ERITROIDE Flashcards

(37 cards)

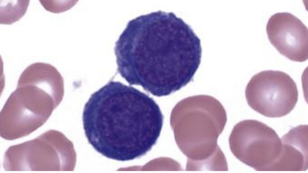
1
Q

DESCREVA A CÉLULA A SEGUIR:

A

PROERITROBLASTO

Tamanho: 12-20 uM
Citoplasma: Intensamente basofílico com halo claro ao redor do núcleo. Pode apresentar Golgi. Pode exibir extrusões citoplasmáticas (seta)
Nucleo: Grande e arredondado, com cromatina frouxa e nucléolos
Relação N/C: 8:1
Frequencia MO: 1%

How well did you know this?
1
Not at all
2
3
4
5
Perfectly
2
Q

DESCREVA A CÉLULA A SEGUIR:

A

ERITROBLASTO BASOFÍLICO

Tamanho: 10-15 uM
Citoplasma: Mais basofílico devido ao início da hemoglobinização e alta presença de RNA
Nucleo: Circular a levemente oval, com cromatina levemente condensada e 0-1 nucléolos
Relação N/C: 6/1
Frequencia MO: 1-4%

How well did you know this?
1
Not at all
2
3
4
5
Perfectly
3
Q

DESCREVA A CÉLULA A SEGUIR

A

ERITROBLASTO POLICROMÁTICO

Tamanho: 10-12 uM
Citoplasma: Cinza-azul, como resultado da hemoglobinização, mas menos azul que o eritroblasto basofílico. Policromático pela acidofilia da hemoglobina e basofilia do RNA
Núcleo: Cromatina consensada, com nucleolos ausentes, com aspecto de tabuleiro de chadrez (“checkerbord”) ou “em salame”
Relação N/C: 4/1
Frequencia MO: 10-20%

How well did you know this?
1
Not at all
2
3
4
5
Perfectly
4
Q

DESCREVA A CÉLULA A SEGUIR:

A

ERITROBLASTO ORTOCROMÁTICO

Tamanho: 10-12 uM
Citoplasma: Coloração mais rósea que azul (alta quantidade de hemoglobina, mais semelhante a hemácia madura)
Núcleo: Circular, pequeno e denso, geralmente excêntrico, com cromatina fortemente condensada
Relação N/C: 0,5/1
Frequencia MO:: 5-10%

How well did you know this?
1
Not at all
2
3
4
5
Perfectly
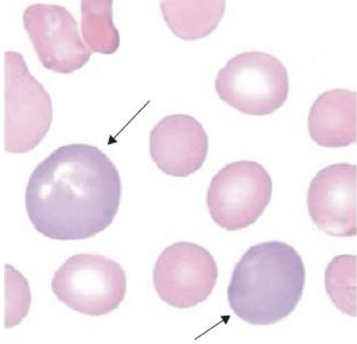
5
Q

DESCREVA A CÉLULA A SEGUIR:

A

RETICULÓCITOS

Essa célula não apresenta núcleo e tem um tempo de maturação médio de 18h antes de se transformar em hemácia madura.
Mantém uma capacidade residual de sintetizar proteínas e mitocôndrias.
O reticulócitos mantem vestígios de RNA, responsável pela POLICROMASIA.

São melhores obervadas apenas na coloração com azul de cresil brilhante

How well did you know this?
1
Not at all
2
3
4
5
Perfectly
6
Q

DESCREVA A CÉLULA A SEGUIR

A

HEMÁCIA POLICROMÁTICA

A hemácia policromática pode representar reticulócitos na coloração habitual. Os reticulócitos apresentam vestígios de RNA após a expulsão do núcleo, tornando a célula mais basofílica que uma hemácia normal, mas sem nucleo para diferenciar de eritroblasto ortocromático (já expulso).

