Eye conditions

Common causes of Sudden PAINLESS loss of vision?
Good migraine
GCA
Occlusion central retinal vein
occlusion of central retinal artery
Detachment retinal
retinal migraine
anything “retina” involved is painless bc there is no trigeminal nerve in the retina!
CRVO vs CRAO
cx, pathophys, fundoscopy, Ix, Mx

What is the screening for someone with strong family history of glaucoma?
Those with a positive family history of glaucoma should be
screened annually from aged 40 years
open angle vs closed angle Glaucoma
– Trabecular meshwork deteriorates (age:chronic) open angle glaucoma>> COMMON
– Narrowing of irido-corneal angle (acute):
closed angle glaucoma

Pathophysiology of OPEN angle glaucoma
A 62-year-old man who is followed up for primary open angle glauoma. He has a history of asthma.
gradual increase in resistance in trabecular meshwork–> difficult for aqueous humour to flow through the meshwork & exit eye–> pressure slowly builds in eye –> gives a slow and chronic onset of glaucoma.
RFx
Presentaton:
Asymptomatic
Dx
Mx
1st line: PG analogue eyedrops (latanoprost)
Other:
Ans: Muscarinic agonist, bc beta blockers r contraindicated in asthmatics

what do you see on visual fields in open angle glaucoma?
and what type of visual field test is most commonly used?
MOST COMMONLY THE HUMPHREY VISUAL FIELD TEST

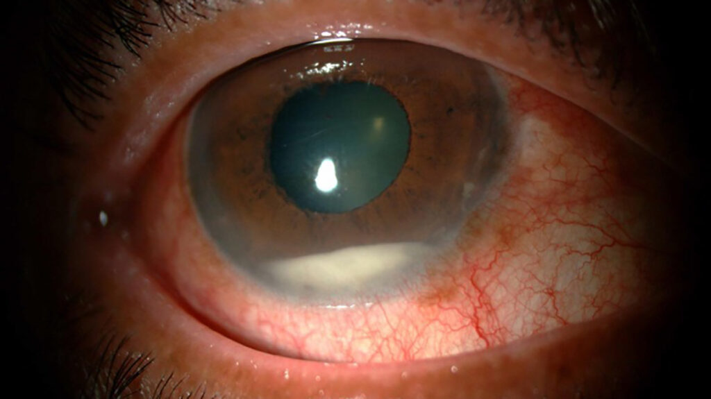
Acute angle closure glaucoma (AACG)
narrowing of IC angle–> blockage in AH trying to escape the eye–> rise in IOP in post chamber
RFx
Presentation

Examination feautres of AACG

Mx : Acute angle closure Glaucoma
STAMP

Pilocarpine antimuscuranic in sphincter muscles in the iris and causes constriction of the pupil –> a miotic agent.
causes ciliary muscle contraction–> flow of AH from ciliary body, around the iris & into the trabecular meshwork open ups
Acetazolamide CA inhibitor–> reduces the production of AH
What is the DEFINITIVE mx for AACG
laser iridotomy

Drugs for eye

Define, Rf, presentation, Signs Mx,
what 3 things depends on referrel for Sx accoding to NICE?
what level of vision do most people undergo surgery?

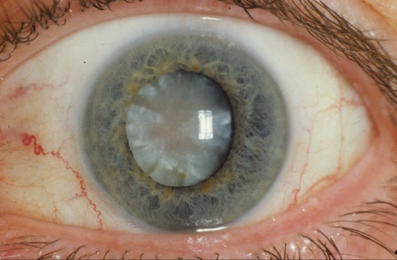
CATARACT
Cataracts are where the LENS in eye becomes cloudy and opaque –> reduces visual acuity by reducing the light that enters the eye.
RFx
Presentation
asymmetrical as both eyes are affected separately.
Signs
A key sign for cataracts is the loss of RED REFLEX
The lens can appear grey or white when testing the red reflex. This might show up on photographs taken with a flash.
Mx
NICE suggests that referral for surgery depends on whether a:

what is this?
how would u manage it?

Endophthalmitis-complication of cataract Sx
inflammation of the aqueous and/or vitreous humour of the eye, cx by infection.
Mx
intravitreal antibiotics injected into the eye. This can lead to loss of vision and loss of the eye itself.
List 3 risks of cataract surgery
Periop
– Posterior capsular rupture and vitreous loss
Early post-operative
– Infection “Endophthalmitis”
Late post-operative
– Posterior capsule opacification THICKENING OF THE LENS
which is a Build up of debris on the capsule

Macular Degeneration
types, rfx, symptoms, ex and ix, Tx
Beta-carotene vitamen has been found to increase the risk of lung cancer and hence antioxidant dietary supplements are not recommended for smokers.

Posterior vitreous detachment
Signs, symp, Ix, Cx, Mx, complications
The vitrous humour is made up of 99% water and 1% collagen and that collagen is what makes the vitrous jelly,
as we age this gel substance starts to break down and forms CLUMPS and hair like strands which r floaters
the gel sac is firmly attached to the optic N. And there more gel substance around it and when that plugs off, it usually plugs of pretty hard and this is what is weiss ring and thats the LARGE floater that u get
bc the vitrous humour is stuck to the retinal layer like a velcro, when it starts to detach it tugs on the retina, and the brain doesnt really know what to do with that and its not like a normal visual signal so its sees it as a flashing light

problem? risk factors? symptoms? treatment (3)?

retina separates from the choroid underneath.(photoreceptors no longer able to function resulting in visual disturbance cuz it gets its BS from underlying choroid layer)
Rfx
Sympx
Mx
Management of retinal tears aims to create adhesions between the retina and the choroid to prevent detachment. This can be done using:
Reattaching the retina can be done using one of three options:

Increased eyelash length, what drug caused this?
what other sympmtoms to they get?

Lantoprost, Pg analogues
iris pigmentation and periocular pigmentation
List 8 eyelid disorders you know
?
Cx, features,Mx

Blepharitis: inflammation of the eyelids.
Mx

differenttiate btw them
presentation?
treatment?

stye and chalzion
Stye
“hordeolum”

How is uveitis classified?
Anterior uveitis - inflammation affecting the iris (iritis) +/- the ciliary body (iridocyclitis)
Intermediate uveitis - inflammation of the posterior part of the ciliary body and nearby peripheral retina and choroid
Posterior uveitis – inflammation of the retina and choroid Panuveitis – inflammation of the whole uveal tract
