Quiz Flashcards

(80 cards)

1
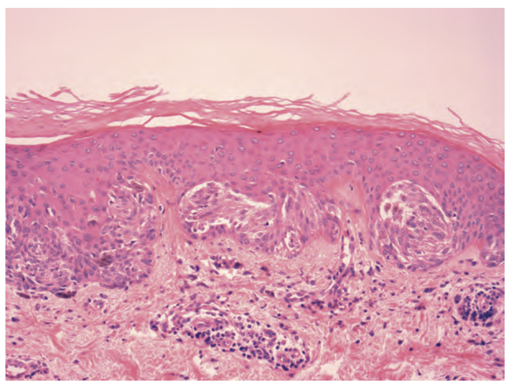
Q
A

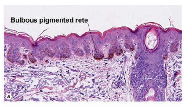
Thin rete with bulbous tips
hyperpigmented / increased melanin in the tips

= Solar Lentigo

How well did you know this?
1
Not at all
2
3
4
5
Perfectly
2
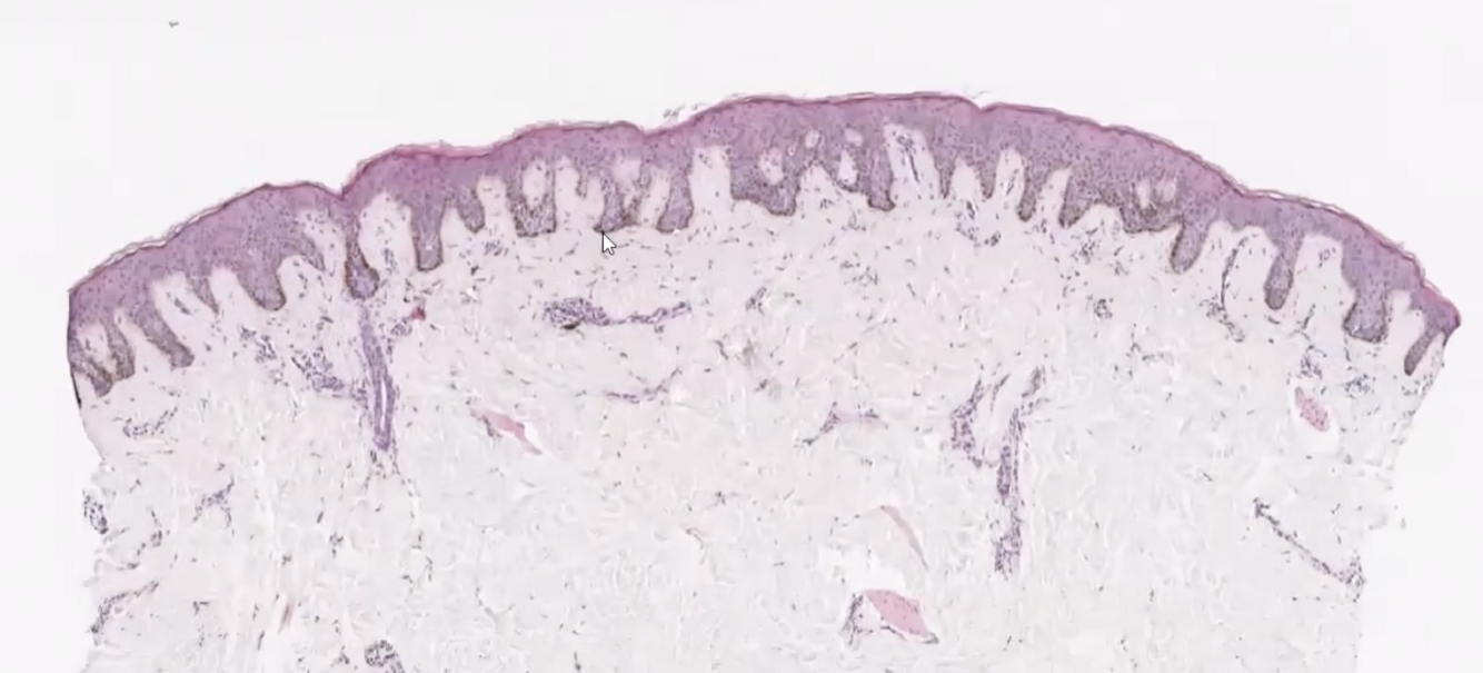
Q
A

