Trauma Flashcards

(95 cards)

1
Q

This brain micrograph of a 68 yo male nursing home resident who had a vague history of dementia and relatively rapid decline shows which of the following?
a. Chronic Traumatic Encephalopathy
b. Pick’s Disease
c. Acute traumatic brain injury
d. Jakob-Creutzfeldt Disease
e. Subacute brain degeneration

A

a. Chronic Traumatic Encephalopathy

How well did you know this?
1
Not at all
2
3
4
5
Perfectly
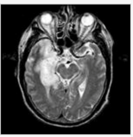
2
Q

A 65-year-old man presents with one week history of agitation and confusion. He sustained a generalized tonic-clonic seizure and is hallucinating. On exam, he is febrile, confused and has a left pronator drift with hyper-reflexia. An MRI of the brain is shown (figure). Which of the following is the most likely diagnosis?
a. Herpes simlex virus
b. Low grade glioma
c. Neurosyphilis
d. Hemorrhagic stroke
e. Sarcodosis

A

a. Herpes simlex virus

How well did you know this?
1
Not at all
2
3
4
5
Perfectly
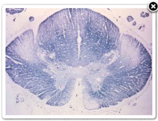
3
Q

A 58-year-old male dies from respiratory failure after battling a disease for 3 years. Microscopic examination of the spinal cord is shown below. Which disease lead to the death of patient?
a. Spinal muscular atrophy (SMA)
b. Guillain-Barre syndrome
c. Vitamin B12 deficiency
d. Spinal muscular bulbar atrophy (SMBA)
e. Amyotrophic lateral sclerosis

A

e. Amyotrophic lateral sclerosis

How well did you know this?
1
Not at all
2
3
4
5
Perfectly
4
Q

A 45 year old man presents with sudden onset of vomiting, dysarthria and ataxia and a CT scan demonstrating a cerebellar infarction. Thirteen hours after onset of symptoms, he develops abducens nerve palsy and depressed mental status. What is the most appropriate definitive management of this patient?
a. Intravenous tPA
b. Suboccipital craniectomy
c. Barbiturate coma
d. Hypertonic saline
e. High dose Dexamethasone

A

b. Suboccipital craniectomy

How well did you know this?
1
Not at all
2
3
4
5
Perfectly
5
Q

A 70-year-old man presents with new onset progressive confusion, expressive dysphasia, and right hemiparesis. MRI shows multiple enhancing intracerebral masses with surrounding edema that resolve after a short course of steroids. What is the most likely diagnosis of these lesions?
a. multiple metastases.
b. primary central nervous system lymphoma.
c. multifocal glioma.
d. multiple sclerosis.
e. central nervous system sarcoidosis.

A

b. primary central nervous system lymphoma.

How well did you know this?
1
Not at all
2
3
4
5
Perfectly
6
Q

A 47 year old man presents with confusion, agitation, fatigue, fever (104F), hyponatremia, hypoglycemia, and hypotension after resection of a right frontal metastasis lesion 3 weeks ago. Phenytoin and steroids were discontinued at 2.5 weeks post-operatively. Head CT reveals no acute abnormality. What is the most appropriate management of this patient?
a. Fosphenytoin
b. Heparin
c. Haloperidol
d. Hydrocortisone
e. Fludricortisone

A

d. Hydrocortisone

How well did you know this?
1
Not at all
2
3
4
5
Perfectly
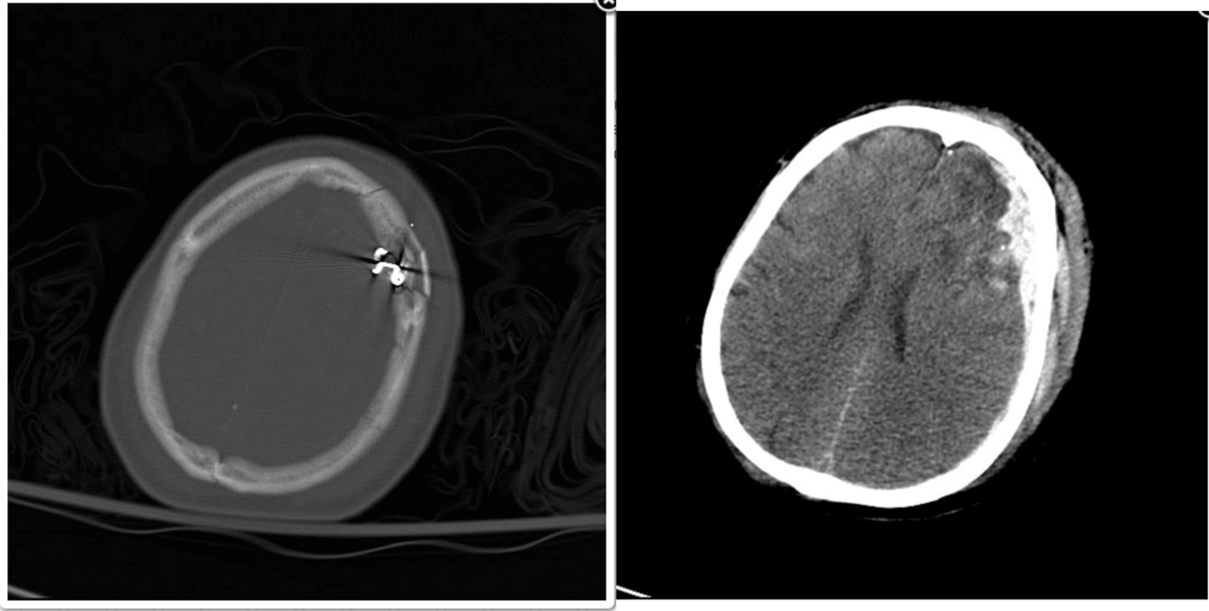
7
Q

