FRCS Flashcards

(499 cards)

1
Q

Foster Kennedy Syndrome?

A

Ipsilateral optic atrophy and contralateral pappilloedema.
Secondary to tumour compression and raised ICP.

How well did you know this?
1
Not at all
2
3
4
5
Perfectly
2
Q

Gerstmann Syndrome?

A

Dominant parietal lobe dysfunction, involving the angular gyrus.
Agraphia without alexia
Finger agnosia
Right to left disorientation
Acalcula

How well did you know this?
1
Not at all
2
3
4
5
Perfectly
3
Q

Radiological indication for decompressive hemicraniectomy in MCA stroke?

A

CT Head infarct involving >50% of MCA territory
+/- PCA or ACA infarct
+/- MRI restricted diffusion > 145cm3

How well did you know this?
1
Not at all
2
3
4
5
Perfectly
4
Q

ATRT?

A

Atypical Teratoid Rhaboid tumours.
WHO grade IV.
10-20% of paediatric CNS tumours under 3 years old.
Poor prognosis with CNS metastasis.
Associated with mutated INI1 tumour suppressor gene on chromosome 22.

How well did you know this?
1
Not at all
2
3
4
5
Perfectly
5
Q

Grading of atlantoaxial rotatory subluxation?

A

Fielding and Hawkins:
I: rotation without anterior displacement of C1
- transverse ligament intact
II: rotation with 3-5mm of C1 anterior displacement
- transverse ligament damaged
III: rotation with >5mm of C1 anterior displacement
IV: posterior displacement of C2
- rare, in rheumatoid

How well did you know this?
1
Not at all
2
3
4
5
Perfectly
6
Q

NF1

A

Incidence 1/3,000 births.
Chromosome 17.
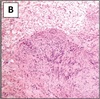
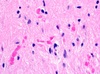
Gene product = neurofibromin.
Occasional pheochromocytoma and common scoliosis.
Malignant peripheral nerve sheath tumour = 2%
Intra medullary cord tumour = astrocytoma

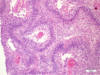
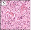
How well did you know this?
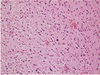
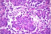
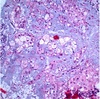
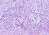
1
Not at all
2
3
4
5
Perfectly
7
Q

NF2

A

Incidence 1/40,000
Autosomal dominant.
Chromosome 22.
Gene product Schwannomin/ Merlin.
Cutaneous schwannomas
Cataracts common.
Most common spinal cord tumour = ependymoma

How well did you know this?
1
Not at all
2
3
4
5
Perfectly
8
Q

Most common extradural tumour of clivus?

A

Chordoma

How well did you know this?
1
Not at all
2
3
4
5
Perfectly
9
Q

Two most common sites of origin for chordoma?

A

1) sacrum
2) clivus

How well did you know this?
1
Not at all
2
3
4
5
Perfectly
10
Q

CSF tumour marker positive in Germinomas?

A

Placental alkaline phosphotase

How well did you know this?
1
Not at all
2
3
4
5
Perfectly
11
Q

What tumours are associated with raised alpha fetal protein?

A

Embryonal carcinoma and yolk sac tumours.

How well did you know this?
1
Not at all
2
3
4
5
Perfectly
12
Q

Test to distinguish Primary CNS Lymphoma from other HIV mass lesions?

A

Fluorine-18 flurodeoxyglucose PET. Higher uptake in Primary CNS lymphoma.

How well did you know this?
1
Not at all
2
3
4
5
Perfectly
13
Q

Most common posterior fossa primary brain tumour in adults and children?

A

Adults: haemangioblastoma
Children: polycytic astrocytoma

How well did you know this?
1
Not at all
2
3
4
5
Perfectly
14
Q

What is the test dose for intrathecal baclofen?

A

50micrograms

How well did you know this?
1
Not at all
2
3
4
5
Perfectly
15
Q

How is spasticity graded?

A

Modified Ashworth scale:
0 = normal tone
1 = ‘catch and release’
1+ = catch followed by slight increase in tone
2 = increased tone throughout range of movement but passive movement easy
3 = difficulty with passive movement
4 = Rigid limb fixed in flexion or extension

How well did you know this?
1
Not at all
2
3
4
5
Perfectly
16
Q

Mechanism of Baclofen?

A

GABA-B agonist

How well did you know this?
1
Not at all
2
3
4
5
Perfectly
17
Q

Dermatomes of the trigeminal nerve?

A

Opthalmic V1: Anterior scalp, forehead, upper eyelid, cornea, nose, frontal sinus.
Maxillary V2: Lower eye lid, cheek, upper lip and gums, maxillary and ethmoid sinus
Mandibular V3: Jaw, chin, lower lip, gums and teeth

How well did you know this?
1
Not at all
2
3
4
5
Perfectly
18
Q

What are Hartel’s landmarks?

A

Percutaneous trigeminal rhizotomy.
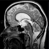
2.5cm lateral to the mouth
Coronal plane aiming 3cm anterior to the external auditory meatus
Sagittal plane towards the ipsilateral pupil

How well did you know this?
1
Not at all
2
3
4
5
Perfectly
19
Q

Anatomical relations of the subthalamic nucleus

A

STN:
lateral to the red nucleus
medial to the internal capsule
ventral to the thalamus
dorsal to the substantia nigra
The STN is caudal in the diencephalon, close to the junction with the midbrain

How well did you know this?
1
Not at all
2
3
4
5
Perfectly
20
Q

What cognard grade has the highest risk of haemorrhage?

A

Type 2a + b

How well did you know this?
1
Not at all
2
3
4
5
Perfectly
21
Q

Describe the cognard grading for dural AV fistulas

A

Type 1: Antegrade flow in the venous sinus
Type 2a: retrograde flow in the venous sinus
Type 2b: retrograde flow with reflux into cortical vein
Type 3: Direct cortical drainage without venous ectasia
Type 4: Direct cortical drainage with venous ectasia
Type 5: Spinal venous drainage

How well did you know this?
1
Not at all
2
3
4
5
Perfectly
22
Q

Medial cranial nerve within the cavernous sinus

A

Abducens nerve VI

How well did you know this?
1
Not at all
2
3
4
5
Perfectly
23
Q

Serviceable hearing in acoustic neuroma

A

Less than 50dB in pure tone audiogram and greater than 50% in speech discrimination test

How well did you know this?
1
Not at all
2
3
4
5
Perfectly
24
Q

Circumventricular organs

A

Midline areas of increased permeability without the blood brain barrier.
7 in total

