Pneumonia Flashcards

(46 cards)

1
Q

Pneumonia is an infection of the lungs, which can lead to fluid and other components being draw into the lungs and filling the alveoli. What is the incidence of pneumonia?

1 - 50,000 / 100,000
2 - 5000 / 100,000
3 - 500 / 100,000
4 - 50 / 100,000

A

3 - 500 / 100,000

How well did you know this?
1
Not at all
2
3
4
5
Perfectly
2
Q

Pneumonia is an infection of the lungs, which can lead to fluid and other components being draw into the lungs. What age does the cases of pneumonia at its peak?

1 - >35
2 - >45
3 - >60
4 - >75

A

4 - >75

How well did you know this?
1
Not at all
2
3
4
5
Perfectly
3
Q

Pneumonia in children is the single largest contributor to childhood mortality worldwide, account for how many deaths per year in <5 year old children?

1 - 1000
2 - 10,000
3 - 100,000
4 - 1,000,000

A

4 - 1,000,000

How well did you know this?
1
Not at all
2
3
4
5
Perfectly
4
Q

Pneumonia is an infection of the lungs, which can lead to fluid and other components being draw into the lungs. Are men or women affected more by pneumonia?

A
  • equally affected
How well did you know this?
1
Not at all
2
3
4
5
Perfectly
5
Q

The bodies innate immune system aims to reduce the risk of infection in a number of ways. Which of the following does this include?

1 - mucociliary escalator
2 - cough reflex
3 - macrophages
4 - all of the above

A

4 - all of the above

How well did you know this?
1
Not at all
2
3
4
5
Perfectly
6
Q

Which of the following is NOT a risk factor for developing pneumonia?

1 - aged <5 or >65-years-old
2 - smoking
3 - recent viral RTI
4 - chronic respiratory diseases
5 - immunosuppressed (diabetes)
6 - gender
7 - neurological impairment
8 - IV drug users
9 - co-morbidities
10 - prolonged hospital stay

A

6 - gender

  • patients at risk of aspiration include those with neurological diseases such as Parkinson’s disease or those with oesophageal obstruction
How well did you know this?
1
Not at all
2
3
4
5
Perfectly
7
Q

Pneumonia can be caused by viruses, bacteria and fungi, but which is most common?

A
  • bacteria
How well did you know this?
1
Not at all
2
3
4
5
Perfectly
8
Q

The are a myriad of bacteria that can cause pneumonia, but which is most common?

1 - streptococcus pneumoniae
2 - haemophilus influenzae
3 - staphylococcus aureus
4 - legionella pneumophila

A

1 - streptococcus pneumoniae

All of these can cause pneumonia though

How well did you know this?
1
Not at all
2
3
4
5
Perfectly
9
Q

The are a myriad of viruses that can cause pneumonia, but which is most common?

1 - Covid-19
2 - SARS
3 - influenza
4 - respiratory syncytial virus

A

3 - influenza

  • respiratory syncytial virus is the most common cause of pneumonia in children
How well did you know this?
1
Not at all
2
3
4
5
Perfectly
10
Q

Match the most common causes of pneumonia with the age of the child:

Newborn – organisms maternal genital tract: Group B strept, Gram neg orgs

Age
- Newborn
- Infants and young children
- >5 years old

Cause
- Viruses e.g RSV
- organisms maternal genital tract: Group B strept, Gram neg organisms
- Mycoplasma pn, Strept pn, Chlamydia pneumoniae

A
  • Newborn = organisms maternal genital tract: Group B strept, Gram neg organisms
  • Infants and young children = Viruses e.g RSV
  • > 5 years old = Mycoplasma pn, Strept pn, Chlamydia pneumoniae
How well did you know this?
1
Not at all
2
3
4
5
Perfectly
11
Q

Is pneumonia typically caused by an infection that begins in the upper (URT) or lower respiratory tract (LRT)?

A
  • begins in the URT and then moves to the LRT
How well did you know this?
1
Not at all
2
3
4
5
Perfectly
12
Q

Once an infection reaches the lower respiratory tract which of the following occurs?

1 - immune cells initiate and immune response
2 - immune cells secrete cytokines and an inflammatory response and induce fever
3 - fluid leaks into inflamed tissue and can cause pus accumulation
4 - gas exchange at the alveoli is impaired causing hypoxia
5 - all of the above, typically in this order

A

5 - all of the above, typically in this order

How well did you know this?
1
Not at all
2
3
4
5
Perfectly
13
Q

Pneumonia can be classified on where it is acquired. Which of the following is the most common?