A 21-year-old male presents to the emergency department after being involved in a gunfight. His GCS is 15 with a non-focal examination but several bullet holes are noted in his scalp with protruding cerebral tissue. His CT scan of the head is shown in the figure. What is the BEST definitive management strategy for this injury?
a. Surgical removal of all bullet fragments
b. 14-day course of antibiotics
c. Bedside laceration repair
d. Surgical durotomy repair
e. Cranioplasty and removal of accessible fragments

A

e. Cranioplasty and removal of accessible fragments

How well did you know this?
1
Not at all
2
3
4
5
Perfectly
8
Q

A patient with a baclofen pump presents with a temperature of 104 degrees F and hyperreflexia. What is the next appropriate treatment?
a. Broad spectrum antibiotics
b. Intravenous acetaminophen
c. Intravenous dantrolene
d. Intrathecal baclofen administration
e. Cooling blanket

A

d. Intrathecal baclofen administration

How well did you know this?
1
Not at all
2
3
4
5
Perfectly
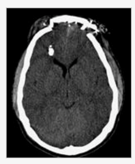
9
Q

A 17 year old sustains a gunshot wound to the head. On examination, he has decorticate posturing on the right and he localizes on the left. His left pupil is 2 mm larger than the right but is still reactive. His non-contrast head CT (see figures) demonstrates metal and bone fragments within the left frontal region with an associated subdural hematoma with midline shift. What is the most appropriate management of this patient?
a. Superficial debridement of wound
b. Right frontal ventriculostomy placement
c. Craniotomy, hematoma evacuation, removal of all bone and metal fragments
d. Craniotomy, hematoma evacuation, superficial debridement
e. Expectant care

A

d. Craniotomy, hematoma evacuation, superficial debridement

How well did you know this?
1
Not at all
2
3
4
5
Perfectly
10
Q

What characteristic imaging finding on MRI would best differentiate neuromyelitis optica from multiple sclerosis?
a. Presence of high burden of periventricular, juxtacortical and infratentorial demyelinating lesions.
b. An intramedullary spinal cord lesion spanning 3 or more segments.
c. Multiple enhancing intramedullary spinal lesions spanning 1-2 segments.
d. Optic nerve enhancement.
e. Multiple non-enhancing intramedullary spinal lesions spanning 1-2 segments.

A

b. An intramedullary spinal cord lesion spanning 3 or more segments.

How well did you know this?
1
Not at all
2
3
4
5
Perfectly
11
Q

An 18 year old man who was involved in a motor vehicle accident is admitted to the ICU and intubated and sedated on high dose continuous propofol infusion (4mg/kg/h). Ten days later, he is following command in all four extremities. Suddenly, on hospital day 12, he becomes acutely altered. CT head is stable from admission. Laboratory studies reveal a markedly profound hypertriglyceridemia, metabolic acidosis and rhabdomyolysis. Which one of the following is the next step in management?
a. Obtain 12 lead EKG and troponin
b. Stop propofol infusion immediately
c. Start hemodialysis
d. Order MRI brain
e. Obtain CT-angio of chest

A

b. Stop propofol infusion immediately

How well did you know this?
1
Not at all
2
3
4
5
Perfectly
12
Q

A 22 year-old woman presents after a motor vehicle collision with neck pain. She is neurologically intact. She has a non-displaced C4 lamina fracture. CTA of the neck shows a Biffi Grade 2 injury to the right internal carotid artery. What is the most appropriate next step in management?
a. Initiation of aspirin
b. Transcranial Doppler with emboli detection
c. OMRI of the brain
d. Carotid Doppler
e. Diagnostic cerebral angiogram
SUBMIT ANSWER

A

a. Initiation of aspirin

How well did you know this?
1
Not at all
2
3
4
5
Perfectly
13
Q

Based on the Guidelines for the Acute Management of Severe Traumatic Brain Injury, in patients with severe head injury, what should the cerebral perfusion pressure (CPP, mmHg) should be maintained between?
a. 50-70
b. 70-90
c. 30-50
d. 90-110
e. 10-30

A

a. 50-70

How well did you know this?
1
Not at all
2
3
4
5
Perfectly
14
Q

An 18 year-old college basketball player suffers from transient disorientation, dizziness, and imbalance following a hard foul. Her symptoms resolve after approximately 1 minute. What is the most appropriate management for this athlete regarding return-to-play?
a. Refrain from all physical activity and external stimulation for 1 week before full return to play.
b. Brief period of rest with graduated increase in physical activity, followed by return to play if asymptomatic at each activity level.
c. Return to full physical and cognitive activity in 24 hours if asymptomatic.
d. Emergent head CT.
e. Return to play immediately since symptoms have resolved.

A

b. Brief period of rest with graduated increase in physical activity, followed by return to play if asymptomatic at each activity level.

How well did you know this?
1
Not at all
2
3
4
5
Perfectly
15
Q

What combination of findings is most consistent with the diagnosis of central diabetes insipidus?
a. Urine output of 40 cc/hr, urine specific gravity of 1.002 and serum sodium of 135.
b. Urine output of 40 cc/hr, urine specific gravity of 1.010, and serum sodium of 145.
c. Urine output of 300 cc/hr, urine specific gravity of 1.030 and serum sodium of 145.
d. Urine output of 100 cc/hr, urine specific gravity of 1.030 and serum sodium of 135.
e. Urine output of 300 cc/hr, urine specific gravity of 1.002, and serum sodium of 145.

A

e. Urine output of 300 cc/hr, urine specific gravity of 1.002, and serum sodium of 145.