Slightly ancanthotic epidermis with thin rete and hyperpigmented bulbous tips of the rete

SOLAR LENTIGO

How well did you know this?
1
Not at all
2
3
4
5
Perfectly
3
Q
A

Broad squared off rete
pigmented basal layer

Melanotic macule

How well did you know this?
1
Not at all
2
3
4
5
Perfectly
4
Q
A

Nests of melanocytes in the Papillary dermis
Maturation of melanocytes - become smaller, spindled and solitary
Pigment is high in the lesions

No overt atypia
No mitosis

Benign Melanocytic Naevus

How well did you know this?
1
Not at all
2
3
4
5
Perfectly
5
Q

Histological differences between a Melanoma and benign naevus

A

Naevus:
- Symetrical from left to right
- Demonstrates maturation of melanocytes
- Melanocytes near the DEJ are well nested
- Deep mitoses are rare
- Deep pigment is rare

Lacks pleomorphism
Can have mitsoses

Melanoma:
- Assymetrical from right to left
- Non-nested melanocytes usually outnumber nests
- Junctional nests are elongated and bizarre shapes
- typically fails to mature
- pleomorhpism
- Can have deep mitoses and pigment

How well did you know this?
1
Not at all
2
3
4
5
Perfectly
6
Q
A

Solar lentigo

How well did you know this?
1
Not at all
2
3
4
5
Perfectly
7
Q
A

Junctional nests and dermal nests

Compound naevus

How well did you know this?
1
Not at all
2
3
4
5
Perfectly
8
Q
A

Descrete nests of melanocytic celss at the DEJ

= Junctional naevus

How well did you know this?
1
Not at all
2
3
4
5
Perfectly
9
Q
A

Balloon cell naevus

Balloon cell = degenerative cells
Sharply defined, well nested at the DEJ

How well did you know this?
1
Not at all
2
3
4
5
Perfectly
10
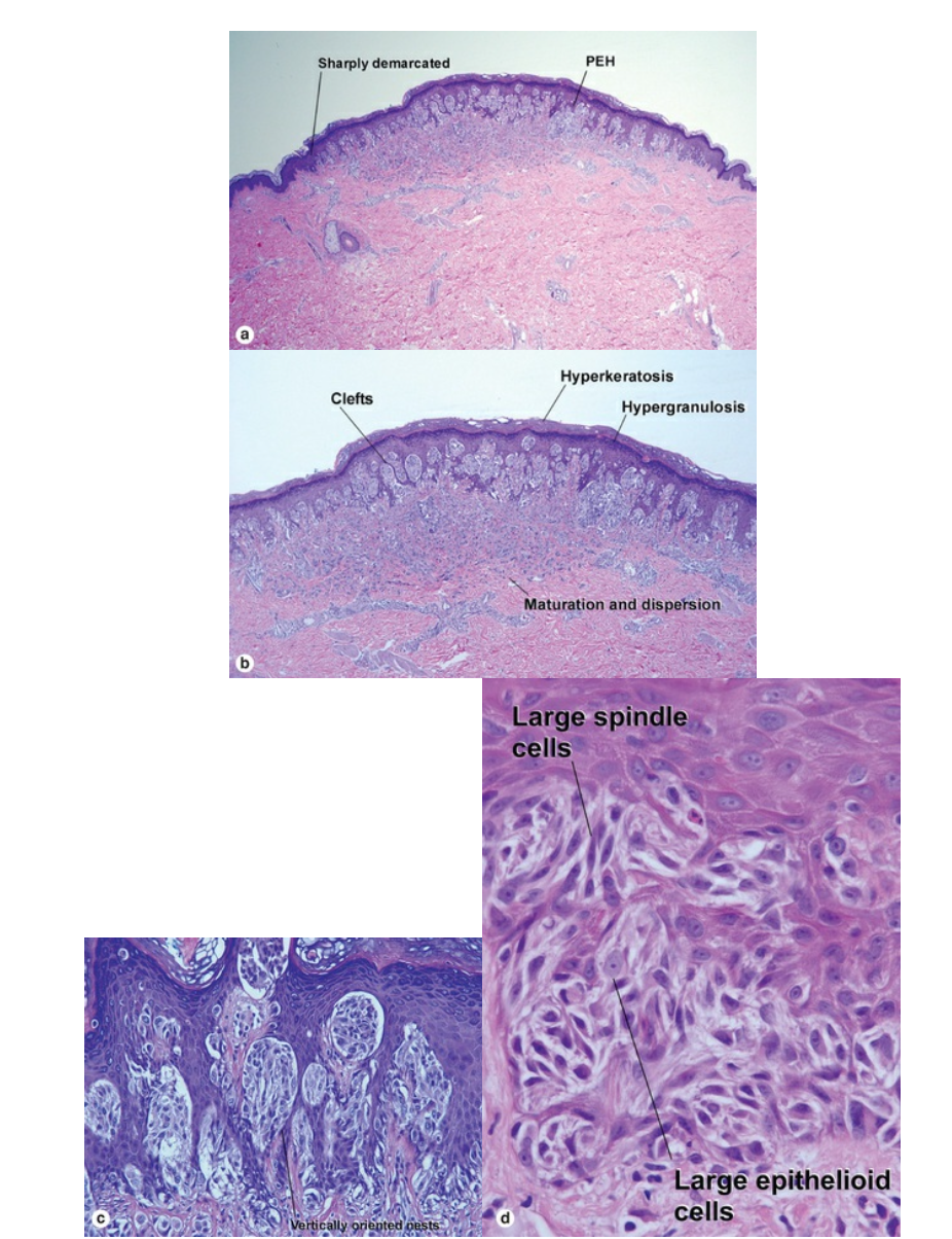
Q

