FÉLIN Flashcards

(234 cards)

1
Q

Qu’est-ce que la règle du 1-2-3 pour biopsier les masses chez le chat ?

A
  1. Biopsie toute masse qui continue de grossir aprèes 1 mois
  2. Biopsie toute masse plus que 2 cm
  3. Bopsie toute masse présente 3 mois post-vaccination
How well did you know this?
1
Not at all
2
3
4
5
Perfectly
2
Q

Qu’est-ce que la triadite féline ?

A

80 % des chats atteints d’une cholangite ont une IBD concomitante (ou lymphome à petites cellules),
50 % ont une pancréatite et 38% ont une inflammation/infection présente dans les trois organes.

Cela peut résulter en un reflux du contenu dudoénal dans le canal cholédoque.
Puisque le canal pancréatique rejoint le canal cholédoque chez les chats, cela peut entrainer une inflammation et une infection a/n de la vessie et du pancréas = triadite

How well did you know this?
1
Not at all
2
3
4
5
Perfectly
3
Q

Qu’est-ce qui est important de ne PAS faire avec un chat en pancréatite (vs le chien) ?

A

NE PAS le mettre au jeune ! Les chats peuvent développer une lipidose hépatique ou peuvent l’aggraver sidéjèa présente.

How well did you know this?
1
Not at all
2
3
4
5
Perfectly
4
Q

Quel type d’ulcère cornéen est pathognomonique chez une chat atteint d’herpèsvirus félin type 1 ?

A

Ulcère dendritique

How well did you know this?
1
Not at all
2
3
4
5
Perfectly
5
Q

Quel anti-viral oral ne faut-il pas utiliser chez un chat atteint d’herpèsvirus ?

A

Valacyclovir (toxique = fatal)

How well did you know this?
1
Not at all
2
3
4
5
Perfectly
6
Q

L’asthme félin est un diagnostic d’exclusion, quelles sont les maladies à exclure ?

A
  • Maladies cardiaques
  • Pneumonie
  • Pneumothorax ou effusion pleurale
  • Néoplasme pulmonaire
  • CÉ inhalé
  • Parasites respiratoires
How well did you know this?
1
Not at all
2
3
4
5
Perfectly
7
Q

Quel patron pulmonaire est associé à l’asthme félin ?

A

Patron bronchique (beigne, chemin de fer)

How well did you know this?
1
Not at all
2
3
4
5
Perfectly
8
Q

Quel est le traitement de l’asthme félin (intermittent vs consistent vs urgence) ?

A

Intermittent : Albuterol (bronchodilatateur) au besoin
Consistent : Fluticasone Propionate (stéroide inhalé) sans effets secondaires systémiques
Urgence : Oxygène, bronchodilatateur et sédation

Exemple de bronchodilatateur : Terbutaline (bêta-2 agoniste)

How well did you know this?
1
Not at all
2
3
4
5
Perfectly
9
Q

Quels signes cliniques ou résultats de tests nous font pencher vers l’asthme félin ?

A

Patron bronchique à RX
Dyspnée expiratoire (poussée à l’expiration)
ÉOSINOPHILIE au LBA ou lavage endotrachéal !
Éternuement et toux (moins spécifique)

How well did you know this?
1
Not at all
2
3
4
5
Perfectly
10
Q

Obstruction urétrale

Quels sont les principaux problèmes cliniques biochimiques à résoudre lors d’une obstruction urétrale chez un chat mâle ?

A

Hyperkaliémie (diminution excrétion K + acidose)
Acidose métabolique (diminuion excrétion H+)
Azotémie/Hyperphosphatémie (diminution excrétion urée et autres déchets)
Hypocalcémie (secondaire à hyperphosphatémie)

How well did you know this?
1
Not at all
2
3
4
5
Perfectly
11
Q

Le gluconate de calcium IV peut être utilisé pour traiter l’hyperkaliémie. De quelle façon agit-il ?

A

NE DIMINUE PAS LA KALIÉMIE
Le calcium va simplement restorer le potentiel membranaire et donc revenir à une dépolarisation normale

Il est le seul des traitements à ne pas agir sur la translocation cellulaire du potassium

How well did you know this?
1
Not at all
2
3
4
5
Perfectly
12
Q

Si je souhaite diminuer la kaliémie chez mon patient hyperkaliémique, que devrais-je lui donner ?

A
  • Fluide IV (NaCl 0.9%) pour diluer le potassium
  • Dextrose IV + Insuline pour faire entre K+ dans les cellules
  • Régler l’acidose métabolique si présente (shift K+) avec bicarbonate de sodium
  • Autre option : Gluconate de calcium

NE JAMAIS DONNER INSULINE TOUT SEUL = HYPOGLYCÉMIE = CONVULSIONS !

How well did you know this?
1
Not at all
2
3
4
5
Perfectly
13
Q

Quelles sont les 8 grandes étapes du traitement de l’obstruction uréthrale ?

A
  1. Réhydrater avec des fluides sans K+ (NaCl 0,9%)
  2. Corriger les anomalies électrolytiques importantes (donner du Ca, insuline + dextrose, bicarbonate)
  3. Corriger l’obstruction (rétropulsion + mise en place d’un KT urinaire pour monitoring)
  4. S’attendre à une diuèse profonde post-obstructive (monitoring + fluide IV)
  5. Une fois le patient stabilisé, corriger la cause sous-jacente de l’obstruction (RX, écho, urologie, culture)
  6. Continuer sédation et analgésie
  7. Retirer KT une fois toutes les anomalies résolues (azotémie, électrolytes, diurèse post-obstructive)
  8. Observer 12-24h pour s’assure que le patient urine spontanément
How well did you know this?
1
Not at all
2
3
4
5
Perfectly
14
Q

Le test des anticorps pour FIV est difficilement interprétable pour quels sujets ?

A

Jeunes chats et chats vaccinés

How well did you know this?
1
Not at all
2
3
4
5
Perfectly
15
Q

Quel est le truc pour différencier le mode de transmission du FeLV vs FIV ?

A

FeLV : Chats qui s’aiment
FIV : Chats qui se détestent

FeLV : Grooming mutuel, contact intime
FIV : Morsure

LES DEUX SE TRANSMETTENT PAR LA SALIVE !!!

How well did you know this?
1
Not at all
2
3
4
5
Perfectly
16
Q

Décrire le test pour détecter FeLV

A

ELISA
Détection de l’antigène p27 dans le sérum
Non affecté par vaccin ou anticorps maternels

Si ELISA est +, il faut différencier si c’est transitoire ou une réelle infection : IFA immédiat
**Si IFA est - **: ELISA dans 1-3 mois pour savoir si virus a été neutralisé
Ne veut pas toujours dire que le chat s’est débarassé du virus, car il peut s’être séquestré dans la MO, juste le IFA sera + dans ce cas

**98% des chats infectés vont avoir une infection transitoire, auto-limitante, développer des Ac et devenir antigène négatif **

IFA (Immunofluorescence Ac) test opur p27 dans les leucocytes et plaquettes

How well did you know this?
1
Not at all
2
3
4
5
Perfectly
17
Q

Décrire le(s) test(s) pour FIV

A

ELISA et Western blot
Tests pour Anticorps
Pas pour chaton de moins de 6 mois

Toujours confirmer ELISA avec un Western Blot

How well did you know this?
1
Not at all
2
3
4
5
Perfectly
18
Q

Un chat atteint de FeLV devrait-il être vacciné contre le FeLV ?

A

Non

Malgré vx…
Chat reste FeLV +
Chat reste infectieux
Chat a le même risque de développer des signes cliniques

How well did you know this?
1
Not at all
2
3
4
5
Perfectly
19
Q

Le vaccin contre le FIV ou le FeLV qui résulte en un test positif ?

A

FIV

How well did you know this?
1
Not at all
2
3
4
5
Perfectly
20
Q

Décrire les points-clés de l’hyperthyroidisme
1. Raison de présentation
2. Éléments-clés de l’examen physique
3. Diagnostic
4. Traitement

A
  1. Perte de poids et polyphagie, hyperactivité, vomissement
  2. “Slip” (nodules thyroidiens), tachycardie et souffle cardiaque - Cardiomyopathie thyrotoxique
  3. Niveau de T4 total sérique (+/- T4 libre si zone grise)
  4. Méthimazole oral, thyroidectomie ou I-131

Autres anomalies fréquentes : Hypertension, érythrocytose, enzymes hépatiques augmentées

How well did you know this?
1
Not at all
2
3
4
5
Perfectly
21
Q

Quels paramètres faut-il surveiller lorsqu’on commence un traitement pour l’hyperT4, car l’hyperT4 peut l’avoir cacher ?

A

Paramètres rénaux

How well did you know this?
1
Not at all
2
3
4
5
Perfectly
22
Q

Quelles sont les effets secondaires importants du méthimazole ?

A

Excoriations faciales
Thrombocytopénie, anémie, agranulocytose
Hépathopathie

Peut être arrêté si les valeurs rénales augmentent

How well did you know this?
1
Not at all
2
3
4
5
Perfectly
23
Q

Quelles sont les effets secondaires associés à la thyroidectomie ?

chirurgie habituellement bilatérale

A

HypoPTH iatrogénique (HypoCa)
HypoT4
Syndrome de Horner
Paralysie laryngée (changement de voix)

How well did you know this?
1
Not at all
2
3
4
5
Perfectly
24
Q

Quels sont les effets secondaires associés à I-131 ?

