Describe the clinical presentation of a Sporothrix schenkii infection
Subcutaneous mycosis
You see broad-based budding yeast in a patient sample.
Which organism is likely causing this?
Blastomycosis
What are fungal cell walls made from?
Glucans and chitin
(different from bacteria => beta-lactam abx won’t kill fungi)
Give an example of a cutaneous mycosis
Which organisms are most likely to cause this?
Tinea captis, Tinea pedis, Tinea cruris, Tinea manus
Most likely caused by Dermatophytes
(Ex: Trichopyton, microsporum, epidermophyton)
Which organisms can cause opportunistic mycoses?
What infections do they cause?
Which fungal infection would require close monitoring of intracerebral pressure during treatment? Why?
Cryptococcosis (Cryptococcus neoformans)
The fungus is assosiated with meningoencephalitis. The polysaccharide capsule fragments into bits during treatment and can cause stick together, causing an increase in intracerebral pressure.
What is likely causing this infection?

Sporothris schenkii
Subcutaneous mycoses - Sporotrichosis
Nodular lesions with lymphatic spread
Which fungal infections are most common in healthy people?
How are they spread?
Endemic mycoses; usually cause pulmonary infection in healthy individuals
Spread via spore inhalation (no person-person transmission)
Describe the clinical presentation of Candidiasis
How is it different from the other opportunistic mycoses?
Typically only find in its yeast form; look for white patches on mucosal surfaces
More likely to appear on only mucosal surfaces than other opportunistic mycoses; characterisitc white patches
What are the 3 major targets of antifungal drugs?
Give examples
All 3 classes basically target the cell wall or cell membrane
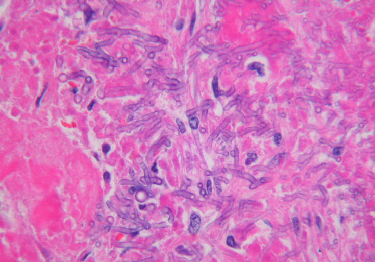
Which organism is shown in this picture?

Blastomyces dermatidis
(look for broad-based budding yeast)
What similarities do all of the opportunistic mycoses share?
(Candidiasis, cryptococcosis, aspergillosis, murcormycosis, pneumocystosis)
Which organism exhibits this pattern of hypae grwoth?

Aspergillus spp.
Lookd for septate hyphae and acut angle branching
Which individuals are at an increased risk of mucosal fungal infections?
Anyone with impaired T-cell immunity
(Ex: HIV, SCID, corticosteroid use, transplant rejection medication, very old or very young)
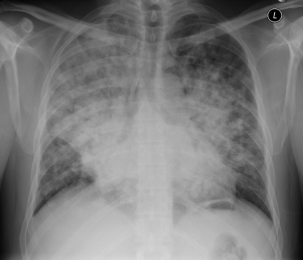
A 57 year-old man presents with pneumonia worsens despite treatment with empiric antibacterial antibiotics (ceftriaxone plus azithromycin). Bronchoscopy shows broad-based budding yeast. What is the likely cause of his pneumonia?

Blastomyces dermatitidis
Blastomyces = broad based budding yeast
Describe the clinical presentation of murcormycosis
How is it different from the other opportunisitic mycoses?
More invasive tissue involvement than other opportunistic mycoses
High risk in Diabetes Melitus patients
Look for 90 degree angle growth of hyphae
Treatment may require surgery
A 37 year-old male presents with burning in his mouth; on exam he has white plaques over his palate. What is the likely cause of this condition?

Candida albicans
Which methods would you use to determine whether a lwoer respiratory tract infection is bacterial or fungal?
Give an example of a subcutaneous mycosis
What organism might cause this?
Sporotrichosis
Caused by Sporothrix schenkii
Describe the clinical presentation of cryptococcosis
How is it different from the other opportunisitic mycoses?
Only one found in pigeon guano; can cause seriosus CNS effects
What is the mechanism of fluconazole?
Disrupts the cell membrane by inhibiting ergosterol synthesis
(Same mechanism as all -azoles)
Which organism exhibits this characteristic pattern:

Coccidioidomycosis
What is the only fungal infection that can be treated with an antibiotic?
Which antibiotic?
Pneumocystosis caused by pneumocystis jiroveci
Treat wiht trimethoprim-sulfamethoxazole
(Other anti-fungals will not work)
What is likely causing this infection?

A dermatophyte (Trichophyton, microsporum, epidermophyton)
Cutaneous mycoses - tinea corporis