MIELOIDE Flashcards

(19 cards)

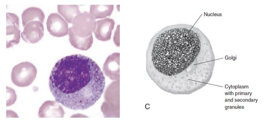
1
Q

DESCREVA A CÉLULA

A

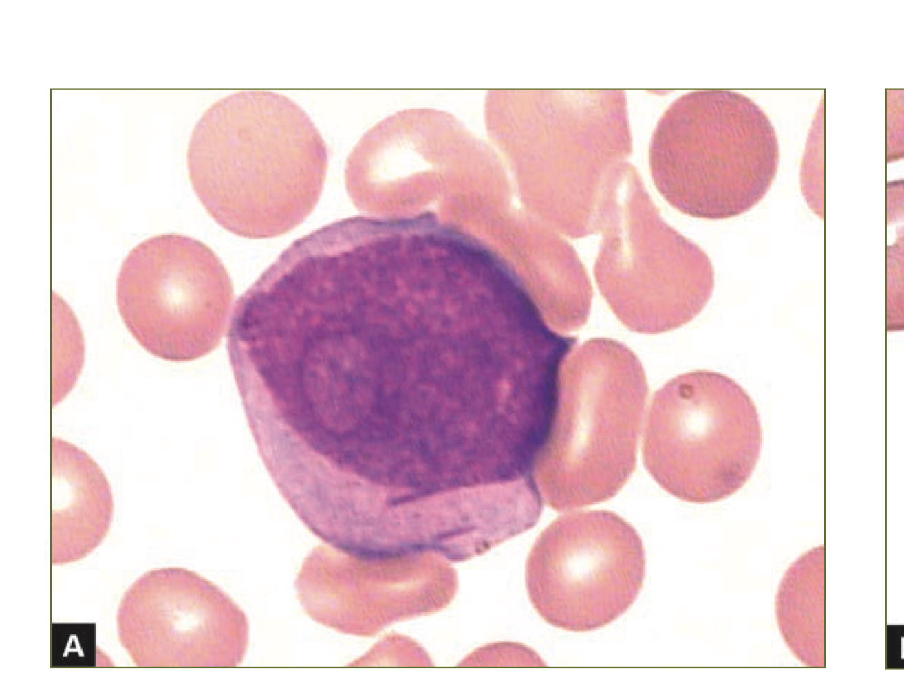
MIELOBLASTO

  • Tamanho: 10-15 uM
  • Citoplasma: Moderadamente basofílico, com presença ou ausência de grânulos
  • Núcleo: Redondo a oval, com 2-5 nucléolos e cromatina fina
  • Relação N/C: 4/1
  • Frequencia MO: 0-2%