Para definir como reticulócito o ideal é a coloração com azul de cresil brilhante

How well did you know this?
1
Not at all
2
3
4
5
Perfectly
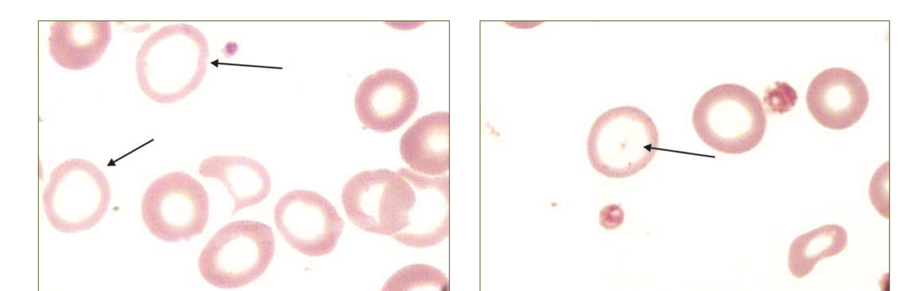
7
Q

DESCREVA O ACHADO A SEGUIR

A

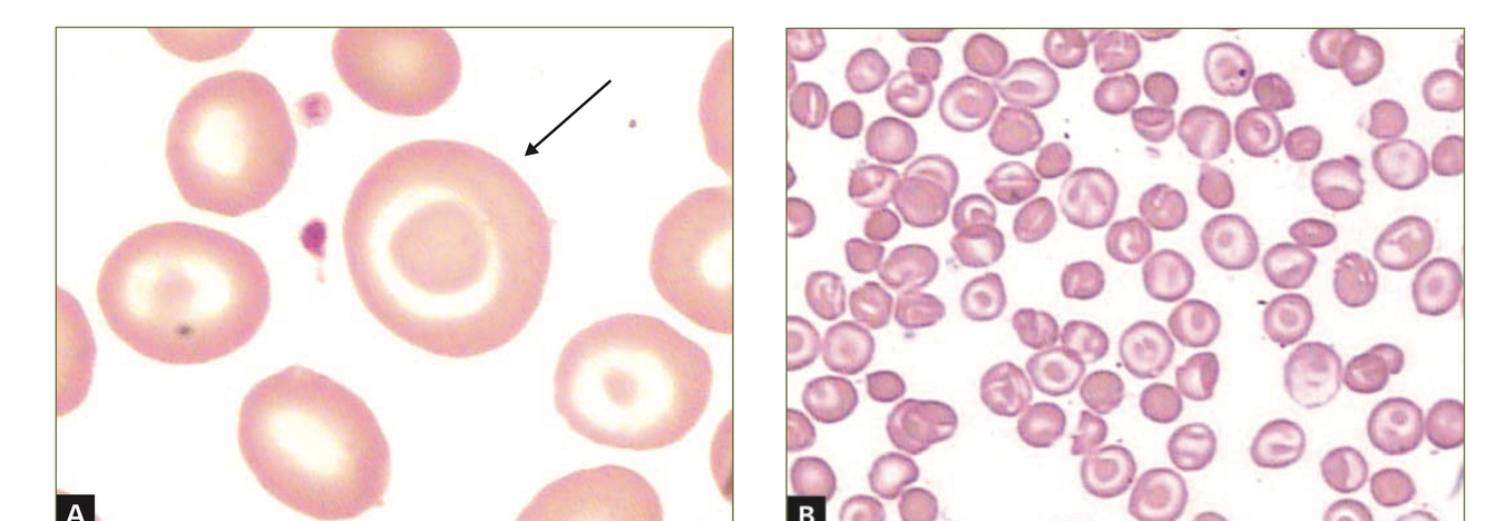
HIPOCROMIA

Na hipocromia os níveis hematimétricos HCM e CHCM estão baixos, confirmando a baixa concentração de hemoglobina na célula e produzindo hemácias menos coradas que o normal.

Na hematoscopia, observa-se um aumento do halo central da hemácia. Também conhecida como “hemácia fantasma”

How well did you know this?
1
Not at all
2
3
4
5
Perfectly
8
Q

DESCREVA A CÉLULA A SEGUIR:

A

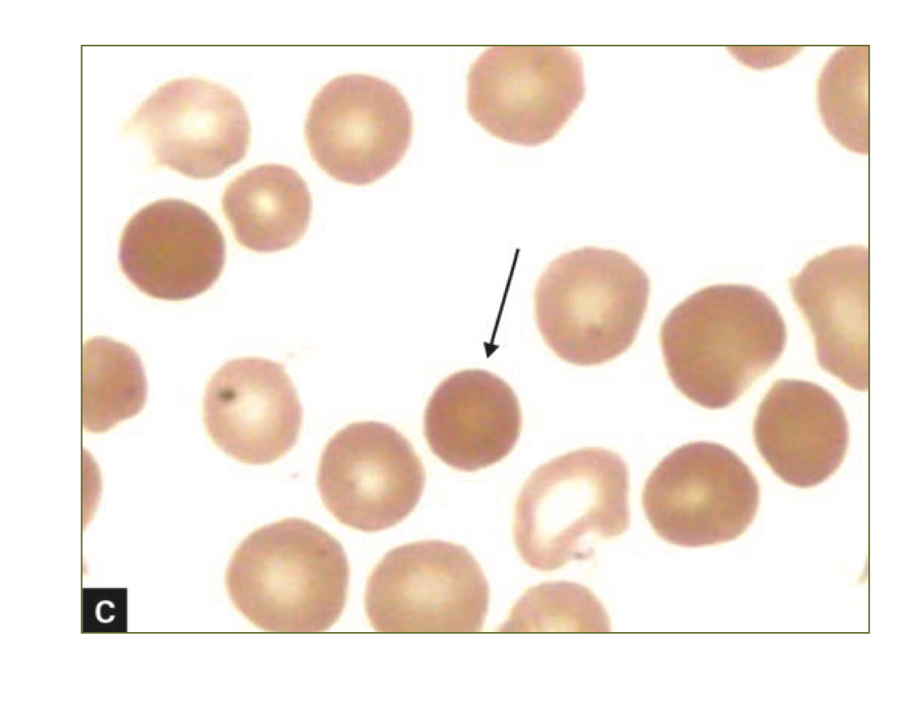
ESFERÓCITOS

É uma hemácia extremamente compata com forma esférica e geralmente pequena.

No hemograma quando há esferocitose há aumento evidente de CHCM (concentração de hemoglobina corpuscular média)

No ESP destacam-se pela coloração intensa laranja-vermelho e por não formarem rouleaux eritrocitário. Além disso, apresentam aspecto redondo bem formado

Os esferócitos podem ser formados por defeito na espectrina (esferocitose hereditária), por traumatismo físico ou quando a hemácia entra em processo de apoptose.

Causas de esferocitose:
- Esferocitose hereditária
- AHAI
- Sepse por clostridium
- Picadas de cobra

How well did you know this?
1
Not at all
2
3
4
5
Perfectly
9
Q

DESCREVA O ACHADO A SEGUIR

A

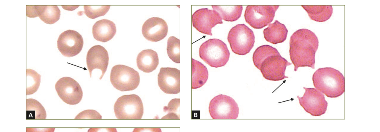
DACRIÓCITOS

Observada com maior frequência na mielofibrose. Após esplenectomia, os dacriócitos diminuem muito, indicando a existencia de hematopoese extramedular.

How well did you know this?
1
Not at all
2
3
4
5
Perfectly
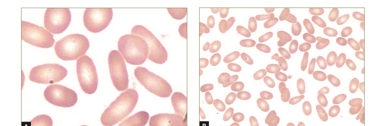
10
Q

DESCREVA O ACHADO A SEGUIR

A

ELIPTÓCITO

A morfologia característica do eliptócito deve-se a um defeito na proteína de membrana espectrina. A hemácia com esse defeito perde a elasticidade normal e, quando passa em um vaso sanguíneo de pequeno calibre, deforma-se e não volta mais ao formato normal, tornando-se um eliptócito.

A existência de um grande número de eliptócitos no SP sugere uma anormalidade genética chamada de “eliptocitose hereditária” (25-90% de eliptócitos)

Eliptócitos em número < 10% são vistos em algumas talassemias, anemias megaloblásticas e anormalidades enzimáticas herdadas, além de aparecer em pacientes com hepatite C e deficiencia de ferro

É importante diferenciar o eliptócito do ovalócitos, com a ideia de que:
- Eliptócito: Eixo longo > 2x eixo curto
- Ovalócito: Eixo longo < 2x eixo curto

How well did you know this?
1
Not at all
2
3
4
5
Perfectly
11
Q

DESCREVA O ACHADO A SEGUIR:

A

OVALÓCITO / MACRO-OVALÓCITO

Alteração de membrana celular que pode ser genética ou não.