Sensory
Area postrema
Lamina terminalis
Subforniceal organ

Secretory:
Posterior pituitary
pineal gland
Subcommissural gland
Median eminence

How well did you know this?
1
Not at all
2
3
4
5
Perfectly
25
Diastematomyelia
Disorder of gastrulation Type 1: Hemicords in 2 separate dural scas separated by rigid osseous spur. Likely symptomatic with tethered cord, syrinx or scoliosis. Can require surgery Type 2: Hemicords in a single dural sac. Likely asymptomatic. Associated with spina bifida
26
Parsonage-Turner syndrome
Brachial plexus neuritis Causes shoulder and upper arm pain, and weakness
27
Spinal level targeted during spinal cord stimulation for failed back surgery syndrome
T8-T9
28
ASIA scale
A: Complete spinal cord injury B: Incomplete spinal cord injury. No motor power below level but sacral sensation spared C: Power less than 3/5 in more than 50% myotomes below level D: Power 3/5 or better in more than 50% myotomes below level E: Neurologically intact
29
Recurrent artery of Heubner
Arises from the proximal A2 Supplies the head of the caudate nucleus and anterior limb of internal capsule, anterior putamen and globus pallidus Infarction causes contralateral hemiparesis, gaze neglect and dysarthria
30
Normal atlanto-dental interval
Adults < 3mm Children < 5mm
31
Powers ratio
(Basion to posterior arch of C1)/ (Opisthion to anterior arch of C1) Normal < 1 Atlanto-occipito dissociation > 1
32
McRae's line
Basion to opisthion If Odontoid peg crosses this line = basilar invagination
33
Chamberlain's line
Hard palate to opisthion Odontoid peg >3mm above the line = basilar invagination
34
McGregor's line
Hard palate to caudal occipital bone Odontoid peg >5mm above the line = basilar invagination
35
Klippel-Feil syndrome
Congenital fusion of 2 or more cervical vertebrae
36
Lesser petrosal nerve
Branch of Glossopharyngeal nerve IX Arises from tympanic plexus in petrous bone Passes through foramen ovale and synapses in the otic ganglion Parasympathetic supply to the parotid gland
37
Fisher and modified fisher risks of vasospasm
Fisher 1: No blood visible on CT = 20% risk 2: SAH < 1mm thick = 25% 3: SAH > 1mm thick = 37% 4: IVH or ICH = 30% Modified fisher 0: No blood visible on CT = 0% 1: Thin SAH and no IVH = 25% 2: Thin SAH and IVH = 33% 3: Thick SAH and no IVH = 33% 4: Thick SAH and IVH = 40%
38
Berger-Sanai classification
Insular gliomas Separates the insula into 4 zones Vertical is foramen of munro Horizontal is sylvian fissure
39
Meyerding clasffification
Spondylolisthesis grade I: 0-25% grade II: 26-50% grade III: 51-75% grade IV: 76-100% grade V (spondyloptosis): >100%
40
Name, location and function of dorsal columns
Fasciculus cuneatus is the lateral dorsal column which is for upper limb, above T6. For proprioception and fine touch sensation Fasiculus gracilus is the medial dorsal column for lower limb, below T6. For proprioception and fine touch sensation
41
Is methylated or unmethylated MGMT better for prognosis in Glioblastoma?
Methylation of the promotor region will silence the MGMT gene. Therefore, the cancer cells will not be able to repair the DNA alkylation and will be sensitive to Temozolomide. Methylated MGMT carries a better prognosis
42
Hypothalamic hamartomas cause
Gelastic seizures Episodes of unprovoked laughter Precocious puberty
43
Wallenberg syndrome pathophysiology
PICA infarct Ipsilateral ataxia - inferior cerebellar peduncle Ipsilateral facial sensory loss - trigeminal nucleus Ipsilateral horners syndrome - descending sympathetic fibres Contralateral loss of pain and temperature - spinothalamic tract Vomiting and vertigo - vestibular nucleus VIII Swallowing difficulties and hoarse voice - nucleus ambiguus/ glossopharyngeal nucleus IX and vagus X
44
Sensory nerve fibres
A-alpha: myelinated Conduction speed 120m/s Diameter 20micrometers Proprioception A-beta: myelinated Conduction speed 75m/s Diameter 12micrometers Tactile sensation A-delta: myelinated Conduction speed 30m/s Diameter 5micrometers Pain C: Unmyelinated Conduction speed of 2m/s Diameter 1micrometer Pain
45
Genetic mutation in pilocytic astrocytoma
BRAF mutation Chromosome 7 Oncogene which promotes cell proliferation
46
Trigeminal nucleus
Mesencephalic nucleus in midbrain - proprioception for jaw movements Principle nucleus in pons - tactile sensation of the face Spinal nucleus in upper cervical cord - pain and temperature (Also afferents from IX and X) Motor nucleus in pons - mastication
47
Most common dermatome involved in trigeminal neuralgia
Right V2
48
Bill's bar separates which 2 nerves
Facial VII anterior Superior vestibular VIII posterior
49
Schwannomatosis
SMARCB1 tumour suppressor gene mutation on chromosone 22, normally regulates chromatin Unilateral acoustic neuroma Meningiomas Do not get cataracts or spinal ependymomas
50
Brown-Sequard syndrome
Ipsilateral loss of motor power and proprioception Contralateral loss of pain and temperature
51
Cavernous sinus inflow and outflow
Drain into the cavernous sinus: Superior and inferior opthalmic veins Superficial middle cerebral vein Sphenoparietal sinus Drain out of the cavernous sinus: Inferior petrosal sinus to jugular bulb Sperior petrosal sinus to the transverse sinus
52
Branches of external carotid
SALFOPSI Superior thyroid Ascending pharyngeal Lingual Facial Occipital Posterior auricular Superficial temporal Maxillary
53
Red nucleus
Ventral midbrain III nerve fibres pass through it Inhibits extensor tone Projections to the rubrospinal tract which stimulates flexor muscles in the upper limbs
54
Persistent trigeminal artery
Cavernous ICA proximal to the menigohypophyseal trunk Basilar artery between AICA and SCA 0.1-0.6% of cerebral angiograms Usually unilateral
55
Persistent hypoglossal artery
Cervical segment of internal carotid artery Basilar artery via the hypoglossal canal 0.02% of cerebral angiograms
56
Persistent otic artery
Petrous segment of internal carotid artery Basilar artery via the internal acoustic meatus
57
Nerves within the annulus of zinn
Optic nerve II Superior and inferior division of occulomotor nerve III Nasociliary nerve of Opthalmic V1 Abducens VI
58
Nerves in the superior orbital fissure outside the annulus of zinn
Trochlear nerve IV Frontal nerve of Opthalmic V1 Lacrimal nerve of Opthalmic V1
59
Solitary nucleus
Dorsomedial medulla Receives afferents from VII, IX, X Regulates autonomic nervous system Mediates cough and gag reflex
60
Nucleus ambiguous
Ventrolateral medulla Sends motor efferent fibres via the IX and X for swallowing and voice
61
Segments of the internal carotid artery
C1 Cervical C2 Petrous C3 Lacerum C4 Cavernous C5 Clinoidal C6 Supraclinoid C7 Communicating
62
Artery arising from the Cavernous segment C5, of internal carotid artery
Meningohypophyseal artery Gives rise to 3 branches: inferior hypophyseal artery Tentorial artery of Bernasconi and Cassirini Dorsal clival artery
63
Arteries arising from the Supraclinoid segment C6, of internal carotid artery
Superior hypophyseal artery Opthalmic artery
64
Arteries arising from the Communicating segment C7, of the internal carotid artery
Posterior communicating artery Anterior choroidal artery
65
Anterior cerebral artery
A1 = proximal to ACom Medial lenticulostriate A2 = Distal to ACom Recurrent artery of huebner Orbitofrontal Frontopolar A3 = Once A2 divides into the callosal marginal and pericallosal
66
Middle cerebral artery
M1 = Sphenoidal Anterior temporal artery Lateral lenticulostriate M2 = Insular M3 = Opercular M4 = cortical
67
Vertebral artery
V1 = Pre foraminol Subclavian to C6 V2 = Foraminol C6 to C2 V3 = Extradural C2 to C1 and into dura Posterior meningeal artery V4 = Intracranial PICA Anterior and Posterior spinal arteries
68
PICA Segments
Origin to medullary olive = Anterior-medullary Curves laterally around medulla supplying IX, X, XI = Lateral-medullary Caudal loop, down to foramen magnum = Tonsillomedullary Cranial loop/ choroid point, correlates with 4th ventricle = Telovelartonsillar Hemispheric
69
Striae medullaris in rhomboid fossa
Part of auditory system Separates the pons from the medulla
70
Evidence for treatment of ruptured aneurysms
Molyneux lancet 2002 n = 2,143 Primary end point: death or dependency/ mRS 3-6 Coiling 23% Clipping 30%
71
Spinal arteries
2 paired posterior spinal arteries 1 single anterior spinal artery Posterior supplied by multiple radicular arteries Anterior supplied by segmental arterial supply Watershed area is mid thoracic
72
Risk factors bleeding from a cerebral AVM
Previous haemorrhage Flow aneurysm Deep location Deep venous drainage Single draining vein Diffuse morphology Small nidus
73
Risk of intracranial haemmorhage for cerebral AVM
Annual risk 2-4% After haemorrhage increases to 7-17% for 1 year
74
Grade of AVM size 4cm, located in the motor strip and drains into the straight sinus
Spetzler Martin: <3cm = 1 3-6cm = 2 >6cm = 3 Non eloquent = 0 Eloquent = 1 Superficial venous drainage = 0 Deep venous drainage = 1
75
Galassi classification
1 limited to anterior part of middle fossa. No mass effect 2 extends into sylvian fissure and displaces the temporal lobe 3 occupies entire middle fossa, displaces parietal and frontal lobes, midline shift
76
Sensitivity
Odds a patient with the disease will test positive = true positives/ (true positives+false negatives)
77
Specificity
Odds a patient without the disease will test negative = true negatives/ (true negative+false positives)
78
Type 1 error
Rejecting the null hypothesis when it is in fact true. p value is the probability of a type 1 error. Type 1 error is reduced by lowering the significance level from 0.05 to 0.01
79
Type 2 error
Accept the null hypothesis that is in actual fact false. Reducing the significance level from 0.05 to 0.01 increases the risk of a type 2 error. Risk of type 2 error is minimised by increasing the sample size
80
81
Locus Coeruleus
Blue spot Superior-lateral aspect of the rhomboid fossa Produces noradrenaline
82
83
Musculocutaneous nerve
C5-C7 Lateral cord of brachial plexus Motor: Biceps, Coracobrachalis, Brachalis Sensory: lateral forearm
84
Axillary nerve
C5-C6 Posterior cord of brachial plexus Motor: Teres minor, Deltoid Sensory: Regimental badge area of arm
85
Radial nerve
C5-T1 Posterior cord of brachial plexus Sensory: Posterior aspect of forearm, lateral aspect of dorsum of hand, dorsal surface of lateral 3.5 digits Motor: Triceps and extensors in forearm
86
Median nerve
C6-T1 Medial and lateral cords of brachial plexus Sensory: Palmar cutaneous nerve - lateral palm (does not pass through the carpal tunnel) Digital cutaneous branch - lateral 3.5 digits palmar surface Motor: Flexors of the forearm except flexor carpi ulnaris and medial aspect of flexor digitorum profundus. Thenar muscles; opponens pollicis, flexor pollicis brevis, abductor pollicis brevis and lateral 2 lumbricals.
