Functional Flashcards

(99 cards)

1
Q

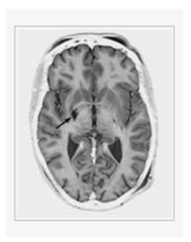
Of the following, which symptom, associated with advanced Parkinson disease and/or its long-term medical treatment, is most reliably controlled by the therapeutic lesion depicted in the magnetic resonance image shown in Figure 1?
a. Levodopa-induced dyskinesia
b. Akinesia
c. Tremor
d. Rigidity
e. Ataxia

A

a. Levodopa-induced dyskinesia

How well did you know this?
1
Not at all
2
3
4
5
Perfectly
2
Q

When treating status epilepticus in adults, which intravenous medication should be co-administered with benzodiazepines?
a. Succinylcholine.
b. Propofol.
c. Phenobarbital.
d. Phenytoin.
e. Nitroprusside.

A

d. Phenytoin.

How well did you know this?
1
Not at all
2
3
4
5
Perfectly
3
Q

Approximately what percentage of patients experience favorable outcomes (Engel Class I) 3-5 years after temporal lobectomy for temporal lobe epilepsy?
a. 30%
b. 70%
c. 10%
d. 90%
e. 50%

A

b. 70%

How well did you know this?
1
Not at all
2
3
4
5
Perfectly
4
Q

A 50-year-old woman has 3 years of periodic right hand tremor aggravated by stress and caffeine, and improved with a glass of wine. The tremor impairs her ability to write, button her clothes, and drink. She is otherwise healthy and takes no medications. Her MRI is normal. What is the most appropriate next step in management?
a. Propranalol
b. GPi deep brain stimulation
c. Reassurance that this is normal aging
d. Thalamic deep brain stimulation
e. Thalamotomy

A

a. Propranalol

How well did you know this?
1
Not at all
2
3
4
5
Perfectly
5
Q

Which of the following is the first line treatment for craniocervical dystonia (excluding oromandibular)?
a. Deep brain stimulation
b. Botulinum toxin
c. Selective dorsal rhizotomy
d. Intrathecal baclofen
e. Selective peripheral denervation

A

b. Botulinum toxin

How well did you know this?
1
Not at all
2
3
4
5
Perfectly
6
Q

A 50-year-old patient has a history of right-sided hemiparesis and recurrent seizures. On examination, he has a port-wine stain in the left V1 and V2 distribution. What is the most likely diagnosis?
a. Hemorrhagic hereditary telangiectasia (Rendu-Osler-Weber syndrome)
b. Neurocutaneous melanosis
c. Tuberculosis with leptomeningeal involvement
d. Meningioangiomatosis
e. Encephalotrigeminal angiomatosis

A

e. Encephalotrigeminal angiomatosis

How well did you know this?
1
Not at all
2
3
4
5
Perfectly
7
Q

A 17 year-old female has chronic severe progressive tremor and dysphagia. She was recently hospitalized for an episode of psychosis. On examination she is dysarthric, drools, and has marked tremor with extension of her arms. Eye examination reveals yellow-brown granular deposits at the limbus of the cornea. What is the most likely diagnosis?
a. Sydenham Chorea
b. Tardive dyskinesia
c. Lesch-Nyhan Syndrome
d. Thyrotoxicosis
e. Hepatolenticular degeneration

A

e. Hepatolenticular degeneration

How well did you know this?
1
Not at all
2
3
4
5
Perfectly
8
Q

When screening a patient for DBS, what clinical finding most suggests an atypical parkinsonism rather than idiopathic Parkinson Disease?
a. Masked facies
b. Reduced arm-swing and stride length on one side
c. Orthostatic hypotension
d. Drooling
e. Marked ataxia on finger-nose-finger testing

A

e. Marked ataxia on finger-nose-finger testing

How well did you know this?
1
Not at all
2
3
4
5
Perfectly
9
Q

Which syndrome is most likely to benefit from hemispherectomy?
a. Nonlesional Extratemporal Epilepsy
b. Mesial temporal Sclerosis
c. Drop attacks
d. Lennox-Gastaut Syndrome
e. Rasmussen’s Encephalitis

A

e. Rasmussen’s Encephalitis

How well did you know this?
1
Not at all
2
3
4
5
Perfectly
10
Q

During deep brain stimulator implantation targeting the subthalamic nucleus, macrostimulation testing reveals good tremor control with low voltage stimulation but also parasthesias that resolve rapidly and contralateral facial pulling and wrist flexion at low voltages. Similar findings are noted with stimulation at all contacts. What is the most appropriate next step?
a. Implantation should be aborted due to narrow therapeutic window.
b. The lead should be moved medially away from the internal capsule.
c. Secure the electrode in the current position due to an adequate therapeutic window.
d. The lead should be moved laterally away from the red nucleus.
e. The lead should be moved anteriorly due to the observation of transient parasthesias.

A

b. The lead should be moved medially away from the internal capsule.

How well did you know this?
1
Not at all
2
3
4
5
Perfectly
11
Q

Patients with subcortical band heterotopia are characterized by:
a. X-linked migrational disorder.
b. Subependymal giant cell astrocytomas.
c. Male predominance.
d. Infantile spasms.