Describe the histological features of a spitz naevus

A

Sharp lateral cicrumscription
Maturation
Dispersion

Hyperkeratosis, Hypergranulosis and pseudoepitheliomatous hyperplasia

Well nested at the DEJ
- Nests are vertically orientated along the DEJ “banana on trees”

Kamino bodies - dull pink areas of trapped basement membrane

Large spindles and epitheloid cells
Nuclei as large or larger than keratinocyte nuclei
Two tone cytoplasm

Stains:
- HMB45 = top heavy
- S100

How well did you know this?
1
Not at all
2
3
4
5
Perfectly
11
Q
A

Spitz naevus

How well did you know this?
1
Not at all
2
3
4
5
Perfectly
12
Q
A

Kamino body = trapped BM in the epidermis

Feature of a spitz naevus

How well did you know this?
1
Not at all
2
3
4
5
Perfectly
13
Q
A

Pigmented spindle cell naevus of reed

How well did you know this?
1
Not at all
2
3
4
5
Perfectly
14
Q
A

Compact hyperkeratosis
Central buckershot pattern
Nests of melanocytes

Acral melanocytic naevus

How well did you know this?
1
Not at all
2
3
4
5
Perfectly
15
Q
A

Blue naevus

How well did you know this?
1
Not at all
2
3
4
5
Perfectly
16
Q
A

Beckers naevus

Looks like a simplementation lentigo with acanthosis

Underlying smooth muscle haemartoma

How well did you know this?
1
Not at all
2
3
4
5
Perfectly
17
Q
A

Spindle cells in fasicles
Dense collagen in the background

B

How well did you know this?
1
Not at all
2
3
4
5
Perfectly
18
Q
A
How well did you know this?
1
Not at all
2
3
4
5
Perfectly
19
Q
A

Compound naevus

How well did you know this?
1
Not at all
2
3
4
5
Perfectly
20
Q

Blue Naevus - Histological features

A

Three histological subtypes:
- classic
- cellular
- atypical

Classic:
- elongated wavy melanocytes with long, branching dendrites
- arranged parallel to the epidermis
- grouped in bundles in the upper and mid dermis
- increased collagen giving a fibrotic / sclerotic appearance.
- NO attachement to the epidermis

Cellular:
- well circumscribed, nodular
- well defined nests of fusiform to ovoid melanocytes
- surrounde by collagen and melanophages
- penetration of round, cellular islands into the subcutis

Atypical
- larger size
- ulceration
- infiltrating features
- mitoses
- necorsis

How well did you know this?
1
Not at all
2
3
4
5
Perfectly
21
Q

Blue naevi - common sites

A

scalp, sacral region, dorsal distal extremities

How well did you know this?
1
Not at all
2
3
4
5
Perfectly
22
Q

Blue naevi - common mutations

A

GNA Q (50 - 60%)
GNA 11 ( 7 - 15%)