A

HypoT4 iatrogénique (supplémentation)
Sous-traité = retraitement nécessaire

How well did you know this?
1
Not at all
2
3
4
5
Perfectly
25
Quelles sont les 8 anomalies cliniques qui peuvent être observées chez un animal avec une insuffisance rénale chronique ?
* Déshydratation * Acidose métabolique * Hypokaliémie * Urémie * Anorexie * Ca/P non balancé * Anémie * Hypertension
26
Quels sont les 5 éléments-clés d'une bonne diète chez un animal en insuffisance rénale chronique ?
1) Basses protéines 2) Nourriture humide 3) Palatable 4) Bonne densité calorique 5) Teneur diminuée en phosphore ## Footnote Une bonne diète peut prolonger la vie de l'animal de 2-3 ans!
27
Un chat en IRC a un phosphore très élevé. Quel traitement pourrais-je mettre en place pour m'assurer de diminuer ce niveau de phosphore ?
Limiter la teneur en phosphore dans la diète Agent qui lie le phosphate (Aluminium hydroxide ou aluminium carbonate) Thérapie au calcitriol (diminuer niveau de PTH)
28
Quels sont les signes cliniques de la forme effusive vs sèche de la PIF ?
**Effusive** : Perte de liquide riche en protéines et fibrine dans la cavité pleurale et péritonéale (vasculites) **Sèche** : Réaction granulomateuse SNC, yeux, NL, et ailleurs
29
Quelle est la meilleure façon de diagnostiquer la PIF effusive vs sèche ?
**Effusive** : Analyse du fluide (jaune foncé, collant et visqueux) - Protéines élevées (A:G ration inférieur à 0,4) **Sèche** : Histopathologie de tissus biopsiés (inflammation pyogranulomateuse périvasculaire)
30
Qu'entraine le Cisplatin chez le chat ?
Oedème pulmonaire fatal ## Footnote CONTRE-INDIQUÉ
31
Qu'entraine le 5-Fluorouracil chez le chat ?
Neurotoxicité ## Footnote CONTRE-INDIQUÉ
32
Quel est le seul cas ou le liquide ne devrait pas être prélevé lors d'effusion/épanchement pleurale ?
Hémothorax
33
Si je suspecte une effusion pleurale chez mon patient, quelle vue radiographie dois-je effectuer et pourquoi ?
**Dorso-ventrale**, pour ne pas nuire encodre plus à sa respiration ## Footnote Si VD, risque d'arrêt respiratoire !
34
Une hernie diaphragmatique démontre les mêmes signes cliniques qu'une effusion pleurale sauf un, lequel ?
Les bruits pulmonaires ne sont pas assourdis lors d'hernie diaphragmatique ## Footnote Signes communs : Respiration rapide et superficielle
35
Un patient pour lequel on suspecte une hernie diaphragmatique doit être maintenu...
En position verticale, pour éviter que les organes abominaux envahissent la cage thoracique
36
Voici la cytologie de l’exsudat d’un pyothorax qui démontre des Gram + filamenteux (Actinomyces ou Nocardia) Comment les différencier ?
**Coloration acido-résistante** Nocardia est résistante *Actinomyces ne l'est pas*
37
Quelle drogue est utilisée comme prémédication avant l’anesthésie pour diminuer les sécrétions salivaires, facilitant ainsi l’intubation chez les chats ?
Atropine ## Footnote Médicament anti-cholinergique parfois utilisé en prémed pour diminuer la salivation. Fréquemment utiliser pour traiter les effets d"autres médicaments sur le coeur (traitement de la bradycardie)
38
Quelle est la complication fréquente associée à la morsure d'un cordon électrique ?
Oedème pulmonaire non cardiogénique
39
L'utilisation du diazépam chez un chat en IRC peut entrainer quelle conséquence avec une administration répétée et orale ? ## Footnote Le diazépam est un benzodiazépine sédatif utilisé comme stimulant d'appétit chez le chat
Nécrose hépatique aigue (fulgurante) ## Footnote Il est plus grave en cas d'administration orale en raison du métabolisme de premier passage. Les chats présentant un déficit en glutathion pourraient présenter un risque accru.
40
Chat avec une **toux chronique**. **Éosinophilie** à la prise de sang, reste RAS. À la flottaison fécale, on retrouve ceci. Quel est ce parasite ?
Capillaria aerophilus *(aussi appelé Eucoleus aerophilus)* ## Footnote Les œufs de Capillaria, comme on peut le voir sur l'image, ressemblent aux œufs de Trichuris, mais sont plus petits et présentent des **bouchons terminaux asymétriques.** La plupart des cas de Capillaria sont asymptomatiques, mais une toux chronique peut être observée.
41
Quelle maladie est souvent associée au thromboembolisme en selle chez le chat et pourquoi ?
**Cardiomyopathie hyperthrophique**, car elle entraine une dilatation de l'OG = stase sanguine = prédispose à la formation de thrombus
42
Quelles sont les trois grandes séquelles associées au CMH ?
TE IC gauche SAM ## Footnote **TE** : Stase sanguine a/n OG dilatée **IC gauche** : VG hypertrophié = sang reflux dans les veines pulmonaires **SAM** : Épaississement du VG + malposition du feuillet valvulaire = bloque voie d'éjection du VG pendant la systole
43
Quels signes cliniques nous permettent de différencier une maladie des voies urinaires inférieures (vessie, urètre, prostate) vs supérieures (rein, uretère)
**Inférieure** : Pollakiurie, dysurie, hématurie **Supérieure** : Systémique (fièvre, dépression) et PU/PD
44
Laquelle de ces maladies pouvant entrainer de la toux et de la dyspnée chez le chat peut aussi causer une mort subite ? Dirofilaria immitis Paragonimus kellicotti Capillarai aerophila Aelurostrongylus abstrusus
Dirofilaria immitis
45
Quelles drogues sont contre-indiquées chez un chat asthmatique ?
**Atropine** : Épassie les sécrétions bronchiques (bouchon muqueux) **Bêta-bloqueur** : Bêta-2 responsable de la bronchodilatation (muscles lisses bronchioles), si on le bloque = bronchoconstriction
46
*Chez le chat...* * Durée de la gestation : * Écho pour confirmier gestation : * Palpation des foetus : * Utérus élargit à la radiographie : * Squelettes foetus à la radio détectable :
* Gestation de 63 jours * Écho de confirmation à 13 jours * Palpation entre 21-28 jours * Utérus élarigt à la radio entre 25-35 jours * Squelettes foetaux à la radiographie à 36-45 jours
47
Traitement d'un lymphome GI bas grade vs Lymphome GI haut grade
Bas : Chlorambucil + pred Haut : CHOP
48
Différence à l'examen clinique d'un lymphome GI haut vs bas grade
Bas : Épaississement diffus GI Haut : Grosse masse focale
49
Vrai ou faux. La cardiomyopathie hypertrophique est une cardiomyopathie primaire.
Vrai Chats souffrant de CMH sont souvent diagnostiqués à une jeune âge ou âge moyen. Le CMH n'est pas causé par d'autres conditions.
50
Quelles sont les trois cardiomyopathies primaires du chat ?
CMH, CMD, CMR
51
Quelles sont les quatres catégories de cardiomyopathie secondaire chez le chat ?
1. Cardiomyopathies métaboliques (hyperthyroïdie, acromégalie, hypertension, anémie chronique, etc.) 2. Nutritionnelles (déficience en taurine) 3. Infiltratives (néoplasie, fibrose, etc.) 4. Inflammatoires (myocardites)
52
Quelle race est prédisposée à AMYLOIDOSE RÉACTIVE SECONDAIRE SYSTÉMIQUE a/n rénal ?
Abyssin ## Footnote Jeune chat (2 ans) qui démontre des signes d’IRC
53
Il existe une forme rare d'hyperT4 appelée "Hyperthyroidisme apathique", quels sont les signes cliniques qui la caractérise ?
Léthargie Anorexie Faiblesse
54
Les chats blancs avec les yeux bleus naissent souvent avec quel problème ?
Surdité ## Footnote Elle est également souvent associée aux Dalmatiens, aux Bergers Australiens, aux Boston Terriers, aux Setters Anglais et aux Bergers Anglais
55
Le syndrome de la cauda équina est souvent associée à quelle race de chat ?
Manx
56
Lorsqu'un chat adulte a un souffle cardiaque parasternal associé à une hypertrophie du VG + SAM, quelles sont les trois conditions pouvant en être responsables ?
CMH (héréditaire) Hypertension systémique (ex : maladie rénale) Hyperthyroidisme ## Footnote Voici certains tests qui peuvent être effectués pour trouver la cause : * Doppler blood pressure * A urinalysis (= détection maladie rénale) * Examen du fond d'oeil (hypertension = détachement rétine) * Sérum T4
57
Quelles races félines font généralement parties du groupe sanguin A ?
**Races du groupe sanguin A **: Tonkinois, Oriental poils courts et Siamois
58
Quelles races font généralement partie du Groupe sanguin B ?
**Races du groupe sanguin B **: British shorthair, Devon et Cornish Rex, Ragdolls, Scottish Fold, Persan et Himalayens
59
Quelles sont les causes principales d'oedème cardiogénique chez le chat ?
* **ÉLECTROCUTION** * Vasculite * Maladie du foie * Convulsion/épilepsie * Toxines * CIVD * Trauma direct * Septicémie
60
Quelle insuline est recommandée chez le chat ?
GLARGINE Prozinc
61
