Chlamydia are [location]
Chlymadia are obligate intracellular
What are sulfatides?
Molecules secreted by M. tuberculosis that prevent the formation of the phagolysosome
Which species of Borrelia spp. are medically important?
Borrelia burgdorferi and Borrelia recurrentis
Which bacteria causes relapsing fever?
How is it transmitted to humans?
Borrelia recurrentis
Ticks and lice
What kinds of cells might be found in a tuberculosis granuloma?
How is M. tuberculosis treated?
Latent infection
Active disease: 6 month, multi-drug regimen
Mycobacterium tuberculosis are [gram stain, shape, location, metabolism, relevant morphology]
Mycobacterium tuberculosis:
What does Anaplasma phagocytophilum cause?
How is it transmitted?
What cells does it infect?
What is the clinical presentation?
Anaplasmosis
Transmitted by ticks
Infects neutrophils
Fever, headaches, myalgias, thrombocytopenia, leukpoenia
Describe the clinical presentation of M. abscessus
Rapid growth
Pulmonary infection, skin/soft tissue infection
Describe the interferon gamma release assay (IGRA)
Tests for latent tuberculosis infection
In which animal species does Leptospira interrogans causes infections?
How is Leptospira interrogans transmitted to humans?
Rats, cattle, dogs
Transmitted to humans after exposure to water contaminated with animal urine (through ingestion, cuts in skin, exposure of conjunctiva)
How can tuberculosis be prevented?
What do Mycoplasma have in their plasma membranes that other bacteria lack?
Sterols (obtained from eukaryotic cells or growth media)
Are mycobacterium gram positive or gram negative?
Structurally, all mycobacteria are gram positive
However, their cell envelopes have high lipid content; this prevents them from taking up gram stain and makes them highly resistant to beta-lactam antibiotics
What is unique about Mycoplasma?
Smallest organisms that can be free-living in nature and self replicating but require a media supplemented with essential components
Mycoplasma plasma membranes contain sterols which are obtained from eukaryotic cells or growth media
No cell walls so do not Gram stain
Which groups are at an increased risk for reactivating a latent tuberculosis infection?
On two different plates with the appropriate agar, which bacteria would grow faster: M. tuberculosis or M. leprae?
What is the treatment for Leptospira interrogans?
Tetracycline, penicillin, amoxicillin, ampicillin
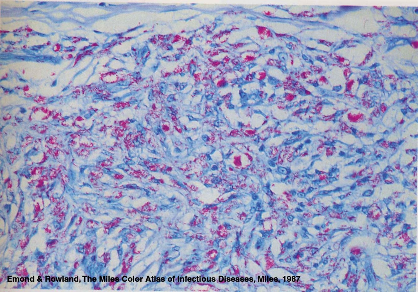
Is this a picture of tuberculoid leprosy or lepromatous leprosy?
How do you know?

Lepromatous; the pink marks are the acid-fast M. leprae taking up carbol fucshin
May bacteria are located in the tissues, a characterisitc of lepromatous leprosy
What does Coxiella burnetii cause?
What is the clinical presentation?
Which animal is it found in?
How is it spread to humans?
Q fever
Presents as fever, pulmonary infiltrates, and NO rash
Harborbed by sheep, especially placenta and fetal membranes
Spread by aerosols during the birth of lambs or other animals and through ingestion of unpasteurized milk
What is the “gold standard” for diagnosing a tuberculosis infection?
Grow M. tuberculosis from a speciment
What is cord factor?
What is its role in M. tuberculosis virulence?
Cord factor is secreted by M. tuberculosis to increase TNF-alpha secretion by the macrophage
You may wonder why a bacteria would promote a host immune response; most experts are also unsure
However, the hypothesis is that increasing TNF-alpha promotes the formation of a caseating granuloma that basically becomes a nice protected home in which M. tuberculosis survive and escape from to cause active diesease if it chooses
Which Chlamydia bacteria are medically important?
Chlymadia trachomatis
Chlymadia pneumoniae
Chlymadia psittaci
What are the medically relevant species of Mycobacterium?