A

a. X-linked migrational disorder.

How well did you know this?
1
Not at all
2
3
4
5
Perfectly
12
Q

Which of the following is a characteristic of primary generalized dystonia?
a. The presence of a distinct underlying neuropathology
b. The involvement of a single body part
c. The presence of familial predisposition
d. The presence of developmental delay
e. The presence of bradykinesia

A

c. The presence of familial predisposition

How well did you know this?
1
Not at all
2
3
4
5
Perfectly
13
Q

Each of the following physiological techniques has been used reliably to confirm correct anatomical targeting during surgery within the basal ganglia except:
a. bipolar semi-microelectrode recording.
b. single-cell microelectrode recording.
c. motor evoked potentials.
d. impedance monitoring.
e. macroelectrode stimulation

A

c. motor evoked potentials.

How well did you know this?
1
Not at all
2
3
4
5
Perfectly
14
Q

Which anti-epileptic agents would be BEST to use in a patient receiving multiple other medications extensively metabolized by the liver?
a. Phenytoin (Dilantin)
b. Carbamazepine (Tegretol)
c. Oxcarbazepine (Trileptal)
d. Levetiracetam (Keppra)
e. Phenobarbital (Luminal)

A

d. Levetiracetam (Keppra)

How well did you know this?
1
Not at all
2
3
4
5
Perfectly
15
Q

Inferior extension of a therapeutic lesion placed in the posteroventral globus pallidus pars internus may induce which of the following adverse events:
a. Hemiballism.
b. Ataxia.
c. Visual field deficit.
d. Hemiplegia.
e. Sensory loss.

A

c. Visual field deficit.

How well did you know this?
1
Not at all
2
3
4
5
Perfectly
16
Q

A 25 year-old female with medically refractory epilepsy undergoes vagus nerve stimulation (VNS). What is the expected clinical response to VNS in general?
a. Complete cure of epilepsy in most patients
b. No reduction in seizures but increased quality of life in most patients
c. 50% reduction in seizures in 50% of patients
d. 90% reduction in seizures in 90% of patients
e. Increase in seizure frequency in 50% of patients

A

c. 50% reduction in seizures in 50% of patients

How well did you know this?
1
Not at all
2
3
4
5
Perfectly
17
Q

A 34-year-old man with left temporal lobe epilepsy experiences a two-minute episode involving loss of consciousness and tonic stiffening of all four limbs, followed by relatively symmetric rhythmic convulsive jerking of the limbs. What type of seizure is this patient experiencing?
a. Simple partial
b. Absence
c. Primary generalized
d. Complex partial
e. Secondarily generalized

A

e. Secondarily generalized

How well did you know this?
1
Not at all
2
3
4
5
Perfectly
18
Q

A 30 year-old undergoes an anterior temporal lobectomy for intractable epilepsy secondary to mesial temporal sclerosis. Postoperatively, the patient has new diplopia that improves over the next 4 months. Tilting his head to the right and tucking his chin improves his symptoms. Damage to what structure accounts for this complication?
a. Meyer’s loop
b. Posterior communicating artery
c. Trochlear nerve
d. Quadrigeminal plate
e. Oculomotor nerve

A

c. Trochlear nerve

How well did you know this?
1
Not at all
2
3
4
5
Perfectly
19
Q

A 37-year-old female with long-standing epilepsy despite anti-epileptic medications and prior epilepsy surgery, reports to her physician that she has been seizure-free for 12 months. What is the most likely psychosocial pressure motivating the patient to report that she has been seizure-free for a 12-month period?
a. Commuting via public transportation
b. Financial independence
c. Full-time employment
d. Holding an active driver’s license
e. Living independently

A

d. Holding an active driver’s license

How well did you know this?
1
Not at all
2
3
4
5
Perfectly
20
Q

Which seizure type responds the BEST to Vagus Nerve Stimulation (VNS) for medically intractable epilepsy?
a. Secondary Generalized Seizure
b. Gelastic Seizure
c. Atonic Seizure
d. Myoclonic Seizure
e. Epilepsia Partialis Continua

A

c. Atonic Seizure

How well did you know this?
1
Not at all
2
3
4
5
Perfectly
21
Q

In childhood epilepsy syndromes, patients with Lennox-Gastaut syndrome MOST often have the following EEG findings:
a. Diffuse EEG slowing
b. Multifocal slow spike and wave activity
c. Bilateral hypsarrhthmia
d. Triphasic spike and wave activity
e. Normal or discontinuous EEG activity

A

b. Multifocal slow spike and wave activity

How well did you know this?
1
Not at all
2
3
4
5
Perfectly
22
Q

A 60-year-old generally healthy man with Parkinson disease (PD) is considering undergoing deep brain stimulation electrode implantation. He was diagnosed with PD 8 years ago and responded extremely well to levodopa therapy initially. Last year, he began to develop levodopa-related dyskinesias. Which of the following factors is most predictive of his response to deep brain stimulation?
a. Duration of disease
b. Development of levodopa-induced dyskinesias
c. Levodopa responsiveness
d. Lack of medical comorbidities
e. Age