Comment savoir si mon patient diabétique est bien contrôlé avec ma prescription d'insuline ?
1) Cliniquement sain 2) Majorité des valeurs sur la courbe de glycémie en bas de 250 3) Nadir se situe dans les valeurs normales (60-125)
62
Nom de la maladie
Ehlers-Danlos (Défaut de production de collagène)
63
Chat présenté pour inappétence et vomissement. On voit des nématomes de 3 cm de long avec tête épineuse. C'est quoi ?
Gnathostoma
64
Quelles sont les trois principales raisons qu'une chat hyperthyroidien puisse avoir des valeurs de T4 dans la normale ?
1) Maladie concomitante (syndrome euthyroidien) 2) Fluctuation de T4 car en début de maladie 3) Maladie occulte caractérisée par des signes cliniques légers et une T4 dans les valeurs normales supérieures (= faire un T4 par dialyse à l'équilibre)
65
Contrairement au chien, l'AHMI chez le chat n'est pas causée majoritairement de manière primaire idiopathique (bien que possible), mais ...
Secondairement à cause d'une maladie inflammatoire ou infectieuse sous-jacente
66
À quels signes cliniques peut-on s'attendre chez une chat atteint d'AHMI ?
* Fièvre * Muqueuse pâle et ictérique (hémolyse) * Lymphadénopathie légère * Hépatosplénomégalie * FC élevée * Anémie regénérative * +/- diminution plaquettaire
67
Quels sont les signes cliniques associés à la persistance du 4e arche aortique chez le chat et comme le traite-t-on ?
Jeune chat qui régurgite plusieurs minutes après un repas. Traitement chirurgical : Résection Pronostic bon
68
Quelles sont les trois formes de présentation de l'hernie diaphragmatique congénitale ?
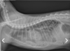
1) Légère difficulté respiratoire qui s'aggrave lors de stress (souvent diagnostic accidentel) 2) Léger trouble GI 3) Cas sévère : Détresse respi, rythme anormal, coeur assourdi, bruits pulmonaires assourdis et choc systémique L'abdomen palpé peut sembler vide ! ## Footnote Radiographie d'un chat avec une hernie diaphragmatique avec symptômes gastro-intestinaux et respiratoires
69
Qu'entraine la mucopolysaccharidose chez le Siamois ?
Déficience enzymatique qui résulte en problème articulaire et osseux
70
(très rare) Que cause la myotonie congénitale ?
Rigidité musculaire Chat très musclé Peu de gras corporel ## Footnote Maladie héréditaire neuromusculaire qui fait en sorte que les muscles ont de la difficulté à relaxer après une contraction
71
Test pour pancréatite féline vs Test pour Insuffisance pancréatique exogène
**Pancréatite** : fPLI **Insuffisance du pancréas exogène** : fTLI
72
Quelle est la tumeur orale la plus commune chez le chat ?
Carcinome des cellules squameuses
73
Quels sont les deux vers plats (cestodes) les plus communs chez le chat ? (grains de riz qui bougent près de l'anus) Quel est le traitement ?
Taenia taeniaeformis (mange rongeurs) Dipylidium caninum (mange puces/poux) Praziquantel (Droncit) - tx de Dipylidium, Taenia et Echinococcus Epsiprantel (Cestex) - tx de Dipylidium et Taenia ## Footnote Donner un traitement anti-puces/poux est donc important avec Dipylidium !
74
Comment traite-t-on une sarcome vaccinal (ex : situé interscapulaire) ?
Excision chirurgical radicale avec marge large (3-5 cm) ## Footnote Très agressif localement, mais métastases lentement. Donc un excision radicale a des chances de guérir !
75
Virus probablement responsable de ces ulcères ?
Calicivirus
76
Chat avec une masse intestinale. Quelle est la prochaine étape ?
Aspiration à l'aiguille fine ## Footnote Top différentiel : Lymphome de haut grade ! Tx : Chimiothérapie (CHOP) On n'enlève pas la tumeur à moins qu'elle cause une obstruction.
77
Quand on fait une uréthrostomie périnéale, à quel nerf faut-il faire attention ?
Nerf pudendal ## Footnote Si ce nerf est sectionné par accident = incontinence urinaire par perte d'innervation somatique du sphincter urétral
78
Quelle est la principale cause d'un prolapse rectal chez un chaton ?
Parasites gastro-intestinaux (diarrhée sévère)
79
Chat qui s'est rentré une écharde dans la patte, puis la lésion cutanée s'est étendue (nodules drainants et plaque érythémateuses) qui ressemblent à ceci : À la cytologie, on trouve des organismes en forme de cigare. Qui est responsable ? Quel est le traitement ?
Sporothrix schenckii (fongi) Itraconazole ou autre - azole ## Footnote « Rose grower's disease » Sporothrix est un champignon présent dans le sol qui s'introduit dans l'organisme par une pigûre d'épine, une plaie ouverte ou une coupure lors d'une exposition à un sol contaminé
80
Quel est le traitement d'une conjonctivite à Chlamydophila felis ?
Tétracycline topique QID pour 1 semaine
81
Vrai ou faux. Il est impossible qu'un chat soit infecté par Chlamydophila felis et l'heprèsvirus en même temps.
Faux C'est d'ailleurs très fréquent
82
Chat aux poils longs avec des boules de poils. Quel traitement ?
* Brossage fréquent * Diète de meilleure qualité * Laxatone (pétroleum/huile minéral en gel)
83
Nommer deux conséquences de la déficience en taurine chez le chat
Cardiomyopathie dilatée Dégénérescence rétinienne centrale féline
84
Pourquoi une déficience en taurine peut-elle causer une dégénérescence rétinienne centrale chez le chat ?
Parce que les photorécepteurs contiennent des grandes quantités de taurine que les chats sont incapables de synthétiser.
85
Quelles anomalies peut-on retrouver à la prise de sang d'un chat atteint d'hyperT4 ?
* Augmentation ALT, ALP, AST (hypermétabolisme hépatique) * Érythrocytose * Augmentation BUN (catabolisme musculaire)
86
Quels sont les traitements supplémentaires (autre que méthimazole, I-131 et chirurgie) qu'un chat en IRC pourrait avoir besoin ?
* Agents qui lient le phosphate (aluminium hydroxide, aluminium carbonate) * Supplémentation orale de K * IECA ou Amlodipine (anti-hypertensif) * Famotidine * Thérapie au calcitriol (diminuer PTH) * Érythropoiétine recombinée humaine (si anémie importante)
87
# Cytauxzoon felis Vecteur : Signes cliniques importants : Diagnostic : Traitement : Pronostic :
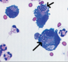
**Vecteur** : Tique **Signes cliniques importants** : Organomégalie crâniale (foie, NL, poumon, rate), CIVD (hémorragie spontanée, thrombocytopénie), fièvre **Diagnostic** : Protozoaire en forme de bague ou de signet dans les globules rouges au frottis sanguin **Traitement** : Aucun tx spécifique, soins de support (fluide IV, héparine si CIVD associé à hémorragies spontanées, transfusion sanguine, Atovaquone + azythromycine (recommandée), imidocarb (anti-protozoaire))
88
Frottis sanguin montre des corps de Heinz dans les GR et le sang est de couleur brun (méthémoglobinémie). Quelle est la cause la plus probable de ces changements ?
Acétaminophène
89
Quels sont les 5 principaux objectifs du traitement du mégacôlon chez le chat ?
1) Bonne hydratation 2) Retirer les fèces impactés (énéma) 3) Laxatif (lactulose) 4) Agents prokinétiques (ex : cisapride) 5) Diète riche en fibres (psyllium, citrouille)
90
Si après avoir effectué les 5 objectifs principaux du traitement du mégacolon, le chat est toujours constipé, que faire ?
Colectomie
91
Chat mâle récemment débloqué. Il est capable d'uriner, mais semble encore avoir de la difficulté. Après examen, il n'est pas bloqué. Quelle serait la cause de sa difficulté et comment la traiter ?
Hypertonicité muscle uréthral Phénoxybenzamine (diminue tonus sphincter interne)
92
Chat errant qui montre les signes suivants : Léthargie, fièvre, lymphadénopathie sous-mandibulaire, couvert de puces, plaie suintante et tachypnéiques. Que voulez-vous faire ?
Mettre le chat en quarantaine, mettre un équipement de protection et contacter le vétérinaire de l'État, car je suspecte que ce chat a Yersinia pestis. ## Footnote Le diagnostic se fait habituellement pas cytologie (plaie suintante ou NL) Coccobacilles gram- en forme d'épingle à nourrice
93
Quels sont les 4 signes cliniques importants associés à l'acromégalie chez le chat ?
Prise de poids Prognathisme (grosse tête), grosses pattes Organomégalie Diabète mellitus difficile à contrôler ## Footnote L'organomégalie et la grosse tête/pattes est causée par l'effet anabolique de l'hormone de croissance.
94
Quel test est le plus couramment utilisé pour diagnostiquer l'acromégalie chez un chat ?
IRM cérébral (masse pituitaire qui sécrète la "Growth Hormone" / GH)
95
La déficience en thiamine chez le chat est souvent associé à quel régime ?
Chat nourri avec une diète de poisson cru, cela entraine des signes neurologiques