1 - community -acquired pneumonia
2 - hospital-acquired pneumonia
3 - ventilator associated pneumonia
4 - all equal

A

1 - community -acquired pneumonia
- patient becomes sick outside of a hospital setting

How well did you know this?
1
Not at all
2
3
4
5
Perfectly
14
Q

Pneumonia can be classified on where it is acquired. Which of the following is the most aggressive and dangerous pneumonia?

1 - community -acquired pneumonia
2 - hospital-acquired pneumonia
3 - ventilator associated pneumonia
4 - all equal

A

2 - hospital-acquired pneumonia
- patient gets sick in whilst in hospital being treated for something else

How well did you know this?
1
Not at all
2
3
4
5
Perfectly
15
Q

Are bacteria and viruses the only way patients can acquire pneumonia?

A
  • no
  • may acquire pneumonia by aspiration
  • such as food, gastric contents
How well did you know this?
1
Not at all
2
3
4
5
Perfectly
16
Q

Aspiration pneumonia can be caused by a myriad of things. Which of the following can increase the risk of an aspiration pneumonia?

1 - alcohol and drug abuse
2 - brain injuries
3 - swallowing dysfunction
4 - all of the above

A

4 - all of the above

How well did you know this?
1
Not at all
2
3
4
5
Perfectly
17
Q

Pneumonia can be categorised based on where in the lungs the infection affects. One of these is bronchopneumonia. Which part of the lung is affected in bronchopneumonia?

1 - whole lobe only
2 - alveoli only
3 - bronchi only
4 - alveoli and bronchi

A

4 - alveoli and bronchi

How well did you know this?
1
Not at all
2
3
4
5
Perfectly
18
Q

Pneumonia can be categorised based on where in the lungs the infection affects. One of these is lobar pneumonia. Which part of the lung is affected in lobar pneumonia?

1 - whole lobe only
2 - alveoli only
3 - bronchi only
4 - alveoli and bronchi

A

1 - whole lobe only
- commonly caused by streptococcus pneumoniae

How well did you know this?
1
Not at all
2
3
4
5
Perfectly
19
Q

Pneumonia can be categorised based on where in the lungs the infection affects. One of these is atypical/interstitial pneumonia. Which part of the lung is affected in atypical/interstitial pneumonia?

1 - whole lobe only
2 - alveoli only
3 - interstitium around alveoli
4 - alveoli and bronchi

A

3 - interstitium around alveoli
- can typically cause less severe or sub acute pneumonia, termed ‘walking pneumonia’
- absence of lobar consolidation on chest x-ray
- not detectable on Gram stain
- lack of response to penicillin antibiotics

20
Q

When comparing a bacterial vs a viral cause of pneumonia, which is more likely to affect the whole of one lung or both lungs?

A
  • viral

Bacterial causes of pneumonia are typically confined into one or 2 lobes

21
Q

Which is the most likely class of organism responsible for this acute presentation?

1 - Bacterial
2 - Fungal
3 - Rickettsial
4 - Tuberculous
5 - Viral

A

5 - Viral

Rickettsial and Tuberculous are typically more chronic conditions

22
Q

Does bacterial or viral pneumonia cause purulent sputum?

23
Q

Pneumonia can typically be broken down into 4 stages. What occurs at stage 1?

1 - resolution = exudate gets digested by enzymes, ingested by macrophages, or coughed up
2 - red hepatization = exudate, RBCs, neutrophils and fibrin fill airspace and lungs appear more solid
3 - congestion = blood vessels and alveoli start filling with excess fluid
4 - gray hepatization = lungs are firm but RBCs begin to break down

A

3 - congestion = blood vessels and alveoli start filling with excess fluid

  • happens between 1 and 2 days
24
Q

Pneumonia can typically be broken down into 4 stages. What occurs at stage 2?

