Process of abnormal bone and cartilage formation
OCD (Osteochondritis dissecans)
What is the pathophysiology of OCD
Failure of blood vessels to penetrate the cartilage leads to necrosis
What type of cartilage are healthy joints made of
Type 2 collagen
During OCD development- what type of cartilage is laid down?
fibrocartilage
Is OCD more common in male or female horses
Male- 2:1
What mineral, deficient in Kentucky is linked to OCD in horses
Copper
What is the primary clinical sign seen with OCD
Synovial effusion
What is the lay term for OCD of the tarsal crural joint of the horse
Bog Spavin
what joint is involved in Bog Spavin
Tarsal crural joint- OCD
What joint is most commonly effected by OCD in the equine patient
Tibiotarsal joint (Hock)
What aspect of the hock is most commonly effected by OCD in the horse? The second?
Distal intermediate ridge of the tibia is most common, Lateral trochlear ridge is second most common
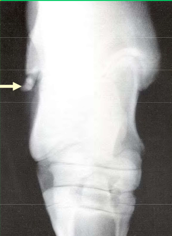
What is this lesion

OCD of the distal intermediate ridge of the tibia in the hock
What is this lesion

OCD of the distal intermediate ridge of the tibia in the hock
What is this lesion

OCD of the lateral trochlear ridge
What is this lesion

OCD of the lateral trochlear ridge
What is this lesion

OCD of the lateral malleolus in horse hock
What is this lesion

OCD of the lateral trochlear ridge of the stifle
Where is the only place that an OCD cyst has been reported in a horse
Medial femoral condyle

What is the location and lesion

This is an OCD cyst in the medial condyle of a horses femur- the only reported location
What is the location and lesion

OCD of the sagittal ridge of Metacarpal 3
That is the anatomical region that is misdescribed as an OCD lesion but is really a fracture

Palmar eminence of P1

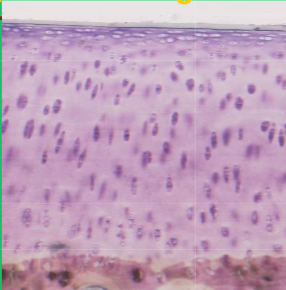
What tissue is primarily shown here

Hyaline cartilage
What are the components of Hyaline cartilage
A.
B.
C.

A. Collagen type 2
B. PSGAG
C. Hyaluronic acid
What cells make articular surface
Chondrocytes make all components of the Hyaline cartilage