Fråga B1(3p)Redovisa vilka olika typer av dokument/publikationer du kan använda för att ta reda på svenska och internationella riktlinjer för behandling av HFrEF? Nämn minst 3 olika typer av dokument/publikationer och minst en styrka och en svaghet med varje typ.
Fråga B3 (1,5p)Nämn minst ett system för att värdera evidensen för behandlingen och sammanfatta vilka parametrar som systemet tar hänsyn till för att värdera hur stark evidensen är.
Parametrar i GRADE:
Primär hypotyreossannoliktautoimmun tyreoidit (Hashimotos sjukdom).
Bakomliggande orsaker?
Tyreoidea-specifikt antigen, ofta tyreoperoxidas (TPO) frisätts felaktigt och dräneras till regionala lymfkörtlar där antigenet tas upp av dendritiska celler, presenteras via MHC-II för och aktivera cytotoxiska CD8+ T-lymfocyter. Dessa kommer via blodet till tyreoidea där de, om tolerans saknas (exempelvis om CTLV-4 är inaktivt på grund av ärftlig polymorfism) aktivera en cytotoxisk respons som leder till follikelcell apoptos. TPO känns även igen som främmande ämne av B-celler som aktiveras till plasmaceller och producera stora mängder anti-TPO antikroppar. Dessa binder in till TPO i tyreoidea och aktivera så-kallad antikropp-inducerad cytotoxicitet dvs. att Fc-fragment från antikropperna aktivera Fc-gamma receptorer på NK-celler som i sin tur aktiveras och inducera apoptos. Den generella inflammationen som orsakas av celldöden i tyreoidea leder även till rekrytering av makrofager och neutrofiler som producera pro-inflammatoriska cytokiner (IL-1, IL-6, TNF-a, m.fl.) som i sin tur leder till rekrytering och proliferation av T-hjälper celler (främst Th1), som ytterligare bidra till den inflammatoriska och celldödande mikromiljön genom bl.a. produktion av IL-3, en viktig proliferationsfaktor för cytotoxiska CD8-positiva T-celler. Celldöden leder till minskad produktion och frisättning av T4 som i sin tur inte utöver lika stor negativ feedback på hypofysen varvid produktionen och frisättningen av TSH ökar.
Fråga D6 (3p)Sköldkörtelhormoner verkar på olika målstrukturer i cellerna och har både icke genomiskaeffekter och genomiskaeffekter. Beskriv dessa principiellt samt ungefärligt tidsperspektiv för effekterna.
Icke genomiska effekter: T3 och T4 kan binda in till alfaVbeta3 integrin eller p30 (en förkortad version av TR) i cellmembranet och leda till signalering genom bl.a. MAPK och PKC/PKGII och NO. T2 och T3 kan även binda in till receptorer (förkortade versioner av TR eller andre receptorer) i mitokondrierna och leda till ökad frisättning av H+ (avkopplingseffekt). Inbindning av T3 till cytoskelettet kan även påverkacelldelning och migration. Dessa effekter är snabba och kan aktiveras inom några minuter/timmar
Genomiska effekter: Här kan studenten beskriva intracellulära mekanismer som aktiveras av kärnreceptorer för T3 som genom aktivering av T3-receptor (TR) och inbindning till T3-responsive element (TRE) i promoter-regionen på tyreoidea hormon-reglerade gener leder till uppregleringav dessa (ökandetranskriptionoch proteinproduktion). Detta tar dagar till veckor.
Fråga D7 (2p)Utifrån mekanismerna för den hormonella regleringen och halveringstideravtyreoideahormoner redogör för principerna för behandling med tyroxin vid hypotyreos.
Via TRH TSH T4/T3 feedbacksystem. Tyroxin i upptrappande dos med startdos 25 μg/dag. Ju svårare hypotyreos desto långsammare upptrappning till måldos (vanligen 100-150 μg/dag) som normaliserar TSH och fritt T4. Halveringstiden för Tyroxin är 7 dagar varför dosändring görs tidigast efter 6-8 veckor.Feedback systemet redogjordes det för i en tidigare fråga (kanske, annars kan studenten göra det här). Eventuellt kan man lägga till behandling med thyroxin inte alltid är effektiv och då kan man överväga att behandla med T3 istället. Detta kan ge utökad effekt då T4s halveringstid är lägreän vanligt, då T4 inte aktiveras lika effektivt till T3 i målcellerna, eller då icke-genomisk reglering via T3s genom inbindning till membran-receptorer (integrin eller p30) är prioriterad.