How well did you know this?
1
Not at all
2
3
4
5
Perfectly
16
Q

A 50 year old man who was intubated for acute respiratory distress syndrome develops flaccid and symmetric weakness in the lower greater than upper extremities and more distally than proximally. There is no cranial nerve involvement. What is the most likely diagnosis for the weakness?
a. Critical illness myopathy and neuropathy
b. Poliomyelitis
c. Acute intermittent porphyria
d. Myasthenia gravis
e. Guillain-Barré syndrome

A

a. Critical illness myopathy and neuropathy

How well did you know this?
1
Not at all
2
3
4
5
Perfectly
17
Q

An ABG with PCO2 25 mmHg, pH 7.55, HCO3- 24 mEq/L is most consistent with which diagnosis?
a. Metabolic alkalosis
b. Respiratory alkalosis with metabolic compensation
c. Respiratory alkalosis
d. Metabolic alkalosis with respiratory compensation

A

c. Respiratory alkalosis

How well did you know this?
1
Not at all
2
3
4
5
Perfectly
18
Q

A 36 year old woman with a known history of epilepsy treated with phenytoin presents in convulsive status epilepticus. After administration of lorazepam and supplementation with IV phenytoin, convulsions cease. Two hours later she remains unresponsive despite a normal head CT and normal serum electrolyte levels and blood counts. What is the most appropriate next diagnostic test?
a. Electroencephalogram
b. Angiogram
c. Repeat serum sodium
d. Lumbar puncture
e. MRI of the brain, including diffusion imaging

A

a. Electroencephalogram

How well did you know this?
1
Not at all
2
3
4
5
Perfectly
19
Q

You are called about a 14 year old girl with severe intractable spasticity in whom you placed a baclofen pump 6 months ago. She presents with increase in tone and agitation due to severe itching. Pump interrogation reveals normal telemetry and indicates it is not due for a refill. Her temperature is 40.0 C. She is confused and hypertonic. Pump X-rays do not show evidence of a disconnection. What is the next appropriate step in management?
a. Replacement of baclofen via oral administration and admission to ward
b. Emergent surgery for pump exploration and replacement
c. Replacement of baclofen via intrathecal administration and admission to ICU
d. Treatment with IV benzodiazepines and admission to ICU
e. Replacement of baclofen via oral administration and discharge with clinic follow up

A

c. Replacement of baclofen via intrathecal administration and admission to ICU

How well did you know this?
1
Not at all
2
3
4
5
Perfectly
20
Q

A 40 year old male develops left facial droop and left hemiparesis 48 hours after a motor vehicle accident despite initially being neurologically intact after the accident. A non-contrast head CT at the time of deterioration is negative. The most appropriate next diagnostic evaluation is:
a. Cerebral perfusion study.
b. CT of the cervical spine.
c. CT angiogram of the cervical spine.
d. Flexion Extension C-spine XRay
e. ICP monitoring.

A

c. CT angiogram of the cervical spine.

How well did you know this?
1
Not at all
2
3
4
5
Perfectly
21
Q

Which of these treatments influences the incidence of chronic subdural hematoma (cSDH) recurrence?
a. External subdural drain
b. Tranexamic Acid
c. Burr hole drainage
d. Amount of irrigation
e. Craniotomy

A

a. External subdural drain

How well did you know this?
1
Not at all
2
3
4
5
Perfectly
22
Q

What monitoring modality has the greatest sensitivity for detection of a venous air embolus?
a. Precordial Doppler
b. Pulmonary artery pressure
c. Pulse oximetry
d. EKG
e. Transvenous intracardiac echocardiography

A

e. Transvenous intracardiac echocardiography

How well did you know this?
1
Not at all
2
3
4
5
Perfectly
23
Q

In addition to the negative effects on cerebral blood flow, hyperventilation should be avoided in the management of severe closed head injury for which of the following reasons?
a. Increased pH and potential for increased oxygen delivery
b. Right shift of hemoglobin-oxygen dissociation curve and potential oxygen delivery impairment O
c. Right shift of hemoglobin-oxygen dissociation curve and potential CO2 removal impairment
d. Left shift of the hemoglobin-oxygen dissociation curve and potential oxygen delivery impairment
e. Left shift of the hemoglobin-oxygen dissociation curve and potential CO2 removal impairment

A

d. Left shift of the hemoglobin-oxygen dissociation curve and potential oxygen delivery impairment

How well did you know this?
1
Not at all
2
3
4
5
Perfectly
24
Q

Which symptomatic hormone deficiency is most common after pediatric moderate-to-severe traumatic brain injury?
a. Prolactin
b. Thyroid Hormone
c. Cortisol
d. Gonadotropic Hormones
e. Growth Hormone