Blastos tipo I: Sem granulos
Blastos tipo II: Até 20 grânulos

How well did you know this?
1
Not at all
2
3
4
5
Perfectly
2
Q

DESCREVA A CÉLULA

A

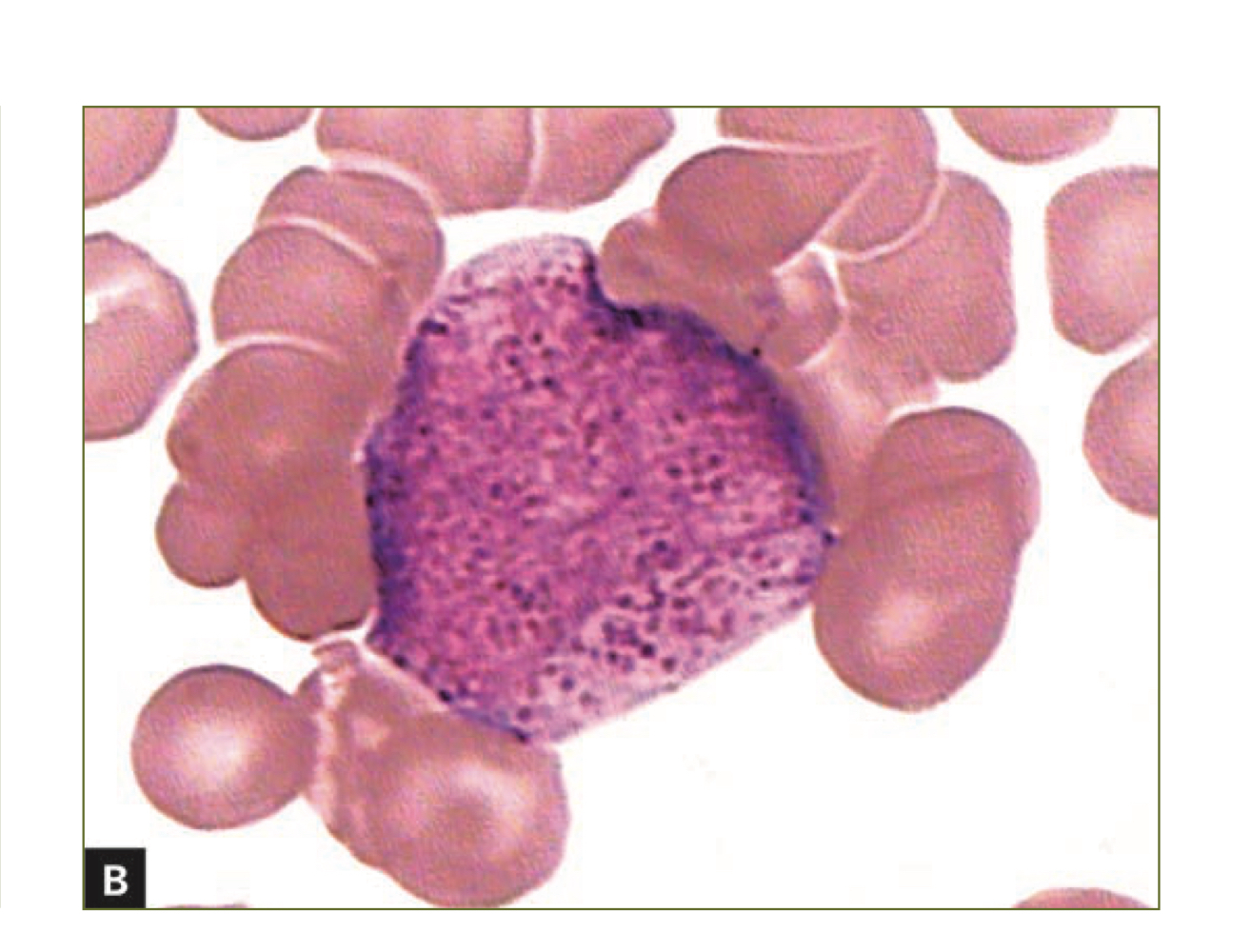
PROMIELÓCITO

  • Tamanho: 14-24 uM
  • Citoplasma: Basofílico, com presença de granulos grosseiros e azurofílicos, podendo apresentar bastonetes de Auer
  • Núcleo: Redondo a oval, com 1-3 nucléolos e cromatina fina, levemente condensada
  • Relação N/C: 3/1
