Gastrointestinal perforation Flashcards

(60 cards)

1
Q

What is gastrointestinal (GI) perforation?

1 - opening in GI leaking GI contents
2 - obstruction of GI
3 - inflammation of peritoneum cover GI
4 - malignancy of GI

A

1 - opening in GI leaking GI contents

How well did you know this?
1
Not at all
2
3
4
5
Perfectly
2
Q

Which of the following is likely to cause ischaemia, which can subsequently lead to GI perforation?

1 - appendicitis, diverticulitis, colitis
2 - malignancy, inflammatory bowel disease
3 - obstruction or vascular (peripheral vascular disease)
4 - iatrogenic or trauma

A

3 - obstruction or vascular (peripheral vascular disease)

How well did you know this?
1
Not at all
2
3
4
5
Perfectly
3
Q

Which of the following is likely to cause infection, which can subsequently lead to GI perforation?

1 - appendicitis, diverticulitis, colitis
2 - malignancy, inflammatory bowel disease
3 - obstruction or vascular (peripheral vascular disease)
4 - iatrogenic or trauma

A

1 - appendicitis, diverticulitis, colitis

How well did you know this?
1
Not at all
2
3
4
5
Perfectly
4
Q

Which of the following is likely to cause erosion of the GI, which can subsequently lead to GI perforation?

1 - appendicitis, diverticulitis, colitis
2 - malignancy, inflammatory bowel disease
3 - obstruction or vascular (peripheral vascular disease)
4 - iatrogenic or trauma

A

2 - malignancy, inflammatory bowel disease

How well did you know this?
1
Not at all
2
3
4
5
Perfectly
5
Q

Which of the following is likely to cause physical disruption of the GI, which can subsequently lead to GI perforation?

1 - appendicitis, diverticulitis, colitis
2 - malignancy, inflammatory bowel disease
3 - obstruction or vascular (peripheral vascular disease)
4 - iatrogenic or trauma

A

4 - iatrogenic or trauma

How well did you know this?
1
Not at all
2
3
4
5
Perfectly
6
Q

Is oesophageal perforation common?

A
  • no
How well did you know this?
1
Not at all
2
3
4
5
Perfectly
7
Q

Hows many patients present with oesophageal perforation each year?

1 - 3000
2 - 30,000
3 - 300,000
4 - 3,000,000

A

4 - 3,000,000

  • little more common in men
How well did you know this?
1
Not at all
2
3
4
5
Perfectly
8
Q

What age does oesophageal perforation more commonly occur in?

1 - >30y/o
2 - >40y/o
3 - >50y/o
4 - >60y/o

A

4 - >60y/o

How well did you know this?
1
Not at all
2
3
4
5
Perfectly
9
Q

What is the mortality of oesophageal perforation?

1 - 0.2%
2 - 2%
3 - 20%
4 - 50%

A

3 - 20%

How well did you know this?
1
Not at all
2
3
4
5
Perfectly
10
Q

What is the most common cause of oesophageal perforation?

1 - iatrogenic
2 - malignancy
3 - spontaneous
4 - trauma

A

1 - iatrogenic

  • generally during dilation or surgery accounting for around 50-60%
How well did you know this?
1
Not at all
2
3
4
5
Perfectly
11
Q

15% of oesophageal perforation is spontaneous. What is the most common cause?

1 - iatrogenic
2 - intense vomiting/retching
3 - malignancy
4 - trauma

A

2 - intense vomiting/retching

  • sudden increase in intraesophageal pressure combined with relatively negative intrathoracic pressure caused by straining or vomiting.
  • called Boerhaave syndrome
How well did you know this?
1
Not at all
2
3
4
5
Perfectly
12
Q

In addition to iatrogenic and spontaneous oesophageal perforation, which of the following is not a common cause?

1 - foreign bodies
2 - malignancy
3 - causative liquids (alkaline especially)
4 - infection

A

4 - infection

How well did you know this?
1
Not at all
2
3
4
5
Perfectly
13
Q

There are a number of symptoms that can present in a patient with oesophageal perforation. Which of the following is NOT a common presentation?

1 - chest pain
2 - back/shoulder pain
3 - peripheral oedema
4 - vomiting
5 - subcutaneous emphysema (air in tissue under the skin)
6 - SOB and generally unwell

A

3 - peripheral oedema

How well did you know this?
1
Not at all
2
3
4
5
Perfectly
14
Q

There are a number of symptoms that can present in a patient with oesophageal perforation. Macklers triad is often used to identify those who may have
perforated their oesophagus. Which of the following is NOT part of this triad?

1 - vomiting
2 - chest pain
3 - peripheral oedema
4 -subcutaneous emphysema (air in tissue under the skin)

A

3 - peripheral oedema

How well did you know this?
1
Not at all
2
3
4
5
Perfectly
15
Q

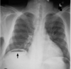
If we suspect a patient has a perforated oesophagus, what imaging modality is often the first choice?