A

c. Levodopa responsiveness

How well did you know this?
1
Not at all
2
3
4
5
Perfectly
23
Q

When performing invasive monitoring for epilepsy, when is stereo-EEG monitoring preferred over subdural grids and strips?
a. Desire to reduce the need for continuous antibiotics
b. Desire to perform resection during the same admission
c. Need to perform language mapping
d. Greater than average skull thickness
e. Putative involvement of a functional network

A

e. Putative involvement of a functional network

How well did you know this?
1
Not at all
2
3
4
5
Perfectly
24
Q

Stimulation in what peri-Sylvian region would most likely cause speech arrest during awake speech mapping?
a. Gyrus supramarginalis
b. Pars orbitalis
c. Pars opercularis
d. Pars triangularis
e. Gyrus angularis

A

c. Pars opercularis

How well did you know this?
1
Not at all
2
3
4
5
Perfectly
25
A patient treated with deep brain stimulation (DBS) for generalized dystonia presents to your clinic 1 month after DBS with complaints that it is not effective. What would be the most appropriate next step? a. Recommend genetic testing b. Offer revision surgery c. Recommendation implantation of additional leads d. Counsel patient e. Explant due to surgical failure
d. Counsel patient
26
What is the approximate seizure freedom rate in patients following non-lesional resective frontal lobe epilepsy surgery? a. 40-50% b. 0-10% c. 20-30% d. 60-70% e. 80-90%
a. 40-50%
27
A patient is undergoing DBS lead placement in the subthalamic nucleus for Parkinson disease. During intraoperative testing the patient has good relief of symptoms but also notes facial pulling and transient paresthesias. Different monopolar and bipolar options produce the same result. Which of the following is the best option? a. Move the lead laterally b. Abort implantation on this side and move on to DBS implantation on the left side. c. Leave the DBS in its current location d. Advance the lead deeper e. Move the lead medially
e. Move the lead medially
28
The MOST common clinical feature of mesial temporal lobe seizures is: a. Ictal oral automatisms. b. OIpsilateral dystonic posturing. c. Visual auras. d. Ictal bicycling movements.
a. Ictal oral automatisms.
29
What is the best initial treatment for a 9 year old patient with diffuse bilateral dystonia secondary to cerebral palsy? a. Intramuscular botulinum injection b. Deep brain stimulation c. Selective dorsal rhizotomy d. Section of Filum Terminale e. Intrathecal baclofen
e. Intrathecal baclofen
30
The current model of basal ganglia physiology suggests that the 'negative symptoms' of Parkinson disease (i.e., rigidity and bradykinesia) are attributable to which of the following physiological events: a. The hyperactive GPi hyperinhibits the ventrolateral (VL) nucleus of the thalamus. b. Excessive glutamatergic input from the disinhibited subthalamic nucleus results in GPi hyperactivity. c. Glutamatergic input from the VL thalamus to the supplementary motor area is decreased. d. Inhibitory input to the globus pallidus pars internus (GPI) via the direct pathway from the striatum is decreased. e. all of the above
e. all of the above
31
A lateral view of the cortical surface bordering the right sylvian fissure that is commonly exposed in a frontotemporal craniotomy is shown in Figure 1. The lower ends of the precentral (1) and postcentral (2) gyri are in the exposure. The supramarginal gyrus is indicated by what number? a. 6 b. 9 c. 8 d. 7 e. 5
d. 7
32
An 8 year old boy with cerebral palsy and spastic quadriparesis presents to the emergency room with excessive somnolence. His baclofen pump was adjusted earlier today and his mother notes that he has remarkably little tone now. What is the best pharmacological treatment option? a. Atropine b. Physostigmine c. Naloxone d. Baclofen e. Flumazenil
b. Physostigmine
33
Which of the following is a significant risk factor for intraoperative seizure during awake craniotomy? a. Treatment with only a single antiepileptic drug b. Blood levels of antiepileptic drugs c. History of seizures d. Age 60 years
c. History of seizures
34
A 32 year-old male has intractable seizures localized to the left language-dominant supplementary motor area. What neurological deficit will most likely result following surgical resection? a. Left inferior quadrantopsia. b. Anomia and finger agnosia. c. Temporary mutism. d. Alexia without agraphia e. Temporary paresis on the left.
c. Temporary mutism.
35
Orally administered baclofen may be useful in the treatment of the spasticity of cerebral palsy BECAUSE IT: a. Has a specific beneficial effect on dystonia. b. Is a GABA agonist that inhibits presynaptic neurotransmitter release. c. Weakens muscles by inhibiting the release of calcium from sarcoplasmic reticulum. d. has little sedative effect compared with other medications. e. Increases nor-adrenergic inhibition in the spinal cord.
b. Is a GABA agonist that inhibits presynaptic neurotransmitter release.
36
Which of the following are the cardinal motor symptoms of Parkinson disease (PD) that are most amenable to treatment with deep brain stimulation (DBS)? a. Dystonia, dyskinesia and tremor b. Dyskinesia, bradykinesia and rigidity c. Freezing of gait, rigidity and tremor d. Dyskinesia, dystonia and freezing of gait e. Bradykinesia, rigidity and tremor
e. Bradykinesia, rigidity and tremor
37