87
Ulnar nerve
C8-T1 Medial cord of brachial plexus Sensory: Medial 1.5 fingers and medial palm Motor: 2 flexors in forearm - Flexor carpi ulnaris and medial aspect flexor digitorum profundus In hand - hypothenar, dorsal and palmar interossei, medial 2 lumbricals, adductor pollicus
88
Wartenberg's sign Ulnar nerve palsy Involuntary abduction of 5th digit Weakness of palmar interosseous muscles Radial innervation of extensor digiti minimi is unnaposed
89
Pain terminology: Dysethesia Hyperpathia Causalgia Anaesthesia Dolorosa Allodynia Nociceptive pain
Dysethesia = unpleasant abnormal sensation, can be spontaneous or provoked Hyperpathia = Exaggerated response to a painful stimulus, especially a repetitive painful stimulus Causalgia = Complex regional pain syndrome type 2, results from nerve damage Anaesthesia dolorosa = painful numbness Allodynia = Non painful stimulus evokes pain Nociceptive pain = damage to non neural tissue stimulates nociceptors
90
Osborne's ligament
Fibrous band between the olecranon and medial epicondyle Responsible for cubital tunnel syndrome
91
Meningioma Whorling of cells Whorling around an imaginary stem
92
Meningioma Whorling of cells Whorling around an imaginary stem
93
Acoustic neuroma Antoni A = densely packed schwann cell area Antoni B = Loosely packed schwann cell area with foamy macrophages
94
Acoustic neuroma Antoni A = densely packed schwann cell area Antoni B = Loosely packed schwann cell area with foamy macrophages
95
True ependymal rosettes surround an empty lumen Perivascular rosettes surround a vessel Both seen in Ependymoma
96
Hypercellular, angiogenesis, necrosis. Glioblastoma
97
Microvascular proliferation is noticeable in this GBM
98
Microvascular proliferation is noticeable in this GBM
99
GBM with pseudopallisading necrosis
100
Verocay body pathognomonic of acoustic neuroma Parallel rows of nuclear bodies
101
Verocay body pathognomonic of acoustic neuroma Parallel rows of nuclear bodies
102
Array of nuclei surrounding necrosis GBM
103
104
Incidence of craniosynostosis and proportion of different suture involvement
1 in 2,000 live births Sagittal > Metopic > Unicoronal Sagittal = 45-70% of cases Metopic = 20-25% Unicoronal = 15-20% Lmabdoid = 1%
105
106
Most common gene mutation in craniosynostosis
FGFR Fibroblast growth fractur receptors 1, 2, 3 Regulates osteoblast differentiation and function
107
Age that cranial sutures close
Metopic = 3 to 9 months Others = adulthood
108
Clinical presentation in sagittal synostosis
Cranial index <75 Elongated head Occipital bullet Reversal of bregma/vertex ratio Developmental delay, particularly speech and language Raised intracranial pressure
109
Clinical presentation of unicoronal synostosis
Harlequin sign Elevation of ipsilateral orbit due to superior displacement of greater wing of sphenoid Strabismus Forehead flattening with compensatory contralateral frontal bossing Nasal displacement towards ipsilateral side Ipsilateral ear displaced anteriorly
110
Harlequin sign Unicoronal synostosis Elevation of ipsilateral orbit
111
112
Gorlin syndrome
90% develops basal cell carcinoma of skin 5% develop Medulloblastoma Tumour suppressor gene for Patched on Chromosome 9, regulates cell proliferation
113
Turcot syndrome
DNA mismatch repair cancer syndrome Autosomal recessive Familial polyposis of the colon associated with increased risk of colorectal cancer, Glioblastoma and Medulloblastoma
114
115
Evidence for Dexamethasone
Vecht Neurology 1994 RCT in 100 patients with brain metastases and oedema No significant difference in KPS 4mg vs 16mg Significantly more adverse effects with higher Dexamethasone dose
116
Mechanism of Dexamethasone
Binds to Glucocorticoid receptors which reduces inflammation Decreases the permeability of the blood brain barrier
117
Half life of Dexamethasone
48 hours
118
Dose equivalents for Hydrocortisone, Prednisolone, Dexamethasone
Hydrocortisone 20mg = Prednisolone 5mg = Dexamethasone 0.75mg
119
Evidence for Nimodipine
Pickard 1989 BMJ n = 550 Placebo versus Nimodipine within 96 hours of subarachnoid haemorrhage Cerebral infarction 33% versus 22% Poor outcome (GOS 1-3) at 3 months 33% versus 20% No difference in re-bleeding
120
Mechanism of Nimodipine
Calcium channel blocker, acting on smooth muscle to cause vasodilation
121
Artery of Adamkiewicz
Largest radiculomedullary artery in the thoracolumbar region anastamozes with the anterior spinal artery Variable location Most commonly left sided and anastamoses between T9-T12
122
Foix-Alajouanine syndrome
Neurological deterioration due to a spinal dural AV fistula causing venous hypertension and congestive myelopathy
123
Spetzler spinal vascular malformation
1 = Dural AV fistula 2 = AVM 3 = Neoplastic vascular lesion (Haemoangioblastoma or cavernoma)
124
Hypertensities within the anterior horn cells cord ischaemia secondary to anterior spinal artery infarct
125
126
Obersteiner-Redlich zone
Myelin sheeth changes from glial in the central to schwann cell in the peripheral nervous system The site of origin for acoustic neuroma
127
Acoustic neuroma
Rinnes positive Air > bone conduction Weber localises to the contralateral side
128
Unilateral facial weakness Forehead movement = reduced Asymmetry at rest = no Eye closure = complete
House Brackman Grade II
129
Unilateral facial weakness Forehead movement = minimal Asymmetry at rest = no Eye closure = complete
House Brackman III
130
Unilateral facial weakness Forehead movement = None Asymmetry at rest = no Eye closure = incomplete
House Brackman IV
131
Unilateral facial weakness Forehead movement = None Asymmetry at rest = yes Eye closure = incomplete
House Brackman V
132
Unilateral facial weakness Total paralysis
House Brackman VI
133
Central neurocytoma
0.1% of primary brain tumours Intraventricular, arising from the septum pellucidum WHO grade II Heterogenously enhancing Synaptophysin, diagnostic in immunohistochemistry
134
Synaptophysin
Central neurocytoma
135
Colloid cyst risk score High risk zone = 1 Age < 65 = 1 Headaches = 1 Hyperintense on FLAIR = 1 Axial diameter > 7mm = 1 Total 4+ indicates high risk of hydrocephalus and neurological deterioration
136
PHASES score
Population (Finish, Japanese or European/ American) Hypertension Age > or < 70 years Aneurysm size <7mm, 7-9mm, 10-19mm, >20mm Previous aneurysmal subarachnoid haemorrhage Location of aneurysm ICA MCA ACA, PCOM, Posterior circulation Calculates a 5 year risk of rupture. Based on data from over 8,000 patients
137
Functional MRI
Cortical activity increases the oxygen demand Leading to increases cerebral blood flow and an increased ratio of oxyhaemaglobin to deoxyhaemaglobin
138
5 year recurrence rate for meningioma as per Simpson grading
139
Meningioma grade subtypes
Grade 1: Angiomatous, fibrous, Lymphoplasmacyte, secretory, metaplastic, Psammomatous, microcystic, meningothelial Grade 2: Atypical, Choroid, Clear cell Grade 3: Anaplastic, Rhabdoid, Papillary
140
Entry point for lumbar pedicle screws
141
Tokuhashi score
For metastatic spinal disease: Performance status/ KPS Number of extraspinal metastases Number of vertebral metastases Primary origin of cancer Systemic metastases resectable Neurological deficit/ Frankel Score 0-8: Survival < 6 months Score 9-11: Survival 6-12 months Score 12-15: Survival >12 months
142
Intracranial branches of the facial nerve
Distal to the Geniculate ganglion Greater Petrosal nerve = Lacrimal gland Nerve to stapedius = Protected the inner ear from loud noise Chorda Tympani = Anterior 2/3 tongue taste + parasympathetic supply to submandibular gland
143
Extracranial branches of the facial nerve
144
Stupp NEJM 2005 18-70 with histologically confirmed GBM, WHO performance 0-2 Radiotherapy alone versus Temozolomide + Radiotherapy n = 570 Median survival 12.1 vs 14.6 months Hazard ratio 0.63 (p<0.001) 2 years survival 10 vs 25% 7% had grade 3 or 4 haematological toxicity = Platelets < 50 or neutrophils < 1
145
Dome: neck 2+ favours coiling Aspect ratio > 1.5 favours coiling Neck width < 5mm favours coiling
146
Autoregulation in traumatic brain injury
147
148
Cerebral blood flow as per O2 and CO2
149
Define Cerebral blood flow, Cerebral perfusion pressure and Mean arterial pressure
CBF = CPP/CVR CPP = MAP-ICP MAP = DP + 1/3PP
150
151
152
Wilby Lancet 2021 Lumbar discectomy versus transforaminal epidural steroid injection Adults with 6 weeks to 12 months of unilateral sciatica Primary outcome was Oswestry Disability Questionnaire at 18 weeks n = 163 No significant difference in ODQ scores
153
Mallucci Lancet 2019 Antibiotic vs Silver vs Silicone VP shunt n = 1,605 Primary outcome VP shunt infection 2% vs 6% vs 6% Shunt revised for other reason 22% vs 20 vs 18 Reduced gram positive but not gram negative infection Save £13,500 per shunt infection avoided
154
Hazard ratio versus Odds ratio versus Risk ratio
Hazard ratio = Risk of an event in group 1 divided by risk of event in group 2 over a period of time Used in clinical trials eg Survival analysis Odds ratio = odds of event in group 1 divided by the odds of event in group 2 Used in retrospective case control studies Risk ratio = risk of an event in group 1 divided by risk of event in group 2 Used in prospective cohort studies
155
Confidence interval
The outcome eg HR, RR, OR, or mean will be within this range 95 times if the study is repeated 100. If the confidence interval cross 1 in OR or HR then the result is not statistically significant. CI becomes more narrow with increasing sample size
156
157
Knosp classication
158
Knosp grade 2
159
Knosp grade 3
160
Hook affect in Prolactinoma If high number of prolactin, then the antibiodies become saturated, and therefore the antibody sandwich complex cannot be formed required in the immunoassay. False negative. Serial dilutions required to acquire a reliable result
161
Cabergoline
Dopamine agonist Used for medical management of Prolactinoma Normalises Prolactin levels and reduces tumour volume in 80-90% of patients Bromocriptine not tolerated due to gastroentestinal side effects
162
163
Growth hormone increases with sleep, stress, exercise Growth hormone decreases with hyperglycaemia
164
Excess growth hormone causes
Prior to closure of epiphyseal plates -> Gigantism After closure of the epiphyseal plates -> Acromegaly
165
Biochemical diagnosis of Acromegaly
Oral glucose tolerance test Performed in the morning, as exercise and stress increase growth hormone Drink to cause hyperglycaemia which decreases growth hormone release Measure serial growth hormone over 2 hours Normal = Decreasing GH levels Acromegaly + GH remains high IGF-1 is more reliable for diagnosis acromegaly and assessing response to treatment. IGF-1 does not change with stress or exercise.