How well did you know this?
1
Not at all
2
3
4
5
Perfectly
23
Q

Blue naevi dermoscopy

A

homogenous blue-grey to blue-black pigmentation

How well did you know this?
1
Not at all
2
3
4
5
Perfectly
24
Q

DDx

A

Blue Naevus
Venous Lake
Traumatic Tattoo
Melanoma
Angiokeratoma

How well did you know this?
1
Not at all
2
3
4
5
Perfectly
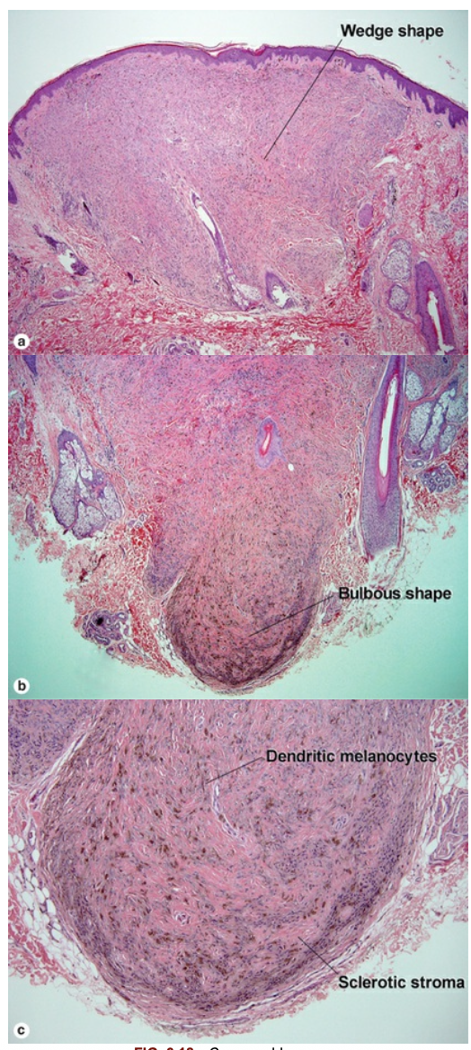
25
Epidermis = unremarkable Elongated, wavy spindled cells in the dermis, arranged parellel to the epdiermise Heavily pigmented Increased collagen Dx: Blue Cell Naevus - classic
26
Dx? Associations
Naevus of Ota Associations: - glaucoma - uveal melanoma - neural melanosis - cutaneous melanomas (rare)
27
Naevus of Ota Histology findings?
Pigmented, elongated dendritic melanocytes in the reticular dermis scattered between collagen bundles +/- basal hyperpigmentation of the epidermis
28
Naevus of ota genetics
Small proportion are ass with GNAQ and 11 (15%)
29
Treatment of a naevus of Ota
Q switched ruby, alexandrite, NdYAG, Picosecond laser
30
Dermal melanocytosis (mongolion spot) Rim of normal skin is common around CALMs, or CMNs
31
List genetic conditions associated with multiple lentigenes
1. **Noonan syndrome with multiple lentigenes (previously LEOPARD)** 2. **Peutz - Jaghers Syndrome** 3. **Laugier - Hunziker syndrome** 4. **Carney Complex (previously NAME / LAMB)** 5. Hyperkeratosis- hyperpigmentation syndrome (Cantu) 6. Generalised lentigenosis 7. Cowden disease 8. Xeroderma Pigmentosa 9. Inherited patterned lentigenosis 10. Centrofacial lentigenosis
32
What is Peutz Jeghers Syndrome?
Autosomal dominant Gene STK11 **Mucocutaneous lentigenes ** - present at birth or appear during childhood - favour the perioral region, oral mucosa, hands Longitudinal Melanonychia **Multiple GI harmatomas Pancreatic carcinoma Ovarian / testicular tumours **
33
What is Laugier Hunziker syndrome?
Multiple lentigenes in the perioral, mucosal, lips and digts Ass with: - longitudinal melanonychia - genital melanosis No internal manifestations
34
What is Carney Complex?
Autosomal dominant Gene: PRKAR1A Features: - Lentigenes, mucocutaneous myxomas, blue naevi - Psammomatous melanotic schwannomas - Atrial Myxomatosis - Myxoid mammary fibroadenomas - testicular, thyroid and pituitary tumours - pigmented adrenocortical disease
35
What are the features of Noonans with multiple lentigenes?
AD condition PTPN11 > RAF1 > BRAF "LEOPARD" Lentigenes, Cafe Noir Macular ECG changes (conduction defects) Ocular hypertelorism Pulmonary stenosis Abnormal genitalia Retarded growth Deafness
36
Mutation in Beckers naevus?
ACTB gene
37
Features of Beckers Melanosis syndrome?
Ipsilateral hypoplasia of the breast, areola, nipple, arm. Shortening of the ipsilateral arm Scoliosis Pectus carinatum Enlargement of the ipsilateral foot Accessory scrotum and nipple More common in Females
38
Mutation in acral naevi
BRAF and NRAS
39
What are the three major dermoscopic patterns in acral naevi?
Parallel furrow Lattice like Fibrillar pattern
40
Dx Who gets them?
Pearly Penile papules (a form of angiofibroma) Occurs in 30% of post pubertal men More common in Uncircumcised men
41
Dx and histo features
Pearly Penile Papules (angiofibroma) Normal / attenuated epidermis Superficial thin walled, lited blood vessels Sparse, plump fibroblasts in collagenous stroma
42
43
Histology of a fibrous papule
Same as an angiofibroma Dome shaped lesions Normal epidermis Superficial dilated vessels Proliferation of plump or stellate fibroblasts in a collagenous stroma
44
Conditions with multiple fibrous papules