  • Frequencia MO: 2-5%
How well did you know this?
1
Not at all
2
3
4
5
Perfectly
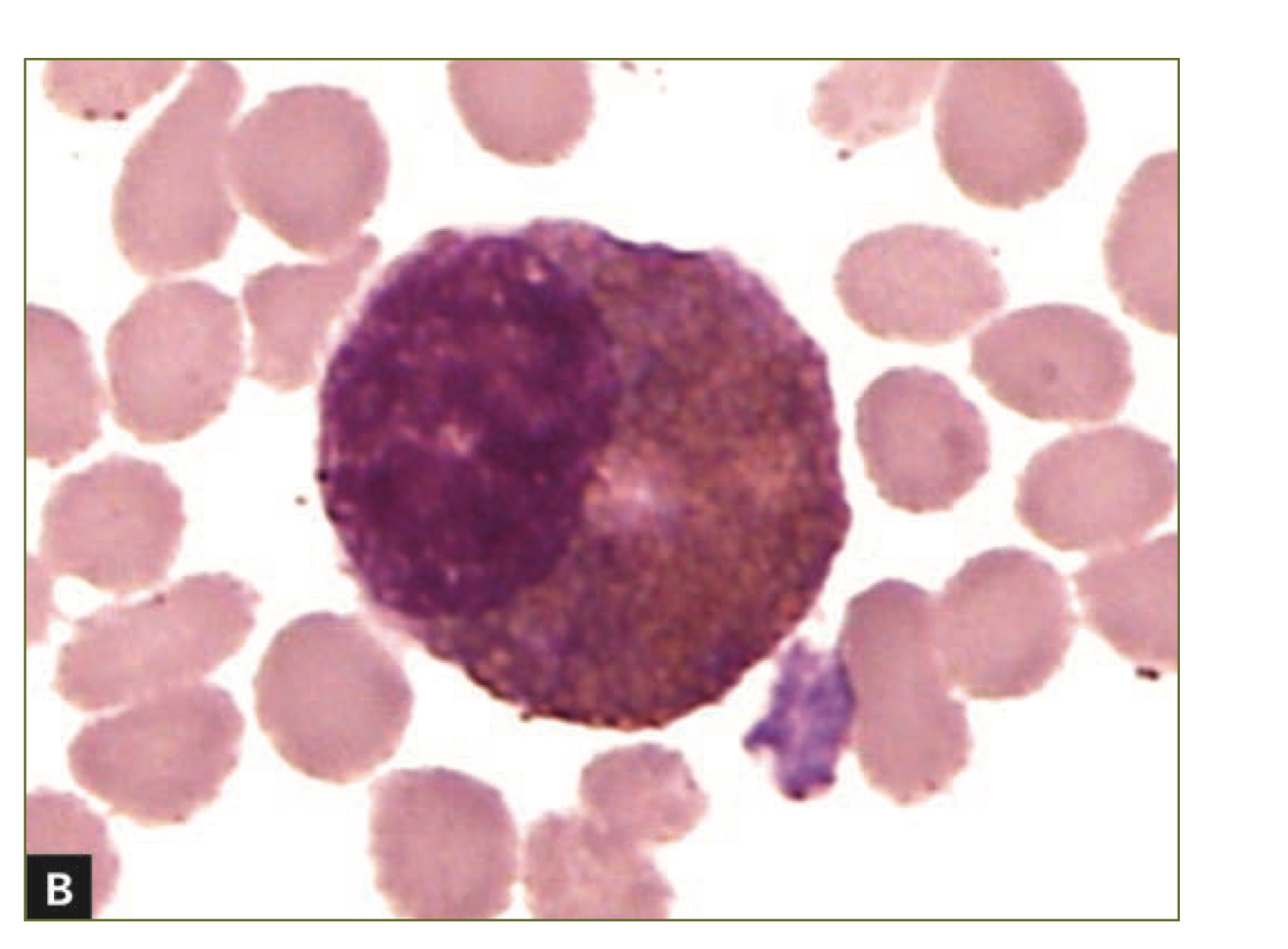
3
Q

DESCREVA A CÉLULA

A

MIELÓCITO

  • Tamanho: 12-18 uM
  • Citoplasma: Basofílico leve a creme
  • Núcleo: Redondo a oval, excentrico, pode ter um lado achatado. Pode ter uma área clara adjacente (Golgi). Sem nucléolos
  • Relação N/C: 2/1
  • Frequencia MO: 5-19%
How well did you know this?
1
Not at all
2
3
4
5
Perfectly
4
Q