Ovalocitose hereditária: Anemia hemolítica de defeito de membrana mais comum no sudoeste asiático

Pode ser obervada em pequena quantidade raramente em algumas anemias.

É importante diferenciar o eliptócito do ovalócitos, com a ideia de que:
- Eliptócito: Eixo longo > 2x eixo curto
- Ovalócito: Eixo longo < 2x eixo curto

O macro-ovalócito é uma hemácia observada frequentemente no SP de pacientes com anemia megaloblástica. Em geral é uma hemácia policromática, com tom azul-acinzentado. Aprtesenta tamanho aumentado e policromática pela deficiencia de acido folico e B12 que são essenciais para a hematopoiese normal.

How well did you know this?
1
Not at all
2
3
4
5
Perfectly
12
Q

DESCREVA O ACHADO A SEGUIR

A

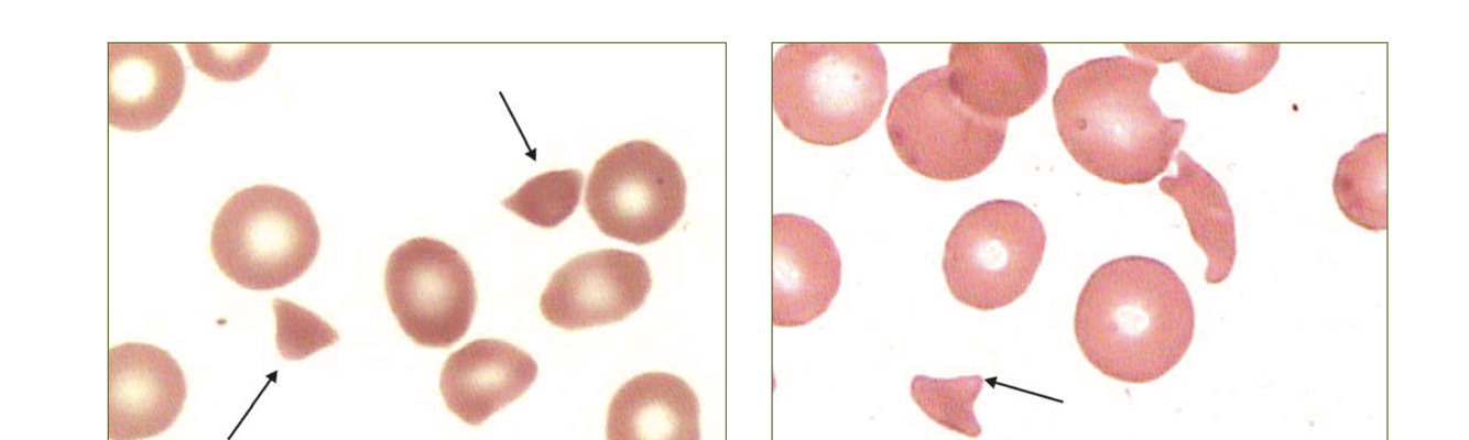
ESQUIZÓCITOS

  • Hemácia com morfologia variável e irregular, geralmente com metade do tamanho de uma hemácia comum
  • Pode ser interpretada com o “bite cells”no contexto de deficiencia de G6PD pela retirada no baço da parte da hemácia que contem o corpusculo de Heinz
  • Pode acontecer também em anemias hemolíticas por ação mecânica (MAT)
How well did you know this?
1
Not at all
2
3
4
5
Perfectly
13
Q

DESCREVA O ACHADO A SEGUIR

A

ESQUIZÓCITOS EM CAPACETE

  • Também conhecida como helmet cell
  • É um tipo de esquizócito mais relacionado com o traumatismo mecânico (fragmentação física) com coágulos de fibrina intravascular
  • Sugere mais MAT
How well did you know this?
1
Not at all
2
3
4
5
Perfectly
14
Q

DESCREVA O ACHADO A SEGUIR:

A

FRAGMENTOS DE HEMÁCIAS

  • Surgem da ação mecânica direta sobre sua estrutura
  • Acontece quando a hemácia passa por um capilar sanguíneo com fibrina aderida no endotélio ou mediante contato com uma superfície anormal como uma valva cardíaca
  • Também são comuns na destruição mecânica pela rede de fibrina em MAT
How well did you know this?
1
Not at all
2
3
4
5
Perfectly
15
Q

DESCREVA O ACHADO A SEGUIR:

A

ACANTÓCITOS

  • Hemácia que apresenta projeções citoplasmáticas denominadas espículas, dristribuidas irregularmente ao redor da célula
  • Apresenta espículas de tamanhos variáveis e em menor quantidade que a hemácia crenada

Podem ser encontrados em:
- Cirroses
- Anemias hemolíticas associadas ao fígado
- Heparina
- Hepatites
- Pós esplenectomia
- Abetalipoproteinemia

How well did you know this?
1
Not at all
2
3
4
5
Perfectly
16
Q

DESCREVA O ACHADO A SEGUIR

A

DREPANÓCITO

  • Hemácia em foice característico de anemia falciforme
  • Hemoglobina S se polimeriza e leva ao processo de falcização da hemácia. Esse processo depente da quantidade de O2, temperatura e concentração intracelular de HbS
17
Q

DESCREVA O ACHADO A SEGUIR

A

HEMÁCIA FUSIFORME

  • Alguns pacientes portadores do genótipo Hb AS apresentam no ESP células com morfologia alongada e extremidades afiadas denominadas hemácias fusiformes
  • Ocorre pelo rompimento do processo de falcização. Como a falcização é incompleta a célula fica com formato alongado
  • Geralmente esssa hemácia se forma apenas na formação da lâmina quando há falta de O2
18
Q

DESCREVA O ACHADO A SEGUIR

A

HEMÁCIAS EM ALVO

  • Tambem chamado de codócito
  • Apresenta área central redonda com coloração norma. Em volta existe uma área branca, sem coloração e depois um anel normocrômico periférico, formando uma biconcavidade
  • Ocorre por causa da célula ter mais membrana celular com relação ao volume intraeritrocitário. Esse efeito está relacionado com má distribuição de hemoglobina na hemácia
  • Presente em grande quantidade na hemoglobinopatia C ou associação de hemoglobinopatia com outras (SC, talassemias, doenças hepaticas…)
  • Ocorre frequentemente como artefato de confecção inadequada do esfregaço
19
Q

DESCREVA O ACHADO DA IMAGEM

A

EQUINÓCITO / HEMÁCIA CRENADA

  • Células com projeções espiculares regulares e uniformes sobre toda a membrana celular
  • Perde a forma discoide e sua deformabilidade, se tornando mais rígida e facilitando sua lise no baço

Principais causas:
- Baixa concentração de ácido graxo
- Tratamento com heparina
- Uremia
- Hepatopatias
- Insuficiencia renal
- SHU
- Câncer
- Úlcera peptica
- Deficiencia de piruvato quinase

20
Q

DESCREVA O ACHADO DA IMAGEM

A

ESTOMATÓCITO

  • Ocorre quando a pequena área clara no centro da hemácia (biconcavidade) é modificada por uma faixa clara que cruza toda a célula
  • Ocorre devido ao aumento de sódio e diminuição de potássio intracelular

Possíveis causas:
- Alcoolismo agudo
- Cirrose hepática
- Estomatocitose hereditária
- Talassemias menores
- Intoxicação por chumbo
- Mononucleose

Muito comum aparecer em áreas isoladas da lamina como artefato da confecção

21
Q

DESCREVA O ACHADO A SEGUIR

A

HEMÁCIA EM BOLHA

  • Ocorre formação de bolhas no interior da célula
  • As bolhas originam-se da fusão da membrana celular interna da célula, deixando uma área desprovida de hemoglobina
  • Quando a bolha é rompida ou fagocitada pelo baço, originam-se outras hemácias como queratócitos ou esquizócitos
  • Também pode ser vista em anemias, microangiopatias, anemia falciforme, TEP
22
Q

DESCREVA OS ACHADOS A SEGUIR:

A

QUERATÓCITOS

  • Também conhecido como bite cells
  • Hemácias com um ou mais pares de espículas
  • Se originam de uma ou mais mordidas de macrófagos esplenicos ou por dano celular traumático. Também pode surgir pela ruptura de uma hemácia em bolha

Principais causas:
- Deficiencia de G6PD
- MAT
- Nefropatias pós transplante

23
Q

DESCREVA OS ACHADOS A SEGUIR

A

PICNÓCITOS

  • Também conhecido como dagmático
  • Forma de hemácia que tem a hemoglobina retraída para as laterais da célula, deixando a área central da célula vazia sem hemoglobina
  • Geralmente é uma célula alongada
  • Ocorrencia rara

Principais causas:
- Deficiencia G6PD
- Anemia hemolítica intravascular
- MAT
Deficiencia hereditária de lipoproteínas

24
Q

DESCREVA OS ACHADOS A SEGUIR

A

HEMÁCIAS BORRADAS

  • Células queperderam definição do contorno da membrana celular, ficando com aparencia borrada e deformada
  • Associada a altas taxas de lipídios (hiperlipidemia), mais precisamente com triglicérides > 1000.
  • O excesso de lipídeos prejudica o equilíbrio da composição de membrana lipoproteica da hemácia
  • Importante diferenciar de artefatos de formação da lamina pela dosagem de perfil lipídico
25
DESCREVA OS ACHADOS A SEGUIR
**KNIZÓCITOS** - Hemácia que apresenta em seu interior duas áreas laterais claras e alongadas - *Pinch-cell* - Célula beliscada ou apertada - Ocorrencia rara em pacientes com AHAI, esferocitose hereditárias e principalmente em pacientes com pancreatite
26
DESCREVA OS ACHADOS A SEGUIR
**XERÓCITOS** - Variante desidratada do estomatócito - Também chamado de excentrócito - *Puddled cell* - "turvado" - A sua biconcavidade localiza-se na periferia da célula (por isso, excentrócito)
27
DESCREVA OS ACHADOS A SEGUIR
**HEMÁCIAS EM BROTO** - Artefato visto no ESP de um material de tupo EDTA submetido a um aumento de temperatura (> 50 graus) - Geralmente ocorre no transporte ou armazenamento do material - Surgem vários brotos aderidos a hemácia ou livre entre as células
28
DESCREVA A ALTERAÇÃO
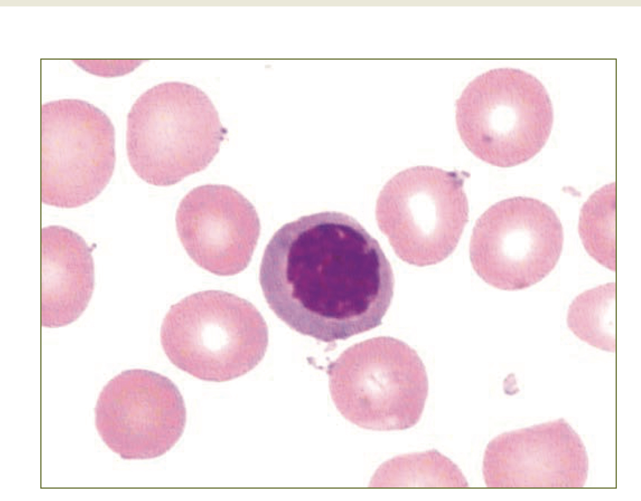
**CORPUSCULO DE HOWELL-JOLLY** - Fragmento de material nuclear, formado por um cromossomo que se separou do fuso mitótico em uma expressão nuclear incompleta, durante mitose anormal - Inclusão arredondada e de coloração semelhante ao núcleo - Frequente em pacientes **esplenectomizados e recem nascidos com baço imaturo** - Isso acontece pois no baço que ocorre a sua remoção Outras causas: - Anemia megaloblástica - AHAI - Alcoolismo intenso
29
DESCREVA O ACHADO
**ANEL DE CABOT** - Restos de microtúbulos remanescentes do fuso mitótico durante a divisão celular - Se apresenta como "anel" ou "oito" no ESP Pode acontecer em: - Anemia perniciosa - Talassemia beta major - Contaminação com chumbo - Diseritropoiese (SMD)
30
