Goal of screening mammos
detect pre-clinical breast cancer in ASYMPTOMATIC women
How many cancers are detected by screeners?
2-8 per 1000 screened
Recall rate for screeners?
4-7%
Current ACS guidelines for screening?
annual screening for women > 40yo, OR 10 years younger than a first degree relative with breast cancer
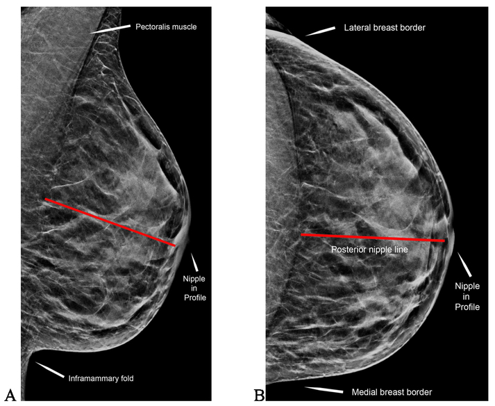
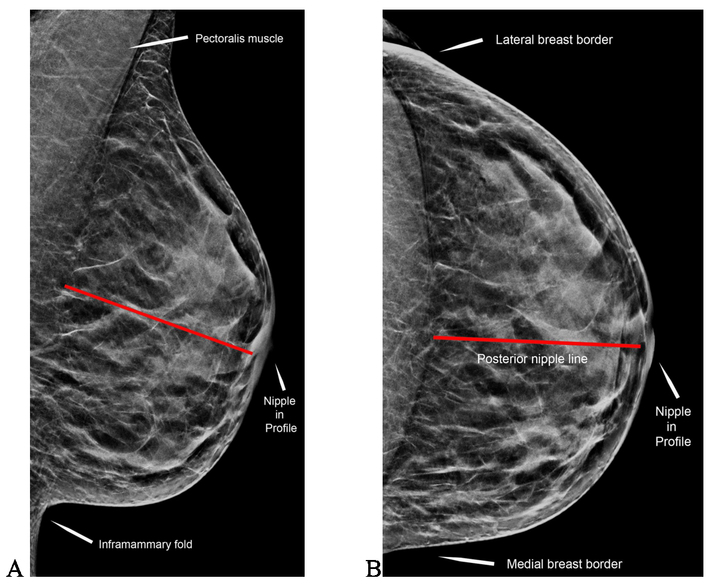
For adequacy the posterior nipple line has to be within what distance of each other on CC and MLO?
1 cm
nipple is required to be in profile on how many views?
at least one view
Pathway of IDC progression
Normal —> FEA -> ADH -> DCIS -> IDC

what percentage of FEA will be upstaged to IDC/DCIS?
14%
What percentage of ADH will be upstaged to IDC/DCIS?
18%
Two most important risk factors for breast cancer?
female sex and advancing age
If DCIS is untreated, what % will progress to IDC?
30-50% in 10 yrs
Earliest and only mammographic manifestion of breast cancer
calcs
MRI findings of DCIS
Clumped NME


focal spot for mammo
0.1 - 0.3 mm

What is important about air gaps in mammography
No grid is needed due to air gap. Air gap reduces scatter.

A false-negative is defined as
a cancer diagnosed within 1 year of a negative mammogram, such BI-RADS 1 or 2 on screening mammography or BI-RADS 1, 2, or 3 on diagnostic mammography.
The pectoralis muscle should extend to at least within ________ cm of the posterior nipple line
1 cm

Using ACR accrediation criteria for clinical image evaluation, what is recommended for visualization of the pectoralis muscle on mammorgraphy?
extends to the level of the posterior nipple line

extremely dense breast cancer detection rate on mammo
45-65%