Fotodermatosis Flashcards

(37 cards)

1
Q

Fotodermatosis mas comun

A

Erupcion luminica polimorfa

How well did you know this?
1
Not at all
2
3
4
5
Perfectly
2
Q

En que pacientes es común la erupción lumínica polimorfa

A

en fototipos claros y en la segunda o tercera década
Es mas comun en primavera y verano

How well did you know this?
1
Not at all
2
3
4
5
Perfectly
3
Q

Cual es la patogenia de la erupcion luminica polimorfa

A
How well did you know this?
1
Not at all
2
3
4
5
Perfectly
4
Q

Zonas mas comunes afectadas en la erupcion luminica polimorfa

A

cuello, brazos, dorso manos

How well did you know this?
1
Not at all
2
3
4
5
Perfectly
5
Q

Lesiones que vemos en la erupcion lumnica polimorfa

A

Papulas confluentes que forman placas con distribución simetrica
muy pruginosa

How well did you know this?
1
Not at all
2
3
4
5
Perfectly
6
Q

Que debemos de sacar para el fototesting

A

Dosis minima eritematosa

How well did you know this?
1
Not at all
2
3
4
5
Perfectly
7
Q

Que es la doisis mínima eritematosa

A

Mínima dosis de radiación ultravioleta capaz de inducir un eritema perceptible en la piel, y que usualmente se evalúa 24h después de la irradiación

How well did you know this?
1
Not at all
2
3
4
5
Perfectly
8
Q

Como se hace el fototesting

A

Se coloca placa o parche con múltiples aperturas sobre piel
Se irradia fuente de luz UVA, UVB o visible, con aumentos progresivos

How well did you know this?
1
Not at all
2
3
4
5
Perfectly
9
Q

Porcentaje de la dosis minima que se usa para la sensibilización

A

Menos del 50%

How well did you know this?
1
Not at all
2
3
4
5
Perfectly
10
Q

Medidas preventivas para la erupcion luminica polimorfa

A
How well did you know this?
1
Not at all
2
3
4
5
Perfectly
11
Q

Abordaje para la erupcionados luminica polimorfa

A

se basa en tres pilares: prevención, fotoprotección y tratamiento sintomático o preventivo.

How well did you know this?
1
Not at all
2
3
4
5
Perfectly
12
Q

Fotoproteccion física para erupcion luminica polimorfa

A
  1. Evitar el sol
  2. Prendas
  3. Pantallas solares
How well did you know this?
1
Not at all
2
3
4
5
Perfectly
13
Q

Como se lleva a cabo el fotohardering

A

Natural: a inicios de la primavera (antes de 10:00)
* Provocada: dosis que no ocasionen eritema
* 2 a 3 veces por semana
* Duración: 4 a 6 semanas

How well did you know this?
1
Not at all
2
3
4
5
Perfectly
14
Q

Objetivo del fotohardering

A

INDUCIR TOLERANCIA

How well did you know this?
1
Not at all
2
3
4
5
Perfectly
15
Q

Tx para la EPL de leve-moderada

A

Esteroide de alta o muy alta potencia: Clobetasol 0.05%
Betametasona 0.1%
Fluocinonide 0.05%
Halobetasol 0.01%

How well did you know this?
1
Not at all
2
3
4
5
Perfectly
16
Q

Tx para EPL severa

A

Prednisona 30mg

17
Q

Terapia de tercera linea para ELP

18
Q

EA de la talidomida

A

Neuropatía periférica
* Teratogénico

19
Q

Que es el prurigo actinico

A

Erupción papular o nodular pruriginosa y costrosa inducida por luz solar

20
Q

En que edades es mas frecuente el prurigo actinico

A

Mas frecuente en menores de 10 años

21
Q

Alelos que se han relacionado con prurigo acitnico en mexico

A

HLA B16 y B39

22
Q

Lesiones que vamos a tener en el prurigo actinico

A

Erupción papular o nodular pruriginosa y costrosa inducida por luz solar

23
Q

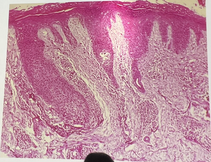
Diferencias histopatologicas del prurigo actinico con la ELP

A

NO EDEMA PAPILAR en el prurito actinico

24
Q

Medidas de fotopreoteccion en el prurigo actinico

25
Tx sintomatico para enfermedad leve de prurigo acitnico
Tacrolimus cada 12-24 horas
26
Tx para prurigo actinico que no repsonde a tracolimus
Clobetasol 0.05% durante 3 a 14 días
27
Tx para los episodios agudos de prurigo actinico
En episodios agudos Cursos cortos Prednisona 0,5 a 1 mg/kg Generalmente no eliminan por completo las lesiones
28
Mecanismo de accion de la talidomida
Efecto inmunomodulador y antiinflamatorio: Inhibe la producción de TNFa en monocitos periféricos Modula la producción de IFN-y por CD3 Suprime presentación de antígenos por células de Langerhans
29
Cual es el mejor tx para prurigo actinico
Talidomida
30
Otros tx para prurigo actinico
31
Características de la urticarfia solar
Ronchas que aparecen de 5-10 minutos despues de exponerse al sol y desaparecen en 1 o 2 horas tras la exposición
32
Patogenia de la urticária solar
33
Tx de primera linea para urticaria solar
Antihistamínicos de segunda generación Cetirizina 10 mg cada 24h Loratadina 10 mg cada 24h
34
Tx para urticaria solar de segunda linea
Antihistamínicos de primera generación Fexofenadina 180 mg cada 24h (el que mas sirve) Hidroxicina
35
Que otros tx podemos deja en pacientes con urticaria solar
Doxepina
36
Anticuerpo monoclonal para urticária solar
Omalizumab inhibe la igE
37
Indicaciones para omalizumab
Pacientes que fallan a antihistamínicos y otras medidas * 300 mg SC cada 4 semanas * La mejoría se pierde por completo al suspender el tratamiento