what joint is involved in Bone Spavin
tarsometatarsal and the distal intertarsal joints- OCD
What fracture and what radiographic view

abaxial fracture of the proximal sesamoid bone and 60 deg skyline view
T/F
Pasteurella multocida is a common etiology of sinusitis associated with dehorning
F
It does cause pussy sinusitis, but is unrelated to dehorning
What is the joint of movement in the horse’s hock
Tibiotarsal Joint
What is the gold standard diagnosis for septic arthritis in horse
microbiology
What are the clinical signs associated with E-type foal septic arteritis
Epiphysis: few weeks old, acute on chronic lameness, in multiple joints
What is the primary clinical sign seen with OCD
Synovial effusion
Process of abnormal bone and cartilage formation
OCD (Osteochondritis dissecans)
What are the nerve blocks for the hind feet in cattle
Superficial peroneal nerve
Deep peroneal nerve
Medial and lateral plantar nerve

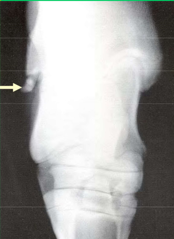
What position was used to take this radiograph

DLPM O
Dorso-Lateral Proximal Medial Oblique

At what age does the frontal sinus extend into the horn of cattle
4-6 months
What is the most common cause of sinusitis in cattle
secondary to de-horning
Which side of the horse is used for laparoscopic approach in the standing horse
Right side
What is the conformational abnormality

Cow Hocked
Valgus
What is type 1 vagal indigestion using the Cornell classification
Bloat
What smooth muscle relaxant can be used to ease passage of an esophageal foreign body
Buscopan
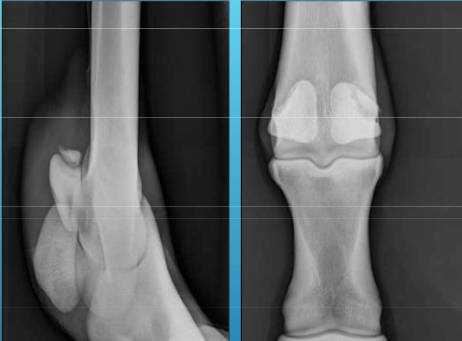
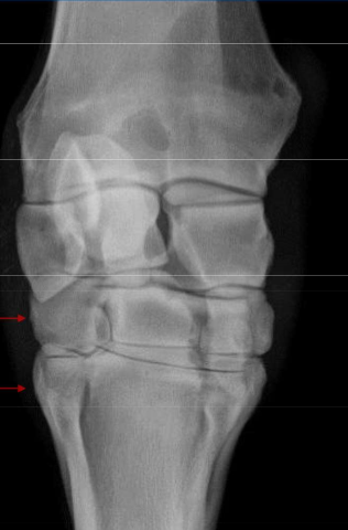
What is this lesion

OCD of the distal intermediate ridge of the tibia in the hock
What makes up the vascular portion of the eye
choroid
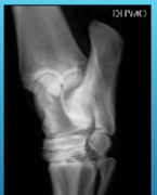
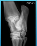
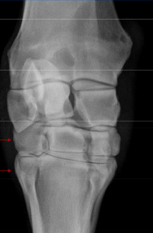
What is this lesion

OCD of the lateral malleolus in horse hock
What toxic plant is associated with cleft palate
Poison hemlock
What cells make articular surface
Chondrocytes make all components of the Hyaline cartilage
What are the margins of the Proximal paravertebral block in cattle
T13-L2
What is the view, what are the bones?

Dorsopalmar view
4th carpal bone and Metacarpal 4

What are the margins of ping for RDA
Paralumbar fossa to 8th rib