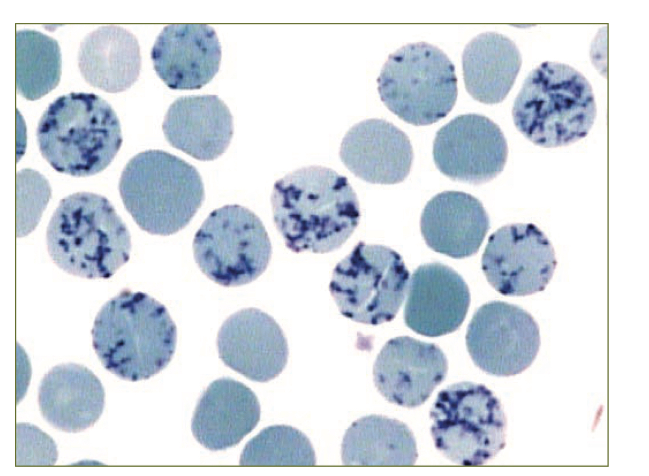
DESCREVA O ACHADO
**PONTILHADO BASOFÍLICO** - Agregado de ribossomos e RNA que se precipitam na coloração do ESP, além de pequenos agregados de mitocondrias e siderossomos - Granulos azul-escuros geralmente finos distribuidos no interior da hemácia - Associado a disturbios da eritropoiese (defeito na síntese de heme) Pode ocorrer em: - Intoxicação com chumbo - Talassemia - Anemia megaloblástica - Portadores de hemoglobina instável - Deficiencia de pirimidina5' nucleotidase
31
DESCREVA O ACHADO
**CORPUSCULOS DE HEINZ** - Partículas de polipeptídeos originadas da desnaturação da hemoglobina oxidada - Precipitação de subprodutos de globina desprovida do grupo heme - Ficam aderidos na proteína de membrana *banda 3* da hemáci, promovendo oxidação e sinalização para reconhecimento dos macrófagos - Após passagem no baço pode resultar em: Hemácia em bolha, bite cells (queratócitos) ou esquizócitos Principais causas: - Esplenectomia - Deficiencia de G6PD
32
DESCREVA O ACHADO
**CORPUSCULOS DE PAPPENHEIMER / SIDERÓCITOS** - Pequenas inclusões irregulares que se localizam na periferia da hemácia - Representa mitocondrias e ribossomos carregados de ferro, agregados de ferritina ou fagossomos que contem ferritina - São tingigos pelo corante *Romanowsky*, com o qual a hemossiderina aparece como pequenos granulos azuis - Quando corado pelo azul da Prússia (coloração de ferro) os pequenos granulos são chamados de **siderossomos e a hemácia de siderócito** Possíveis causas: - SMD - Anemia sideroblastica - Anemia diseritropoiética - Alcoolismo - Toxicidade por isoniazida - Esplenectomia
33
DESCREVA O ACHADO
**CRISTAIS DE HEMOGLOBINA C** - A hemoglobina C é uma variante da hemoglobina A que se originou da substituião do ácido glutamico por lisina na cadeia beta da globina - Esse cristal pode se apresentar intra ou extracelular - O cristal tem uma coloração densa e um formato típico de um cristal hexagonal longilíneo
34
DESCREVA O ACHADO
**MALÁRIA** - Infecção por protozoários do genero plasmodium **(A e B)** TROFOZOÍTOS **(C)** GAMETÓCITO
35
DESCREVA O ACHADO
**ROSETA DE HEMÁCIAS** - O neutrófilo é envolvido em toda a sua superfície por hemácias, dando-lhe um aspecto de flor - Nesses casos as hemácias aderem-se aos neutrófilos mediados por anticorpos - Ocorre em ESP de pacientes com AHAI
36
DESCREVA O ACHADO
**NEUTRÓFILO HIPERSEGMENTADO** - Sugestivo de anemia megalobástica
37
DESCREVA A LAMINA E DE UMA HIPÓTESE
Policromasia, anisocitose, presença de esferócitos e eritoblasto ortocromático circulante - Sugere quadro hiperproliferativo - AHAI