A

e. Growth Hormone

How well did you know this?
1
Not at all
2
3
4
5
Perfectly
25
A 29 year old female presents after a motor vehicle accident with left hemiplegia, weak localization on right, and a dilated unreactive right pupil. Her head CT is shown. What is the most appropriate surgical management? a. Placement of brain tissue oxygenation and ICP probe. b. Temporal burr hole and hematoma drainage. c. Craniotomy and hematoma evacuation. d. Placement of ventriculostomy. e. Decompressive right hemicraniectomy.
c. Craniotomy and hematoma evacuation.
26
A patient with severe closed head injury is suspected of having diabetes insipidus. What electrolyte and volume profile best fits this diagnosis? a. Diminished blood volume, hyponatremia. b. Increased blood volume, hypernatremia. c. Diminished blood volume, hypernatremia. d. Increased blood volume, hyponatremia.
c. Diminished blood volume, hypernatremia.
27
A 24 year old patient with a gunshot wound to C2 is resuscitated after a PEA code and found to have fixed and dilated pupils, absent corneal reflexes, and absent cough and gag reflex. A head CT reveals diffuse cerebral edema with loss of grey-white differentiation. He is normothermic and normotensive and his urine toxicology screen and electrolyte panels are within normal limits. Which component of the brain death examination cannot be used in this patient to evaluate for brain death? a. Transcranial Doppler ultrasonography b. Cold caloric testing c. EEG d. Nuclear cerebral blood flow study e. Apnea testing
e. Apnea testing
28
A chronic alcoholic presents in acute withdrawal with hypoglycemia and altered mental status. Administraton of glucose must be preceded by which of the following? a. Insulin b. Fosphenytoin c. Thiamine d. Ativan e. Labetaolol
c. Thiamine
29
A 30-year-old male cyclist presents wtih complete C5 quadriplegia after a motor vehicle collision. Work up reveals right wrist fracture and C5 fracture involving the left transverse foramen associated with a large spinal cord contusion. CT angiography of the neck is negative for vascular injury. Two hours after presentation, the patient becomes confused, bradycardic, and hypotensive. Which of the following is the most likely explanation for these findings? a. Fat embolism from the patient's bony injuries. b. Delayed hemothorax due to thoracic trauma. c. Occult dissection of the vertebral artery with associated brain stem infarction. d. Pulmonary contusion resulting respiratory failure. e. Disruption of spinal sympathetic outflow due to spinal cord injury.
e. Disruption of spinal sympathetic outflow due to spinal cord injury.
30
The Food and Drug Administration (FDA) has issued limits on the per dose and daily dose recommended for acetaminophen to prevent what complication? a. Kidney toxicity b. Steven-Johnson syndrome c. Liver toxicity d. Myositis e. Aplastic anemia
c. Liver toxicity
31
What tumor histology is associated with highest risk of cerebral hemorrhage in patients receiving therapeutic anticoagulation for deep vein thromboses and pulmonary emboli? a. Renal Carcinoma b. Choriocarcinoma c. Non-Small Cell Lung Carcinoma d. Melanoma e. Glioma
e. Glioma
32
The nurse calls you to see an intubated postoperative patient noting worsening oxygenation with oxygen saturation of 85%. ABG shows PaO2 of 50 and PaCO2 of 43. While the patient was previously following commands, he has stopped responding to the nurse. Upon your arrival, the patient's blood pressure drops suddenly from 110/62 to 76/40, with a CVP of 1, and his oxygen saturation drops further to 79%. What is the next most appropriate step in management of this unstable patient? a. Take the patient for a STAT CT of the Chest, PC protocol b. Initiate heparin for presumed pulmonary embolism c. Take the patient for a STAT head CT d. Initiate norepinephrine for pressor support e. Increase the patient's FiO2 and ventilator rate
e. Increase the patient's FiO2 and ventilator rate
33
A 40 year old obese patient with a history of diabetes mellitus presents unresponsive to the ER and is subsequently intubated and admitted to the ICU. The patient's basic metabolic panel reveals a glucose level of 500. The ABG reveals a PCO2 40 mmHg, pH 7.25, and HCO3- 18 mEq/L. With which condition is this ABG most consistent? a. Respiratory acidosis b. Metabolic acidosis with respiratory compensation c. Respiratory acidosis with metabolic compensation d. Metabolic acidosis
d. Metabolic acidosis
34
An open, comminuted, and depressed skull fracture over what region of the dural venous sinus system has the lowest risk of venous infarct? a. Anterior 1/3 of the superior sagittal sinus b. Left transverse sinus c. Right sigmoid sinus d. Posterior 1/3 of the superior sagittal sinus e. Middle 1/3 of the superior sagittal sinus
a. Anterior 1/3 of the superior sagittal sinus
35
What is the MOST common organism isolated in ventilator associated pneumonia (VAP)? a. Staphylococcus aureus b. Acinetobacter c. Klebsiella pneumoniae d. Haemophilus e. Pseudomonas aeruginosa
a. Staphylococcus aureus
36
A hypertensive 50 year-old man is found to have a blood pressure of 230/110 mmHg with a heart rate of 50 bpm. Physical exam reveals a fixed and dilated right pupil, and CT scan shows a large right subdural hematoma with midline shift. What is the most likely cause of the hypertension? a. Peripheral vasoconstriction and catecholamine release b. Shunting of blood flow from the myocardium to the brain c. Decreased blood flow to the medulla d. Exacerbation of baseline hypertension due to pain e. Failure to comply with antihypertensive regimen
a. Peripheral vasoconstriction and catecholamine release
37
A 26 year old male presents to the emergency room after a motor vehicle accident. He is orally intubated, does not open his eyes to verbal or painful stimuli but does localize briskly with his right upper extremity. What is this patient's GCS? a. 7T b.10T c. 6T d. 5T e. 3T
a. 7T
38
A 25 year-old man presents to the emergency room with a GCS of 3 after a high-speed motor vehicle accident. He undergoes a hemicraniectomy and evacuation of a large left hemispheric subdural hematoma. On postoperative day 4, he develops a fever with increasing oxygen requirements on the ventilator. Chest X-ray shows bilateral lung opacities. What finding best supports the diagnosis of acute respiratory distress syndrome? a. Brain natriuretic peptide level >600 pg/mL b. Lung biopsy showing interstitial fibrosis c. Ejection fraction of 55-60% consistent with normal cardiac function d. Bronchoalveolar lavage (BAL) specimen showing 45% eosinophils e. PaO2/FiO2 ratio >500 mm Hg