DESCREVA A CÉLULA

A

METAMIELÓCITOS

  • Tamanho: 10-15 uM
  • Citoplasma: Rosa pálido a creme com poucos granulos
  • Núcleo: Indentado, em forma de rim. Indentação < 50% do comprimento de um nucléolo hipotético. Nucléolos ausentes e cromatina moderadamente condensada
  • Relação N/C: 1,5/1
  • Frequencia MO: 13-22%
How well did you know this?
1
Not at all
2
3
4
5
Perfectly
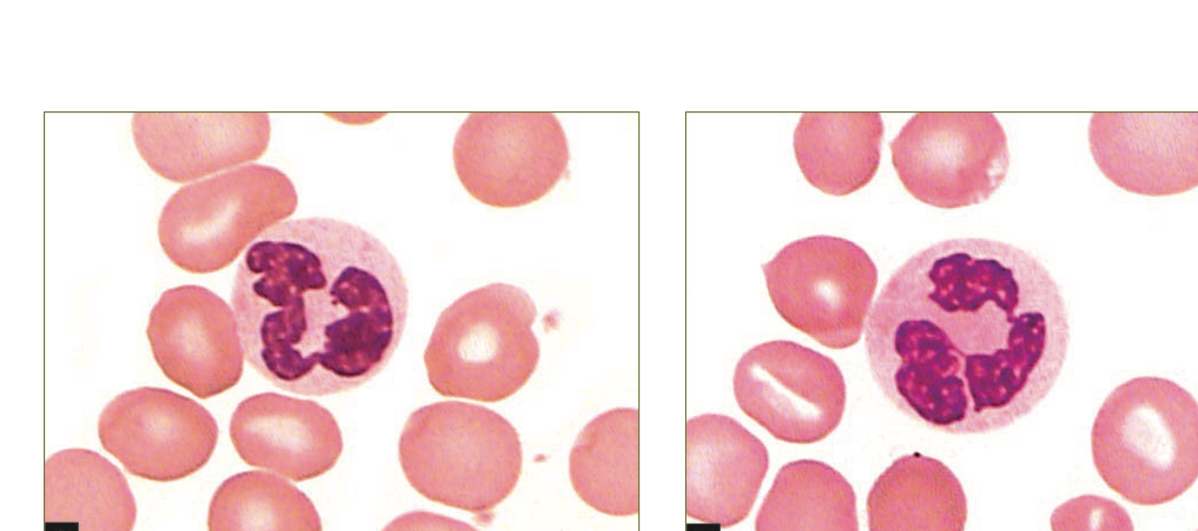
5
Q

DESCREVA A CÉLULA

A

BASTONETE

  • Tamanho: 10-15 uM
  • Citoplasma: Rosa pálido a incolor com abundantes granulos secundários
  • Núcleo: Constrito, mas não filamnetoso. Indentação > 50%. Ausencia de nuclelos e cromatina condensada
  • Relação N/C: Citoplasma predominante
  • Frequencia MO: 17-33%