After invasive grid monitoring and mapping of eloquent cortex, surgical resection is recommended for a 19-year-old man with drug-resistant epilepsy. The patient's seizures involve speech arrest with tonic posturing of the upper extremities in a "fencing posture". Where is the likely seizure focus? a. Mesial temporal lobe b. Primary motor cortex c. Primary sensory cortex d. Lateral temporal lobe e. Supplementary motor area
e. Supplementary motor area
38
What is the most common side effect of vagus nerve stimulation? a. Dyspnea b. Cardiac arrhythmia c. Voice hoarseness d. Dyspepsia e. Wound infection
c. Voice hoarseness
39
In the Hassler terminology, the ventrolateral thalamus is subdivided into three regions, including which of the following: a. Ventral oralis posterior (VOP), ventral intermediate (VIM), and ventral caudalis (VC) b. Ventral oralis anterior (VOA), ventral oralis posterior (VOP), and ventral intermediate (VIM) c. Ventral oralis anterior (VOA), ventral oralis posterior (VOP), and ventral caudalis (VC) d. Ventraloralis anterior (VOA), ventral intermiate (VIM), and ventral caudalis (VC) e. Ventral lateral (VL), ventral intermediate (VIM), and ventral posterior lateral (VPL)
b. Ventral oralis anterior (VOA), ventral oralis posterior (VOP), and ventral intermediate (VIM)
40
Which ONE of the following statements concerning essential tremor is TRUE? a. A patient with tremor that begins after age 40 years should be tested for Wilson disease. b. Primidone is probably somewhat superior to propanolol in treating essential tremor, but it causes more side effects in some patients and a significant number of patients do not respond to either treatment. c. The presence of head tremor in addition to tremor of the extremities should make one question the diagnosis of essential tremor. d. The tremor of hyperthyroidism can be distinguished from essential tremor by recording devices that measure tremor frequency. e. Thalamic stimulation of the ventralis intermedius nucleus for unilateral tremor is preferred over thalamotomy because the effects of the latter last for only several years.
b. Primidone is probably somewhat superior to propanolol in treating essential tremor, but it causes more side effects in some patients and a significant number of patients do not respond to either treatment.
41
Epilepsy is generally defined as: a. two or more provoked seizures. b. one provoked seizure. c. two or more unprovoked seizures. d. one unprovoked seizure with a remote history of febrile seizure e. one unprovoked seizure.
c. two or more unprovoked seizures.
42
What language test represents the primary test for intra-operative assessment of language function during cortical stimulation mapping? a. Counting b. Auditory sentence completion c. Visual gesture naming d. Auditory responsive naming e. Visual object naming
e. Visual object naming
43
A 19-year-old woman presents with intermittent episodes involving a motionless stare, lip smacking, dystonic posturing of the left arm, and unresponsiveness. What type of seizure is this patient experiencing? a. Atonic b. Complex partial c. Aura d. Secondarily generalized e. Simple partial
b. Complex partial Correct
44
A 45-year-old male has a five-year history of progressive right arm intention tremor. A similar condition is present in his father and paternal uncle. The tremor improves with alcohol ingestion, but has become increasingly refractory to propanolol, mysoline, as well as topamax. There is no rigidity, bradykinesia, or gait abnormality present. What is the most appropriate neurosurgical intervention? a. Thalamic deep brain stimulator b. Globus pallidus deep brain stimulator c. Stereotactic pallidotomy d. Subthalamic nucleus deep brain stimulator e. C6,7 selective rhizotomy
a. Thalamic deep brain stimulator
45
What is the most common major complication of tereoelectroencephalography (SEEG)? a. Electrode migration b. Intracranial hematoma c. Infection d. Status epilepticus
b. Intracranial hematoma
46
A 55 year-old woman has intractable seizures treated with levetiracetam, oxcarbazepine, and vagus nerve stimulation (VNS). She presents with increased seizure activity after 2 days of painful coughing and odynophagia, preventing her from taking her anticonvulsant medications. Examination reveals a hoarse voice. What is the most appropriate initial intervention? a. Obtain electroencephalogram b. Throat cultuate and administer antibiotics c. Start phenytoin d. Inactivate VNS e. Increase VNS frequency
d. Inactivate VNS
47
A 25-year-old man presents to clinic with progressive worsening of twisting movement in his torso. His symptoms began as right foot and leg cramps during late teens and progressed to include arms, neck, and torso. He is otherwise healthy and has an uncle with similar symptoms. What is the most likely diagnosis? a. Secondary generalized dystonia b. Idiopathic scoliosis c. Secondary focal/segmental dystonia d. Isolated focal/segmental dystonia e. Isolated generalized dystonia
e. Isolated generalized dystonia
48
In childhood epilepsy syndromes, what is the most common EEG finding characteristic for patients with Lennox-Gastaut syndrome? a. Normal or discontinuous. b. Bilateral hypsarrhthmia. c. Triphasic spike-and-wave. d. Three per second spike-and-wave e. Multifocal slow spike and wave
e. Multifocal slow spike and wave
49