166
Medical treatment for Acromegaly
Somatostatin analogs Octreotide, Lanreotide Reduce GH and IGF-1 in 50-70% Reduce tumour volume in 40-50%
167
Pterion formed by: bones sutures
Bones: Greater wing of sphenoid, frontal, parietal, squamous part of temporal bone Coronal, Squamous, sphenofrontal, sphenosquamous, sphenoparietal
168
Acetazolomide on ABG
Metabolic acidosis with respiratory compensation Carbonic anhydrase inhibitor
169
Differentiate L5 motor deficit from a common peroneal nerve palsy
In common peroneal nerve palsy the patient can invert their foot whereas this is weak in L5 radiculopathy Ankle dorsiflexion = Deep peroneal nerve Foot eversion = Superficial peroneal nerve Foot inversion = Tibial nerve
170
171
Crash 3 Lancet 2019 n = 12,737 Tranexamic acid versus placebo within 3 hours of head injury Tranexamic acid improved survival in mild-moderate head injury but not severe. The benefit was time related Head injury related death: mild to moderate = 5-8%, severe = 39-41% No difference in adverse events/ stroke
172
Meralgia Parasthetica
Lateral cutaneous nerve of the thigh L2-L3 Sensory nerve, no motor innervation Passes under the inguinal ligament, 2cm medial to the anterior superior iliac spine More common in obesity
173
Ulnar paradox
Proximal ulnar nerve damage causes weakness of the medial half of flexor digitorum profundus Distal ulnar nerve damage, at guyans canal, spares flexor digitorum profundus
174
Signs of Cushings Syndrome
175
Nelson Syndrome
A complication of bilateral adrenalectomy which was indicated to treat Cushings Disease After adrenalectomy, the negative feedback on the pituitary is lost. Serum ACTH levels increase. This causes skin pigmentation and tumour progression/ increased invasiveness
176
Rare forms of trigeminal neuralgia
Exclusively V1 = 2% Bilateral = 1%
177
C shape halo with temporal disc margin sparing No elevation No vessel obscuration = Grade 1
178
Circumferential halo Elevation of nasal border No vessel obscuration = Grade 2
179
Circumferential halo Elevation of all borders Obscuration of one vessel leaving the disc = Grade 3
180
Circumferential halo Complete elevation including the cup Obscuration of a major vessel on the disc = Grade 4
181
Circumferential halo Complete elevation including the cup Obscuration of all vessel on the disc and leaving the disc = Grade 5
182
Papilloedema Optic nerve sheath diameter less than 5mm is normal in adults Occular Point of care ultrasound
183
Pupillary response, damage in mid brain versus pons
184
Types of aphasia
1) Expressive aphasia. Brocca's area. Non-fluent. Comprehension intact. 2) Receptive aphasia. Wernicke's area. Fluent. Comprehension impaired. 3) Conductive aphasia. Arcuate fasciculus. Fluent. Comprehension intact. Paraphasic speech and poor speech repetition. 4) Transcortical aphasia. Can be motor or sensory. Fluency and awareness of errors depends on type. Differentiated from Wernicke's and Brocca's aphasia as patient can repeat words.
185
186
Explain macular sparing
The occipital lobe has dual blood supply from the PCA and MCA
187
Parinaud's syndrome
1) Impairment of upgaze 2) Light near dissociation. Dilated pupils that do not react to light but constrict on convergence 3) Convergence retraction nystagmus
188
Describe the light reflex
189
Inter nuclear ophthalmoplegia Lesion within the medial longitudinal fasciculus Unable to adduct the contralateral eye. Signal from VI nucleus to III nucleus impaired. Associated with nystagmus
190
Describe the course of the facial nerve
191
Motor examination of VII
Raise forehead - Temporal branch - Frontalis Close eyes - Zygomatic branch - Obicularis occuli Puff out cheeks - Buccal branch - Buccinator Whistle - Buccal branch - Orbicularis oris Show teeth - Buccal and Zygomatic branches - Zygomaticus major Wrinkle chin - Marginal mandibular branch - Mentalis Wrinkle neck - Cervical branch - Platysma
192
Pathophysiological mechanism for horners syndrome
193
Describe the different abnormalities of gait
1) Hemiplegic— spastic leg traces a semicircle due to fixed plantarflexion and extension at the knee 2) Diplegic— narrow-based, scissoring gait often due to cerebral palsy 3) Myelopathic— broad-based clumsy gait 4) Equine— high stepping gait seen in patients with foot drop due to L5 radiculopathy or common peroneal palsy 5) Myopathic— waddling gait with pelvis dropping on alternating sides 6) Parkinsonian— slow little steps marche à petits pas 7) Cerebellar— veering uncontrolled gait 8) Magnetic— feet seem to be stuck to the floor, seen in normal pressure hydrocephalus
194
Housefield units of different tissues
Acute blood 56 to 76 Air − 1000 Bone 1000 to 3000 Calcification 140 to 200 Cerebrospinal fluid 0 Fat − 30 to − 100 Grey matter 32 to 41 White matter (centrum semiovale) 23 to 34
195
Signal intensity of blood as per age, and name the products
196
Mechanism of floseal
Contains gelatin, calcium chloride and Thrombin Gelatin swells and tamponades Thrombin converts Fibrinogen into a fibrin clot
197
Mechanism of surgicel
Oxidised regenerated cellulose Swells causing tamponade Acts as a surface for platelet aggregation and fibrin deposition
198
Mechanism of anticoagulants
199
Epidemiology of diffuse low grade gliomas
DLGG are WHO grade 2 tumours including astrocytoma and oligodendroglioma Incidence 1 in 100,000 per year 10% of all adult primary brain tumours Median age at diagnosis is 35 years old
200
Clinical presentation of low grade glioma
Most commonly seizures. Oligodendrogliomas are more likely to present with seizures Focal deficits are rare Absence of seizures is associated with worse prognosis
201
WHO grade 2: Astrocytoma Hypercellular compared to white matter Cellular pleomorphism No necrosis or vascular proliferation
202
Monomorphic cells with uniform round nuclei surrounded by halos Fried egg appearance Histological artefact from formalin
203
How to classify low grade gliomas
Histology followed by IDH-1 and 1p19q status
204
Jakola Annals of Oncology 2017 Norway, 2 different regions n = 153 Overall survival 5.8 versus 14.4 years
205
Classification of peripheral nerve injury
Class 1: Neuropraxia - Interruption of conduction without loss of axon continuity. Function recovers rapidly and returns to normal Class 2: Axonotmesis - Loss of axon and myelin continuity but intact endoneurium. Variable prognosis Class 3: Neurotmesis - Loss of all layers of nerve, severed. Prognosis poor and function unlikely to return to normal.
206
Gross motor function classification System GMFCS
207
McRae’s line runs across the foramen magnum from the basion to the opisthion, Chamberlain’s line runs from the back of the hard palate to the posterior margin of the foramen magnum (opisthion). McGregor’s line is similar running from the palate to the lowest visible part of the occiput. The tip of the dens should be = < 3 mm above Chamberlain’s line, less than 4.5 mm above McGregor’s line and usually 5 mm below but not above McRae’s line.
208
Skull base angle of Boogard Line from nasion to centre of sella joined by line from basion Normal 125-143 Platybasia >143 Basilar kyphosis <125
209
Transthoracic approach for discectomy: Left or right?
High thoracic - right side approach avoids the aortic arch T8 and below - a left sided approach avoids the liver and thoracic duct
210
Modic changes on MRI
211
MRI signal intensities for intradural extramedullary tumours
Nerve sheath tumour T1 hyper T2 hyper Meningioma T1 iso T2 iso Epemdymoma T1hypo T2 hyper
212
Myxopapillary edenymoma
Median age 35 90% of tumours arising at the conus medullaris Upgraded in 2016 from WHO grade 1 to 2, due to high recurrence rate Arises from filum terminale
213
Types of spinal lipomas
Dorsal - does not involve conus Transitional - dorsal and involves the conus Terminal - base of conus only, does not involve cord or nerve roots Chaotic - ventral and dorsal with Involvement of nerve roots
214
Fibromuscular dysplasia Affects the cervical carotid in 75% and vertebrals in 15%. Disease is bilateral in 60%. Angiography: "String of beads" Risk of dissection = 15%
215
Perimesencephalic haemorrhage risk of aneurysm
5%
216
Haemangioblastoma blood results
Polycythaemia Tumour secretes erythropoietin
217
Problem with paediatric radiotherapy in medulloblastoma
Can occur in patients younger than 3, where radiotherapy is innapropriate
218
Brainstem auditory evoked potential in acoustic neuroma
Delayed V wave latency on ipsilateral side
219
Ankylosing spondylitis
Incidence 1 in 20,000 Male: Female 3:1 90% are HLA-B27 +ve Negative rheumatoid factor Sacroiliitis on the X ray Enthesopathy - inflammation of bone at the sites of ligament/ tendons/ capsule on bone. Leads to bamboo spine = bridging syndesmophyte Schober test
220
Schober test
While patient standing mark a point at L5 Draw a line 10cm above and 5cm below Patient then flexes there back to touch their toes Normal = distance between two lines increases by 5cm+
221
Paget's disease
Disorder of osteoclasts Only 30% of Paget's disease sites are symptomatic. Can cause bone pain or fracture Pelvis > thoracic and lumbar spine > skull > femur
222
Ossification of posterior longitudinal ligament
More prevalent in Japanese (2-3%) Hypervascular fibrosis and calcification extends into the dura Annual growth rate of 0.6ml in AP and 4mm longitudinally Cervical 70% Thoracic 20% lumbar 10%
223
Diffuse Idiopathic Skeletal Hyperostosis DISH
Usually idiopathic but can present with globus and dysphagia Flowing osteophytic formation without degenerative changes Sacroiliac joints are spared
224
Scheuermann's kyphosis
Prevalence 1-8%. Diagnosed in ages 11-17 Anterior wedging 5+ degrees of 3+ adjacent thoracic vertebrae Pain when thoracic kyphosis >50 degrees Type 1: Thoracic spine only. Apex T7/T8 Type 2: Adult variation. Involves thoracolumbar spine. Scoliosis in 90%
225
Bertolotti’s syndrome Hypertrophied L5 transverse process is fused with the sacrum Prevalence 5%
226
Mechanism of Gamma Knife
201 Cobalt-60 sources of radiation
227
Principles of fractionated radiotherapy
Redistribution: Cells are most radiosensitive during M phase and are radioresistant during S phase. Re-oxygenation: Cancer cells close to the oxygen source are killed first. Then cancer cells move from the hypoxic core towards the oxygen source, thereby increasing radiosensitivity. Indirect cytotoxic effects of ionizing radiation involves creation of reactive oxygen species. Repair: Healthy cells repair DNA damage and therefore less likely to apoptosis. Cancer cells are less able to repair their DNA. Direct cytotoxic effect of ionizing radiation
228
Scalp block anatomical landmarks
229
Neuro toxoplasmosis