Blastos tipo I: Sem granulos
Blastos tipo II: Até 20 grânulos

How well did you know this?
1
Not at all
2
3
4
5
Perfectly
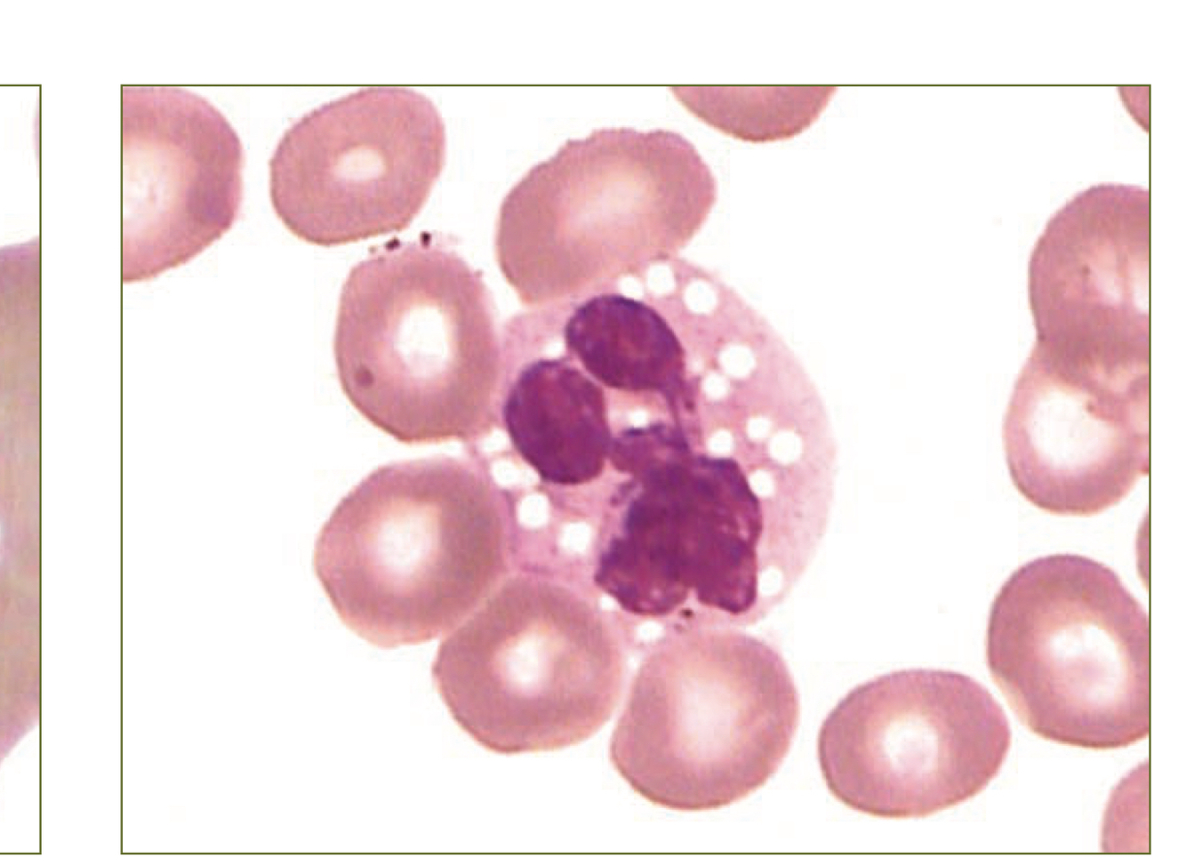
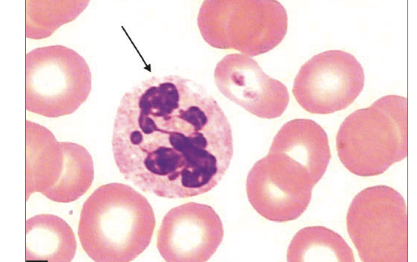
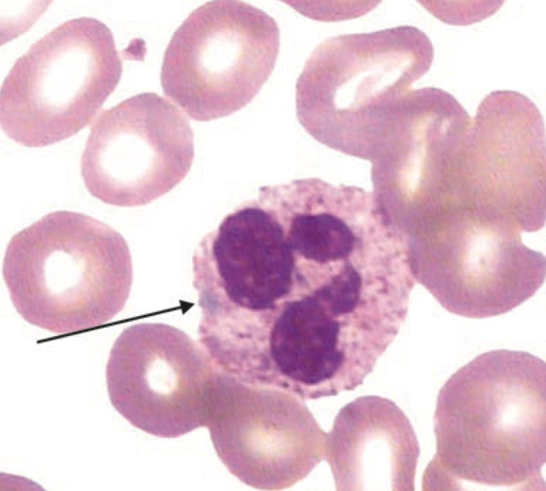
6
Q