Fråga D10(4p) Beskriv de hormoner som i första hand är involverade vid hävandet av hypoglykemi och med vilka mekanismer de höjer blodsockret.
Snabb effekt: Adrenalin/Noradrenlin som ökar glykogenolys, glukoneogenes.Glukagon som ökar glykogenolys, glukoneogenes. Fördröjd effekt: Kortisol som ökar glukoneogenes i levern. GH som ökar insulinresistensen. Även somatostatin stiger (hämmar normalt insulinsekretionen). Fysiologiskt minskar insulinsekretionen men detta kan ju inte ske vid exogent givet insulin.
Fråga D11(4p)Förklara schematiskt för Johan hur hans insulinbehandling fungerar. Utgå från den normala insulinsekretionen under dygnet och vid måltider.
Basinsulin behövs hela tiden i låg koncentration som reglerar glukosbildningen från levern i fasta. Vid måltider måste man ge så snabbt insulin som möjligt för att kunna möta blodsocker ökningen med perifert glukosupptag och avstängning av leverns glukosproduktion. Durationen av måltidsinsulin får då inte vara för lång för då riskerar Johan att få hypoglykemi innan nästa måltid om han inte äter mellanmål. Likaså får inte basinsulindosen vara för hög då risken för nattliga hypoglykemier ökar.
Du har nyss läst en artikel i Läkartidningen om diagnostik av hjärtsvikt. I denna artikel anges sensitivitet och specificitet för några olika statusfynd. Sensitivitet för förflyttad hjärtapex (hjärtspetsen)är 66 % och specificitet 96 %. Vid hjärtundersökningen av Katarina letar du efter hjärtapex för att bedöma om denna är förflyttad lateralt eller kan återfinnas på normal plats på bröstkorgen. Fråga E3 (3p) Beräkna positiv likelihood ratio (LR+) och negative likelihood ratio (LR-) avseende statusfyndet, förflyttad hjärtapex. Resonera utifrån dina beräkningar vilket diagnostiskt värde förflyttad hjärtapexhar om det påträffas respektive inte påträffas vid den klinisk undersökningen av Katarina.
I det aktuella fallet är pretest sannolikheten för hjärtsvikt baserat på sjukhistoria och symptom relativt hög före den kliniska undersökningen. Sensitiviteten för förflyttad hjärtapex är 66 % och specificiteten 96 %.
Fråga E4 (2p) Röntgen visar vätska i höger pleurahåla, som man skall avlägsna genom att tappa ut en del av vätskan.Vilka två medicinska fackbegreppanvänds för att beskriva, dels tillståndet in pleurahålan, dels ingreppet?
Hydrotorax resp.torakocentes
Fråga E6 (3p)Ökad mängd pleuravätska indelas i två typer. Namnge de två olika typerna, och redogör noga för den generella patofysiologin för bildning av pleuravätska (inte bara hos Katarina).
Det är viktigt att skilja mellan transsudat(vid hjärtsvikt, levercirrhos, njursvikt m m) och exsudat(vid inflammationer, malignitet e t c). Detta görs fr a genom proteinhalten i pleuravätskan: <30 g/l = transsudat, däröver exsudat.Transsudat: Tryckfiltrering utan kapillärskada ger pleurala vätskeansamlingar när systemfaktorer förändrar jämvikten. Överdriven produktion av pleuralvätska eller minskad resorptionskapaciteten. Komponenterna i Starling-krafterna är: hydrostatiskt tryck, permeabilitet och onkotiskt tryck (olikheter mellan pleuravätska och blod), ger upphov till sjukdomar, tex vänsterkammarsvikt, njursvikt, leversvikt och cirros.Exudativpleurautgjutning orsakas av förändringar i lokala faktorer som påverkar bildandet och absorptionen av pleuralvätska (t.ex. lunginflammation, cancer, lungemboli)
Fråga E8a (1p)Organen vid obduktionen:Hjärta: beskriv de mikroskopiska patologiska förändringar som finns i Katarinas hjärta, och vilken är patofysiologin för att det ser ut så?

