

lesion to the optic nerve
retinal lesion
lesion to the nasal fibers crossing over
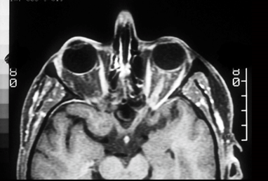
lesion where the optic nerve comes into the chiasm
lesion to the tract, meyer’s loop or lateral geniculate and these are fibers after crossing over
tract lesion leading to complete hemiopoa
lesion to the occipital fibers coming from right next to each other.
visual field deficit is superior and temporal and most likely it is a retinal lession that is inferior and nasal
visual field deficit is inferior thus lesion must be superior. lesion is preventing ganglion cell axons from entering optic nerve
loss of central vision leading to a relative afferent pupillary defect
imaging shows optic nerve inflammation but upon examination retina appears normal. loss of central vision.
temproal field is missing thus probably this a lesion to the chiasm. information from temporal visual field enters nasal retina and must cross in the chiasm
this is a pituitary adenoma that is putting pressure on the chiasm leading to a bi-temporal hemianopia (temporal fields missing
lesion to the optic tract leading to a field defect in both eyes. a nasal on right and temporal on left
demyelinating plaque that is affecting the optic tract
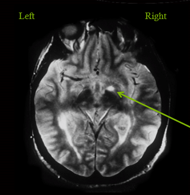
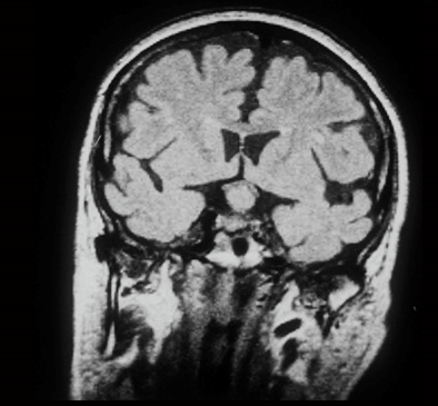
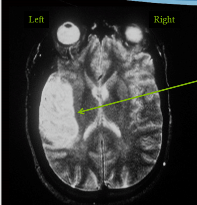
damage to meyer’s loop in temporal fibers
this shows damage to meyer’s loop in temporal lobe usually caused by a tumor or stroke
loss of fibers after crossing over leading to side one eye losing vision on opposite side
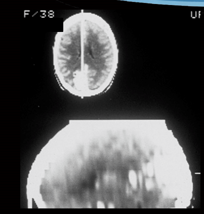
infarct in MCA territory leading to all loss of fibers losing vision on opposite side
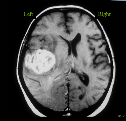
occipital lobe lesion. alsmost superimposable field defects. left occipital lobe causing right sided visual field defect.
AVM malformation in left occipital lobe causing right sided visual field defect