FIbroblastic neoplasms Flashcards

(14 cards)

1
Q

Acrochordons
(skin tags)

Associations

A

Diabete Mellitus
Obesity

Birt Hogge Dube
Cowdens sydrome

How well did you know this?
1
Not at all
2
3
4
5
Perfectly
2
Q

Acrochordons Rx
(skin tags)

A

Not required

Scissor excision
Cryotherapy
Currette etc

Ablative laser

How well did you know this?
1
Not at all
2
3
4
5
Perfectly
3
Q

Describe and DDx

A

Solitary, dome shaped, and shiny skin coloured to reddish papule located on the nose.

Fibrous papule / anigiofibroma

BCC
Intradermal naevus

How well did you know this?
1
Not at all
2
3
4
5
Perfectly
4
Q

Cause of multiple facial angiofibromas

A

Tuberosclerosis
MEN type 1
Birt Hogg Dube

Rarely - NF2

How well did you know this?
1
Not at all
2
3
4
5
Perfectly
5
Q

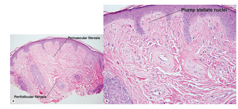
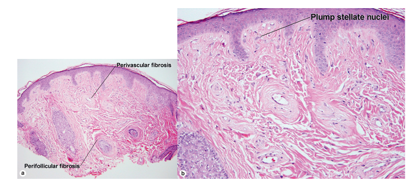
Histology of an angiofibroma

A

Dome shaped lesions with dermal proliferation of plump or stellate fibroblasts in a collagenous stroma with an increase in the number of thin-walled, dilated blood vessels

How well did you know this?
1
Not at all
2
3
4
5
Perfectly
6
Q

Dx

A

Angiofibroma

How well did you know this?
1
Not at all
2
3
4
5
Perfectly
7
Q

Families with inherited multiple DF have mutations in ?

What is the inheritance?

A

autosomal dominant

Factor 13A1

How well did you know this?
1
Not at all
2
3
4
5
Perfectly
8
Q

Clinical features of a dermatofibroma

A
  • Occur mainly in adults and often develop on the lower extremities
  • Firm, minimally elevated to dome shaped papules which are <1cm in diameter, but occasionally are >2cm
  • Hyperpigmented often
  • Pinching the lesion results in an apparent downward movement of the tumour also known as the dimple sign
  • Dermoscopically – central white scar like patch or white network surrounded by a delicate pigment network
How well did you know this?
1
Not at all
2
3
4
5
Perfectly
9
Q

Multiple eruptive DF can be seen in

A

autoimmune disorders (SLE),
atopic dermatitis and
immunosuppression (HIV infection)

How well did you know this?
1
Not at all
2
3
4
5
Perfectly
10
Q

Immunohistochemistry of a dermatofibroma

A

vimentin +,
factor 13 a+,
muscle specific actin +,
CD68 +

Negative for CD34 (in the centre of the lesion) - DFSP is diffusely positive

How well did you know this?
1
Not at all
2
3
4
5
Perfectly
11
Q

Histological variants of a dermatopfibroma

A

Aneurysmal fibrous histiocytoma – can metastasise

Atypical – monster cells – can metastasise
Balloon cell

Clear cell

Cellular DF – can metastasise

Deep DF with atypical cells – can mimic DFSP

Epithelioid fibrous histiocytoma

Granular cell DF

Haemosiderotic DF

Lipidised fibrous histiocytoma

Myxoid

Myoid fibroma

Metastasising fibrous histiocytoma

Palisading DF

Xanthomatous DF

How well did you know this?
1
Not at all
2
3
4
5
Perfectly
12
Q

Dx

A

Dimple sign

Suggestive of a dermatofibroma

How well did you know this?
1
Not at all
2
3
4
5
Perfectly
13
Q

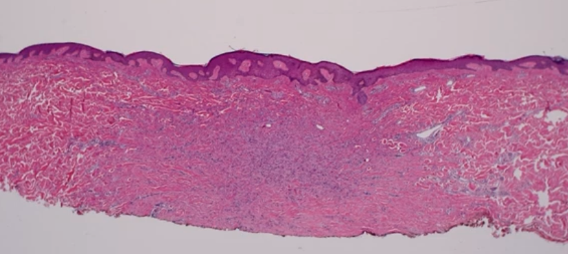
Histology of a dermatofibroma

A

Induction of the epidermis - “tabling”

Spindle cell proliferation in the dermis
- haphazard
- jaggered edges (not smooth borders)
- entraps collagen bundles at the periphery

Can have haemosiderin staing, can have foamy or vacuolated appearance (xanthomatous) cytoplasm

How well did you know this?
1
Not at all
2
3
4
5
Perfectly
14
Q

What is this?

A

Solitary, skin coloured to pink, slightly keratotic, exophytic papulonodules with a collarette of elevated skin

Acral fibrokeratoma

How well did you know this?
1
Not at all
2
3
4
5
Perfectly