1 - resolution = exudate gets digested by enzymes, ingested by macrophages, or coughed up
2 - red hepatization = exudate, RBCs, neutrophils and fibrin fill airspace and lungs appear more solid
3 - congestion = blood vessels and alveoli start filling with excess fluid
4 - gray hepatization = lungs are firm but RBCs begin to break down

A

2 - red hepatization = exudate, RBCs, neutrophils and fibrin fill airspace and lungs appear more solid

  • happens between 3 and 4 days
25
Pneumonia can typically be broken down into 4 stages. What occurs at stage 3? 1 - resolution = exudate gets digested by enzymes, ingested by macrophages, or coughed up 2 - red hepatization = exudate, RBCs, neutrophils and fibrin fill airspace and lungs appear more solid 3 - congestion = blood vessels and alveoli start filling with excess fluid 4 - gray hepatization = lungs are firm but RBCs begin to break down
4 - gray hepatization = lungs are firm but RBCs begin to break down - happens between 5 and 7 days
26
Pneumonia can typically be broken down into 4 stages. What occurs at stage 4? 1 - resolution = exudate gets digested by enzymes, ingested by macrophages, or coughed up 2 - red hepatization = exudate, RBCs, neutrophils and fibrin fill airspace and lungs appear more solid 3 - congestion = blood vessels and alveoli start filling with excess fluid 4 - gray hepatization = lungs are firm but RBCs begin to break down
1 - resolution = exudate gets digested by enzymes, ingested by macrophages, or coughed up - happens between 8 days to 3 weeks
27
Pneumonia can cause respiratory and systemic symptoms. Which of the following is NOT a respiratory symptoms? 1 - Cough 2 - Dyspnoea 3 - Malaise 4 - Pleuritic chest pain
3 - Malaise - cough = productive or non-productive, with purulent sputum in bacterial pneumonia. - dyspnoea = mild to severe - pleuritic chest pain = sharp, localised pain, exacerbated by coughing or deep breathing, suggestive of pleural involvement
28
Pneumonia can cause respiratory and systemic symptoms. Which of the following is NOT a systemic symptoms? 1 - fever and chills 2 - dyspnoea 3 - malaise 4 - anorexia and weight loss
2 - dyspnoea - fever and chills = high-grade (bacteria) or low grade (viral) fever - malaise, fatigue, and myalgias = common in both bacterial and viral pneumonia. - anorexia and weight loss = may occur due to decreased appetite and increased metabolic demands
29
If examining a patient with pneumonia, which of the following are we likely to detect? 1 - tachypnoea 2 - tachycardia 3 - hypoxia: Indicative of respiratory compromise. 4 - basal crackles 5 - all of the above
5 - all of the above
30
To diagnose a patient with pneumonia we can use a chest X-ray. Match the findings with the type of pneumonia: - lobar pneumonia, atypical/interstitial pneumonia and bronchopneumonia - lobular infiltrates with fluid - peri-hilar infiltrates - patchy areas of infiltration throughout
- lobar pneumonia = lobular infiltrates with fluid - atypical/interstitial pneumonia = peri-hilar infiltrates - bronchopneumonia = patchy areas of infiltration throughout
31
In a patient with pneumonia, when we percuss the chest, would we expect there to be increased resonance or a decreased resonance with dullness with a consolidation, which is fluid in the lung tissue, that DOES NOT move with gravity?
- reduced resonance with dullness
32
In a patient with pneumonia, would we expect to feel more or less tactile fremitus than in a normal lung?
- more Vibrations travel through fluid better so we feel them more than in a healthy lung
33
In a patient with pneumonia, would we expect to hear vocal fremitus more or less than in a normal lung?
- more - vibrations travel through fluid better sop we feel them more than in a healthy lung
34
In a patient with pneumonia, would we expect to hear late inspiratory crackles and bronchial breath sounds?
- yes
35
Patients with suspected pneumonia are expected to be seen by their GPs. Which scoring system us used to assess the severity of patients pneumonia and mortality risk? 1 - Wells score 2 - Lights criteria 3 - Dukes criteria 4 - CURB65 score
4 - CURB65 score - C = new onset confusion (<8 on MMS) - U = urea (>7 mmol/L) (typically used in hospital only) - R = respiratory rate (>30/min) - B = BP (SBP <90 and DBP >60 mmHg) - 65 = patients aged >65