Protozoan parasite. Definitive host are cats. Radiologically seen in basal ganglia and grey-white matter junction, often multifocal. Diagnosis with serum IgG. Treated medically with Sulfadiazine and Pyrimethamine.
230
231
Gradenigo's syndrome
Otitis media, trigeminal neuralgia and VI nerve palsy
232
ATRT Rhabdoid cells: Eosinophilic granular cytoplasm with eccentric nuclei
233
Development of rathke's cleft cyst
Posterior pituitary forms from the neural ectoderm originating at the diencephalon. Anterior pituitary forms from the oral ectodermal tissue called stomadeum, rathke's pouch which migrates away from the oral cavity and then separates
234
Difference between pineoblastoma and pineocytoma
Pineoblastoma arise from primitive neuroectoderm, necrotic, CSF drop metastases, occur in young children, poor prognosis, hypercellular +/- rosettes, WHO grade IV Pineocytoma arise from pineal parenchyma, don't metastasis, solid core, occur in young adults, good prognosis, well differentiated pineocytes, WHO grade I
235
Anatomical risk factors for cervical cord injury in paediatrics
1 Absent uncinate processes 2 Higher water content of intervertebral discs 3 Increases stretch of ligaments 4 Proportionally larger head therefore higher fulcrum of movement 5 Odontoid is not ossified 6 Vertebral bodies are wedged 7 More horizontal orientated facets, less resistant to forward movements. In adults, facets are more oblique 8 Less muscle mass
236
Evidence for folic acid supplementation to prevent spina bifida
MRC study Lancet 1991 Multi national RCT n 1,817 Women who had previously had a pregnancy with spina bifida Folic acid = 6 cases Placebo = 27 cases 72% relative risk reduction in mothers with previous Spina bifida pregnancy 41% relative risk reduction in first pregnancy spina bifida
237
Spina bifida prevention medical regime
400 micrograms of Folic Acid once daily. Start 1 month prior to conception and continue through the 1st trimester
238
Trautmann triangle
Superior border = superior petrosal sinus Posterior = sigmoid sinus Anterior = semicircular canal
239
Dolenc triangle
Lateral = Occulomotor nerve Medial = Optic nerve Posterior = tentorial edge
240
Kawase triangle
Arcuate eminence (bony ridge on temporal bone which marks the superior semicircular canal) Greater Superficial Petrosal nerve Petrous ridge
241
Tolosa Hunt syndrome
Idiopathic inflammation of cavernous sinus Painful ophthalmoplegia Orbital pain with III, IV or VI palsy
242
Where does the gate control theory of pain occur
Substantia gelatinosa
243
The most epileptogenic primary brain tumour
DNET
244
DNET
Dysembryoplastic neuroepithelial tumour WHO Grade 1 1% of primary brain tumours Associated with cortical dysplasia Median age 8 years old 90% present with seizures Most commonly found in temporal lobe
245
Rolandic epilepsy
Consider benign. Not associated with learning difficulties Familial Occurs in childhood 8 years old, often resolves by adulthood Focal seizures involving face, tongue, drooling or speech Do not require surgery
246
Pathophysiology of Huntington's disease
Huntington gene on chromosome 4 Inheritance is autosomal dominant CAG repeats Loss of neurons in the striatum Reduced GABA Excess of Dopamine
247
Substantia nigra
Pars reticula = GABAergic neurons = ventral Pars compacta = Dopaminergic neurons = dorsal
248
STN versus GPi stimulation for Parkinson's Disease
STN superior for rigidity, bradykinesia, tremor, off symptoms and medication reduction. GPi superior for dyskinesia, dystonia, postural stability and mood.
249
Pedunculopontine nucleus DBS
Axial symptoms of Parkinson's; gait freezing, postural instability
250
Lateral Gaze palsies
Lesion in the paramedian pontine reticular formation causes ipsilateral loss of eye abduction and contralateral eye adduction. Lesion in the medial longitudinal fasciculus causes loss of ipsilateral lateral eye adduction and the contralateral eye abducts with nystagmus. Lesion in both PPRF and MLF causes one and a half syndrome, loss of all lateral gaze movements except contralateral abduction.
251
How to diagnose Horner's syndrome
Unilateral miosis, anhydrosis, ptosis. Topical Cocaine eye drops. Cocaine blocks reuptake or noradrenaline in the synapse, causing pupil mydriasis. In Horner's syndrome, there is loss of noradrenaline neruones. Therefore, the pupil does not dilate.
252
Adie's syndrome
Tonic dilation of a pupil which does not react to like. Associated with loss of tendon reflexes. Viral infection causes damage to ciliary ganglion impairing parasympathetic supply to the eye, and also dorsal root ganglion.
253
Argyl Robertson syndrome
Bilaterally small pupils which do not react to like but constrict on accommodation. Sign of neuro syphilis.
254
Noise induced hearing loss
255
Low frequency sensorineural loss - Menieres disease
256
High frequency sensorineural loss - presbyacusis
257
Superior and inferior vestibular nerve supplies
258
Brainstem auditory evoked potentials in acoustic neuroma
Delayed latencies, in wave V
259
Hitzelberger’s sign
Reduced sensation of posterior wall in external ear canal Due to compression of the nervus intermedius of VII in acoustic neuroma
260
Grading haemorrhagic shock
261
Define ARDS
Pa02:FiO2 < 200mmHg Ration of arterial oxygen to inspired oxygen is reduced.
262
Annual incidence of sudden unexpected death in epilepsy
Overall: 1 in 1,000 Medically refractory epilepsy: 1 in 200
263
264
Stereotactic radiosurgery dose for trigeminal neuralgia
90Gy to the dorsal root entry zone, near the pons
265
Maximum STRS dose when near the optic apparatus
Contraindicated when <3mm adjacent to optic nerve Maximum marginal dose of 10Gy to the optic nerve
266
PCV chemotherapy
Procarbazine, Lomustine, Vincristine Higher haematological toxicity than Temozolomide Procarbazine = alkylating agent/ methylates guanine similar to Temozolamide Lomustine = alkylating agent, causing DNA crosslinking Vincristine is a Vinca Alkaloid, binds to tubulin. Therefore, chromosomes cannot be separated during metaphase
267
Identify central sulcus on sagittal MRI
cingulate sulcus joins with marginal sulcus Marginal sulcus separates precuneus and paracentral lobule Central sulcus is the next sulcus anterior to the marginal sulcus
268
Why do cerebellar lesions cause ipsilateral symptoms?
Dento-rubro-thalamic tract. Dentate nucleus within the cerebellum sends afferent neurons via the superior cerebellar peduncle and decussate at the red nucleus and terminate in the contralateral ventral lateral nucleus of the thalamus to synapse with the corticospinal tract Therefore, there is a double decussation
269
Identify the central sulcus on axial MRI brain
Superior frontal sulcus joins the precentral sulcus The next sulcus posterior is the central sulcus
270
Describe the pineal tumour markers
271
Diagnostic criteria for brainstem death testing
272
Cerebellar nuclei
Lateral to medial Dentate nucleus: Afferents to the Red nucleus and thalamus for motor function Globose and Embiloform nuclei: coordinates agaonist/ anatagonist muscle pairs Fastigial nucleus: Afferents to vestibular system
273
Gamma waves: Problem solving, higher level thinking Beta waves: Alert, busy Alpha waves: Calm and restful awakeness Delta waves: REM sleep Theta waves: Non-REM sleep, seen in infants and adults with severe brain dysfunction
274
Why would thoracic extrinsic cord compression cause ascending sensory loss starting at the toes?
The motor and sensory tracts are arranged somatotopically, with the sacral nerves more lateral to the thoracic nerves medially.
275
Clinical spinal level is T10 Radiological spinal level is T7 Explain
The spinal cord is 3 segments shorter than the spinal canal
276
Kernohan's phenomenen
False lateralising sign. Midline shift causes the contralateral cerebral peduncle to compress against the contralateral tentorium, producing a motor deficit ipsilateral to the lesion.
277
Nerve root compressed in paracentral versus far lateral lumbar disc herniation
Paracentral disc herniation compresses the traversing nerve root whereas the far lateral compresses the exiting nerve root
278
Spurling's test
Lateral flexion, slight extension and axial load the neck to the ipsilateral side of the pain, will reproduce the radicular pain, by compressing the exiting foramen
279
Micturition reflexes damaged in cauda equina syndrome
Somatic control is lost: Pudendal nerve S2-S4, for voluntary control of the external urethral sphincter. Parasympathetic control is lost: S2-S4, for parasympathetic control which contracts the detrusor and relaxes the internal urethral sphincter for bladder emptying.
280
Define ischaemic penumbra on CT perfusion
Parenchyma with mean transit time > 6 seconds but normal cerebral blood volume 2.2-4.2ml/100g. Cerebral blood flow <10ml/100g/minute causes irreversible infarction
281
Difference between vasogenic and cytotoxic oedema on CT
Both = gyral enlargement Vasogenic = hypoattenuation in white matter only Cytotoxic = hypoattenuation involving white and grey matter/ loss of differentiation
282
Stroke causing hemiballismus
PCA territory infarct damaging the contralateral subthalamic nucleus
283
VIM DBS inserted for Parkinson’s complicated by paraesthesia
Electrode is in ventral posterior lateral nucleus which involves spinothalamic tract. Reposition the lead anteriorly
284
Hering-Breuer reflex
Inflation and deflation reflexes mediated by vagus nerve X in the medulla
285
Contents of the inferior orbital fissure outside the annulus of Zinn
Inferior ophthalmic vein Infraorbital nerve Zygomatic nerve
286
Splanchnic nerves
Paired myelinated nerves that pass through the sympathetic chain. Supply sympathetic innervation via the greater and lesser splanchnic nerves, to the coeliac and mesenteric ganglions
287
Autonomic ganglions receiving parasympathetic efferent input from cranial nerves
Cilliary ganglion: Receives efferent from III and stimulates pupillary constriction. From midbrain, Edinger Westphalt nucleus. Sphenopalatine ganglion: Receives efferent from VII as greater superficial petrosal nerve, stimulates lacrimation Submandibular ganglion: Receives efferent from VII as chorda tympani, stimulates salivation in submandibular gland Otic ganglion: Receives efferent from IX as lesser petrosal nerve, stimulates parotid gland salivation
288
Nervi erigentes versus pudendal nerve
Nervi erigentes are pelvic splanchnic nerves providing parasympathetic innervation to the bladder, stimulating urination by contraction of detrusor muscle and inhibition of internal vesicular sphincter. S2-S4 Pudendal nerve are somatic nerves which provide voluntary control of urinary continence by stimulating the external vesicular sphincter. S2-S4
289
Branches of the basilar artery
