagénolytique ou nécrobiose nodulaire du collagène) * Antibiotique systémique * Excision chirurgicale * Injection sublésionnelle de corticos ## Footnote Très similaire au chat !
296
Quel est le traitement de la maladie de Theiler et de la toxicité au PAs ?
Traitement de support non spécifique (fluido, dextrose, AINS, support nutritionnel, contrôle de l'hépatoencéphalopathie au besoin) + retrait des plantes toxiques (pour PAs) ## Footnote **Étiologie de Theiler** : Idiopathique, parfois assocéi avec antitoxine tétanique **Étiologie de PAs** : Senecio, Crotalaria et Heliotropium
297
Quels sont les signes cliniques non spécifiques de maladie hépatique ?
* Anorexie, perte de poids (+ chronique) * Ictère * Photosensibilisation * Hépatoencéphalopathie * Pica
298
Chez le cheval, une insuffisance hépatique en stade terminal est souvent associée à ...
Hémolyse secondaire (crise hémolytique -> GR fragilisés par toxines dans le sang) ## Footnote *Signes cliniques* : Hémoglobinurie, anémie, ictère
299
Un cheval en insuffisance hépatique avec hémolyse secondaire a quel pronostic ?
Fatal
300
Valeurs normales d'une paracenthèse chez le cheval
< 20 g/L ou 2000 mg/dL GB < 7 500 Abence de bactéries ## Footnote Pas 100% certaine
301
# Points importants sur les caractéristiques de Clostridioides difficile
* Toxines de virulence : A et B * Gram + anaérobe * Peut survivre longtemps dans sa forme spore * Transmission fécale-orale * Traitement aux antibiotiques est un facteur de risque
302
# Points importants de Pourriture de fourchette (« thrush »)
**Étiologie** : Fusobacterium necrophorum **Pathogénie** : Chevaux qui sont dans des conditions environnementales insalubres et/ou mauvais entretien des pied et/ou manque d’exercice **Signe clinique** : dermatite humide et exsudative des sillons centraux et latéraux de la fourchette, ainsi qu'un écoulement noir épais et malodorant **Traitement** : Débridement des zones nécrotiques, antiseptique, bandage et éduquer le client
303
# Points importants de Maladie de la ligne blanche (« Seedy toe »)
* **Décollement de la muraille du sabot** (douloureux) et des bactéries/champignons peuvent s’y enfouir (infection) * +/- boiterie si abcédation (infection) ou une fourbure concomitante * **Traitement** : Débridement de tout ce qui est nécrotique et infecté, drainage, antiseptique et mettre une « ferrure de soutien » au besoin le temps que le sabot repousse. * **Pronostic** : Bon si pas d’atteinte des structures plus profondes
304
# Points importants de Uvéite récurrente équine (« moon blindness »)
***Étiologie*** : Infection (onchocerca, leptospirose ou borrelia) ou MI ***Traitement*** : AINS topique et systémique + Atropine topique +/- atb systémique si cheval malade de l'infection en cause ***Complications de l'uvéite récurrente*** : **Cataracte**, luxation du cristallin, glaucome, synéchies postérieures, **CÉCITÉ**
305
Qu'est-ce que l'Equine night blindness (« Cécité nocturne congénitale stationnaire ») ?
Maladie congénitale bilatérale et non progressive où le cheval a une vision diminuée dans le noir à de degrés variables.
306
Quelle race est prédisposé à l'uvéite récurrente et à l'Equine night blindness ?
Appaloosa
307
Traitement des anaplocephala chez le cheval (cause anémie et colique) ## Footnote Paranoplocephala mamillana, Anoplocephala magna et perfoliata
Praziquantel (cestodes)
308
Quelles sont ces « plantes » et quelles conséquences ont-elles si elles sont ingérées : Anabaena, Aphanizomenon et Microcystis ?
Algue bleue-vert Hépatotoxique
309
Cheval mange par accident un « blister beetle » ou méloé en français dans son foin. Quelle est la conséquence ?
* Vésicules sur la bouche et langue * Colique * Insuffisance rénale * Choc, arrythmie * Mort rapide
310
Quel vaccin est souvent associé à une réaction locale des tissus mous ?
Vaccin de la gourme ## Footnote Nouveau vaccin IN préféré !
311
Meilleur moyen de diagnotiquer une infection respiratoire virale (ex : Influenxa, artérite virale équine ou rhinopneumonie)
Écouvillon nasopharyngé
312
# Vrai ou faux Les fractures de l'ulna ont un bon pronostic comparé aux fractures du tibia
Vrai ## Footnote Les fractures tibiales sont souvent communitives et difficilement réparable. De plus, puisqu'il y a peu de tissus mous, ça les rend plus susceptibles aux infections. Les fractures ulnaires sont traitées avec des plaques et vis.
313
Comment traite-t-on une fracture de P1 ?
Lag crew
314
Combien de temps avant qu'un cheval ait le botulisme après une plaie pénétrante ?
2 semaines ## Footnote Si toxine préformée est mangée, comme chez le chien, c'est beaucoup plus court (quelques heures à quelques jours). Si question au NAVLE = 2 semaines pour cheval
315
Si j'effectue un lavage transtrachéal d'un poulain atteint de Rhodococcus equi, je m'attends à voir quoi ?