36
The CURB65 score ranges from 0-4, increasing upon severity. - 0: low risk (less than 1% mortality risk) - 1 or 2: intermediate risk (1-10% mortality risk) - 3 or 4: high risk (more than 10% mortality risk) Patients that do not need hospital admission and are safe to be treated at home according to NICE typically have what score? 1 - 3-4 2 - 2-3 3 - 1-2 4 - 0-1
4 - 0-1 - also based on clinical insight Patients scoring >2 should be assessed in hospital Patients scoring >3 should be admitted to ICU
37
In addition to a CRB65 score in primary care to assess the severity of patients pneumonia and risk of mortality, what other test is used to assess if a patient should be started on antibiotics according to NICE guidelines? 1 - WBC 2 - ESR 3 - CRP 4 - LFTs
3 - CRP All the others may also be performed though Blood and sputum cultures should also be performed
38
CRP can be used to identify patients who may require antibiotics. What CRP level would mean that antibiotics should be started straight away? 1 - <20mg/mL 2 - 20-50mg/mL 3 - 20-100mg/mL 4 - >100mg/mL
4 - >100mg/mL CRP < 20 mg/L - do not routinely offer antibiotic therapy CRP 20 - 100 mg/L - consider a delayed antibiotic prescription CRP > 100 mg/L - offer antibiotic therapy
39
It can be hard to differentiate between viral and bacterial causes of pneumonia. But typically, which is associated with the following: - high temperatures - high inflammatory markers (CRP) - systemically unwell child
- bacterial is more likely BUT diagnosis can only be confirmed using a blood and/or sputum culture
40
In a patient with NKDA, which antibiotic should be the 1st line treatment for patients with low severity pneumonia? 1 - amoxicillin (penicillin) 2 - clarithromycin (macrolide) 3 - doxycycline (tetracycline) 4 - vancomyosin (glycopeptide)
1 - amoxicillin (penicillin) - 5 day course TDS - amoxicillin = penicillin binding protein that inhibits wall synthesis
41
In a patient with an allergy to penicillin, which 2 of the following antibiotics should be the 1st line treatment for patients with low severity pneumonia? 1 - gentamicin (aminoglycosides) 2 - clarithromycin (macrolide) 3 - doxycycline (tetracycline) 4 - vancomyosin (glycopeptide)
2 - clarithromycin (macrolide) - binds 50s and inhibits protein synthesis 3 - doxycycline (tetracycline) - binds 30s and inhibits protein synthesis - 5 day course
42
In patients with NKDA, and moderate to severe pneumonia (CURB65 score >3), they require dual antibiotic therapy for 7-10 days. Which 2 of the following should they be prescribed? 1 - co-amoxiclav (penicillin) 2 - clarithromycin (macrolide) 3 - doxycycline (tetracycline) 4 - vancomyosin (glycopeptide)
1 - co-amoxiclav (penicillin) 2 - clarithromycin (macrolide)
43
Which of the following are pulmonary complications that can be caused by pneumonia? 1 - empyema (pus in pleural space) 2 - lung abscess (pus collection in lung parenchyme) 3 - pneumothorax 4 - acute respiratory distress syndrome 5 - pleural effusions 6 - all of the above
6 - all of the above
44
Which of the following are extra-pulmonary complications that can be caused by pneumonia? 1 - bacteremia and sepsis 2 - metastatic infections 3 - pericarditis 4 - AKI 5 - all of the above
5 - all of the above
45
NICE recommends that patients with pneumonia should NOT be discharged if they have certain criteria. Which of the following is NOT one of these? 1 - temperature >37.5°C 2 - RR >24 3 - HR >65 4 - SBP <90mmHg 5 - sats <90% on room air 6 - abnormal mental status 7 - inability to eat without assistance
3 - HR >65 heart rate over 100 beats per minute is part of the criteria
46
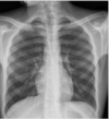
A 72 year old man with background history of multiple myeloma presents to the emergency department with shortness of breath, sore throat runny node and a cough. He had chemotherapy 4 days previously. Observations: HR 118 bpm, BP 90/60 mmHg, temperature 38.2°C, respiratory rate 25 /min, O2 saturation 75% on air.. Blood results: Hb 96 g/L WBC 0.9 x109/L CRP 115 mg/L U&E: normal Urinalysis: 1+ blood and 1+ protein, nitrite -ve Chest X-ray shown in image. What is the most likely diagnosis? 1 - Aspiration pneumonia 2 - Neutropenic sepsis 3 - Lobar pneumonia 4 - Urinary tract infection 5 - Upper respiratory tract infection
2 - Neutropenic sepsis