A 74 year old man presents with progressive cognitive decline over one year, occasional visual hallucinations, poor attention, short-term memory loss, and bilateral upper extremity rigidity. What is the most likely diagnosis? a. Wilson's disease b. Dementia with Lewy bodies c. Alzheimer's disease d. Multi-infarct dementia e. Pick's disease
b. Dementia with Lewy bodies
50
A 70-year old male presents with personality changes, gait instability, bradykinesia, slurring of speech, and difficulty moving the eyes. Which of the following imaging features is most consistent the diagnosis? a. CT scan showing enlarged ventricles b. PET scan showing reduced FDG-uptake in the frontal cortices, basal ganglia, and brainstem c. MRI scan showing marked frontal and temporal cortical atrophy d. PET scan showing asymmetrical reduced FDG-uptake in the cerebral hemispheres e. PET scan showing decreased FDG-uptake in the cerebellum and cortex
b. PET scan showing reduced FDG-uptake in the frontal cortices, basal ganglia, and brainstem
51
You are consulted about a patient who suffered a cardiac arrest secondary to an asthma attack. Hypothermia to 33° C has been initiated. CT reveals diffuse edema with slit ventricles, sulcal effacement, and obliteration of the basal cisterns. You suggest assessing median nerve somatosensory evoked potentials for aid in prognostication. Which SSEP component is most commonly measured to identify patients with a probable poor neurological outcome? a. Wave V b. N20 c. Wave II d. ON13 (C5s) e. EP (Erb's point)
b. N20
52
Following left anterior temporal lobectomy for epilepsy, a patient develops right hemiplegia, hemisensory loss, and homonymous hemianopia. Which surgical complication is the most likely cause of her symptoms? a. Damage to the thalamus b. Middle cerebral artery injury c. Anterior choroidal artery injury d. Damage to the cerebral peduncle e. Post-operative hematoma
c. Anterior choroidal artery injury
53
When considering targets for deep brain stimulation for a patient with advanced Parkinson's disease, what is true about the expected benefits of stimulation of the subthalamic nucleus (STN) over the globus pallidus internus (GPI)? a. Greater longevity of therapy. b. Fewer neurocognitive side effects. c. Superior motor outcomes in patients under age 50. d. Greater medication reduction. e. Greater reduction in overall disability score.
d. Greater medication reduction.
54
What is the most important factor in determining whether a patient with a history of seizures is allowed to drive? a. Seizure-free interval b. Number of anti-epileptics c. Seizure-free off medications d. Discretion of the treating physician e. History of seizure surgery
a. Seizure-free interval
55
What visual field deficit is most common after right anterior temporal lobectomy for epilepsy? a. Bitemporal hemianopsia b. Left homonymous hemianopsia c. Scotoma d. Left superior quadrantanopsia e. Left inferior quadrantanopsia
d. Left superior quadrantanopsia
56
A 23 year-old woman with complex partial seizures was initially treated with phenytoin, then switched to carbamazepine, and is currently on levetiracetam after failing the first two therapies. After a seizure-free period of six months upon starting levetiracetam, she now has recurrence of 2-3 seizures/month. What is the most appropriate next step in her management? a. Switch to monotherapy with oxcarbazepine. b. Evaluate for resective epilepsy surgery. c. Add oxcarbazepine therapy with the levetiracetam. d. Evaluate for vagus nerve stimulation. e. Add phenytoin and oxcarbazepine to the current therapy with levetiracetam.
b. Evaluate for resective epilepsy surgery.
57
What deep brain structure is the most appropriate deep brain stimulation target for chronic nociceptive pain? a. Anterior limb of the internal capsule b. Globus pallidus internus c. Ventral posterolateral nucleus of the thalamus d. Periaqueductal grey e. Subthalamic nucleus
d. Periaqueductal grey
58
Intraoperative test stimulation is being performed during a subthalamic nucleus deep brain stimulator placement. Stimulation at low voltages evokes dysconjugate gaze. The lead position is likely too far in which direction? a. Medial b. Superficial c. Lateral d. Anterior e. Posterior
a. Medial
59
A 17-year-old cerebral palsy patient with spasticity undergoes intrathecal baclofen pump placement with significant objective improvement. 15 months later, he presents to the emergency department with recurrent spasticity. He is otherwise medically well, afebrile and without signs or symptoms of infection. What is the next most appropriate step in management? a. Interrogation of the pump and review the programming b. Radiopaque dye injection through the catheter access port c. AP and lateral radiographs of intrathecal catheter d. Temporary intrathecal catheter placement for baclofen injection e. Surgery for pump replacement
a. Interrogation of the pump and review the programming
60
You are placing a deep brain stimulator in the GPi for Parkinson's disease. Your microelectrode has passed through the bottom of the GPi. What is the next structure to check for? a. Substantia nigra reticulata b. Globus pallidus externa c. Subthalamic nucleus d. Optic tract e. VPL thalamus
d. Optic tract
61
For which aspect of pain is the dorsal anterior cingulate cortex (dACC) responsible? a. Neurogenic b. Psychosomatic c. Somatosensory d. Nociceptive e. Affective
e. Affective
62