1) Pontine perforators 2) AICA 3) SCA 4) Labarynthine artery
290
Segments of PCA
P1) Pre communicating - Posterior thalamoperforators - If present, artery of percheron P2) Ambient - Medial posterior choroidal - Thalamogeniculate P3) Quadrigeminal - Lateral posterior choroidal P4) Calcarine - Parieto occipital artery which anastomoses with pericallosal
291
Blood supply to the basal ganglia
A) Medial striate artery - ACA/ A1 B) Lenticulostriate artery - MCA/ M1 C) Thalamoperforating artery - PCA/ P1 D) Medial posterior choroid artery - PCA/ P2 E) Thalamogeniculate artery - PCA/ P2 F) Anterior choroid artery - ICA/ C7
292
Cerebal fasciculi
A) Superior longitudinal fasciculus. Connects frontal lobe to parietal and temporal lobes via operculum, for motor, visuospatial and memory processing D) - Arcuate fasciculus. Connects Brocca's and Wernicke's area for speech and language function E) - Inferior fronto occipital fasciculus. Connects frontal to temporal and occipital lobes for somatic language control and executive function G) Uncinate fasciulus. Connects frontal and temporal lobe for memory and social-emotional function
293
a, Labyrinthine segment; b, Greater superficial petrosal nerve; c, Cochlea; d, Geniculate ganglion; e, Stapes; f, Malleus; g, Incus; h, Tympanic segment of facial nerve; i, Vertical (mastoid) segment of facial nerve; j, Stylomastoid foramen; k, Horizontal (lateral) semicircular canal; l, Posterior semicircular canal; m, Superior semicircular canal; n, Inferior vestibular nerve; o, Superior vestibular nerve; p, Internal auditory canal; q, Facial nerve; r, Meatal foramen.
294
a, Caudate nucleus; b, Putamen; c, Globus pallidus (External segment); d, Globus pallidus (Internal segment); e, Substantia innominate; - nucleus of meynert. Produces acetylcholine f, Internal capsule; g, External capsule; h, Extreme capsule; i, Claustrum; - involved in behaviour j, Amygdala; k, Hippocampus; l, Thalamus.
295
a, Anterior nucleus; b, Ventral anterior nucleus; c, Lateral dorsal nucleus; d, Ventral lateral nucleus (oral part); e, Ventral lateral nucleus (caudal part); f, Lateral posterior nucleus; g, Ventral posterolateral and ventral posteromedial nuclei; h, Dorsomedial nucleus (Magnocellular); i, Dorsomedial nucleus (Parvicellular); j, Pulvinar; k, Medial geniculate nucleus; l, Lateral geniculate nucleus.
296
a, Edinger-Westphal nucleus; b, Oculomotor nucleus; c, Trochlear nucleus; d, Trigeminal motor nucleus; e, Abducens nucleus; f, Facial motor nucleus; g, Salivatory nuclei (superior); h, Salivatory nuclei (inferior); i, Dorsal vagal motor nucleus; j, Nucleus ambiguous; k, Hypoglossal nucleus; l, Trigeminal mesencephalic nucleus; m, Trigeminal main sensory nucleus; n, Trigeminal spinal nucleus; o, Dorsal cochlear nucleus; p, Nucleus of tractus solitaries.
297
a, Anterior medullary velum; b, Middle cerebellar peduncle; c, Median sulcus of rhomboid fossa; d, Striae medullares; e, Foramen of Luschka; f, Hypoglossal trigone; g, Vagal trigone; h, Tela choroidea (cut edge); i, Gracile tubercle; j, Superior cerebellar peduncle; k, Medial eminence of fourth ventricle; l, Facial colliculus; m, Superior fovea; n, Vestibular area; o, Lateral recess; p, Sulcus limitans; q, Restiform body; r, Inferior fovea; s, Cuneate tubercle.
298
Evan's index Callosal angle Lundberg wave All in Normal Pressure Hydrocephalus
Maximum frontal horn diameter/ maximum internal skull diameter Ventriculomegally = Evan's index>0.3 Callosal angle< 90 degrees B waves on ICP monitoring during sleep
299
CSF outflow resistance indicative of normal pressure hydrocephalus
> 18mmHg/ml/min
300
Incidence of idiopathic intracranial hypertension
general public = 0.9 in 100,000 Obese women aged 20-44 = 19 in 100,000
301
Radiological signs of IIH
1) Empty sella 2) Enlarged peri optic subarachnoid space 3) Flattened posterior globe 4) Tortuous optic nerve 5) transverse sinus stenosis
302
Differential pressure versus flow regulated valves. Orbis sigma valve exerts a variable resistance between 5-25mmHg enabling stabilisation of flow
303
Difference between syringomyelia and hydromyelia
Syrinx = cavitation within the spinal cord not lined by ependymal Hydromyelia = dilation of the central canal, lined by ependymal
304
The 4 theories for syrinx formation
1) Gardner's hydrodynamic water hammer theory - hindbrain malformation obstructs foramen of magendie causes pulsatile CSF flow through the obex 2) William's craniospinal dissociation theory causes suck and slosh - hindbrain malformation causes ball and valve mechanism. High intracranial pressure and low pressure within the central canal causes suction of CSF down the pressure gradient. During valsalva. The CSF then rebounds off the caudal cord causing a slosh effect 3) Ball and Dayan - raised CSF pressure in the spinal canal during coughing causes CSF to move through virchow robin spaces into the spinal cord to form a cyst 4) Oldfield's piston theory - During systole the cerebellar tonsils create a downward pulsation of CSF
305
Chiari 1.5
Chiari 1 plus descent of the medulla Obex lies below the foramen magnum No spina bifida
306
Epidemiology of head injury
Ratio of mild: moderate: severe TBI 22: 1.5: 1 UK annual incidence of head injury attendances at emergency department = 1,500 in 100,000 per year UK annual death due to TBI = 1 in 10,000
307
Complications of concussion/ mild traumatic brain injury
Mild TBI GCS 13-15 has a mortality rate <1% Post concussion syndrome: Headache, vertigo, neuropsychiatric disorder, BPPV. Lasts up to weeks to months Second impact syndrome: Further head injury while still symptomatic from first head injury. Loss of cerebral autoregulation leads to cerebral oedema and raised intracranial pressure. Chronic traumatic encephalopathy: Slowly progressive cognitive decline, impulsivity, depression. Years or decades after the head injury Seizures: Risk after concussion is low.
308
Guideline on evacuating an extradural haematoma
Haematoma volume > 30cm3 to be removed regardless of GCS
309
Evidence for drains in CSDH
Santarius. Lancet. 2009 UK RCT comparing drain versus no drain n = 215 Recurrence rate = 9% versus 24% 6 month mortality = 8.6% versus 18.1%
310
Transalar herniation
Brain tissue across the greater wing of sphenoid
311
Steroids in traumatic brain injury evidence
CRASH study Lancet 2004 International RCT n=10,000 Age > 16 and GCS 14 or less 48 hours methylprednisolone versus placebo 2 week mortality 21% versus 18%
312
Facial nerve injury higher in transverse or longitudinal mastoid fractures
transverse mastoid fractures are more likely to cause facial nerve damage
313
Pressure reactivity index
Intact autoregulation: Increase in blood pressure causes cerebral vasoconstriction, and fall in ICP. Disturbed autoregulation: Changes in blood pressure lead to passive changes to ICP. Correlation coefficient between ABP and ICP is negative when autoregulation is intact and positive when autoregulation is disturbed.
314
Genetic disorders associated with cerebral aneurysms
Loeys-Dietz Adult polycystic kidney disease Marfans syndrome Type IV Ehlers-Danlos Neurofibromatosis type 1
315
number needed to treat to create 1 patient with mRS 3 or less in craniectomy for stroke
4
316
Molecular difference between primary and secondary glioblastoma
Primary GBM: EGFR overexpression Secondary GMB: IDH1 mutation
317
DBS inserted into Globus Pallidus interna for dystonia, complicated by visual distrubance
Withdraw the electrode as the optic radiation is caudal to the GPi
318
DBS inserted into VIM for tremor complicated by dysarthria and ataxia
Withdraw the electrode as the dento-rubro-thalamic tract is caudal to the VIM
319
Differentiating glioblastoma pseudoprogression for disease progression
Pseudoprogression: Increased ADC values due to cell death. Reduced cerebral blood flow. Low FDG uptake due to lower glucose metabolism. More common in patients receiving Temozolomide, with methylated MGMT. Pseudoprogression is associated with a better prognosis.
320
Advanced radiological characteristics of GBM
Elevated regional Cerebral blood volume on perfusion MRI Decreased NAA and increased choline/ lipid/ lactate on MR spectroscopy Increased 18F-fluorodeoxyglucose compared to normal grey matter on PET
321
18F-Fluorodeoxyglucose update on PET for gliomas
WHO Grade 2 = similar to white matter, less than grey matter WHO grade 3 = greater than white matter, similar to grey matter WHO grade 4 = greater than white and grey matter
322
Role of 18F-Fluorodeoxyglucose PET in gliomas
(1) Grading tumours and estimating prognosis; (2) Localizing the optimum biopsy site, (3) Defining target volumes for radiotherapy (RT), (4) Assessing response to therapy, and (5) Detecting tumour recurrence and distinguishing it from radionecrosis.
323
Difference between CRW and Leksel frame
Cosman-Roberts-Wells have 0 in the middle whereas Leksell has 0 in the upper, posterior, right corner and the middle is 1000m in the x, y and z axis
324
DBS inhibition and stimulation of neural tissue
High frequency inhibits Low frequency stimulates
325
DBS stimulation of neuronal parts at low frequency
Activated at high frequency = cell body Activated at lower frequency = axon Larger axons are more easily activated than smaller axons Axons with multiple branches are activated at lower stimulus
326
Conventional electrodes stimulate circumferentially around however directional electrodes can be configured to spare specific tissue adjacent to the target, such as the internal capsule which is lateral to the red nucleus
327
Summarise the Parkinson's Disease pathophysiology
Loss of dopaminergic neurons in the substantia nigra pars compacta Normally dopamine from SNpc stimulates D1 receptors in the direct pathway and inhibits D2 receptors in the indirect pathway In Parkinson's disease there is a net over inhibition of the thalamus and projecting cortical neurons
328
Diagnostic imaging in Parkinson's Disease
DAT-SPECT Dopamine transporter Single Photon emission CT Reveals reduced uptake in the Putamen In Essential tremor and drug induced Parkinsonism this would be normal
329
Radionucleotide used in DAT SPECT
I-123 Ioflupane
330
Head impulse test suggestive of vestibulo-occular reflex dysfunction - peripheral vestibular dysfunction
Corrective saccades
331
IDH in glioma
Isocitrate dehydrogenase IDH 1 gene is on chromosome 2 IDH 2 gene is on chromosome 15 IDH mutation carries a favourable prognosis Mutations occur early in oligodendroglioma and astrocytoma, seen in secondary glioblastoma
332
1p19q
Longer progression free survival and improved chemotherapy responsiveness in oligodendroglioma
333
How many dentate ligaments are there?
21 pairs Lateral projections of cord pia that anchors to the dura
334