DESCREVA O ACHADO

A

NEUTRÓFILO HIPERSEGMENTADO

  • Sugestivo de anemia megalobástica
  • > 5 segmentos nucleares
How well did you know this?
1
Not at all
2
3
4
5
Perfectly
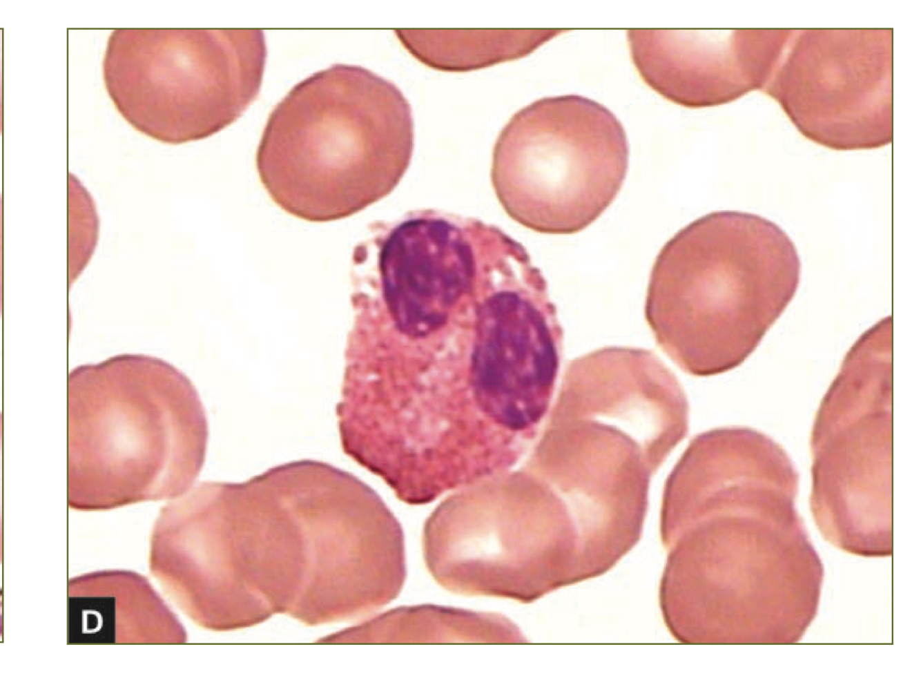
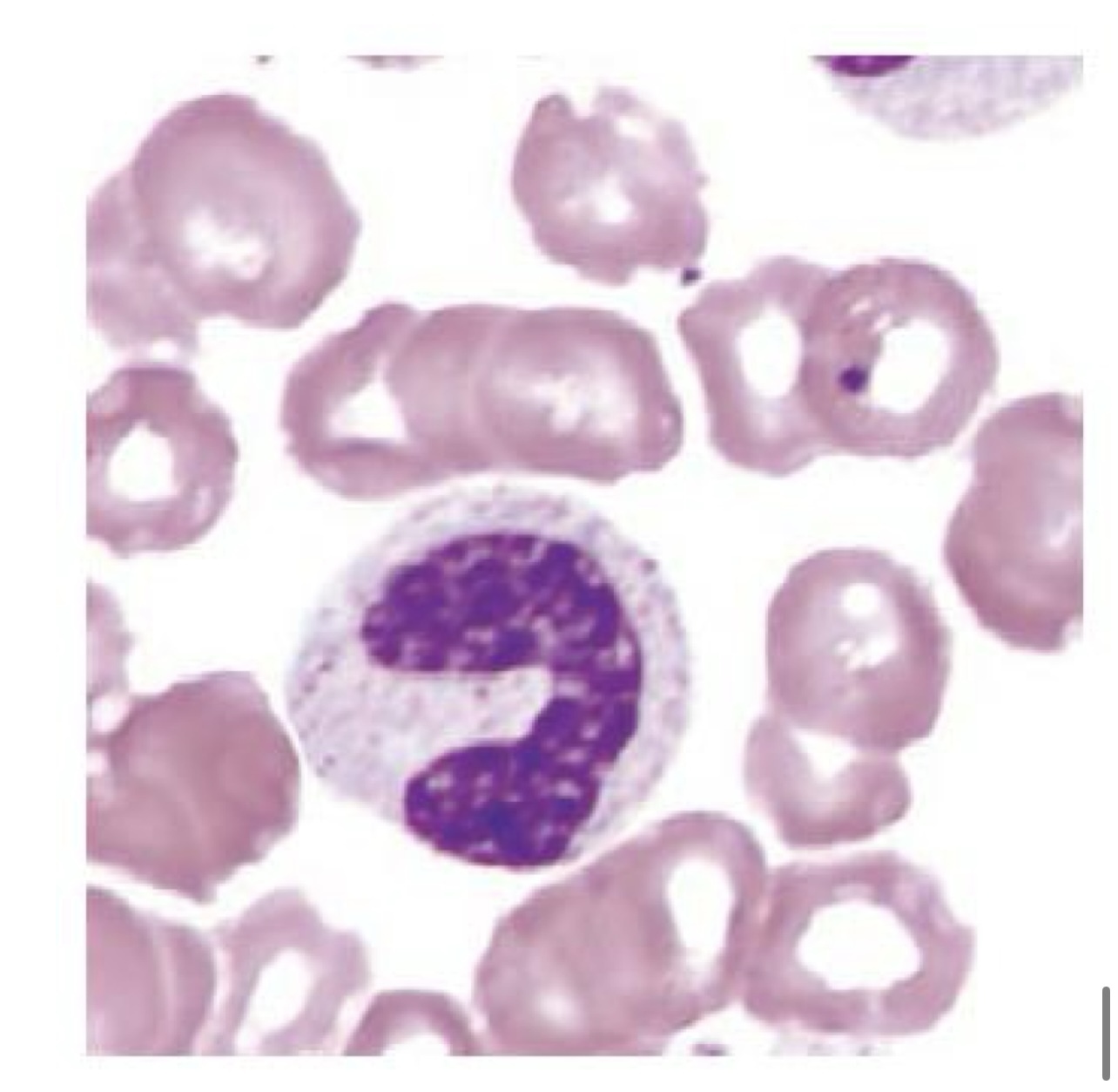
7
Q