A 55-year-old man is seen with early Parkinson disease manifested by tremor, rigidity, and bradykinesia. What is the preferred initial medication for treating this patient's Parkinson disease? a. levodopa b. dopamine agonist c. catechol methyltransferase inhibitor d. anticholinergic e. combination of levodopa and an anticholinergic
b. dopamine agonist
63
When determining the initial programming settings for a patient with Parkinson disease who has undergone subthalamic nucleus deep brain stimulation, what is the most useful sign to determine the benefit of stimulation? a. Postural instability b. Bradykinesia c. Rigidity d. Dyskinesia e. Resting tremor
c. Rigidity
64
A 65-year-old male presents with resting tremor, rigidity, postural instability, and bradykinesia. Which of the following symptoms is most likely to also be present? a. Diabetes b. Diarrhea c. Dry mouth d. Hyposmia e. Hypertension
d. Hyposmia
65
A 65-year-old presents with difficulty initiating movements, rigidity, and a mild resting tremor. Which of the following neurotransmitters is likely deficient in this patient? a. Norepinephrine b. Acetylcholine c. Serotonin d. GABA e. Dopamine
e. Dopamine
66
A craniotomy using frameless stereotactic guidance is planned. After the surgeon registers the patient and image, the fiducial reference frame moves in relation to the patient. Which of the following is the best option before proceeding with the operation? a. Ignore the shift if minor b. Touch a skull reference point c. Return the reference frame to its previous position d. Re-register e. Use a software correction algorithm
d. Re-register
67
A 50 year-old man has a 15 year history of worsening bilateral (right worse than left) hand tremor that is worse with movement, such as writing and dressing. The tremor is partially alleviated with alcohol. He does not have a resting tremor or rigidity. Propranolol reduces the tremor, but side effects limit its utility. What is the most likely diagnosis? a. Parkinson's Disease b. Orthostatic Tremor c. Essential Tremor d. Dystonic Tremor e. Dyskinesia
c. Essential Tremor
68
What is a known possible side effect of corpus callosotomy for epilepsy? a. Gerstmann syndrome b. Hemiplegia c. Hemibalismus d. Disconnection syndrome e. Superficial cerebral hemosiderosis
d. Disconnection syndrome
69
When counseling a patient regarding temporal lobectomy for temporal lobe epilepsy, what is the most consistent and important predictor of a very favorable outcome after surgery? a. Duration of epilepsy 20 years b. Confirmation of laterality based on invasive monitoring c. Greater than 50 years old d. Male gender e. Absence of generalized seizures preoperatively
e. Absence of generalized seizures preoperatively
70
What is the FDA Human Device Exemption (HDE) approved target for deep brain stimulation for medically refractory obsessive compulsive disorder? a. Subgenual cingulate gyrus b. Medial forebrain bundle c. Subthalamic nucleus d. Ventral capsule/ventral striatum e. Anterior cingulate gyrus
d. Ventral capsule/ventral striatum
71
An eight-year old male of Ashkenazi Jewish descent presents with generalized dystonia, refractory to all medications. A similar condition has been noted in a number of his first-degree relatives. Which bilateral procedure is the BEST option for surgical treatment of this condition? a. Pallidotomy b. Thalamotomy c. Pallidal deep brain stimulation d. Thalamic deep brain stimulation e. Subthalamic deep brain stimulation
c. Pallidal deep brain stimulation
72
The patient whose magnetic resonance image is shown in Figure 1 most likely underwent surgery to control which of the following symptoms associated with which disease: a. Levodopa-induced dyskinesia associated with Parkinson disease b. Torticollis associated with cervical dystonia. c. Rigidity associated with Parkinson disease. d. Akinesia associated with Parkinson disease. e. Tremor associated with Essential Tremor.
e. Tremor associated with Essential Tremor.
73
Which of the following structures is BEST described as lateral to the hippocampal complex (hippocampus, subiculum and parahippocampal gyrus)? a. Fusiform gyrus. b. Ambient cistern. c. Oculomotor nerve. d. Posterior cerebral artery. e. Brain stem.
a. Fusiform gyrus.
74
A 50-year-old woman diagnosed with Parkinson disease 10 years ago presents with increasingly frequent periods of involuntary writhing movements of her hands and arms. What is the most likely cause of her abnormal movements? a. Levodopa-induced dyskinesias b.Tardive dyskinesia from taking antipsychotic medications c. Co-morbid Huntington disease d. Non-compliance with Parkinson medications e. Parkinson-plus syndrome
a. Levodopa-induced dyskinesias
75
A 55 year-old man presents with worsening short-term memory and confusion. On examination he appears depressed, has difficulty with fine motor skills such as finger tapping, and shows saccadic eye movements. His father died at age 60 after a prolonged illness with worsening rigidity and dementia. His MRI shows loss of striatal volume, with somewhat boxy lateral ventricles. He most likely has early symptoms of which disorder? a. Spinocerebellar Ataxia b. Batten Disease (Neuronal Ceroid Lipofuscinosis) c. Mitochondrial encephalomyopathy d. Parkinson Disease e. Huntington Disease
e. Huntington Disease
76
A 24 year-old man has refractory complex partial seizures localized to the left temporal lobe with EEG. MRI is consistent with left mesial temporal sclerosis. What is the most appropriate next step in his management? a. Vagal nerve stimulation b. Temporal lobectomy c. Invasive EEG monitoring d. Intracarotid amytal test e. Corpus callosotomy