TS MEN 1 Birt Hogg Dube syndrome NF2
45
Dermatofibroma dermoscopy
Central white scar like patch OR white network surrounded by a pigmented network
46
Histological findings of a dermatofibroma Include stains
Epidermal acanthosis With connections / tabling of the rete ridges Spindle shaped fibroblasts arranged as short intersecting fasciles in the dermis entrapped collagen bundles at the periphery Stains: Vimentin, facto VIIIa, muscle specific actin, CD 68 postive
47
DF
48
List 5 clinical subtypes of dermatofibroma
Deep DF Giant Hyperkeratotitic Non-pigmented Erosive and ulcerative Annular haemosiderotic Multiple grouped Disseminated Lipidised fibrous histiocytoma Hyperpigmented nodular
49
List 5 histological subtypes of a dermatofibroma
Adenodermatofibrom Cellular DF Clear cell DF Deep DF Cholesterotic DF Balloon cell DF Myxoid DF Granular cell DF Signet ring DF Xanthomatous DF Palisading DF
50
Cause of DF
Unknown ? at sites of athropod bites ? trauma
51
3 treatment options for skin tags
Snip excision Tweezer cryotherapy Fine wire diathermy Shave excision Laser Ablation (C02)
52
Periungal papule Spindle cell proliferation
Acral Fibromyxoma
53
Staining of an acral fibromyxoma?
CD34 positive
54
Sclerotic fibroma Aka storiform collagenoma can be seen in which condition?
Cowdens Or can be an isolated finding.
55
This is a storiform collagenoma (sclerotic fibroma) What is the histo
Hypocellular tumour Sclerotic, thick collagen bundles Seperated be spaces containing mucin Spindle cells reacts positively for vimentin, SMA and CD34
56
Describe
Dense pink sclerotic collagen with very little cellularity Wood grain pattern = Sclerotic fibroma or storiform collagenoma
57
What is the clinical appearance of a multinucleate cell angiohistiocytoma
slow growing multiple, discrete but grouped red to violaceous papules Lower limbs or dorsal hands Women > 40
58
What is the Histo appearance of a multinucleate cell angiohistiocytoma
Proliferation of dilated capillaries Small venules in the superficial to mid dermis, thickened collagen Multinucleated giant cells, some palisading.
59
clinical features of an AFX
Typically older sun damaged patient Scalp / head and neck Rapidly growing, exophytic nodule +/- ulceration and crusts
60
histological features of an AFX
Dermal based neoplasm Atypical spindle cells, large atypical cells, pleomorphism, hyperchromatic nuclei May have multinucleated cells Overlying epidermis may be hyperplastic, ulcerated May have solar elastosis Stains: Cytokeratins negative, melanocytic markers negative, ERG and desmin negative DIAGNOSIS OF EXCLSUION | (if in the subcutis need to think DFSP)
61
Prognosis of AFX
Benign behaviour Complete excision is curative Needs to be differentiated from PDS as this have local recurrence rate of 25- 30% and met rate of 10%
62
Histo features of a pleomorphic dermal sacroma
Very similar to AFX - dermal spindled shaped proliferationo - large atypical cells - pleomorphism - Hyperchromatic nuclei Differentiating features: + sub cut invasion + Perineural invasion + lymphovascular invasion + necrosis
63
multiple dermatofibrosarcoma protuberans in a child What is the association?
Adenosine deaminase deficent severe combind immunodeficency
64
Fusion gene in all DFSP?
COL1A1::PDGFB
65
Histological features of DFSP
generally centered within the dermis or subcutis - **typically very bland. ** characterized by **spindle cells** with a **storiform to whorled pattern** Cytoplasm abundant and eosinophilic; **nuclei are monomorphic** and ovoid to elongated with variable mitotic activity Tumors infiltrate and expand fibrous septa; interdigitation among lobules of fat yields a **honeycomb pattern** Adnexal structures are spared Stroma may be collagenous, myxoid or microcystic