DESCREVA O ACHADO

A

NEUTROFILOS BISSEGMENTADOS

  • Observados na anomalia Pelger-Huet
How well did you know this?
1
Not at all
2
3
4
5
Perfectly
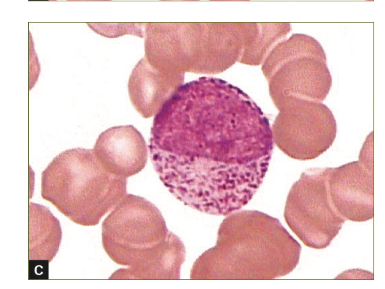
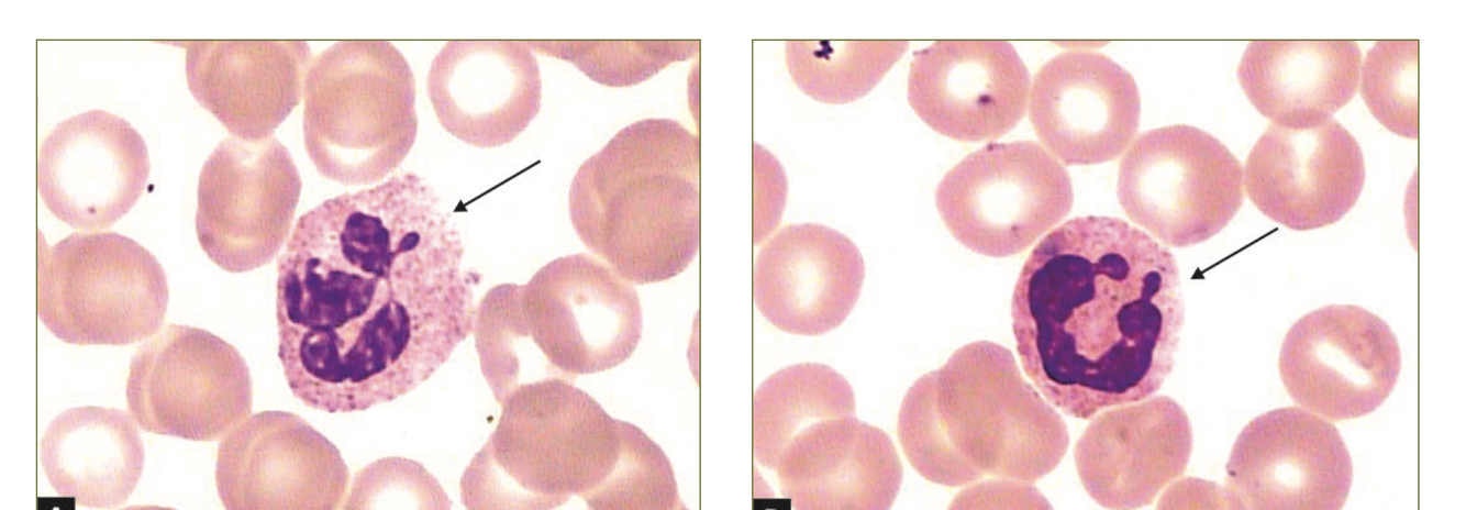
8
Q

DESCREVA O ACHADO

A

NEUTRÓFILOS HIPOGRANULARES

  • SINAL DE MIELODISPLASIA
How well did you know this?
1
Not at all
2
3
4
5
Perfectly
9
Q

DESCREVA O ACHADO

A

CORPÚSCULO DE BARR

Correspondente ao cromossomo X durante a intérfase

How well did you know this?
1
Not at all
2
3
4
5
Perfectly
10
Q

DESCREVA O ACHADO

A

NEUTRÓFILOS COM GRANULAÇÕES TÓXICAS

How well did you know this?
1
Not at all
2
3
4
5
Perfectly
11
Q

DESCREVA O ACHADO

A

NEUTRÓFILO COM VACUOLIZAÇÃO CITOPLASMÁTICA

How well did you know this?
1
Not at all
2
3
4
5
Perfectly
12
Q

DESCREVA O ACHADO

A

MIELÓCITO EOSINÓFILO

How well did you know this?
1
Not at all
2
3
4
5
Perfectly
13
Q

DESCREVA O ACHADO

A

BASTÃO EOSINÓFILO

How well did you know this?
1
Not at all
2
3
4
5
Perfectly
14
Q

DESCREVA O ACHADO

A

EOSINÓFILO

How well did you know this?
1
Not at all
2
3
4
5
Perfectly
15
Q

DESCREVA O ACHADO

A

MIELÓCITO BASÓFILO

How well did you know this?
1
Not at all
2
3
4
5
Perfectly
16
Q

DESCREVA O ACHADO

A

BASÓFILO MADURO

17
Q

DESCREVA O ACHADO

A

CORÚSCULO DE DOHLE

  • Inclusão leucocitária que ocorre apenas nos neutrófilos e costuma se apresentar na forma oval com coloração azul pálida, frequentemente na periferia da célula
  • Representa a liquefação do retículo endoplasmático do neutrófilo
  • Associado a quadros infecciosos graves, queimaduras, inflamação, gravidez ou uso de G-CSF
  • É muito comum apresentar granulação tóxica ou vacuolização citoplasmática na mesma célula
18
Q

DESCREVA O ACHADO

A

CORPUSCULO DE MAY-HEGGLIN

19
Q

DESCREVA O ACHADO

A

SÍNDROME DE CHEDIAK-HIGASHI