Visual Field testing
Finger confrontation
Kinetic boundary test
Opthalmoscopy landmarks

Special considerations in children
Vision milestones
Red reflex testing: shine light -> check for leukocoria in Rb or cataracts
Screen for strabismus/heterotropia
Pre-literate or low literate Pt
Refractive diseases

Eyelid position
Eyelid lesions

A. Blepharitis: chronic inflammation of the eyelid
B. Xanthelasma: yellowish fat deposit underneath eyelid
C. Hordeolum: infection of sebaceous gland of Zeis or sweat gland of Moll
D. Chalazion: cyst in eyelid caused by obstruction of meibomian gland
Lacrimal disease

A. keratoconjunctivitis Sicca (Sjogren: dry eyes and dry mouth)
B, lacrimal gland obstruction
Conjunctiva & sclera

A. conjunctivitis
B. scleritis: painful inflammation
C. episcleritis: painless inflammation
Cornea

A. Keratitis: Infection or inflammation of the cornea (the centre portion of the eye that surrounds the pupil) & is usually accompanied by eye pain, photophobia, foreign body sensation, tears, & blurred vision.
B. Arcus senilis: infiltration of cholesterol deposits
C. Foreign body
Pupils

A. Aniscoria
B. Tonic pupils

Glaucoma

Uveitis and assoicated disorders
A. Uveitis: assoc w red eye
B. Iritis: associated with severe pain, photophobia, tearing, decreased vision

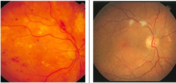
Retinal diseases
Left: diabetes showing
Right: HPT
Special testing

Slitlamp Examination:
• Used to visualize the anteriorsegment for foreign body in cornea
• Details of the external landmarks can also be seen
Fluorescein Staining:
Eyebrow distribution & lesions
Pingueuculum
A yellowish patch or bump on the white of the eye, most often on the side closest to the nose. It is not a tumor, but an alteration of normal tissue resulting in a deposit of protein and fat. Unlike a pterygium, a pingueculum does not actually grow onto the cornea. A pingueculum may also be a response to chronic eye irritation or sunlight.

Pterygium
A fleshy growth that invades the cornea. It is an abnormal process in which the conjunctiva (a membrane that covers the white of the eye) grows into the cornea. Pterygium may be small or grow large enough to interfere with vision, and commonly occurs on the inner corner of the eye. The exact cause of pterygium is not well understood. Pterygium occurs more often in people who spend a great deal of time outdoors, especially in sunny climates. Long-term exposure to sunlight, especially ultraviolet (UV) rays, and chronic eye irritation from dry or dusty conditions seem to play an important causal role.

Sjogren’s syndrome
Sjögren’s (“SHOW- grins”) syndrome is a chronic disease in which white blood cells attack the moisture-producing glands

Dacrocystitis
Infection of the tear sac between inner corner of eyelids and nose. Usually caused by block of the duct that carries tears from the tear sac to the nose. Dacroadenitis is lacrimal gland enlargement.

Arcus senilis

Adie’s pupil
Argyll-Robertson pupil
Nystagmus
Drusen
Look like specks of yellowish material under the retina. They are deposits of extracellular material that accumulate between the retinal pigment epithelium (RPE).
A few small drusen normally form in the human eye, usually after age 40.