c. Ejection fraction of 55-60% consistent with normal cardiac function
39
A 23 year-old man presents to the emergency department after an intoxicated fall and head injury. He has a moderate occipital headache and nausea without vomiting. On exam, the patient has normal vital signs and no focal neurological deficits. His non- contrast head CT is shown (Figure 1). The volume of the hematoma is measured to be 35 cm3. What is the most appropriate treatment for this patient? a. Posterior fossa craniotomy for evacuation of hematoma b. Burr hole evacuation of hematoma c. External ventricular drain for CSF diversion and intracranial pressure monitoring d. Embolization of the transverse sinus e. Close neurological monitoring with serial head CT imaging
a. Posterior fossa craniotomy for evacuation of hematoma
40
A head trauma patient on your service for the past 12 days has been in a coma. You notice that that his sleep-wake cycles have returned. However, he does not exhibit evidence of cognitive function. What term best describes this patient's level of consciousness? a. Vegetative state b. Stupor c. Lethargy d. Obtundation e. Minimally conscious state
a. Vegetative state
41
An 18 year old man who was involved in a motor vehicle accident is admitted to the ICU and intubated and sedated on high dose continuous propofol infusion (4mg/kg/h). Ten days later, he is following command in all four extremities. Suddenly, on hospital day 12, he becomes acutely altered. CT head is stable from admission. Laboratory studies reveal a markedly profound hypertriglyceridemia, metabolic acidosis and rhabdomyolysis. Which one of the following is the next step in management? a. Order MRI brain b. Obtain 12 lead EKG and troponin c. Stop propofol infusion immediately d. Start hemodialysis e. Obtain CT-angio of chest
c. Stop propofol infusion immediately
42
A 72 year-old man with no medical history or history of trauma presents with chronic headache and mild confusion. He has no focal neurological deficits. A non-contrast head CT demonstrates cerebral atrophy, and a right convexity 1.3 cm thick chronic subdural hematoma with 4 mm of midline shift and non-effaced basal cisterns. What medical management option has the best evidence to support use? a. Corticosteroids b. Aspirin c. Mannitol d. Angiotensin Receptor Blocker e. Beta blockers
a. Corticosteroids
43
Which symptomatic hormone deficiency is most common after pediatric moderate-to-severe traumatic brain injury? a. Prolactin b. Cortisol c. Thyroid Hormone d. Growth Hormone e. Gonadotropic Hormones
d. Growth Hormone
44
What finding on head CT is consistent with a mild concussion? a. Hemorrhages within the corpus callosum. b. Normal study. c. Subarachnoid hemorrhage. d. Diffuse edema. e. Loss of grey-white distinction.
b. Normal study.
45
A 35 year-old man was found down for an unknown period of time after a generalized seizure. In the emergency department, he complains of pain in his thighs, shoulders, and calves. On exam, he is GCS 14 with confusion, and his imaging shows a small left frontal subarachnoid hemorrhage. Rhabdomyolysis is suspected. What finding is most consistent with this diagnosis? a. Normal serum creatinine b. Normal CPK level c. Hypokalemia d. Myoglobinuria e. Hematuria
d. Myoglobinuria
46
A patient with a baclofen pump presents with a temperature of 104 degrees F and hyperreflexia. What is the next appropriate treatment? a. Intrathecal baclofen administration b. Intravenous acetaminophen c. Cooling blanket d. Intravenous dantrolene e. Broad spectrum antibiotics
a. Intrathecal baclofen administration
47
A 50 year old patient presenting to the ICU with 2 days of severe vomiting. The ABG reveals a PCO2 40 mmHg, pH 7.55, and HCO3- 30 mEq/L. With which condition is this ABG most consistent? a. Respiratory alkalosis b. Respiratory alkalosis with metabolic compensation c. Metabolic alkalosis with respiratory compensation d. Metabolic alkalosis
d. Metabolic alkalosis
48
A 21-year-old male presents to the emergency department after being involved in a gunfight. His GCS is 15 with a non-focal examination but several bullet holes are noted in his scalp with protruding cerebral tissue. His CT scan of the head is shown in the figure. What is the BEST definitive management strategy for this injury? a. Bedside laceration repair b. Surgical removal of all bullet fragments c. 14-day course of antibiotics d. Surgical durotomy repair e. Cranioplasty and removal of accessible fragments
e. Cranioplasty and removal of accessible fragments
49
What is the MOST common organism isolated in ventilator associated pneumonia (VAP)? a. Pseudomonas aeruginosa b. Staphylococcus aureus c. Acinetobacter d. Haemophilus e. Klebsiella pneumoniae
b. Staphylococcus aureus
50
Which of the following is the most effective sedative for pediatric trauma with severe traumatic brain injury and increased intracranial pressure? a. Thiopental b. Fentanyl c. Dexmedetomidine d. Propofol e. Sevoflurane
b. Fentanyl
51
An immunocompromised patient presents with fever, encephalopathy and a hemorrhagic abscess. The microscopic appearance of a biopsy specimen is shown below. What is the most likely organism? a. Candida albicans b. Coccidomycosis c. Mucor and Rhizopus species d. Cryptococcus neoformans e. Aspergillus fumigatus
e. Aspergillus fumigatus
52
A patient presents after a MVA with the head CT shown in the figure. His GCS is 14. His blood alcohol level is 0.31%. What is the most appropriate initial management? a. Bifrontal craniotomy and evacuation of SDH b. Admit to ICU for observation c. Bifrontal decompressive craniectomy d. Intubate, sedate, and monitor ICP e. Placement of ventriculostomy
b. Admit to ICU for observation
53
This brain micrograph of a 68 yo male nursing home resident who had a vague history of dementia and relatively rapid decline shows which of the following? a. Jakob-Creutzfeldt Disease b. Subacute brain degeneration c. Acute traumatic brain injury d. Pick's Disease e. Chronic Traumatic Encephalopathy
e. Chronic Traumatic Encephalopathy
54
Based on the Guidelines for the Acute Management of Severe Traumatic Brain Injury, in patients with severe head injury, what should the cerebral perfusion pressure (CPP, mmHg) should be maintained between? a. 70-90 b. 50-70 c. 90-110 d. 10-30 e. 30-50