66
Which immunohistochemical stain would be diffusely positive in typical dermatofibrosarcoma protuberans tumor (such as the one shown in the image above)? CD34 Desmin HMB45 Pankeratin S100
CD34
67
The presence of which of the following fusion genes can be used to support a diagnosis of dermatofibrosarcoma protuberans in a primary dermal spindle cell neoplasm? COL1A1::PDGFB EWSR1::FLI1 FUS::DDIT3 JAZF1::SUZ12 MYB::NFIB
A
68
DFSP clinical
Classically an exophytic, nodular cutaneous mass; however, often initially presents as a flat plaque Favours young to middle age adults - 50 - 60 % occur on the trunk - 20 -30 % on the proximal extremities Slowly growing, skin coloured to erythematous, indurated plaque, papule and nodules
69
Treatement of DFSP
Complete excision, inclduign Mohs Micrographic surgery Imatinib for recurrent / metastatic disease (
70
A 76-year-old man with severe actinic damage has a dome-shaped ulcerated nodule on the temple. Biopsy shows a dermal-confined pleomorphic spindle/giant cell proliferation with no perineural, lymphovascular, or subcutis invasion. IHC: CD10+, CD68+, actin+ (patchy); pan-CK (AE1/AE3)–, p63–, S100–, ERG–. Which diagnosis best fits? A. Spindle cell SCC B. Atypical fibroxanthoma C. Pleomorphic dermal sarcoma D. Cutaneous angiosarcoma
B
71
What is Giant cell fibroblastoma (GCF)?
egarded as a juvenile or paediatric variant of DFSP. Shared molecular hallmark: t(17;22) translocation → COL1A1–PDGFB fusion, driving PDGFB overexpression. Histo: - Spindle fibroblasts and multinucleated giant cells in a myxoid stroma. - Pseudovascular or angiectoid spaces lined by giant cells. - CD34 positive, endothelial markers negative (excludes vascular tumours). Clinical behaviour: - Locally aggressive, with recurrence risk up to 50%. - No metastatic potential reported. - May recur as either GCF or DFSP.
72
A deep-seated tumour on the thigh of a 45-year-old man shows intersecting fascicles of spindle cells in a herringbone pattern. Mitotic figures are frequent, and foci of necrosis are seen. The tumour is vimentin positive, cytokeratin negative, and NTRK fusion positive. What is the most likely diagnosis?
Fibrosarcoma
73
Atypical fibroxanthoma often shows perineural invasion.
False
74
Pleomorphic dermal sarcoma has a 10% metastatic rate and requires ≥2 cm margins.
True Local recurrence rate: ~25–30% Metastatic rate: ~10% (commonly to lungs) Management: Wide local excision with ≥2 cm clinical margins Multidisciplinary discussion (possible adjuvant radiotherapy for large or recurrent lesions)
75
DFSP commonly expresses Factor XIIIa.
False CD34-positive and Factor XIIIa–negative DF = opposite
76
Giant cell fibroblastoma shares the same COL1A1–PDGFB fusion as DFSP.
T Giant cell fibroblastoma (GCF) and DFSP share the same t(17;22)(q22;q13) translocation, producing the COL1A1–PDGFB fusion gene. This activates the PDGFB/PDGFR-β signalling pathway, which is targetable with imatinib.
77
Fibrosarcoma often displays a herringbone pattern histologically.
T
78
AFX and PDS are both positive for CD68 and CD10
T
79
Giant cell fibroblastoma frequently metastasises to the lungs.
False Locally agressive, does not metastasise
80
Name two histologic features that distinguish pleomorphic dermal sarcoma (PDS) from atypical fibroxanthoma (AFX).
Extension into the subcutis Perineural invasion Perivascular invasion Necrosis