1 - ultrasound
2 - chest X-ray
3 - CT scan
4 - MRI scan

A

2 - chest X-ray

  • can often see pleural effusion, air in mediastinum or subcutaneous emphysema
How well did you know this?
1
Not at all
2
3
4
5
Perfectly
16
Q

If we suspect a patient has a perforated oesophagus, the first choice imaging is a chest X-ray. What is the gold standard to diagnosis patients?

1 - ultrasound with contrast
2 - chest X-ray or CT with contrast
3 - CT scan with contrast
4 - MRI scan with contrast

A

2 - chest X-ray or CT with contrast

  • water soluble iodine
How well did you know this?
1
Not at all
2
3
4
5
Perfectly
17
Q

If we suspect a patient has a perforated oesophagus, the first choice imaging is a chest X-ray, and the gold standard to diagnosis patients is a chest X-ray or CT with contrast. Why can endoscopy often be useful?

1 - has diagnostic potential
2 - more accurate images
3 - no radiation
4 - has diagnostic and therapeutic potential

A

4 - has diagnostic and therapeutic potential

How well did you know this?
1
Not at all
2
3
4
5
Perfectly
18
Q

If a patient has small defects causing a perforated oesophagus, what is the medical clinical management?

NMB = nill by mouth
IV - intravenous

1 - NMB and IV antibiotics
2 - fluids only, IV antibiotics, drainage of collections
3 - NMB, IV antibiotics, drainage of collections
4 - NG tube, IV antibiotics, drainage of collections

A

3 - NMB, IV antibiotics, drainage of collections

  • if the medical conservative approach fails then surgery will be required
  • drainage of infection is key
  • VERY HIGH MORTALITY
How well did you know this?
1
Not at all
2
3
4
5
Perfectly
19
Q

What is the most common cause of upper GI perforation?

1 - iatrogenic
2 - infection
3 - ischaemia
4 - peptic ulcer

A

4 - peptic ulcer

How well did you know this?
1
Not at all
2
3
4
5
Perfectly
20
Q

What is the incidence of gastric/duodenal perforation?

1 - 1-2 per 100,000/year
2 - 4-11 per 100,000/year
3 - 30-50 per 100,000/year
4 - 100-150 per 100,000/year

A

2 - 4-11 per 100,000/year

How well did you know this?
1
Not at all
2
3
4
5
Perfectly
21
Q

Why is the incidence of gastric/duodenal perforation reducing?

1 - reduced alcohol intake
2 - reduced BMIs
3 - reduced smoking
4 - increased use of PPIs

A

4 - increased use of PPIs

How well did you know this?
1
Not at all
2
3
4
5
Perfectly
22
Q

What is the mortality of gastric/duodenal perforation?

1 -1-5%
2 - 5-10%
3 - 15-20%
4 - 20-30%

A

3 - 15-20%

How well did you know this?
1
Not at all
2
3
4
5
Perfectly
23
Q

Peptic ulcer is the most common cause of upper GI perforation, what is the leading cause?

1 - NSAIDs
2 - smoking
3 - Helicobacter pylori
4 - alcohol

A

3 - Helicobacter pylori

  • 90-95% of duodenal ulcers
  • 70-85% of gastric ulcers
How well did you know this?
1
Not at all
2
3
4
5
Perfectly
24
Q

Peptic ulcer is the most common cause of upper GI perforation, with the leading cause being Helicobacter pylori. Which if the following is NOT anther risk factor for a peptic ulcer?