b. 50-70
55
A 40 year old male develops left facial droop and left hemiparesis 48 hours after a motor vehicle accident despite initially being neurologically intact after the accident. A non-contrast head CT at the time of deterioration is negative. The most appropriate next diagnostic evaluation is: a. Flexion Extension C-spine XRay b. OCT of the cervical spine. c. Cerebral perfusion study. d. CT angiogram of the cervical spine. e. ICP monitoring.
d. CT angiogram of the cervical spine.
56
A 25 year old patient is involved in a motor vehicle accident and is intubated and sedated in the field before a complete neurological examination can be obtained. His non-contrast head CT is shown. (figure 1) What is the appropriate next step in management? a. Awaken the patient for neurological examination b. Place an intracranial pressure monitor and admit to ICU c. Obtain an urgent MRI with Diffusion weighted imaging d. Take to the OR for an emergent craniotomy for evacuation of hematoma
d. Take to the OR for an emergent craniotomy for evacuation of hematoma
57
What is the next appropriate step in management following resection of an epidermoid tumor? a. Intracystic chemotherapy b. Radiographic surveillance c. Fractionated radiotherapy d. Brachytherapy e. Prophylactic antibiotics
b. Radiographic surveillance
58
Following aneurysmal subarachnoid hemorrhage, which cardiac complication is the most significant independent predictor of mortality? a. Tachyarrhythmias b. Heart block c. Myocardial infarction d. Myocardial stunning e. Cardiac failure
e. Cardiac failure
59
A 25-year old female presents with new onset weakness and vision difficulties which worsen as the day progresses. Nerve conduction and EMG testing shows improvement after the administration of edrophonium. What is the diagnosis? a. Dermatomyositis b. Myasthenia gravis c. Polymyositis d. Lambert-Eaton syndrome e. Guillain-Barre syndrome
b. Myasthenia gravis
60
A 23 year-old man presents to the emergency department after an intoxicated fall and head injury. He has a moderate occipital headache and nausea without vomiting. On exam, the patient has normal vital signs and no focal neurological deficits. His non- contrast head CT is shown (Figure 1). The volume of the hematoma is measured to be 35 cm3. What is the most appropriate treatment for this patient? a. External ventricular drain for CSF diversion and intracranial pressure monitoring b. Burr hole evacuation of hematoma c. Embolization of the transverse sinus d. Posterior fossa craniotomy for evacuation of hematoma e. Close neurological monitoring with serial head CT imaging
d. Posterior fossa craniotomy for evacuation of hematoma
61
A 36 year old victim of a motor vehicle accident with a normal neurological examination is found to have a closed femur fracture and a small, focal area of subarachnoid hemorrhage without other cranial injury. After repair of his femur fracture, the patient does not arouse from anesthesia. A brain CT shows bilateral diffuse small hypodense lesions. What is the most likely etiology of the patient's change in clinical status? a. Diffuse axonal injury b. Cerebral edema c. Fat emboli d. Intraoperative hypotension e. Carotid dissection with emboli
c. Fat emboli
62
A 25 year-old man presents after assault with bilateral contusions and subarachnoid hemorrhage. His admission GCS is 4T, and an ICP monitor is placed. ICP steadily increases despite sedation, CSF diversion, hyperosmolar therapy, and hypothermia. What additional non-surgical intervention is most appropriate? a. Increase PEEP > 10 mmHg b. Acetazolamide c. 10mg IV dexamethasone d. Maintain CPP > 60mmHg e. Hyperventilate with goal PCO2 <30mmHg
d. Maintain CPP > 60mmHg
63
10-year-old boy underwent resection of a craniopharyngioma. Postoperatively, he develops panhypopituitarism and delayed hydrocephalus. What medication will need to be increased in preparation for his shunt placement? a. Growth hormone b. Desmopressin c. Levothyroxine d. Testosterone e. Hydrocortisone
e. Hydrocortisone
64
A 24-year-old gravida 1 para 0 abortus 0 woman presents in her third trimester with hypertension, proteinuria, hemolysis, elevated liver enzymes, low platelets and seizure. What is the most definitive treatment for this patient? a. Deliver the baby b. Corticosteroids c. Magnesium sulfate d. Bedrest e. Intravenous blood pressure medication
a. Deliver the baby
65
A 65-year-old man presents with one week history of agitation and confusion. He sustained a generalized tonic-clonic seizure and is hallucinating. On exam, he is febrile, confused and has a left pronator drift with hyper-reflexia. An MRI of the brain is shown (figure). Which of the following is the most likely diagnosis? a. Neurosyphilis b. Hemorrhagic stroke c. Low grade glioma d. Herpes simlex virus e. Sarcodosis
d. Herpes simlex virus
66
58 year old male is in coma from a stroke. The intensivist wants to begin feeding. What is the best plan for early feeding of this patient (first 7 days after stroke)? a. Total parenteral nutrition b. Nasogastric tube c. Peripheral parenteral nutrition d. Intravenous isotonic solution with electrolyte replacement e. Gastrostomy tube
b. Nasogastric tube
67
A 47 year old man presents with confusion, agitation, fatigue, fever (104F), hyponatremia, hypoglycemia, and hypotension after resection of a right frontal metastasis lesion 3 weeks ago. Phenytoin and steroids were discontinued at 2.5 weeks post-operatively. Head CT reveals no acute abnormality. What is the most appropriate management of this patient? a. Haloperidol b. Heparin c. Fosphenytoin d. Fludricortisone e. Hydrocortisone
e. Hydrocortisone
68
A 24 year-old man is brought to the emergency department following a single midline gunshot wound to the forehead. On arrival, he is GCS 7T with bilateral sluggishly reactive pupils and localizing in the left upper extremity to noxious stimulus. His non-contrast head CT is depicted (Figure 1). This patient is most at risk for what acute complication of penetrating brain injury? a. Venous sinus thrombosis b. Cavernous-carotid fistula c. Arteriovenous malformation d. Traumatic arterial dissection e. Traumatic intracranial aneurysm
e. Traumatic intracranial aneurysm
69