96
À quoi sert l'Arginine chez le chat et quelle est la conséquence d'une déficience en Arginine ?
Acide aminé essentiel chez le chat pour produire l'ornithine qui se lie à l'ammoniac formé par le catabolisme protéique. Une déficience en arginine résulte en une accumulation d'ammoniac. Cela entraine des signes cliniques similaires à **l'encéphalopathie hépatique**
97
Quels sont les signes cliniques associés à une déficience en niacine ?
Perte de poids Anorexie Mauvais pelage Ulcération et érythème de la langue et du palais Diarrhée
98
Une déficience en cobalamine entraine quels signes cliniques ?
Inappétence Léthargie Défaut de croissance
99
Une déficience en quoi peut causer ce type de lésion (hyperréflectivité tapétale dorsolatérale au disque optique) ?
Déficience en taurine (dégénérescence rétinienne centrale féline)
100
Une intoxication à la fleur de Lys touche quel organe ?
Les reins ! (Insuffisance rénale aiguë)
101
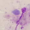
Le fenbendazole (Panacur) et le métronidazole sont deux traitements utilisés pour traiter la giardiose. Cependant, un seul des deux est utilisé chez le chat. Lequel et pourquoi ? ## Footnote Exemple de cas clinique : Chaton de 5 mois avec perte de poids, diarrhée et stéatorrhée. On voit le frottis fécal sur la photo : trophozoite à deux noyaux.
Métronidazole (attention tout de même aux effets secondaires, surtout chez le chaton) Parce que l'efficacité du fenbendazole n'a pas été prouvé chez le chat, juste chez le chien. ## Footnote ATTENTION, FENBENDAZOLE PEUT QUAND MÊME ÊTRE UTILISÉ ÇA L'AIR SELON UNE AUTRE QUESTION DE VETPREP CALISS
102
Chat allant dehors présenté pour un **abcès** au cou. Quel est le traitement ?
Drainage + flush + antibiotiques (pour anaérobes - clindamycine ou amoxi-clav ++)
103
Nommer des bactéries anaérobes fréquemment recontrées dans les morsures de chat causant des abcès
**Anaérobes obligatoires** : Fusobacterium spp., Bacteroides spp. et Clostridium spp. **Anaérobes facultatifs**: Pasteurella spp. et Actinomyces spp.
104
Chat présenté car il « échappe sa nourriture et bave du côté gauche ». Pas d'histoire de trauma, mais le propriétaire dit qu'il avait récement un écoulement oculaire épais à l'oeil gauche. L'examen neurologique démontre ceci : De quoi est atteint le patient et comment le traite-t-on ?
Parésie facial idiopathique unilatérale Traitement de support (lubrification oculaire et traitement de l'ulcère cornéen au besoin)
105
Vrai ou faux. La parésie faciale idiopathique unilatérale peut devenir bilatérale.
Vrai
106
Quelle est la cause la plus fréquente de la parésie faciale idiopathique ?
Idiopathique ## Footnote chez le chat, on doit aussi penser au trauma, polypes nasopharyngés et au cancer Aussi -> Otitis media-interna and chronic ear disease can make animals at higher risk for nerve paralysis and a CT of the bulla is recommended rather than radiographs
107
Les lésions nerveuses associées à la parésie faciale idiopathique sont-elles permanentes ?
Oui
108
Qu'est-ce qu'il ne faut PAS faire à cause du risque de sarcome vaccinal chez le chat ? Vacciner au membre distal Vacciner IM Diminuer fréquence vaccination Utiliser des vaccins sans adjuvant (aluminium!) si possible
Vacciner IM
109
Chez un chat en IRC, quand faut-il recommander la thérapie au calcitriol.
Parfois recommandé à cause de l'incapacité des chats en IRC d'activer la vitamine D Seulement si le P < 6 mg/dL PTH élevé (hyperPTH secondaire) Attention si le Ca est déjà élevé ## Footnote TRÈS PEU UTILISÉ !!!
110
Hydroxide d'aluminum (phosphore binder) Calcitriol (vitamine D) Epakitin (phosphore binder à base de Calcium) RenKare (supplément de potassium) Amlodipine
Hydroxide d'aluminium ## Footnote Phosphorus is absorbed in the intestine and stored in bone. Kidneys excrete the excess phosphorus not needed. When renal function is compromised, the kidneys can no longer perform this function, thus leading to hyperphosphatemia. Cats with increasing phosphorus levels should be placed on a phosphorus binder. If the calcium is also elevated, as is the case with this cat, a non-calcium based binder should be chosen to prevent exacerbation of the hypercalcemia. The most commonly used non-calcium-based binder is aluminum hydroxide. If this cat had normal calcium, Epakitin would also be an acceptable choice. Many times in CRF, the potassium also starts to decrease and this should be supplemented in those cases. This cat has a normal potassium level. Amlodipine is indicated in cats with systemic hypertension; this cat has a normal blood pressure
111
On dit qu'un chat fait de l'hypertension artérielle à partir de quelle valeur ?
Plus que 160 mm Hg ## Footnote *Le stress peut faire augmenter légèrement cette valeur* Valeur normale est de 160 ou moins
112
# **IMPORTANT** - Présentation CLASSIQUE Chat avec histoire récente de **trauma pénétrant à l'oeil** devenu maintenant **aveugle**. Le chat est présenté en **phtisis bulbi** et a de l'oedème cornéen. À quelle maladie doit-on penser ? Que devrais-je faire avec le patient ?
Sarcome traumatique félin Énucléation ## Footnote Cette tumeur est unique au chat et très agressive. Le PHTISIS BULBI apparait toujours (ou presque) avant le néoplasme (la tumeur peut se développer plusieurs années après le trauma initial). L'énucléation PRÉCOCE est importante, car, si on attend, la tumeur va déjà avoir métastasiée.
113
Quelle est la complication fréquente associée à l'adénocarcinome thyroïdien ? ## Footnote ATTENTION Chat pas hyperT4 (adénome thyroidien). Le patient avec ce cancer aura une masse dans le cou qui peut ou non abcéder.
Syndrome de Horner ## Footnote Une paralysie laryngée pourrait aussi surveni. *Tronc sympathique a/n du cou*
114
Quelle artère limite la quantité de colon qu'on peut retirer lors du colectomie sous-totale (traitement du mégacolon) ?
Arère iléocolique (colon transverse et ascendant) ## Footnote Le site de résection colique est limité par la tension exercée sur l'artère iléo-colique lors de la suture de la nouvelle extrémité du côlon au rectum. Parfois, la tension est trop importante et il faut alors réaliser une anastomose iléo-colique au lieu d'une anastomose colo-colique. Il s'agit essentiellement de relier une section du côlon ascendant au rectum. Ça peut être assez long ! Une anastomose iléo-colique n'est pas idéale, car elle élimine la valvule iléo-cæcale, ce qui peut prédisposer l'animal à une prolifération bactérienne. L'artère mésentérique caudale donne des branches au rectum et au côlon descendant. L'artère colique gauche alimente également le côlon descendant. L'artère pudendale innerve les organes génitaux externes.
115
**Siamois de < 4 ans** avec mastocytome cutané sous-type histiocytaire. Quoi faire ? ## Footnote PRÉDISPOSITION DE RACE !
Rien, monitorer, ça devrait régresser spontanément ! ## Footnote Les mastocytomes félins sont beaucoup moins agressifs que chez le chien
116
*Chat avec* : * PU/PD * Léthargie * Nodule dans la région de la glande thyroide * Condition corporelle diminuée **Prise de sang** = T4 normale, BUN un peu augmenté, Hypercalcémie, hypophosphatémie. **Urologie** : DU diminué et cristaux d'oxalate de calcium Quel est le diagnostic ?
Hyperparathyroidisme primaire ## Footnote **Points-clés :** * HYPERCALCÉMIE + HYPOPHOSPHATÉMIE * PU/PD CAUSÉE PAR HYPERCALCÉMIE * NODULE DANS LE COU
117
Quel est le traitement d'un carcinome mammaire chez la chatte ?
La grosse majorité des tumeurs mammaires chez le chat sont malignes (vs chien qui sont 50% malignes 50% bénignes). **Si absence de métastases** -> Mastectomie unilatérale radicale + chimiothérapie Pronostic est sombre, car métastases +++ et surtout si la tumeur est > 2 cm !
118
Lequel de ces Lys est un réel membre de la famille Lilum est est sévèrement néphrotoxique pour le chat ? * Lys « Stargazer » * Lys « de la Paix » * Lys « Calla »
Lys Stargazer
119
Quels sont les deux agents pouvant être responsables de l'anémie infectieuse féline ?
Mycoplasma haemofelis (+++) Mycoplasma haemominutum
120
Quelle est la présentation classique d'un chat atteint de chlamydophila felis (LE signe clinique !) ?
**CHÉMOSE** sévère en l'absence d'autres signes cliniques (vs herpès ou calicivirus) ## Footnote À noter que Mycoplasma n'est pas associé à de la chémose sévère !
121
Chat bloqué. Quel fluide devrais-je lui administrer ?
