4.
The process of meiosis in the germline starts:
3,4.
Ethylene oxide is commonly used to:
2.
pH levels in bicarbonate buffered culture media are:
3.
Trophectoderm cells will go on to make parts of the:
2.
Which of following is a valid principle of ice formation?
3.
One widely used cryoprotectant is:
3.
Advantages of vitrification:
4.
Most Down’s syndrome are due to:
1.
In PGD for X-linked recessive disease, where the female is a heterozygous carrier, and the male is normal, what proportion of the female embryos will be affected?
1.
The European Tissues and Cells Directives (EUTCD) applied:
4.
What aspect of laboratory operations monitors equipment and processes to ensure that the laboratory is functioning properly on a day to day basis?
3.
Quality control
aspect of laboratory operations monitors
equipment and processes
that ► ensure that the laboratory is functioning properly
⇒ on a day to day basis
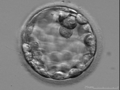
This Day-5 blastocyst is scored according to the Istanbul consensus workshop criteria as:

1.
blastocyst —-EXPANDED (3)
ICM few cells no compaction-poor (3)
TE fair (2)
= 3CB
According to WHO Laboratory Manual for the Examination and Processing of Human Semen (2010), the assessment of sperm morphology must be made in duplicate, evaluating _______ spermatozoa in each replicate.
3.
Ovarian primordial follicles begin their development:
4.
Gonadotropin hormones are synthesized in the:
3.
Immotile sperm and immotile cilia are a feature of:
1.
Kallmans syndrome

Kallmann syndrome
is a condition characterized by
body does not make enough of (GnRH)
delayed or absent puberty (hypogonadism low FSH and LH)
and an impaired sense of smell.
olfactory disorders
A peroxidase stain of semen smears is used to:
2.
In humans, implantation involves invasion finally reaching the:
3.
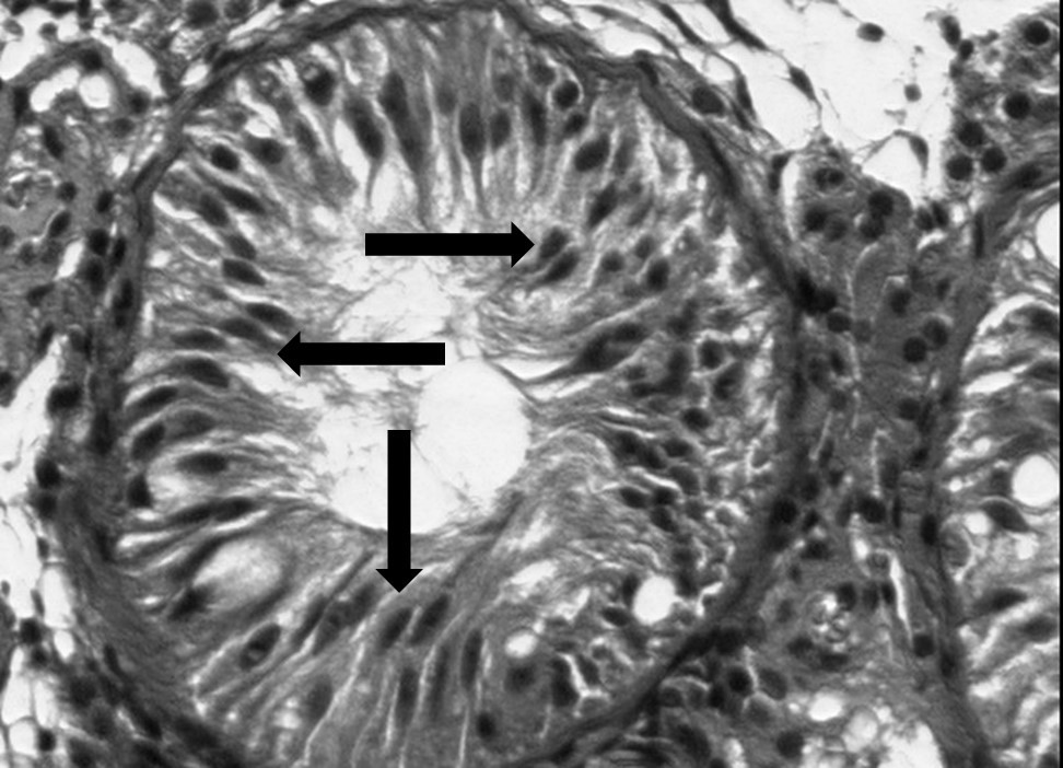
This is a cross-section of a seminiferous tubule. Which cells do the arrows point to?

2.
3.
According to the European Directive 2012/39/EU and as far as partner donation of reproductive cells is concerned, the permitted time interval until repeat blood testing is:
1.
1.
all Enzymes are proteins
Prosthetic groups or coenzymes are non-protein