Seven days ago a 3 year old boy developed a low-grade fever which resolved and was followed by a vesicular rash (see Figures). Two days ago, he had sudden onset of truncal ataxia and horizontal nystagmus. He has moderate dysmetria of both arms when reaching for toys, cannot stand or walk, and his speech is slurred. His mental status is fully intact. Fundi show sharp disc margins. His strength is full and deep tendon reflexes are present. What is the MOST likely diagnosis? a. Opsoclonus myoclonus syndrome b. Guillain-Barre Syndrome c. Post-infectious cerebellar ataxia d. Acute disseminated encephalomyelitis e. Posterior fossa mass
c. Post-infectious cerebellar ataxia
70
According to randomized control trials of hemicraniectomy for malignant MCA infarction, what is the time frame for the performance of hemicraniectomy associated with reduced mortality? a. 48 hours b. 24 hours c. 3 hours d. 12 hours e. 6 hours
a. 48 hours
71
A 64-year old woman with multiple comorbidities undergoes emergent craniotomy after a fall. On post-operative day 4, she develops worsening tachypnea, tachycardia, hypotension, and fever of 101.5°F. Chest X-ray shows a new opacity in the right lower lobe. Bronchoscopy reveals thick, purulent secretions. What is the most appropriate next step in management? a. Vancomycin b. Daptomycin c. Await culture results prior to antibiotics d. Broad-spectrum antimicrobial therapy e. Rifampin
d. Broad-spectrum antimicrobial therapy
72
A 45 year old man presents with sudden onset of vomiting, dysarthria and ataxia and a CT scan demonstrating a cerebellar infarction. Thirteen hours after onset of symptoms, he develops abducens nerve palsy and depressed mental status. What is the most appropriate definitive management of this patient? a. Barbiturate coma b. High dose Dexamethasone c. Intravenous tPA d. Hypertonic saline e. Suboccipital craniectomy
e. Suboccipital craniectomy
73
A 24 year old patient with a gunshot wound to C2 is resuscitated after a PEA code and found to have fixed and dilated pupils, absent corneal reflexes, and absent cough and gag reflex. A head CT reveals diffuse cerebral edema with loss of grey-white differentiation. He is normothermic and normotensive and his urine toxicology screen and electrolyte panels are within normal limits. Which component of the brain death examination cannot be used in this patient to evaluate for brain death? a. Cold caloric testing b. Nuclear cerebral blood flow study c. Transcranial Doppler ultrasonography d. Apnea testing e. EEG
d. Apnea testing
74
A 58-year-old male dies from respiratory failure after battling a disease for 3 years. Microscopic examination of the spinal cord is shown below. Which disease lead to the death of patient? a. Guillain-Barre syndrome b. Amyotrophic lateral sclerosis c. Spinal muscular bulbar atrophy (SMBA) d. Spinal muscular atrophy (SMA) e. Vitamin B12 deficiency
b. Amyotrophic lateral sclerosis
75
An ABG with PCO2 25 mmHg, pH 7.55, HCO3- 24 mEq/L is most consistent with which diagnosis? a. Metabolic alkalosis with respiratory compensation b. Metabolic alkalosis c. Respiratory alkalosis d. Respiratory alkalosis with metabolic compensation
c. Respiratory alkalosis
76
A 50-year old man admitted to the neuro-ICU with severe traumatic brain injury develops multi-organ failure, including acute kidney injury (Cr 7.5). He is afebrile and his vital signs are normal. On exam, he is lethargic, but arousable to verbal commands. He is disorientated with diffuse myoclonus and asterixis, without any other focal cranial nerve or motor deficits. A repeat CT brain is unchanged from baseline. What is the most appropriate next step? a. Dialysis b. MRI brain c. Oral stimulants d. Lumbar puncture e. EEG
a. Dialysis
77
A 30-year-old male cyclist presents wtih complete C5 quadriplegia after a motor vehicle collision. Work up reveals right wrist fracture and C5 fracture involving the left transverse foramen associated with a large spinal cord contusion. CT angiography of the neck is negative for vascular injury. Two hours after presentation, the patient becomes confused, bradycardic, and hypotensive. Which of the following is the most likely explanation for these findings? a. Delayed hemothorax due to thoracic trauma. b. Fat embolism from the patient's bony injuries. c. Disruption of spinal sympathetic outflow due to spinal cord injury. d. Pulmonary contusion resulting respiratory failure. e. Occult dissection of the vertebral artery with associated brain stem infarction.
c. Disruption of spinal sympathetic outflow due to spinal cord injury.
78
What change in the intracranial pressure waveform is an early sign of elevated intracranial pressure? a. When P3 is higher than P1 b. When P1 is higher than P2 c. When P2 is higher than P3 d. When P2 is higher than P1 e. When P1 is higher than P3
d. When P2 is higher than P1
79
A 25 year-old man presents to the emergency room with a GCS of 3 after a high-speed motor vehicle accident. He undergoes a hemicraniectomy and evacuation of a large left hemispheric subdural hematoma. On postoperative day 4, he develops a fever with increasing oxygen requirements on the ventilator. Chest X-ray shows bilateral lung opacities. What finding best supports the diagnosis of acute respiratory distress syndrome? a. Bronchoalveolar lavage (BAL) specimen showing 45% eosinophils b. Ejection fraction of 55-60% consistent with normal cardiac function c. PaO2/FiO2 ratio >500 mm Hg d. Brain natriuretic peptide level >600 pg/mL e. Lung biopsy showing interstitial fibrosis
b. Ejection fraction of 55-60% consistent with normal cardiac function
80
The nurse calls you to see an intubated postoperative patient noting worsening oxygenation with oxygen saturation of 85%. ABG shows PaO2 of 50 and PaCO2 of 43. While the patient was previously following commands, he has stopped responding to the nurse. Upon your arrival, the patient's blood pressure drops suddenly from 110/62 to 76/40, with a CVP of 1, and his oxygen saturation drops further to 79%. What is the next most appropriate step in management of this unstable patient? a. Increase the patient's FiO2 and ventilator rate b. Initiate norepinephrine for pressor support c. Take the patient for a STAT CT of the Chest, PC protocol d. Take the patient for a STAT head CT e. Initiate heparin for presumed pulmonary embolism
a. Increase the patient's FiO2 and ventilator rate
81