Hjärtmuskulatur som är hypertrof med större cellkärnor.I Katarinas fall, så handlar det om patologisk hypertrofi vid hjärtinfarkt, VOC, och metabolt syndrom med en reduktion i hjärtkammarens storlek med ökar väggstjocklek (koncentrisk hypertrofi), där kardiomyocyter ökar mer i tjocklek än i längd. Patologisk hypertrofi resulterar i dilatation av kammaren (eccentrisk hypertrofi), där den kontraktila funktionen (patologisk remodelling), resulterar i förlängning av de individuella kardiomyocyterna. Detta resulterar så småningom till hjärtsvikt, där ejektionsfraktionen är bevarad eller reducerad.
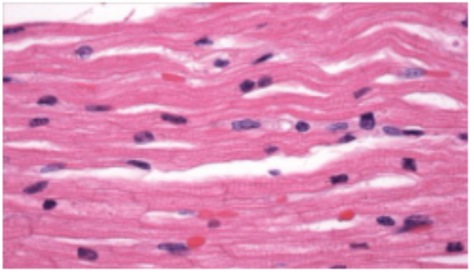
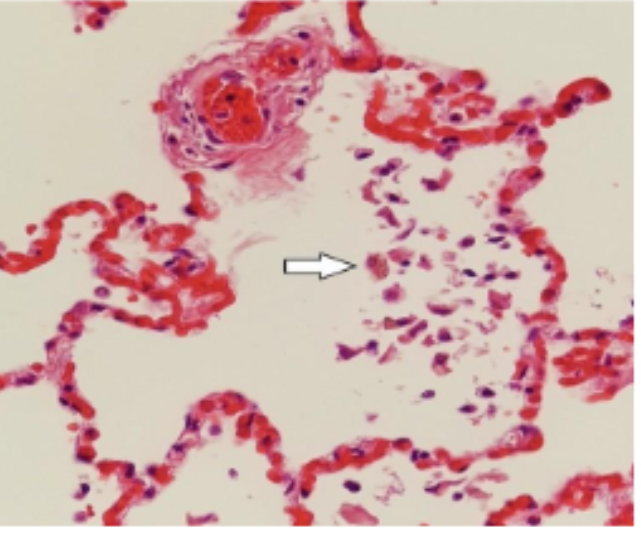
Fråga E8b (2p)En lunga alveol:Beskriv de mikroskopiska patologiska förändringar som finns i Katarinas lunga. Förklaraingående patofysiologin varför det ser ut så! Angeockså vad är det för cell som pilen pekar på. Vilken förändring som Du hade förvänta dig att finna, men som intefinns?

En arteriol som är fyll med röda blodkroppar (vänster, övre hörnet). Alveolerna är utspända, och kapillärer är hyperemiska med röda blodkroppar.Det finns deskvamerade celler i alveolen. Pilen pekar på en hemosiderinfyllda makrofager (”heart failure cells”), som tyder på äldre blödningar i alveolen.Bilden talar för akut och kronisk stas i lungkretsloppet. Ingen ödemvätska ses dock.
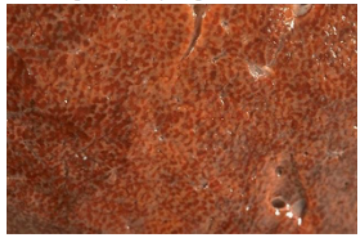
Fråga E8c (2p)Lever:beskriv de makroskopiska patologiska förändringar som man ser i Katarinas leverparenkym. Förklara ingående patofysiologin varför det ser ut så!

Mönstret kallas för muskot nöt teckning (”nutmeg”). Det beror på en kronisk stas i hjärtat som fortplantas via v. cava och till levervenerna. Fortsatt stas leder till att de centrolobulära delen av leverlobuli (central venerna) får ischemiska skador, medan de hepatiska arteriolerna förhindrar att sådanaischemiska utvecklas periportalt. Vid tillräcklig stas benämns detta som centrilobulär hemorrhagisk nekros, som då uppträder som ”nutmeg” teckning.