Saline 0,9% ## Footnote On veut faire attention à l'HYPERKALIÉMIE, qui l'anomalie électrolytique la plus fréquente chez les chats bloqués !
122
L'hyperkaliémie peut entrainer des arrythmies fatales. À partir de quand (en mEq/L) on considère qu'il faut traiter l'hyperkaliémie en urgence (avec dextrose + insuline ou bicarbonate de sodium ou gluconate de calcium) ?
Si > 7 mEq/L
123
Traitement d'une intoxication à l'acétaminophène
Acétylcystéine et S-adénosylméthionine
124
Chat de 3 ans sans historique médical est présenté pour hématurie, strangurie, pollakiurie qui dure depuis 3 jours. Quel est le ddx le plus probable ?
Cystite idiopathique/interstitielle ## Footnote Les cristaux sont aussi probables, mais bcp moins fréquents que la cystite idiopathique !
125
Les chats en insuffisance cardiaque congestive ont un patron pulmonaire à la radiographie différent du chien. De quoi s'agit-il ?
Chez les chiens, on observe habituellement une patron péri-hilaire, alors que, chez le chat, le patron alvéolaire est très diffus ! ## Footnote Rouge : Arères pulmonaires élargies Bleu : Veines pulmonaires élargies Jaune : Patron alvéolaire
126
Quelle est la lésion classique de la PIF?
Vasculite pyogranulomateuse
127
Quel médicament puis-je prescrire à un chat qui souffre d'un problème de comportement relié à l'anxiété (ex : arrivée d'une nouvelle personne dans la maison et le chat s'est mis à faire du pica) ?
Clomipramine (anti-dépresseur tricyclique)
128
À quoi sert le test Rivalta ?
Éliminer la PIF du ddx (VPN élevée, > 90%) ## Footnote Le test de Rivalta consiste à remplir un tube de réactif avec de l'eau distillée et une goutte d'acide acétique (98 %). À la surface de cette solution, on ajoute une goutte du liquide d'épanchement. Si la goutte disparaît et que la solution reste claire, le test de Rivalta est négatif. Si la goutte conserve sa forme, reste attachée à la surface ou flotte lentement au fond du tube sous forme de goutte, le test de Rivalta est considéré comme positif.
129
Quel est le test le plus sûr pour déterminer si le chat est atteint de la teigne (dermatophytose) ?
Culture fongique
130
Quel test nous permet de différencier une hyperglycémie de stress d'un diabète mellitus ?
L'urologie ! Un chat avec une hyperglycémie de stress n'aura pas de glucose dans l'urine.
131
Vrai ou faux. L'anurie indique une IRA plutôt qu'une IRC.
Vrai !
132
Quels sont les deux traitements utilisés pour traiter une mycoplasme chez le chat ?
Enrofloxacin (*dégénérescence rétinienne*) Doxycyline (*stricture oesophagienne*)
133
Qu'est-ce que Mycoplasma haemominutum ?
Mycoplasme hémo-trope (GR) du chat qui entraine une anémie hémolytique Diagnostic par PCR ou frottis sanguin
134
Chat siamois de 8 ans présenté pour une masse cutanée unique de 2 cm sur le dessus de la tête. Bien circonscrite, glabre, en forme de dôme, elle est fixée à la peau sous-jacente, mais se déplace librement depuis le fascia sous-jacent. Cette masse est présente depuis des mois et grossit lentement. Quel est le diagnostic le plus probable ?
Tumeur des cellules basales ## Footnote Zones fréquentes : tête, cou et épaule
135
Quelle est la particularité des tumeurs des cellules basales ?
Presque toujours bénigne, même si elle démontre des critères de malignité à l'histologie (++ mitoses)
136
Les bêta-2 agonistes entraine une bronchodilatation. Quels médicament bêta-2 agonistes sont utilisés dans l'asthme félin ?
Terbutaline et Salbutamol/Albuterol
137
Chat hyperT4 sur méthimazole avec excoriations faciales. Quoi faire ?
Arrêt du méthimazole et penser au I-131ou à la diète Y/D de hills ou à la chirurgie
138
Chatte domestique obèse présentée pour anorexie et léthargie. Elle est ictérique. *Analyses sanguines* ALT : 320 (25-97) ALP : 170 (0-45) **GGT : 3 NORMALE** Quel est le diagnostic ?
Lipidose hépatique (GGT est normale !) ## Footnote Une cholangiohépatite ou une néoplasie entrainerait une élévation de la GGT.
139
Décrire un épanchement pleural qui serait suggestif de la **PIF**. * Couleur : * Cellularité : * Teneur en protéines : * Quelles types de cellules : * Présence de bactéries : * Albumine:Globuline
* **Couleur : doré (jaune foncé), +/- visqueux, +/- fibrine** * Cellularité : Faible à modérée (< de 5000 cellules/ul, parfois un peu plus élevé) * **Protéines : Élevée** (> 35 g/L, souvent entre 5-12 g/dL) * Cellules : Peu cellulaire, mais prédominance de neutrophiles * **Bactéries : NON !** * **Alb : Glob = < 0,4**
140
L'interoestrus (période entre deux oestrus) dure combien de temps chez la chatte ? ## Footnote Interoestrus si absence d'ovulation !
7-21 jours (moy 9 jours)
141
Ovulation non fécondante chez la chatte. Combien de temps dure le dioestrus (pseudogestation) ?
35-45 jours
142
Ovulation fécondante chez la chatte. Combien de temps dure le dioestrus ?
65 jours
143
Chez le chat (et contrairement au chien) le glaucome est souvent d'origine **SECONDAIRE** et présente des signes cliniques de glaucome **CHRONIQUE**. Nommer ces principaux signes :
* Buphtalmie, mydriase * *Changement au fond d'oeil* : hyperréflectivité, atténuation vasculaire, disque optique pâle * Fibrose cornéenne * Luxation du cristallin
144
Image intra-opératoire du jéjunum d'un chat. Qu'est-ce qui serait la cause de cette plication ?
CÉ linéaire ## Footnote Linear foreign bodies are surgical emergencies. The string is often anchored at the base of the tongue. The peristaltic activity of the stomach and intestines around a string causes bunching of the intestines. With peristaltic movement, the string will often saw through the intestines, leading to **perforation and peritonitis**.
145
Quel test pour la PIF a la valeur prédictive posititive (VPP) la plus élevée (test that would be most convincing in confirming PIF diagnosis) ?
**Immunofluorescence** Coloration d’antigènes du coronavirus félin intracellulaires dans les macrophages de l’effusion * 100% VPP (pas de faux positif, donc si + = PIF) ## Footnote Autres tests possibles (moins spécifique) : Ac anti-coronavirus dans le sérum (VPP = 0,44 et VPN = 0,90) Présence de complexes immuns dans le sérum (VPP = 0,67 et VPN = 0,84)
146
Après combien de temps un chat infecté par le FeLV peut-il transmettre le virus par sa salive (ou urine) ?
28-56 jours ## Footnote Une fois exposé, le virus se propage dans les tissus lymphoïdes, entraînant une amplification dans la rate, les ganglions lymphatiques, le GALT, l'épithélium des cryptes intestinales et la moelle osseuse. Une fois la moelle osseuse infectée, une virémie périphérique se produit par libération de neutrophiles et de plaquettes infectés. Enfin, l'excrétion du virus dans la salive et l'urine n'a lieu que 28 à 56 jours après l'infection, une fois l'infection généralisée des tissus épithéliaux et glandulaires
147
Les chats atteints d'hyperthyroidie sont prédisposés à l'hypertension. Quelle lésion oculaire peut être une conséquence de l'hypertension artérielle (> 180-200 mmHg systolique) ?
Décollement de la rétine aiguë ou hémorragie rétinienne = aveugle
148
Chat diabétique extrêmement stressé. Quelle solution alternative à la courbe glycémique (nécessiterait que le chat reste en clinique toute la journée) peut-on proposer ?
Taux de fructosamine sérique unique ## Footnote Reflète la glycémie moyenne des 2-3 dernières semaines
149
Chat de 6 mois avec les **iris de couleur cuivrée** brillante et qui souffre aussi de **ptyalisme**. Cela suggère quelle maladie (PATHOGNOMONIQUE) ?
Shunt porto-systémique
150
Quel est le protozoaire pouvant ressembler à Giardia sur un frottis fécal direct (forme ovale, mobile et allongé), mais qui a un mouvement différent, une membrane ondulée et des flagelles antérieures ? Quel est le traitement ?
Tritrichomonas foetus (ou blagburni) Ronidazole ## Footnote Souvent présenté comme une diarrhée chez un chaton qui ne répond pas au traitement de base (ex : métronidazole) et qui test négatif pour Giardia.
151
Les reins polykystiques est une maladie héréditaire chez quelle race ?
Persan
152
Quel est le meilleur moyen diagnostic pour les reins polykystiques et quel est le traitement ?
* Échographie (rein augmenté de taille, avec des structures remplies de fluide dans le parenchyme rénal) * Soins de support (on traite l'IRC associé -> fluides, stimulant d'appétit, protecteur gastrique, diète réduite en protéines)
153
Quel est le traitement d'une cholangiohépatite suppurative vs non suppurative ?