A 50 year old man who was intubated for acute respiratory distress syndrome develops flaccid and symmetric weakness in the lower greater than upper extremities and more distally than proximally. There is no cranial nerve involvement. What is the most likely diagnosis for the weakness? a. Myasthenia gravis b. Poliomyelitis c. Guillain-Barré syndrome d. Critical illness myopathy and neuropathy e. Acute intermittent porphyria
d. Critical illness myopathy and neuropathy
82
The Food and Drug Administration (FDA) has issued limits on the per dose and daily dose recommended for acetaminophen to prevent what complication? a. Myositis b. Aplastic anemia c. Liver toxicity d. Kidney toxicity e. Steven-Johnson syndrome
c. Liver toxicity
83
What monitoring modality has the greatest sensitivity for detection of a venous air embolus? a. EKG b. Pulse oximetry c. Pulmonary artery pressure d. Precordial Doppler e. Transvenous intracardiac echocardiography
e. Transvenous intracardiac echocardiography
84
What is the indication for repair of anterior wall frontal sinus fractures? a. All of the above. b. CSF leak and resulting meningitis c. Repair of cosmetic deformity. d. Acute and/or chronic sinusitis. e. Formation of mucocele.
c. Repair of cosmetic deformity.
85
Which cranial nerve injury is most likely to be associated with transvenous embolization of a cavernous-carotid fistula? a. Trigeminal b. Optic c. Trochlear d. Abducens e. Oculomotor
d. Abducens
86
What is usually the earliest sign of developing malignant hyperthermia? a. Decreased heart rate. b. Decreased muscle tone. c. Increased oxygen saturation. d. Increased end-tidal CO2. e. Decreased body temperature.
d. Increased end-tidal CO2.
87
In addition to the negative effects on cerebral blood flow, hyperventilation should be avoided in the management of severe closed head injury for which of the following reasons? a. Left shift of the hemoglobin-oxygen dissociation curve and potential CO2 removal impairment b. Right shift of hemoglobin-oxygen dissociation curve and potential oxygen delivery impairment c. Increased pH and potential for increased oxygen delivery d. Left shift of the hemoglobin-oxygen dissociation curve and potential oxygen delivery impairment e. Right shift of hemoglobin-oxygen dissociation curve and potential CO2 removal impairment
d. Left shift of the hemoglobin-oxygen dissociation curve and potential oxygen delivery impairment
88
A 23-year-old male involved in motor vehicle accident exhibits neurological decline from an initial GCS of 15 to 8, with a neurological exam notable for left hemiparesis and right dilated pupil. What is the most appropriate initial step in management of this patient? a. Intubation and Hyperventilation b. Hypertonic (3%) saline 250 mL bolus. c. Mannitol 1 mg/kg IV bolus. d. Right temporal burr hole placement e. Fosphenytoin 15-18 mg/kg IV rapid infusion
a. Intubation and Hyperventilation
89
A 21 year-old-man sustained blunt force trauma to his head, had brief loss-of-consciousness and was GCS 15 at initial evaluation, complaining of headaches, nausea and visual disturbance. CT is shown in figures. What is the best management of this patient? a. Manage conservatively in the ICU with a f/u CT in 6 hrs. b. Evacuation of hematoma with placement of burr holes c. Place ICP monitor and observe in the ICU d. Take to the OR emergently for a combined Supra- and infratentorial approach e. Cerebral angiogram and embolization of sinus
d. Take to the OR emergently for a combined Supra- and infratentorial approach
90
A 29 year old female presents after a motor vehicle accident with left hemiplegia, weak localization on right, and a dilated unreactive right pupil. Her head CT is shown. What is the most appropriate surgical management? a. Decompressive right hemicraniectomy. b. Craniotomy and hematoma evacuation. c. Temporal burr hole and hematoma drainage. d. Placement of ventriculostomy. e. Placement of brain tissue oxygenation and ICP probe.
b. Craniotomy and hematoma evacuation.
91
A 50 year old male is admitted to the ICU after a fall from a scaffolding with severe diffuse TBI. ICP and BtpO2 monitors are placed. Despite sedation, pain control and hyperosmolar therapy, ICP remains at 25 mmHg and BtpO2 is 22 mmHg. His PaCO2 is 38 mmHg. The trauma service would like to hyperventilate the patient with a goal PaCO2 30 mmHg. When is hyperventilation indicated? a. As temporizing measure b. Never c. Within the first 24 hours d. When brain oxygen is low e. Only in conjunction with barbiturate coma
a. As temporizing measure
92
What combination of findings is most consistent with the diagnosis of central diabetes insipidus? a. Urine output of 40 cc/hr, urine specific gravity of 1.002 and serum sodium of 135. b. Urine output of 40 cc/hr, urine specific gravity of 1.010, and serum sodium of 145. c. Urine output of 300 cc/hr, urine specific gravity of 1.002, and serum sodium of 145. d. Urine output of 100 cc/hr, urine specific gravity of 1.030 and serum sodium of 135. e. Urine output of 300 cc/hr, urine specific gravity of 1.030 and serum sodium of 145.
c. Urine output of 300 cc/hr, urine specific gravity of 1.002, and serum sodium of 145.
93
A 65-year-old male with a history of hypertension and diabetes presents to the emergency room after experiencing severe headache. The Glasgow Coma Scale (GCS) is 14. On head CT scan, the patient was found to have a 2 cm acute cerebellar hematoma with no hydrocephalus. What is the most appropriate management? a. Posterior fossa craniectomy b. External ventricular drainage c. Surgical evacuation d. Medical management in an ICU setting e. Stereotactic aspiration and infusion of thrombolytic agents
d. Medical management in an ICU setting
94
A patient with severe closed head injury is suspected of having diabetes insipidus. What electrolyte and volume profile best fits this diagnosis? a. Diminished blood volume, hypernatremia. b. Increased blood volume, hypernatremia. c. Increased blood volume, hyponatremia. d. Diminished blood volume, hyponatremia.
a. Diminished blood volume, hypernatremia
95
A 28 year-old healthy woman who delivered her second child 10 days ago presents with new onset headache, lethargy, and confusion. She has no focal deficits. A non-contrast head CT is obtained and shown below. What is the most appropriate definitive treatment for this patient? a. Observation only b. Recombinant activated Factor VII c. Intravenous heparin infusion d. Endovascular embolization e. Craniotomy for hematoma evacuation
c. Intravenous heparin infusion