Bâtonnets gram + pléomorphes
316
Vaccin contre le tétanos devrait être donné quand ?
3, 4 et 12 mois, puis annuellement 1-2 mois avant le poulinage aussi
317
Utilité de la biopsie utérine chez la jument
Évaluer le degré de fibrose pour déterminer si la jument sera capable de mener le poulain à terme ## Footnote Catégorisé selon le « Kenny » système de grade 1-3 1 = peu de fibrose / 3 = bcp de fibrose = 5% de chance de carry to term
318
Quel parasite peut être responsable d'une uvéite chez le cheval ?
Onchocerca cervicalis (migration aberrante du microfilaire, lorsqu'il meurt = inflammation)
319
Nommer des médicaments qui permettent d'augmenter la vascularisation (vasodilatation) qui peuvent être prescris à un cheval avec une fourbure aigue ?
* Phenoxybenzamine * ACP * Isoxsuprine hydrochloride * Dimethylsulfoxide (DMSO) * Héparin * Nitroglycerine
320
# Points importants Sarcoïde
* Tumeur de la peau la plus fréquente * **BÉNIN** * Récurrence de 50% post excision * *Traitement :* Excision +/- radio ou rien faire si pas dérangeant * Le **BPV** jouerait un rôle !
321
Points à savoir sur le Test Coggin's
* It is not effective during an acute episode of anemia * It is effective at diagnosing infection in chronic asymptomatic carriers * The test is not effective in foals because it detects antibody * False positives can occur in foals due to maternal antibody interference
322
Qu'est-ce qui ne faut absolument pas donner à un cheval avec cette lésion (ulcère cornéen) ?
Un stéroïde (ex : dexaméthasone), car ils augmentent l'activité des protéases et accentuent le « melting » !
323
Pourquoi est-il préférable d'utiliser la tropicamide vs l'atropine (même action) chez les chevaux ?
Atropine peut entrainer des coliques !
324
Fluidothérapie de maintien pour un cheval
60 ml/kg/jour
325
Qu'est-ce qu'un buttress foot ?
* Périostite au niveau de l'attache du tendon du m. extenseur commun du doigt a/n de P3 qui entraine enflure de la bande coronaire et boiterie et douleur * Causé par une tension excessive sur le tendon. * Parfois associé à une fracture a/n de l'attache de P3
326
La rupture du longus capitalis est causée par quoi et entraine quels signes cliniques ? ## Footnote *longus capitis and rectus capitis ventralis insert onto the basisphenoid and occipital bones*
* Cheval qui se cabre et tombre par en arrière * Épistaxis et signes nerveux du tronc cérébral (ataxie, tête penchée) * Traitement : repos en stalle + antibiotiques ## Footnote Endoscopie : Hémorragie dans la poche gutturale
327
Poulain qui s'est cabré qui et démontre ces signes cliniques (tête penchée, oreille tombée et déviation du museau). Quel os a probablement été fracturé ?
Os basilaires (basisphénoides et basioccipital) ## Footnote Les nerfs 7 et 8 sont situés près des os basilaires !
328
Quelle anomalie biochimique peut être associée à un problème intestinal chez le cheval et entrainer des signes similaires à l'encéphalopathie (head pressing, ataxie, léthargie) ?
Hyperammoniémie ## Footnote Diarrhea is a common concurrent problem suggesting a possibility that overgrowth of ammonia producing bacteria causes an elevated blood ammonia.
329
L'hyponatrémie peut causer des déficits neurologiques à partir de quelle valeur ?
À partir de 100-105 mEq (N : 137-145)
330
Quelles sont les 3 causes possibles pouvant entrainer de l'hypothyroidisme chez le cheval/poulain ?
* Manque d'iode * Excès d'iode (Alimentation mère ou poulain) ## Footnote Hypothyroidism in foals can be life-threatening and can cause abnormalities including **physeal dysgenesis, incoordination, limb deformities, tendon ruptures, stillbirths, weakness, and death**.
331
Qu'est-ce qu'une sésamoïdite ?
Durant un exercice intense, les ligaments sésamoidiens peuvent se déchirer, entrainant la sésamoidite. *Signes cliniques sont techniquements moins sévères qu'une fx des sésamoidiens, mais rx importante pour différencier.* Traitement : AINS et repos long terme Pronostic : Réservé à sombre ## Footnote ***Trouvaille à la RX lors de sésamoidite*** : Formation de « nouvel os », lésions ostéolytiques, lignes radiotransparentes (canaux vasculaires proéminents)
332
La rhinopneumovie virale équine (herpèsvirus type 1) chez le poulain a un signe clinique important, appelé « Snot ». C'est quoi ?
Écoulement nasal abondant séreux ou purulent si infect. secondaire bactérienne
333
Pouliche de 8 mois, présentée pour incontinence urinaire et dermatite des postérieurs (voir photo). Quelle anomalie congénitale la plus commune du tractus urinaire est probablement en cause ?
Uretère ectopique ## Footnote Points-clés : * Pouliche * Incontinence urinaire * Dermatite (chronicité)
334
Quel pourcentage environ de l'apport en matière sèche d'un cheval devrait être constitué de protéines pour un cheval adulte ayant des besoins d'entretien ?
12%