d. Intracarotid amytal test
77
A 12-year-old boy presents with several years of dystonia in the lower extremities and recent development of dystonia in the upper extremities. His symptoms are mild in the morning but worsen as the day progresses. His dystonia does not improve with inactivity, but does improve after a full night's sleep. What is the most appropriate next step in his management? a. Intrathecal baclofen therapy. b. DBS of the globus pallidus interna (GPI). c. Oral baclofen therapy. d. Low-dose oral levodopa therapy. e. DBS of the ventral intermediate nucleus (VIM).
d. Low-dose oral levodopa therapy.
78
A patient with a baclofen pump presents with a temperature of 104 degrees F and hyperreflexia. What is the next appropriate treatment? a. Intrathecal baclofen administration b. Intravenous acetaminophen c. Cooling blanket d. Broad spectrum antibiotics e. Intravenous dantrolene
a. Intrathecal baclofen administration
79
Anatomic hemispherectomy historically is associated with what complication? a. Gerstmann syndrome b. Callosal syndrome c. Superficial cerebral hemosiderosis d. Syndrome of the trephined e. Hemibalismus
c. Superficial cerebral hemosiderosis
80
Parkinsonian tremor can be diminished by high frequency stimulation of: a. Cingulate bundle b. Globus pallidus externa c. Subcaudate white matter d. Dorsomedial thalamus e. ViM thalamus
e. ViM thalamus
81
When performing deep brain stimulation surgery, what is the most likely clinical consequence of transgressing the ventricle? a. Intraventricular hemorrhage b. Profound delirium c. No effect d. Hemiparesis e. Coma
c. No effect
82
A 54 year-old male had a good result from left-sided thalamotomy for essential tremor 10 years ago. He now wishes to have his other side treated. What is the MOST appropriate surgical procedure for his contralateral side? a. Pallidal DBS b. Pallidotomy c. Thalamic DBS d. Subthalamic DBS e. Thalamotomy
c. Thalamic DBS
83
A 36 year old woman with a known history of epilepsy treated with phenytoin presents in convulsive status epilepticus. After administration of lorazepam and supplementation with IV phenytoin, convulsions cease. Two hours later she remains unresponsive despite a normal head CT and normal serum electrolyte levels and blood counts. What is the most appropriate next diagnostic test? a. MRI of the brain, including diffusion imaging b. Angiogram c. Lumbar puncture d. Repeat serum sodium e. Electroencephalogram
e. Electroencephalogram
84
A 58 year old man develops unilateral ballistic movements of his right upper extremity. An MRI shows a small infarct. What is the most likely location of the lesion? a. Globus pallidus internus b. Subthalamic nucleus c. Thalamus d. Substantia nigra e. Putamen
b. Subthalamic nucleus
85
A 10 year old child is referred to your interdisciplinary spasticity clinic. It is determined that he has spasticity as well as significant disabling dystonia in all four extremities, the face, and the neck. His symptoms have been medically refractory. What is the most appropriate treatment? a. Stereotactic pallidotomy b. Deep brain stimulation c. Selective dorsal rhizotomy d. Intrathecal baclofen therapy e. Botox injections
d. Intrathecal baclofen therapy
86
Which inclusion-based feature is classic for Parkinson's disease? a. Tau-positive inclusions b. Ballooned neurons c. Ubiquitin-positive inclusions d. Neurofibrillary tangles e. Lewy bodies
e. Lewy bodies
87
A five-year-old right-handed boy has had medically intractable epilepsia partials continua for 4 years. Evaluation demonstrates developmental delay, worsening of verbal IQ and right-sided hemiparesis. EEG demonstrate several epileptogenic foci over the left parietal lobe. MRI imaging is shown. Aside from invasive monitoring, which of the following is the most appropriate surgical treatment? a. Vagus nerve stimulation b. Corpus callosotomy c. Functional hemispherectomy d. Parietal lobectomy e. Selective amygdalohippocampectomy
c. Functional hemispherectomy
88
Which MRI sequence and cut is most helpful in evaluating anatomical eligibility for endoscopic third ventriculostomy in patients? a. Noncontrast T1-weighted sequence, axial cut. b. T2-weighted sequence, axial plane. c. Constructive interference in steady state (CISS), sagittal plane. d. Noncontrast T1-weighted sequence, coronal cut. e. Flair sequence, coronal cut.
c. Constructive interference in steady state (CISS), sagittal plane.
89
In addition to higher pre-operative seizure frequency and the presence of generalized seizures, what factor best predicts less favorable seizure outcome in the surgical management of patients with focal neocortical epilepsy? a. Gender b. Patient age c. Socioeconomic status d. Normal MRI e. Laterality of seizure origin
d. Normal MRI
90
Patients who continue to seize after temporal lobectomy for temporal lobe epilepsy still experience an overall 70% reduction in seizure frequency. What sub-type of temporal lobe seizures in this patient population have an even higher rate of seizure control following temporal lobectomy? a. Focal seizures b. Seizures without aura c. Seizures with aura d. Consciousness sparing seizures e. Consciousness impairing seizures
e. Consciousness impairing seizures
91