Recovery rates by 12 months after traumatic spinal cord injury as per initial ASIA scale
ASIA A = 10% will improve to an incomplete spinal cord injury B+ and 2% will improve to D ASIA C = 70% will improve to D or E
335
Probability of walking 1 year after complete spinal cord injury
Complete paraplegia = 5% Complete quadriplegia = 0%
336
Cervical spine fractures
1 in 10,000 per year 10% associated with a neurological injury
337
Clinically clearing a patient of neck trauma
338
Jefferson's fracture
C1 burst fracture Mechanism is axial loading Atlantodental distance predicts integrity of transverse ligament ADI <3mm in adults and <5mm in children If transverse ligament intact then hard collar If transverse ligament torn then halo
339
Hangman fractures
Levine and Edwards
340
Odontoid peg fractures with highest rate of non-union
Anderson and D'Lonzo type 2 fractures 25% of non-union Treat with anterior odontoid peg screws
341
Unilateral versus bilateral cervical facet joint dislocation
Flexion with distraction in road traffic accidents Unilateral jumped facet is a rotational injury Intact cord function but nerve root compression Manage via closed reduction with cervical traction followed by halo X ray shows 25% anterior subluxation Bilateral jumped facet is not rotational. High energy trauma Spinal cord is injured X ray shows 50+% anterior subluxation Manage via 360 fusion
342
Clay shoveler fracture
Avulsion fracture of the spinous process of C spine Most commonly C7
343
Tear drop fracture
Fracture of anterior inferior vertebral body Can miss an unstable injury MRI may show ligamentous disruption
344
Lateral mass screw insertion
Aiming laterally avoids the vertebral artery Aiming cranially avoids the nerve root Magerl's technique 20 degrees laterally and 25 degrees cranially
345
Thoracolumbar fractures
AO classification B1 = chance fracture B3 = common in ankylosing spondylitis A1 = osteoporotic fracture
346
Define the spinal level in trauma
Sensory: Lowest level with intact tactile sensation to pin prick Motor: Lowest level with power at least 3/5 Neurological: Most cephald of the motor and sensory levels
347
Acute systemic complications of traumatic spinal cord injury
Neurogenic shock: Peripheral vasodilation and bradycardia due to loss of sympathetic tone. Hypotension worsens cord perfusion and ischemia - Arterial line and inotropes Respiratory dysfunction and hospital acquired pneumonia: Aim MAP > 90mmHg Ileus causes abdominal distension which can splint the diaphragm - NG tube and IV fluids. Neurogenic bowl - Bowel regime to empty contents In spinal shock the bladder becomes atonic there can overfly leading to vesiculoureteric reflux and infection - insert a urethral catheter Pressure sores can be life threatening. Muscle catabolism, muscle atrophy and loss of nitrogen - nutritional management
348
Chronic systemic complications of spinal cord injury
Autonomic dysreflexia: Headaches, blurry vision, skin flushing about spinal level. Hypertension and bradycardia after stimulus such as bladder being full. If untreated can cause myocardial infarction, brain haemorrhage and death Venous thromboembolism Heterotopic ossification: Bone forms in soft tissues, adjacent to joints. Limits range of movement and rehabilitation. NSAIDs. Can be resected. Neurogenic bladder - small volume with high tone. Suprapubic catheter with urine bypassing. Detrusor external sphincter dyssynergy. Intravesicular botulin injection. Supra pubic catheter avoids genital ulceration and infection Spasticity. Baclofen. Contracture release surgery
349
Pelvic incidence
PI = Pelvic tilt + sacral slope Used to estimate sagittal balance Sagittal imbalance predicts poor outcome after spinal fusion
350
Assessing sagittal balance
Sagittal vertical axis: Draw a plumb line from the middle of C7 to S1 This should line up with the posteriosuperior edge of the sacrum
351
Aberrant internal carotid artery
Congenital agenesis of the cervical segment of ICA Inferior tympanic artery from ascending pharyngeal artery to the middle ear then to the petrous ICA via carototympanic artery Associated with a persistent stapedial artery Presented with tinnitus
352
5-ala mechanism in glioblastoma
Selectively fluoresces cancer cells as their mitochondria convert 5-ALA into protoporphyrin IX
353
Evidence for prenatal closure of myelomeningocele
MOMS trial Adzick. NEJM. 2011 n = 158 VP shunt in prenatal repair group = 40% versus 82% in postnatal repair Preterm group associated with higher prematurity and wound dehiscence at delivery
354
Pressure volume index
Change in volume required to cause a 10x increase in ICP PVI = 25ml in teenagers but on 8ml in infants
355
Grading of IVH in prematurity
356
ETV success score
Kulkarni JNS 2009 n = 618 overall success rate 64% ETV failure = death related to hydrocephalus or subsequent definitive CSF diversion within 6 months.
357
Chater’s point
6cm above external auditory meatus = posterior limit of sylvian fissur
358
Batson's plexus
valveless veins from intra abdominal compartment to the spine
359
Anton Babinski syndrome
Blind Lack insight - anosognisia Confabulation Bilateral occipital lobe infarction
360
Collier’s sign
Upper eye lid retraction
361
Parkinson triangle
Between trochlear and opthalmic nerve - entry into cavernous sinus
362
Jugular foramen syndromes
363
American society of anaesthesiologists grading
364
Explain the triphasic response following pituitary surgery
1) Diabetes indipidous due to posterior pituitary or infundibulum damage leading to reduced ADH secretion 2) hyponatraemia due to release of ADH from dead cells 3) diabetes insipidous due to depletion of stored ADH
365
Circulating blood volume by age
Premature infant 90-100ml/kg Full term neonate 80-90ml/kg Infant > 1 month 70-80ml/kg Child 70ml/kg
366
Number of ossification centres for cervical vertebrae
c1 and C3-C7 = 3 C2 = 5
367
Hyperintense on T1
Fat Melanin Intracellular methamglobin - subacute blood
368
Resonances for different MR spectroscopy peaks
Lipid = 1 Lactate = 1.3 N-acetylaspartate = 2 Creatinine = 3 Choline = 3.2
369
Imaging for bone metastases
Technetium-99 radioisotope scan Accumulates in areas of osteoblast activity
370
Arachnoid cysts
Incidence 5 in 1,000 Male: female 4:1 50% involve sylvian fissure Usually asymptomatic but can cause seizures or headaches, suprasellar cysts can cause hypopituitarism
371
Broad big toe seen in Pfeffer syndrome
372
Syndatyly Seen in aperts syndrome
373
Dandy walker malformation
Cerebellar vermis agenesis Cystic dilation of 4th ventricular Inversion of the torcular-lambdoid
374
Congenital hydrocephalus
70% aqueductal stenosis X linked recessive gene
375
Holoprosencephaly Congenital defect Lack of separation of 2 hemispheres Normally occurs at 5th week gestation Lobar Semilobar Alobar
376
Difference between schizenceohaly and porencephalic cyst
Schizencephaly is a congenital defect, cyst lined with grey matter Porencephalic cyst is acquired brain injury during neonatal period, cyst lined with white matter
377
Spina Bifida with meningocele or myelomeningocele incidence
1 in 1,000 births Hydrocephalus up to 80% of cases Latex allergy in up to 75% Low lying conus up to 70%, most not symptomatic of tethered cord syndrome Post op dermoid up to 15% Ambulatory 50% Urinary incontinence 10% most patients remain dry with CIC Club foot 50%, more frequent with higher level Spina Bifida
378
Tethered cord and scoliosis
If scoliosis mild < 10 degrees then 70% improved neurological and remainder stabilize following untethering If scoliosis severe > 50 degrees then patients risk neurological deterioration, 15%
379
Hemivertebrae
380
Differentiate severe hydrocephalus from hydranencephaly
EEG: hydranencephaly shows no cortical abnormality whereas severe hydrocephalus has abnormal EEG Imaging: severe hydrocephalus has thin layer of brain. In hydranencephaly there may be normal posterior fossa Angiography: hydranencephaly has no flow through carotids with normal posterior circulation.
381
Holoprosencephaly associated with chromosomal abnormalities
Trisomy 13
382
Ponticulus posticus
Calcification of atlantoccipital ligaments forms a boney ridge overlying the vertebral artery
383
Difference between thoracic vertebrae
T1 resembles a cervical vertebrae and 1st rib articulates with single articular facet T2-T9 heart shaped and have superior, inferior articular processes for the ribs and transverse process has an articular process for rib T11 and T12 do not have costrotransverse articulations
384
physaliphorous cells - bubbly cytoplasm Seen in chordoma Malignant
385
Osteoid osteoma versus osteosarcoma
Osteoma is benign whereas osteosarcoma is malignant Osteoma located in lumbar posterior elements whereas osteosarcoma in the sacrum Osteoma is well circumscribed hypodense with sclerotic border whereas osteosarcoma is lytic
386
Surgery in metastatic spinal disease evidence
Patchell. Lancet. 2005 Randomised to radiotherapy alone versus radiotherapy and early surgery n = 101 Trial stopped early More patients in surgical group were ambulatory 84% versus 57% and were ambulatory for longer 122 versus 13 days Steroid and opioid requirements also less in surgery group
387
Scheuermann’s kyphosis is a kyphotic deformity of > 45° in the thoracic spine with > 5° of anterior wedging across three consecutive vertebrae, and is the commonest cause of thoracic back pain in children and adolescents.
388
Ulegyria Prenatal hypoxia Vulnerable area between MCA and PCA territory parasagittal
389
Ash leaf patch seen in Tuberous Sclerosis
390
Facial Angiofibromas seen in Tuberous Sclerosis
391
Mutations in Tuberous Sclerosis
Tuberous Sclerosis Complex 1 on Chromosome 9 and TCS 2 on Chromosome 16
392
Shagreen patch seen in Tuberous Sclerosis
393
Collagenomas Multiple endocrine neoplasia 1 Pituitary adenoma - Prolactinoma Hyperparathyroidism Pancreatic carcinoma
394
Medulloblastoma 4 subtypes
Wingless 10% - Very good prognosis, rarely metastasises Sonic Hedgehog 30% - infants good prognosis Group 3 25% - Poor prognosis, frequently metastasises Group 4 35% - intermediate prognosis
395
Chromosomes for Gorlin, Turcot, Cowden, MEN-1
Gorlin syndrome (Multiple BCCs) Chromosome 9 - Medulloblastoma Turcot syndrome (colorectal polyposis) Chromosome 5 - Medulloblastoma and Glioblastoma Cowden (Multiple hamartomas) Chromosome 10 - Lhermitte Duclos MEN 1 (Prolactinoma, hyperparathyroidism, pancreatic cancer) Chromosome 11
396
Flexner-Wintersteiner rosettes seen in retinoblastoma True rosettes - columnar cells surrounding an empty lumen with cytoplasmic projections within
397
Homer- Wright pseudorosettes Cells surrounding neuropil Seen in olfactory neuroblastoma and medulloblastoma
398
4 types of rosettes in histology