1 - NSAIDs
2 - smoking
3 - steroids
4 - alcohol

A

4 - alcohol

How well did you know this?
1
Not at all
2
3
4
5
Perfectly
25
Peptic ulcer is the most common cause of upper GI perforation, with the leading cause being Helicobacter pylori, although other causes include NSAIDs, smoking and steroids. Although unusual, which of the following is not generally a cause of peptic ulcers? 1 - iatrogenic 2 - malignancy 3 - IBD 4 - trauma 5 - foreign body 6 - excess pancreatic juice
6 - excess pancreatic juice
26
Which of the following is NOT a common presentation of an upper GI perforation? 1 - abdominal pain (general signs of peritonitis, but becomes isolated) 2 - red bloody stools 3 - systemically unwell 4 - back pain (if retroperitoneal) 5 - UGI reflux 6 - upper GI bleeding 7 - haematemesis
2 - red bloody stools - any blood in stools will be melena (stick black stool)
27
If a patient has a peptic or duodenal perforation and it is posterior, which blood vessel is most likely to be damaged? 1 - gastroduodenal artery 2 - splenic artery 3 - celiac trunk 4 - common hepatic artery
1 - gastroduodenal artery
28
Which 1 of the answers below is NOT part of the classic triad that is associated with a peptic or duodenal perforation? 1 - sudden onset of abdominal pain 2 - tachycardia 3 - abdominal rigidity 4 - UGI reflux
4 - UGI reflux
29
Imaging can help diagnose a peptic or duodenal perforation. Which imaging modality is most commonly used? 1 - ultrasound 2 - CT contrast 3 - vertical X-ray 4 - MRI contrast
3 - vertical X-ray
30
When treating a peptic or duodenal perforation we can manage the patient medically or surgically. If we manage the patient medically, which of the following is not generally part of the treatment in the hope the hole causing the perforation will heal itself? 1 - Nill by mouth (NBM) 2 - Nasogastric aspiration (NG) 3 - proton pump inhibitor 4 - gaviscon or antacids 5 - antibiotics if infection suspected
4 - gaviscon or antacids - everything else lets the stomach and duodenum rest and hopefully heal
31
When treating a peptic or duodenal perforation we can manage the patient medically or surgically. If we manage the patient medically, what structure can often seal the hole causing the perforation? 1 - lesser omentum 2 - transverse colon 3 - greater omentum 4 - liver
3 - greater omentum
32
In patients where the medical approach has failed, a surgical approach, which is the most common will be be needed. What part of the abdominal cavity can be used to seal the peptic or duodenal perforation? 1 - lesser omentum 2 - transverse colon 3 - greater omentum 4 - liver
3 - greater omentum - called the modified Grahams Omentopexy - omental patch placed over the hole
33
In patients where the medical approach has failed, a surgical approach, which is the most common will be be needed. The most common approach is the modified Grahams Omentopexy, where an omental patch is placed over the hole. In addition to this other measures are taken. Which of the following is NOT commonly performed? 1 - PPI 2 - Helicobacteria Pylori eradication 3 - Laxatives 4 - OesophagoGastroDuodenoscopy (OGD)
3 - Laxatives
34
Of all the perforations of the GIT, which is least common? 1 - oesophagus 2 - gastric/duodenum 3 - lower bowel 4 - small bowel 5 - rectal
4 - small bowel
35
A small bowel perforation is the least common type of perforation of all the types of perforation. Which if the following is NOT a common cause? 1 - iatrogenic 2 - ischaemic 3 - thrombosis (superior mesenteric (vein or artery) 4 - ischaemia caused by strangulation hernia 5 - inflammatory 6 - trauma 7 - ulcerative colitis 8 - erosion
6 - ulcerative colitis - only affects the large intestines
36
A small bowel perforation is the least common type of perforation of all the types of perforation. Below is a list of the most common causes of small bowel perforation. Which is the most common? 1 - iatrogenic 2 - ischaemic 3 - thrombosis (superior mesenteric (vein or artery) 4 - ischaemia caused by strangulation hernia 5 - inflammatory 6 - trauma 7 - erosion
1 - iatrogenic
37
A small bowel perforation is the least common type of perforation of all the types of perforation. Iatrogenic is the most common causes of small bowel perforation. Which is the most common non iatrogenic cause? 1 - ischaemic 2 - thrombosis (superior mesenteric (vein or artery) 3 - ischaemia caused by a strangulation hernia 4 - inflammatory 5 - trauma 6 - erosion 7 - strangulation hernia
- ischaemia caused by a strangulation hernia
38
If a patient has a suspected of having a small bowel perforation, they are likely to present with a large number of symptoms. What is the most common presentation? 1 - abdominal floating 2 - systemically unwell 3 - haematemesis 4 - diarrhoea and vomiting
2 - systemically unwell
39
If a patient has a suspected of having a small bowel perforation, what imaging modality would be most appropriate? 1 - ultrasound 2 - CT scan 3 - MRI scan 4 - Chest X-ray
2 - CT scan - good for ruling out malignancy and other pathology
40
If a patient has a suspected of having a small bowel perforation, the most appropriate imaging modality would be a CT scan. An erect chest X-ray can also be useful, why is this? 1 - clear imaging of lungs 2 - identify pneumoperitoneum 3 - less radiation for patient 4 - more accessible
2 - identify pneumoperitoneum
41