* *Non suppurative = à médiation immunitaire * Suppurative = infection* Donc **Si non suppurative** : Prednisolone +/- chlorambucil (cas réfractaire) **Si suppurative** : Antibiotique (métronidazole ou clavamox ou ampicilline) pour 2 mois +/- prednisolone ## Footnote On peut ajouter à ces traitements d'autres médicaments pour aider le foie, tel que : SAMe, vit E, vit K (surtout si biopsie et insuffisance hépatique), **Ursodiol** (acide ursodéoxycholique - anti-inflammatoire et anti-fibrotique + améliore fluidité des sécrétions biliaires) Si encéphalopathie : Néomycine et lactulose
154
# ue Quelle est l'étiologie principale de la cataracte chez le chat ?
Uvéite antérieure chronique
155
Qu'est-ce que le « syndrome des gratte-ciels » ou « chute des hauteurs » chez le chat ?
Chat qui saute de très haut et qui, en atterrissant sur ses 4 pattes (capacité de pivoter), atterrisse aussi souvent sur leur mâchoire inférieure = Fracture de la symphyse mandibulaire
156
Quel est le traitement d'une fracture de la symphyse mandibulaire ?
Fil de cerclage circummandibulaire, caudalement aux canines inférieures 6 semaines avant de retirer le fil (sous sédation profonde)
157
Par quoi est causé l'hyperparathyroidisme secondaire d'origine nutritionnelle ?
Diète qui contient trop de phosphore (= hypocalcémie)
158
Vrai ou faux. L'intoxication au cholecalciférol (rodenticide) entraine une hypercalcémie.
Vrai (cholecalciferol est converti en vitamine D = résorption osseuse de calcium et aug absorption a/n intestinal = hypercalcémie fatale)
159
# Vrai ou faux L'éthylène glycol entraine une hypocalcémie.
Vrai ## Footnote Causé par la chélation du calcium avec des métabolites de l'éthylène glycol (oxalate)
160
Pourquoi est-ce dangereux d'utiliser un Fleet enema chez le chat ?
ENEMA CONTENANT DU PHOSPHATE DE SODIUM HYPERTONIQUE Chat développe un débalancement électrolytique important causé par l’absorption de sodium et de phosphate a/n du colon = Hypernatrémie et hyperphosphatémie = hypocalcémie = faiblesse, tremblements musculaires, convulsions
161
Quoi faire avec un chat intoxiqué avec un énéma fleet ?
Fluido IV + Gluconate de calcium +/- binder de phosphore +/- diazépam (si en crise convulsive)
162
Décrire la présentation classique du « Calicivirus félin dit « systémique et virulent »
* Signes cliniques des **VRS sévères** et aiguës * **Oedème** cutané et **lésions ulcératives cutanées** sur la tête et les pattes *Si nécrose hépatique -> Ictère SI CIVD -> TE et coagulopathie (pétéchie, ecchymoses, épistaxis et hématochézie)* ## Footnote Généralement, le calicivirus félin est un agent pathogène des voies respiratoires supérieures pouvant provoquer des ulcérations buccales et/ou un chémosis conjonctival. Cependant, des épidémies d'infections à calicivirus félin hautement virulentes et souvent mortelles ont été observées. On parle alors fréquemment de « calicivirus félin systémique virulent » (VS-FCV). Ces infections se caractérisent par les signes décrits ci-dessus
163
Quelles sont les lésions cornéennes pouvant être causées par l'herpèsvirus félin ?
Kératite éosinophilique Kératite interstitielle Séquestre cornéen Ulcère cornéen (**DENDRITIQUE**) KCS
164
Une chatte stérilisée de 14 ans vous consulte avec une léthargie depuis 24 heures. Aucun vomissement ni diarrhée n'a été observé. À l'examen physique, l'**abdomen est tendu et douloureux** à la palpation. Une masse abdominale est palpable. Une brève échographie abdominale révèle une **ascite** et une abdominocentèse est pratiquée. Une lame est disponible pour examen. Quel est le diagnostic le plus probable ?
Abdomen septique (macrophages et neutrophiles dégénérés ayant phagocyté des bactéries - coques) ## Footnote Masse palpée peut être un abcès ou ça pourrait aussi être une néoplasme qui a entrainé un processus septique (ex -> perforation intestinale)
165
# Ici, juste information trouvée qui pourrait peut-être être utile ! La carcinomatose est associée à quel type cellulaire ?
Cellules mésothéliales pléomorphiques (confirmation via biopsie)
166
Ce chat souffre fort probablement de quelle tumeur ?
Carcinome des cellules squameuses ## Footnote Chat blanc, exposition au UV, lésion ulcérative
167
Quelle est la lésion présentée sur cet examen du fond d'oeil et quelle est probablement la cause si le patient présenté est le suivant : Chat de 14 ans, perte de vision soudaine, hyphème et mydriase (absence de réponse pupillaire) ## Footnote Habituellement non douloureux !
Décollement de la rétine Hypertension artérielle (maladie rénale et hyperT4 possiblement en cause = Investiguer !)
168
Vieux monsieur qui a attrapé la maladie de la griffe du chat de son nouveau chat récemment, mais qu'il souhaite garder quand même. Que doit-on lui proposer ?
Traitement du chat avec doxycycline ou érythromycine + anti-puces + couper griffes du chat ## Footnote Bartonella henselae peut être très grave, voire mortelle, chez les humains immunocompromis !
169
Pourquoi la L-lysine, autrefois utilisée comme anti-viral pour prévenir les poussées d'herpès (surtout pour les chats atteints de maladies oculaires/respiratoires récidivantes), n'est plus utilisée aujourd'hui ?
Recherches récentes démontrent que la L-lysine n'a aucune propriété anti-viral, elle agit en diminuant le taux d'arginine et elle est non efficace !
170
Quel médicament pour traiter l'inflammation dans un cas d'IBD chez le chat est souvent prescrit car il agit majoritaire a/n du système GI ?
Budesonide ## Footnote Prednisolone peut aussi être utiliser, mais a plus d'effets secondaires
171
Pourquoi un chat atteint d'acromégalie a-t-il un diabète mellitus difficile à contrôler ?
L'excès d'hormone de croissance cause une défectuosité des récepteurs à l'insuline
172
Quel est le traitement de l'acromégalie ?
Radiothérapie externe ## Footnote **Autres traitements moins efficaces** : * Fortes doses d'insuline pour tenter de contrôler le diabète * Analogues de la somatostatine pour tenter d'inhiber la libération d'hormone de croissance par la tumeur. * L'exérèse chirurgicale a été utilisée chez les personnes atteintes de tumeurs hypophysaires, mais elle n'a été que rarement rapportée chez les chats. ***Avant d'instaurer un traitement, une imagerie hypophysaire (scanner +/- IRM) doit être réalisée.***
173
Un chat domestique mâle castré consulte pour une obstruction urinaire. BUN > 140 mg/dL (19-34 mg/dL) K+ de 9,0 mEq/L (3,7-6,1 mEq/L). Vous administrez immédiatement du dextrose et des fluides au chat et réussissez à débloquer votre patient. Une heure plus tard, vous surveillez votre patient et constatez qu'il tremble de manière incontrôlable. De quoi souffre-t-il ?
Tétanie d'hypocalcémie ## Footnote L'hyperphosphatémie entrainer cette hypocalcémie Traitement : Gluconate de calcium
174
La castration réduit quels comportements chez le chat ?
1. Comportement d'errance (90%) 2. Agression entre mâles (60%) 3. Marquage urinaire (50%)
175
Un chat qui mange juste de la nourriture en canne pour chien est à risque de quel déficience nutritionnelle ?
Taurine = CD
176
Chat avec pyélonéphrite (rein droit). Quel traitement ?
Fluidothérapie agressive Antibiothérapie basée sur la culture urinaire ## Footnote The cat's clinical and diagnostic findings are consistent with pyelonephritis of the right kidney. Pyelonephritis is a kidney infection resulting from an ascending urinary tract infection. It typically presents with the above symptoms, and the kidneys can even be painful on palpation. Aggressive IV fluid therapy and antibiotics are indicated as well as a urine culture prior to starting the antibiotics. Pyelonephritis is a very serious and potentially life-threatening infection. Therefore, sending the cat home to wait for culture results with antibiotics or subcutaneous fluids is not appropriate.
177
Une chatte stérilisée de 10 ans se présente aux urgences avec une toux et une dyspnée aiguës. À l'examen physique, vous constatez une respiration gueule ouverte, un effort abdominal marqué et une fréquence respiratoire de 54 respirations par minute. Sa température est de 39,3 °C (102,7 °F) et ses radiographies pulmonaires sont les suivantes. Quel est le diagnostic ? Quel traitement donné tout de suite ?
Asthme félin Terbutaline (ou autre bêta-2 agoniste) + O2 ## Footnote *Habituellement, on prend les radiographies après !*
178
Entre Cheyletiella et Sarcoptes, lequel n'infecte que très rarement le chat ?