Homer-Wright pseudorosettes: Cells surrounding neuropil - olfactory neuroblastoma and medulloblastoma Flexner-Wintersteiner rossettes: Cells surrounding empty lumen with cytoplasmic projections - Seen in Retinoblastoma and olfactory neuroblastoma True rosettes: cells surrounding empty lumen - Seen in ependymoma Perivascular pseudorosettes: cells surrounding blood vessel - seen in ependymoma and medulloblastoma
399
Koos grading
1 Intracanalicular acoustic 2 Extends out of internal acoustic meatus but does not contact the brainstem 3 Fills cerebellarpontine angle but no mass effect on brainstem 4 Mass effect on the brainstem and cranial nerves
400
Pars venosa - sigmoid sinus, X, XI Pars nervosa- IX
401
Bones of orbit
402
Calcar Avis
Prominence seen intraventricularly - landmark for calcarine sulcus
403
Lesion in middle frontal gyrus causes
Conjugate eye deviation towards ipsilateral side
404
Internal capsule neurons
Corticobulbar tract in genu Corticospinal tract in posterior limb
405
How many cortical layers in cerebrum versus cerebellum
6 versus 3
406
Weber syndrome
3rd nerve palsy and contralateral hemiparesis secondary to medial midbrain infarct
407
Millard-Gubler syndrome
Ipsilateral VI and VII palsy with contralateral hemiparesis due to infarct in ventrocaudal pons
408
Mechanism of Botox
Inhibits release of acetylcholine from synapses
409
Duret haemorrhage versus DAI
Duret - paramedian DAI - dorsolateral
410
Primary and secondary brain vesicles
411
Rosenthal fibres
Pilocytic astrocytoma
412
Which movement is unaffected in one and a half syndrome
Contralateral abduction
413
Diabetic versus aneurysmal 3rd nerve palsy
Parasympathetic fibres in the periphery of 3rd nerve, therefore an aneurysm will dilate the pupil. In diabetes the pupil will be normal
414
A horizontal object appears slanted. Patient sat with head tilted
4th nerve palsy
415
Area damaged in NPH causing urinary incontinence
Paracentral lobule
416
Ptosis in Horners syndrome versus 3rd palsy
In horners syndrome the ptosis is partial and disappears on looking up
417
Bell’s phenomenon
Eyeball rotates up and out on attempting to close the eye lid
418
Keyhole
Above frontozygomatic suture
419
Damage to which thalamic nuclei when opening the choroidal fissure
Dorsal medial nuclei
420
What tumour arises from neuroectodermal remnant of rathkes pouch
craniopharyngioma
421
Histological difference between chordoma and chondrosarcoma
Chordoma - keratin Chondrosarcoma - S100
422
Which pineal tumour is most radiosensitive
Germinoma
423
Collin's law
Tumour considered cured if it has not recurred in the duration equal to the patient's age + 9 months
424
Receptor often expressed in meningiomas
Progesterone
425
Most common primary skull lesion
Osteoma
426
Difference between osteoid osteoma and osteoblastoma
Both benign, same thing Former <2cm Latter >2cm
427
Dysplastic gangliocytoma of cerebellum
Lhermitte-Duclos Seen in cowden syndrome
428
Chiasm location relative to pituitary infundibulum
Post fixed 10% Pre fixed 10% Immediately above 80%
429
Subependymal grey matter heterotropia = more common than subcortical grey matter heterotropia Abnormal migration of neurons during development X linked recessive Causes epilepsy
430
Subcortical grey matter heterotropia Abnormal migration of neurons during development Causes epilepsy
431
Lissencephaly Smooth brain with absent sulci Incidence 1 in 11 million Abnormal neuronal migration Causes epilepsy and developmental delay
432
18F Fluorodeoxyglucose PET in epilepsy
Can show an area of hypometabolism correlating to the epileptogenic focus
433
Dorsal anterior cingulate cortex important for what aspect of pain
affective Attachment of the emotional association to pain
434
Cumulative risk of re bleeding if an aneurysm left unsecured
20% at 2 weeks 30% at 4 weeks
435
Toxoplasmosis medications
Pyrimethamine and sulfadiazine
436
HouseBrackman Forehead movement
1 = normal 2 = reduced 3 = minimal 4-6 = none
437
House Brackman Appearances at rest
1-4 = normal 5 = asymmetry at rest 6 = Complete loss of tone
438
House Brackman Eye lid closure
1-3 = complete 4-5 = incomplete 6 = none
439
MCA velocity in vasospasm
120-200cm/s = mild vasospasm >200cm/s = severe vasospasm
440
Lindegard ratio
Ratio of velocity of MCA to ICA flow. >6 indicates severe vasospasm <3 is normal
441
Horners syndrome with retro orbital pain
Carotid dissection
442
Rendu-Osler-Weber syndrome
Hereditary telangelectasia Higher prevalence of AVM in brain and lung Recurrent epistaxis Telangectasia on lips, tongue, conjunctiva
443
Sturge-Weber syndrome Subcortical calcification Tram-track sign calvarial thickening
444
Sturge Weber syndrome
Congenital Port wine stain in V1 Epilepsy refractory to medical management Associated with glaucoma Is not inherited, it's due to a developmental mutation during pregnancy on GNAQ -Chromosome 9
445
Most common cutaneous lesion in Tuberous Sclerosis
Ash leaf macule
446
4 normal embryological arteries
Trigeminal Otic Hypoglossal Proatlantic
447
Hunt and Hess grade 3
448
Hunt and Hess grade 2
449
Proportion Engel Class 1, 5 years after temporal lobectomy
70% 1 = Seizure free 2 = Disabling seizures rare 3 = some improvement 4 = no improvement
450
C1C2 transarticular screw facet of C2 -> Pars of C2 -> lateral mass of C1 Contraindicated in 30% due to position of vertebral artery
451
SSEP TC MEP Pedicle stimulation
Somatosensory evoked potential: Stimulate tibial nerve, assess dorsal column function Transcranial motor evoked potential: Stimulate scalp over motor cortex, assess corticospinal tract Pedicle stimulation: If nerve stimulated at less than 8mA then pedicle breeched
452
Anterior longitudinal ligament Anterior atlanto-occipital and anterior atlanto-axial membranes Apical ligament = tip of dens to foramen magnum Transverse ligament = dens to foramen magnum and lateral mass of C1 Tectorial membrane = continuation of posterior longitudinal ligament to clivus Alar ligaments = Dens to occipital condyles
453
Odontoid peg fracture classification
Anderson and D'Lonzo
454
Occipital condyle fracture causing a syndrome involving cranial nerves
Collet-Sicard Hypoglossal and jugular foramen nerves IX, X, XI, XII
455
Symptom triad in autonomic dysreflexia
Hyperhydrosis Cutaneous vasodilation Headache
456
Fortin’s sign
Tenderness of sacroiliac joint
457
Copper beating Chronic hydrocephalus
458
Blake’s pouch cyst Non perforation of foramen magendie 4th ventricular choroid plexus seen in the cyst
459
Cobblestone cortex in lissencephaly type 2
460
Type 1 versus type 2 lysencephaly
Type 1 = undermigration Type 2 = over migration
461
Grisel’s syndrome
Spontaneous Atlantlo axial subluxation secondary to pharyngeal infection
462
Chordoma is a remnant of what?
Notocord
463
Spinal level of typical osteochondroma
C2
464
Gestational age the anterior and posterior neuropores close
24 and 26
465
Cervical spine abnormalities in Down's Syndrome
25% Atlanto-axial instability ADI > 5mm Only 1% symptomatic Also, Os Odontoideum
466
Garnder's theory William's Oldfield's
Garnder's Hydronamic theory - pulsations created by systole force water down the obex William's theory - valsalva/ cough causes hydrodissection through spinal cord tissue. With a pressure gradient between intracranial and intraspinal Oldfield's cerebellar tonsils act as pistons, leading to high spinal subarachnoid space pressure, and CSF transmitting through virchow robins spaces
467
Tinea Solium
Neurocysticerosis Eating undercooked infested pork Most common cause of paediatric epilepsy in endemic countries
468
How many paediatric CT heads to cause 1 extra case of cancer
10,000
469
Rotatory atlanto-axial subluxation Fielding and Hawkins
470
Neonate versus adult CSF production
Neonate Total CSF volume 5ml Production 25ml/ day Adult Total CSF volume 150ml Production 450ml/ day
471
Frontal horn/ internal diameter of skull
Evans ratio > 0.3 hydrocephalus
472
Enlarged sylvian fissure with narrow convexity sulci
473
Miller Fisher test
40ml CSF from lumbar puncture High positive predictive value Low sensitivity
474
Knee of willebran - nasal fibres enter contralateral optic nerve before tract Lesion at the optic nerve adjacent to the chiasm
475
Which structure gives rise to wave 5 in brainstem auditory evoked potentials
Inferior colliculus
476
Calculate cerebral compliance
Change in volume/ change in pressure
477
Febrile seizures
Prevalence 2-3% Age 6 months to 5 years old 1% risk of developing epilepsy
478
Motor innervation of posterior cord (axillary and radial)
479
Motor innervation of ulnar and median nerves
480
Martin Gruber anastamosis
Connection between median and ulnar nerves in the forearm
481
Nerve conduction finding in carpal tunnel syndrome
Sensory latency > 3.7 milliseconds
482
Wallerian degeneration Antegrade degeneration of axons and myelin sheath following proximal axon or cell body damage
483
Lesion in the medial longitudinal fasciculus
484
Gene mutations in Tuberous Sclerosis
Tumour suppressor genes TSC1 on chromosome 9 TCS2 on chromosome 16
485
Incidence of tuberous sclerosis and Von Hippel Lindau syndrome
1 in 6,000 births 1 in 35,000 births
486
Difference between essential criteria for oligodendroglioma and astrocytoma
Both: diffusely infiltrating tumour Both: IDH mutation Astrocytoma: ATRX mutation Oligodendroglioma: whole arm deletions of 1p and 19q
487
Essential diagnostic criteria for glioblastoma
Difusely infiltrating astrocytoma glioma IDH wild type Microvascular proliferation or necrosis or TERT mutation or EGFR amplification
488
Most common lobe location for glioblastoma
Temporal (31%) Parietal (24%) Frontal (23%) Occipital (16%)
489
Diffuse midline glioma H3 K27M-altered
490
Rosenthal fibres seen in Pilocytic astrocytoma
491
SPORT Trial
Weinstein JAMA 2006 n = 501 Lumbar radicular pain > 6 weeks Oswestry Disability index similar between non-operative and surgical groups at 2 years follow up However, at 2 years 60% of operative group and 45% had undergone surgery
492
Maternal diabetes is a risk factor for which congenital spinal abnormality
Sacral agenesis
493
Lundberg A waves seen in raised ICP
494
4 molecular and 4 histological subtypes of medulloblastoma
Wingless activated Sonic Hedhehog activated Group 3 Group 4 Classic Nodular/ desmoplastic Extensive nodularity Large cell/ anaplastic
495
4 molecular and 4 histological subtypes of medulloblastoma
496
Post operative staging for medulloblastoma
497
Most common pineal tumour
Germinoma
498
Types of craniopharyngioma
Adamantinomatous versus pappillary Addemantinomatous is more common and occurs in children Papillary occurs in adults 40-60 Adamantinomatous forms cysts whereas papillary is solid Adamantinomatous has keratin and calcifications whereas papillary does not
499
Clinical outcomes for AVM treatment as per grade