In a patient with suspected of having a small bowel perforation, what is the most likely treatment? 1 - conservative management with fluids and analgesia 2 - medical management with NBM, fluids 3 - surgery to repair or remove damaged tissue 4 - surgery with ileostomy
3 - surgery to repair or remove damaged tissue - lavage and washout of abdominal cavity
42
What is the most common cause of a lower bowel perforation? 1 - hernia 2 - diverticular disease 3 - appendicitis 4 - trauma
2 - diverticular disease
43
Diverticular disease is the most common cause of a lower bowel perforation. What is the incidence of this? 1 - 4/100 2 - 4/1000 3 - 4/100,000 4 - 4/1,000,000
3 - 4/100,000 - slightly more common in men
44
Which drug causes 30% of all large bowel perforations? 1 - paracetamol 2 - antibiotics 3 - aspirin 4 - NSAIDs
4 - NSAIDs - smoking increases the risk of perforation
45
Diverticular disease is the most common cause of large bowel perforation. Which of the following is NOT a common cause? 1 - colon cancer 2 - distal obstruction (especially closed loop) 3 - iatrogenic 4 - ischaemia 5 - steroids 6 - stercoral perforation (pseudoobstruction) 7 - IBD
5 - steroids
46
When looking at the normal diameter of the intestines, which of the following is correct? 1 - SI - 3cm, LI - 6cm, caecum - 9cm 2 - SI - 9cm, LI - 3cm, caecum - 9cm 3 - SI - 6cm, LI - 6cm, caecum - 9cm 4 - SI - 3cm, LI - 3cm, caecum - 9cm
1 - SI - 3cm, LI - 6cm, caecum - 9cm
47
Patients with a large bowel perforation are likely to present with a myriad of symptoms. Which of the following are NOT a common presentation? 1 - history of causative agent 2 - localised abdominal pain, spreading to generalised peritonitis 3 - systemically unwell 4 - abdominal distension 5 - RIF pain (very dangerous, suggest caecal perforation) 6 - weight loss
6 - weight loss
48
What is the gold standard for diagnosing a large bowel perforation? 1 - ultrasound 2 - CT scan 3 - MRI scan 4 - Chest X-ray
2 - CT scan - establish site of perforation and additional causative pathology
49
What does it mean for the ileocaecal valve to be competent? 1 - valve allows one way movement of GIT contents 2 - valve allows 2 way movement of GIT contents 3 - valve allows no movement of GIT contents
1 - valve allows one way movement of GIT contents - in normal physiology the ileocaecal valve only allows GIT contents to move from SI to LI
50
A competent ileocaecal valve allows one way movement of GIT contents to move from SI to LI, whereas an incompetent ileocaecal valve allows fluid to move back into the SI. In a closed loop obstruction is a competent or incompetent bowel better?
- incompetent - if colon is blocked fluid can move back into SI, can be aspirated or cause vomiting - if valve is competent then colon will dilate and be at risk of perforation
51
In a patient with suspected of having a large bowel perforation, what is the most likely treatment? 1 - conservative management with fluids and analgesia 2 - medical management with NBM, fluids 3 - surgery to repair or remove damaged tissue 4 - surgery with colostomy
3 - surgery to repair or remove damaged tissue - can sometimes be managed without surgery, drainage of abscess
52
In a patient with suspected of having a large bowel perforation, surgery to repair or remove damaged tissue is most commonly performed. Can diseased bowel causing an obstruction be managed medically with a conservative approach?
- no - damaged bowel will never heal.
53
If part of the lower bowel needs to be removed following an obstruction, there are many different types of procedures that can be performed. What is a sub total colectomy? 1 - removal of colon except the sigmoid colon 2 - removal of whole colon 3 - removal of right side of colon 4 - proctosigmoidectomy (removal of rectosigmoid colon)
1 - removal of colon except the sigmoid colon
54
If part of the lower bowel needs to be removed following an obstruction, there are many different types of procedures that can be performed. What is a Hartmans procedure? 1 - removal of colon except the sigmoid colon 2 - removal of whole colon 3 - removal of right side of colon 4 - proctosigmoidectomy (removal of rectosigmoid colon)
4 - proctosigmoidectomy (removal of rectosigmoid colon) - rectosigmoid is removed
55
Is a rectal perforation common?
- no
56
What is the most common cause of a rectal perforation? 1 - trauma 2 - distal obstruction (especially closed loop) 3 - iatrogenic 4 - ischaemia
1 - trauma - commonly foreign body is still present - cancer can IBD can also cause rectal perforation
57
Rectal perforation can present in several ways. Which of the following is NOT a common presentation? 1 - pelvic pain 2 - PR bleeding 3 - lower back pain 4 - systemically unwell
4 - systemically unwell - generally does not occur as rectum is retroperitoneal, so it is contained to pelvis
58
What is the gold standard for diagnosing a rectal perforation? 1 - ultrasound 2 - CT scan with contrast 3 - MRI scan 4 - Chest X-ray
2 - CT scan with contrast - MRI if cancer needs to be staged
59
Is rectal perforation more commonly managed using surgery or conservative medical management?
- conservative medical management - can heal alone - antibiotics and removal of foreign body
60
Rectal perforation is more commonly managed using conservative medical management. However, at times surgery is required. Which of the following are NOT common surgical approaches? 1 - drainage of collections 2 - colectomy 3 - resection
2 - colectomy - resections are rare due to complications