Sarcoptes
179
Chaton présenté pour diarrhée chronique et vomissement et inapétence. Il est sous traitement pour la coccidie (venu hier et Isospora a été identifié). Hier il est ok en général. Aujourd'hui, on palpe une masse mi-abdomen et qui semble douloureuse à la palpation. Radiographie montre un patron obstructif (intestin dilaté). Quel est le diagnostic le plus probable ?
Intussusception (jeune patient avec diarrhée chronique) ## Footnote Plus commun chez le chien Correction chirurgicale urgente
180
Quelle drogue a pour effet secondaire chez le chat de stimuler l'appétit et d'entraine une nécrose hépatique aigue (si administration orale répétée) ?
Diazépam ## Footnote La stimulation de l'appétit est plus présente si le diazépam est injecté IV ! La nécrose hépatique est dû par le métabolisme de la drogue au niveau du foie qui crée des métabolites toxiques
181
Quel est le traitement du prolapse utérin chez la chatte ?
**Option A** : Réduire le prolapse avec lubrification et pression externe, puis flusher l'utérus avec saline (sous anesthésie générale) **Option B** : Ablation/amputation de la partie externe avec OVH (si oedème important et nécrose, comme sur la photo)
182
# COMPLEXE DU GRANULOME ÉOSINOPHILIQUE Décrire les points-clés (localisation et autre) des trois principales lésions du complexe
**Ulcère indolent** (« éosinophilique ») : Lèvre supérieure, peut apparaitre et disparaitre **Plaque éosinophilique** : Abdomen et partie médiale des cuisses, PRURIGINEUX, histoptahologiquement similaire à la dermatite militaire, allergie sous-jacente souvent **Granulome éosinophilique** (« granulome collagénolytique ») : Nez, menton, cavité orale ou cuisse / lésion nodulaire ulcérée bien circonscrite ## Footnote Étiologie : Idiopathique ou réaction d'hypersensibilité Traitement controversé (pas de question au NAVLE)
183
Quelle est cette lésion (fait partie du complexe éosinophilique) ?
Granulome ésosinophilique (menton !)
184
Quel est le meilleur moyen de diagnostiquer un syndrome de rémanence ovarienne chez la chatte ?
**Cytologie vaginale** (prise quand la chatte montre un comportement de chaleur) * Si tissu rémanent, cytologie va démontrer > 90% de cellules épithéliales cornifiées ## Footnote L'échographie abdominale est généralement inutile en raison de la petite taille du reliquat et parce qu'il n'est pas toujours localisé au niveau de l'ovaire ; un fragment peut également être transplanté dans d'autres tissus, comme le foie ou l'épiploon, et peut être très difficile à localiser. Il est préférable d'essayer de poser le diagnostic par cytologie, puis par laparotomie exploratrice.
185
Quelles sont les causes communes d'anorexie chez le chat pouvant mener à la lipidose hépatique ?
* IBD * Pancréatite * Cholangiohépatite * Néoplasie
186
Quel est le traitement de l'anémie infectieuse féline (mycoplasma haemofelis) ?
Doxycycline ou enrofloxacin
187
Cytauxzoon felis est transmis par la ___A__ alors que Mycoplasma haemofelis est transmis par __B__.
**A** : Tique **B** : Puces ou batailles/morsures
188
Au frottis sanguin, à quoi ressemble l'anémie infectieuse féline (mycoplasma haemofelis ou haemominutum) ?
Coques, bagues ou « arche de violent /bâtonnet » ## Footnote TRÈS SIMILAIRE À CYTAUXZOON - IMPORTANT DE LES DIFFÉRENCIER
189
Radiographie d'un chat avec une cardiomyopathie qui entraine des signes d'insuffisance cardiaque (coeur est gros) + patron pulmonaire cranioventral interstitiel qui indique une décompensation cardiaque **Signes cliniques du chat**: Effort respiratoire, anorexie, respiration bouche ouverte occasionnelle, souffle systolique sternal 3/6 **Traitement** : Diurétique (+ échocardio pour déterminer la cardiomyopathie)
Chat normal pour comparaison Le coeur devrait avoir une forme d'amande et avoir une largeur maximale de 2-2,5 EIC
190
Quelles sont les complications fréquentes associées à l'hypertension artérielle chez le chat ?
* Rétinopathie hypertensive (détachement de la rétine) * Maladie cardiaque hypertensive * Complications neurologiques * Progression d'une maladie rénale ## Footnote Toujours évaluer causes sous-jacentes de l'hypertension : HyperT4 et Maladie rénale !
191
Quel est le mode d'action de l'Amlodipine ?
Bloqueur de canaux calciques (prévient l'entrée de l'influx calcique dans les cellules musculaires lisses des vaisseaux = vasodilatation = diminue pression artérielle)
192
L'Enalapril est un IECA. Peut-il être utilisé pour un chat très hypertensif (260 mmHg) ?
Non, Amlopdipine est un meilleur choix !
193
Quel médicament qui augmente la contractilité cardiaque est parfois utilisé dans le traitement de la CD chez le chat ?
Pimobendan
194
Un chat hypertensif avec un décollement de la rétine débute l'amlodipine. A-t-il une chance que la rétine se réattache ?
Oui, elle devrait se réattacher avec le temps !
195
Quelle est l'utilité de l'aténolol chez un patient hyperT4 ?
Traitement de la cardiomyopathie thyrotoxique qui entraine une tachycardie
196
197
Une décompression chirurgicale et une dérivation biliaire-intestinale (cholécystoduodénostomie ou cholécystojéjunostomie) est indiqué pour quelle maladie ?
Cholélithiase ou obstruction biliaire complète
198
Quels sont les trois principaux antibiotiques excrétés de manière inchangée dans la bile utilisée pour traiter la cholangiohépatite ?
Ampicilline ou amoxicilline associé à l'acide clavulanique Métronidazole
199
La cholangiohépatite aiguë survient habituellement chez des patients âgés de __A__ vs la cholangiohépatite chronique qui survient habituellement chez des patients âgés de __B__
A : jeune patient (3 ans) B : vieux patient (9 ans)
200
Quel est le diagnostic ?
Cholangiohépatite aiguë
201
Quel est le meilleur moment pour opérer une chatte avec un syndrome de rémanence ovarienne ?
Pendant l'oestrus ou le dioestrus (tissu sera élargi et plus facile à voir)
202
Quels autres tests diagnostics (mis à part la cytologie) sont utilisés pour le syndrome de rémanence ovarienne chez la chatte ?
* **Taux d'œstrogènes sériques > 70 pmol/L** : indique que la chatte produit des œstrogènes par les ovaires, mais peu fiables (bcp de fluctuations) * **Taux de progestérone sérique > 6 nmol/L** après une ovulation induite : permet de conclure que les corps jaunes se sont formés et libèrent de la progestérone. * **Taux sérique de LH bas** (rétrocontrole chez les chattes intactes) < 1 ng/mL
203
Quel est le traitement d'une tumeur pulmonaire primaire chez le chat ?
Lobectomie pulmonaire ## Footnote Thérapie adujvante : Chimiothérapie
204
Cytologie de l'effusion pleurale d'un chat. Quelle est l'étiologie ?
Toxoplasma gondii ## Footnote On peut voir les tachyzoites se mutliplier dans les macrophages et neutrophiles C'est un exsudat septique
205
Intoxication à la pyréthrine (produit anti-puces). Quoi faire ?
Bain pour enlever le produit topique Nettoyer la bouche (si le chat s'est léché) Fluides IV Méthocarbamol si tremblements ou convulsions ## Footnote Methocarbamol, a muscle relaxant, is the first best choice to stop the tremoring. If this is unsuccessful, valium can also be used, and if active seizures are occurring should be given immediately. Phenobarbital or Propofol drip can be given if seizures are refractory.
206
# HYPERPLASIE MAMMAIRE FÉLINE (hyperplasie fibroadénomateuse) Étiologie : Patient classique : Traitement :
**Étiologie** : Progestérone (ovaire fonctionnel ou hormone synthétique - acétate de megesterol) **Patient classique** : Jeune chatte gestante ou non, intacte **Traitement** : OVH (+/- mastectomie si glande infectée ou ulcérée)
207
Un chat domestique à poil court de 3 ans, vivant à l'intérieur comme à l'extérieur, est présenté léthargie et perte d'appétit. T = 39,5 °C, P = 200 bpm, R = 36. À l'examen, vous constatez un gonflement du nez et, à l'examen du fond d'œil, des lésions circulaires sombres sur la rétine. Quelle est la maladie et de quelle façon est-elle transmise ?
Cryptococcus neoformans (roman nose) Inhalation de spores de fientes de pigeons
208
Howell-Jolly (non significatif) vs Mycoplasma haemofelis
Tête de flèche = mycoplasme
209
Comment différencier une prolapse rectal d'une intussusception colorectale (apparence similaire) ?
Entrer un thermomètre dans le tissu prolapsé. Si on peut seulement parcourir une courte distance = prolapse. Si on peut parcourir une grande distance = intussusception. ## Footnote Si la sonde entre en contact avec un fornix à quelques centimètres près, il s'agit probablement d'un prolapsus rectal. En revanche, si elle passe facilement 5 à 6 centimètres, une invagination est plus probable.
