What is a pathologic fracture?
*these fractures would not normally occur - in a healthy bone
What are the complications of open fractures?
Two types of basic management of bone #
A. Conservative (splint, cast)
B. Surgery (anatomic reduction -> fixation -> immobilisation)
Complications of surgery for the #
The common type of long bone #

Complete vs incomplete fracture
What do they mean?
Complete: # that extends through the entire length of bone

What does comminuted fracture mean?
More than two fracture lines - results in multiple bone fragments

Types of fracture displacement

What’s segmental #?
Two fracture lines with a fragment of a bone between a distal and proximal portion of the bone

What’s a Salter-Harris fracture?
A paediatric fracture with a growth plate involvement

What’s a stress fracture?
A # caused by repetitive stress to the bone without an underlying bone pathology/ disease affecting it
What happens to the radius and ulna in Colle’s fracture?
distal radius +/- ulna
*due to fall on ‘outstretched’ hands

What’s Smith’s #?
Fracture of distal radius (anterior displacement)

Possible clinical presentation of the fractures
Features of:
Montaeggia vs Galeazzi fractures

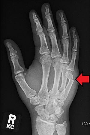
What bone is typically located in ‘boxer #’? (punching a hard surface)
5th metacarpal neck

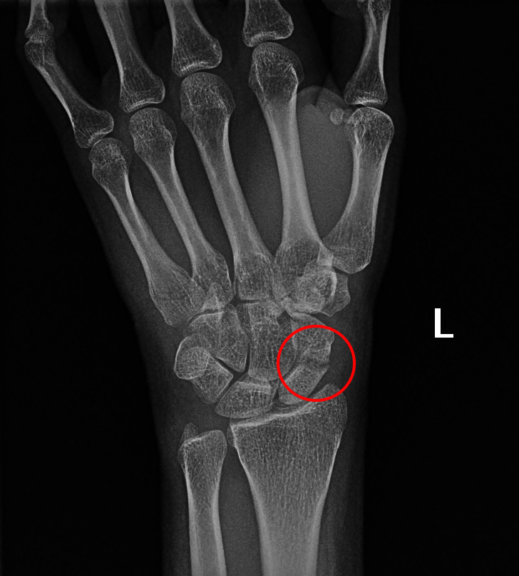
Scaphoid fracture

What to assess for in a presentation of fracture?
Clinical assessment
What are 6 P’s in the assessment of a neurovascular compromise/compartment syndrome in a fracture?
6 P’s:
(poikilothermia - impaired ability to regulate body temperature - cool limb)
General management of the #
General approach
Indications for a surgical management of the fracture
Outline the surgical procedure for the fractures (steps)
Procedure:
What’s Garden’s classification used for?
Categorisation of intracapsular neck of femur fractures

Types of hip fractures
A. Intracapsular
B. Extracapsular