You are evaluating a cerebral palsy patient with spastic paraplegia for intrathecal baclofen pump placement. What is the mechanism of action of intrathecal baclofen? a. It facilitates presynaptic excitation from la sensory afferents to alpha motor neurons, enhancing excitatory output b. It reduces postsynaptic excitation of alpha motor neurons, reducing excitatory output c. It reduces gamma motor neuron activity d. It facilitates presynaptic inhibition from la sensory afferents to alpha motor neurons, reducing excitatory output e. It reduces presynaptic inhibition from la sensory afferents to alpha motor neurons, enhancing excitatory output
d. It facilitates presynaptic inhibition from la sensory afferents to alpha motor neurons, reducing excitatory output
92
During the creation of a burr hole for a deep brain stimulator, an awake, sedated patient develops the sudden onset of coughing, hypotension, and hypoxia. This clinical presentation is most suggestive of which complication? a. Intracranial hemorrhage b. Seizure activity c. Air embolism d. Tension pneumocephalus e. Aspiration pneumonia
c. Air embolism
93
A 42 year old male presents with a 5 year history of Parkinson disease (PD) with severe motor fluctuations. What would be his expected benefit from deep brain stimulation (DBS) surgery? a. DBS will result in reduction in progression of the natural history of Parkinson disease. b. DBS will eliminate the need for Parkinson medications. c. DBS will provide no benefit, because he has not had the disease long enough. d. DBS will provide improvement in freezing of gait, a motor symptom frequently associated with Parkinson disease. e. DBS will provide improvement in motor symptoms comparable to the effects of Levadopa medication, with less motor fluctuations and without the medication-induced dyskinesia.
e. DBS will provide improvement in motor symptoms comparable to the effects of Levadopa medication, with less motor fluctuations and without the medication-induced dyskinesia.
94
A 63 year old patient with levodopa-responsive Parkinson's disease is referred for deep brain stimulation surgery (DBS). With respect to motor symptoms, what benefit is DBS most likely to provide? a. Decrease medication "off"-time. b. Reduce freezing events. c. Increase medication "on"-time with troublesome dyskinesias. d. Raise UPDRS III scores. e. Improve gait.
a. Decrease medication "off"-time.
95
What imaging modality complements video-EEG, MRI and neuropsychological testing, in the standard pre-surgical evaluation of patients with medically intractable focal neocortical epilepsy? a. Resting state fMRI b. DAT scan c. Interictal SPECT imaging d. Simultaneous EEG-fMRI e. Interictal PET imaging
e. Interictal PET imaging
96
A 27-year-old woman with a normal brain MRI experiences seizures characterized by jerking of the left hand which occasionally also spreads to the proximal arm. These episodes are nearly constant throughout the day and are not associated with any impairment of consciousness. Where are this patient's seizures likely originating? a. Supplementary motor area b. Temporal lobe c. Primary motor cortex d. Occipital lobe e. Prefrontal cortex
c. Primary motor cortex
97
In preparation for a frame-based needle biopsy, a stereotactic frame is applied to a patient's head and an MRI is obtained. After imaging, the frame is noted to have shifted due to poor fixation. What is the most appropriate next step in the management of this patient? a. Re-fix the frame and use a software correction algorithm before proceeding with surgery and stereotactic guidance; the software adjustment will correct for the change in frame position. b. Firmly re-affix the frame to the patient's skull in the same place, and proceed with surgery using stereotactic guidance; since the frame is in roughly the same position, it should still be accurate. c. Re-fix the frame, re-image the patient, and then proceed with surgery using the updated stereotactic guidance. d. Proceed with surgery without using stereotactic guidance; anatomical landmarks should be enough of a guide. e. Proceed with surgery with the loosened frame using the stereotactic guidance; the guidance will adjust accordingly.
c. Re-fix the frame, re-image the patient, and then proceed with surgery using the updated stereotactic guidance.
98
A 40 year-old male presents with a 3-year history of uncontrollable writhing movement of all four extremities and recent memory decline. He has a family history of early-onset dementia and suicide in male relatives. MRI reveals atrophy of the caudate nucleus bilaterally. What developmental abnormality would you expect to find? a. Chromosome 14-21 translocation b. FMR1 gene mutation c. Parkin gene mutation d. Expanded CAG repeats e. Expanded GAA repeats
d. Expanded CAG repeats
99
A 63 year old woman with Parkinson disease undergoes unilateral deep brain stimulator (DBS) electrode implantation. 3 months later, she returns to the office with redness, pain, swelling and purulence from the cranial incision. Culture grows methicillin-sensitive S. aureus. What is the most appropriate management? a. Removal of the implantable pulse generator (IPG) and extension with antibiotics b. Removal of the implantable pulse generator (IPG) only c. Removal of the intracranial lead only d. Removal of the entire hardware system with antibiotics e. Antibiotics only
d. Removal of the entire hardware system with antibiotics