210
Traitement du prolpase rectal.
Conservateur (réduire oedème, manipulation douce) ## Footnote Chirurgie si infructueux
211
Chaton avec un hydrocéphale (présenté pour ataxie, comportement calme et une tête en forme de dome). Quel est le traitement ?
On veut **diminuer production de LCR**, donc: * Furosémide * Prednisolone * Inhibiteur d'adnydrase carbonique oral * Chirurgie (shunt entre ventricules cérébraux et cavité péritonéale) * Anti-convulsivants au besoin
212
Traitement du chylothorax
* Drainage par thoracocenthèse (en urgence, puis intermittent) * Diète réduite en gras * Rutin (benzopyrone) * Chirurgie (éventuellement - ligature du canal thoracique + péricardectomie)
213
Traitement de la cholélithiase
Surgical decompression and biliary-to-intestinal diversion (cholecystoduodenostomy or cholecystojejunostomy) after stabilizing the patient with appropriate supportive care and fluid therapy
214
Traitement de la cardiomyopathie hypertrophique chez le chat.
* Bêta-bloqueur (Aténolol) ou Bloqueur de canaux calciques (dilitiazem) -*améliore le remplissage diastolique en ↓ FC* * Si en ICC (gauche) → Furosémide + O2 et enalapril (pronostic variable) – PAS d’aténolol ! * Pour prévenir TE (OG dilatée) : Aspirine ou Clopidogrel
215
Chat avec pemphigus foliacé (prurigineux, lésions croûteuses et putules rupturés localisés a/n de la tête - nez, oreille et périoculaire avec +/- pattes) Quel est le traitement et quel médicament faut-il éviter, car il peut « drug induced » le pemphigus foliacé ?
Immunosuppresseur (chlorambucil, triamcimolone ou prednisolone) Éviter l'itraconazole
216
Vieux chat hyperT4 et IRC qui a une masse pancréatique qui doit être excisée chirurgicalement. Quels sont les trois éléments qui doivent être monitorer en post-op ?
* **Taux de bilirubine** (pour monitorer les signes d'obtruction extrabiliaire, si pancréatite -> l'inflammation peut être assez sévère pour entrainer une obstruction biliaire extrahépatique = augmentation BIL) * **Augmentation du vomissement ou de la douleur abdominale** (manipulation du pancréas = pancréatite) * **Valeurs rénales** (signes aiguës d'IR, surtout si le patient a été hypotensif -> diminution de la perfusion rénale) ## Footnote **Et la glycémie ?** When performing mass resections of the pancreas the ideal situation is a mass associated with the tail of the pancreas. Otherwise they can be very difficult to excise in their entirety and you run the risk of disrupting the flow of pancreatic enzymes into the duodenum. The pancreas is responsible for secreting insulin which is what stimulates glucose to be removed from the blood stream and taken into the cell. A patient with a mass in the pancreas that is causing hypoglycemia has an insulinoma (seen in dogs). Removal of an insulinoma can occasionally lead to hyperglycemia and diabetes mellitus requiring insulin administration in dogs, but there is no indication of an insulinoma based on the normal blood glucose level on the chemistry panel indicated in the question.
217
Quel est le pronostic d'un chat atteint de cholangiohépatite ?
50% de chance de survie, 50% de chance de mourir dans les 3 prochains mois
218
Le syndrome de fragilité cutané chez le chat est causé par quelle maladie ?
Cushing (hyperadrénocorticisme)
219
Chat présenté avec les signes cliniques suivants : Dépression, anorexie, fièvre, boiterie, lymphadénopathie, bruits pulmonaires augmentés, lésions cutanées drainantes, choriorétinite, uvéite et toux. Hémato-biochimie : Leucocytose avec virage à gauche À la cytologie d'une aspiration d'un NL élargi, on trouve ceci. Quel est le diagnostic ? Comment le traite-t-on ?
Blastomycose Itraconazole
220
# Tests diagnostics de la dirofilariose chez le chat Que peut signifier... Un test antigène + Un test antigène - Un test anticorps + Un test anticoprs -
**Test antigène +** : Vers femelles présents **Test antigène -** : Seulement des vers mâles présents ou absence de maladie **Test anticorps +** : A été exposé, mais n'a plus l'infection ou présence de maladie **Test anticorps -** : Faible charge parasitaire et réponse immunitaire trop faible pour être détectée ou absence de maladie ## Footnote C'est toujours bon d'utiliser les deux types de test !
221
Radiographie d'un patient félin asthmatique (présenté en crise d'asthme) vs normal
The radiographic findings in this case are a diffuse bronchial pattern consisting of airway thickening appearing as so called "tracks and doughnuts." Terbutaline is a beta-2 agonist that allows bronchial smooth muscle relaxation and along with oxygen, are two important aspects of the emergency management of a cat in acute respiratory distress from asthma. In reality, you probably should have administered these therapies prior to radiographs as the stress of handling a cat in acute respiratory distress can be dangerous. Along those lines, restraining this cat to pull blood is similarly contraindicated until she has been stabilized. Thoracocentesis for pleural effusion or pneumothorax are inappropriate, as this cat does not have either of those problems at this time. Some of the "doughnuts" have been circled in orange. The bronchial pattern is diffuse throughout the lungs.
222
Décrire le patient typique atteint du virus de la panleucopénie
Chaton de 4 mois avec léthargie, diarrhée, anorexie et vomissement. Il fait de la fièvre et est légèrement déshydraté. ## Footnote Pas un CÉ -> parce que sinon il n'aurait pas de fièvre ou de diarrhée Pas FIV -> Chaton protégé par les Ac maternel habituellement
223
Chat bloqué hyperkaliémique. On s'attend à quelles anormalités au niveau cardiaque ?
Bradycardie Arrythmies cardiaques pouvant être fatales
224
Quel est le diagnostic ?
Effusion pleurale
225
Chat de 10 ans avec PU/PD, diminution de l'appétit et perte de poids. On pense à quelle maladie en premier ?
Insuffisance rénale ## Footnote Diabète mellitus, hyperT4 et Insuffisance du pancréas exocrine est accompagné de POLYPHAGIE
226
Formule dentaire du chat
2(I3/3 C1/1 P3/2 M1/1)
227
Traitement de la dirofilariose chez une chat en dyspnée et qui tousse.
Corticostéroides et Heartgard (tue lentement + prévention) +/- bronchodilatateur en attendant que les vers meurent ## Footnote Retrait chirurgical peut être recommandé dans certains cas
228
Traitement de la teigne chez le chat
Tx topique (bain bouillie souffrée ou shampooing miconazole) **+** Tx systémique (itraconazole ou fluconazole)
229
Chat avec un carcinome des cellules squameuses présenté pour ptyalisme et halitose. Quel est le pronostic ?
Sombre (environ 2 mois, même avec traitement)
230
Quel virus est habituellement responsable de la stomatite féline ?
Calicivirus
231
Si j'ai un petit chaton avec pleins d'ulcères bucaux, une stomatite et une gingivite (= calicivirus). Quel serait le traitement ?
Antibiotique (Clindamycin, doxy ou Clavamox) + sucralfate
232
Une chatte DSH de 2 ans, vaccinée et stérilisée, vivant en intérieur, présente des lésions aux pattes depuis 6 mois. Son propriétaire rapporte qu'initialement, seules les pattes postérieures étaient atteintes, mais que les lésions ont progressé jusqu'à atteindre les quatre pattes. Il indique que l'état de la chatte ne s'est pas amélioré après un traitement antibiotique antérieur ou une cure d'une semaine de prednisone à 1 mg/kg. À l'examen, vous constatez que tous les coussinets métacarpiens et métatarsiens sont mous, gonflés et décolorés, comme le montre l'image. Vous remarquez que la chatte est gênée à la marche et se lèche occasionnellement les coussinets ; l'un d'eux est fissuré. Diagnostic différenciel ? Quel test diagnostic faire ?
Biopsie des lésions des coussinets *DDX* : * Pododermatite plasmocytaire (le cas ici) * Pemphigus * Lupus
233
Chat d'intérieur avec histoire de perte de poids, diminution d'appétit et diarrhée/vomissement occasionnel depuis 2 mois. Prise de sang RAS. On fait biopsie de l'estomac et intestin -> **Entérite lymphoplasmocytaire** Quel est le diagnostic et quel est le traitement ?
IBD Dièt hypoallergénique et prednisolone (ou budesonide)
234
La panleucopénie est un virus qui s'attaque à quel tissu et entraine quel signe clinique ?
Tissus à division rapide (MO et GI) Pancytopénie (possible) et diarrhée